JavaScript is disabled in your browser. Please enable JavaScript to view this website.
AB307951

重组Anti-Oncostatin M/OSM抗体[EPR26065-14]

Anti-Oncostatin M/OSM antibody [EPR26065-14]

Be the first to review this product! Submit a review

|

(0 Publication)

Rabbit Recombinant Monoclonal Oncostatin M/OSM antibody. Suitable for IHC-P and reacts with Human, Transfected cell line - Human samples.

查看别名

Oncostatin-M, OSM

7 Images
Immunohistochemistry (Formalin/PFA-fixed paraffin-embedded sections) - Anti-Oncostatin M/OSM antibody [EPR26065-14] (AB307951)
  • IHC-P

Supplier Data

Immunohistochemistry (Formalin/PFA-fixed paraffin-embedded sections) - Anti-Oncostatin M/OSM antibody [EPR26065-14] (AB307951)

Immunohistochemical analysis of paraffin-embedded Human breast tissue labelling Oncostatin M/OSM with ab307951 at 1/100 (4.85 ug/ml) followed by a ready to use Goat Anti-Rabbit IgG H&L (HRP polymer) (ab214880). Negative control : no staining on human breast. The section was incubated with ab307951 at 4°C overnight. Counterstained with Hematoxylin. Secondary antibody only control : Secondary antibody is a ready to use Goat Anti-Rabbit IgG H&L (HRP polymer) (ab214880). Heat mediated antigen retrieval was performed using ab93684 (Tris/EDTA buffer, pH 9.0).

Immunohistochemistry (Formalin/PFA-fixed paraffin-embedded sections) - Anti-Oncostatin M/OSM antibody [EPR26065-14] (AB307951)
  • IHC-P

Supplier Data

Immunohistochemistry (Formalin/PFA-fixed paraffin-embedded sections) - Anti-Oncostatin M/OSM antibody [EPR26065-14] (AB307951)

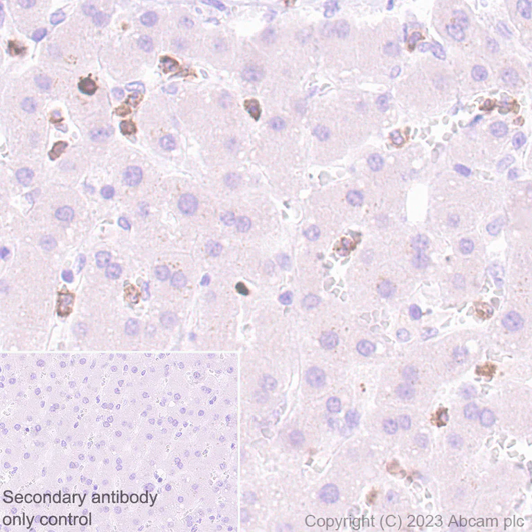
Immunohistochemical analysis of paraffin-embedded Human liver tissue labeling Oncostatin M/OSM with ab307951 at 1/100 (4.85 ug/ml) followed by a ready to use Goat Anti-Rabbit IgG H&L (HRP polymer) (ab214880). Positive staining on scattered immune cells of human liver. The section was incubated with ab307951 at 4°C overnight. Counterstained with Hematoxylin. Secondary antibody only control : Secondary antibody is a ready to use Goat Anti-Rabbit IgG H&L (HRP polymer) (ab214880). Heat mediated antigen retrieval was performed using ab93684 (Tris/EDTA buffer, pH 9.0).

Immunohistochemistry (Formalin/PFA-fixed paraffin-embedded sections) - Anti-Oncostatin M/OSM antibody [EPR26065-14] (AB307951)
  • IHC-P

Supplier Data

Immunohistochemistry (Formalin/PFA-fixed paraffin-embedded sections) - Anti-Oncostatin M/OSM antibody [EPR26065-14] (AB307951)

Immunohistochemical analysis of paraffin-embedded Human colon tissue labelling Oncostatin M/OSM with ab307951 at 1/100 (4.85 ug/ml) followed by a ready to use Goat Anti-Rabbit IgG H&L (HRP polymer) (ab214880). Positive staining on scattered immune cells of human colon. The section was incubated with ab307951 at 4°C overnight. Counterstained with Hematoxylin. Secondary antibody only control : Secondary antibody is a ready to use Goat Anti-Rabbit IgG H&L (HRP polymer) (ab214880). Heat mediated antigen retrieval was performed using ab93684 (Tris/EDTA buffer, pH 9.0).

Immunohistochemistry (Formalin/PFA-fixed paraffin-embedded sections) - Anti-Oncostatin M/OSM antibody [EPR26065-14] (AB307951)
  • IHC-P

Supplier Data

Immunohistochemistry (Formalin/PFA-fixed paraffin-embedded sections) - Anti-Oncostatin M/OSM antibody [EPR26065-14] (AB307951)

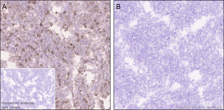
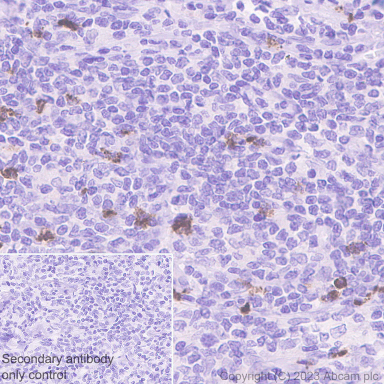
Immunohistochemical analysis of paraffin-embedded Human diffuse large tissue labeling Oncostatin M/OSM with ab307951 at 1/100 (4.85 ug/ml) followed by a ready to use Goat Anti-Rabbit IgG H&L (HRP polymer) (ab214880). Positive staining on human diffuse large B-cell lymphoma. The section was incubated with ab307951 at 4°C overnight. Counterstained with Hematoxylin. Secondary antibody only control : Secondary antibody is a ready to use Goat Anti-Rabbit IgG H&L (HRP polymer) (ab214880). Heat mediated antigen retrieval was performed using ab93684 (Tris/EDTA buffer, pH 9.0).

Immunohistochemistry (Formalin/PFA-fixed paraffin-embedded sections) - Anti-Oncostatin M/OSM antibody [EPR26065-14] (AB307951)
  • IHC-P

Supplier Data

Immunohistochemistry (Formalin/PFA-fixed paraffin-embedded sections) - Anti-Oncostatin M/OSM antibody [EPR26065-14] (AB307951)

Immunohistochemical analysis of paraffin-embedded Human lung tissue labelling Oncostatin M/OSM with ab307951 at 1/100 (4.85 ug/ml) followed by a ready to use Goat Anti-Rabbit IgG H&L (HRP polymer) (ab214880). Positive staining on scattered immune cells of human lung. The section was incubated with ab307951 at 4°C overnight. Counterstained with Hematoxylin. Secondary antibody only control : Secondary antibody is a ready to use Goat Anti-Rabbit IgG H&L (HRP polymer) (ab214880). Heat mediated antigen retrieval was performed using ab93684 (Tris/EDTA buffer, pH 9.0).

Immunohistochemistry (Formalin/PFA-fixed paraffin-embedded sections) - Anti-Oncostatin M/OSM antibody [EPR26065-14] (AB307951)
  • IHC-P

Supplier Data

Immunohistochemistry (Formalin/PFA-fixed paraffin-embedded sections) - Anti-Oncostatin M/OSM antibody [EPR26065-14] (AB307951)

Immunohistochemical analysis of paraffin-embedded Human spleen tissue labeling Oncostatin M/OSM with ab307951 at 1/100 (4.85 ug/ml) followed by a ready to use Goat Anti-Rabbit IgG H&L (HRP polymer) (ab214880). Positive staining on human spleen. The section was incubated with ab307951 at 4°C overnight. Counterstained with Hematoxylin. Secondary antibody only control : Secondary antibody is a ready to use Goat Anti-Rabbit IgG H&L (HRP polymer) (ab214880). Heat mediated antigen retrieval was performed using ab93684 (Tris/EDTA buffer, pH 9.0)

Immunohistochemistry (Formalin/PFA-fixed paraffin-embedded sections) - Anti-Oncostatin M/OSM antibody [EPR26065-14] (AB307951)
  • IHC-P

Supplier Data

Immunohistochemistry (Formalin/PFA-fixed paraffin-embedded sections) - Anti-Oncostatin M/OSM antibody [EPR26065-14] (AB307951)

Immunohistochemical analysis of paraffin-embedded Panel A HEK-293T c tissue labeling Oncostatin M/OSM with ab307951 at 1/100 (4.85 ug/ml) followed by a ready to use Goat Anti-Rabbit IgG H&L (HRP polymer) (ab214880). Positive staining on (A) HEK-293T transfected with a human Oncostatin M/OSM expression vector, no staining on (B) HEK-293T transfected with an empty vector. The section was incubated with ab307951 at 4°C overnight. Counterstained with Hematoxylin. Secondary antibody only control : Secondary antibody is a ready to use Goat Anti-Rabbit IgG H&L (HRP polymer) (ab214880). Heat mediated antigen retrieval was performed using ab93684 (Tris/EDTA buffer, pH 9.0).

关键信息

宿主种属

Rabbit

克隆

Monoclonal

克隆号

EPR26065-14

亚型

IgG

不含载体蛋白

No

反应种属

Human

应用

IHC-P

applications

免疫原

The exact immunogen used to generate this antibody is proprietary information.

反应性数据

{ "title": "Reactivity Data", "filters": { "stats": ["", "Species", "Dilution Info", "Notes"], "tabs": { "all-applications": {"fullname" : "All Applications", "shortname": "All Applications"}, "IHCP" : {"fullname" : "Immunohistochemistry (Formalin/PFA-fixed paraffin-embedded sections)", "shortname":"IHC-P"}, "WB" : {"fullname" : "Western blot", "shortname":"WB"}, "ICCIF" : {"fullname" : "Immunocytochemistry/ Immunofluorescence", "shortname":"ICC/IF"}, "FlowCytIntra" : {"fullname" : "Flow Cytometry (Intracellular)", "shortname":"Flow Cyt (Intra)"}, "IP" : {"fullname" : "Immunoprecipitation", "shortname":"IP"} }, "product-promise": { "all": "all", "testedAndGuaranteed": "tested", "guaranteed": "expected", "predicted": "predicted", "notRecommended": "not-recommended" } }, "values": { "Human": { "IHCP-species-checked": "testedAndGuaranteed", "IHCP-species-dilution-info": "1/100", "IHCP-species-notes": "<p></p> Perform heat-mediated antigen retrieval with Tris/EDTA buffer pH 9.0 before commencing with IHC staining protocol.", "WB-species-checked": "notRecommended", "WB-species-dilution-info": "", "WB-species-notes": "<p></p>", "ICCIF-species-checked": "notRecommended", "ICCIF-species-dilution-info": "", "ICCIF-species-notes": "<p></p>", "FlowCytIntra-species-checked": "notRecommended", "FlowCytIntra-species-dilution-info": "", "FlowCytIntra-species-notes": "<p></p>", "IP-species-checked": "notRecommended", "IP-species-dilution-info": "", "IP-species-notes": "<p></p>" }, "Mouse": { "IHCP-species-checked": "notRecommended", "IHCP-species-dilution-info": "", "IHCP-species-notes": "<p></p>", "WB-species-checked": "notRecommended", "WB-species-dilution-info": "", "WB-species-notes": "<p></p>", "ICCIF-species-checked": "notRecommended", "ICCIF-species-dilution-info": "", "ICCIF-species-notes": "", "FlowCytIntra-species-checked": "notRecommended", "FlowCytIntra-species-dilution-info": "", "FlowCytIntra-species-notes": "", "IP-species-checked": "notRecommended", "IP-species-dilution-info": "", "IP-species-notes": "" }, "Rat": { "IHCP-species-checked": "notRecommended", "IHCP-species-dilution-info": "", "IHCP-species-notes": "<p></p>", "WB-species-checked": "notRecommended", "WB-species-dilution-info": "", "WB-species-notes": "<p></p>", "ICCIF-species-checked": "notRecommended", "ICCIF-species-dilution-info": "", "ICCIF-species-notes": "", "FlowCytIntra-species-checked": "notRecommended", "FlowCytIntra-species-dilution-info": "", "FlowCytIntra-species-notes": "", "IP-species-checked": "notRecommended", "IP-species-dilution-info": "", "IP-species-notes": "" }, "Transfected cell line - Human": { "IHCP-species-checked": "testedAndGuaranteed", "IHCP-species-dilution-info": "1/100", "IHCP-species-notes": "<p></p> Perform heat-mediated antigen retrieval with Tris/EDTA buffer pH 9.0 before commencing with IHC staining protocol.", "WB-species-checked": "notRecommended", "WB-species-dilution-info": "", "WB-species-notes": "", "ICCIF-species-checked": "notRecommended", "ICCIF-species-dilution-info": "", "ICCIF-species-notes": "", "FlowCytIntra-species-checked": "notRecommended", "FlowCytIntra-species-dilution-info": "", "FlowCytIntra-species-notes": "", "IP-species-checked": "notRecommended", "IP-species-dilution-info": "", "IP-species-notes": "" } } }

产品详情

Patented technology
Our RabMAb® technology is a patented hybridoma-based technology for making rabbit monoclonal antibodies. For details on our patents, please refer to RabMAb® patents.

What are the advantages of a recombinant monoclonal antibody?
This product is a recombinant monoclonal antibody, which offers several advantages including:

  • - High batch-to-batch consistency and reproducibility
  • - Improved sensitivity and specificity
  • - Long-term security of supply
  • - Animal-free batch production

For more information, read more on recombinant antibodies.

性能和储存信息

形式
Liquid
纯化工艺
Affinity purification Protein A
存储溶液
pH: 7.2 - 7.4 Preservative: 0.01% Sodium azide Constituents: PBS, 40% Glycerol (glycerin, glycerine), 0.05% BSA
运输条件
Blue Ice
推荐的短期储存时间
1-2 weeks
推荐的短期储存条件
+4°C
推荐的长期储存条件
-20°C
分装信息
Upon delivery aliquot
储存信息
Avoid freeze / thaw cycle

补充信息

This supplementary information is collated from multiple sources and compiled automatically.

Oncostatin M (OSM) also known as Oncostatin M protein or OSM protein is a cytokine with significant roles in inflammation and hematopoiesis. This protein weighs around 28 kDa and is expressed mainly in activated T cells monocytes and macrophages. It interacts with specific receptors on the cell surface to transmit signals that regulate cell growth and function. Oncostatin M is part of the interleukin-6 (IL-6) family contributing to various cellular processes.
Biological function summary

Oncostatin M modulates a range of cellular activities including cell proliferation differentiation and apoptosis. This cytokine affects diverse cell types such as fibroblasts endothelial cells and epithelial cells showing particular influence in processes like tissue remodeling and immune response. It acts as a monomer and does not need assembly into a larger complex to exert its function. Its ability to trigger gene expression differentiates it from other closely related cytokines.

Pathways

Oncostatin M involves itself in significant pathways like the JAK/STAT signaling pathway and the MAPK pathway. Through these pathways it promotes signal transduction essential for immune regulation and cellular response to external stimuli. OSM interacts with proteins like the gp130 receptor a common signaling component for cytokine receptors in its family and influences downstream effectors involved in these pathways.

Oncostatin M associates itself with inflammatory diseases such as rheumatoid arthritis and cardiovascular disorders. Its elevated levels in pathological conditions highlight its role in exacerbating inflammatory responses. In rheumatoid arthritis OSM promotes synovial inflammation while in cardiovascular diseases it may influence vascular remodeling. Connections to inflammatory proteins such as IL-6 further highlight its part in driving disease pathogenesis making it an intriguing target for therapeutic intervention.

产品实验方案

For this product, it's our understanding that no specific protocols are required. You can visit:

靶点信息

Growth regulator. Inhibits the proliferation of a number of tumor cell lines. Stimulates proliferation of AIDS-KS cells. It regulates cytokine production, including IL-6, G-CSF and GM-CSF from endothelial cells. Uses both type I OSM receptor (heterodimers composed of LIFR and IL6ST) and type II OSM receptor (heterodimers composed of OSMR and IL6ST). Involved in the maturation of fetal hepatocytes, thereby promoting liver development and regeneration (By similarity).
See full target information OSM

Abcam Product Promise

我们致力于为您的研究提供高质量的试剂,为您科研的每一步提供支持。若我们的产品未能达到预期性能,我们向您提供 Abcam Product Promise 保障。
详情请参阅我们的条款与条件。

Please note: All products are 'FOR RESEARCH USE ONLY. NOT FOR USE IN DIAGNOSTIC OR THERAPEUTIC PROCEDURES'.

For licensing inquiries, please contact partnerships@abcam.com