JavaScript is disabled in your browser. Please enable JavaScript to view this website.
AB109199

Anti-p21 抗体 [EPR3993]

Anti-p21 antibody [EPR3993]

  • KO Validated
  • RabMAb
  • Recombinant
  • Lab Essentials
  • 了解详情

4

(12 Reviews)

|

(420 Publications)

Anti-p21 antibody [EPR3993] (ab109199) is a rabbit monoclonal antibody detecting p21 in Western Blot. Suitable for Human, Mouse, Rat.

- KO validated for confirmed specificity
- Biophysical QC for unrivalled batch-batch consistency
- Over 300 publications

查看别名

CAP20, CDKN1, CIP1, MDA6, PIC1, SDI1, WAF1, CDKN1A, Cyclin-dependent kinase inhibitor 1, CDK-interacting protein 1, Melanoma differentiation-associated protein 6, p21, MDA-6

10 Images
Western blot - Anti-p21 antibody [EPR3993] (AB109199)
  • WB

Lab

Western blot - Anti-p21 antibody [EPR3993] (AB109199)

False colour image of Western blot : Anti-p21 antibody [EPR3993] staining at 1/1000 dilution, shown in green; Mouse anti-Alpha Tubulin [DM1A] (ab7291) loading control staining at 1/20000 dilution, shown in red. In Western blot, ab109199 was shown to bind specifically to p21. A band was observed at 21 kDa in wild-type HeLa cell lysates with no signal observed at this size in CDKN2A knockout cell line ab255349 (knockout cell lysate ab263812). To generate this image, wild-type and CDKN2A knockout cell lysates were analysed. First, samples were run on an SDS-PAGE gel then transferred onto a nitrocellulose membrane. Membranes were blocked in 3 % milk in TBS-0.1 % Tween® 20 (TBS-T) before incubation with primary antibodies overnight at 4°C. Blots were washed four times in TBS-T, incubated with secondary antibodies for 1 h at room temperature, washed again four times then imaged.Secondary antibodies used were Goat anti-Rabbit IgG H&L (IRDye® 800CW) preabsorbed (ab216773) and Goat anti-Mouse IgG H&L (IRDye® 680RD) preabsorbed (ab216776) at 1/20000 dilution.

All lanes:

Western blot - Anti-p21 antibody [EPR3993] (ab109199) at 1/1000 dilution

Lane 1:

wild-type HeLa Vehicle Control Fluvastatin (0 uM, 24 h) cell lysate at 20 µg

Lane 2:

wild-type HeLa Treated Fluvastatin (50 uM, 24 h) cell lysate at 20 µg

Lane 2:

Western blot - Human CDKN1A knockout HeLa cell line (<a href='/products/cell-lines/human-cdkn1a-knockout-hela-cell-line-ab255349'>ab255349</a>)

Lane 3:

CDKN1A knockout HeLa Vehicle Control Fluvastatin (0 uM, 24 h) cell lysate at 20 µg

Lane 4:

CDKN1A knockout HeLa Treated Fluvastatin (50 uM, 24 h) cell lysate at 20 µg

Predicted band size: 18 kDa

Observed band size: 21 kDa

false

Western blot - Anti-p21 antibody [EPR3993] (AB109199)
  • WB

Lab

Western blot - Anti-p21 antibody [EPR3993] (AB109199)

Lanes 1- 2 : Merged signal (red and green). Green - ab109199 observed at 20 kDa. Red - Anti-GAPDH antibody [6C5] - Loading Control (ab8245) observed at 37 kDa.

ab109199 was shown to react with p21 in wild-type HCT116 cells in western blot. Loss of signal was observed when knockout cell line ab266860 (knockout cell lysate ab256870) was used. Wild-Type HCT116 and CDKN1A knockout HCT116 cell lysates were subjected to SDS-PAGE. Membrane was blocked for 1 hour at room temperature in 0.1% TBST with 3% non-fat dried milk. ab109199 and Anti-GAPDH antibody [6C5] - Loading Control (ab8245) overnight at 4°C at a 1 in 1000 dilution and a 1 in 20000 dilution respectively. Blots were developed with Goat anti-Rabbit IgG H&L (IRDye®800CW) preadsorbed (ab216773) and Goat anti-Mouse IgG H&L (IRDye®680RD) preadsorbed (ab216776) secondary antibodies at 1 in 20000 dilution for 1 hour at room temperature before imaging.

All lanes:

Western blot - Anti-p21 antibody [EPR3993] (ab109199) at 1/1000 dilution

Lane 1:

Wild-type HCT116 cell lysate at 20 µg

Lane 2:

CDKN1A knockout HCT116 cell lysate at 20 µg

Lane 2:

Western blot - Human CDKN1A knockout HCT116 cell line (<a href='/products/cell-lines/human-cdkn1a-knockout-hct116-cell-line-ab266860'>ab266860</a>)

Predicted band size: 18 kDa,197 kDa,36 kDa,47 kDa,72 kDa,84 kDa

Observed band size: 150 kDa,20 kDa,40 kDa,45 kDa,47 kDa

false

Western blot - Anti-p21 antibody [EPR3993] (AB109199)
  • WB

Lab

Western blot - Anti-p21 antibody [EPR3993] (AB109199)

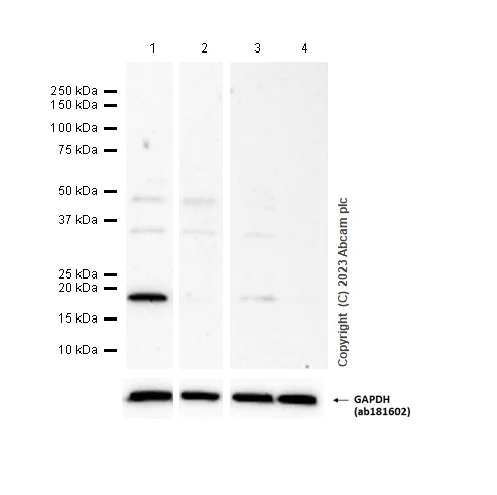
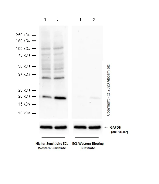
Blocking and diluting buffer and concentration : 5% NFDM/TBST. ab181602 was used as a GAPDH loading control. We recommend using higher or super higher sensitivity ECL substrate for detecting. Increase lysate amount can also help to get stronger signal.

All lanes:

Western blot - Anti-p21 antibody [EPR3993] (ab109199) at 1/1000 dilution

Lane 1:

PC-12(Rat adrenal gland pheochromocytoma) whole cell lysate at 20 µg

Lane 2:

PC-12(Rat adrenal gland pheochromocytoma) treated with 50ng/ml NFG for 48 hours whole cell lysate at 20 µg

Secondary

All lanes:

Western blot - Goat Anti-Rabbit IgG H&L (HRP) (<a href='/products/secondary-antibodies/goat-rabbit-igg-h-l-hrp-ab97051'>ab97051</a>) at 1/20000 dilution

Predicted band size: 18 kDa

Observed band size: 18 kDa

true

Exposure time: 180s

Western blot - Anti-p21 antibody [EPR3993] (AB109199)
  • WB

Lab

Western blot - Anti-p21 antibody [EPR3993] (AB109199)

Blocking buffer and concentration : 5% NFDM/TBST.

Diluting buffer and concentration : 5% NFDM /TBST.

All lanes:

Western blot - Anti-p21 antibody [EPR3993] (ab109199) at 1/1000 dilution

All lanes:

PC-12 cell lysate at 10 µg

Secondary

All lanes:

Peroxidase-conjugated goat anti-rabbit IgG (H+L) at 1/1000 dilution

Predicted band size: 18 kDa

Observed band size: 21 kDa

false

Western blot - Anti-p21 antibody [EPR3993] (AB109199)
  • WB

Lab

Western blot - Anti-p21 antibody [EPR3993] (AB109199)

All lanes:

Western blot - Anti-p21 antibody [EPR3993] (ab109199)

Lane 1:

RAW264.7 (Mouse Abelson murine leukemia virus-induced tumor macrophage) whole cell lysates at 15 µg

Lane 2:

Neuro-2a (Mouse neuroblastoma neuroblast) whole cell lysates at 15 µg

Secondary

All lanes:

Western blot - Goat Anti-Rabbit IgG H&L (HRP) (<a href='/products/secondary-antibodies/goat-rabbit-igg-h-l-hrp-ab97051'>ab97051</a>) at 1/20000 dilution

Predicted band size: 18 kDa

false

Western blot - Anti-p21 antibody [EPR3993] (AB109199)
  • WB

Lab

Western blot - Anti-p21 antibody [EPR3993] (AB109199)

Blocking and diluting buffer and concentration : 5% NFDM/TBST. ab181602 was used as a GAPDH loading control.

All lanes:

Western blot - Anti-p21 antibody [EPR3993] (ab109199) at 1/1000 dilution

Lane 1:

Raw 264.7(Mouse Abelson murine leukemia virus-induced tumor macrophage) whole cell lysate at 20 µg

Lane 2:

NIH/3T3 (Mouse embryonic fibroblast) whole cell lysate at 20 µg

Lane 3:

C6 (Rat glial tumor glial cell) whole cell lysate at 20 µg

Lane 4:

PC-12(Rat adrenal gland pheochromocytoma) whole cell lysate at 20 µg

Secondary

All lanes:

Western blot - Goat Anti-Rabbit IgG H&L (HRP) (<a href='/products/secondary-antibodies/goat-rabbit-igg-h-l-hrp-ab97051'>ab97051</a>) at 1/20000 dilution

Predicted band size: 18 kDa

Observed band size: 18 kDa

false

Exposure time: 180s

Western blot - Anti-p21 antibody [EPR3993] (AB109199)
  • WB

Unknown

Western blot - Anti-p21 antibody [EPR3993] (AB109199)

Blocking and diluting buffer : 5% NDFM/TBST.

All lanes:

Western blot - Anti-p21 antibody [EPR3993] (ab109199)

All lanes:

MCF-7 (Human breast adenocarcinoma epithelial cell) whole cell lysates at 15 µg

Secondary

All lanes:

Western blot - Goat Anti-Rabbit IgG H&L (HRP) (<a href='/products/secondary-antibodies/goat-rabbit-igg-h-l-hrp-ab97051'>ab97051</a>) at 1/20000 dilution

Predicted band size: 18 kDa

false

Exposure time: 3min

Western blot - Anti-p21 antibody [EPR3993] (AB109199)
  • WB

Lab

Western blot - Anti-p21 antibody [EPR3993] (AB109199)

Different batches of ab109199 were tested on MCF7 (Human breast adenocarcinoma epithelial cell) lysate at 0.2 µg/ml. 15 µg of lysate was loaded in each lane. Bands observed at 21 kDa.

All lanes:

Western blot - Anti-p21 antibody [EPR3993] (ab109199)

Predicted band size: 18 kDa

false

Western blot - Anti-p21 antibody [EPR3993] (AB109199)
  • WB

Lab

Western blot - Anti-p21 antibody [EPR3993] (AB109199)

Lane 1 : Wild-type DLD-1 cell lysate (20 μg)
Lane 2 : Wild-type DLD-1 20 μM 2,3-DCPE for 16hrs treated cell lysate (20 μg)
Lane 3 : p21 knockout DLD-1 cell lysate (20 μg)
Lane 4 : p21 knockout 20 μM 2,3-DCPE for 16hrs DLD-1 cell lysate (20 μg)
Lane 5 : HT1080 cell lysate (20 μg)

Lanes 1 - 5 : Merged signal (red and green). Green - ab109199 observed at 20 kDa. Red - loading control, ab8245, observed at 37 kDa.

This western blot image is a comparison between ab109119 and a competitor's top cited rabbit polyclonal antibody.

All lanes:

Western blot - Anti-p21 antibody [EPR3993] (ab109199)

Predicted band size: 18 kDa

false

Western blot - Anti-p21 antibody [EPR3993] (AB109199)
  • WB

Lab

Western blot - Anti-p21 antibody [EPR3993] (AB109199)

Lane 1 : Wild-type DLD-1 cell lysate (20 μg)

Lane 2 : Wild-type DLD-1 20 μM 2,3-DCPE for 16hrs treated cell lysate (20 μg)

Lane 3 : p21 knockout DLD-1 cell lysate (20 μg)

Lane 4 : p21 knockout 20 μM 2,3-DCPE for 16hrs DLD-1 cell lysate (20 μg)

Lane 5 : HT1080 cell lysate (20 μg)

Lanes 1 - 5 : Merged signal (red and green). Green - ab109199 observed at 20 kDa. Red - loading control, ab8245, observed at 37 kDa.

ab109199 was shown to recognize p21 in WT DLD-1 cells with 2,3-DCPE treatment along with additional cross-reactive bands. When p21 knockout DLD-1 cells +/- 2,3-DCPE treatment were used, no band was observed. Wild-type and p21 knockout samples were subjected to SDS-PAGE. ab109199 and ab8245 (loading control to GAPDH) were diluted 1/1000 and 1/10 000 respectively and incubated overnight at 4°C. Blots were developed with Goat anti-Rabbit IgG H&L (IRDye® 800CW) preadsorbed (ab216773) and Goat anti-Mouse IgG H&L (IRDye® 680RD) preadsorbed (ab216776) secondary antibodies at 1/10 000 dilution for 1 h at room temperature before imaging.

All lanes:

Western blot - Anti-p21 antibody [EPR3993] (ab109199)

Predicted band size: 18 kDa

Observed band size: 20 kDa

false

关键信息

宿主种属

Rabbit

克隆

Monoclonal

克隆号

EPR3993

亚型

IgG

不含载体蛋白

No

反应种属

Mouse, Rat, Human

应用

WB

applications

免疫原

The exact immunogen used to generate this antibody is proprietary information.

特异性

Expression levels of the target protein vary between different tissue/cell lines and in some cases, induction may be required before a signal is observed.
This antibody is not recommended for use in WB with tissue and primary cell samples.
We recommended ab109520 and ab188224 for use in IHC.

反应性数据

{ "title": "Reactivity Data", "filters": { "stats": ["", "Species", "Dilution Info", "Notes"], "tabs": { "all-applications": {"fullname" : "All Applications", "shortname": "All Applications"}, "WB" : {"fullname" : "Western blot", "shortname":"WB"} }, "product-promise": { "all": "all", "testedAndGuaranteed": "tested", "guaranteed": "expected", "predicted": "predicted", "notRecommended": "not-recommended" } }, "values": { "Human": { "WB-species-checked": "testedAndGuaranteed", "WB-species-dilution-info": "1/1000", "WB-species-notes": "<p><strong>For unpurified use at 1/1000 - 1/10000.</strong></p><p>This antibody is not recommended for use in WB with tissue and primary cell samples.</p><p>We recommend using higher or super higher sensitivity ECL substrate for detecting. Increase lysate amount can also help to get stronger signal.</p>" }, "Mouse": { "WB-species-checked": "testedAndGuaranteed", "WB-species-dilution-info": "1/1000", "WB-species-notes": "<p><strong>For unpurified use at 1/1000 - 1/10000.</strong></p><p>This antibody is not recommended for use in WB with tissue and primary cell samples.</p><p>We recommend using higher or super higher sensitivity ECL substrate for detecting. Increase lysate amount can also help to get stronger signal.</p>" }, "Rat": { "WB-species-checked": "testedAndGuaranteed", "WB-species-dilution-info": "1/1000", "WB-species-notes": "<p><strong>For unpurified use at 1/1000 - 1/10000.</strong></p><p>This antibody is not recommended for use in WB with tissue and primary cell samples.</p><p>We recommend using higher or super higher sensitivity ECL substrate for detecting. Increase lysate amount can also help to get stronger signal.</p>" } } }

产品详情

Product Specifications
Anti-p21 antibody [EPR3993] (ab109199) was developed by Abcam using patented rabbit monoclonal antibody technology and is validated for use in WB in human, mouse, rat samples.
Anti-p21 antibody [EPR3993] (ab109199) specifically detects p21 (UniProt ID: P38936; Molecular weight: 18kDa) and is sold in 100 µL and 1 mL selling sizes.

Quality and Validation
Abcam's high quality manufacturing and validation processes ensure Anti-p21 antibody [EPR3993] (ab109199) has high sensitivity and specificity alongside high lot-to-lot consistency and reproducibility.
The specificity of Anti-p21 antibody [EPR3993] (ab109199) has been confirmed by testing in knockout samples.
Anti-p21 antibody [EPR3993] (ab109199) has been cited over 305 times in peer reviewed journals and is trusted by the scientific community.
Anti-p21 antibody [EPR3993] (ab109199) has 10 independent reviews from customers.

Patented technology
Our RabMAb® technology is a patented hybridoma-based technology for making rabbit monoclonal antibodies. For details on our patents, please refer to RabMAb® patents.

What are the advantages of a recombinant monoclonal antibody?
This product is a recombinant monoclonal antibody, which offers several advantages including:

  • - High batch-to-batch consistency and reproducibility
  • - Improved sensitivity and specificity
  • - Long-term security of supply
  • - Animal-free batch production

For more information, read more on recombinant antibodies.

性能和储存信息

形式
Liquid
纯化工艺
Affinity purification Protein A
存储溶液
pH: 7.2 - 7.4 Preservative: 0.01% Sodium azide Constituents: PBS, 40% Glycerol (glycerin, glycerine), 0.05% BSA
运输条件
Blue Ice
推荐的短期储存时间
1-2 weeks
推荐的短期储存条件
+4°C
推荐的长期储存条件
-20°C
分装信息
Upon delivery aliquot
储存信息
Stable for 12 months at -20°C

补充信息

This supplementary information is collated from multiple sources and compiled automatically.

The p21 protein also known as CDKN1A is an important regulator of cell cycle progression. It acts as a cyclin-dependent kinase inhibitor where it binds to and inhibits the activity of cyclin-CDK2 or -CDK4 complexes. The molecular weight of p21 is approximately 21 kDa. Cellular expression of p21 is diverse; it occurs in various tissues reflecting its broad role in maintaining cell cycle control. This protein's expression level is often assessed using techniques such as p21 western blotting p21 ELISA and p21 IHC staining.
Biological function summary

P21 plays a critical role in cell cycle regulation and DNA damage response. It associates with the p53 tumor suppressor protein forming an essential part of the p53 signaling pathway under stress conditions. p21 arrests cells in G1 phase allowing DNA repair or leading to cellular senescence. Through these mechanisms p21 integrates signals from stress and damage emphasizing its importance as a mediator in cellular checkpoint control.

Pathways

P21 is closely involved in the p53 and the Transforming Growth Factor-beta (TGF-β) signaling pathways. This integration helps in transmitting growth-inhibitory signals. p21 interacts with proteins such as p53 and cyclins ensuring precise regulation of the cell cycle and growth arrest when necessary. Triggered by p53 activation p21 contributes to preventing undisturbed cell proliferation acting as a safeguard against tumor formation.

P21's deregulation associates with cancer and age-related diseases. Its impairment is a common feature in many cancers often linked with defects in the p53 pathway. Reduced p21 expression can contribute to unchecked cell division and tumor progression. Moreover in age-related diseases p21's role in promoting cellular senescence connects it with degenerative conditions. The intricate relationship between p21 and proteins such as p53 and cyclins highlights its potential as a therapeutic target for these disorders.

产品实验方案

For this product, it's our understanding that no specific protocols are required. You can visit:

靶点信息

Plays an important role in controlling cell cycle progression and DNA damage-induced G2 arrest (PubMed : 9106657). Involved in p53/TP53 mediated inhibition of cellular proliferation in response to DNA damage. Also involved in p53-independent DNA damage-induced G2 arrest mediated by CREB3L1 in astrocytes and osteoblasts (By similarity). Binds to and inhibits cyclin-dependent kinase activity, preventing phosphorylation of critical cyclin-dependent kinase substrates and blocking cell cycle progression. Functions in the nuclear localization and assembly of cyclin D-CDK4 complex and promotes its kinase activity towards RB1. At higher stoichiometric ratios, inhibits the kinase activity of the cyclin D-CDK4 complex. Inhibits DNA synthesis by DNA polymerase delta by competing with POLD3 for PCNA binding (PubMed : 11595739). Negatively regulates the CDK4- and CDK6-driven phosphorylation of RB1 in keratinocytes, thereby resulting in the release of E2F1 and subsequent transcription of E2F1-driven G1/S phase promoting genes (By similarity).
See full target information CDKN1A

文献 (420)

Recent publications for all applications. Explore the full list and refine your search

ACS central science 11:1682-1699 PubMed41019116

2025

Astragaloside IV Alleviates Fructose-Induced Intestinal Metabolic Senescence by Targeting Ketohexokinase Asn261/Ala226 to Preserve Intestinal Stem Cell Homeostasis.

Applications

Unspecified application

Species

Unspecified reactive species

Qifang Wu,Yingna Li,Yunyun Zhao,Ruifen Zhang,Jingyang Tong,Chunlei Ji,Yiming Zhao,Mingjiang Wu,Xiaosheng Jin,Dandan Wang,Haibin Tong,Liwei Sun,Fangbing Liu

Science advances 11:eadq7665 PubMed40991686

2025

Impaired macroautophagy in oligodendrocyte precursor cells suppresses neuronal plasticity via a senescence-associated signaling.

Applications

Unspecified application

Species

Unspecified reactive species

Hong Chen,Yan-Yun Sun,Qi-Fa Li,Yu-Tong Du,Na-Na Hu,Ao-Ran Sui,Xiao-Qing Luo,Xin Huang,Chao Zhu,Gang Yang,Lin-Lin Yao,Yong Tang,Hua Hu,Chun-Feng Liu,Jin Tao,Lei Feng,Frank Kirchhoff,Wenhui Huang,Shao Li,Quan-Hong Ma

Stem cell research & therapy 16:475 PubMed40877889

2025

Exosomes derived from umbilical cord mesenchymal stem cells alleviate jaw bone marrow mesenchymal stem cells senescence and restore osteogenic differentiation potential.

Applications

Unspecified application

Species

Unspecified reactive species

Hongkun Li,Nuo Xu,Shuaichen Li,Xinjing Wang,Anping Li,Hengxin Wang,Shuang Wu,Sunxin Zhou,Chuan Cai,Tong Zhang

Frontiers in immunology 16:1592737 PubMed40799648

2025

RORα-activated mitophagy attenuating hypoxic-ischemic encephalopathy via suppression of microglial cGAS-STING axis.

Applications

Unspecified application

Species

Unspecified reactive species

Lei Song,Haiyan Shen,Fei Hong,Weiyan Zhang,Hongyi Lu

GeroScience : PubMed40715936

2025

Alterations in mitochondria and cellular senescence in aged sEH null female kidneys.

Applications

Unspecified application

Species

Unspecified reactive species

Ala Yousef,Liye Fang,Mobina Heidari,Andy Huang,Patrick Kondraciuk,Kristen A Yee,Michael Mengel,John M Seubert

Journal of nanobiotechnology 23:536 PubMed40696430

2025

Quercetin combined with shTERT induces apoptosis in ovarian cancer via the P53/Bax pathway, and RGD-MSN/QR/shTERT nanoparticles enhance the therapeutic efficacy.

Applications

Unspecified application

Species

Unspecified reactive species

Guojie Chen,Weiwei Song,Xing Wang,Guangyao Mao,Weifeng Hu,Rongrong Dou,He Zhu,Yongkang Zhang,Xianhua Fu,Mei Lin

International journal of molecular sciences 26: PubMed40565100

2025

Radiation Promotes Acute and Chronic Damage to Adipose Tissue.

Applications

Unspecified application

Species

Unspecified reactive species

Kia T Liermann-Wooldrik,Elizabeth A Kosmacek,Joshua A McDowell,Simran Takkar,Divya Murthy,Pankaj K Singh,Micah B Schott,Moorthy P Ponnusamy,Rebecca E Oberley-Deegan

International journal of molecular sciences 26: PubMed40565337

2025

Methionine Restriction Attenuates Scar Formation in Fibroblasts Derived from Patients with Post-Burn Hypertrophic Scar.

Applications

Unspecified application

Species

Unspecified reactive species

Hui Song Cui,Ya Xin Zheng,Yoon Soo Cho,Yu Mi Ro,In Suk Kwak,So Young Joo,Cheong Hoon Seo

Redox report : communications in free radical research 30:2511458 PubMed40489575

2025

Fucoxanthin alleviates renal aging by regulating the oxidative stress process and the inflammatory response and models.

Applications

Unspecified application

Species

Unspecified reactive species

Xiaomei Zhang,Weidong Qiang,Yongxin Guo,Jingli Gong,Huan Yu,Di Wu,Pengxiang Tang,Ma Yidan,Huifeng Zhang,Xin Sun

Journal of addiction & prevention 13: PubMed40463894

2025

Alcohol, Anti-HIV Drugs, and/or Hippuric Acid Deteriorate Cellular Stresses in Senescent Hepatocytes and Aging Murine Liver.

Applications

Unspecified application

Species

Unspecified reactive species

L Chen,M Kaypaghian,E Duran,C Ji
View all publications

Abcam Product Promise

我们致力于为您的研究提供高质量的试剂,为您科研的每一步提供支持。若我们的产品未能达到预期性能,我们向您提供 Abcam Product Promise 保障。
详情请参阅我们的条款与条件。

Please note: All products are 'FOR RESEARCH USE ONLY. NOT FOR USE IN DIAGNOSTIC OR THERAPEUTIC PROCEDURES'.

For licensing inquiries, please contact partnerships@abcam.com