JavaScript is disabled in your browser. Please enable JavaScript to view this website.
AB52987

Anti-p75 NGF Receptor 抗体 [EP1039Y]

Anti-p75 NGF Receptor antibody [EP1039Y]

5

(12 Reviews)

|

(101 Publications)

Anti-p75 NGF Receptor antibody [EP1039Y] (ab52987) is a rabbit monoclonal antibody detecting p75 NGF Receptor in Western Blot, Flow Cytometry (Intra), IP, IHC-P, ICC/IF. Suitable for Human, Mouse, Rat.

- Biophysical QC for unrivalled batch-batch consistency
- Over 70 publications
- Trusted since 2007

查看别名

CD271, TNFRSF16, NGFR, Tumor necrosis factor receptor superfamily member 16, Gp80-LNGFR, Low affinity neurotrophin receptor p75NTR, Low-affinity nerve growth factor receptor, Low-affinity nerve growth factor receptor p75NGFR, Low-affinity nerve growth factor receptor p75NGR, p75 ICD, NGF receptor

12 Images
Immunohistochemistry (Formalin/PFA-fixed paraffin-embedded sections) - Anti-p75 NGF Receptor antibody [EP1039Y] (AB52987)
  • IHC-P

Lab

Immunohistochemistry (Formalin/PFA-fixed paraffin-embedded sections) - Anti-p75 NGF Receptor antibody [EP1039Y] (AB52987)

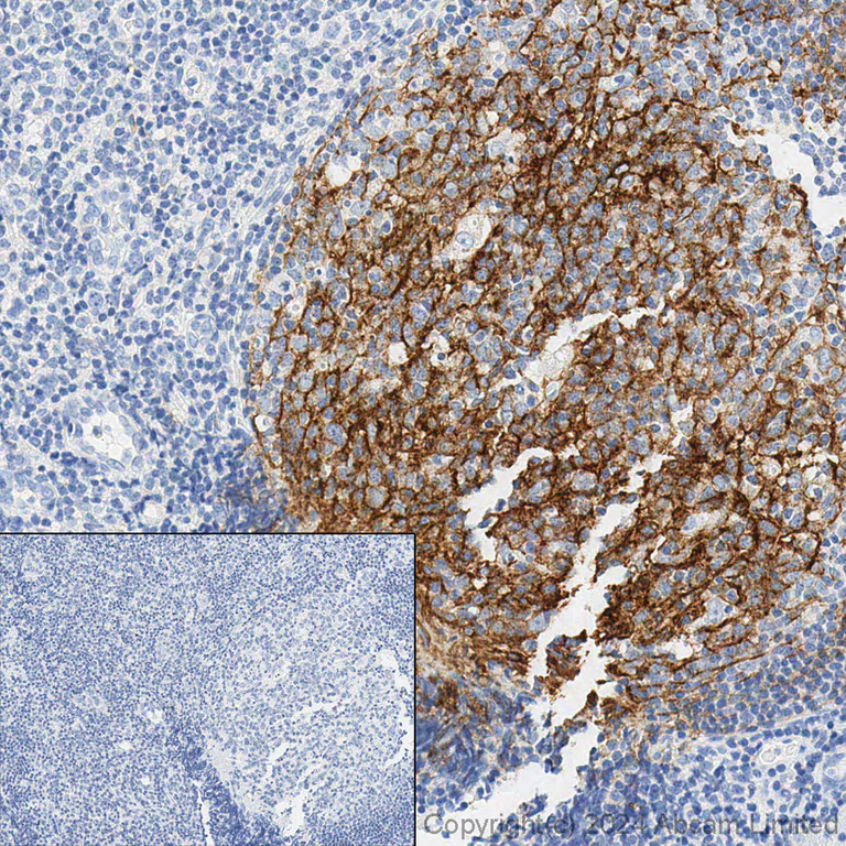
Immunohistochemical analysis of formalin fixed paraffin embedded human tonsil labelling p75 NGF Receptor with ab52987 at a concentration of 0.1µg/ml. The immunostaining was performed on a Ventana DISCOVERY ULTRA (Roche Tissue Diagnostics) instrument with a OptiView DAB IHC Detection Kit. Heat mediated antigen retrieval was performed with DISCOVERY cell conditioning solution (CC1) 100°C, pH8.5 for 32mins.

Anti-p75 NGF Receptor antibody [EP1039Y] ab52987 was incubated for 16mins at 37°C. Sections were counterstained with Hematoxylin II. Image inset shows absence of staining in secondary antibody only control.

Customers are encouraged to optimise antigen retrieval conditions, antibody concentration, incubation times and temperature for best results in their own IHC assay workflow (automated and manual).

Immunohistochemistry (Formalin/PFA-fixed paraffin-embedded sections) - Anti-p75 NGF Receptor antibody [EP1039Y] (AB52987)
  • IHC-P

Unknown

Immunohistochemistry (Formalin/PFA-fixed paraffin-embedded sections) - Anti-p75 NGF Receptor antibody [EP1039Y] (AB52987)

Purified ab52987 staining p75 NGF receptor in paraffin embedded Human tonsil tissue sections by Immunohistochemistry. Antigen retrieval was by heat mediation using ab93684 (Tris/EDTA buffer, pH 9.0). Samples were incubated with primary antibody at 3.3μg/ml. A ready to use Goat Anti-Rabbit IgG H&L (HRP) was used as the secondary antibody. Hematoxylin was used as a counterstain. Positive staining on germinal centre of human tonsil.

Immunocytochemistry/ Immunofluorescence - Anti-p75 NGF Receptor antibody [EP1039Y] (AB52987)
  • ICC/IF

PubMed

Immunocytochemistry/ Immunofluorescence - Anti-p75 NGF Receptor antibody [EP1039Y] (AB52987)

The differentiation capacity of purified CD34+ cells cultured for 3 days in the presence or absence of ALK5i was evaluated by performing immunofluorescence analysis assessing whether CD34+ cells had changed to cells expressing p75 and/or α-SMA. Expressions of CD34, p75 and α-SMA were assessed by immunofluorescence on day 0 (F-H), day 3 in SP+f medium (I-K), or day 3 in the same medium as (I-K) but with ALK5i (L-N).

Cultured re-aggregates were fixed in 4% PFA and embedded in paraffin. Sections (5 ∝m) were boiled in 0.01 M citrate (pH 6.0) with 0.1% Tween 20 for 10 min, washed three times in 0.1% Tween-20/PBS, transferred to blocking solution containing 5% BSA and 5% horse serum (Sigma) or goat serum (Invitrogen) in 0.1% Triton X-100/PBS for 1 hr, and incubated with primary antibody (p75 at 1/100 dilution) at 4°C overnight. After washing, the secondary antibody was added, and the sections were incubated for 2 hrs at room temperature. Microscopic images were obtained using a CCD camera (DP72, Olympus, Tokyo) mounted on a fluorescence microscope (BX60, or BX61VS-ASW, Olympus). Cultured cells on coverglasses were fixed in 4% PFA. Antigen retrieval was done by incubation with 100% methanol (-20°C) 10 min, and 0.3% Triton X-100 for 10 min.

Image from Abe SI. et al. PLoS One. 2017 Nov 30;12(11):e0188705. doi: 10.1371/journal.pone.0188705.

Flow Cytometry (Intracellular) - Anti-p75 NGF Receptor antibody [EP1039Y] (AB52987)
  • Flow Cyt (Intra)

Unknown

Flow Cytometry (Intracellular) - Anti-p75 NGF Receptor antibody [EP1039Y] (AB52987)

Intracellular Flow Cytometry analysis of PC-12 (rat adrenal gland pheochromocytoma) cells labeling p75 NGF Receptor with purified ab52987 at 1/80 dilution (1ug/mL) (red). Cells were fixed with 4% paraformaldehyde and permeabilised with 90% methanol. A Goat anti rabbit IgG (Alexa Fluorr®488) at 1/2000 dilution was used as the secondary antibody. Rabbit monoclonal IgG (ab172730) (Black) was used as the isotype control, cells without incubation with primary antibody and secondary antibody (Blue) was used as the unlabeled control.

Flow Cytometry (Intracellular) - Anti-p75 NGF Receptor antibody [EP1039Y] (AB52987)
  • Flow Cyt (Intra)

Unknown

Flow Cytometry (Intracellular) - Anti-p75 NGF Receptor antibody [EP1039Y] (AB52987)

Intracellular Flow Cytometry analysis of PC-12 (rat adrenal gland pheochromocytoma) cells labeling p75 NGF Receptor with unpurified ab52987 at 1/60 dilution (10ug/mL) (red). Cells were fixed with 4% paraformaldehyde and permeabilised with 90% methanol. A Goat anti rabbit IgG (Alexa Fluorr®488) at 1/2000 dilution was used as the secondary antibody. Rabbit monoclonal IgG (Black) was used as the isotype control, cells without incubation with primary antibody and secondary antibody (Blue) was used as the unlabeled control.

Immunocytochemistry/ Immunofluorescence - Anti-p75 NGF Receptor antibody [EP1039Y] (AB52987)
  • ICC/IF

Unknown

Immunocytochemistry/ Immunofluorescence - Anti-p75 NGF Receptor antibody [EP1039Y] (AB52987)

ICC/IF image of ab52987 stained PC12 cells. The cells were 100% methanol fixed (5 min) and then incubated in 1% BSA / 10% normal goat serum / 0.3M glycine in 0.1% PBS-Tween for 1 hour to permeabilise the cells and block non-specific protein-protein interactions. The cells were then incubated with the antibody (ab52987, 1 μg/mL) overnight at 4oC. The secondary antibody (green) was Alexa Fluor® 488 goat anti-rabbit IgG (H+L) used at a 1/1000 dilution for 1 hour. Alexa Fluo® 594 WGA was used to label plasma membranes (red) at a 1/200 dilution for 1 hour. DAPI was used to stain the cell nuclei (blue) at a concentration of 1.4 μM.

Immunocytochemistry/ Immunofluorescence - Anti-p75 NGF Receptor antibody [EP1039Y] (AB52987)
  • ICC/IF

Unknown

Immunocytochemistry/ Immunofluorescence - Anti-p75 NGF Receptor antibody [EP1039Y] (AB52987)

Purified ab52987 staining p75 NGF receptor in PC-12 (rat adrenal gland pheochromocytoma) by ICC/IF (Immunocytochemistry/Immunofluorescence). Cells were fixed with 4% paraformaldehyde and permeabilized with 0.1% TritonX-100. Samples were incubated with primary antibody at 3.9 μg/ml. An AlexaFluor®488 Goat anti-Rabbit was used as the secondary antibody at 2 μg/ml. DAPI was used as a nuclear counterstain. Confocal image showing cytoplasmic and Membranous staining in PC-12 cells.

Immunoprecipitation - Anti-p75 NGF Receptor antibody [EP1039Y] (AB52987)
  • IP

Unknown

Immunoprecipitation - Anti-p75 NGF Receptor antibody [EP1039Y] (AB52987)

Lane 1 (input) : PC-12 (rat adrenal gland pheochromocytoma) whole cell lysate 10μg
Lane 2 (+) : PC-12 whole cell lysate
Lane 3 (-) : Rabbit monoclonal IgG (ab172730) instead of ab52987 in PC-12 whole cell lysate

ab52987 immunoprecipitating p75 NGF receptor in PC-12 whole cell lysates. For western blotting, primary antibody used was ab52987 at 1.6 μg/ml. VeriBlot for IP Detection Reagent (HRP) (ab131366), was used for detection at 1/1000 dilution. Capture antibody was used at 1 : 40 dilution (2μg in 0.35mg lysates).

Blocking and diluting buffer : 5% NFDM/TBST.

Exposure : 10 seconds

All lanes:

Immunoprecipitation - Anti-p75 NGF Receptor antibody [EP1039Y] (ab52987)

Predicted band size: 45 kDa

Observed band size: 75 kDa

false

Exposure time: 10s

Western blot - Anti-p75 NGF Receptor antibody [EP1039Y] (AB52987)
  • WB

Lab

Western blot - Anti-p75 NGF Receptor antibody [EP1039Y] (AB52987)

Blocking and diluting buffer : 5% NFDM/TBST.

ab52987 fails to detect band of interest in hippocampus and cortex lysates (positive, PMID : 25180603, 28507518, 18930453, 20937383, 21059364), indicating its low affinity in some p75 NGF Receptor positive materials.

Exposure :
Lane 1-3 : 8 seconds
Lane 4-6 : 180 seconds
Lane 7-9 : 30 seconds

All lanes:

Western blot - Anti-p75 NGF Receptor antibody [EP1039Y] (ab52987) at 1/1000 dilution

Lane 1:

SW480 (Human colorectal adenocarcinoma epithelial cell) whole cell lysates at 20 µg

Lane 2:

Human hippocampus tissue lysates at 20 µg

Lane 3:

Human brain cortex tissue lysates at 20 µg

Lane 4:

Neuro-2a (Mouse neuroblastoma neuroblast) whole cell lysates at 20 µg

Lane 5:

Mouse hippocampus tissue lysates at 20 µg

Lane 6:

Mouse cerebral cortex lysates at 20 µg

Lane 7:

PC-12 (Rat adrenal gland pheochromocytoma) whole cell lysates at 20 µg

Lane 8:

Rat hippocampus tissue lysates at 20 µg

Lane 9:

Rat brain cortex tissue lysates at 20 µg

Secondary

All lanes:

Goat Anti-Rabbit IgG (HRP) with minimal cross-reactivity with human IgG at 1/2000 dilution

Predicted band size: 45 kDa

false

Western blot - Anti-p75 NGF Receptor antibody [EP1039Y] (AB52987)
  • WB

Lab

Western blot - Anti-p75 NGF Receptor antibody [EP1039Y] (AB52987)

Blocking and diluting buffer : 5% NFDM/TBST.

ab52987 fails to detect band of interest in Capan-1 (positive, PMID : 14613990) and brain lysates (positive, PMID : 21413144, 21541365), indicating its low affinity in some p75 NGF Receptor positive materials.

All lanes:

Western blot - Anti-p75 NGF Receptor antibody [EP1039Y] (ab52987) at 1/1000 dilution

Lane 1:

Capan-1 (Human pancreas adenocarcinoma epithelial cell) whole cell lysates at 20 µg

Lane 2:

Mouse uterus tissue lysates at 20 µg

Lane 3:

Mouse brain tissue lysates at 20 µg

Lane 4:

Rat uterus tissue lysates at 20 µg

Lane 5:

Rat brain tissue lysates at 20 µg

Secondary

All lanes:

Goat Anti-Rabbit IgG (HRP) with minimal cross-reactivity with human IgG at 1/2000 dilution

Predicted band size: 45 kDa

false

Exposure time: 180s

Western blot - Anti-p75 NGF Receptor antibody [EP1039Y] (AB52987)
  • WB

Supplier Data

Western blot - Anti-p75 NGF Receptor antibody [EP1039Y] (AB52987)

All lanes:

Western blot - Anti-p75 NGF Receptor antibody [EP1039Y] (ab52987) at 1/50000 dilution

All lanes:

PC12 cell lysate at 10 µg

Secondary

All lanes:

goat anti-rabbit HRP labelled at 1/2000 dilution

Predicted band size: 45 kDa

Observed band size: 75 kDa

false

OI-RD Scanning - Anti-p75 NGF Receptor antibody [EP1039Y] (AB52987)
  • OI-RD Scanning

Unknown

OI-RD Scanning - Anti-p75 NGF Receptor antibody [EP1039Y] (AB52987)

We have systematically measured KD (the equilibrium dissociation constant between the antibody and its antigen), of more than 840 recombinant antibodies to assess not only their individual KD values but also to see the average affinity of antibody. Based on the comparison with published literature values for mouse monoclonal antibodies, Recombinant antibodies appear to be on average 1-2 order of magnitude higher affinity.

不同偶联物与剂型 (9)

  • Carrier free

    Anti-p75 NGF Receptor antibody [EP1039Y] - Low endotoxin, Azide free

  • Carrier free

    Anti-p75 NGF Receptor antibody [EP1039Y] - BSA and Azide free

  • 519 Alexa Fluor® 488

    Alexa Fluor® 488 Anti-p75 NGF Receptor antibody [EP1039Y]

  • 665 Alexa Fluor® 647

    Alexa Fluor® 647 Anti-p75 NGF Receptor antibody [EP1039Y]

  • 565 Alexa Fluor® 555

    Alexa Fluor® 555 Anti-p75 NGF Receptor antibody [EP1039Y]

  • 617 Alexa Fluor® 594

    Alexa Fluor® 594 Anti-p75 NGF Receptor antibody [EP1039Y]

  • 603 Alexa Fluor® 568

    Alexa Fluor® 568 Anti-p75 NGF Receptor antibody [EP1039Y]

  • 578 PE

    PE Anti-p75 NGF Receptor antibody [EP1039Y]

  • 775 Alexa Fluor® 750

    Alexa Fluor® 750 Anti-p75 NGF Receptor antibody [EP1039Y]

关键信息

宿主种属

Rabbit

克隆

Monoclonal

克隆号

EP1039Y

亚型

IgG

不含载体蛋白

No

反应种属

Mouse, Rat, Human

应用

IP, IHC-P, ICC/IF, Flow Cyt (Intra), WB

applications

免疫原

The exact immunogen used to generate this antibody is proprietary information.

反应性数据

{ "title": "Reactivity Data", "filters": { "stats": ["", "Species", "Dilution Info", "Notes"], "tabs": { "all-applications": {"fullname" : "All Applications", "shortname": "All Applications"}, "IP" : {"fullname" : "Immunoprecipitation", "shortname":"IP"}, "WB" : {"fullname" : "Western blot", "shortname":"WB"}, "ICCIF" : {"fullname" : "Immunocytochemistry/ Immunofluorescence", "shortname":"ICC/IF"}, "FlowCytIntra" : {"fullname" : "Flow Cytometry (Intracellular)", "shortname":"Flow Cyt (Intra)"}, "IHCP" : {"fullname" : "Immunohistochemistry (Formalin/PFA-fixed paraffin-embedded sections)", "shortname":"IHC-P"} }, "product-promise": { "all": "all", "testedAndGuaranteed": "tested", "guaranteed": "expected", "predicted": "predicted", "notRecommended": "not-recommended" } }, "values": { "Human": { "IP-species-checked": "guaranteed", "IP-species-dilution-info": "", "IP-species-notes": "", "WB-species-checked": "testedAndGuaranteed", "WB-species-dilution-info": "1/1000 - 1/10000", "WB-species-notes": "<p></p>", "ICCIF-species-checked": "guaranteed", "ICCIF-species-dilution-info": "", "ICCIF-species-notes": "", "FlowCytIntra-species-checked": "guaranteed", "FlowCytIntra-species-dilution-info": "", "FlowCytIntra-species-notes": "", "IHCP-species-checked": "testedAndGuaranteed", "IHCP-species-dilution-info": "", "IHCP-species-notes": "<p></p> Perform heat-mediated antigen retrieval with Tris/EDTA buffer pH 9.0 before commencing with IHC staining protocol." }, "Mouse": { "IP-species-checked": "guaranteed", "IP-species-dilution-info": "", "IP-species-notes": "", "WB-species-checked": "testedAndGuaranteed", "WB-species-dilution-info": "1/1000 - 1/10000", "WB-species-notes": "<p></p>", "ICCIF-species-checked": "guaranteed", "ICCIF-species-dilution-info": "", "ICCIF-species-notes": "", "FlowCytIntra-species-checked": "guaranteed", "FlowCytIntra-species-dilution-info": "", "FlowCytIntra-species-notes": "", "IHCP-species-checked": "notRecommended", "IHCP-species-dilution-info": "", "IHCP-species-notes": "<p></p>" }, "Rat": { "IP-species-checked": "testedAndGuaranteed", "IP-species-dilution-info": "1/50", "IP-species-notes": "<p></p>", "WB-species-checked": "testedAndGuaranteed", "WB-species-dilution-info": "1/1000 - 1/10000", "WB-species-notes": "<p></p>", "ICCIF-species-checked": "testedAndGuaranteed", "ICCIF-species-dilution-info": "1/50", "ICCIF-species-notes": "<p></p>", "FlowCytIntra-species-checked": "testedAndGuaranteed", "FlowCytIntra-species-dilution-info": "1/60", "FlowCytIntra-species-notes": "<p></p>", "IHCP-species-checked": "notRecommended", "IHCP-species-dilution-info": "", "IHCP-species-notes": "<p></p>" } } }

产品详情

Product Specifications
Anti-p75 NGF Receptor antibody [EP1039Y] (ab52987) was developed by Abcam using patented rabbit monoclonal antibody technology and is validated for use in Flow Cyt (Intra), ICC/IF, IHC-P, IP, WB in human, mouse, rat samples.
Anti-p75 NGF Receptor antibody [EP1039Y] (ab52987) specifically detects p75 NGF Receptor (UniProt ID: P08138; Molecular weight: 43kDa) and is sold in 100 µL and 1 mL selling sizes.

Quality and Validation
Abcam's high quality manufacturing and validation processes ensure Anti-p75 NGF Receptor antibody [EP1039Y] (ab52987) has high sensitivity and specificity alongside high lot-to-lot consistency and reproducibility.
Anti-p75 NGF Receptor antibody [EP1039Y] (ab52987) has been cited over 72 times in peer reviewed journals and is trusted by the scientific community.
Anti-p75 NGF Receptor antibody [EP1039Y] (ab52987) has 11 independent reviews from customers.

Related Products
Conjugation-ready, carrier free format available for antibody clone EP1039Y - ab180872.
Antibody clone EP1039Y is also available pre-conjugated to a variety of labels for your convenience - Alexa Fluor® 488, Alexa Fluor® 647, APC, PE, Alexa Fluor® 594, Alexa Fluor® 568, Alexa Fluor® 555, Alexa Fluor® 750 (ab195179, ab195180, ab224996, ab310935, ab311687, ab312963, ab313172, ab321679).

Patented technology
Our RabMAb® technology is a patented hybridoma-based technology for making rabbit monoclonal antibodies. For details on our patents, please refer to RabMAb® patents.

What are the advantages of a recombinant monoclonal antibody?
This product is a recombinant monoclonal antibody, which offers several advantages including:

  • - High batch-to-batch consistency and reproducibility
  • - Improved sensitivity and specificity
  • - Long-term security of supply
  • - Animal-free batch production

For more information, read more on recombinant antibodies.

性能和储存信息

形式
Liquid
纯化工艺
Affinity purification Protein A
存储溶液
pH: 7.2 - 7.4 Preservative: 0.01% Sodium azide Constituents: PBS, 40% Glycerol (glycerin, glycerine), 0.5% BSA
运输条件
Blue Ice
推荐的短期储存条件
+4°C
推荐的长期储存条件
-20°C
分装信息
Upon delivery aliquot
储存信息
Avoid freeze / thaw cycle

补充信息

This supplementary information is collated from multiple sources and compiled automatically.

The p75 NGF receptor also known as p75 NGFR or anti-NTR is a transmembrane protein with a molecular mass of approximately 75 kDa. It is a member of the tumor necrosis factor receptor superfamily. This receptor is widely expressed in the nervous system particularly in neurons glial cells and Schwann cells. The p75 receptor primarily binds to neurotrophins such as nerve growth factor (NGF) influencing neuronal survival apoptosis and growth.
Biological function summary

The p75 receptor functions as an important part of a signaling complex that mediates diverse cellular responses. It often forms complexes with other receptors like TrkA but can also signal independently. In particular the p75 protein can form a biological chimera with different co-receptors influencing its downstream effects. This makes it significant in processes like apoptosis and neuronal differentiation as well as influencing neurotrophin-mediated signaling.

Pathways

The p75 receptor plays an important role in pathways involving neuronal survival and apoptosis. One key pathway involves the nerve growth factor (NGF) signaling pathway where p75 collaborates with Trk receptors enhancing or inhibiting NGF signaling based on cellular context. Another pathway is the JNK signaling pathway where the p75 receptor interacts with proteins like sortilin contributing to apoptosis and stress responses in neurons. These interactions determine the outcome of neurotrophic signaling highlighting its role in cell fate decisions.

P75 receptor is associated with several neurodegenerative conditions and cancers. Its involvement in Alzheimer's disease is significant because altered p75 expression and function can contribute to neurodegeneration through apoptosis pathways. This receptor is also linked to glioblastoma where it might promote tumor progression in coordination with proteins such as sortilin. These links make p75 receptor a target of interest for therapeutic intervention in these diseases.

产品实验方案

For this product, it's our understanding that no specific protocols are required. You can visit:

靶点信息

Low affinity receptor which can bind to NGF, BDNF, NTF3, and NTF4. Forms a heterodimeric receptor with SORCS2 that binds the precursor forms of NGF, BDNF and NTF3 with high affinity, and has much lower affinity for mature NGF and BDNF (PubMed : 24908487). Plays an important role in differentiation and survival of specific neuronal populations during development (By similarity). Can mediate cell survival as well as cell death of neural cells. Plays a role in the inactivation of RHOA (PubMed : 26646181). Plays a role in the regulation of the translocation of GLUT4 to the cell surface in adipocytes and skeletal muscle cells in response to insulin, probably by regulating RAB31 activity, and thereby contributes to the regulation of insulin-dependent glucose uptake (By similarity). Necessary for the circadian oscillation of the clock genes BMAL1, PER1, PER2 and NR1D1 in the suprachiasmatic nucleus (SCmgetaN) of the brain and in liver and of the genes involved in glucose and lipid metabolism in the liver (PubMed : 23785138). Together with BFAR negatively regulates NF-kappa-B and JNK-related signaling pathways (PubMed : 22566094).
See full target information NGFR

文献 (101)

Recent publications for all applications. Explore the full list and refine your search

Genome medicine 17:102 PubMed40999499

2025

EMB is essential for enteric nervous system development mediated by PI3K signaling.

Applications

Unspecified application

Species

Unspecified reactive species

Zhi Li,Didi Zhuansun,Xinyao Meng,Heying Yang,Jun Xiao,Yingjian Chen,Jing Wang,Xiaosi Yu,Zejian Li,Jingyi You,Xuyong Chen,Chenzhao Feng,Luyao Wu,Xufeng Chu,Weicheng Duan,Kang Wang,Zongzhe Li,Jinfa Tou,Lei Yu,Weibing Tang,Yuanmei Liu,Xuewu Jiang,Hongxia Ren,Mei Yu,Qiang Yin,Xiang Liu,Zhilin Xu,Dianming Wu,Chunlei Jiao,Donghai Yu,Xiaojuan Wu,Tianqi Zhu,Jixin Yang,Lei Xiang,Jing Wang,Qiong Wang,Bingyan Zhou,Di Wang,Ke Chen,Handan Mao,Bin Wang,Jianghua Zhan,Cong-Yi Wang,Wanjiang Zeng,Feng Chen,Bo Xiong,Jiexiong Feng

iScience 28:113423 PubMed40978140

2025

FGL2-induced metabolic dysregulation in enteric neural crest cells provides insight into Hirschsprung disease pathogenesis.

Applications

Unspecified application

Species

Unspecified reactive species

Jichang Han,Xiaoyang Liu,Yixuan Wang,Qiongqian Xu,Dong Sun,Xintao Zhang,Xixi He,Chuncan Ma,Xue Ren,Jian Wang,Yaru Mou,Qiangye Zhang,Dongming Wang,Weijing Mu,Peimin Hou,Aiwu Li

BMJ open diabetes research & care 13: PubMed40716951

2025

Glucose absorption in the duodenum is modulated by an estrogen receptor α-dependent regulation of glucose transporter functional expression.

Applications

Unspecified application

Species

Unspecified reactive species

Jianhong Ding,Xiaoxu Yang,Weixi Shan,Jingyu Xu,Qian Du,Changmei Chen,Qiushi Liao,Jun Lou,Zhe Jin,Mingkai Chen,Rui Xie

Translational psychiatry 15:162 PubMed40335479

2025

Transcriptional evidence of reduced BDNF trophic capacity in the post-mortem human midbrain of schizophrenia cases with high inflammation.

Applications

Unspecified application

Species

Unspecified reactive species

Jessica J Chandra,Yunting Zhu,Alice Petty,Yasmine Kostoglou,William X Haynes,Maree J Webster,Cynthia S Weickert

PeerJ 13:e19329 PubMed40292108

2025

Three distinct classes of myenteric ganglia in mice and humans: insights from quantitative analyses.

Applications

Unspecified application

Species

Unspecified reactive species

Luyao Wu,Lei Xiang,Yingjian Chen,Handan Mao,Xinyao Meng,Jing Wang,Honglin Li,Xuyong Chen,Jiexiong Feng,Jun Xiao

Journal of oral & facial pain and headache 39:196-203 PubMed40129438

2025

Loss of SCRG1 in chondrocytes inhibits osteoarthritis by promoting autophagy activity in the temporomandibular joint through inhibition of neurokine receptors.

Applications

Unspecified application

Species

Unspecified reactive species

JiaJun Zhang,LePing Yuan,YanYan Zhang,HaoYang Jin,YeKe Zhao,XiaoKe Zeng,YanHui Zou,KeYu Wang,Xin Nie

Frontiers in immunology 16:1515490 PubMed40124382

2025

Identification and analysis of oxidative stress-related genes in endometriosis.

Applications

Unspecified application

Species

Unspecified reactive species

Chengmao Xie,Chang Lu,Na Lv,Weimin Kong,Yong Liu

Clinical and translational medicine 15:e70256 PubMed40038877

2025

Topical TYK2 inhibitor ameliorates psoriasis-like dermatitis via the AKT-SP1-NGFR-AP1 pathway in keratinocytes.

Applications

Unspecified application

Species

Unspecified reactive species

Zhiqin Fang,Rundong Jiang,Yutong Wang,Wangqing Chen,Xiang Chen,Mingzhu Yin

Molecular neurobiology 62:8261-8278 PubMed39994158

2025

Caloric Restriction Attenuated Nerve Damages Mediated Through SIRT-1-a Study Using Nerve Crush Injury Model in Rats.

Applications

Unspecified application

Species

Unspecified reactive species

Meei-Ling Sheu,Liang-Yi Pan,Szu-Yen Pan,Ying Ju Chen,Jason Sheehan,Weir-Chiang You,Chien-Chia Wang,Hung-Chuan Pan

Acta physiologica (Oxford, England) 241:e14279 PubMed39803764

2025

Left superior cervical ganglia lymph node mimicry and its role in rat ventricular arrhythmias following myocardial infarction.

Applications

Unspecified application

Species

Unspecified reactive species

Qingxia Yu,Yan Li,Wenju Yan,Weizhong Han,Qian Liu,Junyi Zhang,Xiaolu Li,Yugen Shi,Yu Wang,Jie Yin,Suhua Yan
View all publications

Abcam Product Promise

我们致力于为您的研究提供高质量的试剂,为您科研的每一步提供支持。若我们的产品未能达到预期性能,我们向您提供 Abcam Product Promise 保障。
详情请参阅我们的条款与条件。

Please note: All products are 'FOR RESEARCH USE ONLY. NOT FOR USE IN DIAGNOSTIC OR THERAPEUTIC PROCEDURES'.

For licensing inquiries, please contact partnerships@abcam.com