JavaScript is disabled in your browser. Please enable JavaScript to view this website.
AB137519

Anti-PAF1/PD2 抗体

Anti-PAF1/PD2 antibody

4

(1 Review)

|

(5 Publications)

Rabbit Polyclonal PAF1/PD2 antibody. Suitable for WB, IHC-P and reacts with Human samples. Cited in 5 publications. Immunogen corresponding to Recombinant Fragment Protein within Human PAF1 aa 200-500.

查看别名

PD2, PAF1, RNA polymerase II-associated factor 1 homolog, hPAF1, Pancreatic differentiation protein 2

3 Images
Western blot - Anti-PAF1/PD2 antibody (AB137519)
  • WB

Unknown

Western blot - Anti-PAF1/PD2 antibody (AB137519)

7.5 % SDS PAGE

All lanes:

Western blot - Anti-PAF1/PD2 antibody (ab137519) at 1/5000 dilution

Lane 1:

A431 whole cell lysate at 30 µg

Lane 2:

H1299 whole cell lysate at 30 µg

Predicted band size: 60 kDa

false

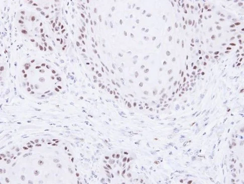
Immunohistochemistry (Formalin/PFA-fixed paraffin-embedded sections) - Anti-PAF1/PD2 antibody (AB137519)
  • IHC-P

Unknown

Immunohistochemistry (Formalin/PFA-fixed paraffin-embedded sections) - Anti-PAF1/PD2 antibody (AB137519)

Immunohistochemical analysis of paraffin embedded Cal27 xenograft tissue labelling PAF1/PD2 using ab137519 at 1/500.

Western blot - Anti-PAF1/PD2 antibody (AB137519)
  • WB

Lab

Western blot - Anti-PAF1/PD2 antibody (AB137519)

Lanes 1 - 4 : Merged signal (red and green). Green - ab137519 observed at 80 kDa. Red - loading control ab8245 (Mouse anti-GAPDH antibody [6C5]) observed at 37 kDa.

ab137519 was shown to react with PAF1/PD2 in wild-type HEK-293T cells in Western blot with loss of signal observed at the expected molecular weight in PAF1 CRISPR-Cas9 edited cell line. The band observed at the higher molecular weight in the CRISPR-Cas9 edited sample is likely to represent PAF1 with an insertion. This has not been investigated further and the functional properties of the gene product have not been determined. Wild-type HEK-293T and PAF1 knockout cell lysates were subjected to SDS-PAGE. Membranes were blocked in 3 % milk in TBS-T (0.1 % Tween®) before incubation with ab137519 and ab8245 (Mouse anti-GAPDH antibody [6C5]) overnight at 4 °C at a 1 in 1000 dilution and a 1 in 20000 dilution respectively. Blots were incubated with Goat anti-Rabbit IgG H&L (IRDye® 800CW) preabsorbed (ab216773) and Goat anti-Mouse IgG H&L (IRDye® 680RD) preabsorbed (ab216776) secondary antibodies at 1 in 20000 dilution for 1 h at room temperature before imaging.

All lanes:

Western blot - Anti-PAF1/PD2 antibody (ab137519) at 1/1000 dilution

Lane 1:

Wild-type HEK-293T cell lysate at 20 µg

Lane 2:

PAF1 CRISPR-Cas9 Edited HEK-293T cell lysate at 20 µg

Lane 3:

A549 cell lysate at 20 µg

Lane 4:

Daudi cell lysate at 20 µg

Predicted band size: 60 kDa

Observed band size: 80 kDa

false

关键信息

宿主种属

Rabbit

克隆

Polyclonal

亚型

IgG

不含载体蛋白

No

反应种属

Human

应用

WB, IHC-P

applications

免疫原

Recombinant Fragment Protein within Human PAF1 aa 200-500. The exact immunogen used to generate this antibody is proprietary information.

Q8N7H5

反应性数据

{ "title": "Reactivity Data", "filters": { "stats": ["", "Species", "Dilution Info", "Notes"], "tabs": { "all-applications": {"fullname" : "All Applications", "shortname": "All Applications"}, "WB" : {"fullname" : "Western blot", "shortname":"WB"}, "IHCP" : {"fullname" : "Immunohistochemistry (Formalin/PFA-fixed paraffin-embedded sections)", "shortname":"IHC-P"} }, "product-promise": { "all": "all", "testedAndGuaranteed": "tested", "guaranteed": "expected", "predicted": "predicted", "notRecommended": "not-recommended" } }, "values": { "Human": { "WB-species-checked": "testedAndGuaranteed", "WB-species-dilution-info": "1/1000.00000 - 1/10000.00000", "WB-species-notes": "<p></p>", "IHCP-species-checked": "testedAndGuaranteed", "IHCP-species-dilution-info": "1/100.00000 - 1/1000.00000", "IHCP-species-notes": "<p>Perform heat mediated antigen retrieval before commencing with IHC staining protocol using10mM Citrate buffer (pH6.0) or Tris-EDTA buffer (pH8.0).</p>" }, "Mouse": { "WB-species-checked": "predicted", "WB-species-dilution-info": "", "WB-species-notes": "", "IHCP-species-checked": "predicted", "IHCP-species-dilution-info": "", "IHCP-species-notes": "" }, "Rat": { "WB-species-checked": "predicted", "WB-species-dilution-info": "", "WB-species-notes": "", "IHCP-species-checked": "predicted", "IHCP-species-dilution-info": "", "IHCP-species-notes": "" }, "Cow": { "WB-species-checked": "predicted", "WB-species-dilution-info": "", "WB-species-notes": "", "IHCP-species-checked": "predicted", "IHCP-species-dilution-info": "", "IHCP-species-notes": "" } } }

性能和储存信息

形式
Liquid
纯化工艺
Affinity purification Immunogen
存储溶液
pH: 7 Preservative: 0.01% Thimerosal (merthiolate) Constituents: 10% Glycerol (glycerin, glycerine), 1.21% Tris, 0.75% Glycine
运输条件
Blue Ice
推荐的短期储存条件
+4°C
推荐的长期储存条件
-20°C
分装信息
Upon delivery aliquot
储存信息
Avoid freeze / thaw cycle

产品实验方案

For this product, it's our understanding that no specific protocols are required. You can visit:

靶点信息

Component of the PAF1 complex (PAF1C) which has multiple functions during transcription by RNA polymerase II and is implicated in regulation of development and maintenance of embryonic stem cell pluripotency. PAF1C associates with RNA polymerase II through interaction with POLR2A CTD non-phosphorylated and 'Ser-2'- and 'Ser-5'-phosphorylated forms and is involved in transcriptional elongation, acting both independently and synergistically with TCEA1 and in cooperation with the DSIF complex and HTATSF1. PAF1C is required for transcription of Hox and Wnt target genes. PAF1C is involved in hematopoiesis and stimulates transcriptional activity of KMT2A/MLL1; it promotes leukemogenesis through association with KMT2A/MLL1-rearranged oncoproteins, such as KMT2A/MLL1-MLLT3/AF9 and KMT2A/MLL1-MLLT1/ENL. PAF1C is involved in histone modifications such as ubiquitination of histone H2B and methylation on histone H3 'Lys-4' (H3K4me3). PAF1C recruits the RNF20/40 E3 ubiquitin-protein ligase complex and the E2 enzyme UBE2A or UBE2B to chromatin which mediate monoubiquitination of 'Lys-120' of histone H2B (H2BK120ub1); UB2A/B-mediated H2B ubiquitination is proposed to be coupled to transcription. PAF1C is involved in mRNA 3' end formation probably through association with cleavage and poly(A) factors. In case of infection by influenza A strain H3N2, PAF1C associates with viral NS1 protein, thereby regulating gene transcription. Connects PAF1C with the RNF20/40 E3 ubiquitin-protein ligase complex. Involved in polyadenylation of mRNA precursors. Has oncogenic activity in vivo and in vitro.
See full target information PAF1

文献 (5)

Recent publications for all applications. Explore the full list and refine your search

Nature communications 12:6318 PubMed34732721

2021

Transcription recycling assays identify PAF1 as a driver for RNA Pol II recycling.

Applications

Unspecified application

Species

Unspecified reactive species

Zhong Chen,William Hankey,Yue Zhao,Jeff Groth,Furong Huang,Hongyan Wang,Alexandre Rosa Campos,Jiaoti Huang,Robert G Roeder,Qianben Wang

Radiation oncology (London, England) 15:131 PubMed32471508

2020

Novel role of PAF1 in attenuating radiosensitivity in cervical cancer by inhibiting IER5 transcription.

Applications

Unspecified application

Species

Unspecified reactive species

Jing-Jie Zheng,Yue He,Yang Liu,Feng-Shuang Li,Zhen Cui,Xiao-Meng Du,Chun-Peng Wang,Yu-Mei Wu

Nature communications 9:4475 PubMed30367041

2018

A peptide encoded by circular form of LINC-PINT suppresses oncogenic transcriptional elongation in glioblastoma.

Applications

Unspecified application

Species

Unspecified reactive species

Maolei Zhang,Kun Zhao,Xiaoping Xu,Yibing Yang,Sheng Yan,Ping Wei,Hui Liu,Jianbo Xu,Feizhe Xiao,Huangkai Zhou,Xuesong Yang,Nunu Huang,Jinglei Liu,Kejun He,Keping Xie,Gong Zhang,Suyun Huang,Nu Zhang

Cell discovery 1:15034 PubMed27462432

2015

A genome-wide IR-induced RAD51 foci RNAi screen identifies CDC73 involved in chromatin remodeling for DNA repair.

Applications

Unspecified application

Species

Human

Patrick Herr,Cecilia Lundin,Bastiaan Evers,Daniel Ebner,Christina Bauerschmidt,Guy Kingham,Timea Palmai-Pallag,Oliver Mortusewicz,Oliver Frings,Erik Sonnhammer,Thomas Helleday

Cell 162:1003-15 PubMed26279188

2015

PAF1, a Molecular Regulator of Promoter-Proximal Pausing by RNA Polymerase II.

Applications

Unspecified application

Species

Unspecified reactive species

Fei Xavier Chen,Ashley R Woodfin,Alessandro Gardini,Ryan A Rickels,Stacy A Marshall,Edwin R Smith,Ramin Shiekhattar,Ali Shilatifard
View all publications

Abcam Product Promise

我们致力于为您的研究提供高质量的试剂,为您科研的每一步提供支持。若我们的产品未能达到预期性能,我们向您提供 Abcam Product Promise 保障。
详情请参阅我们的条款与条件。

Please note: All products are 'FOR RESEARCH USE ONLY. NOT FOR USE IN DIAGNOSTIC OR THERAPEUTIC PROCEDURES'.

For licensing inquiries, please contact partnerships@abcam.com