JavaScript is disabled in your browser. Please enable JavaScript to view this website.
AB75855

重组Anti-PABPN1抗体[EP3000Y]

Anti-PABPN1 antibody [EP3000Y]

5

(2 Reviews)

|

(50 Publications)

Rabbit Recombinant Monoclonal PABPN1 antibody. Suitable for IHC-P, IP, WB, ICC/IF, Flow Cyt (Intra) and reacts with Mouse, Rat, Human samples. Cited in 50 publications.

查看别名

PAB2, PABP2, PABPN1, Polyadenylate-binding protein 2, PABP-2, Poly(A)-binding protein 2, Nuclear poly(A)-binding protein 1, Poly(A)-binding protein II, Polyadenylate-binding nuclear protein 1, PABII

11 Images
Immunocytochemistry/ Immunofluorescence - Anti-PABPN1 antibody [EP3000Y] (AB75855)
  • ICC/IF

Unknown

Immunocytochemistry/ Immunofluorescence - Anti-PABPN1 antibody [EP3000Y] (AB75855)

Immunocytochemistry/Immunofluorescence analysis of MCF-7 cells labelling PABPN1 with unpurified ab75855 at 1/500. Cells were fixed with 4% paraformaldehyde and permeabilized with 0.1% Triton X-100. ab150077, an Alexa Fluor® 488-conjugated goat anti-rabbit IgG (1/1000) was used as the secondary antibody.
Control : PBS only.
Nuclear counter stain : DAPI.

Flow Cytometry (Intracellular) - Anti-PABPN1 antibody [EP3000Y] (AB75855)
  • Flow Cyt (Intra)

Unknown

Flow Cytometry (Intracellular) - Anti-PABPN1 antibody [EP3000Y] (AB75855)

Intracellular Flow Cytometry analysis of MCF7 (Human breast adenocarcinoma epithelial cell) cells labeling PABPN1 with purified ab75855 at 1/40 dilution (10 ug/ml) (red). Cells were fixed with 80% Methanol and permeabilized with 0.1% Tween-20. A Goat anti rabbit IgG (Alexa Fluorr®488) secondary antibody was used at 1/2000 dilution. Isotype control - Rabbit monoclonal IgG (Black). Unlabeled control - Cell without incubation with primary antibody and secondary antibody (Blue).

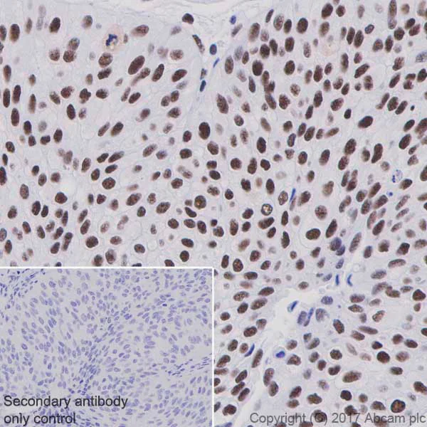
Immunohistochemistry (Formalin/PFA-fixed paraffin-embedded sections) - Anti-PABPN1 antibody [EP3000Y] (AB75855)
  • IHC-P

Supplier Data

Immunohistochemistry (Formalin/PFA-fixed paraffin-embedded sections) - Anti-PABPN1 antibody [EP3000Y] (AB75855)

Immunohistochemistry (Formalin/PFA-fixed paraffin-embedded sections) analysis of human bladder carcinoma tissue sections labeling PABPN1 with Purified ab75855 at 1 : 1000 dilution (0.41 μg/ml). Heat mediated antigen retrieval was performed using ab93684 (Tris/EDTA buffer, pH 9.0). Tissue was counterstained with Hematoxylin. ImmunoHistoProbe one step HRP Polymer (ready to use) secondary antibody was used at 1 : 0 dilution. PBS instead of the primary antibody was used as the negative control.

Flow Cytometry (Intracellular) - Anti-PABPN1 antibody [EP3000Y] (AB75855)
  • Flow Cyt (Intra)

Unknown

Flow Cytometry (Intracellular) - Anti-PABPN1 antibody [EP3000Y] (AB75855)

Overlay histogram showing MCF-7 cells stained with unpurified ab75855 (red line). The cells were fixed with 80% methanol (5 min) and then permeabilized with 0.1% PBS-Tween for 20 min. The cells were then incubated in 1x PBS / 10% normal goat serum / 0.3M glycine to block non-specific protein-protein interactions followed by the antibody (ab75855, 1μg/1x106 cells) for 30 min at 22°C. The secondary antibody used was DyLight® 488 goat anti-rabbit IgG (H+L) (ab96899) at 1/500 dilution for 30 min at 22°C. Isotype control antibody (black line) was rabbit IgG (monoclonal) (1μg/1x106 cells) used under the same conditions. Acquisition of >5,000 events was performed.

Immunoprecipitation - Anti-PABPN1 antibody [EP3000Y] (AB75855)
  • IP

Unknown

Immunoprecipitation - Anti-PABPN1 antibody [EP3000Y] (AB75855)

ab75855 (purified) at 1 : 30 dilution (5ug) immunoprecipitating PABPN1 in MCF7 (Human breast adenocarcinoma epithelial cell) whole cell lysate.
Lane 1 (input) : MCF7 (Human breast adenocarcinoma epithelial cell) whole cell lysate 10ug
Lane 2 (+) : ab75855 & MCF7 (Human breast adenocarcinoma epithelial cell) whole cell lysate
Lane 3 (-) : Rabbit monoclonal IgG (ab172730) instead of ab75855 in MCF7 (Human breast adenocarcinoma epithelial cell) whole cell lysate
For western blotting, VeriBlot for IP Detection Reagent (HRP) (ab131366) was used for detection at 1 : 10,000 dilution.

All lanes:

Immunoprecipitation - Anti-PABPN1 antibody [EP3000Y] (ab75855)

Predicted band size: 33 kDa

false

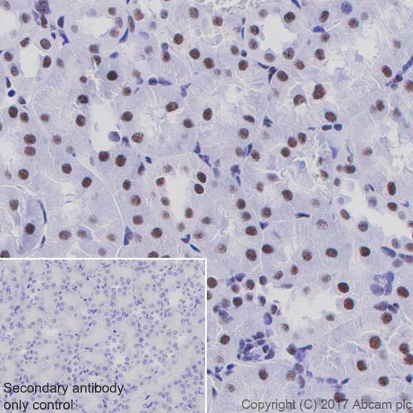
Immunohistochemistry (Formalin/PFA-fixed paraffin-embedded sections) - Anti-PABPN1 antibody [EP3000Y] (AB75855)
  • IHC-P

Unknown

Immunohistochemistry (Formalin/PFA-fixed paraffin-embedded sections) - Anti-PABPN1 antibody [EP3000Y] (AB75855)

Immunohistochemistry (Formalin/PFA-fixed paraffin-embedded sections) analysis of rat kidney tissue sections labeling PABPN1 with Purified ab75855 at 1 : 1000 dilution (0.41 μg/ml). Heat mediated antigen retrieval was performed using ab93684 (Tris/EDTA buffer, pH 9.0). Tissue was counterstained with Hematoxylin. ImmunoHistoProbe one step HRP Polymer (ready to use) secondary antibody was used at 1 : 0 dilution. PBS instead of the primary antibody was used as the negative control.

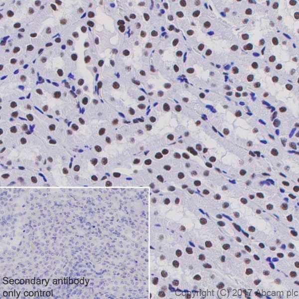
Immunohistochemistry (Formalin/PFA-fixed paraffin-embedded sections) - Anti-PABPN1 antibody [EP3000Y] (AB75855)
  • IHC-P

Unknown

Immunohistochemistry (Formalin/PFA-fixed paraffin-embedded sections) - Anti-PABPN1 antibody [EP3000Y] (AB75855)

Immunohistochemistry (Formalin/PFA-fixed paraffin-embedded sections) analysis of mouse kidney tissue sections labeling PABPN1 with Purified ab75855 at 1 : 1000 dilution (0.41 μg/ml). Heat mediated antigen retrieval was performed using ab93684 (Tris/EDTA buffer, pH 9.0). Tissue was counterstained with Hematoxylin. ImmunoHistoProbe one step HRP Polymer (ready to use) secondary antibody was used at 1 : 0 dilution. PBS instead of the primary antibody was used as the negative control.

Western blot - Anti-PABPN1 antibody [EP3000Y] (AB75855)
  • WB

Unknown

Western blot - Anti-PABPN1 antibody [EP3000Y] (AB75855)

Lanes 1 - 2:

Western blot - Anti-PABPN1 antibody [EP3000Y] (ab75855) at 1/200000 dilution

Lane 3:

Western blot - Anti-PABPN1 antibody [EP3000Y] (ab75855) at 1/1000000 dilution

Lane 1:

Raw264.7 cell lysate at 10 µg

Lane 2:

MCF-7 cell lysate at 10 µg

Lane 3:

HeLa cell lysate at 10 µg

Secondary

All lanes:

HRP-conjugated goat anti-rabbit IgG at 1/1000 dilution

Predicted band size: 33 kDa

Observed band size: 49 kDa

false

Western blot - Anti-PABPN1 antibody [EP3000Y] (AB75855)
  • WB

Lab

Western blot - Anti-PABPN1 antibody [EP3000Y] (AB75855)

Blocking and diluting buffer : 5% NFDM/TBST

All lanes:

Western blot - Anti-PABPN1 antibody [EP3000Y] (ab75855) at 1/2000 dilution

Lane 1:

293T (Human embryonic kidney epithelial cell) whole cell lysates at 15 µg

Lane 2:

MCF7 (Human breast adenocarcinoma epithelial cell) whole cell lysates at 15 µg

Secondary

All lanes:

Western blot - Goat Anti-Rabbit IgG H&L (HRP) (<a href='/products/secondary-antibodies/goat-rabbit-igg-h-l-hrp-ab97051'>ab97051</a>) at 1/100000 dilution

Predicted band size: 33 kDa

Observed band size: 49 kDa

false

Western blot - Anti-PABPN1 antibody [EP3000Y] (AB75855)
  • WB

Lab

Western blot - Anti-PABPN1 antibody [EP3000Y] (AB75855)

Blocking and diluting buffer : 5% NFDM/TBST

All lanes:

Western blot - Anti-PABPN1 antibody [EP3000Y] (ab75855) at 1/2000 dilution

All lanes:

Rat brain lysates at 15 µg

Secondary

All lanes:

Western blot - Goat Anti-Rabbit IgG H&L (HRP) (<a href='/products/secondary-antibodies/goat-rabbit-igg-h-l-hrp-ab97051'>ab97051</a>) at 1/20000 dilution

Predicted band size: 33 kDa

false

Western blot - Anti-PABPN1 antibody [EP3000Y] (AB75855)
  • WB

Lab

Western blot - Anti-PABPN1 antibody [EP3000Y] (AB75855)

Blocking and diluting buffer : 5% NFDM/TBST

All lanes:

Western blot - Anti-PABPN1 antibody [EP3000Y] (ab75855) at 1/2000 dilution

Lane 1:

RAW 264.7 (Mouse Abelson murine leukemia virus-induced tumor macrophage) whole cell lysates at 15 µg

Lane 2:

Mouse spleen lysates at 15 µg

Secondary

All lanes:

Western blot - Goat Anti-Rabbit IgG H&L (HRP) (<a href='/products/secondary-antibodies/goat-rabbit-igg-h-l-hrp-ab97051'>ab97051</a>) at 1/100000 dilution

Predicted band size: 33 kDa

false

不同偶联物与剂型 (4)

  • HRP

    HRP Anti-PABPN1 antibody [EP3000Y]

  • 519 Alexa Fluor® 488

    Alexa Fluor® 488 Anti-PABPN1 antibody [EP3000Y]

  • Carrier free

    Anti-PABPN1 antibody [EP3000Y] - BSA and Azide free

  • 665 Alexa Fluor® 647

    Alexa Fluor® 647 Anti-PABPN1 antibody [EP3000Y]

关键信息

宿主种属

Rabbit

克隆

Monoclonal

克隆号

EP3000Y

亚型

IgG

不含载体蛋白

No

反应种属

Mouse, Rat, Human

应用

WB, IHC-P, Flow Cyt (Intra), ICC/IF, IP

applications

免疫原

The exact immunogen used to generate this antibody is proprietary information.

反应性数据

{ "title": "Reactivity Data", "filters": { "stats": ["", "Species", "Dilution Info", "Notes"], "tabs": { "all-applications": {"fullname" : "All Applications", "shortname": "All Applications"}, "IHCP" : {"fullname" : "Immunohistochemistry (Formalin/PFA-fixed paraffin-embedded sections)", "shortname":"IHC-P"}, "IP" : {"fullname" : "Immunoprecipitation", "shortname":"IP"}, "WB" : {"fullname" : "Western blot", "shortname":"WB"}, "ICCIF" : {"fullname" : "Immunocytochemistry/ Immunofluorescence", "shortname":"ICC/IF"}, "FlowCytIntra" : {"fullname" : "Flow Cytometry (Intracellular)", "shortname":"Flow Cyt (Intra)"} }, "product-promise": { "all": "all", "testedAndGuaranteed": "tested", "guaranteed": "expected", "predicted": "predicted", "notRecommended": "not-recommended" } }, "values": { "Human": { "IHCP-species-checked": "testedAndGuaranteed", "IHCP-species-dilution-info": "1/1000", "IHCP-species-notes": "<p><strong>For unpurified use at 1/100 -1/250.</strong></p>", "IP-species-checked": "testedAndGuaranteed", "IP-species-dilution-info": "1/30", "IP-species-notes": "<p><strong>Fur unpurified use at 1:50.</strong></p>", "WB-species-checked": "testedAndGuaranteed", "WB-species-dilution-info": "1/1000 - 1/10000", "WB-species-notes": "<p></p>", "ICCIF-species-checked": "testedAndGuaranteed", "ICCIF-species-dilution-info": "1/100 - 1/250", "ICCIF-species-notes": "<p></p>", "FlowCytIntra-species-checked": "testedAndGuaranteed", "FlowCytIntra-species-dilution-info": "1/40", "FlowCytIntra-species-notes": "<p><a href='/products/primary-antibodies/rabbit-igg-monoclonal-epr25a-isotype-control-ab172730'>ab172730</a> - Rabbit monoclonal IgG, is suitable for use as an isotype control with this antibody. For unpurified use at 1:80.</p>" }, "Mouse": { "IHCP-species-checked": "testedAndGuaranteed", "IHCP-species-dilution-info": "1/1000", "IHCP-species-notes": "<p><strong>For unpurified use at 1/100 -1/250.</strong></p>", "IP-species-checked": "guaranteed", "IP-species-dilution-info": "", "IP-species-notes": "", "WB-species-checked": "testedAndGuaranteed", "WB-species-dilution-info": "1/1000 - 1/10000", "WB-species-notes": "<p></p>", "ICCIF-species-checked": "guaranteed", "ICCIF-species-dilution-info": "", "ICCIF-species-notes": "", "FlowCytIntra-species-checked": "guaranteed", "FlowCytIntra-species-dilution-info": "", "FlowCytIntra-species-notes": "" }, "Rat": { "IHCP-species-checked": "testedAndGuaranteed", "IHCP-species-dilution-info": "1/1000", "IHCP-species-notes": "<p><strong>For unpurified use at 1/100 -1/250.</strong></p>", "IP-species-checked": "guaranteed", "IP-species-dilution-info": "", "IP-species-notes": "", "WB-species-checked": "testedAndGuaranteed", "WB-species-dilution-info": "1/1000 - 1/10000", "WB-species-notes": "<p></p>", "ICCIF-species-checked": "guaranteed", "ICCIF-species-dilution-info": "", "ICCIF-species-notes": "", "FlowCytIntra-species-checked": "guaranteed", "FlowCytIntra-species-dilution-info": "", "FlowCytIntra-species-notes": "" } } }

产品详情

Patented technology
Our RabMAb® technology is a patented hybridoma-based technology for making rabbit monoclonal antibodies. For details on our patents, please refer to RabMAb® patents.

What are the advantages of a recombinant monoclonal antibody?
This product is a recombinant monoclonal antibody, which offers several advantages including:

  • - High batch-to-batch consistency and reproducibility
  • - Improved sensitivity and specificity
  • - Long-term security of supply
  • - Animal-free batch production

For more information, read more on recombinant antibodies.

性能和储存信息

形式
Liquid
纯化工艺
Affinity purification Protein A
存储溶液
pH: 7.2 - 7.4 Preservative: 0.01% Sodium azide Constituents: PBS, 40% Glycerol (glycerin, glycerine), 0.05% BSA
运输条件
Blue Ice
推荐的短期储存时间
1-2 weeks
推荐的短期储存条件
+4°C
推荐的长期储存条件
-20°C
分装信息
Upon delivery aliquot
储存信息
Avoid freeze / thaw cycle|Stable for 12 months at -20°C

补充信息

This supplementary information is collated from multiple sources and compiled automatically.

PABPN1 also known as polyadenylate-binding nuclear protein 1 is an RNA-binding protein that plays a fundamental role in the regulation of mRNA processing. It is a 31-kilodalton protein that binds to the poly(A) tail of pre-mRNA and stimulates the assembly of the polyadenylation complex thereby influencing the maturation and stability of mRNA transcripts. This protein is predominantly expressed in the nucleus of eukaryotic cells where it performs its important function in post-transcriptional regulation.
Biological function summary

PABPN1 is involved in controlling the polyadenylation process of pre-mRNA which is essential for producing mature mRNA molecules. PABPN1 operates within a multi-protein complex that includes enzymes like poly(A) polymerase and cleavage stimulation factor (CstF). By interacting with these proteins PABPN1 ensures the correct formation of the 3' end of mRNA influencing gene expression regulation and mRNA stability.

Pathways

PABPN1 participates in key cellular pathways such as mRNA processing and nuclear export of mRNA. It operates in concert with other proteins like PABPC1 which aids in the transition of mRNA from the nucleus to the cytoplasm. The protein maintains the balance of mRNA stability and translation efficiency which are critical aspects of efficient gene expression.

PABPN1 mutations are linked to oculopharyngeal muscular dystrophy (OPMD) a genetic condition that leads to muscle weakness. Another related disorder involves its interaction with proteins like HSP70 where its dysfunction may contribute to disrupted protein homeostasis in affected tissues. Studying PABPN1's role in these diseases provides insight into the molecular mechanisms underlying these conditions and aids in the development of potential therapeutic strategies.

产品实验方案

For this product, it's our understanding that no specific protocols are required. You can visit:

靶点信息

Involved in the 3'-end formation of mRNA precursors (pre-mRNA) by the addition of a poly(A) tail of 200-250 nt to the upstream cleavage product (By similarity). Stimulates poly(A) polymerase (PAPOLA) conferring processivity on the poly(A) tail elongation reaction and controls also the poly(A) tail length (By similarity). Increases the affinity of poly(A) polymerase for RNA (By similarity). Is also present at various stages of mRNA metabolism including nucleocytoplasmic trafficking and nonsense-mediated decay (NMD) of mRNA. Cooperates with SKIP to synergistically activate E-box-mediated transcription through MYOD1 and may regulate the expression of muscle-specific genes (PubMed : 11371506). Binds to poly(A) and to poly(G) with high affinity (By similarity). May protect the poly(A) tail from degradation (By similarity). Subunit of the trimeric poly(A) tail exosome targeting (PAXT) complex, a complex that directs a subset of long and polyadenylated poly(A) RNAs for exosomal degradation. The RNA exosome is fundamental for the degradation of RNA in eukaryotic nuclei. Substrate targeting is facilitated by its cofactor MTREX, which links to RNA-binding protein adapters (PubMed : 27871484).
See full target information PABPN1

文献 (50)

Recent publications for all applications. Explore the full list and refine your search

Nature communications 15:8684 PubMed39419981

2024

The MTR4/hnRNPK complex surveils aberrant polyadenylated RNAs with multiple exons.

Applications

Unspecified application

Species

Unspecified reactive species

Kenzui Taniue,Anzu Sugawara,Chao Zeng,Han Han,Xinyue Gao,Yuki Shimoura,Atsuko Nakanishi Ozeki,Rena Onoguchi-Mizutani,Masahide Seki,Yutaka Suzuki,Michiaki Hamada,Nobuyoshi Akimitsu

Journal of cachexia, sarcopenia and muscle 15:1976-1988 PubMed39113268

2024

Different outcomes of endurance and resistance exercise in skeletal muscles of Oculopharyngeal muscular dystrophy.

Applications

Unspecified application

Species

Unspecified reactive species

Alexis Boulinguiez,Jamila Dhiab,Barbara Crisol,Laura Muraine,Ludovic Gaut,Corentin Rouxel,Justine Flaire,Hadidja-Rose Mouigni,Mégane Lemaitre,Benoit Giroux,Lucie Audoux,Benjamin SaintPierre,Arnaud Ferry,Vincent Mouly,Gillian Butler-Browne,Elisa Negroni,Alberto Malerba,Capucine Trollet

Nucleic acids research 52:9886-9903 PubMed38943343

2024

Phosphorylation of the nuclear poly(A) binding protein (PABPN1) during mitosis protects mRNA from hyperadenylation and maintains transcriptome dynamics.

Applications

Unspecified application

Species

Unspecified reactive species

Jackson M Gordon,David V Phizicky,Leonard Schärfen,Courtney L Brown,Dahyana Arias Escayola,Jean Kanyo,TuKiet T Lam,Matthew D Simon,Karla M Neugebauer

Journal of virology 98:e0190123 PubMed38629840

2024

Influenza A virus NS1 effector domain is required for PA-X-mediated host shutoff in infected cells.

Applications

Unspecified application

Species

Unspecified reactive species

Juliette Bougon,Eileigh Kadijk,Lucie Gallot-Lavallee,Bruce A Curtis,Matthew Landers,John M Archibald,Denys A Khaperskyy

The Journal of biological chemistry 299:104959 PubMed37356722

2023

The RNA-binding protein ZC3H11A interacts with the nuclear poly(A)-binding protein PABPN1 and alters polyadenylation of viral transcripts.

Applications

Unspecified application

Species

Unspecified reactive species

Katharina Kases,Erik Schubert,Zamaneh Hajikhezri,Mårten Larsson,Priya Devi,Mahmoud Darweesh,Leif Andersson,Göran Akusjärvi,Tanel Punga,Shady Younis

Annals of clinical and translational neurology 10:426-439 PubMed36691350

2023

The phenotypic and genotypic features of Chinese patients with oculopharyngeal muscular dystrophy.

Applications

Unspecified application

Species

Unspecified reactive species

Feng Lin,Kang Yang,Min-Ting Lin,Fu-Ze Zheng,Long Chen,Yuan-Liang Ding,Zhi-Xian Ye,Xin Lin,Ning Wang,Zhi-Qiang Wang

Acta neuropathologica communications 10:176 PubMed36476314

2022

Intranuclear inclusions in muscle biopsy can differentiate oculopharyngodistal myopathy and oculopharyngeal muscular dystrophy.

Applications

Unspecified application

Species

Unspecified reactive species

Masashi Ogasawara,Nobuyuki Eura,Aritoshi Iida,Theerawat Kumutpongpanich,Narihiro Minami,Ikuya Nonaka,Shinichiro Hayashi,Satoru Noguchi,Ichizo Nishino

Methods in molecular biology (Clifton, N.J.) 2587:557-568 PubMed36401050

2022

Systemic Delivery of a Monoclonal Antibody to Immunologically Block Myostatin in the A17 Mouse Model of OPMD.

Applications

Unspecified application

Species

Unspecified reactive species

Alberto Malerba,Pradeep Harish,Linda Popplewell

Neoplasma 69:1322-1337 PubMed36264775

2022

Functions of long non-coding RNA LNC11649 in non-small cell lung cancer cells as a reprocessed form of MALAT1.

Applications

Unspecified application

Species

Unspecified reactive species

Jun-Zhe Qi,Ting-Ting Zhao,Shu-Shan Qi

Annals of neurology 93:155-163 PubMed36251395

2022

CYFIP2 p.Arg87Cys Causes Neurological Defects and Degradation of CYFIP2.

Applications

Unspecified application

Species

Unspecified reactive species

Muwon Kang,Yinhua Zhang,Hyae Rim Kang,Seoyeong Kim,Ruiying Ma,Yunho Yi,Seungjoon Lee,Yoonhee Kim,Huiling Li,Chunmei Jin,Dongmin Lee,Eunjoon Kim,Kihoon Han
View all publications

Abcam Product Promise

我们致力于为您的研究提供高质量的试剂,为您科研的每一步提供支持。若我们的产品未能达到预期性能,我们向您提供 Abcam Product Promise 保障。
详情请参阅我们的条款与条件。

Please note: All products are 'FOR RESEARCH USE ONLY. NOT FOR USE IN DIAGNOSTIC OR THERAPEUTIC PROCEDURES'.

For licensing inquiries, please contact partnerships@abcam.com