JavaScript is disabled in your browser. Please enable JavaScript to view this website.
AB31280

Anti-PAI1抗体

Anti-PAI1 antibody

5

(4 Reviews)

|

(9 Publications)

Goat Polyclonal PAI1 antibody. Suitable for WB, IHC-P and reacts with Human samples. Cited in 9 publications. Immunogen corresponding to Synthetic Peptide within Human SERPINE1 aa 50-100.

查看别名

PAI1, PLANH1, SERPINE1, Plasminogen activator inhibitor 1, PAI, PAI-1, Endothelial plasminogen activator inhibitor, Serpin E1

4 Images
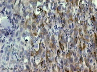
Immunohistochemistry (Formalin/PFA-fixed paraffin-embedded sections) - Anti-PAI1 antibody (AB31280)
  • IHC-P

AbReview15102****

Immunohistochemistry (Formalin/PFA-fixed paraffin-embedded sections) - Anti-PAI1 antibody (AB31280)

ab31280, at 1/1000, staining plasminogen activator inhibitor 1 (PAI1) in human MDA-MB-231 cells grown in mice by Immunohistochemistry (Formalin/PFA-fixed paraffin-embedded sections). Sections were paraformaldehyde fixed and blocked in 10% casein for 30 minutes at 22°C and then incubated with ab31280, for 17 hours at 4°C. Horse polyclonal to goat IgG, diluted 1/200, was used as the secondary antibody.

This image is courtesy of an anonymous Abreview

Immunohistochemistry (Formalin/PFA-fixed paraffin-embedded sections) - Anti-PAI1 antibody (AB31280)
  • IHC-P

Supplier Data

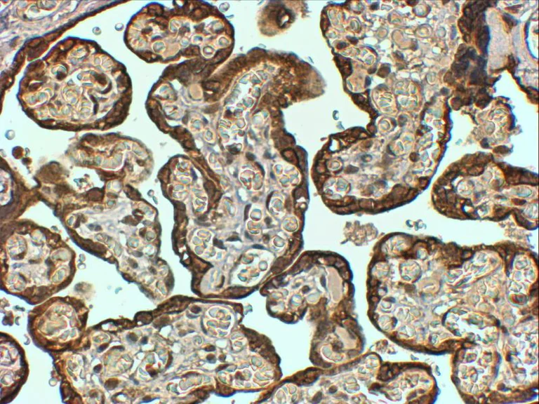
Immunohistochemistry (Formalin/PFA-fixed paraffin-embedded sections) - Anti-PAI1 antibody (AB31280)

ab31280 (4µg/ml) staining of paraffin embedded Human Placenta shows strong staining of cytotrophoblasts. Steamed antigen retrieval with citrate buffer pH 6, HRP-staining.

Western blot - Anti-PAI1 antibody (AB31280)
  • WB

Supplier Data

Western blot - Anti-PAI1 antibody (AB31280)

All lanes:

Western blot - Anti-PAI1 antibody (ab31280) at 0.3 µg/mL

All lanes:

Human liver lysate (35µg protein in RIPA buffer)

Predicted band size: 45 kDa

true

Western blot - Anti-PAI1 antibody (AB31280)
  • WB

Supplier Data

Western blot - Anti-PAI1 antibody (AB31280)

All lanes:

Western blot - Anti-PAI1 antibody (ab31280) at 0.1 µg/mL

Lane 1:

A549 cell lysate (35µg protein in RIPA buffer)

Lane 2:

HepG2 cell lysate (35µg protein in RIPA buffer)

Lane 3:

HeLa cell lysate (35µg protein in RIPA buffer)

Predicted band size: 45 kDa

true

关键信息

宿主种属

Goat

克隆

Polyclonal

亚型

IgG

不含载体蛋白

No

反应种属

Human

应用

WB, IHC-P

applications

免疫原

Synthetic Peptide within Human SERPINE1 aa 50-100. The exact immunogen used to generate this antibody is proprietary information.

P05121

特异性

This antibody is expected to recognise both reported isoforms.

反应性数据

{ "title": "Reactivity Data", "filters": { "stats": ["", "Species", "Dilution Info", "Notes"], "tabs": { "all-applications": {"fullname" : "All Applications", "shortname": "All Applications"}, "WB" : {"fullname" : "Western blot", "shortname":"WB"}, "IHCP" : {"fullname" : "Immunohistochemistry (Formalin/PFA-fixed paraffin-embedded sections)", "shortname":"IHC-P"} }, "product-promise": { "all": "all", "testedAndGuaranteed": "tested", "guaranteed": "expected", "predicted": "predicted", "notRecommended": "not-recommended" } }, "values": { "Human": { "WB-species-checked": "testedAndGuaranteed", "WB-species-dilution-info": "0.1-0.3 µg/mL", "WB-species-notes": "<p>1 hour primary incubation is recommended for this product.</p>", "IHCP-species-checked": "testedAndGuaranteed", "IHCP-species-dilution-info": "4-6 µg/mL", "IHCP-species-notes": "<p></p>" }, "Chimpanzee": { "WB-species-checked": "predicted", "WB-species-dilution-info": "", "WB-species-notes": "", "IHCP-species-checked": "predicted", "IHCP-species-dilution-info": "", "IHCP-species-notes": "" }, "Dog": { "WB-species-checked": "predicted", "WB-species-dilution-info": "", "WB-species-notes": "", "IHCP-species-checked": "predicted", "IHCP-species-dilution-info": "", "IHCP-species-notes": "" } } }

性能和储存信息

形式
Liquid
纯化工艺
Affinity purification Immunogen
纯化说明
Purified from goat serum by ammonium sulphate precipitation followed by antigen affinity chromatography using the immunizing peptide.
存储溶液
pH: 7.3 Preservative: 0.02% Sodium azide Constituents: 99% Tris buffered saline, 0.5% BSA
运输条件
Blue Ice
推荐的短期储存条件
+4°C
推荐的长期储存条件
-20°C
分装信息
Upon delivery aliquot
储存信息
Avoid freeze / thaw cycle

产品实验方案

For this product, it's our understanding that no specific protocols are required. You can visit:

靶点信息

Serine protease inhibitor. Inhibits TMPRSS7 (PubMed : 15853774). Is a primary inhibitor of tissue-type plasminogen activator (PLAT) and urokinase-type plasminogen activator (PLAU). As PLAT inhibitor, it is required for fibrinolysis down-regulation and is responsible for the controlled degradation of blood clots (PubMed : 17912461, PubMed : 8481516, PubMed : 9207454, PubMed : 21925150). As PLAU inhibitor, it is involved in the regulation of cell adhesion and spreading (PubMed : 9175705). Acts as a regulator of cell migration, independently of its role as protease inhibitor (PubMed : 15001579, PubMed : 9168821). It is required for stimulation of keratinocyte migration during cutaneous injury repair (PubMed : 18386027). It is involved in cellular and replicative senescence (PubMed : 16862142). Plays a role in alveolar type 2 cells senescence in the lung (By similarity). Is involved in the regulation of cementogenic differentiation of periodontal ligament stem cells, and regulates odontoblast differentiation and dentin formation during odontogenesis (PubMed : 25808697, PubMed : 27046084).
See full target information SERPINE1

文献 (9)

Recent publications for all applications. Explore the full list and refine your search

Cancer genomics & proteomics 22:13-23 PubMed39730177

2024

G Protein-coupled Estrogen Receptor 1 (GPER1) Regulates Expression of /PAI-1 and Inhibits Tumorigenic Potential of Cervical Squamous Cell Carcinoma Cells .

Applications

Unspecified application

Species

Unspecified reactive species

Linea Rörig,Sophia Ruckriegl,Julia Gallwas,Carsten Gründker

iScience 25:104022 PubMed35330685

2022

Caveolin-1 peptide regulates p53-microRNA-34a feedback in fibrotic lung fibroblasts.

Applications

Unspecified application

Species

Unspecified reactive species

Taryn B Hogan,Nivedita Tiwari,M R Nagaraja,Shwetha K Shetty,Liang Fan,Rashmi S Shetty,Yashodhar P Bhandary,Sreerama Shetty

Life sciences 239:117092 PubMed31760103

2019

Circulating miR-30c as a predictive biomarker of type 2 diabetes mellitus with coronary heart disease by regulating PAI-1/VN interactions.

Applications

Unspecified application

Species

Unspecified reactive species

Mao Luo,Gang Wang,Chunrong Xu,Min Zeng,Fang Lin,Jianbo Wu,Qin Wan

Biology open 8: PubMed31649116

2019

MiR145-5p inhibits proliferation of PMVECs via PAI-1 in experimental hepatopulmonary syndrome rat pulmonary microvascular hyperplasia.

Applications

Unspecified application

Species

Unspecified reactive species

Yang Chen,Congwen Yang,Yujie Li,Lin Chen,Yong Yang,Karine Belguise,Xiaobo Wang,Kaizhi Lu,Bin Yi

International journal of molecular sciences 19: PubMed29510576

2018

SK-216, a Novel Inhibitor of Plasminogen Activator Inhibitor-1, Suppresses Lung Metastasis of Human Osteosarcoma.

Applications

Unspecified application

Species

Unspecified reactive species

Minori Tsuge,Mitsuhiko Osaki,Ryo Sasaki,Mio Hirahata,Futoshi Okada

Cancer medicine 5:892-902 PubMed26817521

2016

PAI-1, a target gene of miR-143, regulates invasion and metastasis by upregulating MMP-13 expression of human osteosarcoma.

Applications

WB

Species

Unspecified reactive species

Mio Hirahata,Mitsuhiko Osaki,Yusuke Kanda,Yui Sugimoto,Yusuke Yoshioka,Nobuyoshi Kosaka,Fumitaka Takeshita,Tomohiro Fujiwara,Akira Kawai,Hisao Ito,Takahiro Ochiya,Futoshi Okada

Oncotarget 6:8103-14 PubMed25797271

2015

Secreted uPAR isoform 2 (uPAR7b) is a novel direct target of miR-221.

Applications

WB

Species

Unspecified reactive species

Natalie Falkenberg,Nataša Anastasov,Annalisa Schaub,Vanja Radulovic,Manfred Schmitt,Viktor Magdolen,Michaela Aubele

Journal of Crohn's & colitis 7:403-11 PubMed22921465

2012

Plasminogen activator inhibitor-1 is increased in colonic epithelial cells from patients with colitis-associated cancer.

Applications

Unspecified application

Species

Unspecified reactive species

Earl Gillespie,Susan E Leeman,Luisa A Watts,Jennifer A Coukos,Michael J O'Brien,Sandra R Cerda,Francis A Farraye,Arthur F Stucchi

Infection and immunity 76:3992-9 PubMed18519558

2008

Helicobacter pylori infection stimulates plasminogen activator inhibitor 1 production by gastric epithelial cells.

Applications

WB

Species

Human

A C Keates,S Tummala,R M Peek,E Csizmadia,B Kunzli,K Becker,P Correa,J Romero-Gallo,M B Piazuelo,S Sheth,C P Kelly,S C Robson,S Keates
View all publications

Abcam Product Promise

我们致力于为您的研究提供高质量的试剂,为您科研的每一步提供支持。若我们的产品未能达到预期性能,我们向您提供 Abcam Product Promise 保障。
详情请参阅我们的条款与条件。

Please note: All products are 'FOR RESEARCH USE ONLY. NOT FOR USE IN DIAGNOSTIC OR THERAPEUTIC PROCEDURES'.

For licensing inquiries, please contact partnerships@abcam.com