JavaScript is disabled in your browser. Please enable JavaScript to view this website.
AB270524

重组Anti-PAEP/Glycodelin抗体[EPR23251-87] - BSA and Azide free

Anti-PAEP/Glycodelin antibody [EPR23251-87] - BSA and Azide free

Be the first to review this product! Submit a review

|

(0 Publication)

Rabbit Recombinant Monoclonal PAEP/Glycodelin antibody. Carrier free. Suitable for WB, Flow Cyt (Intra), IHC-P and reacts with Human samples.

查看别名

Glycodelin, GD, Placental protein 14, Pregnancy-associated endometrial alpha-2 globulin, Progestagen-associated endometrial protein, Progesterone-associated endometrial protein, Zona-binding inhibitory factor-1, PP14, PAEG, PEG, ZIF-1, PAEP

3 Images
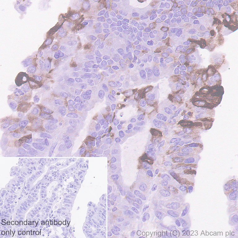
Immunohistochemistry (Formalin/PFA-fixed paraffin-embedded sections) - Anti-PAEP/Glycodelin antibody [EPR23251-87] - BSA and Azide free (AB270524)
  • IHC-P

Supplier Data

Immunohistochemistry (Formalin/PFA-fixed paraffin-embedded sections) - Anti-PAEP/Glycodelin antibody [EPR23251-87] - BSA and Azide free (AB270524)

Immunohistochemical analysis of paraffin-embedded human endometrium tissue labeling PAEP/Glycodelin with ab270454 at 1/500 followed by a ready to use Rabbit specific IHC polymer detection kit HRP/DAB (ab209101). Cytoplasmic staining in glandular epithelial cells of human endometrium is observed. The section was incubated with ab270454 for 30 mins at room temperature. The immunostaining was performed on a Leica Biosystems BOND® RX instrument. Counterstained with hematoxylin. Heat mediated antigen retrieval with Tris-EDTA buffer (pH 9.0, epitope retrieval solution2) for 20 mins.

Secondary antibody only control : Used PBS instead of primary antibody, secondary antibody is a ready to use Rabbit specific IHC polymer detection kit HRP/DAB (ab209101).

This data was developed using the same antibody clone in a different buffer formulation containing PBS, BSA, glycerol, and sodium azide (ab270454).

Flow Cytometry (Intracellular) - Anti-PAEP/Glycodelin antibody [EPR23251-87] - BSA and Azide free (AB270524)
  • Flow Cyt (Intra)

Supplier Data

Flow Cytometry (Intracellular) - Anti-PAEP/Glycodelin antibody [EPR23251-87] - BSA and Azide free (AB270524)

Intracellular flow cytometric analysis of 4% paraformaldehyde-fixed, 90% methanol-permeabilized K-562 (Human chronic myelogenous leukemia lymphoblast) cells treated with 2ng/ml TPA for 32h, then together with 300ng/ml BFA for another 16h (Red) / Untreated control (Green) labeling PAEP/Glycodelin with ab270454 at 1/500 dilution (0.1μg) compared with a Rabbit monoclonal IgG (ab172730) (Black) isotype control and an unlabeled control (cells without incubation with primary antibody and secondary antibody) (Blue). A Goat anti rabbit IgG (Alexa Fluor® 488, ab150077) at 1/2000 dilution was used as the secondary antibody. The expression level of PAEP/Glycodelin is induced in TPA treated K-562 cell (PMID : 8025274).

This data was developed using the same antibody clone in a different buffer formulation containing PBS, BSA, glycerol, and sodium azide (ab270454).

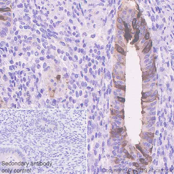
Immunohistochemistry (Formalin/PFA-fixed paraffin-embedded sections) - Anti-PAEP/Glycodelin antibody [EPR23251-87] - BSA and Azide free (AB270524)
  • IHC-P

Supplier Data

Immunohistochemistry (Formalin/PFA-fixed paraffin-embedded sections) - Anti-PAEP/Glycodelin antibody [EPR23251-87] - BSA and Azide free (AB270524)

Immunohistochemical analysis of paraffin-embedded human endometrial carcinoma tissue labelling PAEP/Glycodelin with ab270454 at 1 : 500 dilution (1.162 μg/ml), followed by a ready to use Rabbit specific IHC polymer detection kit HRP/DAB (ab209101). Positive staining on human endometrial carcinoma is observed. The section was incubated with ab270454 for 30 mins at room temperature. The immunostaining was performed on a Leica Biosystems BOND® RX instrument. Counter stained with Hematoxylin. Heat mediated antigen retrieval was performed with Tris-EDTA buffer (pH 9.0, Epitope Retrieval Solution2) for 20 mins. Secondary antibody only control : Used PBS instead of primary antibody, secondary antibody is a ready to use Rabbit specific IHC polymer detection kit HRP/DAB (ab209101). This data was developed using the same antibody clone in a different buffer formulation containing PBS, BSA, glycerol, and sodium azide (ab270454).

不同偶联物与剂型 (1)

关键信息

宿主种属

Rabbit

克隆

Monoclonal

克隆号

EPR23251-87

亚型

IgG

不含载体蛋白

Yes

反应种属

Human

应用

IHC-P, Flow Cyt (Intra), WB

applications

免疫原

The exact immunogen used to generate this antibody is proprietary information.

反应性数据

{ "title": "Reactivity Data", "filters": { "stats": ["", "Species", "Dilution Info", "Notes"], "tabs": { "all-applications": {"fullname" : "All Applications", "shortname": "All Applications"}, "WB" : {"fullname" : "Western blot", "shortname":"WB"}, "FlowCytIntra" : {"fullname" : "Flow Cytometry (Intracellular)", "shortname":"Flow Cyt (Intra)"}, "IHCP" : {"fullname" : "Immunohistochemistry (Formalin/PFA-fixed paraffin-embedded sections)", "shortname":"IHC-P"} }, "product-promise": { "all": "all", "testedAndGuaranteed": "tested", "guaranteed": "expected", "predicted": "predicted", "notRecommended": "not-recommended" } }, "values": { "Human": { "WB-species-checked": "guaranteed", "WB-species-dilution-info": "", "WB-species-notes": "<p></p>", "FlowCytIntra-species-checked": "testedAndGuaranteed", "FlowCytIntra-species-dilution-info": "", "FlowCytIntra-species-notes": "<p></p>", "IHCP-species-checked": "testedAndGuaranteed", "IHCP-species-dilution-info": "", "IHCP-species-notes": "<p></p>" }, "Mouse": { "WB-species-checked": "notRecommended", "WB-species-dilution-info": "", "WB-species-notes": "<p></p>", "FlowCytIntra-species-checked": "notRecommended", "FlowCytIntra-species-dilution-info": "", "FlowCytIntra-species-notes": "", "IHCP-species-checked": "notRecommended", "IHCP-species-dilution-info": "", "IHCP-species-notes": "<p></p>" }, "Rat": { "WB-species-checked": "notRecommended", "WB-species-dilution-info": "", "WB-species-notes": "<p></p>", "FlowCytIntra-species-checked": "notRecommended", "FlowCytIntra-species-dilution-info": "", "FlowCytIntra-species-notes": "", "IHCP-species-checked": "notRecommended", "IHCP-species-dilution-info": "", "IHCP-species-notes": "<p></p>" } } }

产品详情

ab270524 is the carrier-free version of ab270454.

Patented technology
Our RabMAb® technology is a patented hybridoma-based technology for making rabbit monoclonal antibodies. For details on our patents, please refer to RabMAb® patents.

What are the advantages of a recombinant monoclonal antibody?
This product is a recombinant monoclonal antibody, which offers several advantages including:

  • - High batch-to-batch consistency and reproducibility
  • - Improved sensitivity and specificity
  • - Long-term security of supply
  • - Animal-free batch production

For more information, read more on recombinant antibodies.

Conjugation ready
Our carrier-free antibodies are typically supplied in a PBS-only formulation, purified and free of BSA, sodium azide and glycerol. This conjugation-ready format is designed for use with fluorochromes, metal isotopes, oligonucleotides, and enzymes, which makes them ideal for antibody labelling, functional and cell-based assays, flow-based assays (e.g. mass cytometry) and Multiplex Imaging applications.

Use our conjugation kits for antibody conjugates that are ready-to-use in as little as 20 minutes with 1 minute hands-on-time and 100% antibody recovery: available for fluorescent dyes, HRP, biotin and gold.

Compatibility
This product is compatible with the Maxpar® Antibody Labeling Kit from Fluidigm, without the need for antibody preparation. Maxpar® is a trademark of Fluidigm Canada Inc.

性能和储存信息

形式
Liquid
纯化工艺
Affinity purification Protein A
存储溶液
pH: 7.2 - 7.4 Constituents: PBS
运输条件
Blue Ice
推荐的短期储存条件
+4°C
推荐的长期储存条件
+4°C
储存信息
Do Not Freeze

产品实验方案

For this product, it's our understanding that no specific protocols are required. You can visit:

靶点信息

Glycoprotein that regulates critical steps during fertilization and also has immunomonomodulatory effects. Four glycoforms, namely glycodelin-S, -A, -F and -C have been identified in reproductive tissues that differ in glycosylation and biological activity. Glycodelin-A has contraceptive and immunosuppressive activities (PubMed : 7531163, PubMed : 9918684). Glycodelin-C stimulates binding of spermatozoa to the zona pellucida (PubMed : 17192260). Glycodelin-F inhibits spermatozoa-zona pellucida binding and significantly suppresses progesterone-induced acrosome reaction of spermatozoa (PubMed : 12672671). Glycodelin-S in seminal plasma maintains the uncapacitated state of human spermatozoa (PubMed : 15883155).
See full target information Glycodelin

Abcam Product Promise

我们致力于为您的研究提供高质量的试剂,为您科研的每一步提供支持。若我们的产品未能达到预期性能,我们向您提供 Abcam Product Promise 保障。
详情请参阅我们的条款与条件。

Please note: All products are 'FOR RESEARCH USE ONLY. NOT FOR USE IN DIAGNOSTIC OR THERAPEUTIC PROCEDURES'.

For licensing inquiries, please contact partnerships@abcam.com