JavaScript is disabled in your browser. Please enable JavaScript to view this website.
AB109520

Anti-p21 抗体 [EPR362]

Anti-p21 antibody [EPR362]

  • RabMAb
  • Recombinant
  • KO Validated
  • Lab Essentials
  • 20ul selling size
  • 了解详情

4

(16 Reviews)

|

(555 Publications)

Anti-p21 antibody [EPR362] (ab109520) is a rabbit monoclonal antibody detecting p21 in Western Blot, Flow Cytometry (Intra), Flow Cytometry, IP, IHC-P, ICC/IF. Suitable for Human.

- KO validated for confirmed specificity
- Biophysical QC for unrivalled batch-batch consistency
- Over 390 publications

查看别名

CAP20, CDKN1, CIP1, MDA6, PIC1, SDI1, WAF1, CDKN1A, Cyclin-dependent kinase inhibitor 1, CDK-interacting protein 1, Melanoma differentiation-associated protein 6, p21, MDA-6

15 Images
Western blot - Anti-p21 antibody [EPR362] (AB109520)
  • WB

Lab

Western blot - Anti-p21 antibody [EPR362] (AB109520)

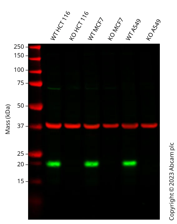
Western blot : Anti-CDKN1A antibody [EPR362] (ab109520) staining at 1/1000 dilution, shown in green; Mouse anti-GAPDH antibody [6C5] (ab8245) loading control staining at 1/20000 dilution, shown in red. In Western blot, ab109520 was shown to bind specifically to CDKN1A. A band was observed at 21 kDa in wild-type HCT 116 cell lysates with no signal observed at this size in CDKN1A knockout cell line. To generate this image, wild-type and CDKN1A knockout HCT 116 cell lysates were analysed. First, samples were run on an SDS-PAGE gel then transferred onto a nitrocellulose membrane. Membranes were blocked in 3 % milk in TBS-0.1 % Tween® 20 (TBS-T) before incubation with primary antibodies overnight at 4 °C. Blots were washed four times in TBS-T, incubated with secondary antibodies for 1 h at room temperature, washed again four times then imaged. Secondary antibodies used were Goat anti-Rabbit IgG H&L 800CW and Goat anti-Mouse IgG H&L 680RD at 1/20000 dilution.

All lanes:

Western blot - Anti-p21 antibody [EPR362] (ab109520) at 1/1000 dilution

Lane 1:

Wild-type HCT 116 cell lysate at 20 µg

Lane 2:

Western blot - Human CDKN1A knockout HCT116 cell line (<a href='/products/cell-lines/human-cdkn1a-knockout-hct116-cell-line-ab288187'>ab288187</a>)

Lane 2:

CDKN1A knockout HCT 116 cell lysate at 20 µg

Lane 3:

Wild-type MCF7 cell lysate at 20 µg

Lane 4:

Western blot - Human CDKN1A knockout MCF7 cell line (<a href='/products/cell-lines/human-cdkn1a-knockout-mcf7-cell-line-ab288200'>ab288200</a>)

Lane 4:

CDKN1A knockout MCF7 cell lysate at 20 µg

Lane 5:

Wild-type A549 cell lysate at 20 µg

Lane 6:

Western blot - Human CDKN1A knockout A549 cell line (<a href='/products/cell-lines/human-cdkn1a-knockout-a549-cell-line-ab288213'>ab288213</a>)

Lane 6:

CDKN1A knockout A549 cell lysate at 20 µg

Secondary

All lanes:

Goat anti-Rabbit IgG H&L 800CW and Goat anti-Mouse IgG H&L 680RD at 1/20000 dilution

Predicted band size: 21 kDa

Observed band size: 21 kDa

false

Immunocytochemistry/ Immunofluorescence - Anti-p21 antibody [EPR362] (AB109520)
  • ICC/IF

Lab

Immunocytochemistry/ Immunofluorescence - Anti-p21 antibody [EPR362] (AB109520)

Immunocytochemistry/Immunofluorescence analysis of MCF7 cells labeling p21 with purified ab109520 at 1/1000. Cells were fixed with 4% paraformaldehyde and permeabilized with 0.1% Triton X-100. ab150077, an Alexa Fluor® 488-conjugated goat anti-rabbit IgG (1/500) was used as the secondary antibody. DAPI (blue) was used as the nuclear counterstain. ab7291, a mouse anti-tubulin (1/1000) and ab150120, an Alexa Fluor® 594-conjugated goat anti-mouse IgG (1/500) were also used.

Control 1 : primary antibody (1/1000) and secondary antibody, ab150120, an Alexa Fluor® 594-conjugated goat anti-mouse IgG (1/500).

Control 2 : ab7291 (1/1000) and secondary antibody, ab150077, an Alexa Fluor® 488-conjugated goat anti-rabbit IgG (1/500).

Immunocytochemistry/ Immunofluorescence - Anti-p21 antibody [EPR362] (AB109520)
  • ICC/IF

Lab

Immunocytochemistry/ Immunofluorescence - Anti-p21 antibody [EPR362] (AB109520)

Immunocytochemistry/ Immunofluorescence analysis of MCF7 (Human breast adenocarcinoma cell line) labeling p21 with ab109520 at 1/500 (2 μg/ml). ab150077, Alexa Fluor®488 Goat anti-Rabbit at 1/1000 (2 μg/ml) was used as secondary antibody. ab195889, Anti-alpha Tubulin antibody [DM1A] - Microtubule Marker (Alexa Fluor® 594) at 1/200 (2.5 μg/ml) was used as counterstain AbID. Cells were fixed with 4% Paraformaldehyde and permeabilised with 0.1% tritonX-100. Nuclei were counter stained blue with DAPI.

Confocal image showing nuclear staining on MCF7 cell line.

Western blot - Anti-p21 antibody [EPR362] (AB109520)
  • WB

Unknown

Western blot - Anti-p21 antibody [EPR362] (AB109520)

All lanes:

Western blot - Anti-p21 antibody [EPR362] (ab109520) at 1/1000 dilution

Lane 1:

MCF7 cell lysate at 10 µg

Lane 2:

HeLa cell lysate at 10 µg

Lane 3:

HUVEC cell lysate at 10 µg

Lane 4:

LnCap cell lysate at 10 µg

Lane 5:

U87 MG cell lysate at 10 µg

Lane 6:

293T cell lsyate at 10 µg

Secondary

All lanes:

Western blot - Goat Anti-Rabbit IgG H&L (HRP) (<a href='/products/secondary-antibodies/goat-rabbit-igg-h-l-hrp-ab6721'>ab6721</a>)

Predicted band size: 18 kDa

false

Immunohistochemistry (Formalin/PFA-fixed paraffin-embedded sections) - Anti-p21 antibody [EPR362] (AB109520)
  • IHC-P

Unknown

Immunohistochemistry (Formalin/PFA-fixed paraffin-embedded sections) - Anti-p21 antibody [EPR362] (AB109520)

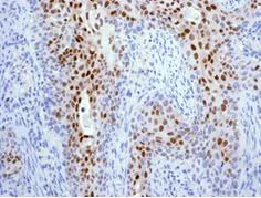
Immunohistochemistry (Formalin/PFA-fixed paraffin-embedded sections) analysis of human papillary carcinoma of the thyroid gland tissue labelling p21 with unpurified ab109520 at a dilution of 1/100.

Perform heat mediated antigen retrieval before commencing with IHC staining protocol.

Immunohistochemistry (Formalin/PFA-fixed paraffin-embedded sections) - Anti-p21 antibody [EPR362] (AB109520)
  • IHC-P

Lab

Immunohistochemistry (Formalin/PFA-fixed paraffin-embedded sections) - Anti-p21 antibody [EPR362] (AB109520)

Immunohistochemistry (Formalin/PFA-fixed paraffin-embedded sections) analysis of human thyroid carcinoma tissue labelling p21 with purified ab109520 at 1/100. Heat mediated antigen retrieval was performed using Tris/EDTA buffer pH 9. ab97051, a HRP-conjugated goat anti-rabbit IgG (H+L) was used as the secondary antibody (1/500). Negative control using PBS instead of primary antibody. Counterstained with hematoxylin.

Immunohistochemistry (Formalin/PFA-fixed paraffin-embedded sections) - Anti-p21 antibody [EPR362] (AB109520)
  • IHC-P

Unknown

Immunohistochemistry (Formalin/PFA-fixed paraffin-embedded sections) - Anti-p21 antibody [EPR362] (AB109520)

Immunohistochemistry (Formalin/PFA-fixed paraffin-embedded sections) analysis of human cervical carcinoma tissue labelling p21 with unpurified ab109520 at a dilution of 1/100.

Perform heat mediated antigen retrieval before commencing with IHC staining protocol.

Flow Cytometry (Intracellular) - Anti-p21 antibody [EPR362] (AB109520)
  • Flow Cyt (Intra)

Lab

Flow Cytometry (Intracellular) - Anti-p21 antibody [EPR362] (AB109520)

Overlay histogram showing HeLa cells stained with unpurified ab109520 (red line). The cells were fixed with 80% methanol (5 min) then permeabilized with 0.1% PBS-Tween 20 for 20 min. The cells were then incubated in 1x PBS / 10% normal goat serum / 0.3M glycine to block non-specific protein-protein interactions followed by the antibody (unpurified ab109520, 1/100) for 30 min at 22°C. The secondary antibody used was Alexa Fluorr® 488 goat anti-rabbit IgG (H&L) (ab150081) at 1/2000 dilution for 30 min at 22°C. Isotype control antibody (black line) was rabbit IgG (monoclonal) (ab172730, 1μg/1x106 cells) used under the same conditions. Unlabelled sample (blue line) was also used as a control.

Acquisition of >5,000 events were collected using a 20mW Argon ion laser (488nm) and 525/30 bandpass filter.

Immunoprecipitation - Anti-p21 antibody [EPR362] (AB109520)
  • IP

Lab

Immunoprecipitation - Anti-p21 antibody [EPR362] (AB109520)

ab109520 (purified) at 1/50 immunoprecipitating p21 in HEK293 whole cell lysate.

Lane 1 (input) : HEK293 whole cell lysate (10μg)

Lane 2 (+) : ab109520 + HEK293 whole cell lysate (10μg).

Lane 3 (-) : Rabbit monoclonal IgG (ab172730) instead of ab109520 in HEK293 whole cell lysate.

For western blotting, VeriBlot for IP Detection Reagent (HRP) (ab131366), was used for detection at 1/1500 dilution.

Blocking buffer and concentration : 5% NFDM/TBST.

Diluting buffer and concentration : 5% NFDM /TBST.

All lanes:

Immunoprecipitation - Anti-p21 antibody [EPR362] (ab109520)

Predicted band size: 18 kDa

Observed band size: 21 kDa

false

Western blot - Anti-p21 antibody [EPR362] (AB109520)
  • WB

Lab

Western blot - Anti-p21 antibody [EPR362] (AB109520)

Lane 1 : Wild-type DLD-1 cell lysate (20 μg)
Lane 2 : Wild-type DLD-1 20 μM 2,3-DCPE for 16hrs treated cell lysate (20 μg)
Lane 3 : p21 knockout DLD-1 cell lysate (20 μg)
Lane 4 : p21 knockout 20 μM 2,3-DCPE for 16hrs DLD-1 cell lysate (20 μg)
Lane 5 : HT1080 cell lysate (20 μg)

Lanes 1 - 5 : Merged signal (red and green). Green - ab109520 observed at 20 kDa. Red - loading control, ab8245, observed at 37 kDa.

This western blot image is a comparison between ab109520 and a competitor's top cited rabbit polyclonal antibody.

All lanes:

Western blot - Anti-p21 antibody [EPR362] (ab109520)

Predicted band size: 18 kDa

false

Western blot - Anti-p21 antibody [EPR362] (AB109520)
  • WB

Lab

Western blot - Anti-p21 antibody [EPR362] (AB109520)

Blocking and dilution buffer : 5% NFDM/TBST.

All lanes:

Western blot - Anti-p21 antibody [EPR362] (ab109520) at 1/2000 dilution

Lane 1:

MCF7 cell lysate at 20 µg

Lane 2:

HEK293 cell lysate at 20 µg

Lane 3:

U87-MG cell lysate at 20 µg

Secondary

All lanes:

Peroxidase-conjugated goat anti-rabbit IgG, (H+L) at 1/1000 dilution

Predicted band size: 18 kDa,24 kDa,57 kDa

Observed band size: 21 kDa

false

Western blot - Anti-p21 antibody [EPR362] (AB109520)
  • WB

Lab

Western blot - Anti-p21 antibody [EPR362] (AB109520)

False colour image of Western blot : Anti-p21 antibody [EPR362] staining at 1/1000 dilution, shown in green; Mouse anti-Alpha Tubulin [DM1A] (ab7291) loading control staining at 1/20000 dilution, shown in red. In Western blot, ab109520 was shown to bind specifically to p21. A band was observed at 21 kDa in wild-type HeLa cell lysates with no signal observed at this size in CDKN1A knockout cell line ab255349 (knockout cell lysate ab263812). To generate this image, wild-type and CDKN1A knockout cell lysates were analysed. First, samples were run on an SDS-PAGE gel then transferred onto a nitrocellulose membrane. Membranes were blocked in 3 % milk in TBS-0.1 % Tween® 20 (TBS-T) before incubation with primary antibodies overnight at 4°C. Blots were washed four times in TBS-T, incubated with secondary antibodies for 1 h at room temperature, washed again four times then imaged.Secondary antibodies used were Goat anti-Rabbit IgG H&L (IRDye® 800CW) preabsorbed (ab216773) and Goat anti-Mouse IgG H&L (IRDye® 680RD) preabsorbed (ab216776) at 1/20000 dilution.

All lanes:

Western blot - Anti-p21 antibody [EPR362] (ab109520) at 1/1000 dilution

Lane 1:

wild-type HeLa Vehicle Control Fluvastatin (20 uM, 24 h) cell lysate at 20 µg

Lane 2:

wild-type HeLa Treated Fluvastatin (50 uM, 24 h) cell lysate at 20 µg

Lane 3:

CDKN1A knockout HeLa Vehicle Control Fluvastatin (20 uM, 24 h) cell lysate at 20 µg

Lanes 3 - 4:

Western blot - Human CDKN1A knockout HeLa cell line (<a href='/products/cell-lines/human-cdkn1a-knockout-hela-cell-line-ab255349'>ab255349</a>)

Lane 4:

CDKN1A knockout HeLa Treated Fluvastatin (50 uM, 24 h) cell lysate at 20 µg

Lane 5:

MCF7 cell lysate at 20 µg

Lane 6:

SH-SY5Y cell lysate at 20 µg

Predicted band size: 18 kDa

Observed band size: 21 kDa

false

Western blot - Anti-p21 antibody [EPR362] (AB109520)
  • WB

Lab

Western blot - Anti-p21 antibody [EPR362] (AB109520)

Different batches of ab109520 were tested on MCF7 (Human breast adenocarcinoma epithelial cell) lysate at 0.2 µg/ml. 15 µg of lysate was loaded in each lane. Bands observed at 21 kDa.

All lanes:

Western blot - Anti-p21 antibody [EPR362] (ab109520)

Predicted band size: 18 kDa

false

Western blot - Anti-p21 antibody [EPR362] (AB109520)
  • WB

Lab

Western blot - Anti-p21 antibody [EPR362] (AB109520)

Blocking and dilution buffer : 5% NFDM/TBST.

All lanes:

Western blot - Anti-p21 antibody [EPR362] (ab109520) at 1/10000 dilution

All lanes:

LnCaP cell lysate at 20 µg

Secondary

All lanes:

Peroxidase-conjugated goat anti-rabbit IgG, (H+L) at 1/1000 dilution

Predicted band size: 18 kDa

Observed band size: 21 kDa

false

Western blot - Anti-p21 antibody [EPR362] (AB109520)
  • WB

Lab

Western blot - Anti-p21 antibody [EPR362] (AB109520)

Lane 1 : Wild-type DLD-1 cell lysate (20 μg)

Lane 2 : Wild-type DLD-1 20 μM 2,3-DCPE for 16hrs treated cell lysate (20 μg)

Lane 3 : p21 knockout DLD-1 cell lysate (20 μg)

Lane 4 : p21 knockout 20 μM 2,3-DCPE for 16hrs DLD-1 cell lysate (20 μg)

Lane 5 : HT1080 cell lysate (20 μg)

Lanes 1 - 5 : Merged signal (red and green). Green - ab109520 observed at 20 kDa. Red - loading control, ab8245, observed at 37 kDa.

ab109520 was shown to specifically recognize p21 in wild-type DLD-1 cells treated with 20 μM 2,3-DCPE. No band was observed when p21 knockout samples +/- 2,3-DCPE treatment were used. Wild-type and p21 knockout samples were subjected to SDS-PAGE. ab109520 and ab8245 (loading control to GAPDH) were diluted 1/1000 and 1/10 000 respectively and incubated overnight at 4°C. Blots were developed with Goat anti-Rabbit IgG H&L (IRDye® 800CW) preadsorbed (ab216773) and Goat anti-Mouse IgG H&L (IRDye® 680RD) preadsorbed (ab216776) secondary antibodies at 1/10 000 dilution for 1 h at room temperature before imaging.

All lanes:

Western blot - Anti-p21 antibody [EPR362] (ab109520)

Predicted band size: 18 kDa

Observed band size: 20 kDa

false

不同偶联物与剂型 (2)

关键信息

宿主种属

Rabbit

克隆

Monoclonal

克隆号

EPR362

亚型

IgG

不含载体蛋白

No

反应种属

Human

应用

WB, IHC-P, IP, Flow Cyt (Intra), ICC/IF

applications

免疫原

The exact immunogen used to generate this antibody is proprietary information.

特异性

Expression levels of the target protein vary between different tissue/cell lines and in some cases induction may be required before a signal is observed.

反应性数据

{ "title": "Reactivity Data", "filters": { "stats": ["", "Species", "Dilution Info", "Notes"], "tabs": { "all-applications": {"fullname" : "All Applications", "shortname": "All Applications"}, "IHCP" : {"fullname" : "Immunohistochemistry (Formalin/PFA-fixed paraffin-embedded sections)", "shortname":"IHC-P"}, "IP" : {"fullname" : "Immunoprecipitation", "shortname":"IP"}, "WB" : {"fullname" : "Western blot", "shortname":"WB"}, "ICCIF" : {"fullname" : "Immunocytochemistry/ Immunofluorescence", "shortname":"ICC/IF"}, "FlowCytIntra" : {"fullname" : "Flow Cytometry (Intracellular)", "shortname":"Flow Cyt (Intra)"} }, "product-promise": { "all": "all", "testedAndGuaranteed": "tested", "guaranteed": "expected", "predicted": "predicted", "notRecommended": "not-recommended" } }, "values": { "Human": { "IHCP-species-checked": "testedAndGuaranteed", "IHCP-species-dilution-info": "1/100 - 1/250", "IHCP-species-notes": "<p></p> Perform heat-mediated antigen retrieval before commencing with IHC staining protocol.", "IP-species-checked": "testedAndGuaranteed", "IP-species-dilution-info": "1/10 - 1/100", "IP-species-notes": "<p></p>", "WB-species-checked": "testedAndGuaranteed", "WB-species-dilution-info": "1/1000 - 1/10000", "WB-species-notes": "<p></p>", "ICCIF-species-checked": "testedAndGuaranteed", "ICCIF-species-dilution-info": "1/1000", "ICCIF-species-notes": "<p><strong>For unpurified use at 1/50 - 1/100.</strong></p>", "FlowCytIntra-species-checked": "testedAndGuaranteed", "FlowCytIntra-species-dilution-info": "1/100", "FlowCytIntra-species-notes": "<p></p>" } } }

产品详情

Anti-p21 antibody [EPR362] (ab109520) was developed by Abcam using patented rabbit monoclonal antibody technology and is validated for use in Flow Cyt (Intra), ICC/IF, IHC-P, IP and WB.

Anti-p21 antibody [EPR362] (ab109520) was first used in a scientific publication in 2014 and has been cited over 391 times in peer reviewed journals. It's performance in Western Blot in human samples is trusted by the scientific community.

Abcam's high quality manufacturing and validation processes ensure Anti-p21 antibody [EPR362] (ab109520) has high sensitivity and specificity alongside high lot-to-lot consistency and reproducibility.

The specificity of Anti-p21 antibody [EPR362] (ab109520) has been confirmed by Western Blot testing in p21 knockout HeLa cells (ab255349).

Anti-p21 antibody [EPR362] (ab109520) has 13 independent reviews from customers.

Anti-p21 antibody [EPR362] (ab109520) specifically detects p21 (UniProt ID: P38936; Molecular weight: 18kDa) and is sold in a convenient trial size to enable initial testing (20 µL) and larger sizes for subsequent scaling up experiments (100 µL and 1 mL).

Conjugation-ready, carrier free format available for antibody clone EPR362 - ab218311.

Antibody clone EPR362 is also available pre-conjugated to a variety of labels for your convenience - Alexa Fluor® 488 (ab282187).

p21 is a cyclin-dependent kinase inhibitor that regulates cell cycle progression, promoting cell cycle arrest in response to DNA damage. It plays a dual role in oncology by both suppressing tumor growth through cell cycle inhibition and contributing to cancer progression when localized in the cytoplasm.

Patented technology
Our RabMAb® technology is a patented hybridoma-based technology for making rabbit monoclonal antibodies. For details on our patents, please refer to RabMAb® patents.

What are the advantages of a recombinant monoclonal antibody?
This product is a recombinant monoclonal antibody, which offers several advantages including:

  • - High batch-to-batch consistency and reproducibility
  • - Improved sensitivity and specificity
  • - Long-term security of supply
  • - Animal-free batch production

For more information, read more on recombinant antibodies.

Shipping conditions update: ambient shipping

This product will be delivered at ambient temperature instead of chilled – this is by design. Extensive stability testing confirmed that our products are suitable for shipment under ambient conditions and maintain expected quality.

Why the change?

It’s part of our commitment to more sustainable packaging solutions, with ambient deliveries using eco-friendly materials such as recyclable cardboard instead of polystyrene.

What you need to know

  • Ambient shipments come with a flyer explaining the below.
  • No ice will be included in ambient shipments, but mixed orders (ambient and cold-chain items) will still arrive with ice packs to protect temperature-sensitive products.
  • Warranty coverage remains fully valid, aligned with our validated shipping method.
  • Please store the product as per the datasheet instructions upon receipt.

Find out more - https://www.abcam.com/en-us/support/shipping-storage-support/ambient-shipping

性能和储存信息

形式
Liquid
纯化工艺
Affinity purification Protein A
存储溶液
pH: 7.2 - 7.4 Preservative: 0.01% Sodium azide Constituents: 59% PBS, 40% Glycerol (glycerin, glycerine), 0.05% BSA
运输条件
Conditional Ambient
推荐的短期储存时间
1-2 weeks
推荐的短期储存条件
+4°C
推荐的长期储存条件
-20°C
分装信息
Upon delivery aliquot
储存信息
Stable for 12 months at -20°C

补充信息

This supplementary information is collated from multiple sources and compiled automatically.

The p21 protein also known as CDKN1A is an important regulator of cell cycle progression. It acts as a cyclin-dependent kinase inhibitor where it binds to and inhibits the activity of cyclin-CDK2 or -CDK4 complexes. The molecular weight of p21 is approximately 21 kDa. Cellular expression of p21 is diverse; it occurs in various tissues reflecting its broad role in maintaining cell cycle control. This protein's expression level is often assessed using techniques such as p21 western blotting p21 ELISA and p21 IHC staining.
Biological function summary

P21 plays a critical role in cell cycle regulation and DNA damage response. It associates with the p53 tumor suppressor protein forming an essential part of the p53 signaling pathway under stress conditions. p21 arrests cells in G1 phase allowing DNA repair or leading to cellular senescence. Through these mechanisms p21 integrates signals from stress and damage emphasizing its importance as a mediator in cellular checkpoint control.

Pathways

P21 is closely involved in the p53 and the Transforming Growth Factor-beta (TGF-β) signaling pathways. This integration helps in transmitting growth-inhibitory signals. p21 interacts with proteins such as p53 and cyclins ensuring precise regulation of the cell cycle and growth arrest when necessary. Triggered by p53 activation p21 contributes to preventing undisturbed cell proliferation acting as a safeguard against tumor formation.

P21's deregulation associates with cancer and age-related diseases. Its impairment is a common feature in many cancers often linked with defects in the p53 pathway. Reduced p21 expression can contribute to unchecked cell division and tumor progression. Moreover in age-related diseases p21's role in promoting cellular senescence connects it with degenerative conditions. The intricate relationship between p21 and proteins such as p53 and cyclins highlights its potential as a therapeutic target for these disorders.

产品实验方案

For this product, it's our understanding that no specific protocols are required. You can visit:

靶点信息

Plays an important role in controlling cell cycle progression and DNA damage-induced G2 arrest (PubMed : 9106657). Involved in p53/TP53 mediated inhibition of cellular proliferation in response to DNA damage. Also involved in p53-independent DNA damage-induced G2 arrest mediated by CREB3L1 in astrocytes and osteoblasts (By similarity). Binds to and inhibits cyclin-dependent kinase activity, preventing phosphorylation of critical cyclin-dependent kinase substrates and blocking cell cycle progression. Functions in the nuclear localization and assembly of cyclin D-CDK4 complex and promotes its kinase activity towards RB1. At higher stoichiometric ratios, inhibits the kinase activity of the cyclin D-CDK4 complex. Inhibits DNA synthesis by DNA polymerase delta by competing with POLD3 for PCNA binding (PubMed : 11595739). Negatively regulates the CDK4- and CDK6-driven phosphorylation of RB1 in keratinocytes, thereby resulting in the release of E2F1 and subsequent transcription of E2F1-driven G1/S phase promoting genes (By similarity).
See full target information CDKN1A

文献 (555)

Recent publications for all applications. Explore the full list and refine your search

Cancer cell international 25:325 PubMed41044576

2025

Kaempferol triggers cellular senescence via CDK1 ubiquitination in HCC cells.

Applications

Unspecified application

Species

Unspecified reactive species

Damin Liang,Min Tian,Guomei Hu,Yu Zhang,Lunyou Zhang,Juqi Chen,Xin Shen,Huayong Jian,Peng Tian,Tingchao Li,Xiaoju Cheng

Stem cell research & therapy 16:526 PubMed41024282

2025

MSCs-derived HGF alleviates senescence after AKI by modulating mitoSTAT3-controlled copper flux and respiration.

Applications

Unspecified application

Species

Unspecified reactive species

Kaiting Zhuang,Wenjuan Wang,Cheng Xu,Siyang Wang,Yuhao Chen,Yingjie Zhang,Yanjun Liang,Xumin Zheng,Xiangmei Chen,Zhe Feng,Guangyan Cai

Histology and histopathology 40:1985-2009 PubMed40959856

2025

Differential expression of ferroptosis markers, circadian regulators, KLOTHO, and classical tumor suppressors in colorectal cancer according to tumor stage: Influence of age, anatomical location, and correlation patterns.

Applications

Unspecified application

Species

Unspecified reactive species

Miguel A Saez,Cielo Garcia-Montero,Oscar Fraile-Martinez,Ana M Minaya-Bravo,Diego Liviu Boaru,Diego De Leon-Oliva,Patricia De Castro-Martinez,Majd N Michael Alhaddadin,Silvestra Barrena-Blázquez,Laura Lopez-Gonzalez,Luis G Guijarro,Natalio Garcia-Honduvilla,Víctor Roberto Baena Romero,Carlos Daniel Padilla Ansala,Mar Royuela,María Del Val Toledo Lobo,Leonel Pekarek,Roberto Fernández-Baillo Gallego de la Sacristana,Mauricio Hernández-Fernández,Montserrat Chao Crecente,Melchor Alvarez-Mon,Raul Diaz-Pedrero,Miguel A Ortega

Open life sciences 20:20251151 PubMed40822973

2025

Inhibiting CXCR6 promotes senescence of activated hepatic stellate cells with limited proinflammatory SASP to attenuate hepatic fibrosis.

Applications

Unspecified application

Species

Unspecified reactive species

Liqin Sheng,Yiming Wu,Fei Shen,Chenzhou Xu

International journal of molecular sciences 26: PubMed40806270

2025

Chemosensitizer Effects of Cisplatin- and 5-Fluorouracil-Treated Hepatocellular Carcinomas by Lidocaine.

Applications

Unspecified application

Species

Unspecified reactive species

Teng-Wei Chen,Hsiu-Lung Fan,Shu-Ting Liu,Shih-Ming Huang

Frontiers in pharmacology 16:1588722 PubMed40771929

2025

Dual PI3K/mTOR inhibitor NVP-BEZ235 induces cell cycle arrest via autophagy mediated protein degradation of RPL19 in nephroblastoma cell.

Applications

Unspecified application

Species

Unspecified reactive species

Yan Gao,Xinran Xing,Ruizhi Cai,Dong Liu,Qili Feng,Jiaqi Luo,Yongzhao Zhu,Zeli Su

Science advances 11:eadv4238 PubMed40712009

2025

Genetically engineered chondrocyte-mimetic nanoplatform attenuates osteoarthritis by blocking IL-1β and restoring sirtuin-3.

Applications

Unspecified application

Species

Unspecified reactive species

Caifeng Deng,Liukang Yu,Xuan Zhao,Yuxiao Chen,Jiabin Mei,Jie Wei,Xiaoyuan Chen,Guanghua Lei,Chao Zeng

American journal of translational research 17:4187-4197 PubMed40672597

2025

Sirtuin 3 modulation by high phosphates: a potential mechanism in muscle aging and sarcopenia.

Applications

Unspecified application

Species

Unspecified reactive species

Chao Xu,Ling Xiong,Junhu Chen,Qingcheng Liu,Fang Wang,Xianxian Fu,Juan Huo,Yufei Bu,Shiyu Chen,Qian Liu

Frontiers in bioengineering and biotechnology 13:1570270 PubMed40635690

2025

Development and application of a stepwise-assembled modular biomimetic lung chip for analyzing formaldehyde-induced cellular ferroptosis.

Applications

Unspecified application

Species

Unspecified reactive species

Siyu Chen,Zezhi Li,Quanping Yan,Chenfeng Hua,Pingping Shang,Kejian Liu,Junwei Zhao,Guangxiang Jin,Xiang Li,Fuwei Xie

Oncology research 33:1695-1708 PubMed40612863

2025

Correlation of senescence-related gene FEN1 on neuroblastoma progression and cisplatin chemotherapy sensitivity.

Applications

Unspecified application

Species

Unspecified reactive species

Youyang Hu,Yishu Luo,Tianyue Xie,Yuehua Chen,Jun Zhao,Weichao Ji,Zhiwei Yan,Sitong Qiu,Kexin Gao,Haixia Zhu,Limin Ma,Qiyou Yin
View all publications

Abcam Product Promise

我们致力于为您的研究提供高质量的试剂,为您科研的每一步提供支持。若我们的产品未能达到预期性能,我们向您提供 Abcam Product Promise 保障。
详情请参阅我们的条款与条件。

Please note: All products are 'FOR RESEARCH USE ONLY. NOT FOR USE IN DIAGNOSTIC OR THERAPEUTIC PROCEDURES'.

For licensing inquiries, please contact partnerships@abcam.com