JavaScript is disabled in your browser. Please enable JavaScript to view this website.
AB170904

Anti-P Glycoprotein 抗体 [EPR10364-57]

Anti-P Glycoprotein antibody [EPR10364-57]

4

(11 Reviews)

|

(192 Publications)

Anti-P Glycoprotein antibody [EPR10364-57] (ab170904) is a rabbit monoclonal antibody detecting P Glycoprotein in Western Blot, IHC-P. Suitable for Human, Mouse, Rat.

- KO validated for confirmed specificity
- Biophysical QC for unrivalled batch-batch consistency
- Over 190 publications

查看别名

CD243, MDR1, PGY1, ABCB1, ATP-dependent translocase ABCB1, ATP-binding cassette sub-family B member 1, Multidrug resistance protein 1, P-glycoprotein 1, Phospholipid transporter ABCB1

18 Images
Western blot - Anti-P Glycoprotein antibody [EPR10364-57] (AB170904)
  • WB

Lab

Western blot - Anti-P Glycoprotein antibody [EPR10364-57] (AB170904)

Lane 1 : Wild type HAP1 whole cell lysate (20 μg)
Lane 2 : P Glycoprotein knockout HAP1 whole cell lysate (20 μg)
Lane 3 : HepG2 whole cell lysate (20 μg)

Lanes 1 - 3 : Merged signal (red and green). Green - ab170904 observed at 160 kDa. Red - loading control, ab8245, observed at 37 kDa.

ab170904 was shown to specifically react with P Glycoprotein when P Glycoprotein knockout samples were used. Wild-type and P Glycoprotein knockout samples were subjected to SDS-PAGE. ab170904 and ab8245 (Mouse anti GAPDH loading control) were incubated overnight at 4°C at 1 ug/ml and 1/10000 dilution respectively.

Blots were developed with Goat anti-Rabbit IgG H&L (IRDye® 800CW) preabsorbed ab216773 and Goat anti-Mouse IgG H&L (IRDye® 680RD) preabsorbed ab216776 secondary antibodies at 1/10000 dilution for 1 hour at room temperature before imaging.

All lanes:

Western blot - Anti-P Glycoprotein antibody [EPR10364-57] (ab170904)

Predicted band size: 141 kDa

false

Immunohistochemistry (Formalin/PFA-fixed paraffin-embedded sections) - Anti-P Glycoprotein antibody [EPR10364-57] (AB170904)
  • IHC-P

Lab

Immunohistochemistry (Formalin/PFA-fixed paraffin-embedded sections) - Anti-P Glycoprotein antibody [EPR10364-57] (AB170904)

Immunohistochemical analysis of formalin fixed paraffin embedded human kidney labelling P Glycoprotein with ab170904 at a concentration of 1µg/ml. The immunostaining was performed on a Ventana DISCOVERY ULTRA (Roche Tissue Diagnostics) instrument with a OptiView DAB IHC Detection Kit. Heat mediated antigen retrieval was performed with DISCOVERY cell conditioning solution (CC1) 100°C, pH8.5 for 32mins. ab170904 Anti-P Glycoprotein antibody [EPR10364-57] was incubated for 16mins at 37°C. Sections were counterstained with Hematoxylin II. Image inset shows absence of staining in secondary antibody only control. Customers are encouraged to optimise antigen retrieval conditions, antibody concentration, incubation times and temperature for best results in their own IHC assay workflow (automated and manual).

Western blot - Anti-P Glycoprotein antibody [EPR10364-57] (AB170904)
  • WB

Lab

Western blot - Anti-P Glycoprotein antibody [EPR10364-57] (AB170904)

Blocking/Dilution buffer : 5% NFDM/TBST.

Lanes 1 - 2:

Western blot - Anti-P Glycoprotein antibody [EPR10364] (<a href='/products/primary-antibodies/p-glycoprotein-antibody-epr10364-ab168337'>ab168337</a>) at 1/2000 dilution

Lanes 1 - 2:

Western blot - Anti-P Glycoprotein antibody [EPR10364-57] (ab170904) at 1/2000 dilution

Lane 1:

HeLa (human cervix adenocarcinoma) whole cell lysate at 10 µg

Lane 2:

HepG2 (human hepatocellular carcinoma) whole cell lysate at 10 µg

Secondary

All lanes:

Goat Anti-Rabbit IgG (HRP), specific to the non-reduced form of IgG at 1/1000 dilution

Predicted band size: 141 kDa

Observed band size: 180 kDa

false

Western blot - Anti-P Glycoprotein antibody [EPR10364-57] (AB170904)
  • WB

Lab

Western blot - Anti-P Glycoprotein antibody [EPR10364-57] (AB170904)

Blocking/Dilution buffer and concentration : 5% NFDM/TBST.

All lanes:

Western blot - Anti-P Glycoprotein antibody [EPR10364-57] (ab170904) at 1/200 dilution

Lane 1:

HepG2 (Human liver hepatocellular carcinoma cell line) cell lysate at 20 µg

Lane 2:

Mouse brain tissue lysate at 20 µg

Lane 3:

Rat brain tissue lysate at 20 µg

Secondary

All lanes:

Peroxidase-conjugated goat anti-rabbit IgG (H+L) at 1/1000 dilution

Predicted band size: 141 kDa

Observed band size: 180 kDa

false

Western blot - Anti-P Glycoprotein antibody [EPR10364-57] (AB170904)
  • WB

Lab

Western blot - Anti-P Glycoprotein antibody [EPR10364-57] (AB170904)

Blocking/Dilution buffer and concentration : 5% NFDM/TBST.

All lanes:

Western blot - Anti-P Glycoprotein antibody [EPR10364-57] (ab170904) at 1/1000 dilution

Lane 1:

HepG2 (Human liver hepatocellular carcinoma cell line) cell lysate at 20 µg

Lane 2:

Mouse brain tissue lysate at 20 µg

Lane 3:

Rat brain tissue lysate at 20 µg

Secondary

All lanes:

Peroxidase-conjugated goat anti-rabbit IgG (H+L) at 1/1000 dilution

Predicted band size: 141 kDa

Observed band size: 180 kDa

false

Western blot - Anti-P Glycoprotein antibody [EPR10364-57] (AB170904)
  • WB

Unknown

Western blot - Anti-P Glycoprotein antibody [EPR10364-57] (AB170904)

Blocking and diluting buffer : 5% NFDM/TBST.

All lanes:

Western blot - Anti-P Glycoprotein antibody [EPR10364-57] (ab170904) at 0.1 µg/mL

Lanes 1 and 3:

C6 (Rat glial tumor glial cell) whole cell lysates prepared using RIPA lysis method at 15 µg

Lanes 2 and 4:

C6 (Rat glial tumor glial cell) whole cell lysates prepared using 1%SDS Hot lysis method at 15 µg

Secondary

All lanes:

Western blot - Goat Anti-Rabbit IgG H&L (HRP) (<a href='/products/secondary-antibodies/goat-rabbit-igg-h-l-hrp-ab97051'>ab97051</a>) at 1/20000 dilution

Predicted band size: 141 kDa

Observed band size: 180 kDa

false

Western blot - Anti-P Glycoprotein antibody [EPR10364-57] (AB170904)
  • WB

Supplier Data

Western blot - Anti-P Glycoprotein antibody [EPR10364-57] (AB170904)

All lanes:

Western blot - Anti-P Glycoprotein antibody [EPR10364-57] (ab170904) at 1/1000 dilution

Lane 1:

Mouse brain tissue lysate

Lane 2:

Mouse heart tissue lysate

Lane 3:

Mouse kidney tissue lysate

Lane 4:

Mouse spleen tissue lysate

Secondary

All lanes:

HRP-conjugated goat anti-rabbit IgG (H+L) at 1/2000 dilution

Predicted band size: 141 kDa

Observed band size: 180 kDa

true

Exposure time: 2min

Immunohistochemistry (Formalin/PFA-fixed paraffin-embedded sections) - Anti-P Glycoprotein antibody [EPR10364-57] (AB170904)
  • IHC-P

Supplier Data

Immunohistochemistry (Formalin/PFA-fixed paraffin-embedded sections) - Anti-P Glycoprotein antibody [EPR10364-57] (AB170904)

Immunohistochemistry (Formalin/PFA-fixed paraffin-embedded sections) analysis of human hepatocellular carcinoma tissue labeling P Glycoprotein with unpurified ab170904 at 1/250 dilution.

Perform heat mediated antigen retrieval with Tris/EDTA buffer pH 9.0 before commencing with IHC staining protocol.

Immunohistochemistry (Formalin/PFA-fixed paraffin-embedded sections) - Anti-P Glycoprotein antibody [EPR10364-57] (AB170904)
  • IHC-P

Unknown

Immunohistochemistry (Formalin/PFA-fixed paraffin-embedded sections) - Anti-P Glycoprotein antibody [EPR10364-57] (AB170904)

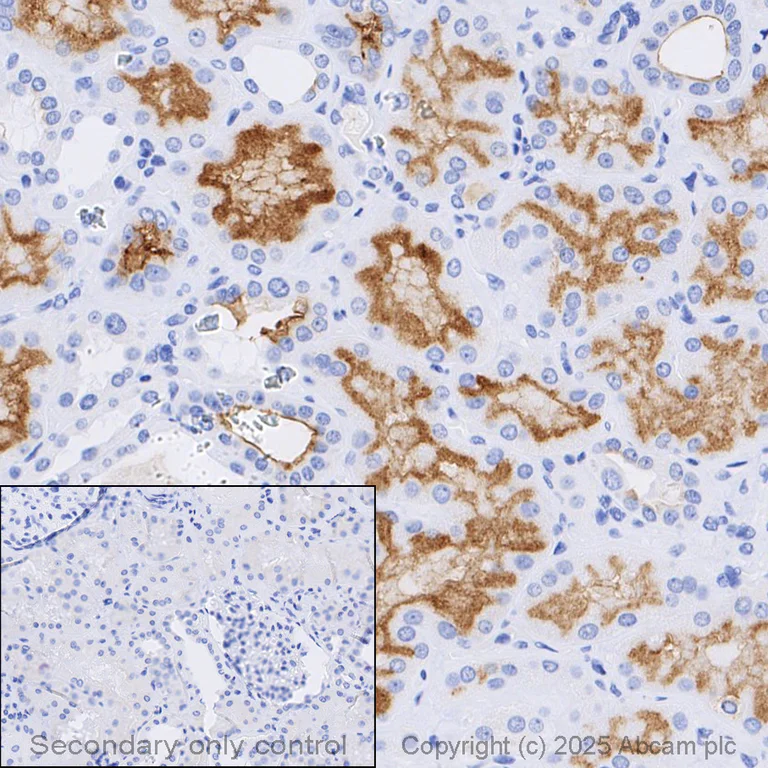
Immunohistochemistry (Formalin/PFA-fixed paraffin-embedded sections) analysis of human kidney tissue sections labeling P Glycoprotein with purified ab170904 at 1 : 1200 dilution (0.24 μg/ml). Heat mediated antigen retrieval was performed using ab93684 (Tris/EDTA buffer, pH 9.0) ImmunoHistoProbe one step HRP Polymer (ready to use)was used as the secondary antibody. Hematoxylinwas used as a counterstain.

Negative control : PBS instead of the primary antibody (inset).

Immunohistochemistry (Formalin/PFA-fixed paraffin-embedded sections) - Anti-P Glycoprotein antibody [EPR10364-57] (AB170904)
  • IHC-P

Lab

Immunohistochemistry (Formalin/PFA-fixed paraffin-embedded sections) - Anti-P Glycoprotein antibody [EPR10364-57] (AB170904)

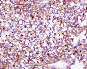
Immunohistochemistry (Formalin/PFA-fixed paraffin-embedded sections) analysis of human brain tissue labeling P Glycoprotein with unpurified ab170904 at 1/20. Heat mediated antigen retrieval was performed using Tris/EDTA buffer pH 9. A prediluted HRP-polymer conjugated anti-rabbit IgG was used as the secondary antibody.

Counterstained with hematoxylin.

Immunohistochemistry (Formalin/PFA-fixed paraffin-embedded sections) - Anti-P Glycoprotein antibody [EPR10364-57] (AB170904)
  • IHC-P

Supplier Data

Immunohistochemistry (Formalin/PFA-fixed paraffin-embedded sections) - Anti-P Glycoprotein antibody [EPR10364-57] (AB170904)

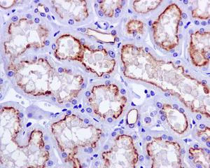
Immunohistochemistry (Formalin/PFA-fixed paraffin-embedded sections) analysis human kidney tissue labeling P Glycoprotein with unpurified ab170904 at 1/250 dilution.

Perform heat mediated antigen retrieval with Tris/EDTA buffer pH 9.0 before commencing with IHC staining protocol.

Immunohistochemistry (Formalin/PFA-fixed paraffin-embedded sections) - Anti-P Glycoprotein antibody [EPR10364-57] (AB170904)
  • IHC-P

Lab

Immunohistochemistry (Formalin/PFA-fixed paraffin-embedded sections) - Anti-P Glycoprotein antibody [EPR10364-57] (AB170904)

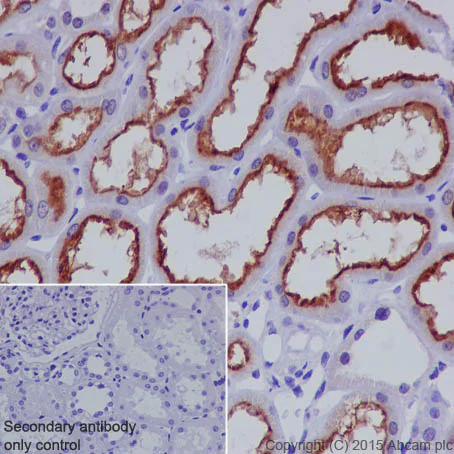
Immunohistochemical staining of paraffin embedded human kidney with purified ab170904 at a working dilution of 1/100. The secondary antibody used is HRP goat anti-rabbit IgG H&L (ab97051) at 1/500. Counterstained with hematoxylin. Antigen retrieval was perfomed using Tris-EDTA buffer pH 9.0.

PBS was used instead of the primary antibody as the negative control (inset).

Immunohistochemistry (Formalin/PFA-fixed paraffin-embedded sections) - Anti-P Glycoprotein antibody [EPR10364-57] (AB170904)
  • IHC-P

Lab

Immunohistochemistry (Formalin/PFA-fixed paraffin-embedded sections) - Anti-P Glycoprotein antibody [EPR10364-57] (AB170904)

Immunohistochemistry (Formalin/PFA-fixed paraffin-embedded sections) analysis of human brain tissue labeling P Glycoprotein with purified ab170904 at 1/100. Heat mediated antigen retrieval was performed using Tris/EDTA buffer pH 9. A prediluted HRP-polymer conjugated anti-rabbit IgG was used as the secondary antibody.

Counterstained with hematoxylin.

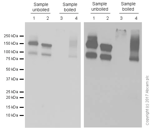
Western blot - Anti-P Glycoprotein antibody [EPR10364-57] (AB170904)
  • WB

Lab

Western blot - Anti-P Glycoprotein antibody [EPR10364-57] (AB170904)

Blocking and diluting buffer : 5% NFDM/TBST

Exposure time : Left image - 3 seconds; Right image - 10 seconds.

We suggest not to boil the sample after lysis.

All lanes:

Western blot - Anti-P Glycoprotein antibody [EPR10364-57] (ab170904) at 1/2000 dilution

Lanes 1 and 3:

Raw264.7 (Mouse Abelson murine leukemia virus-induced tumor macrophage) whole cell lysates prepared using RIPA lysis method at 15 µg

Lanes 2 and 4:

Raw264.7 (Mouse Abelson murine leukemia virus-induced tumor macrophage) whole cell lysate prepared using 1%SDS lysis method at 15 µg

Secondary

All lanes:

Western blot - Goat Anti-Rabbit IgG H&L (HRP) (<a href='/products/secondary-antibodies/goat-rabbit-igg-h-l-hrp-ab97051'>ab97051</a>) at 1/20000 dilution

Predicted band size: 141 kDa

Observed band size: 180 kDa

false

Western blot - Anti-P Glycoprotein antibody [EPR10364-57] (AB170904)
  • WB

Supplier Data

Western blot - Anti-P Glycoprotein antibody [EPR10364-57] (AB170904)

All lanes:

Western blot - Anti-P Glycoprotein antibody [EPR10364-57] (ab170904) at 1/1000 dilution

Lane 1:

HeLa (Human epithelial cell line from cervix adenocarcinoma) cell lysate at 10 µg

Lane 2:

HepG2 (Human liver hepatocellular carcinoma cell line) cell lysate at 10 µg

Lane 3:

HEK-293T (Human epithelial cell line from embryonic kidney transformed with large T antigen) cell lysate at 10 µg

Lane 4:

Human fetal brain tissue lysate at 10 µg

Secondary

Lanes 1 - 3:

HRP-conjugated goat anti-rabbit IgG at 1/2000 dilution

Lane 4:

Standard HRP labeled goat anti-rabbit at 1/2000 dilution

Predicted band size: 141 kDa

true

Western blot - Anti-P Glycoprotein antibody [EPR10364-57] (AB170904)
  • WB

Lab

Western blot - Anti-P Glycoprotein antibody [EPR10364-57] (AB170904)

Blocking/Dilution buffer : 5% NFDM/TBST.

Lanes 1 - 2:

Western blot - Anti-P Glycoprotein antibody [EPR10364-57] (ab170904) at 1/1000 dilution

Lanes 1 - 2:

Western blot - Anti-P Glycoprotein antibody [EPR10364] (<a href='/products/primary-antibodies/p-glycoprotein-antibody-epr10364-ab168337'>ab168337</a>) at 1/2000 dilution

Lane 1:

Mouse brain lysate at 10 µg

Lane 2:

C6 (Rat glial tumor cell line) cell lysate at 10 µg

Secondary

All lanes:

Goat Anti-Rabbit IgG (HRP), specific to the non-reduced form of IgG at 1/1000 dilution

Predicted band size: 141 kDa

Observed band size: 180 kDa

false

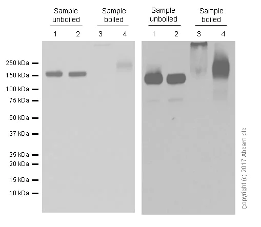
Western blot - Anti-P Glycoprotein antibody [EPR10364-57] (AB170904)
  • WB

Lab

Western blot - Anti-P Glycoprotein antibody [EPR10364-57] (AB170904)

Blocking and diluting buffer : 5% NFDM/TBST

Exposure time : Left image -10 seconds; Right image - 1 minute.

We suggest not to boil the sample after lysis.

For 1% SDS Hot Lysates preparation protocol, please refer to the protocol section of the website and/or here.

All lanes:

Western blot - Anti-P Glycoprotein antibody [EPR10364-57] (ab170904) at 1/2000 dilution

Lanes 1 and 3:

HeLa (Human cervix adenocarcinoma epithelial cell) whole cell lysates prepared using RIPA lysis method at 15 µg

Lanes 2 and 4:

HeLa (Human cervix adenocarcinoma epithelial cell) whole cell lysate prepared using 1% SDS hot lysis method at 15 µg

Secondary

All lanes:

Western blot - Goat Anti-Rabbit IgG H&L (HRP) (<a href='/products/secondary-antibodies/goat-rabbit-igg-h-l-hrp-ab97051'>ab97051</a>) at 1/20000 dilution

Predicted band size: 141 kDa

Observed band size: 180 kDa

false

Western blot - Anti-P Glycoprotein antibody [EPR10364-57] (AB170904)
  • WB

Supplier Data

Western blot - Anti-P Glycoprotein antibody [EPR10364-57] (AB170904)

All lanes:

Western blot - Anti-P Glycoprotein antibody [EPR10364-57] (ab170904) at 1/1000 dilution

Lane 1:

Rat brain tissue lysate

Lane 2:

Rat heart tissue lysate

Lane 3:

Rat kidney tissue lysate

Lane 4:

Rat spleen tissue lysate

Predicted band size: 141 kDa

Observed band size: 180 kDa

false

Exposure time: 2min

不同偶联物与剂型 (2)

  • 665 Alexa Fluor® 647

    Alexa Fluor® 647 Anti-P Glycoprotein antibody [EPR10364-57]

  • Carrier free

    Anti-P Glycoprotein antibody [EPR10364-57] - BSA and Azide free

关键信息

宿主种属

Rabbit

克隆

Monoclonal

克隆号

EPR10364-57

亚型

IgG

不含载体蛋白

No

反应种属

Mouse, Rat, Human

应用

WB, IHC-P

applications

免疫原

The exact immunogen used to generate this antibody is proprietary information.

特异性

P-glycoprotein 1 (also known as Multidrug resistance protein 1) has a predicted molecular weight of 141 kDa, however it has 3 potential glycosylation sites (N-linked) which may affect the migration of the protein. In our hands this antibody detects a predominant protein band migrating in the region of 180-200 kDa and typically will demonstrate a smear on the membrane in the region of the 150-300 kDa due to the glycosylation profile of the protein. It may be necessary to optimise your cell or tissue lysis protocol to efficiently extract P-glycoprotein 1 as it is a multi-pass membrane protein. Abcam recommends not boiling the sample after lysis. The mouse and rat recommendation is based on the WB results. We do not guarantee IHC-P for mouse and rat.

反应性数据

{ "title": "Reactivity Data", "filters": { "stats": ["", "Species", "Dilution Info", "Notes"], "tabs": { "all-applications": {"fullname" : "All Applications", "shortname": "All Applications"}, "ICCIF" : {"fullname" : "Immunocytochemistry/ Immunofluorescence", "shortname":"ICC/IF"}, "WB" : {"fullname" : "Western blot", "shortname":"WB"}, "IHCP" : {"fullname" : "Immunohistochemistry (Formalin/PFA-fixed paraffin-embedded sections)", "shortname":"IHC-P"} }, "product-promise": { "all": "all", "testedAndGuaranteed": "tested", "guaranteed": "expected", "predicted": "predicted", "notRecommended": "not-recommended" } }, "values": { "Human": { "ICCIF-species-checked": "notRecommended", "ICCIF-species-dilution-info": "", "ICCIF-species-notes": "<p></p>", "WB-species-checked": "testedAndGuaranteed", "WB-species-dilution-info": "1/1000 - 1/5000", "WB-species-notes": "<p>For optimal detection Abcam recommends not boiling the sample after lysis.</p>", "IHCP-species-checked": "testedAndGuaranteed", "IHCP-species-dilution-info": "1/1200", "IHCP-species-notes": "<p><strong>For unpurified use at 1/20 - 1/100</strong></p> Perform heat-mediated antigen retrieval with Tris/EDTA buffer pH 9.0 before commencing with IHC staining protocol." }, "Mouse": { "ICCIF-species-checked": "notRecommended", "ICCIF-species-dilution-info": "", "ICCIF-species-notes": "", "WB-species-checked": "testedAndGuaranteed", "WB-species-dilution-info": "1/1000 - 1/5000", "WB-species-notes": "<p>For optimal detection Abcam recommends not boiling the sample after lysis.</p>", "IHCP-species-checked": "notRecommended", "IHCP-species-dilution-info": "", "IHCP-species-notes": "<p></p>" }, "Rat": { "ICCIF-species-checked": "notRecommended", "ICCIF-species-dilution-info": "", "ICCIF-species-notes": "", "WB-species-checked": "testedAndGuaranteed", "WB-species-dilution-info": "1/1000 - 1/5000", "WB-species-notes": "<p>For optimal detection Abcam recommends not boiling the sample after lysis.</p>", "IHCP-species-checked": "notRecommended", "IHCP-species-dilution-info": "", "IHCP-species-notes": "<p></p>" } } }

您可能对以下产品感兴趣:

AB112142

MDR Assay Kit (Fluorometric)

0

0 Reviews

查看产品
为什么推荐这个?

我们推荐这个产品,因为它经常被用于相同的实验或相关的研究。

我们建议您务必查阅产品说明书,以确认其是否符合您的实验需求;若有疑问,也可联系我们的技术团队获取协助。

产品详情

性能和储存信息

形式
Liquid
纯化工艺
Affinity purification Protein A
存储溶液
Preservative: 0.01% Sodium azide Constituents: PBS, 40% Glycerol (glycerin, glycerine), 0.05% BSA
运输条件
Blue Ice
推荐的短期储存时间
1-2 weeks
推荐的短期储存条件
+4°C
推荐的长期储存条件
-20°C
分装信息
Upon delivery aliquot
储存信息
Avoid freeze / thaw cycle

补充信息

This supplementary information is collated from multiple sources and compiled automatically.

P-glycoprotein also known as P-gp MDR1 transporter or ABCB1 is a well-characterized efflux transporter with a molecular mass of approximately 170 kDa. This protein is expressed in various normal tissues such as the liver intestine kidney blood-brain barrier and placenta. It is located on the cell membrane where it functions to expel a wide variety of substrates out of cells using energy derived from ATP hydrolysis. This capability of pumping out toxins and xenobiotics makes P-glycoprotein an important player in cellular detoxification.
Biological function summary

P-glycoprotein acts as a protective mechanism against toxic substances and drugs within the body. It is a member of the ATP-binding cassette (ABC) transporter family which is critical for their ability to transport molecules across membranes. P-glycoprotein is not typically part of a larger protein complex but can interact with other membrane proteins to facilitate its function. Its role in drug metabolism and excretion is vital for maintaining the balance and elimination of harmful substances.

Pathways

P-glycoprotein plays a significant role in the pharmacokinetics of drugs within the body. This transporter is involved in the multi-drug resistance (MDR) pathway which impacts the efficacy of chemotherapeutic agents. P-glycoprotein also interacts with other proteins like CYP3A4 which is involved in the metabolism of many drugs. These interactions affect the concentration and distribution of therapeutic agents contributing to the body's overall drug response.

P-glycoprotein is closely associated with multi-drug resistance in cancer where its overexpression can lead to reduced effectiveness of chemotherapy. It is also implicated in disorders of the central nervous system like epilepsy where it affects drug delivery to the brain. The protein has connections with CYP3A4 in these contexts where both together influence drug metabolism and efficacy complicating treatment regimens and therapeutic outcomes in these conditions.

产品实验方案

For this product, it's our understanding that no specific protocols are required. You can visit:

靶点信息

Translocates drugs and phospholipids across the membrane (PubMed : 2897240, PubMed : 35970996, PubMed : 8898203, PubMed : 9038218). Catalyzes the flop of phospholipids from the cytoplasmic to the exoplasmic leaflet of the apical membrane. Participates mainly to the flop of phosphatidylcholine, phosphatidylethanolamine, beta-D-glucosylceramides and sphingomyelins (PubMed : 8898203). Energy-dependent efflux pump responsible for decreased drug accumulation in multidrug-resistant cells (PubMed : 2897240, PubMed : 35970996, PubMed : 9038218).
See full target information ABCB1

文献 (192)

Recent publications for all applications. Explore the full list and refine your search

Cancers 15: PubMed37627134

2023

Overexpression of MRP1/ABCC1, Survivin and BCRP/ABCC2 Predicts the Resistance of Diffuse Large B-Cell Lymphoma to R-CHOP Treatment.

Applications

Unspecified application

Species

Unspecified reactive species

Danijela Mandić,Lana Nežić,Ljiljana Amdžić,Nataša Vojinović,Radoslav Gajanin,Miroslav Popović,Jugoslav Đeri,Milena Todorović Balint,Jelena Dumanović,Zoran Milovanović,Jelica Grujić-Milanović,Ranko Škrbić,Vesna Jaćević

Journal of personalized medicine 13: PubMed37623484

2023

Effective Prognostic Model for Therapy Response Prediction in Acute Myeloid Leukemia Patients.

Applications

Unspecified application

Species

Unspecified reactive species

Maria A Kolesnikova,Aleksandra V Sen'kova,Tatiana I Pospelova,Marina A Zenkova

Hereditas 160:33 PubMed37518006

2023

Elevated HMGB1 promotes the malignant progression and contributes to cisplatin resistance of non-small cell lung cancer.

Applications

Unspecified application

Species

Unspecified reactive species

Ying Ma,Qin Feng,Bateer Han,Rong Yu,Zhiyong Jin

BMC neuroscience 24:37 PubMed37474902

2023

Hydrogen alleviated cognitive impairment and blood‒brain barrier damage in sepsis-associated encephalopathy by regulating ABC efflux transporters in a PPARα-dependent manner.

Applications

Unspecified application

Species

Unspecified reactive species

Yuanyuan Bai,Wen Mi,Xiaoyin Meng,Beibei Dong,Yi Jiang,Yuechun Lu,Yonghao Yu

Frontiers in pharmacology 14:1206104 PubMed37388441

2023

Morphine pharmacokinetics and opioid transporter expression at the blood-retina barrier of male and female mice.

Applications

Unspecified application

Species

Unspecified reactive species

Casey-Tyler Berezin,Nikolas Bergum,Glenda M Torres Lopez,Jozsef Vigh

Life (Basel, Switzerland) 13: PubMed37374077

2023

Transcranial Focal Electric Stimulation Avoids P-Glycoprotein Over-Expression during Electrical Amygdala Kindling and Delays Epileptogenesis in Rats.

Applications

Unspecified application

Species

Unspecified reactive species

Daniel Fonseca-Barriendos,José Luis Castañeda-Cabral,Frida Martínez-Cuevas,Walter Besio,Alejandro Valdés-Cruz,Luisa Rocha

PloS one 18:e0286189 PubMed37228164

2023

Investigation of artificial intelligence integrated fluorescence endoscopy image analysis with indocyanine green for interpretation of precancerous lesions in colon cancer.

Applications

Unspecified application

Species

Unspecified reactive species

Jinhyeon Kim,Hajung Kim,Yong Sik Yoon,Chan Wook Kim,Seung-Mo Hong,Sungjee Kim,Doowon Choi,Jihyun Chun,Seung Wook Hong,Sung Wook Hwang,Sang Hyoung Park,Dong-Hoon Yang,Byong Duk Ye,Jeong-Sik Byeon,Suk-Kyun Yang,Sun Young Kim,Seung-Jae Myung

Pharmaceutics 15: PubMed37242805

2023

Differential Expression of Transporter Genes in Brain Vessels vs. Peripheral Tissues and Vessels from Human, Mouse and Rat.

Applications

Unspecified application

Species

Unspecified reactive species

Wandong Zhang,Qing Yan Liu,Arsalan S Haqqani,Ziying Liu,Caroline Sodja,Sonia Leclerc,Ewa Baumann,Christie E Delaney,Eric Brunette,Danica B Stanimirovic

Synapse (New York, N.Y.) 77:e22274 PubMed37211869

2023

Mechanism of cognitive impairment induced by d-galactose and l-glutamate through gut-brain interaction in tree shrews.

Applications

Unspecified application

Species

Unspecified reactive species

Limei Wang,Jingli Lu,Yi Yang,Yulan Zhao,Peijin Wang,Jianlin Jiao,Hong Zheng

International journal of molecular sciences 24: PubMed37175843

2023

MDR1 Inhibition Reverses Doxorubicin-Resistance in Six Doxorubicin-Resistant Canine Prostate and Bladder Cancer Cell Lines.

Applications

Unspecified application

Species

Unspecified reactive species

Eva-Maria Packeiser,Leoni Engels,Ingo Nolte,Sandra Goericke-Pesch,Hugo Murua Escobar
View all publications

Abcam Product Promise

我们致力于为您的研究提供高质量的试剂,为您科研的每一步提供支持。若我们的产品未能达到预期性能,我们向您提供 Abcam Product Promise 保障。
详情请参阅我们的条款与条件。

关联产品

Select an associated product type
Alternative Product
Primary Antibodies

AB269309

PE Anti-P Glycoprotein antibody [UIC2]

primary-antibodies

pe-p-glycoprotein-antibody-uic2-ab269309

0

(0 reviews)

Alternative Product
Primary Antibodies

AB93590

PE Anti-P Glycoprotein antibody [UIC2]

primary-antibodies

pe-p-glycoprotein-antibody-uic2-ab93590

0

(0 reviews)

Alternative Product
Primary Antibodies

AB129450

Anti-P Glycoprotein antibody

primary-antibodies

p-glycoprotein-antibody-ab129450

4

(3 reviews)

Alternative Product
Primary Antibodies

AB235954

Anti-P Glycoprotein antibody

primary-antibodies

p-glycoprotein-antibody-ab235954

4

(2 reviews)

Alternative Product
Primary Antibodies

AB168337

Anti-P Glycoprotein antibody [EPR10364]

primary-antibodies

p-glycoprotein-antibody-epr10364-ab168337

1

(2 reviews)

Alternative Product
Primary Antibodies

AB170903

Anti-P Glycoprotein antibody [EPR10363]

primary-antibodies

p-glycoprotein-antibody-epr10363-ab170903

1

(1 reviews)

Alternative Product
Primary Antibodies

AB271921

Anti-P Glycoprotein antibody [EPR10364] - BSA and Azide free

primary-antibodies

p-glycoprotein-antibody-epr10364-bsa-and-azide-free-ab271921

0

(0 reviews)

Alternative Product
Primary Antibodies

AB271923

Anti-P Glycoprotein antibody [EPR10363] - BSA and Azide free

primary-antibodies

p-glycoprotein-antibody-epr10363-bsa-and-azide-free-ab271923

0

(0 reviews)

Please note: All products are 'FOR RESEARCH USE ONLY. NOT FOR USE IN DIAGNOSTIC OR THERAPEUTIC PROCEDURES'.

For licensing inquiries, please contact partnerships@abcam.com