JavaScript is disabled in your browser. Please enable JavaScript to view this website.
AB259942

重组Anti-P2X7抗体[EPR24130-77]

Anti-P2X7 antibody [EPR24130-77]

  • BOND RX™ Validated
  • 20ul selling size
  • RabMAb
  • Recombinant
  • 了解详情

Be the first to review this product! Submit a review

|

(9 Publications)

Rabbit Recombinant Monoclonal P2X7 antibody. Suitable for IHC-P, IP, WB and reacts with Mouse samples. Cited in 9 publications.

查看别名

P2x7, P2rx7, P2X purinoceptor 7, P2X7, ATP receptor, P2Z receptor, Purinergic receptor

6 Images
Immunohistochemistry (Formalin/PFA-fixed paraffin-embedded sections) - Anti-P2X7 antibody [EPR24130-77] (AB259942)
  • IHC-P

Supplier Data

Immunohistochemistry (Formalin/PFA-fixed paraffin-embedded sections) - Anti-P2X7 antibody [EPR24130-77] (AB259942)

Immunohistochemical analysis of paraffin-embedded Mouse cerebrum tissue labeling P2X7 with ab259942 at 1/2000 dilution followed by a ready to use LeicaDS9800 (Bond™ Polymer Refine Detection). Positive staining in mouse cerebrum (PMID : 28716092).The section was incubated with ab259942 for 30 mins at room temperature. The immunostaining was performed on a Leica Biosystems BOND® RX instrument Counterstained with Hematoxylin.

Secondary antibody only control : Secondary antibody is a ready to use LeicaDS9800 (Bond™ Polymer Refine Detection) was used.

Heat mediated antigen retrieval with Tris-EDTA buffer (pH 9.0, epitope retrieval solution2) for 20 mins.

Immunohistochemistry (Formalin/PFA-fixed paraffin-embedded sections) - Anti-P2X7 antibody [EPR24130-77] (AB259942)
  • IHC-P

Supplier Data

Immunohistochemistry (Formalin/PFA-fixed paraffin-embedded sections) - Anti-P2X7 antibody [EPR24130-77] (AB259942)

Immunohistochemical analysis of paraffin-embedded Mouse spleen tissue labeling P2X7 with ab259942 at 1/2000 dilution followed by a ready to use LeicaDS9800 (Bond™ Polymer Refine Detection). Membranous staining in mouse spleen (PMID : 22415881).The section was incubated with ab259942 for 30 mins at room temperature. The immunostaining was performed on a Leica Biosystems BOND® RX instrument Counterstained with Hematoxylin.

Secondary antibody only control : Secondary antibody is a ready to use LeicaDS9800 (Bond™ Polymer Refine Detection) was used.

Heat mediated antigen retrieval with Tris-EDTA buffer (pH 9.0, epitope retrieval solution2) for 20 mins.

Immunohistochemistry (Formalin/PFA-fixed paraffin-embedded sections) - Anti-P2X7 antibody [EPR24130-77] (AB259942)
  • IHC-P

Supplier Data

Immunohistochemistry (Formalin/PFA-fixed paraffin-embedded sections) - Anti-P2X7 antibody [EPR24130-77] (AB259942)

Immunohistochemical analysis of paraffin-embedded Mouse skeletal muscle tissue labeling P2X7 with ab259942 at 1/2000 dilution followed by a ready to use LeicaDS9800 (Bond™ Polymer Refine Detection). Very weak staining in mouse skeletal muscle.The section was incubated with ab259942 for 30 mins at room temperature. The immunostaining was performed on a Leica Biosystems BOND® RX instrument Counterstained with Hematoxylin.

Secondary antibody only control : Secondary antibody is a ready to use LeicaDS9800 (Bond™ Polymer Refine Detection) was used.

Heat mediated antigen retrieval with Tris-EDTA buffer (pH 9.0, epitope retrieval solution2) for 20 mins.

Immunohistochemistry (Formalin/PFA-fixed paraffin-embedded sections) - Anti-P2X7 antibody [EPR24130-77] (AB259942)
  • IHC-P

Supplier Data

Immunohistochemistry (Formalin/PFA-fixed paraffin-embedded sections) - Anti-P2X7 antibody [EPR24130-77] (AB259942)

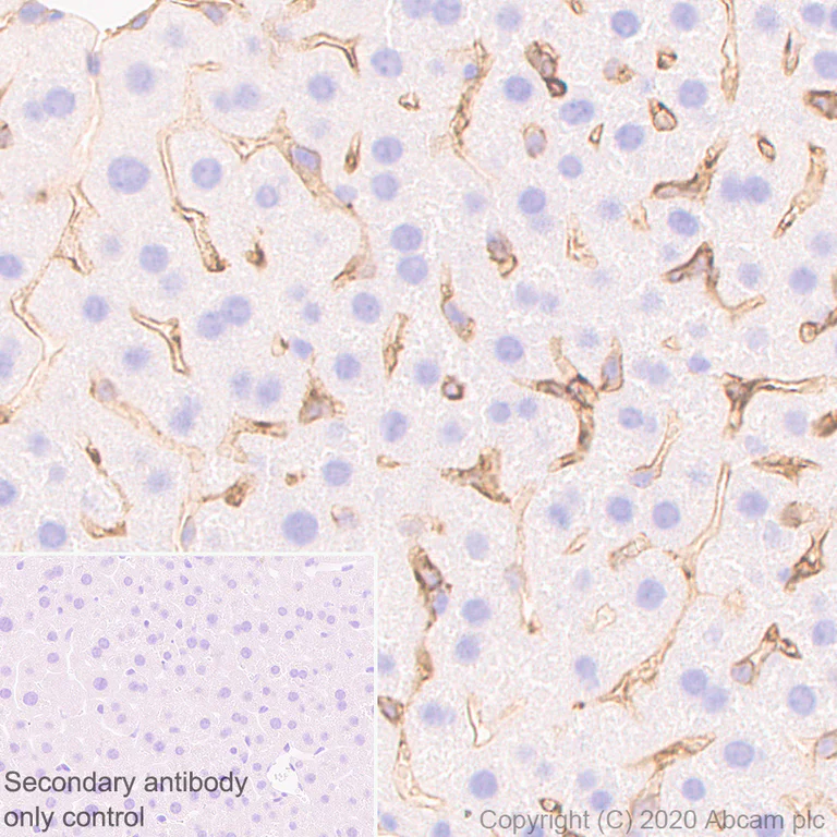
Immunohistochemical analysis of paraffin-embedded Mouse liver tissue labeling P2X7 with ab259942 at 1/2000 dilution followed by a ready to use LeicaDS9800 (Bond™ Polymer Refine Detection). Membranous staining in sinusiod of mouse liver (PMID : 22415881).The section was incubated with ab259942 for 30 mins at room temperature. The immunostaining was performed on a Leica Biosystems BOND® RX instrument Counterstained with Hematoxylin.

Secondary antibody only control : Secondary antibody is a ready to use LeicaDS9800 (Bond™ Polymer Refine Detection) was used.

Heat mediated antigen retrieval with Tris-EDTA buffer (pH 9.0, epitope retrieval solution2) for 20 mins.

Immunoprecipitation - Anti-P2X7 antibody [EPR24130-77] (AB259942)
  • IP

Supplier Data

Immunoprecipitation - Anti-P2X7 antibody [EPR24130-77] (AB259942)

P2X7 was immunoprecipitated from 0.35 mg Mouse lung tissue lysate 10 ug with ab259942 at 1/30 dilution (2ug in 0.35mg lysates). Western blot was performed on the immunoprecipitate using ab259942 at 1/1000 dilution. VeriBlot for IP Detection Reagent (HRP)(ab131366) was used at 1/5000 dilution.

Lane 1 : Mouse lung tissue lysate 10 ug

Lane 2 : ab259942 IP in Mouse lung tissue lysate

Lane 3 : Rabbit monoclonal IgG (ab172730) instead of ab259942 in Mouse lung tissue lysate

Blocking and dilution buffer and concentration : 5% NFDM/TBST.

Exposure time : 3.25 seconds

All lanes:

Immunoprecipitation - Anti-P2X7 antibody [EPR24130-77] (ab259942)

Predicted band size: 69 kDa

Observed band size: 75 kDa

false

Western blot - Anti-P2X7 antibody [EPR24130-77] (AB259942)
  • WB

Lab

Western blot - Anti-P2X7 antibody [EPR24130-77] (AB259942)

Blocking and diluting buffer and concentration : 5% NFDM/TBST

Samples are non-boiled as boiling may cause protein aggregates.

The molecular weight observed is consistent with what has been described in the literature (PMID : 20450227)

The expression profile is consistent with what has been described in the literature (PMID : 29018292)

Low expression or negative control : Mouse skeletal muscle (PMID : 15254086, PMID : 22415881), which is consistent to IHC expression pattern.

Exposure time : 59 seconds

All lanes:

Western blot - Anti-P2X7 antibody [EPR24130-77] (ab259942) at 1/1000 dilution

Lane 1:

RAW264.7 (mouse Abelson murine leukemia virus-induced tumor macrophage), whole cell lysate at 20 µg

Lane 2:

Mouse brain tissue lysate at 20 µg

Lane 3:

Mouse lung tissue lysate at 20 µg

Lane 4:

Mouse skeletal muscle tissue lysate at 20 µg

Secondary

Lanes 1 - 4:

Goat Anti-Rabbit IgG, (H+L), Peroxidase conjugated at 1/100000 dilution

Lanes 1 - 4:

Western blot - Goat Anti-Rabbit IgG H&L (HRP) (<a href='/products/secondary-antibodies/goat-rabbit-igg-h-l-hrp-ab97051'>ab97051</a>) at 1/100000 dilution

Predicted band size: 69 kDa

Observed band size: 75 kDa

false

不同偶联物与剂型 (1)

  • Carrier free

    Anti-P2X7 antibody [EPR24130-77] - BSA and Azide free

关键信息

宿主种属

Rabbit

克隆

Monoclonal

克隆号

EPR24130-77

亚型

IgG

不含载体蛋白

No

反应种属

Mouse

应用

IHC-P, IP, WB

applications

免疫原

The exact immunogen used to generate this antibody is proprietary information.

反应性数据

{ "title": "Reactivity Data", "filters": { "stats": ["", "Species", "Dilution Info", "Notes"], "tabs": { "all-applications": {"fullname" : "All Applications", "shortname": "All Applications"}, "IHCP" : {"fullname" : "Immunohistochemistry (Formalin/PFA-fixed paraffin-embedded sections)", "shortname":"IHC-P"}, "FlowCytIntra" : {"fullname" : "Flow Cytometry (Intracellular)", "shortname":"Flow Cyt (Intra)"}, "IP" : {"fullname" : "Immunoprecipitation", "shortname":"IP"}, "ICCIF" : {"fullname" : "Immunocytochemistry/ Immunofluorescence", "shortname":"ICC/IF"}, "WB" : {"fullname" : "Western blot", "shortname":"WB"} }, "product-promise": { "all": "all", "testedAndGuaranteed": "tested", "guaranteed": "expected", "predicted": "predicted", "notRecommended": "not-recommended" } }, "values": { "Human": { "IHCP-species-checked": "notRecommended", "IHCP-species-dilution-info": "1/2000", "IHCP-species-notes": "<p></p>", "FlowCytIntra-species-checked": "notRecommended", "FlowCytIntra-species-dilution-info": "", "FlowCytIntra-species-notes": "", "IP-species-checked": "notRecommended", "IP-species-dilution-info": "", "IP-species-notes": "", "ICCIF-species-checked": "notRecommended", "ICCIF-species-dilution-info": "", "ICCIF-species-notes": "", "WB-species-checked": "notRecommended", "WB-species-dilution-info": "1/1000", "WB-species-notes": "<p></p>" }, "Mouse": { "IHCP-species-checked": "testedAndGuaranteed", "IHCP-species-dilution-info": "1/2000", "IHCP-species-notes": "<p></p>", "FlowCytIntra-species-checked": "notRecommended", "FlowCytIntra-species-dilution-info": "", "FlowCytIntra-species-notes": "<p></p>", "IP-species-checked": "testedAndGuaranteed", "IP-species-dilution-info": "1/30", "IP-species-notes": "<p></p>", "ICCIF-species-checked": "notRecommended", "ICCIF-species-dilution-info": "", "ICCIF-species-notes": "<p></p>", "WB-species-checked": "testedAndGuaranteed", "WB-species-dilution-info": "1/1000", "WB-species-notes": "<p></p>" }, "Rat": { "IHCP-species-checked": "notRecommended", "IHCP-species-dilution-info": "1/2000", "IHCP-species-notes": "<p></p>", "FlowCytIntra-species-checked": "notRecommended", "FlowCytIntra-species-dilution-info": "", "FlowCytIntra-species-notes": "<p></p>", "IP-species-checked": "notRecommended", "IP-species-dilution-info": "1/30", "IP-species-notes": "<p></p>", "ICCIF-species-checked": "notRecommended", "ICCIF-species-dilution-info": "", "ICCIF-species-notes": "<p></p>", "WB-species-checked": "notRecommended", "WB-species-dilution-info": "1/1000", "WB-species-notes": "<p></p>" } } }

产品详情

Patented technology
Our RabMAb® technology is a patented hybridoma-based technology for making rabbit monoclonal antibodies. For details on our patents, please refer to RabMAb® patents.

What are the advantages of a recombinant monoclonal antibody?
This product is a recombinant monoclonal antibody, which offers several advantages including:

  • - High batch-to-batch consistency and reproducibility
  • - Improved sensitivity and specificity
  • - Long-term security of supply
  • - Animal-free batch production

For more information, read more on recombinant antibodies.

性能和储存信息

形式
Liquid
纯化工艺
Affinity purification Protein A
存储溶液
Preservative: 0.01% Sodium azide Constituents: PBS, 40% Glycerol (glycerin, glycerine), 0.05% BSA
运输条件
Blue Ice
推荐的短期储存时间
1-2 weeks
推荐的短期储存条件
+4°C
推荐的长期储存条件
-20°C
分装信息
Upon delivery aliquot
储存信息
Avoid freeze / thaw cycle

补充信息

This supplementary information is collated from multiple sources and compiled automatically.

The P2X7 receptor also known as P2RX7 is a ligand-gated ion channel primarily activated by ATP. It possesses a mass of approximately 68 kDa and is mainly expressed in immune cells like macrophages and microglia. P2X7 functions as a trimer forming a pore in the cell membrane that allows the passage of ions such as calcium (Ca²⁺) and sodium (Na⁺) influencing cell signaling and survival. This receptor is notable for its unique ability to change permeability to larger molecules upon prolonged stimulation with ATP.
Biological function summary

The P2X7 receptor influences immune response and inflammation. It plays a role in the release of pro-inflammatory cytokines like interleukin-1β (IL-1β) therefore participating in the regulation of inflammatory and immune responses. It forms a complex with other purinergic receptors affecting processes such as apoptosis and cell proliferation. The activation of P2X7 can lead to the formation of the inflammasome a component critical for cytokine processing and release.

Pathways

The P2X7 receptor integrates into the NOD-like receptor (NLR) signaling and the purinergic signaling pathways. It interacts with proteins from these pathways including NLRP3 and pannexin-1 which contribute to inflammasome assembly and function. P2X7 also impacts intracellular signaling cascades such as the PI3K/AKT pathway influencing cellular survival and immune responses.

Aberrant P2X7 receptor activity has connections to inflammatory and neurodegenerative conditions. In chronic inflammation the enhanced activity of this receptor can exacerbate diseases like rheumatoid arthritis by promoting excessive cytokine release. It is also associated with neurodegenerative disorders like Alzheimer's disease where P2X7 influences neuroinflammation and neuronal death interacting with proteins such as amyloid-beta.

产品实验方案

For this product, it's our understanding that no specific protocols are required. You can visit:

靶点信息

Receptor for ATP that acts as a ligand-gated ion channel. Responsible for ATP-dependent lysis of macrophages through the formation of membrane pores permeable to large molecules. Could function in both fast synaptic transmission and the ATP-mediated lysis of antigen-presenting cells. In the absence of its natural ligand, ATP, functions as a scavenger receptor in the recognition and engulfment of apoptotic cells.
See full target information P2rx7

文献 (9)

Recent publications for all applications. Explore the full list and refine your search

Inflammation : PubMed40586851

2025

Vitexin Alleviates Kainic Acid-Induced Seizure Through Inhibiting P2X7R/NLRP3 Signaling Pathway.

Applications

Unspecified application

Species

Unspecified reactive species

Ru Chen,Si-Min Cheng,Hao-Chuan Wang, Kun-Dong,Hui-Li Sun,Meng-Mei Sun,Bo Gao,Wen-Ning Wu

Cancer & metabolism 13:19 PubMed40264211

2025

ETV4/ALYREF-mediated glycolytic metabolism through PKM2 enhances resistance to ferroptosis and promotes the development of intrahepatic cholangiocarcinoma.

Applications

Unspecified application

Species

Unspecified reactive species

Xiaohui Wang,Wenbin Duan,Zhongzhi Ma,Haoquan Wen,Xianhai Mao,Changjun Liu

Journal of neuroinflammation 21:13 PubMed38191407

2024

The microRNA-211-5p/P2RX7/ERK/GPX4 axis regulates epilepsy-associated neuronal ferroptosis and oxidative stress.

Applications

Unspecified application

Species

Unspecified reactive species

Xueying Li,Pusheng Quan,Yao Si,Fei Liu,Yuwei Fan,Feifan Ding,Lina Sun,Han Liu,Shuo Huang,Linlin Sun,Fan Yang,Lifen Yao

Cell death discovery 9:409 PubMed37935670

2023

Regulated cell death and inflammasome activation in gut injury following traumatic surgery in vitro and in vivo: implication for postoperative death due to multiorgan dysfunction.

Applications

Unspecified application

Species

Unspecified reactive species

Lingzhi Wu,Hailin Zhao,Mengxu Zhang,Qizhe Sun,Enqiang Chang,Xinyi Li,Wen Ouyang,Yuan Le,Daqing Ma

Journal of immunology (Baltimore, Md. : 1950) 210:1962-1973 PubMed37144844

2023

Upregulation of P2X7 Exacerbates Myocardial Ischemia-Reperfusion Injury through Enhancing Inflammation and Apoptosis in Diabetic Mice.

Applications

Unspecified application

Species

Unspecified reactive species

Fancan Wu,Hong Wei,Yingxin Hu,Jiahong Gao,Shiyuan Xu

Frontiers in pharmacology 14:974905 PubMed36778007

2023

The NLRP3 inflammasome is involved in resident intruder paradigm-induced aggressive behaviors in mice.

Applications

Unspecified application

Species

Unspecified reactive species

Qingying Yu,Molin Liu,Weibo Dai,Yu Xiong,Xiangyu Mu,Mengyao Xia,Yanling Li,Shan Ma,Yongtao Su,Jibiao Wu,Chuanguo Liu,Yicheng Xie,Tingting Zhao,Aimei Lu,Ning Weng,Feng Zheng,Peng Sun

Journal of neurochemistry 163:419-437 PubMed36269673

2022

Continued P2X7 activation leads to mitochondrial fission and compromising microglial phagocytosis after subarachnoid haemorrhage.

Applications

Unspecified application

Species

Unspecified reactive species

Tao Tao,Xiangxin Chen,Yan Zhou,Qiang Zheng,Sen Gao,Jinwei Wang,Pengfei Ding,Xiaojian Li,Zheng Peng,Yue Lu,Yongyue Gao,Zong Zhuang,Chun-Hua Hang,Wei Li

Iranian journal of immunology : IJI 19:4 PubMed35293345

2022

LPS Activated Macrophages Induced Hepatocyte Pyroptosis via P2X7R Activation of NLRP3 in Mice.

Applications

Unspecified application

Species

Unspecified reactive species

Lidan Luo,Yuan Fang,Qi Yuan,Jinmao Liao,Zheng Zhang

International journal of molecular medicine 49: PubMed35266010

2022

Potential mechanisms of osteoprotegerin-induced damage to osteoclast adhesion structures via P2X7R-mediated MAPK signaling.

Applications

Unspecified application

Species

Unspecified reactive species

Yonggang Ma,Xueni Shi,Hongyan Zhao,Ruilong Song,Hui Zou,Jiaqiao Zhu,Zongping Liu
View all publications

Abcam Product Promise

我们致力于为您的研究提供高质量的试剂,为您科研的每一步提供支持。若我们的产品未能达到预期性能,我们向您提供 Abcam Product Promise 保障。
详情请参阅我们的条款与条件。

Please note: All products are 'FOR RESEARCH USE ONLY. NOT FOR USE IN DIAGNOSTIC OR THERAPEUTIC PROCEDURES'.

For licensing inquiries, please contact partnerships@abcam.com