JavaScript is disabled in your browser. Please enable JavaScript to view this website.
AB254347

重组Anti-P2Y12抗体[EPR23511-72]

Anti-P2Y12 antibody [EPR23511-72]

  • BOND RX™ Validated
  • 20ul selling size
  • RabMAb
  • Advanced Validation
  • Recombinant
  • 了解详情

0

(1 Review)

|

(0 Publication)

Rabbit Recombinant Monoclonal P2Y12 antibody. Suitable for mIHC, Dot, IHC-P and reacts with Human samples.

查看别名

HORK3, P2RY12, P2Y purinoceptor 12, P2Y12, ADP-glucose receptor, P2T(AC), P2Y(AC), P2Y(cyc), P2Y12 platelet ADP receptor, SP1999, ADPG-R, P2Y(ADP)

7 Images
Immunohistochemistry (Formalin/PFA-fixed paraffin-embedded sections) - Anti-P2Y12 antibody [EPR23511-72] (AB254347)
  • IHC-P

Supplier Data

Immunohistochemistry (Formalin/PFA-fixed paraffin-embedded sections) - Anti-P2Y12 antibody [EPR23511-72] (AB254347)

Fluorescence multiplex immunohistochemical analysis of the Human cerebrum (Formalin/PFA-fixed paraffin-embedded sections).

Heat mediated antigen retrieval with Tris-EDTA buffer (pH 9.0, epitope retrieval solution2) for 20 mins

Opal Polymer HRP Ms + Rb was used as a secondary antibody.DAPI (blue) was used as a nuclear counter stain.

Panel A : Merged staining of anti-GFAP (gray; Opal™690), anti-P2Y12 (green; Opal™520) and anti-MAP2 (red; Opal™570) on human cerebrum. Panel B : Anti-MAP2 stained cell body and dendrites of neurons. Panel C : Anti-P2Y12 stained on microglial cells. Panel D : Anti-GFAP stained on astrocytes.

The section was incubated in three rounds of staining : in the order of ab68428, ab254347, and ab254263 for 30 mins at room temperature. Each round was followed by a separate fluorescent tyramide signal amplification system.

The immunostaining was performed on a Leica Biosystems BOND® RX instrument with an Opal™ 4-color kit. Image acquisition was performed with Leica SP8 confocal microscope.

Immunohistochemistry (Formalin/PFA-fixed paraffin-embedded sections) - Anti-P2Y12 antibody [EPR23511-72] (AB254347)
  • IHC-P

Unknown

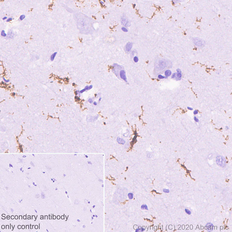
Immunohistochemistry (Formalin/PFA-fixed paraffin-embedded sections) - Anti-P2Y12 antibody [EPR23511-72] (AB254347)

Immunohistochemical analysis of paraffin-embedded Human glioma tissue labeling P2Y12 with ab254347 at 1/1000 dilution followed by a ready to use Rabbit specific IHC polymer detection kit HRP/DAB (ab209101). Positive staining in human glioma (PMID : 30832693). The section was incubated with ab254347 for 30 mins at room temperature. The immunostaining was performed on a Leica Biosystems BOND® RX instrument. Counterstained with Hematoxylin.

Secondary antibody only control : Secondary antibody is a ready to use Rabbit specific IHC polymer detection kit HRP/DAB (ab209101).

Heat mediated antigen retrieval with Tris-EDTA buffer (pH 9.0, epitope retrieval solution2) for 20 mins.

Immunohistochemistry (Formalin/PFA-fixed paraffin-embedded sections) - Anti-P2Y12 antibody [EPR23511-72] (AB254347)
  • IHC-P

Supplier Data

Immunohistochemistry (Formalin/PFA-fixed paraffin-embedded sections) - Anti-P2Y12 antibody [EPR23511-72] (AB254347)

Fluorescence multiplex immunohistochemical analysis of the Human cerebellum (Formalin/PFA-fixed paraffin-embedded sections).

Heat mediated antigen retrieval with Tris-EDTA buffer (pH 9.0, epitope retrieval solution2) for 20 mins.

Opal Polymer HRP Ms + Rb was used as a secondary antibody.DAPI (blue) was used as a nuclear counter stain.

Panel A : Merged staining of anti-GFAP (gray; Opal™690), anti-P2Y12 (green; Opal™520) and anti-MAP2 (red; Opal™570) on human cerebellum. Panel B : Anti-MAP2 stained cell body and dendrites of neurons. Panel C : Anti-P2Y12 stained on microglial cells. Panel D : Anti-GFAP stained on astrocytes.

The section was incubated in three rounds of staining : in the order of ab68428, ab254347, and ab254263 for 30 mins at room temperature. Each round was followed by a separate fluorescent tyramide signal amplification system.

The immunostaining was performed on a Leica Biosystems BONDBOND® RX instrument with an Opal™ 4-color kit. Image acquisition was performed with Leica SP8 confocal microscope.

Multiplex immunohistochemistry - Anti-P2Y12 antibody [EPR23511-72] (AB254347)
  • mIHC

Lab

Multiplex immunohistochemistry - Anti-P2Y12 antibody [EPR23511-72] (AB254347)

Fluorescence multiplex immunohistochemical analysis of the human cerebellum (Formalin/PFA-fixed paraffin-embedded sections). Panel A : merged staining of anti-GFAP (ab68428, gray; Opal™690), anti-Myelin PLP (ab254363, green; Opal™520) and anti-P2Y12 (ab254347 red; Opal™570) on human cerebellum. Panel B : anti-P2Y12 stained on microglial cells. Panel C : anti-Myelin PLP stained on myelin sheaths of oligodendrocytes. Panel D : anti-GFAP stained on astrocytes. Opal Polymer HRP Ms + Rb was used as a secondary antibody. The immunostaining was performed on a Leica Biosystems BOND® RX instrument with an Opal™ 4-color kit. The section was incubated in three rounds of staining : in the order of ab68428 (1/50 dilution), ab254363 (1/2000 dilution), and ab254347 (1/1000 dilution) for 30 mins at room temperature. Each round was followed by a separate fluorescent tyramide signal amplification system. Heat mediated antigen retrieval with Tris-EDTA buffer (pH 9.0, epitope retrieval solution2) for 20 mins. DAPI (blue) was used as a nuclear counter stain. Image acquisition was performed with Leica SP8 confocal microscope.

Immunohistochemistry (Formalin/PFA-fixed paraffin-embedded sections) - Anti-P2Y12 antibody [EPR23511-72] (AB254347)
  • IHC-P

Unknown

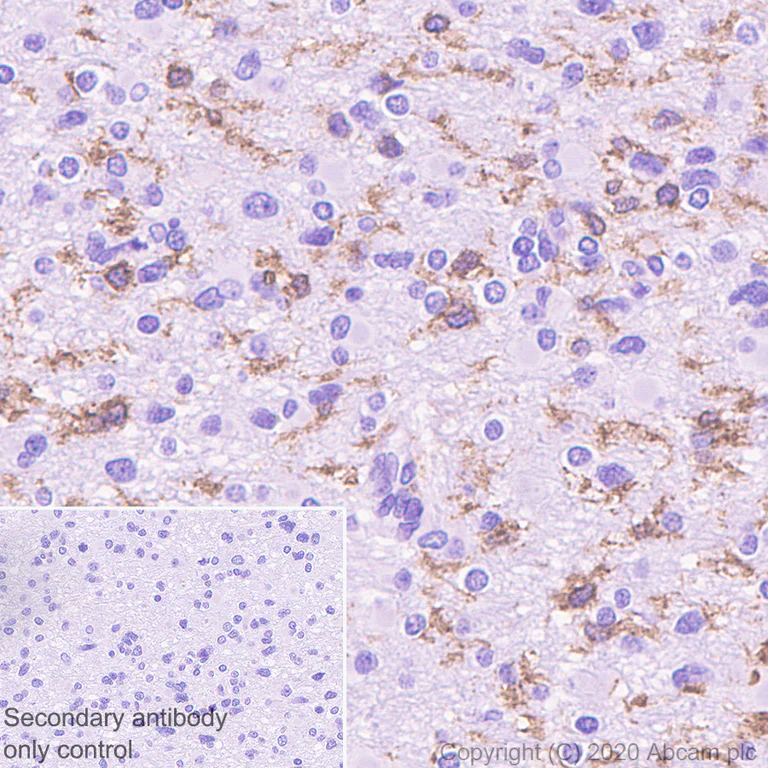
Immunohistochemistry (Formalin/PFA-fixed paraffin-embedded sections) - Anti-P2Y12 antibody [EPR23511-72] (AB254347)

Immunohistochemical analysis of paraffin-embedded Human cerebrum tissue labeling P2Y12 with ab254347 at 1/1000 dilution followed by a ready to use Rabbit specific IHC polymer detection kit HRP/DAB (ab209101). Positive staining on microglia (PMID : 30832693). The section was incubated with ab254347 for 30 mins at room temperature. The immunostaining was performed on a Leica Biosystems BOND® RX instrument Counterstained with Hematoxylin.

Secondary antibody only control : Secondary antibody is a ready to use Rabbit specific IHC polymer detection kit HRP/DAB (ab209101).

Heat mediated antigen retrieval with Tris-EDTA buffer (pH 9.0, epitope retrieval solution2) for 20 mins.

Multiplex immunohistochemistry - Anti-P2Y12 antibody [EPR23511-72] (AB254347)
  • mIHC

Lab

Multiplex immunohistochemistry - Anti-P2Y12 antibody [EPR23511-72] (AB254347)

Fluorescence multiplex immunohistochemical analysis of the human cerebrum (Formalin/PFA-fixed paraffin-embedded sections). Panel A : merged staining of anti-GFAP (ab68428, gray; Opal™690), anti-Myelin PLP (ab254363, green; Opal™520) and anti-P2Y12 (ab254347, red; Opal™570) on human cerebrum. Panel B : anti-P2Y12 stained on microglial cells. Panel C : anti-Myelin PLP stained on myelin sheaths of oligodendrocytes. Panel D : anti-GFAP stained on astrocytes. Opal Polymer HRP Ms + Rb was used as a secondary antibody. The immunostaining was performed on a Leica Biosystems BOND® RX instrument with an Opal™ 4-color kit. The section was incubated in three rounds of staining : in the order of ab68428 (1/50 dilution), ab254363 (1/2000 dilution), and ab254347 (1/1000 dilution) for 30 mins at room temperature. Each round was followed by a separate fluorescent tyramide signal amplification system. Heat mediated antigen retrieval with Tris-EDTA buffer (pH 9.0, epitope retrieval solution2) for 20 mins. DAPI (blue) was used as a nuclear counter stain. Image acquisition was performed with Leica SP8 confocal microscope.

Dot Blot - Anti-P2Y12 antibody [EPR23511-72] (AB254347)
  • Dot

Unknown

Dot Blot - Anti-P2Y12 antibody [EPR23511-72] (AB254347)

Dot blot analysis of P2Y12 using ab254347 at 1/1000 dilution (0.569 ug/ml) followed by a Goat Anti-Rabbit IgG, (H+L), Peroxidase conjugated (ab97051) at 1/100,000 dilution.

Lane 1 : Human P2Y12 immunogen peptide

Lane 2 : Human P2Y12 non-immunogen peptide

Lane 3 : Human P2Y12 non-immunogen peptide

Lane 4 : BSA

Exposure time : 3 minutes

Blocking and diluting buffer and concentration : 5% NFDM/TBST.

不同偶联物与剂型 (2)

关键信息

宿主种属

Rabbit

克隆

Monoclonal

克隆号

EPR23511-72

亚型

IgG

不含载体蛋白

No

反应种属

Human

应用

Dot, mIHC, IHC-P

applications

免疫原

The exact immunogen used to generate this antibody is proprietary information.

反应性数据

{ "title": "Reactivity Data", "filters": { "stats": ["", "Species", "Dilution Info", "Notes"], "tabs": { "all-applications": {"fullname" : "All Applications", "shortname": "All Applications"}, "mIHC" : {"fullname" : "Multiplex immunohistochemistry", "shortname":"mIHC"}, "ICCIF" : {"fullname" : "Immunocytochemistry/ Immunofluorescence", "shortname":"ICC/IF"}, "IP" : {"fullname" : "Immunoprecipitation", "shortname":"IP"}, "FlowCyt" : {"fullname" : "Flow Cytometry", "shortname":"Flow Cyt"}, "Dot" : {"fullname" : "Dot Blot", "shortname":"Dot"}, "WB" : {"fullname" : "Western blot", "shortname":"WB"}, "IHCP" : {"fullname" : "Immunohistochemistry (Formalin/PFA-fixed paraffin-embedded sections)", "shortname":"IHC-P"} }, "product-promise": { "all": "all", "testedAndGuaranteed": "tested", "guaranteed": "expected", "predicted": "predicted", "notRecommended": "not-recommended" } }, "values": { "Human": { "mIHC-species-checked": "testedAndGuaranteed", "mIHC-species-dilution-info": "", "mIHC-species-notes": "<p></p>", "ICCIF-species-checked": "notRecommended", "ICCIF-species-dilution-info": "", "ICCIF-species-notes": "<p></p>", "IP-species-checked": "notRecommended", "IP-species-dilution-info": "", "IP-species-notes": "<p></p>", "FlowCyt-species-checked": "notRecommended", "FlowCyt-species-dilution-info": "", "FlowCyt-species-notes": "<p></p>", "Dot-species-checked": "testedAndGuaranteed", "Dot-species-dilution-info": "1/1000", "Dot-species-notes": "<p></p>", "WB-species-checked": "notRecommended", "WB-species-dilution-info": "", "WB-species-notes": "<p></p>", "IHCP-species-checked": "testedAndGuaranteed", "IHCP-species-dilution-info": "1/1000", "IHCP-species-notes": "<p></p>" }, "Mouse": { "mIHC-species-checked": "notRecommended", "mIHC-species-dilution-info": "", "mIHC-species-notes": "", "ICCIF-species-checked": "notRecommended", "ICCIF-species-dilution-info": "", "ICCIF-species-notes": "<p></p>", "IP-species-checked": "notRecommended", "IP-species-dilution-info": "", "IP-species-notes": "", "FlowCyt-species-checked": "notRecommended", "FlowCyt-species-dilution-info": "", "FlowCyt-species-notes": "", "Dot-species-checked": "notRecommended", "Dot-species-dilution-info": "", "Dot-species-notes": "", "WB-species-checked": "notRecommended", "WB-species-dilution-info": "", "WB-species-notes": "<p></p>", "IHCP-species-checked": "notRecommended", "IHCP-species-dilution-info": "1/1000", "IHCP-species-notes": "<p></p>" }, "Rat": { "mIHC-species-checked": "notRecommended", "mIHC-species-dilution-info": "", "mIHC-species-notes": "", "ICCIF-species-checked": "notRecommended", "ICCIF-species-dilution-info": "", "ICCIF-species-notes": "<p></p>", "IP-species-checked": "notRecommended", "IP-species-dilution-info": "", "IP-species-notes": "", "FlowCyt-species-checked": "notRecommended", "FlowCyt-species-dilution-info": "", "FlowCyt-species-notes": "", "Dot-species-checked": "notRecommended", "Dot-species-dilution-info": "", "Dot-species-notes": "", "WB-species-checked": "notRecommended", "WB-species-dilution-info": "", "WB-species-notes": "<p></p>", "IHCP-species-checked": "notRecommended", "IHCP-species-dilution-info": "1/1000", "IHCP-species-notes": "<p></p>" } } }

产品详情

Patented technology
Our RabMAb® technology is a patented hybridoma-based technology for making rabbit monoclonal antibodies. For details on our patents, please refer to RabMAb® patents.

What are the advantages of a recombinant monoclonal antibody?
This product is a recombinant monoclonal antibody, which offers several advantages including:

  • - High batch-to-batch consistency and reproducibility
  • - Improved sensitivity and specificity
  • - Long-term security of supply
  • - Animal-free batch production

For more information, read more on recombinant antibodies.

性能和储存信息

形式
Liquid
纯化工艺
Affinity purification Protein A
存储溶液
pH: 7.2 - 7.4 Preservative: 0.01% Sodium azide Constituents: PBS, 40% Glycerol (glycerin, glycerine), 0.05% BSA
运输条件
Blue Ice
推荐的短期储存时间
1-2 weeks
推荐的短期储存条件
+4°C
推荐的长期储存条件
-20°C
分装信息
Upon delivery aliquot
储存信息
Avoid freeze / thaw cycle

补充信息

This supplementary information is collated from multiple sources and compiled automatically.

P2Y12 also referred to as the P2Y12 receptor is a G-protein coupled receptor with an approximate mass of 39.6 kDa. It plays a distinct role in platelet aggregation through ADP binding which activates intracellular signaling pathways that result in platelet activation. One finds P2Y12 expressed mainly in platelets and the brain. It is an important target of various antiplatelet drugs which highlights its critical role in physiological frameworks involving thrombosis.
Biological function summary

The P2Y12 receptor is an important component of the platelet activation pathway. When activated it contributes to the amplification of platelet responses to injury. P2Y12 does not function in isolation; it forms part of larger multi-protein complexes essential for thrombus formation. This aggregation process requires synchronized activation of several platelet receptors emphasizing the P2Y12 receptor's critical role in maintaining hemostasis through cellular signaling.

Pathways

The P2Y12 receptor is integral to the thrombin and ADP signaling pathways functioning in tandem with other proteins such as the P2Y1 and CXCR4 receptors to execute cellular responses. These pathways facilitate platelet shape change secretion and aggregation therefore solidifying their place within the broader scope of hemostatic responses. Coordination with such protein partners ensures efficient propagation of signals necessary for rapid platelet activation and clot formation.

P2Y12 is closely linked to cardiovascular diseases particularly thrombosis and myocardial infarction. Its involvement in excessive platelet aggregation makes it a significant target for therapeutic agents like the P2Y12 receptor blockers. The receptor also interacts with proteins like glycoprotein IIb/IIIa in the clotting process providing potential pathways for therapeutic intervention. Dysregulation of P2Y12 function presents a risk for unwarranted thrombotic events highlighting the importance of P2Y12 antagonists such as ticagrelor in clinical settings to manage such conditions effectively.

产品实验方案

For this product, it's our understanding that no specific protocols are required. You can visit:

靶点信息

Receptor for ADP and ATP coupled to G-proteins that inhibit the adenylyl cyclase second messenger system. Not activated by UDP and UTP. Required for normal platelet aggregation and blood coagulation.
See full target information P2RY12

Abcam Product Promise

我们致力于为您的研究提供高质量的试剂,为您科研的每一步提供支持。若我们的产品未能达到预期性能,我们向您提供 Abcam Product Promise 保障。
详情请参阅我们的条款与条件。

Please note: All products are 'FOR RESEARCH USE ONLY. NOT FOR USE IN DIAGNOSTIC OR THERAPEUTIC PROCEDURES'.

For licensing inquiries, please contact partnerships@abcam.com