JavaScript is disabled in your browser. Please enable JavaScript to view this website.
AB4822

Anti-p38 (phospho T180 + Y182) 抗体

Anti-p38 (phospho T180 + Y182) antibody

4

(5 Reviews)

|

(248 Publications)

Rabbit Polyclonal MK14 phospho Y182 + T180 antibody. Suitable for WB, IHC-P, ICC/IF and reacts with Human, Rat samples. Cited in 248 publications. Immunogen corresponding to Synthetic Peptide within Human MAPK14 phospho Y182 + T180.

查看别名

CSBP, CSBP1, CSBP2, CSPB1, MXI2, SAPK2A, MAPK14, Mitogen-activated protein kinase 14, MAP kinase 14, MAPK 14, Cytokine suppressive anti-inflammatory drug-binding protein, MAP kinase MXI2, MAX-interacting protein 2, Mitogen-activated protein kinase p38 alpha, Stress-activated protein kinase 2a, CSAID-binding protein, MAP kinase p38 alpha, SAPK2a

6 Images
Immunohistochemistry (Formalin/PFA-fixed paraffin-embedded sections) - Anti-p38 (phospho T180 + Y182) antibody (AB4822)
  • IHC-P

Supplier Data

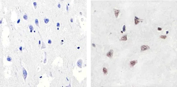
Immunohistochemistry (Formalin/PFA-fixed paraffin-embedded sections) - Anti-p38 (phospho T180 + Y182) antibody (AB4822)

Paraffin-embedded human brain tissue stained for p38 (phospho T180 + Y182) using ab4822 (right panel) at 1/100 dilution in immunohistochemical analysis followed by HRP-conjugated secondary antibody and DAB staining. Negative control (left panel) staining without primary antibody.

Immunohistochemistry (Formalin/PFA-fixed paraffin-embedded sections) - Anti-p38 (phospho T180 + Y182) antibody (AB4822)
  • IHC-P

Supplier Data

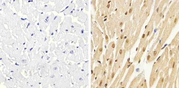
Immunohistochemistry (Formalin/PFA-fixed paraffin-embedded sections) - Anti-p38 (phospho T180 + Y182) antibody (AB4822)

Paraffin-embedded human heart tissue stained for p38 (phospho T180 + Y182) using ab4822 (right panel) at 1/20 dilution in immunohistochemical analysis followed by HRP-conjugated secondary antibody and DAB staining. Negative control (left panel) staining without primary antibody.

Immunocytochemistry/ Immunofluorescence - Anti-p38 (phospho T180 + Y182) antibody (AB4822)
  • ICC/IF

Supplier Data

Immunocytochemistry/ Immunofluorescence - Anti-p38 (phospho T180 + Y182) antibody (AB4822)

4% PFA-fixed, Triton X-100 permeabilized SH-SY5Y (human neuroblastoma cell line from bone marrow) cells labeling p38 (phospho T180 + Y182) (Panel A : green) using ab4822 at 1 μg/mL in ICC/IF. Secondary antibody : Alexa Flour® 488 Goat Anti-Rabbit IgG at 1/400 dilution. Nuclei (Panel b : blue) were stained with SlowFade® Gold Antifade Mountant with DAPI. F-actin (Panel c : red) was stained with Alexa Fluor® 594 Phalloidin. Panel d is a merged image showing nuclear localization. Panel e is a no primary antibody control.

Immunohistochemistry (Formalin/PFA-fixed paraffin-embedded sections) - Anti-p38 (phospho T180 + Y182) antibody (AB4822)
  • IHC-P

Supplier Data

Immunohistochemistry (Formalin/PFA-fixed paraffin-embedded sections) - Anti-p38 (phospho T180 + Y182) antibody (AB4822)

Paraffin-embedded rat heart tissue stained for p38 (phospho T180 + Y182) using ab4822 (right panel) at 1/20 dilution in immunohistochemical analysis followed by HRP-conjugated secondary antibody and DAB staining. Negative control (left panel) staining without primary antibody.

Western blot - Anti-p38 (phospho T180 + Y182) antibody (AB4822)
  • WB

Unknown

Western blot - Anti-p38 (phospho T180 + Y182) antibody (AB4822)

Peptide Competition : Extracts prepared from HEK-293 (human epithelial cell line from embryonic kidney) cells treated with UV irradiation were resolved on a 10% Tris-glycine gel and transferred to nitrocellulose. Membranes were blocked with a 5% BSA-TBST buffer overnight at 4oC, then were incubated with 0.50 μg/mL ab4822 for two hours at room temperature in a 3% BSA-TBST buffer, following its prior incubation with : the peptide immunogen (1), a generic phosphothreonine containing peptide (2), a generic phosphotyrosine-containing peptide (3), the non-phosphorylated peptide corresponding to the phosphopeptide (4), no peptide (5), the phosphorylated peptide derived from the corresponding region of JNK 1 & 2 (6), and, the phosphorylated peptide derived from the corresponding region of ERK 1 & 2 (7). After washing, membranes were incubated with goat F(ab')2 antirabbit IgG alkaline phosphatase and the signal was detected using the Tropix WesternStar method. The data show that only the phosphopeptide

All lanes:

Western blot - Anti-p38 (phospho T180 + Y182) antibody (ab4822)

Predicted band size: 41 kDa

false

Western blot - Anti-p38 (phospho T180 + Y182) antibody (AB4822)
  • WB

Supplier Data

Western blot - Anti-p38 (phospho T180 + Y182) antibody (AB4822)

All lanes:

Western blot - Anti-p38 (phospho T180 + Y182) antibody (ab4822) at 1/1000 dilution

Lane 1:

HeLa (human epithelial cell line from cervix adenocarcinoma) cell lysate at 20 µg

Lane 2:

HeLa (human epithelial cell line from cervix adenocarcinoma) exposed for 40 min with UV, cell lysate at 20 µg

Lane 3:

A431 (human epidermoid carcinoma cell line) cell lysate at 20 µg

Lane 4:

A431 (human epidermoid carcinoma cell line) exposed for 40 min with UV, cell lysate at 20 µg

Lane 5:

COLO 205 (human colon adenocarcinoma cell line) cell lysate at 20 µg

Lane 6:

COLO 205 (human colon adenocarcinoma cell line) exposed for 40 min with UV, cell lysate at 20 µg

Lane 7:

A549 (human lung carcinoma cell line) cell lysate at 20 µg

Lane 8:

A549 (human lung carcinoma cell line) exposed for 40 min with UV, cell lysate at 20 µg

Secondary

All lanes:

Goat anti-Rabbit IgG HRP at 1/5000 dilution

Predicted band size: 41 kDa

true

关键信息

宿主种属

Rabbit

克隆

Polyclonal

亚型

IgG

不含载体蛋白

No

反应种属

Rat, Human

应用

ICC/IF, IHC-P, WB

applications

免疫原

Synthetic Peptide within Human MAPK14 phospho Y182 + T180. The exact immunogen used to generate this antibody is proprietary information.

Q16539

反应性数据

{ "title": "Reactivity Data", "filters": { "stats": ["", "Species", "Dilution Info", "Notes"], "tabs": { "all-applications": {"fullname" : "All Applications", "shortname": "All Applications"}, "WB" : {"fullname" : "Western blot", "shortname":"WB"}, "IHCP" : {"fullname" : "Immunohistochemistry (Formalin/PFA-fixed paraffin-embedded sections)", "shortname":"IHC-P"}, "ICCIF" : {"fullname" : "Immunocytochemistry/ Immunofluorescence", "shortname":"ICC/IF"} }, "product-promise": { "all": "all", "testedAndGuaranteed": "tested", "guaranteed": "expected", "predicted": "predicted", "notRecommended": "not-recommended" } }, "values": { "Human": { "WB-species-checked": "testedAndGuaranteed", "WB-species-dilution-info": "1/1000", "WB-species-notes": "<p></p>", "IHCP-species-checked": "testedAndGuaranteed", "IHCP-species-dilution-info": "1/10 - 1/100", "IHCP-species-notes": "<p></p>", "ICCIF-species-checked": "testedAndGuaranteed", "ICCIF-species-dilution-info": "1/250", "ICCIF-species-notes": "<p></p>" }, "Mouse": { "WB-species-checked": "predicted", "WB-species-dilution-info": "", "WB-species-notes": "", "IHCP-species-checked": "predicted", "IHCP-species-dilution-info": "", "IHCP-species-notes": "", "ICCIF-species-checked": "predicted", "ICCIF-species-dilution-info": "", "ICCIF-species-notes": "" }, "Rat": { "WB-species-checked": "guaranteed", "WB-species-dilution-info": "", "WB-species-notes": "", "IHCP-species-checked": "testedAndGuaranteed", "IHCP-species-dilution-info": "1/10 - 1/100", "IHCP-species-notes": "<p></p>", "ICCIF-species-checked": "guaranteed", "ICCIF-species-dilution-info": "", "ICCIF-species-notes": "" }, "Carp": { "WB-species-checked": "predicted", "WB-species-dilution-info": "", "WB-species-notes": "", "IHCP-species-checked": "predicted", "IHCP-species-dilution-info": "", "IHCP-species-notes": "", "ICCIF-species-checked": "predicted", "ICCIF-species-dilution-info": "", "ICCIF-species-notes": "" }, "Dog": { "WB-species-checked": "predicted", "WB-species-dilution-info": "", "WB-species-notes": "", "IHCP-species-checked": "predicted", "IHCP-species-dilution-info": "", "IHCP-species-notes": "", "ICCIF-species-checked": "predicted", "ICCIF-species-dilution-info": "", "ICCIF-species-notes": "" }, "Monkey": { "WB-species-checked": "predicted", "WB-species-dilution-info": "", "WB-species-notes": "", "IHCP-species-checked": "predicted", "IHCP-species-dilution-info": "", "IHCP-species-notes": "", "ICCIF-species-checked": "predicted", "ICCIF-species-dilution-info": "", "ICCIF-species-notes": "" } } }

性能和储存信息

形式
Liquid
纯化工艺
Affinity purification Protein A
纯化说明
Purified from rabbit serum by sequential epitope-specific chromatography. The antibody has been negatively preadsorbed using i) non-phosphopeptide corresponding to the site of phosphorylation to remove antibody that is reactive with non-phosphorylated p38, and ii) a JNK-derived peptide that is phosphorylated at threonine 183 and tyrosine 185. The final product is generated by affinity chromatography using a p38-derived peptide that is phosphorylated at threonine 180 and tyrosine 182.
存储溶液
pH: 7.3 Preservative: 0.05% Sodium azide Constituents: PBS, 50% Glycerol (glycerin, glycerine), 0.1% BSA
运输条件
Blue Ice
推荐的短期储存时间
1-2 weeks
推荐的短期储存条件
+4°C
推荐的长期储存条件
-20°C
分装信息
Upon delivery aliquot
储存信息
Avoid freeze / thaw cycle

补充信息

This supplementary information is collated from multiple sources and compiled automatically.

P38 also known as MAPK14 is a member of the mitogen-activated protein kinase (MAPK) family. It functions by phosphorylating various downstream substrates and plays a role in cellular responses. The molecular weight of p38 is approximately 38 kDa. This protein is widely expressed across many tissues including heart brain and lungs. Its activation by stimuli such as cytokines and stress factors helps regulate inflammation and cell cycle control.
Biological function summary

P38 is involved in several cellular processes such as inflammation cell differentiation and apoptosis. It often functions as part of a MAPK signaling complex where it serves a critical role in transmitting signals from the cell surface to the nucleus. It interacts with upstream kinases for activation and affects cellular responses by phosphorylating transcription factors and other protein kinases. Through experiments using techniques like p38 western blot and alpha ELISA scientists can monitor its activity and understand its role in cellular physiology.

Pathways

P38 signaling is integral to both the MAPK and NF-kB pathways. It helps mediate several cellular responses including inflammation and stress responses. Within these pathways p38 interacts with other proteins such as JNK and ERK which helps regulate adaptive and innate immune responses. These interactions ensure distinct yet overlapping signaling responses necessary for cellular homeostasis.

P38 plays a role in conditions such as rheumatoid arthritis and cancer. In rheumatoid arthritis p38 contributes to inflammatory processes promoting the production of pro-inflammatory cytokines. In cancer its role varies; while sometimes promoting cancer cell apoptosis it may also aid in tumor survival and proliferation. The protein TNF-alpha often connects indirectly with p38 through inflammatory pathways highlighting its involvement in these diseases.

产品实验方案

For this product, it's our understanding that no specific protocols are required. You can visit:

靶点信息

Serine/threonine kinase which acts as an essential component of the MAP kinase signal transduction pathway. MAPK14 is one of the four p38 MAPKs which play an important role in the cascades of cellular responses evoked by extracellular stimuli such as pro-inflammatory cytokines or physical stress leading to direct activation of transcription factors. Accordingly, p38 MAPKs phosphorylate a broad range of proteins and it has been estimated that they may have approximately 200 to 300 substrates each. Some of the targets are downstream kinases which are activated through phosphorylation and further phosphorylate additional targets. RPS6KA5/MSK1 and RPS6KA4/MSK2 can directly phosphorylate and activate transcription factors such as CREB1, ATF1, the NF-kappa-B isoform RELA/NFKB3, STAT1 and STAT3, but can also phosphorylate histone H3 and the nucleosomal protein HMGN1 (PubMed : 9687510, PubMed : 9792677). RPS6KA5/MSK1 and RPS6KA4/MSK2 play important roles in the rapid induction of immediate-early genes in response to stress or mitogenic stimuli, either by inducing chromatin remodeling or by recruiting the transcription machinery (PubMed : 9687510, PubMed : 9792677). On the other hand, two other kinase targets, MAPKAPK2/MK2 and MAPKAPK3/MK3, participate in the control of gene expression mostly at the post-transcriptional level, by phosphorylating ZFP36 (tristetraprolin) and ELAVL1, and by regulating EEF2K, which is important for the elongation of mRNA during translation. MKNK1/MNK1 and MKNK2/MNK2, two other kinases activated by p38 MAPKs, regulate protein synthesis by phosphorylating the initiation factor EIF4E2 (PubMed : 11154262). MAPK14 interacts also with casein kinase II, leading to its activation through autophosphorylation and further phosphorylation of TP53/p53 (PubMed : 10747897). In the cytoplasm, the p38 MAPK pathway is an important regulator of protein turnover. For example, CFLAR is an inhibitor of TNF-induced apoptosis whose proteasome-mediated degradation is regulated by p38 MAPK phosphorylation. In a similar way, MAPK14 phosphorylates the ubiquitin ligase SIAH2, regulating its activity towards EGLN3 (PubMed : 17003045). MAPK14 may also inhibit the lysosomal degradation pathway of autophagy by interfering with the intracellular trafficking of the transmembrane protein ATG9 (PubMed : 19893488). Another function of MAPK14 is to regulate the endocytosis of membrane receptors by different mechanisms that impinge on the small GTPase RAB5A. In addition, clathrin-mediated EGFR internalization induced by inflammatory cytokines and UV irradiation depends on MAPK14-mediated phosphorylation of EGFR itself as well as of RAB5A effectors (PubMed : 16932740). Ectodomain shedding of transmembrane proteins is regulated by p38 MAPKs as well. In response to inflammatory stimuli, p38 MAPKs phosphorylate the membrane-associated metalloprotease ADAM17 (PubMed : 20188673). Such phosphorylation is required for ADAM17-mediated ectodomain shedding of TGF-alpha family ligands, which results in the activation of EGFR signaling and cell proliferation. Another p38 MAPK substrate is FGFR1. FGFR1 can be translocated from the extracellular space into the cytosol and nucleus of target cells, and regulates processes such as rRNA synthesis and cell growth. FGFR1 translocation requires p38 MAPK activation. In the nucleus, many transcription factors are phosphorylated and activated by p38 MAPKs in response to different stimuli. Classical examples include ATF1, ATF2, ATF6, ELK1, PTPRH, DDIT3, TP53/p53 and MEF2C and MEF2A (PubMed : 10330143, PubMed : 9430721, PubMed : 9858528). The p38 MAPKs are emerging as important modulators of gene expression by regulating chromatin modifiers and remodelers. The promoters of several genes involved in the inflammatory response, such as IL6, IL8 and IL12B, display a p38 MAPK-dependent enrichment of histone H3 phosphorylation on 'Ser-10' (H3S10ph) in LPS-stimulated myeloid cells. This phosphorylation enhances the accessibility of the cryptic NF-kappa-B-binding sites marking promoters for increased NF-kappa-B recruitment. Phosphorylates CDC25B and CDC25C which is required for binding to 14-3-3 proteins and leads to initiation of a G2 delay after ultraviolet radiation (PubMed : 11333986). Phosphorylates TIAR following DNA damage, releasing TIAR from GADD45A mRNA and preventing mRNA degradation (PubMed : 20932473). The p38 MAPKs may also have kinase-independent roles, which are thought to be due to the binding to targets in the absence of phosphorylation. Protein O-Glc-N-acylation catalyzed by the OGT is regulated by MAPK14, and, although OGT does not seem to be phosphorylated by MAPK14, their interaction increases upon MAPK14 activation induced by glucose deprivation. This interaction may regulate OGT activity by recruiting it to specific targets such as neurofilament H, stimulating its O-Glc-N-acylation. Required in mid-fetal development for the growth of embryo-derived blood vessels in the labyrinth layer of the placenta. Also plays an essential role in developmental and stress-induced erythropoiesis, through regulation of EPO gene expression (PubMed : 10943842). Isoform MXI2 activation is stimulated by mitogens and oxidative stress and only poorly phosphorylates ELK1 and ATF2. Isoform EXIP may play a role in the early onset of apoptosis. Phosphorylates S100A9 at 'Thr-113' (PubMed : 15905572). Phosphorylates NLRP1 downstream of MAP3K20/ZAK in response to UV-B irradiation and ribosome collisions, promoting activation of the NLRP1 inflammasome and pyroptosis (PubMed : 35857590).. (Microbial infection) Activated by phosphorylation by M.tuberculosis EsxA in T-cells leading to inhibition of IFN-gamma production; phosphorylation is apparent within 15 minutes and is inhibited by kinase-specific inhibitors SB203580 and siRNA (PubMed : 21586573).
See full target information MAPK14 phospho Y182 + T180

文献 (248)

Recent publications for all applications. Explore the full list and refine your search

International journal of ophthalmology 18:1426-1432 PubMed40827285

2025

Obtusifolin ameliorates dry eye model in rats by reducing inflammation and blocking MAPK/NF-κB pathways.

Applications

Unspecified application

Species

Unspecified reactive species

Dan Zhu,Xiao-Yang Wu,Liang-Chang Li

Food science & nutrition 13:e70692 PubMed40786825

2025

Sulfated Polysaccharides of as a Promising Immunostimulatory Agent in Activation of RAW264.7 and NK Cells.

Applications

Unspecified application

Species

Unspecified reactive species

Rongan Cao,Mehdi Tabarsa,SangGuan You,Fatemeh Noormand Chaloshtori,Jiamiao Zhang,Kou Fang,Seyedeh Zahra Bathaie

Cellular and molecular life sciences : CMLS 82:269 PubMed40610735

2025

Cell division cycle protein 42-driven activation of the MKK3/6-p38 signaling pathway participates in cardiac remodeling in mice.

Applications

Unspecified application

Species

Unspecified reactive species

Ke Wen,Lin Xie,Quan-Wen Liu,Guan-Hui Yu,Xu-Hui Qiao,Yu-Chun Huang,Lu Wang,Xin Li,Li-Dan Wen,Xiao-Lei Wang,Jing He,Xin-Yu Xiao,Xiao-Xiao Zhao,Ling-Fang Wang,Hong-Bo Xin,Ke-Yu Deng

Hereditas 162:119 PubMed40604895

2025

TIMP1 promotes microglia M2 polarization through MAPK pathway to ameliorate early brain injury after ischemia.

Applications

Unspecified application

Species

Unspecified reactive species

Kangkang Zhao,Zizhao Huang

Purinergic signalling 21:565-576 PubMed40560521

2025

Electroacupuncture alleviates capsaicin-induced rectal visceral pain in rats via inhibiting TRPV1 expression by blocking the P2X4R-activated p38 pathway.

Applications

Unspecified application

Species

Unspecified reactive species

Yahong Xue,Qinbing Zhu,Jing Zhang,Xiaofeng Wang

Drug design, development and therapy 19:4689-4715 PubMed40486125

2025

Lobetyolin Suppressed Osteoclastogenesis and Alleviated Bone Loss in Ovariectomy-Induced Osteoporosis via Hindering p50/p65 Nuclear Translocation and Downstream NFATc1/c-Fos Expression.

Applications

Unspecified application

Species

Unspecified reactive species

Chunmei Xiu,Hua Luo,Weixing Huang,Shaohua Fan,Chiting Yuan,Jiangjie Chen,Chenghao Xu,Can Yao,Dun Hong,Liwei Zhang

Stem cell research & therapy 16:289 PubMed40483498

2025

Unveiling the potential of MSC extracellular vesicles: MiR-122-5p enhancing chondrocyte regeneration in osteoarthritis via autophagy mechanism.

Applications

Unspecified application

Species

Unspecified reactive species

Haifeng Zhang,Yanmeng Yang,Yingnan Wu,Vinitha Denslin,Yi Wei Justin Koh,Ling Liu,Wenhai Zhuo,Wing Moon Raymond Lam,Yinxian Yu,James Hoi Po Hui,Zheng Yang

Scientific reports 15:18912 PubMed40442166

2025

Uncovering the molecular mechanisms of tonifying kidney and activating blood Decoction against myocardial fibrosis using network Pharmacology and experimental validation.

Applications

Unspecified application

Species

Unspecified reactive species

Rui Xu,Yanping Bi,Yetao Ju,Wenhao Yin,Shujun Zhao,Yan Zhang,Xin Zhao

British journal of pharmacology 182:2897-2913 PubMed40097259

2025

TLR2 activates AP-1 to facilitate CTGF transcription and stimulate doxorubicin-induced myocardial injury.

Applications

Unspecified application

Species

Unspecified reactive species

Lang Hong,Xinyong Cai,Yuliang Zhan,Songtao Liu,Pengtao Zou,Yanmei Chen,Liang Shao

Frontiers in immunology 16:1536143 PubMed40092994

2025

Berberine hydrochloride enhances innate immunity to protect against pathogen infection via p38 MAPK pathway.

Applications

Unspecified application

Species

Unspecified reactive species

Yi Xiao,Yingwen Cui,Yan Zhang,Wenqiao Fu,Yun Liu,Fang Liu
View all publications

Abcam Product Promise

我们致力于为您的研究提供高质量的试剂,为您科研的每一步提供支持。若我们的产品未能达到预期性能,我们向您提供 Abcam Product Promise 保障。
详情请参阅我们的条款与条件。

Please note: All products are 'FOR RESEARCH USE ONLY. NOT FOR USE IN DIAGNOSTIC OR THERAPEUTIC PROCEDURES'.

For licensing inquiries, please contact partnerships@abcam.com