JavaScript is disabled in your browser. Please enable JavaScript to view this website.
AB239839

重组Anti-pan Cadherin抗体[EPR1792Y] - BSA and Azide free

Anti-pan Cadherin antibody [EPR1792Y] - BSA and Azide free

Be the first to review this product! Submit a review

|

(0 Publication)

Rabbit Recombinant Monoclonal N Cadherin antibody. Carrier free. Suitable for IHC-P, IP, WB, ICC/IF, Flow Cyt (Intra) and reacts with Mouse, Rat, Human samples.

查看别名

CD325, CDHN, NCAD, CDH2, Cadherin-2, CDw325, Neural cadherin, N-cadherin

8 Images
Western blot - Anti-pan Cadherin antibody [EPR1792Y] - BSA and Azide free (AB239839)
  • WB

Unknown

Western blot - Anti-pan Cadherin antibody [EPR1792Y] - BSA and Azide free (AB239839)

This data was developed using the same antibody clone in a different buffer formulation containing PBS, BSA, glycerol, and sodium azide (ab51034).

All lanes:

Western blot - Anti-pan Cadherin antibody [EPR1792Y] - Intercellular Junction Marker (<a href='/products/primary-antibodies/pan-cadherin-antibody-epr1792y-intercellular-junction-marker-ab51034'>ab51034</a>) at 1/50000 dilution

Lane 1:

C6 (Rat glial tumor glial cell) whole cell lysate at 20 µg

Lane 2:

Human brain lysate at 20 µg

Lane 3:

Mouse brain lysate at 20 µg

Lane 4:

Rat brain lysate at 20 µg

Secondary

All lanes:

Goat Anti-Rabbit IgG (HRP) with minimal cross-reactivity with human IgG at 1/2000 dilution

Predicted band size: 100 kDa

Observed band size: 140 kDa

false

Western blot - Anti-pan Cadherin antibody [EPR1792Y] - BSA and Azide free (AB239839)
  • WB

Unknown

Western blot - Anti-pan Cadherin antibody [EPR1792Y] - BSA and Azide free (AB239839)

This data was developed using the same antibody clone in a different buffer formulation containing PBS, BSA, glycerol, and sodium azide (ab51034).

All lanes:

Western blot - Anti-pan Cadherin antibody [EPR1792Y] - Intercellular Junction Marker (<a href='/products/primary-antibodies/pan-cadherin-antibody-epr1792y-intercellular-junction-marker-ab51034'>ab51034</a>) at 1/50000 dilution

All lanes:

Mouse heart lysate at 15 µg

Secondary

All lanes:

Western blot - Goat Anti-Rabbit IgG H&L (HRP) (<a href='/products/secondary-antibodies/goat-rabbit-igg-h-l-hrp-ab97051'>ab97051</a>) at 1/20000 dilution

Predicted band size: 100 kDa

Observed band size: 140 kDa

false

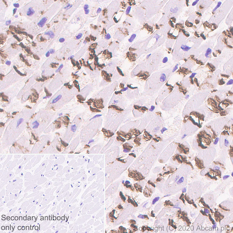
Immunohistochemistry (Formalin/PFA-fixed paraffin-embedded sections) - Anti-pan Cadherin antibody [EPR1792Y] - BSA and Azide free (AB239839)
  • IHC-P

Unknown

Immunohistochemistry (Formalin/PFA-fixed paraffin-embedded sections) - Anti-pan Cadherin antibody [EPR1792Y] - BSA and Azide free (AB239839)

Immunohistochemistry (Formalin/PFA-fixed paraffin-embedded sections) analysis of rat cardiac muscle tissue sections labeling pan Cadherin with purified ab51034 at 1/500 dilution (0.26 µg/mL). Heat mediated antigen retrieval using Bond™ Epitope Retrieval Solution 2 (pH 9.0). Rabbit specific IHC polymer detection kit HRP/DAB (ab209101) was used as the secondary antibody. Negative control : PBS instead of the primary antibody. Hematoxylin was used as a counterstain.
This data was developed using the same antibody clone in a different buffer formulation containing PBS, BSA, glycerol, and sodium azide (ab51034).

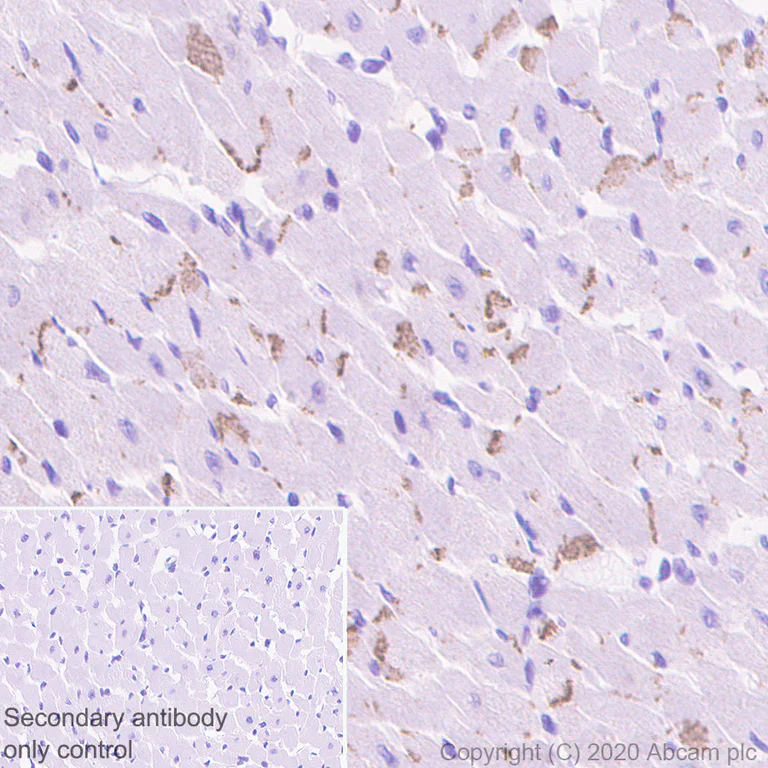
Immunohistochemistry (Formalin/PFA-fixed paraffin-embedded sections) - Anti-pan Cadherin antibody [EPR1792Y] - BSA and Azide free (AB239839)
  • IHC-P

Unknown

Immunohistochemistry (Formalin/PFA-fixed paraffin-embedded sections) - Anti-pan Cadherin antibody [EPR1792Y] - BSA and Azide free (AB239839)

Immunohistochemistry (Formalin/PFA-fixed paraffin-embedded sections) analysis of human cardiac muscle tissue sections labeling pan Cadherin with purified ab51034 at 1/500 dilution (0.26 µg/mL). Heat mediated antigen retrieval using Bond™ Epitope Retrieval Solution 2 (pH 9.0). Rabbit specific IHC polymer detection kit HRP/DAB (ab209101) was used as the secondary antibody. Negative control : PBS instead of the primary antibody. Hematoxylin was used as a counterstain.
This data was developed using the same antibody clone in a different buffer formulation containing PBS, BSA, glycerol, and sodium azide (ab51034).

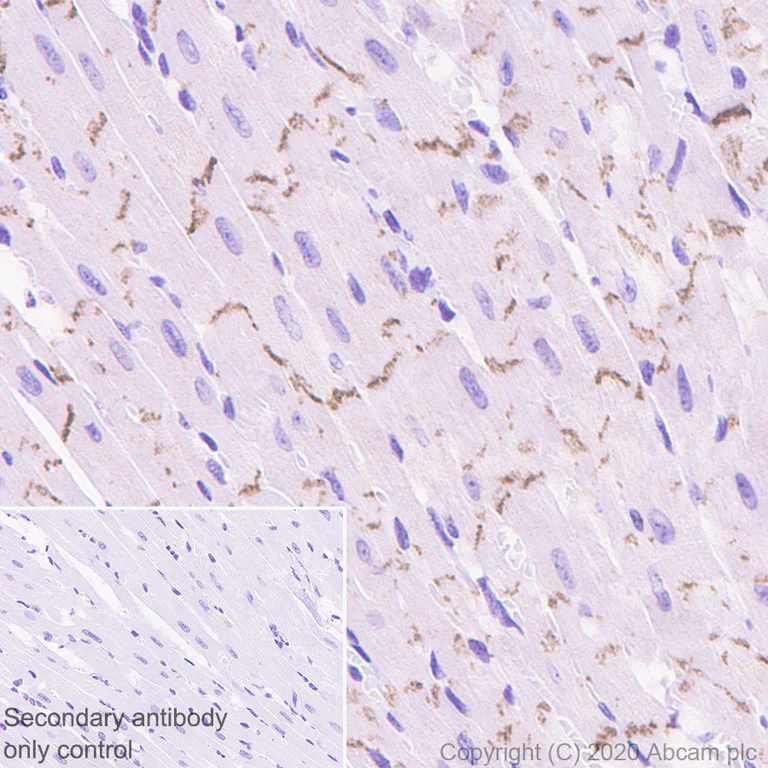
Immunohistochemistry (Formalin/PFA-fixed paraffin-embedded sections) - Anti-pan Cadherin antibody [EPR1792Y] - BSA and Azide free (AB239839)
  • IHC-P

Unknown

Immunohistochemistry (Formalin/PFA-fixed paraffin-embedded sections) - Anti-pan Cadherin antibody [EPR1792Y] - BSA and Azide free (AB239839)

Immunohistochemistry (Formalin/PFA-fixed paraffin-embedded sections) analysis of mouse cardiac muscle tissue sections labeling pan Cadherin with purified ab51034 at 1/500 dilution (0.26 µg/mL). Heat mediated antigen retrieval using Bond™ Epitope Retrieval Solution 2 (pH 9.0). Rabbit specific IHC polymer detection kit HRP/DAB (ab209101) was used as the secondary antibody. Negative control : PBS instead of the primary antibody. Hematoxylin was used as a counterstain.
This data was developed using the same antibody clone in a different buffer formulation containing PBS, BSA, glycerol, and sodium azide (ab51034).

Flow Cytometry (Intracellular) - Anti-pan Cadherin antibody [EPR1792Y] - BSA and Azide free (AB239839)
  • Flow Cyt (Intra)

Unknown

Flow Cytometry (Intracellular) - Anti-pan Cadherin antibody [EPR1792Y] - BSA and Azide free (AB239839)

Intracellular Flow Cytometry analysis of HeLa (Human cervix adenocarcinoma epithelial cell) cells labeling pan Cadherin with purified ab51034 at 1/20 dilution (10 μg/mL) (Red). Cells were fixed with 4% Paraformaldehyde and permeabilised with 90% Methanol. A Goat anti rabbit IgG (Alexa Fluor® 488, ab150077) secondary antibody was used at 1/2000. Isotype control - Rabbit monoclonal IgG (Black). Unlabeled control - Cell without incubation with primary antibody and secondary antibody (Blue).

This data was developed using the same antibody clone in a different buffer formulation containing PBS, BSA, glycerol, and sodium azide (ab51034).

Immunoprecipitation - Anti-pan Cadherin antibody [EPR1792Y] - BSA and Azide free (AB239839)
  • IP

Unknown

Immunoprecipitation - Anti-pan Cadherin antibody [EPR1792Y] - BSA and Azide free (AB239839)

Purified ab51034 at 1/20 dilution (0.6 µg) immunoprecipitating pan Cadherin in Rat heart lysate.
Lane 1 (input) : Rat heart lysate 10 µg
Lane 2 (+) : ab51034 + Rat heart lysate.
Lane 3 (-) : Rabbit monoclonal IgG (ab172730) instead of ab51034 in Rat heart lysate.
VeriBlot for IP Detection Reagent (HRP) (ab131366) (1/1000 dilution) was used for Western blotting.
Blocking Buffer and concentration : 5% NFDM/TBST.
Diluting buffer and concentration : 5% NFDM/TBST.
Observed band size : 140 kDa
This data was developed using the same antibody clone in a different buffer formulation containing PBS, BSA, glycerol, and sodium azide (ab51034).

All lanes:

Immunoprecipitation - Anti-pan Cadherin antibody [EPR1792Y] - Intercellular Junction Marker (<a href='/products/primary-antibodies/pan-cadherin-antibody-epr1792y-intercellular-junction-marker-ab51034'>ab51034</a>)

false

OI-RD Scanning - Anti-pan Cadherin antibody [EPR1792Y] - BSA and Azide free (AB239839)
  • OI-RD Scanning

Unknown

OI-RD Scanning - Anti-pan Cadherin antibody [EPR1792Y] - BSA and Azide free (AB239839)

We have systematically measured KD (the equilibrium dissociation constant between the antibody and its antigen), of more than 840 recombinant antibodies to assess not only their individual KD values but also to see the average affinity of antibody. Based on the comparison with published literature values for mouse monoclonal antibodies, Recombinant antibodies appear to be on average 1-2 order of magnitude higher affinity.

不同偶联物与剂型 (11)

  • Unconjugated

    Anti-pan Cadherin antibody [EPR1792Y] - Intercellular Junction Marker

  • 775 Alexa Fluor® 750

    Alexa Fluor® 750 Anti-pan Cadherin antibody [EPR1792Y] - Intercellular Junction Marker

  • 665 Alexa Fluor® 647

    Alexa Fluor® 647 Anti-pan Cadherin antibody [EPR1792Y] - Intercellular Junction Marker

  • 519 Alexa Fluor® 488

    Alexa Fluor® 488 Anti-pan Cadherin antibody [EPR1792Y] - Intercellular Junction Marker

  • 578 PE

    PE Anti-pan Cadherin - Intercellular Junction Marker antibody [EPR1792Y]

  • 660 APC

    APC Anti-pan Cadherin - Intercellular Junction Marker antibody [EPR1792Y]

  • HRP

    HRP Anti-pan Cadherin - Intercellular Junction Marker antibody [EPR1792Y]

  • 603 Alexa Fluor® 568

    Alexa Fluor® 568 Anti-pan Cadherin antibody [EPR1792Y] - Intercellular Junction Marker

  • 565 Alexa Fluor® 555

    Alexa Fluor® 555 Anti-pan Cadherin antibody [EPR1792Y] - Intercellular Junction Marker

  • Alkaline Phosphatase

    Alkaline Phosphatase Anti-pan Cadherin antibody [EPR1792Y]

  • 617 Alexa Fluor® 594

    Alexa Fluor® 594 Anti-pan Cadherin antibody [EPR1792Y] - Intercellular Junction Marker

关键信息

宿主种属

Rabbit

克隆

Monoclonal

克隆号

EPR1792Y

亚型

IgG

不含载体蛋白

Yes

反应种属

Mouse, Rat, Human

应用

Flow Cyt (Intra), ICC/IF, IP, WB, IHC-P

applications

免疫原

The exact immunogen used to generate this antibody is proprietary information.

特异性

The immunogen used for this product shares 100% homology with N-cadherin, 100% homology with R-cadherin, 93% homology to K-cadherin, 93% homology to P-cadherin, 93% homology to E-cadherin, and 73% homology to VE-cadherin. Cross-reactivities with these proteins have not been confirmed experimentally.

反应性数据

{ "title": "Reactivity Data", "filters": { "stats": ["", "Species", "Dilution Info", "Notes"], "tabs": { "all-applications": {"fullname" : "All Applications", "shortname": "All Applications"}, "IHCP" : {"fullname" : "Immunohistochemistry (Formalin/PFA-fixed paraffin-embedded sections)", "shortname":"IHC-P"}, "IP" : {"fullname" : "Immunoprecipitation", "shortname":"IP"}, "WB" : {"fullname" : "Western blot", "shortname":"WB"}, "ICCIF" : {"fullname" : "Immunocytochemistry/ Immunofluorescence", "shortname":"ICC/IF"}, "FlowCytIntra" : {"fullname" : "Flow Cytometry (Intracellular)", "shortname":"Flow Cyt (Intra)"} }, "product-promise": { "all": "all", "testedAndGuaranteed": "tested", "guaranteed": "expected", "predicted": "predicted", "notRecommended": "not-recommended" } }, "values": { "Human": { "IHCP-species-checked": "guaranteed", "IHCP-species-dilution-info": "", "IHCP-species-notes": "", "IP-species-checked": "guaranteed", "IP-species-dilution-info": "", "IP-species-notes": "", "WB-species-checked": "guaranteed", "WB-species-dilution-info": "", "WB-species-notes": "", "ICCIF-species-checked": "guaranteed", "ICCIF-species-dilution-info": "", "ICCIF-species-notes": "<p></p>", "FlowCytIntra-species-checked": "testedAndGuaranteed", "FlowCytIntra-species-dilution-info": "", "FlowCytIntra-species-notes": "<p><a href='/products/primary-antibodies/rabbit-igg-monoclonal-epr25a-isotype-control-low-endotoxin-azide-free-ab199376'>ab199376</a> - Rabbit monoclonal IgG, is suitable for use as an isotype control with this antibody.</p>" }, "Mouse": { "IHCP-species-checked": "testedAndGuaranteed", "IHCP-species-dilution-info": "", "IHCP-species-notes": "<p></p>", "IP-species-checked": "guaranteed", "IP-species-dilution-info": "", "IP-species-notes": "", "WB-species-checked": "testedAndGuaranteed", "WB-species-dilution-info": "", "WB-species-notes": "<p></p>", "ICCIF-species-checked": "guaranteed", "ICCIF-species-dilution-info": "", "ICCIF-species-notes": "<p></p>", "FlowCytIntra-species-checked": "guaranteed", "FlowCytIntra-species-dilution-info": "", "FlowCytIntra-species-notes": "" }, "Rat": { "IHCP-species-checked": "guaranteed", "IHCP-species-dilution-info": "", "IHCP-species-notes": "", "IP-species-checked": "testedAndGuaranteed", "IP-species-dilution-info": "", "IP-species-notes": "<p></p>", "WB-species-checked": "guaranteed", "WB-species-dilution-info": "", "WB-species-notes": "", "ICCIF-species-checked": "guaranteed", "ICCIF-species-dilution-info": "", "ICCIF-species-notes": "<p></p>", "FlowCytIntra-species-checked": "guaranteed", "FlowCytIntra-species-dilution-info": "", "FlowCytIntra-species-notes": "" } } }

您可能对以下产品感兴趣:

AB254512

Human N-Cadherin ELISA Kit

0

0 Reviews

查看产品
为什么推荐这个?

我们推荐这个产品,因为它经常被用于相同的实验或相关的研究。

我们建议您务必查阅产品说明书,以确认其是否符合您的实验需求;若有疑问,也可联系我们的技术团队获取协助。

产品详情

性能和储存信息

形式
Liquid
纯化工艺
Affinity purification Protein A
存储溶液
pH: 7.2 - 7.4 Constituents: PBS
运输条件
Blue Ice
推荐的短期储存条件
+4°C
推荐的长期储存条件
+4°C
储存信息
Do Not Freeze

补充信息

This supplementary information is collated from multiple sources and compiled automatically.

Pan Cadherin also known as cadherin pan antibodies or anti pan cadherin is a protein family that mediates cell-cell adhesion in tissues. This protein group includes several members like E-cadherin and N-cadherin which are integral in maintaining the structural integrity of tissues. Pan Cadherin proteins weigh around 120 kDa and are widely expressed in various cell types including epithelial and neural tissues. They possess repetitive amino acid sequences and are calcium-dependent playing an important role in the mechanical linking of cells.
Biological function summary

Pan Cadherin proteins mediate adhesion through forming homophilic interactions. These proteins are components of adherens junctions which are important structures in cellular adhesion. Within these complexes cadherins interact with catenins to link the cytoskeleton to cell membrane proteins maintaining cell polarity and tissue architecture. The function of cadherins extends to signaling roles that influence cell behavior and differentiation emphasizing their role in cellular communication.

Pathways

Pan Cadherin proteins participate in significant signaling mechanisms such as the Wnt signaling and epithelial-mesenchymal transition (EMT) pathways. In the Wnt signaling pathway cadherins influence cell fate decisions while in EMT they drive the remodeling of cellular structures important for tissue development. N-Cadherin is closely associated with Pan Cadherin in these pathways collaborating to mediate cellular transformations and migrations essential for embryogenesis and wound healing processes.

Pan Cadherin dysfunction correlates with cancer progression and metastasis. Aberrant cadherin expression contributes to the loss of cell adhesion promoting tumor invasion and metastasis. In particular disruptions in E-Cadherin frequently found in epithelial cancers highlight the critical role of Pan Cadherin in maintaining tissue homeostasis. Additionally N-Cadherin upregulation in various cancers illustrates its involvement in tumor aggressiveness further linking Pan Cadherin to pathogenesis.

产品实验方案

For this product, it's our understanding that no specific protocols are required. You can visit:

靶点信息

Calcium-dependent cell adhesion protein; preferentially mediates homotypic cell-cell adhesion by dimerization with a CDH2 chain from another cell. Cadherins may thus contribute to the sorting of heterogeneous cell types. Acts as a regulator of neural stem cells quiescence by mediating anchorage of neural stem cells to ependymocytes in the adult subependymal zone : upon cleavage by MMP24, CDH2-mediated anchorage is affected, leading to modulate neural stem cell quiescence. Plays a role in cell-to-cell junction formation between pancreatic beta cells and neural crest stem (NCS) cells, promoting the formation of processes by NCS cells (By similarity). Required for proper neurite branching. Required for pre- and postsynaptic organization (By similarity). CDH2 may be involved in neuronal recognition mechanism. In hippocampal neurons, may regulate dendritic spine density.
See full target information CDH2

Abcam Product Promise

我们致力于为您的研究提供高质量的试剂,为您科研的每一步提供支持。若我们的产品未能达到预期性能,我们向您提供 Abcam Product Promise 保障。
详情请参阅我们的条款与条件。

关联产品

Select an associated product type
Alternative Product
Primary Antibodies

AB22744

Anti-pan Cadherin antibody [mAbcam22744]

primary-antibodies

pan-cadherin-antibody-mabcam22744-ab22744

4

(13 reviews)

Alternative Product
Primary Antibodies

AB16505

Anti-pan Cadherin antibody

primary-antibodies

pan-cadherin-antibody-ab16505

4

(9 reviews)

Alternative Product
Primary Antibodies

AB230459

Anti-pan Cadherin antibody

primary-antibodies

pan-cadherin-antibody-ab230459

0

(0 reviews)

Alternative Version
Primary Antibodies

AB195203

Alexa Fluor® 647 Anti-pan Cadherin antibody [EPR1792Y] - Intercellular Junction Marker

primary-antibodies

alexa-fluor-647-pan-cadherin-antibody-epr1792y-intercellular-junction-marker-ab195203

5

(2 reviews)

Alternative Version
Primary Antibodies

AB195202

Alexa Fluor® 488 Anti-pan Cadherin antibody [EPR1792Y] - Intercellular Junction Marker

primary-antibodies

alexa-fluor-488-pan-cadherin-antibody-epr1792y-intercellular-junction-marker-ab195202

0

(0 reviews)

Alternative Version
Primary Antibodies

AB303080

PE Anti-pan Cadherin - Intercellular Junction Marker antibody [EPR1792Y]

primary-antibodies

pe-pan-cadherin-intercellular-junction-marker-antibody-epr1792y-ab303080

0

(0 reviews)

Alternative Version
Primary Antibodies

AB303081

APC Anti-pan Cadherin - Intercellular Junction Marker antibody [EPR1792Y]

primary-antibodies

apc-pan-cadherin-intercellular-junction-marker-antibody-epr1792y-ab303081

0

(0 reviews)

Alternative Version
Primary Antibodies

AB303082

HRP Anti-pan Cadherin - Intercellular Junction Marker antibody [EPR1792Y]

primary-antibodies

hrp-pan-cadherin-intercellular-junction-marker-antibody-epr1792y-ab303082

0

(0 reviews)

Alternative Version
Primary Antibodies

AB312753

Alexa Fluor® 568 Anti-pan Cadherin antibody [EPR1792Y] - Intercellular Junction Marker

primary-antibodies

alexa-fluor-568-pan-cadherin-antibody-epr1792y-intercellular-junction-marker-ab312753

0

(0 reviews)

Alternative Version
Primary Antibodies

AB312264

Alexa Fluor® 555 Anti-pan Cadherin antibody [EPR1792Y] - Intercellular Junction Marker

primary-antibodies

alexa-fluor-555-pan-cadherin-antibody-epr1792y-intercellular-junction-marker-ab312264

0

(0 reviews)

Alternative Version
Primary Antibodies

AB310734

Alexa Fluor® 594 Anti-pan Cadherin antibody [EPR1792Y] - Intercellular Junction Marker

primary-antibodies

alexa-fluor-594-pan-cadherin-antibody-epr1792y-intercellular-junction-marker-ab310734

0

(0 reviews)

Please note: All products are 'FOR RESEARCH USE ONLY. NOT FOR USE IN DIAGNOSTIC OR THERAPEUTIC PROCEDURES'.

For licensing inquiries, please contact partnerships@abcam.com