JavaScript is disabled in your browser. Please enable JavaScript to view this website.
AB32389

重组Anti-p53抗体[E26]

Anti-p53 antibody [E26]

  • BOND RX™ Validated
  • RabMAb
  • Recombinant
  • KO Validated
  • Lab Essentials
  • 20ul selling size
  • 了解详情

Be the first to review this product! Submit a review

|

(165 Publications)

Anti-p53 antibody [E26] (ab32389) is a rabbit monoclonal antibody detecting p53 in Western Blot, Flow Cytometry, IHC-P, ICC/IF. Suitable for Human.

- KO validated for confirmed specificity
- Biophysical QC for unrivalled batch-batch consistency
- Over 110 publications
- Trusted since 2006

查看别名

P53, TP53, Cellular tumor antigen p53, Antigen NY-CO-13, Phosphoprotein p53, Tumor suppressor p53

9 Images
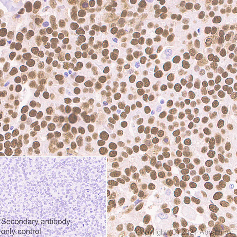
Immunohistochemistry (Formalin/PFA-fixed paraffin-embedded sections) - Anti-p53 antibody [E26] (AB32389)
  • IHC-P

Lab

Immunohistochemistry (Formalin/PFA-fixed paraffin-embedded sections) - Anti-p53 antibody [E26] (AB32389)

Immunohistochemistry (Formalin/PFA-fixed paraffin-embedded sections) analysis of human endometrium cancer tissue sections labelling p53 with purified ab32389 at 1/5000 dilution (0.09 μg/ml). Heat mediated antigen retrieval was performed using Heat mediated antigen retrieval using Bond™ Epitope Retrieval Solution 2 (pH 9.0) . Tissue was counterstained with Hematoxylin. Rabbit specific IHC polymer detection kit HRP/DAB (ab209101) secondary antibody was use. PBS instead of the primary antibody was used as the negative control. The immunostaining was performed on a Leica Biosystems BOND® RX instrument.

Immunocytochemistry/ Immunofluorescence - Anti-p53 antibody [E26] (AB32389)
  • ICC/IF

Lab

Immunocytochemistry/ Immunofluorescence - Anti-p53 antibody [E26] (AB32389)

Immunocytochemistry analysis of A431 (Human epidermoid carcinoma epithelial cell) cells labeling p53 with purified ab32389 at 1/50 dilution (8.7 μg/mL). Cells were fixed in 4% Paraformaldehyde and permeabilized with 0.1% tritonX-100. Cells were counterstained with ab195889 Anti-alpha Tubulin antibody [DM1A] - Microtubule Marker (Alexa Fluor® 594) 1/200 (2.5 μg/mL). Goat anti rabbit IgG (Alexa Fluor® 488, ab150077) was used as the secondary antibody at 1/1000 (2 μg/mL) dilution. DAPI (blue) was used as nuclear counterstain. PBS instead of the primary antibody was used as the secondary antibody only control.

Flow Cytometry - Anti-p53 antibody [E26] (AB32389)
  • Flow Cyt

Supplier Data

Flow Cytometry - Anti-p53 antibody [E26] (AB32389)

Flow cytometric analysis of 4% Paraformaldehyde fixed 90% Methanol permeabilized HEK-293 (Human embryonic kidney epithelial cell) cells labelling p53 with ab32389 at 1/500 dilution (1 μg/ml) compared with a Rabbit monoclonal IgG (Black) isotype control and an unlabelled control (cells without incubation with primary antibody and secondary antibody) (Blue). A Goat anti rabbit IgG (Alexa Fluor® 488, ab150077) at 1/2000 was used as the secondary antibody.

Immunocytochemistry/ Immunofluorescence - Anti-p53 antibody [E26] (AB32389)
  • ICC/IF

Lab

Immunocytochemistry/ Immunofluorescence - Anti-p53 antibody [E26] (AB32389)

ab32389 staining p53 in wild-type Hap1 cells (top panel) and p53 knockout Hap1 cells (bottom panel). The cells were fixed with 100% methanol (5 min), permeabilized with 0.1% Triton X-100 for 5 minutes and then blocked with 1% BSA/10% normal goat serum/0.3M glycine in 0.1% PBS-Tween for 1h. The cells were then incubated with ab32389 at 1μg/ml concentration and ab7291 (Mouse monoclonal to alpha Tubulin) at 1/1000 dilution overnight at +4°C, followed by a further incubation at room temperature for 1h with a goat secondary antibody to rabbit IgG (Alexa Fluor® 488) (ab150081) at 2 μg/ml (shown in green) and a goat secondary antibody to mouse IgG (Alexa Fluor® 594) (ab150120) at 2 μg/ml (shown in pseudo color red). Nuclear DNA was labelled in blue with DAPI.

Image was taken with a high-content analysis system (Perkin Elmer, Operetta CLS™).

Western blot - Anti-p53 antibody [E26] (AB32389)
  • WB

Lab

Western blot - Anti-p53 antibody [E26] (AB32389)

Western blot : Anti-p53 antibody [E26] ab32389 staining at 1/1000 dilution, shown in green; Mouse anti-CANX ab238078 loading control staining at 1/20000 dilution, shown in magenta. A band was observed at 50 kDa in Wild-type MCF7 cell lysates with no signal observed at this size in TP53 knockout MCF7 cell line. To generate this image, samples were run on an SDS-PAGE gel then transferred onto a nitrocellulose membrane. Membranes were blocked in 5pc Milk in TBS-0.1 % Tween 20 (TBS-T) before incubation with primary antibodies overnight at 4 °C. Blots were washed four times in TBS-T, incubated with secondary antibodies for 1 h at room temperature, washed again four times then imaged. Secondary antibodies used were Goat anti-Rabbit 800CW and Goat anti-Mouse 680RD at 1/20,000 dilution.

All lanes:

Western blot - Anti-p53 antibody [E26] (ab32389) at 1/1000 dilution

Lane 1:

Wild-type MCF7 whole cell lysate at 20 µg

Lane 2:

Western blot - Human TP53 knockout MCF7 cell line (<a href='/products/cell-lines/human-tp53-knockout-mcf7-cell-line-ab286440'>ab286440</a>) at 20 µg

Lane 3:

Wild-type A549 whole cell lysate at 20 µg

Lane 4:

TP53 knockout A549 whole cell lysate at 20 µg

Secondary

All lanes:

Goat anti-Rabbit 800CW & Goat anti-Mouse 680RD at 1/20000 dilution

Predicted band size: 50 kDa

Observed band size: 50 kDa

false

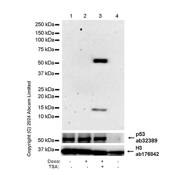
Western blot - Anti-p53 antibody [E26] (AB32389)
  • WB

Supplier Data

Western blot - Anti-p53 antibody [E26] (AB32389)

Blocking and diluting buffer and concentration : 5% NFDM/TBST.

Negative control : Saos-2 (PMID : 25490093)

The expression of acetyl p53 is upregulated in response to doxorubicin and TSA treatment (PMID : 15123817).

The identity of the lower MW band at approximately 15 kDa is unknown.

In Western blot, Anti-GAPDH antibody [EPR16891] - Loading Control (ab181602) staining at 1/200000 dilution.

All lanes:

Western blot - Anti-p53 (acetyl K305 + K370 + K373) antibody [RM1200] (<a href='/products/primary-antibodies/p53-acetyl-k305-k370-k373-antibody-rm1200-ab321819'>ab321819</a>) at 1/1000 dilution

Lane 1:

Untreated HeLa (human cervical adenocarcinoma epithelial cell) whole cell lysate at 20 µg

Lane 2:

HeLa treated with 0.5µM Doxorubicin (<a href='/products/biochemicals/doxorubicin-hydrochloride-topoisomerase-ii-inhibitor-ab120629'>ab120629</a>) for 24 hours whole cell lysate at 20 µg

Lane 3:

HeLa treated with 0.5µM Doxorubicin and 500ng/ml TSA(Trichostatin A) for 24 hours whole cell lysate at 20 µg

Lane 4:

Saos-2 (human osteosarcoma epithelial cell) whole cell lysate at 20 µg

Secondary

All lanes:

Western blot - Goat Anti-Rabbit IgG H&L (HRP) (<a href='/products/secondary-antibodies/goat-rabbit-igg-h-l-hrp-ab97051'>ab97051</a>) at 1/100000 dilution

Observed band size: 53 kDa,36 kDa

false

Exposure time: 180s

Western blot - Anti-p53 antibody [E26] (AB32389)
  • WB

Lab

Western blot - Anti-p53 antibody [E26] (AB32389)

The isoforms of p53 produced by alternative splicing of the intron 9 have been described by the literatures (PMID : 16131611, 29235495 and 22647703).

All lanes:

Western blot - Anti-p53 antibody [E26] (ab32389) at 1/10000 dilution

All lanes:

HEK-293 (Human embryonic kidney epithelial cell) whole cell lysate at 15 µg

Secondary

All lanes:

Western blot - Goat Anti-Rabbit IgG H&L (HRP) (<a href='/products/secondary-antibodies/goat-rabbit-igg-h-l-hrp-ab97051'>ab97051</a>) at 1/20000 dilution

Predicted band size: 43 kDa

Observed band size: 46 kDa,53 kDa

false

Western blot - Anti-p53 antibody [E26] (AB32389)
  • WB

Unknown

Western blot - Anti-p53 antibody [E26] (AB32389)

Lane 1 : Wild type HAP1 whole cell lysate (20 μg)
Lane 2 : p53 knockout HAP1 whole cell lysate (20 μg)
Lane 3 : HEK293 whole cell lysate (20 μg)
Lane 4 : A431 whole cell lysate (20 μg)

Lanes 1 - 4 : Merged signal (red and green). Green - ab32389 observed at 50 kDa. Red - loading control, ab9484, observed at 37 kDa.

ab32389 was shown to specifically react with p53 in wild type HAP1 cells. No band was observed when p53 knockout samples were used. Wild-type and p53 knockout samples were subjected to SDS-PAGE. ab32389 and ab9484 (Mouse anti-GAPDH loading control) were incubated overnight at 4°C at 1/1000 dilution and 1/20000 dilution respectively. Blots were developed with Goat anti-Rabbit IgG H&L (IRDye® 800CW) preabsorbed ab216773 and Goat anti-Mouse IgG H&L (IRDye® 680RD) preabsorbed ab216776 secondary antibodies at 1/20000 dilution for 1 hour at room temperature before imaging.

All lanes:

Western blot - Anti-p53 antibody [E26] (ab32389)

Predicted band size: 43 kDa

false

Western blot - Anti-p53 antibody [E26] (AB32389)
  • WB

Lab

Western blot - Anti-p53 antibody [E26] (AB32389)

False colour image of Western blot : Anti-p53 antibody [E26] staining at 1/1000 dilution, shown in green; Mouse anti-Alpha Tubulin [DM1A] (ab7291) loading control staining at 1/20000 dilution, shown in red. In Western blot, ab32389 was shown to bind specifically to p53. A band was observed at 49 kDa in wild-type A549 and Jurkat cell lysates with no signal observed at this size in tp53 knockout cell lines ab276092, ab276112 (knockout cell lysates ab282999, ab283832). To generate this image, wild-type and tp53 knockout A549 and Jurkat cell lysates were analysed. First, samples were run on an SDS-PAGE gel then transferred onto a nitrocellulose membrane. Membranes were blocked in 3% milk in TBS-0.1 % Tween® 20 (TBS-T) before incubation with primary antibodies overnight at 4°C. Blots were washed four times in TBS-T, incubated with secondary antibodies for 1 h at room temperature, washed again four times then imaged. Secondary antibodies used were Goat anti-Rabbit IgG H&L (IRDye® 800CW) preabsorbed (ab216773) and Goat anti-Mouse IgG H&L (IRDye® 680RD) preabsorbed (ab216776) at 1/20000 dilution.

All lanes:

Western blot - Anti-p53 antibody [E26] (ab32389) at 1/1000 dilution

Lane 1:

Wild-type A549 cell lysate at 20 µg

Lane 2:

TP53 knockout A549 cell lysate at 20 µg

Lane 2:

Western blot - Human TP53 (p53) knockout Jurkat cell line (<a href='/products/cell-lines/human-tp53-p53-knockout-jurkat-cell-line-ab276112'>ab276112</a>)

Lane 3:

Wild-type Jurkat cell lysate at 20 µg

Lane 4:

TP53 knockout Jurkat cell lysate at 20 µg

Lane 5:

A431 cell lysate at 20 µg

Lane 6:

Saos-2 cell lysate at 20 µg

Predicted band size: 43 kDa

Observed band size: 49 kDa

false

不同偶联物与剂型 (9)

关键信息

宿主种属

Rabbit

克隆

Monoclonal

克隆号

E26

亚型

IgG

不含载体蛋白

No

反应种属

Human

应用

IHC-P, ICC/IF, Flow Cyt, WB

applications

免疫原

The exact immunogen used to generate this antibody is proprietary information.

特异性

The antibody should recognize human wild-type and mutant p53.

反应性数据

{ "title": "Reactivity Data", "filters": { "stats": ["", "Species", "Dilution Info", "Notes"], "tabs": { "all-applications": {"fullname" : "All Applications", "shortname": "All Applications"}, "IHCP" : {"fullname" : "Immunohistochemistry (Formalin/PFA-fixed paraffin-embedded sections)", "shortname":"IHC-P"}, "ICCIF" : {"fullname" : "Immunocytochemistry/ Immunofluorescence", "shortname":"ICC/IF"}, "FlowCyt" : {"fullname" : "Flow Cytometry", "shortname":"Flow Cyt"}, "WB" : {"fullname" : "Western blot", "shortname":"WB"} }, "product-promise": { "all": "all", "testedAndGuaranteed": "tested", "guaranteed": "expected", "predicted": "predicted", "notRecommended": "not-recommended" } }, "values": { "Human": { "IHCP-species-checked": "testedAndGuaranteed", "IHCP-species-dilution-info": "1/100", "IHCP-species-notes": "<p></p> Perform heat-mediated antigen retrieval with citrate buffer pH 6 before commencing with IHC staining protocol.", "ICCIF-species-checked": "testedAndGuaranteed", "ICCIF-species-dilution-info": "1/50 - 1/100", "ICCIF-species-notes": "<p></p>", "FlowCyt-species-checked": "testedAndGuaranteed", "FlowCyt-species-dilution-info": "1/500", "FlowCyt-species-notes": "<p></p>", "WB-species-checked": "testedAndGuaranteed", "WB-species-dilution-info": "1/10000", "WB-species-notes": "<p></p>" }, "Mouse": { "IHCP-species-checked": "notRecommended", "IHCP-species-dilution-info": "1/100", "IHCP-species-notes": "<p></p> Perform heat-mediated antigen retrieval with citrate buffer pH 6 before commencing with IHC staining protocol.", "ICCIF-species-checked": "notRecommended", "ICCIF-species-dilution-info": "1/50 - 1/100", "ICCIF-species-notes": "<p></p>", "FlowCyt-species-checked": "notRecommended", "FlowCyt-species-dilution-info": "1/500", "FlowCyt-species-notes": "<p></p>", "WB-species-checked": "notRecommended", "WB-species-dilution-info": "1/10000", "WB-species-notes": "<p></p>" }, "Rat": { "IHCP-species-checked": "notRecommended", "IHCP-species-dilution-info": "1/100", "IHCP-species-notes": "<p></p> Perform heat-mediated antigen retrieval with citrate buffer pH 6 before commencing with IHC staining protocol.", "ICCIF-species-checked": "notRecommended", "ICCIF-species-dilution-info": "1/50 - 1/100", "ICCIF-species-notes": "<p></p>", "FlowCyt-species-checked": "notRecommended", "FlowCyt-species-dilution-info": "1/500", "FlowCyt-species-notes": "<p></p>", "WB-species-checked": "notRecommended", "WB-species-dilution-info": "1/10000", "WB-species-notes": "<p></p>" } } }

产品详情

What is this antibody validated in?
Anti-p53 antibody [E26] (ab32389) is a rabbit recombinant monoclonal antibody and is validated for use in Western Blot (WB), Flow Cytometry (Flow Cyt), Immunohistochemistry (IHC-P), Immunocytochemistry/immunofluorescence (ICC/IF) in Human samples.

What is the molecular weight of p53?
Anti-p53 [E26] (ab32389) specifically detects a band for p53 (UniProt: P04637) at a molecular weight of 44kDa.

Trusted by the scientific community
Anti-p53 [E26] (ab32389) was first used in a scientific publication in 2006 and has been cited over 110 times in peer-reviewed journals.

Trial sizes available!
Test your antibody or perform pre-screening before committing to a larger quantity. Sold in 10µl. Discover our selection of trial-size antibodies.

Specificity confirmed
The specificity of Anti-p53 antibody [E26] (ab32389) has been confirmed by Western blot testing in TP53 Knockout HAP1 cells.

Other related products
We have a range of other formats of antibody clone [E26] also available for your convenience: ab32389, Alexa Fluor® 647 - ab224942, Alexa Fluor® 488 - ab224943, Carrier free - ab225531, APC - ab310855, PE - ab310924, Alexa Fluor® 594 - ab311727, Alexa Fluor® 568 - ab313004, Alexa Fluor® 555 - ab313208, Alexa Fluor® 750 - ab321599

Patented technology
Our RabMAb® technology is a patented hybridoma-based technology for making rabbit monoclonal antibodies. For details on our patents, please refer to RabMAb® patents.

What are the advantages of a recombinant monoclonal antibody?
This product is a recombinant monoclonal antibody, which offers several advantages including:

  • - High batch-to-batch consistency and reproducibility
  • - Improved sensitivity and specificity
  • - Long-term security of supply
  • - Animal-free batch production

For more information, read more on recombinant antibodies.

性能和储存信息

形式
Liquid
纯化工艺
Affinity purification Protein A
存储溶液
pH: 7.2 - 7.4 Preservative: 0.01% Sodium azide Constituents: PBS, 40% Glycerol (glycerin, glycerine), 0.05% BSA
运输条件
Blue Ice
推荐的短期储存条件
+4°C
推荐的长期储存条件
-20°C
分装信息
Upon delivery aliquot
储存信息
Avoid freeze / thaw cycle

补充信息

This supplementary information is collated from multiple sources and compiled automatically.

The protein p53 also known as TP53 or tumor protein p53 has a molecular weight of approximately 53 kDa. It acts as a transcription factor and plays a major role in cell cycle regulation apoptosis and maintaining genomic stability. This protein mainly expresses in the nucleus of cells and acts as a critical regulator of cellular responses to stress signals including DNA damage. Scientists commonly use p53 antibodies in various assays like western blot and p53 immunofluorescence to detect and study its expression and functional status in cells.
Biological function summary

P53 functions to control cell division and apoptosis serving as a guardian of the genome by preventing mutation accumulation. It does not form part of a larger complex under normal conditions but interacts with various other molecules to execute its functions. p53 can activate or suppress the transcription of numerous genes involved in cell cycle arrest DNA repair and programmed cell death allowing it to halt the progression of damaged cells and trigger repair mechanisms or eliminate those that cannot be repaired.

Pathways

P53 acts within several key biological pathways such as the p53 signaling pathway and the intrinsic apoptotic pathway. Its activity involves interaction with proteins like MDM2 which regulates p53 through ubiquitin-mediated degradation and ATM kinase which phosphorylates p53 in response to DNA damage. These interactions ensure appropriate cellular responses during stress and are vital for maintaining homeostasis.

P53 mutation or inactivation is often associated with the development of cancer given its role in controlling cell division and preventing tumor formation. Specifically its dysfunction has been linked to cancers such as breast cancer and lung cancer. Additionally p53 can interact with other mutant proteins like Ras compounding mutations that contribute to tumor progression and aggressive cancer phenotypes. Understanding these interactions and the status of p53 can be important in developing targeted cancer therapies.

产品实验方案

For this product, it's our understanding that no specific protocols are required. You can visit:

靶点信息

Multifunctional transcription factor that induces cell cycle arrest, DNA repair or apoptosis upon binding to its target DNA sequence (PubMed : 11025664, PubMed : 12524540, PubMed : 12810724, PubMed : 15186775, PubMed : 15340061, PubMed : 17317671, PubMed : 17349958, PubMed : 19556538, PubMed : 20673990, PubMed : 20959462, PubMed : 22726440, PubMed : 24051492, PubMed : 24652652, PubMed : 35618207, PubMed : 36634798, PubMed : 38653238, PubMed : 9840937). Acts as a tumor suppressor in many tumor types; induces growth arrest or apoptosis depending on the physiological circumstances and cell type (PubMed : 11025664, PubMed : 12524540, PubMed : 12810724, PubMed : 15186775, PubMed : 15340061, PubMed : 17189187, PubMed : 17317671, PubMed : 17349958, PubMed : 19556538, PubMed : 20673990, PubMed : 20959462, PubMed : 22726440, PubMed : 24051492, PubMed : 24652652, PubMed : 38653238, PubMed : 9840937). Negatively regulates cell division by controlling expression of a set of genes required for this process (PubMed : 11025664, PubMed : 12524540, PubMed : 12810724, PubMed : 15186775, PubMed : 15340061, PubMed : 17317671, PubMed : 17349958, PubMed : 19556538, PubMed : 20673990, PubMed : 20959462, PubMed : 22726440, PubMed : 24051492, PubMed : 24652652, PubMed : 9840937). One of the activated genes is an inhibitor of cyclin-dependent kinases. Apoptosis induction seems to be mediated either by stimulation of BAX and FAS antigen expression, or by repression of Bcl-2 expression (PubMed : 12524540, PubMed : 17189187). Its pro-apoptotic activity is activated via its interaction with PPP1R13B/ASPP1 or TP53BP2/ASPP2 (PubMed : 12524540). However, this activity is inhibited when the interaction with PPP1R13B/ASPP1 or TP53BP2/ASPP2 is displaced by PPP1R13L/iASPP (PubMed : 12524540). In cooperation with mitochondrial PPIF is involved in activating oxidative stress-induced necrosis; the function is largely independent of transcription. Induces the transcription of long intergenic non-coding RNA p21 (lincRNA-p21) and lincRNA-Mkln1. LincRNA-p21 participates in TP53-dependent transcriptional repression leading to apoptosis and seems to have an effect on cell-cycle regulation. Implicated in Notch signaling cross-over. Prevents CDK7 kinase activity when associated to CAK complex in response to DNA damage, thus stopping cell cycle progression. Isoform 2 enhances the transactivation activity of isoform 1 from some but not all TP53-inducible promoters. Isoform 4 suppresses transactivation activity and impairs growth suppression mediated by isoform 1. Isoform 7 inhibits isoform 1-mediated apoptosis. Regulates the circadian clock by repressing CLOCK-BMAL1-mediated transcriptional activation of PER2 (PubMed : 24051492).
See full target information TP53

文献 (165)

Recent publications for all applications. Explore the full list and refine your search

Cell death discovery 11:451 PubMed41057309

2025

Targeting ESR1 restores SQSTM1-dependent autophagy and sensitizes ER-positive breast cancer to oxidative and radiation stress.

Applications

Unspecified application

Species

Unspecified reactive species

Yi-Fang Yang,Zhao-Jing He,Han-Hsi Kuo,Yu-Yu Lin,Cheorl-Ho Kim,Huei-Yu Cai,Chi-Long Chen,Michael Hsiao,Ying-Chung Chen,Peter Mu-Hsin Chang,Yu-Chan Chang

Cancers 17: PubMed41008831

2025

Proteomic Identification of IL4I1 as a Therapeutic Target in P53-Mutant Endometrial Cancer.

Applications

Unspecified application

Species

Unspecified reactive species

Hu Li,Ruonan Zhang,Tiantian Sui,Kai Wang,Yiran Li,Xuezhen Luo,Qizhi He

Nature microbiology 10:2454-2471 PubMed41006834

2025

HIV infection reprogrammes CD4+ T cells for quiescence and entry into proviral latency.

Applications

Unspecified application

Species

Unspecified reactive species

Leah M Plasek Hegde,Lalith S Gunawardane,Farshad Niazi,Uri Mbonye,Konstantin Leskov,Gani Perez,Curtis Dobrowolski,Meenakshi Shukla,William S Nutt,Jonathan Karn,Saba Valadkhan

Histology and histopathology 40:1985-2009 PubMed40959856

2025

Differential expression of ferroptosis markers, circadian regulators, KLOTHO, and classical tumor suppressors in colorectal cancer according to tumor stage: Influence of age, anatomical location, and correlation patterns.

Applications

Unspecified application

Species

Unspecified reactive species

Miguel A Saez,Cielo Garcia-Montero,Oscar Fraile-Martinez,Ana M Minaya-Bravo,Diego Liviu Boaru,Diego De Leon-Oliva,Patricia De Castro-Martinez,Majd N Michael Alhaddadin,Silvestra Barrena-Blázquez,Laura Lopez-Gonzalez,Luis G Guijarro,Natalio Garcia-Honduvilla,Víctor Roberto Baena Romero,Carlos Daniel Padilla Ansala,Mar Royuela,María Del Val Toledo Lobo,Leonel Pekarek,Roberto Fernández-Baillo Gallego de la Sacristana,Mauricio Hernández-Fernández,Montserrat Chao Crecente,Melchor Alvarez-Mon,Raul Diaz-Pedrero,Miguel A Ortega

Oncology letters 30:498 PubMed40917727

2025

YTHDC2 inhibits HPV-positive cervical cancer growth by suppressing SLC7A11 in a ferroptosis-dependent manner.

Applications

Unspecified application

Species

Unspecified reactive species

Li Ren,Junjun Zhang,Jinjin Yang,Li Ji,Jingjing Guo

NPJ precision oncology 9:255 PubMed40707718

2025

LINE1 insertion into the NACC2 locus disrupts the HDM2 axis and activates lung oncogenic signaling.

Applications

Unspecified application

Species

Unspecified reactive species

Pasano Bojang,Yingshan Wang,Kenneth S Ramos

Computational and structural biotechnology journal 27:3066-3078 PubMed40697880

2025

Anticancer effects and mechanisms of , and on human lung carcinoma and hepatoma cells.

Applications

Unspecified application

Species

Unspecified reactive species

Mengzhen Li,Woonghee Kim,Han Jin,Hong Yang,Xiangtai Kong,Xiya Song,Hasan Turkez,Yuefeng Bi,Chengxue Pan,Ling Fu,Hongmin Liu,Mathias Uhlen,Cheng Zhang,Adil Mardinoglu

Nature 644:1078-1087 PubMed40670783

2025

Ongoing genome doubling shapes evolvability and immunity in ovarian cancer.

Applications

Unspecified application

Species

Unspecified reactive species

Andrew McPherson,Ignacio Vázquez-García,Matthew A Myers,Duaa H Al-Rawi,Matthew Zatzman,Adam C Weiner,Samuel Freeman,Neeman Mohibullah,Gryte Satas,Marc J Williams,Nicholas Ceglia,Danguolė Norkūnaitė,Allen W Zhang,Jun Li,Jamie L P Lim,Michelle Wu,Seongmin Choi,Eliyahu Havasov,Diljot Grewal,Hongyu Shi,Minsoo Kim,Roland F Schwarz,Tom Kaufmann,Khanh Ngoc Dinh,Florian Uhlitz,Julie Tran,Yushi Wu,Ruchi Patel,Satish Ramakrishnan,DooA Kim,Justin Clarke,Hunter Green,Emily Ali,Melody DiBona,Nancy Varice,Ritika Kundra,Vance Broach,Ginger J Gardner,Kara Long Roche,Yukio Sonoda,Oliver Zivanovic,Sarah H Kim,Rachel N Grisham,Ying L Liu,Agnes Viale,Nicole Rusk,Yulia Lakhman,Lora H Ellenson,Simon Tavaré,Samuel Aparicio,Dennis S Chi,Carol Aghajanian,Nadeem R Abu-Rustum,Claire F Friedman,Dmitriy Zamarin,Britta Weigelt,Samuel F Bakhoum,Sohrab P Shah

Scientific reports 15:25854 PubMed40670556

2025

Poneratoxin as a key tool for investigating the relationship between sodium channel hypersensitivity and impaired nerve cell function.

Applications

Unspecified application

Species

Unspecified reactive species

Zirui Lü,Xiandong Dai,Jianjie Xu,Mu Zhu,Bo Chen,Yongbiao Guo,Zhenhua Gao,Fanhua Meng

Dose-response : a publication of International Hormesis Society 23:15593258251352726 PubMed40548124

2025

NEDD4-Mediated Endothelial-Mesenchymal Transition Participates in Radiation-Induced Lung Injury Through the ATM Signaling Pathway.

Applications

Unspecified application

Species

Unspecified reactive species

Yang Feng,Lirong Zhang,Youbin Zhang,Ying Xu,Kaixiao Zhou,Zhao Yang,Wei Zhu,Qi Zhang,Jianping Cao,Lili Wang,Yang Jiao
View all publications

Abcam Product Promise

我们致力于为您的研究提供高质量的试剂,为您科研的每一步提供支持。若我们的产品未能达到预期性能,我们向您提供 Abcam Product Promise 保障。
详情请参阅我们的条款与条件。

Please note: All products are 'FOR RESEARCH USE ONLY. NOT FOR USE IN DIAGNOSTIC OR THERAPEUTIC PROCEDURES'.

For licensing inquiries, please contact partnerships@abcam.com