JavaScript is disabled in your browser. Please enable JavaScript to view this website.
AB251678

Anti-OSCP抗体

Anti-OSCP antibody

Be the first to review this product! Submit a review

|

(1 Publication)

Rabbit Polyclonal OSCP antibody. Suitable for IHC-P and reacts with Human samples. Cited in 1 publication. Immunogen corresponding to Recombinant Fragment Protein within Human ITGBL1 aa 200-400.

查看别名

OSCP, TIED, ITGBL1, Integrin beta-like protein 1, Osteoblast-specific cysteine-rich protein, Ten integrin EGF-like repeat domain-containing protein

4 Images
Immunohistochemistry (Formalin/PFA-fixed paraffin-embedded sections) - Anti-OSCP antibody (AB251678)
  • IHC-P

Unknown

Immunohistochemistry (Formalin/PFA-fixed paraffin-embedded sections) - Anti-OSCP antibody (AB251678)

Paraffin-embedded human colorectal cancer tissue stained for OSCP using ab251678 at 1/200 dilution in immunohistochemical analysis.

Immunohistochemistry (Formalin/PFA-fixed paraffin-embedded sections) - Anti-OSCP antibody (AB251678)
  • IHC-P

Unknown

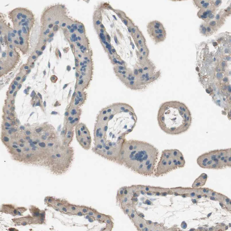
Immunohistochemistry (Formalin/PFA-fixed paraffin-embedded sections) - Anti-OSCP antibody (AB251678)

Paraffin-embedded human placenta tissue stained for OSCP using ab251678 at 1/200 dilution in immunohistochemical analysis.

Immunohistochemistry (Formalin/PFA-fixed paraffin-embedded sections) - Anti-OSCP antibody (AB251678)
  • IHC-P

Unknown

Immunohistochemistry (Formalin/PFA-fixed paraffin-embedded sections) - Anti-OSCP antibody (AB251678)

Paraffin-embedded human testis tissue stained for OSCP using ab251678 at 1/200 dilution in immunohistochemical analysis.

Immunohistochemistry (Formalin/PFA-fixed paraffin-embedded sections) - Anti-OSCP antibody (AB251678)
  • IHC-P

Unknown

Immunohistochemistry (Formalin/PFA-fixed paraffin-embedded sections) - Anti-OSCP antibody (AB251678)

Paraffin-embedded human lung tissue stained for OSCP using ab251678 at 1/200 dilution in immunohistochemical analysis.

关键信息

宿主种属

Rabbit

克隆

Polyclonal

亚型

IgG

不含载体蛋白

No

反应种属

Human

应用

IHC-P

applications

免疫原

Recombinant Fragment Protein within Human ITGBL1 aa 200-400. The exact immunogen used to generate this antibody is proprietary information.

O95965

反应性数据

{ "title": "Reactivity Data", "filters": { "stats": ["", "Species", "Dilution Info", "Notes"], "tabs": { "all-applications": {"fullname" : "All Applications", "shortname": "All Applications"}, "IHCP" : {"fullname" : "Immunohistochemistry (Formalin/PFA-fixed paraffin-embedded sections)", "shortname":"IHC-P"} }, "product-promise": { "all": "all", "testedAndGuaranteed": "tested", "guaranteed": "expected", "predicted": "predicted", "notRecommended": "not-recommended" } }, "values": { "Human": { "IHCP-species-checked": "testedAndGuaranteed", "IHCP-species-dilution-info": "1/200 - 1/500", "IHCP-species-notes": "<p></p> Perform heat-mediated antigen retrieval with citrate buffer pH 6 before commencing with IHC staining protocol." }, "Mouse": { "IHCP-species-checked": "predicted", "IHCP-species-dilution-info": "", "IHCP-species-notes": "" }, "Rat": { "IHCP-species-checked": "predicted", "IHCP-species-dilution-info": "", "IHCP-species-notes": "" } } }

性能和储存信息

形式
Liquid
纯化工艺
Affinity purification Immunogen
存储溶液
pH: 7.2 Preservative: 0.02% Sodium azide Constituents: PBS, 40% Glycerol (glycerin, glycerine)
运输条件
Blue Ice
推荐的短期储存时间
1-2 weeks
推荐的短期储存条件
+4°C
推荐的长期储存条件
-20°C
分装信息
Upon delivery aliquot
储存信息
Avoid freeze / thaw cycle

补充信息

This supplementary information is collated from multiple sources and compiled automatically.

OSCP also known as ATP synthase subunit O is a component of the ATP synthase complex specifically part of the F0 assembly. With a mass of approximately 23 kDa it is expressed mainly in the mitochondria where it plays an important role in energy production. By binding to the F1 domain of ATP synthase OSCP helps stabilize the complex and contribute to its function in synthesizing ATP during cellular respiration.
Biological function summary

In cellular respiration OSCP acts as a stabilizing unit within the larger ATP synthase complex. This complex is essential for the production of ATP the energy currency of the cell converting ADP and inorganic phosphate into ATP using the proton gradient generated across the mitochondrial membrane. By ensuring the structural integrity of ATP synthase OSCP facilitates efficient energy conversion necessary for cell survival and function.

Pathways

OSCP plays a role in the oxidative phosphorylation pathway which is vital for ATP production. This process involves electron transport coupled with ATP synthesis with OSCP interacting with other proteins in the complex. Notably OSCP associates with other subunits such as ATP5F1A within the same complex contributing to the regulation and maintenance of mitochondrial energy dynamics.

Faulty OSCP interactions can lead to mitochondrial dysfunctions which are connected to neurodegenerative disorders such as Alzheimer's disease. In this context OSCP's relationship with other mitochondrial proteins like Cytochrome c oxidase subunits becomes significant as such interactions might influence disease pathways and progression. Understanding OSCP's contributions offers potential pathways for targeted therapies in addressing mitochondrial-related diseases.

产品实验方案

For this product, it's our understanding that no specific protocols are required. You can visit:

文献 (1)

Recent publications for all applications. Explore the full list and refine your search

Cell death & disease 11:151 PubMed32102992

2020

SET7/9 promotes multiple malignant processes in breast cancer development via RUNX2 activation and is negatively regulated by TRIM21.

Applications

Unspecified application

Species

Unspecified reactive species

Wenzhe Si,Jiansuo Zhou,Yang Zhao,Jiajia Zheng,Liyan Cui
View all publications

Abcam Product Promise

我们致力于为您的研究提供高质量的试剂,为您科研的每一步提供支持。若我们的产品未能达到预期性能,我们向您提供 Abcam Product Promise 保障。
详情请参阅我们的条款与条件。

Please note: All products are 'FOR RESEARCH USE ONLY. NOT FOR USE IN DIAGNOSTIC OR THERAPEUTIC PROCEDURES'.

For licensing inquiries, please contact partnerships@abcam.com