JavaScript is disabled in your browser. Please enable JavaScript to view this website.
AB124762

Anti-p63 抗体 [EPR5701]

Anti-p63 antibody [EPR5701]

  • BOND RX™ Validated
  • 20ul selling size
  • RabMAb
  • Advanced Validation
  • Recombinant
  • 了解详情

4

(13 Reviews)

|

(192 Publications)

Anti-p63 antibody [EPR5701] (ab124762) is a rabbit monoclonal antibody detecting p63 in Western Blot, Flow Cytometry (Intra), Flow Cytometry, IHC-P, ICC/IF, mIHC. Suitable for Human, Mouse, Rat.

- Multiplex IHC validated on the Leica BOND® MAX using Opal reagents
- Biophysical QC for unrivalled batch-batch consistency
- Over 130 publications

查看别名

KET, P63, P73H, P73L, TP73L, TP63, Tumor protein 63, p63, Chronic ulcerative stomatitis protein, Keratinocyte transcription factor KET, Transformation-related protein 63, Tumor protein p73-like, p40, p51, CUSP, p73L

7 Images
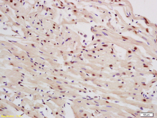
Immunohistochemistry (Formalin/PFA-fixed paraffin-embedded sections) - Anti-p63 antibody [EPR5701] (AB124762)
  • IHC-P

Unknown

Immunohistochemistry (Formalin/PFA-fixed paraffin-embedded sections) - Anti-p63 antibody [EPR5701] (AB124762)

Immunohistochemistry (Formalin/PFA-fixed paraffin-embedded sections) analysis of human breast tissue sections labeling p63 with purified ab124762 at 1/5000 dilution (0.16 μg/mL). Heat mediated antigen retrieval using Bond™™ Epitope Retrieval Solution 2 (pH 9.0). Rabbit specific IHC polymer detection kit HRP/DAB (ab209101) was used as the secondary antibody. Negative control : PBS instead of the primary antibody. Hematoxylin was used as a counterstain.

Flow Cytometry (Intracellular) - Anti-p63 antibody [EPR5701] (AB124762)
  • Flow Cyt (Intra)

Unknown

Flow Cytometry (Intracellular) - Anti-p63 antibody [EPR5701] (AB124762)

Intracellular Flow Cytometry analysis of A431 (Human epidermoid carcinoma epithelial cell) cells labeling p63 with Purified ab124762 at 1/80 dilution (10 μg/mL) (Red). Cells were fixed with 4% Paraformaldehyde and permeabilised with 90% Methanol. A Goat anti rabbit IgG (Alexa Fluor® 488, ab150077) secondary antibody was used at 1/2000. Isotype control - Rabbit monoclonal IgG (Black). Unlabeled control - Cell without incubation with primary antibody and secondary antibody (Blue).

Immunocytochemistry/ Immunofluorescence - Anti-p63 antibody [EPR5701] (AB124762)
  • ICC/IF

Unknown

Immunocytochemistry/ Immunofluorescence - Anti-p63 antibody [EPR5701] (AB124762)

Immunocytochemistry/ Immunofluorescence analysis of A431(Human epidermoid carcinoma epithelial cell) cells labeling p63 with Purified ab124762 at 1/200 dilution (4 μg/mL). Cells were fixed in 4% Paraformaldehyde and permeabilized with 0.1% tritonX-100. Goat anti rabbit IgG (Alexa Fluor® 488, ab150077) was used as the secondary antibody at 1/1000 (2 μg/mL) dilution. DAPI (blue) was used as nuclear counterstain. PBS instead of the primary antibody was used as the secondary antibody only control.

Immunocytochemistry/ Immunofluorescence - Anti-p63 antibody [EPR5701] (AB124762)
  • ICC/IF

AbReview39942****

Immunocytochemistry/ Immunofluorescence - Anti-p63 antibody [EPR5701] (AB124762)

Unpurified ab124762 staining p63 in Human corneal limbal epithelial cells (primary culture) by ICC/IF (immunocytochemistry/immunofluorescence). Cells were fixed with methanol and permeabilized with 0.3% Triton X-100 for 5 minutes. Samples were incubated with primary antibody (1/100 in PBS + 10% Goat serum) for 18 hours at 4°C. An Alexa Fluor® 488-conjugated Goat anti-rabbit IgG polyclonal (1/500) was used as the secondary antibody.

This image is courtesy of an Abreview submitted by Manuel Chacon

Multiplex immunohistochemistry - Anti-p63 antibody [EPR5701] (AB124762)
  • mIHC

Lab

Multiplex immunohistochemistry - Anti-p63 antibody [EPR5701] (AB124762)

Fluorescence multiplex immunohistochemical analysis of human prostate gland tissue (formalin/PFA-fixed paraffin-embedded section). Panel A : merged staining of anti-p63 (ab124762, magenta; Opal™690), anti-Cytokeratin 5 (ab236216, green; Opal™520) and anti-Prostate Specific Antigen (ab76113, red; Opal™570) on human prostate gland tissue. Panel B : anti-Prostate Specific Antigen stained on luminal cells. Panel C : anti-Cytokeratin 5 stained on cytoplasm of basal cells. Panel D : anti-p63 stained on nucleus of basal cells. Opal Polymer HRP Ms + Rb was used as a secondary antibody. The immunostaining was performed on a Leica Biosystems BOND® RX instrument with an Opal™ 4-color kit. The section was incubated in three rounds of staining : in the order of ab124762 (1/5000), ab236216 (1/400), and ab76113 (1/2000) for 30 mins at room temperature. Each round was followed by a separate fluorescent tyramide signal amplification system. Each round was followed by a separate fluorescent tyramide signal amplification system. Heat mediated antigen retrieval with Tris-EDTA buffer (pH 9.0, epitope retrieval solution 2) was used for 20 mins. DAPI (blue) was used as a nuclear counter stain. Image acquisition was performed with Leica SP8 confocal microscope.

Immunohistochemistry - Anti-p63 antibody [EPR5701] (AB124762)
  • IHC

Lab

Immunohistochemistry - Anti-p63 antibody [EPR5701] (AB124762)

Immunohistochemical analysis of formalin fixed paraffin embedded human prostate labelling p63 with ab124762 at a concentration of 0.1 µg/ml. The immunostaining was performed on a Ventana DISCOVERY ULTRA (Roche Tissue Diagnostics) instrument with a OptiView DAB IHC Detection Kit. Heat mediated antigen retrieval was performed with DISCOVERY cell conditioning solution (CC1) 100°C, pH8.5 for 32mins.

ab124762 anti-p63 [EPR5701] was incubated for 16 mins at 37°C. Sections were counterstained with Hematoxylin II. Image inset shows absence of staining in secondary antibody only control.

Customers are encouraged to optimise antigen retrieval conditions, antibody concentration, incubation times and temperature for best results in their own IHC assay workflow (automated and manual).

Western blot - Anti-p63 antibody [EPR5701] (AB124762)
  • WB

Unknown

Western blot - Anti-p63 antibody [EPR5701] (AB124762)

Blocking/Diluting buffer : 5% NFDM/TBST

The bands observed are consistent with what have been described in PMID 30649915 as isoforms of p63.

All lanes:

Western blot - Anti-p63 antibody [EPR5701] (ab124762) at 1/1000 dilution

Lane 1:

HaCaT (Human skin keratinocyte) whole cell lysates at 20 µg

Lane 2:

A431 (Human epidermoid carcinoma epithelial cell) whole cell lysates at 20 µg

Lane 3:

Mouse skin lysates at 20 µg

Lane 4:

Mouse thymus lysates at 20 µg

Lane 5:

Mouse bladder lysates at 20 µg

Lane 6:

Rat skin lysates at 20 µg

Lane 7:

Rat bladder lysates at 20 µg

Lane 8:

PC-12 (Rat adrenal gland pheochromocytoma) whole cell lysates at 20 µg

Secondary

All lanes:

Western blot - Goat Anti-Rabbit IgG H&L (HRP) (<a href='/products/secondary-antibodies/goat-rabbit-igg-h-l-hrp-ab97051'>ab97051</a>) at 1/20000 dilution

Predicted band size: 77 kDa

Observed band size: 37-75 kDa

false

不同偶联物与剂型 (5)

  • Carrier free

    Anti-p63 antibody [EPR5701] - BSA and Azide free

  • 665 Alexa Fluor® 647

    Alexa Fluor® 647 Anti-p63 antibody [EPR5701]

  • Biotin

    Biotin Anti-p63 antibody [EPR5701]

  • HRP

    HRP Anti-p63 antibody [EPR5701]

  • 519 Alexa Fluor® 488

    Alexa Fluor® 488 Anti-p63 antibody [EPR5701]

关键信息

宿主种属

Rabbit

克隆

Monoclonal

克隆号

EPR5701

亚型

IgG

不含载体蛋白

No

反应种属

Mouse, Rat, Human

应用

mIHC, IHC-P, ICC/IF, WB, Flow Cyt (Intra)

applications

免疫原

The exact immunogen used to generate this antibody is proprietary information.

特异性

The mouse and rat recommendation is based on the WB results. We do not guarantee IHC-P for mouse and rat.

反应性数据

{ "title": "Reactivity Data", "filters": { "stats": ["", "Species", "Dilution Info", "Notes"], "tabs": { "all-applications": {"fullname" : "All Applications", "shortname": "All Applications"}, "IHCP" : {"fullname" : "Immunohistochemistry (Formalin/PFA-fixed paraffin-embedded sections)", "shortname":"IHC-P"}, "WB" : {"fullname" : "Western blot", "shortname":"WB"}, "ICCIF" : {"fullname" : "Immunocytochemistry/ Immunofluorescence", "shortname":"ICC/IF"}, "FlowCytIntra" : {"fullname" : "Flow Cytometry (Intracellular)", "shortname":"Flow Cyt (Intra)"}, "mIHC" : {"fullname" : "Multiplex immunohistochemistry", "shortname":"mIHC"} }, "product-promise": { "all": "all", "testedAndGuaranteed": "tested", "guaranteed": "expected", "predicted": "predicted", "notRecommended": "not-recommended" } }, "values": { "Human": { "IHCP-species-checked": "testedAndGuaranteed", "IHCP-species-dilution-info": "1/5000", "IHCP-species-notes": "<p><strong>For unpurified, use 1/2500.</strong></p><p>The immunostaining was performed on a Leica Biosystems BOND<sup>®</sup> RX instrument.</p><p>The mouse and rat recommendation is based on the WB results. We do not guarantee IHC-P for mouse and rat.</p> Perform heat-mediated antigen retrieval before commencing with IHC staining protocol.", "WB-species-checked": "testedAndGuaranteed", "WB-species-dilution-info": "1/1000", "WB-species-notes": "<p><strong>For unpurified, use 1/200.</strong></p>", "ICCIF-species-checked": "testedAndGuaranteed", "ICCIF-species-dilution-info": "1/200", "ICCIF-species-notes": "<p><strong>For unpurified, use 1/60.</strong></p>", "FlowCytIntra-species-checked": "testedAndGuaranteed", "FlowCytIntra-species-dilution-info": "1/80", "FlowCytIntra-species-notes": "<p>For unpurified, use 1/1000. <a href='/products/primary-antibodies/rabbit-igg-monoclonal-epr25a-isotype-control-ab172730'>ab172730</a> - Rabbit monoclonal IgG, is suitable for use as an isotype control with this antibody.</p>", "mIHC-species-checked": "testedAndGuaranteed", "mIHC-species-dilution-info": "1/5000", "mIHC-species-notes": "<p></p>" }, "Mouse": { "IHCP-species-checked": "notRecommended", "IHCP-species-dilution-info": "", "IHCP-species-notes": "<p></p>", "WB-species-checked": "testedAndGuaranteed", "WB-species-dilution-info": "1/1000", "WB-species-notes": "<p><strong>For unpurified, use 1/200.</strong></p>", "ICCIF-species-checked": "guaranteed", "ICCIF-species-dilution-info": "", "ICCIF-species-notes": "", "FlowCytIntra-species-checked": "guaranteed", "FlowCytIntra-species-dilution-info": "", "FlowCytIntra-species-notes": "", "mIHC-species-checked": "guaranteed", "mIHC-species-dilution-info": "", "mIHC-species-notes": "" }, "Rat": { "IHCP-species-checked": "notRecommended", "IHCP-species-dilution-info": "", "IHCP-species-notes": "<p></p>", "WB-species-checked": "testedAndGuaranteed", "WB-species-dilution-info": "1/1000", "WB-species-notes": "<p><strong>For unpurified, use 1/200.</strong></p>", "ICCIF-species-checked": "guaranteed", "ICCIF-species-dilution-info": "", "ICCIF-species-notes": "", "FlowCytIntra-species-checked": "guaranteed", "FlowCytIntra-species-dilution-info": "", "FlowCytIntra-species-notes": "", "mIHC-species-checked": "guaranteed", "mIHC-species-dilution-info": "", "mIHC-species-notes": "" } } }

产品详情

Product Specifications
Anti-p63 antibody [EPR5701] (ab124762) was developed by Abcam using patented rabbit monoclonal antibody technology and is validated for use in Flow Cyt (Intra), ICC/IF, IHC-P, WB, mIHC in human, mouse, rat samples.
Anti-p63 antibody [EPR5701] (ab124762) specifically detects p63 (UniProt ID: Q9H3D4; Molecular weight: 77kDa) and is sold in a convenient trial size to enable initial testing (20 µL) and larger sizes for subsequent scaling up experiments (100 µL and 1 mL).

Quality and Validation
Abcam's high quality manufacturing and validation processes ensure Anti-p63 antibody [EPR5701] (ab124762) has high sensitivity and specificity alongside high lot-to-lot consistency and reproducibility.
Anti-p63 antibody [EPR5701] (ab124762) has been cited over 138 times in peer reviewed journals and is trusted by the scientific community.
Anti-p63 antibody [EPR5701] (ab124762) has 11 independent reviews from customers.

Related Products
Antibody clone EPR5701 is also available pre-conjugated to a variety of labels for your convenience - HRP, Biotin, Alexa Fluor® 488, Alexa Fluor® 647 (ab202357, ab202861, ab246727, ab246728).

Patented technology
Our RabMAb® technology is a patented hybridoma-based technology for making rabbit monoclonal antibodies. For details on our patents, please refer to RabMAb® patents.

What are the advantages of a recombinant monoclonal antibody?
This product is a recombinant monoclonal antibody, which offers several advantages including:

  • - High batch-to-batch consistency and reproducibility
  • - Improved sensitivity and specificity
  • - Long-term security of supply
  • - Animal-free batch production

For more information, read more on recombinant antibodies.

性能和储存信息

形式
Liquid
纯化工艺
Affinity purification Protein A
存储溶液
pH: 7.2 - 7.4 Preservative: 0.01% Sodium azide Constituents: PBS, 40% Glycerol (glycerin, glycerine), 0.05% BSA
运输条件
Blue Ice
推荐的短期储存时间
1-2 weeks
推荐的短期储存条件
+4°C
推荐的长期储存条件
-20°C
分装信息
Upon delivery aliquot
储存信息
Avoid freeze / thaw cycle

补充信息

This supplementary information is collated from multiple sources and compiled automatically.

The p63 protein also known as TP63 or KET is a transcription factor that plays a role in the regulation of cell cycle and apoptosis. With a molecular mass of approximately 77 kDa it expresses predominantly in epithelial tissues such as those in the skin breast and prostate. The expression pattern of p63 makes it a useful marker in developmental biology and cancer diagnosis. Antibodies like '4A4' specifically recognize p63 in various assays including immunohistochemistry.
Biological function summary

P63 participates in the control of epithelial cell differentiation and proliferation. It functions as a member of the p53 family which includes p53 and p73. This family forms an important part of the complex regulatory network that maintains genomic stability. Research using methods like p63 staining in immunohistochemistry highlights its critical role in stratified epithelia. The gene encodes several isoforms with different biological activities impacting processes such as cellular senescence and development.

Pathways

P63 integrates into various signaling pathways that influence cellular growth and adherence. It notably impacts the Notch and Wnt pathways both of which are critical for developmental processes and cancer progression. Through these pathways p63 interacts with proteins like β-catenin and Notch receptors facilitating cross-talk that influences cell fate decisions. Its function relates closely to other transcription factors forming feedback loops that reinforce its regulatory impact.

P63 shows strong associations with ectodermal dysplasia and different types of cancers like squamous cell carcinoma. Mutations and altered expressions of p63 contribute to these pathologies by disrupting normal cell proliferation and differentiation. The protein interacts closely with p73 in cancer suggesting a compensatory role when p63 function is compromised. Understanding these connections can guide the development of targeted therapies and improve diagnostic accuracy.

产品实验方案

For this product, it's our understanding that no specific protocols are required. You can visit:

靶点信息

Acts as a sequence specific DNA binding transcriptional activator or repressor. The isoforms contain a varying set of transactivation and auto-regulating transactivation inhibiting domains thus showing an isoform specific activity. Isoform 2 activates RIPK4 transcription. May be required in conjunction with TP73/p73 for initiation of p53/TP53 dependent apoptosis in response to genotoxic insults and the presence of activated oncogenes. Involved in Notch signaling by probably inducing JAG1 and JAG2. Plays a role in the regulation of epithelial morphogenesis. The ratio of DeltaN-type and TA*-type isoforms may govern the maintenance of epithelial stem cell compartments and regulate the initiation of epithelial stratification from the undifferentiated embryonal ectoderm. Required for limb formation from the apical ectodermal ridge. Activates transcription of the p21 promoter.
See full target information TP63

文献 (192)

Recent publications for all applications. Explore the full list and refine your search

Nature biotechnology : PubMed41028831

2025

Derivation of embryonic stem cells across avian species.

Applications

Unspecified application

Species

Unspecified reactive species

Xi Chen,Zheng Guo,Xinyi Tong,Xizi Wang,Xugeng Liu,Hiroki Nagai,Ping Wu,Jiayi Lu,David Huss,Martin Tran,Carol Readhead,Christina Wu,Lin Cao,Yixin Huang,Zhaohan Zeng,Fan Feng,Nima Adhami,Sirjan Mor,Rusty Lansford,Cheng-Ming Chuong,Guojun Sheng,Carlos Lois,Qi-Long Ying

Cells 14: PubMed41002379

2025

Mechanotransduction-Mediated Expansion of Rabbit Vocal Fold Epithelial Cells via ROCK Inhibition and Stromal Cell-Derived Paracrine Signals.

Applications

Unspecified application

Species

Unspecified reactive species

Samjhana Thapa,Joo Hyun Kim,Jun Yeong Jeong,Sung Sik Hur,Seung Won Lee,Yongsung Hwang

Cells 14: PubMed40710298

2025

Bioengineering a Human Dermal Equivalent Using Induced Pluripotent Stem Cell-Derived Fibroblasts to Support the Formation of a Full-Thickness Skin Construct.

Applications

Unspecified application

Species

Unspecified reactive species

Lucy Smith,David Bunton,Michael Finch,Stefan Przyborski

International journal of molecular sciences 26: PubMed40508040

2025

Ankyloblepharon-Ectodermal Defects-Cleft Lip/Palate Syndrome-Linked p63 Mutations Disrupt Keratinocyte Proliferation and Survival Through Oxidative Stress and Impaired Slc7a11 Expression.

Applications

Unspecified application

Species

Unspecified reactive species

Daniela Di Girolamo,Sara Palumbo,Dario Antonini,Ludovica D'Auria,Vincenza Cerbone,Tommaso Porcelli,Federica Cavallo,Enzo Calautti,Chiara Riganti,Caterina Missero

STAR protocols 6:103871 PubMed40478740

2025

Protocol to infect differentiated human primary bronchial epithelial cells with live mycobacteria and determine intracellular load.

Applications

Unspecified application

Species

Unspecified reactive species

Amy M Barclay,Kimberley V Walburg,Dennis K Ninaber,Tom H M Ottenhoff,Pieter S Hiemstra,Anne M van der Does,Simone A Joosten

The Journal of clinical investigation 135: PubMed40454484

2025

Polybromo 1/vimentin axis dictates tumor grade, epithelial-mesenchymal transition, and metastasis in pancreatic cancer.

Applications

Unspecified application

Species

Unspecified reactive species

Munenori Kawai,Akihisa Fukuda,Munehiro Ikeda,Kei Iimori,Kenta Mizukoshi,Kosuke Iwane,Go Yamakawa,Mayuki Omatsu,Mio Namikawa,Makoto Sono,Tomonori Masuda,Yuichi Fukunaga,Munemasa Nagao,Osamu Araki,Takaaki Yoshikawa,Satoshi Ogawa,Yukiko Hiramatsu,Motoyuki Tsuda,Takahisa Maruno,Yuki Nakanishi,Dieter Saur,Tatsuaki Tsuruyama,Toshihiko Masui,Etsuro Hatano,Hiroshi Seno

International journal of molecular sciences 26: PubMed40362361

2025

Effect of Diethylstilbestrol on Implantation and Decidualization in Mice.

Applications

Unspecified application

Species

Unspecified reactive species

Feng Ran,Si-Ting Chen,Meng-Yuan Li,Dan-Dan Jin,Zeng-Ming Yang

Nature communications 16:3215 PubMed40185723

2025

A human model to deconvolve genotype-phenotype causations in lung squamous cell carcinoma.

Applications

Unspecified application

Species

Unspecified reactive species

Julia Ogden,Robert Sellers,Sudhakar Sahoo,Anthony Oojageer,Anshuman Chaturvedi,Caroline Dive,Carlos Lopez-Garcia

Stem cell research & therapy 16:140 PubMed40102996

2025

Airway basal stem cell-derived extracellular vesicles modulate proliferation, migration and collagen deposition of fibroblasts.

Applications

Unspecified application

Species

Unspecified reactive species

Lisi Luo,Huijie Yang,Junfeng Huang,Difei Chen,Yushan He,Jinsheng Lin,Haikang Zeng,Chu Hua,Zikai Lin,Minting Wu,Yuqin Ma,Qilin Deng,Ming Liu,Shiyue Li

Journal of cell science 138: PubMed40065746

2025

Compound screening in human airway basal cells identifies Wnt pathway activators as potential pro-regenerative therapies.

Applications

Unspecified application

Species

Unspecified reactive species

Yuki Ishii,Jessica C Orr,Marie-Belle El Mdawar,Denise R Bairros de Pilger,David R Pearce,Kyren A Lazarus,Rebecca E Graham,Marko Z Nikolić,Robin Ketteler,Neil O Carragher,Sam M Janes,Robert E Hynds
View all publications
websiteProtocolBooklet
en

Abcam Product Promise

我们致力于为您的研究提供高质量的试剂,为您科研的每一步提供支持。若我们的产品未能达到预期性能,我们向您提供 Abcam Product Promise 保障。
详情请参阅我们的条款与条件。

Please note: All products are 'FOR RESEARCH USE ONLY. NOT FOR USE IN DIAGNOSTIC OR THERAPEUTIC PROCEDURES'.

For licensing inquiries, please contact partnerships@abcam.com