JavaScript is disabled in your browser. Please enable JavaScript to view this website.
AB211020

重组Anti-p53抗体[EPR20416-117]

Anti-p53 antibody [EPR20416-117]

  • RabMAb
  • Recombinant
  • Lab Essentials
  • 20ul selling size
  • 了解详情

Be the first to review this product! Submit a review

|

(1 Publication)

Rabbit Recombinant Monoclonal P53 antibody. Suitable for IP, WB and reacts with Mouse samples. Cited in 1 publication.

查看别名

P53, Trp53, Tp53, Cellular tumor antigen p53, Tumor suppressor p53

3 Images
Western blot - Anti-p53 antibody [EPR20416-117] (AB211020)
  • WB

Supplier Data

Western blot - Anti-p53 antibody [EPR20416-117] (AB211020)

Blocking/Dilution buffer : 5% NFDM/TBST.

The expression profile/ molecular weight observed is consistent with what has been described in the literature (PMID : 27702985).

All lanes:

Western blot - Anti-p53 antibody [EPR20416-117] (ab211020) at 1/1000 dilution

Lane 1:

LLC1 (mouse lung carcinoma cell line) whole cell lysate at 10 µg

Lane 2:

RAW 264.7 (mouse macrophage cell line transformed with Abelson murine leukemia virus) whole cell lysate at 10 µg

Secondary

All lanes:

Western blot - Goat Anti-Rabbit IgG H&L (HRP) (<a href='/products/secondary-antibodies/goat-rabbit-igg-h-l-hrp-ab97051'>ab97051</a>) at 1/100000 dilution

Predicted band size: 43 kDa

Observed band size: 53 kDa

false

Exposure time: 3min

Western blot - Anti-p53 antibody [EPR20416-117] (AB211020)
  • WB

Supplier Data

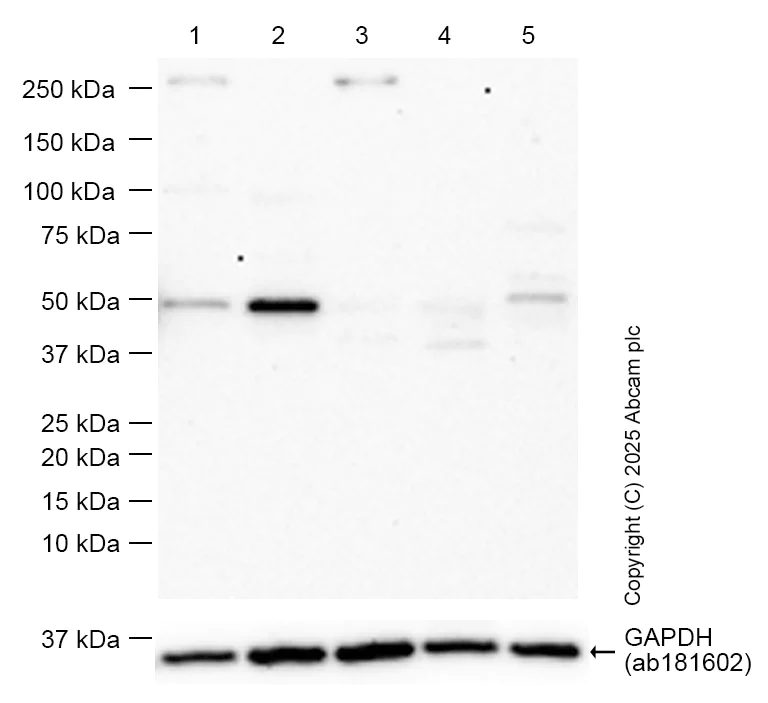
Western blot - Anti-p53 antibody [EPR20416-117] (AB211020)

Blocking and diluting buffer and concentration : 5% NFDM/TBST.

Low or negative sample : normal brain (PMID : 32778161); normal liver (PMID : 10949934); NIH/3T3 (PMID : 10628835).

All lanes:

Western blot - Anti-p53 antibody [EPR20416-117] (ab211020) at 1/1000 dilution

Lane 1:

Mouse spleen tissue lysate at 20 µg

Lane 2:

Mouse thymus tissue lysate at 20 µg

Lane 3:

Mouse brain tissue lysate at 20 µg

Lane 4:

Mouse liver tissue lysate at 20 µg

Lane 5:

NIH/3T3 (mouse embryonic fibroblast) whole cell lysate at 20 µg

Secondary

All lanes:

Western blot - Goat Anti-Rabbit IgG H&L (HRP) (<a href='/products/secondary-antibodies/goat-rabbit-igg-h-l-hrp-ab97051'>ab97051</a>) at 1/20000 dilution

Predicted band size: 53 kDa

Observed band size: 53 kDa,37 kDa

false

Exposure time: 180s

Immunoprecipitation - Anti-p53 antibody [EPR20416-117] (AB211020)
  • IP

Supplier Data

Immunoprecipitation - Anti-p53 antibody [EPR20416-117] (AB211020)

p53 was immunoprecipitated from 0.35 mg LLC1 (mouse lung carcinoma cell line) whole cell lysate with ab211020 at 1/30 dilution. Western blot was performed from the immunoprecipitate using ab211020 at 1/1000 dilution. VeriBlot for IP Detection Reagent (HRP) (ab131366), was used for detection at 1/5000 dilution.

Lane 1 : LLC1 whole cell lysate 10 μg (Input).
Lane 2 : ab211020 IP in LLC1 whole cell lysate.
Lane 3 : Rabbit monoclonal IgG (ab172730) instead of ab211020 in LLC1 whole cell lysate.

Blocking/Dilution buffer : 5% NFDM/TBST.
Exposure time : 30 seconds.

All lanes:

Immunoprecipitation - Anti-p53 antibody [EPR20416-117] (ab211020)

Predicted band size: 43 kDa

Observed band size: 53 kDa

false

关键信息

宿主种属

Rabbit

克隆

Monoclonal

克隆号

EPR20416-117

亚型

IgG

不含载体蛋白

No

反应种属

Mouse

应用

WB, IP

applications

免疫原

The exact immunogen used to generate this antibody is proprietary information.

反应性数据

{ "title": "Reactivity Data", "filters": { "stats": ["", "Species", "Dilution Info", "Notes"], "tabs": { "all-applications": {"fullname" : "All Applications", "shortname": "All Applications"}, "IP" : {"fullname" : "Immunoprecipitation", "shortname":"IP"}, "FlowCyt" : {"fullname" : "Flow Cytometry", "shortname":"Flow Cyt"}, "WB" : {"fullname" : "Western blot", "shortname":"WB"}, "IHCP" : {"fullname" : "Immunohistochemistry (Formalin/PFA-fixed paraffin-embedded sections)", "shortname":"IHC-P"}, "ICCIF" : {"fullname" : "Immunocytochemistry/ Immunofluorescence", "shortname":"ICC/IF"} }, "product-promise": { "all": "all", "testedAndGuaranteed": "tested", "guaranteed": "expected", "predicted": "predicted", "notRecommended": "not-recommended" } }, "values": { "Mouse": { "IP-species-checked": "testedAndGuaranteed", "IP-species-dilution-info": "1/30", "IP-species-notes": "<p></p>", "FlowCyt-species-checked": "notRecommended", "FlowCyt-species-dilution-info": "", "FlowCyt-species-notes": "<p></p>", "WB-species-checked": "testedAndGuaranteed", "WB-species-dilution-info": "1/1000", "WB-species-notes": "<p></p>", "IHCP-species-checked": "notRecommended", "IHCP-species-dilution-info": "", "IHCP-species-notes": "<p></p>", "ICCIF-species-checked": "notRecommended", "ICCIF-species-dilution-info": "", "ICCIF-species-notes": "<p></p>" } } }

产品详情

Patented technology
Our RabMAb® technology is a patented hybridoma-based technology for making rabbit monoclonal antibodies. For details on our patents, please refer to RabMAb® patents.

What are the advantages of a recombinant monoclonal antibody?
This product is a recombinant monoclonal antibody, which offers several advantages including:

  • - High batch-to-batch consistency and reproducibility
  • - Improved sensitivity and specificity
  • - Long-term security of supply
  • - Animal-free batch production

For more information, read more on recombinant antibodies.

性能和储存信息

形式
Liquid
纯化工艺
Affinity purification Protein A
存储溶液
pH: 7.2 - 7.4 Preservative: 0.01% Sodium azide Constituents: PBS, 40% Glycerol (glycerin, glycerine), 0.05% BSA
运输条件
Blue Ice
推荐的短期储存时间
1-2 weeks
推荐的短期储存条件
+4°C
推荐的长期储存条件
-20°C
分装信息
Upon delivery aliquot
储存信息
Avoid freeze / thaw cycle

补充信息

This supplementary information is collated from multiple sources and compiled automatically.

The protein p53 also known as TP53 or tumor protein p53 has a molecular weight of approximately 53 kDa. It acts as a transcription factor and plays a major role in cell cycle regulation apoptosis and maintaining genomic stability. This protein mainly expresses in the nucleus of cells and acts as a critical regulator of cellular responses to stress signals including DNA damage. Scientists commonly use p53 antibodies in various assays like western blot and p53 immunofluorescence to detect and study its expression and functional status in cells.
Biological function summary

P53 functions to control cell division and apoptosis serving as a guardian of the genome by preventing mutation accumulation. It does not form part of a larger complex under normal conditions but interacts with various other molecules to execute its functions. p53 can activate or suppress the transcription of numerous genes involved in cell cycle arrest DNA repair and programmed cell death allowing it to halt the progression of damaged cells and trigger repair mechanisms or eliminate those that cannot be repaired.

Pathways

P53 acts within several key biological pathways such as the p53 signaling pathway and the intrinsic apoptotic pathway. Its activity involves interaction with proteins like MDM2 which regulates p53 through ubiquitin-mediated degradation and ATM kinase which phosphorylates p53 in response to DNA damage. These interactions ensure appropriate cellular responses during stress and are vital for maintaining homeostasis.

P53 mutation or inactivation is often associated with the development of cancer given its role in controlling cell division and preventing tumor formation. Specifically its dysfunction has been linked to cancers such as breast cancer and lung cancer. Additionally p53 can interact with other mutant proteins like Ras compounding mutations that contribute to tumor progression and aggressive cancer phenotypes. Understanding these interactions and the status of p53 can be important in developing targeted cancer therapies.

产品实验方案

For this product, it's our understanding that no specific protocols are required. You can visit:

靶点信息

Multifunctional transcription factor that induces cell cycle arrest, DNA repair or apoptosis upon binding to its target DNA sequence (PubMed : 19556538, PubMed : 20673990, PubMed : 22726440). Acts as a tumor suppressor in many tumor types; induces growth arrest or apoptosis depending on the physiological circumstances and cell type. Negatively regulates cell division by controlling expression of a set of genes required for this process. One of the activated genes is an inhibitor of cyclin-dependent kinases. Apoptosis induction seems to be mediated either by stimulation of BAX and FAS antigen expression, or by repression of Bcl-2 expression. Its pro-apoptotic activity is activated via its interaction with PPP1R13B/ASPP1 or TP53BP2/ASPP2 (By similarity). However, this activity is inhibited when the interaction with PPP1R13B/ASPP1 or TP53BP2/ASPP2 is displaced by PPP1R13L/iASPP (By similarity). In cooperation with mitochondrial PPIF is involved in activating oxidative stress-induced necrosis; the function is largely independent of transcription. Prevents CDK7 kinase activity when associated to CAK complex in response to DNA damage, thus stopping cell cycle progression (By similarity). Induces the transcription of long intergenic non-coding RNA p21 (lincRNA-p21) and lincRNA-Mkln1. LincRNA-p21 participates in TP53-dependent transcriptional repression leading to apoptosis, but seems to have to effect on cell-cycle regulation. Regulates the circadian clock by repressing CLOCK-BMAL1-mediated transcriptional activation of PER2 (PubMed : 24051492).
See full target information Tp53

文献 (1)

Recent publications for all applications. Explore the full list and refine your search

Theranostics 15:5826-5845 PubMed40365295

2025

GPX4 knockdown suppresses M2 macrophage polarization in gastric cancer by modulating kynurenine metabolism.

Applications

Unspecified application

Species

Unspecified reactive species

Jingli Xu,Chunyan Weng,Yanqiang Zhang,Qianyu Zhao,Jiahui Chen,Siwei Pan,Yan Wang,Ruolan Zhang,Yuqi Wang,Weiwei Zhu,Mengxuan Cao,Dan Zu,Shengjie Zhang,Zhiyuan Xu,Can Hu,Xiangdong Cheng
View all publications

Abcam Product Promise

我们致力于为您的研究提供高质量的试剂,为您科研的每一步提供支持。若我们的产品未能达到预期性能,我们向您提供 Abcam Product Promise 保障。
详情请参阅我们的条款与条件。

Please note: All products are 'FOR RESEARCH USE ONLY. NOT FOR USE IN DIAGNOSTIC OR THERAPEUTIC PROCEDURES'.

For licensing inquiries, please contact partnerships@abcam.com