JavaScript is disabled in your browser. Please enable JavaScript to view this website.
AB183947

重组Anti-Olfactory Marker蛋白/OMP抗体[EPR19190]

Anti-Olfactory Marker Protein/OMP antibody [EPR19190]

4

(2 Reviews)

|

(29 Publications)

Anti-Olfactory Marker Protein/OMP antibody [EPR19190] (ab183947) is a rabbit monoclonal antibody detecting Olfactory Marker Protein/OMP in Western Blot, IP, IHC-P, IHC-Fr. Suitable for Mouse, Rat.

- Biophysical QC for unrivalled batch-batch consistency
- Over 20 publications

查看别名

Olfactory marker protein, Omp

6 Images
Immunohistochemistry (Formalin/PFA-fixed paraffin-embedded sections) - Anti-Olfactory Marker Protein/OMP antibody [EPR19190] (AB183947)
  • IHC-P

Supplier Data

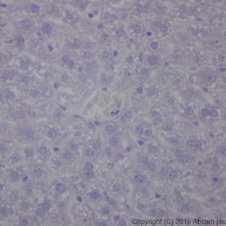
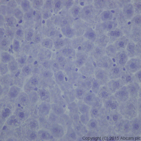
Immunohistochemistry (Formalin/PFA-fixed paraffin-embedded sections) - Anti-Olfactory Marker Protein/OMP antibody [EPR19190] (AB183947)

Immunohistochemical analysis of paraffin-embedded Mouse liver tissue labeling Olfactory Marker Protein/OMP with ab183947 at 1/2000 dilution followed by Goat Anti-Rabbit IgG H&L (HRP) (ab97051) secondary antibody at 1/500 dilution. Negative staining on mouse liver is observed.

Perform heat mediated antigen retrieval with Tris/EDTA buffer pH 9.0 before commencing with IHC staining protocol.

Immunohistochemistry (Formalin/PFA-fixed paraffin-embedded sections) - Anti-Olfactory Marker Protein/OMP antibody [EPR19190] (AB183947)
  • IHC-P

Supplier Data

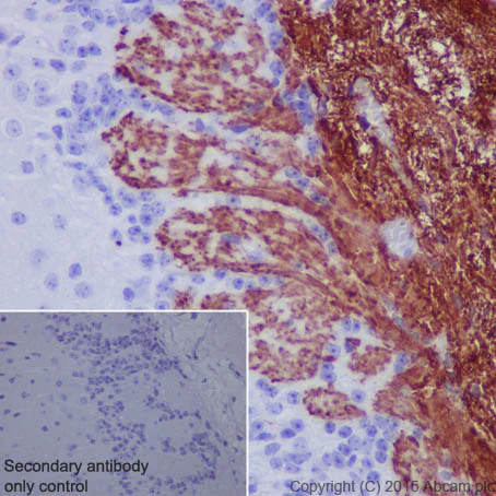
Immunohistochemistry (Formalin/PFA-fixed paraffin-embedded sections) - Anti-Olfactory Marker Protein/OMP antibody [EPR19190] (AB183947)

Immunohistochemical analysis of paraffin-embedded Mouse olfactory bulb tissue labeling Olfactory Marker Protein/OMP with ab183947 at 1/2000 dilution followed by Goat Anti-Rabbit IgG H&L (HRP) (ab97051) secondary antibody at 1/500 dilution. Cytoplasm staining on neurons of mouse olfactory bulb is observed. Counter stained with Hematoxylin.

Secondary antibody only control : Used PBS instead of primary antibody secondary antibody is Goat Anti-Rabbit IgG H&L (HRP) (ab97051) at 1/500 dilution.

Perform heat mediated antigen retrieval with Tris/EDTA buffer pH 9.0 before commencing with IHC staining protocol.

Immunohistochemistry (Frozen sections) - Anti-Olfactory Marker Protein/OMP antibody [EPR19190] (AB183947)
  • IHC-Fr

Lab

Immunohistochemistry (Frozen sections) - Anti-Olfactory Marker Protein/OMP antibody [EPR19190] (AB183947)

Immunohistochemistry (Frozen sections) analysis of rat olfactory bulb tissue labelling Olfactory Marker Protein/OMP with ab183947 at a dilution of 1/500. ab150077 an Alexa Fluor® 488-conjugated goat anti-rabbit IgG was used as the secondary antibody (1/1000). Staining is visible in the cytoplasm of neurons of the rat olfactory bulb.

Immunohistochemistry (Frozen sections) - Anti-Olfactory Marker Protein/OMP antibody [EPR19190] (AB183947)
  • IHC-Fr

Lab

Immunohistochemistry (Frozen sections) - Anti-Olfactory Marker Protein/OMP antibody [EPR19190] (AB183947)

Immunohistochemistry (Frozen sections) analysis of mouse olfactory bulb tissue labelling Olfactory Marker Protein/OMP with ab183947 at a dilution of 1/500. ab150077 an Alexa Fluor® 488-conjugated goat anti-rabbit IgG was used as the secondary antibody (1/1000). Staining is visible in the cytoplasm of neurons of the mouse olfactory bulb.

Immunoprecipitation - Anti-Olfactory Marker Protein/OMP antibody [EPR19190] (AB183947)
  • IP

Lab

Immunoprecipitation - Anti-Olfactory Marker Protein/OMP antibody [EPR19190] (AB183947)

Olfactory Marker Protein/OMP was immunoprecipitated from 1mg of Mouse olfactory bulb whole cell lysate with ab183947 at 1/40 dilution. Western blot was performed using ab183947 at 1/1000 dilution. VeriBlot for IP Detection Reagent (HRP) (ab131366), was used for detection at 1/10,000 dilution.

Lane 1(input) : Mouse olfactory bulb whole cell lysate 10μg

Lane 2 : Mouse olfactory bulb whole cell lysate

Lane 3 : Rabbit monoclonal IgG (ab172730) instead of ab183947 in Mouse olfactory bulb whole cell lysate

Blocking and dilution buffer and concentration : 5% NFDM/TBST.

All lanes:

Immunoprecipitation - Anti-Olfactory Marker Protein/OMP antibody [EPR19190] (ab183947)

Predicted band size: 19 kDa

Observed band size: 19 kDa

false

Western blot - Anti-Olfactory Marker Protein/OMP antibody [EPR19190] (AB183947)
  • WB

Supplier Data

Western blot - Anti-Olfactory Marker Protein/OMP antibody [EPR19190] (AB183947)

Blocking/Dilution buffer : 5% NFDM/TBST.

All lanes:

Western blot - Anti-Olfactory Marker Protein/OMP antibody [EPR19190] (ab183947) at 1/2000 dilution

Lane 1:

Mouse olfactory bulb lysate at 10 µg

Lane 2:

Mouse brain lysate at 10 µg

Lane 3:

Mouse heart lysate at 10 µg

Lane 4:

Mouse kidney lysate at 10 µg

Lane 5:

Mouse spleen lysate at 10 µg

Lane 6:

Neuro-2a (Mouse neuroblastoma cell line) lysate at 10 µg

Lane 7:

Rat olfactory bulb lysate at 10 µg

Lane 8:

Rat kidney lysate at 10 µg

Lane 9:

C6 (Rat glial tumor cell line) lysate at 10 µg

Lane 10:

RAW 264.7 (Mouse macrophage cell line transformed with Abelson murine leukemia virus) lysate at 10 µg

Lane 11:

PC-12 (Rat adrenal gland pheochromocytoma cell line) lysate at 10 µg

Lane 12:

NIH/3T3 (Mouse embryo fibroblast cell line) lysate at 10 µg

Secondary

All lanes:

Western blot - Goat Anti-Rabbit IgG H&L (HRP) (<a href='/products/secondary-antibodies/goat-rabbit-igg-h-l-hrp-ab97051'>ab97051</a>) at 1/100000 dilution

Predicted band size: 19 kDa

Observed band size: 19 kDa

false

Exposure time: 3min

不同偶联物与剂型 (1)

  • Carrier free

    Anti-Olfactory Marker Protein/OMP antibody [EPR19190] - BSA and Azide free

关键信息

宿主种属

Rabbit

克隆

Monoclonal

克隆号

EPR19190

亚型

IgG

不含载体蛋白

No

反应种属

Mouse, Rat

应用

IP, IHC-P, WB, IHC-Fr

applications

免疫原

The exact immunogen used to generate this antibody is proprietary information.

反应性数据

{ "title": "Reactivity Data", "filters": { "stats": ["", "Species", "Dilution Info", "Notes"], "tabs": { "all-applications": {"fullname" : "All Applications", "shortname": "All Applications"}, "IP" : {"fullname" : "Immunoprecipitation", "shortname":"IP"}, "WB" : {"fullname" : "Western blot", "shortname":"WB"}, "IHCFr" : {"fullname" : "Immunohistochemistry (Frozen sections)", "shortname":"IHC-Fr"}, "IHCP" : {"fullname" : "Immunohistochemistry (Formalin/PFA-fixed paraffin-embedded sections)", "shortname":"IHC-P"} }, "product-promise": { "all": "all", "testedAndGuaranteed": "tested", "guaranteed": "expected", "predicted": "predicted", "notRecommended": "not-recommended" } }, "values": { "Mouse": { "IP-species-checked": "testedAndGuaranteed", "IP-species-dilution-info": "1/40", "IP-species-notes": "<p></p>", "WB-species-checked": "testedAndGuaranteed", "WB-species-dilution-info": "1/2000", "WB-species-notes": "<p></p>", "IHCFr-species-checked": "testedAndGuaranteed", "IHCFr-species-dilution-info": "1/500", "IHCFr-species-notes": "<p></p>", "IHCP-species-checked": "testedAndGuaranteed", "IHCP-species-dilution-info": "1/2000", "IHCP-species-notes": "<p>Suitable for use in mouse tissue only.</p>" }, "Rat": { "IP-species-checked": "guaranteed", "IP-species-dilution-info": "", "IP-species-notes": "", "WB-species-checked": "testedAndGuaranteed", "WB-species-dilution-info": "1/2000", "WB-species-notes": "<p></p>", "IHCFr-species-checked": "testedAndGuaranteed", "IHCFr-species-dilution-info": "1/500", "IHCFr-species-notes": "<p></p>", "IHCP-species-checked": "guaranteed", "IHCP-species-dilution-info": "", "IHCP-species-notes": "" } } }

产品详情

What is this antibody validated in?
Anti-Olfactory Marker Protein/OMP antibody [EPR19190] (ab183947) is a rabbit recombinant monoclonal antibody and is validated for use in Western Blot (WB), Immunoprecipitation (IP), Immunohistochemistry (IHC-P), Immunohistochemistry (IHC-Fr) in Mouse, Rat samples.

What is the molecular weight of Olfactory Marker Protein/OMP?
Anti-Olfactory Marker Protein/OMP [EPR19190] (ab183947) specifically detects a band for Olfactory Marker Protein/OMP (UniProt: Q64288) at a molecular weight of 19kDa.

Trusted by the scientific community
Anti-Olfactory Marker Protein/OMP [EPR19190] (ab183947) was first used in a scientific publication in 2015 and has been cited over 20 times in peer-reviewed journals.

Trial sizes available!
Test your antibody or perform pre-screening before committing to a larger quantity. Sold in 10µl. Discover our selection of trial-size antibodies.

Other related products
We have a range of other formats of antibody clone [EPR19190] also available for your convenience: ab183947, Carrier free - ab250712

Patented technology
Our RabMAb® technology is a patented hybridoma-based technology for making rabbit monoclonal antibodies. For details on our patents, please refer to RabMAb® patents.

What are the advantages of a recombinant monoclonal antibody?
This product is a recombinant monoclonal antibody, which offers several advantages including:

  • - High batch-to-batch consistency and reproducibility
  • - Improved sensitivity and specificity
  • - Long-term security of supply
  • - Animal-free batch production

For more information, read more on recombinant antibodies.

性能和储存信息

形式
Liquid
纯化工艺
Affinity purification Protein A
存储溶液
pH: 7.2 Preservative: 0.01% Sodium azide Constituents: PBS, 40% Glycerol (glycerin, glycerine), 0.05% BSA
运输条件
Blue Ice
推荐的短期储存时间
1-2 weeks
推荐的短期储存条件
+4°C
推荐的长期储存条件
-20°C
分装信息
Upon delivery aliquot
储存信息
Avoid freeze / thaw cycle

补充信息

This supplementary information is collated from multiple sources and compiled automatically.

Olfactory Marker Protein (OMP) sometimes referred to as OMP protein or marker protein plays a significant role in the olfactory system. With a molecular mass of approximately 19 kDa OMP is primarily expressed in mature olfactory sensory neurons within the olfactory epithelium. These neurons play an important role in detecting and transmitting odorant signals to the brain. The expression of OMP is often used as an indicator of functional olfactory neurons.
Biological function summary

OMP participates in enhancing the signal transduction process of olfactory sensory neurons. It acts as a modulator in the cascade that follows the initial odorant detection ensuring the proper response and adaptation of the neurons to smells. OMP is not part of any major protein complex but it influences the activity of other signaling molecules within the neuron affecting how signals are shaped and perceived.

Pathways

Studies show that OMP is involved in the olfactory signal transduction pathway. This pathway includes interactions with other proteins like cyclic nucleotide-gated channels which are critical for converting chemical signals from odorants into electrical signals in neurons. By modulating these pathways OMP contributes to the accurate representation of olfactory information ultimately affecting the brain's sensory perception.

Changes in OMP expression can relate to conditions impacting the sense of smell such as anosmia which is the loss of olfactory function. Connections exist between OMP and other proteins involved in neurodegenerative diseases like Alzheimer's where olfactory dysfunction is an early symptom. Although not the sole factor OMP's presence in these conditions offers a biomarker potential for early diagnosis or understanding progression.

产品实验方案

For this product, it's our understanding that no specific protocols are required. You can visit:

靶点信息

May act as a modulator of the olfactory signal-transduction cascade.
See full target information Olfactory marker protein

文献 (29)

Recent publications for all applications. Explore the full list and refine your search

Anatomy & cell biology 58:483-488 PubMed40405544

2025

A potential interference of chemoreception in inflamed vomeronasal organ with experimental autoimmune encephalomyelitis.

Applications

Unspecified application

Species

Unspecified reactive species

Kyungsook Jung,Deokho Ko,Sungmoo Hong,Irene Ortiz-Leal,Pablo Sanchez-Quinteiro,Meejung Ahn,Changjong Moon,Taeyoung Kang,Taekyun Shin,Jeongtae Kim

Journal of inflammation research 18:5097-5109 PubMed40260448

2025

Mechanisms of Neuronal Differentiation and Notch Signaling as a Potential Therapeutic Target in Olfactory Dysfunction of Allergic Rhinitis.

Applications

Unspecified application

Species

Unspecified reactive species

Chen Duan,Xinyi Ma,Fangying Liu,Xinyu Xie,Changhua Wu,Xiaojun Zhang,Ping Ye,Ye Yuan,Xin Feng

Journal of veterinary research 69:151-157 PubMed40144068

2025

The pathological characteristics of enzootic nasal adenocarcinoma in goats.

Applications

Unspecified application

Species

Unspecified reactive species

Lingxu Li,Zhen Wang,Weiling Qi,Yingjun Lv,Dawei Yao

Zoological research 46:209-224 PubMed39846197

2025

Intranasal iron administration induces iron deposition, immunoactivation, and cell-specific vulnerability in the olfactory bulb of C57BL/6 mice.

Applications

Unspecified application

Species

Unspecified reactive species

Xiao-Qing Mi,Bao-Chen Liu,Le Qu,Yu Yuan,Hui Li,Ao-Yang Xu,Yu-Lin Zhang,Jun-Xia Xie,Ning Song

Archives of toxicology 98:1163-1175 PubMed38367039

2024

Characterization of pathological changes in the olfactory system of mice exposed to methylmercury.

Applications

Unspecified application

Species

Unspecified reactive species

Yuta Iijima,Ryohei Miki,Nobumasa Takasugi,Masatake Fujimura,Takashi Uehara

CNS neuroscience & therapeutics 30:e14632 PubMed38366763

2024

Pathological features and molecular signatures of early olfactory dysfunction in 3xTg-AD model mice.

Applications

Unspecified application

Species

Unspecified reactive species

Haitao Yu,Fangzhou Wang,Dongdong Jia,Shuguang Bi,Juan Gong,Jia-Jun Wu,Yumin Mao,Jia Chen,Gao-Shang Chai

Scientific reports 14:2616 PubMed38297007

2024

Craniofacial and olfactory sensory changes after long-term unilateral nasal obstruction-an animal study using MMP-3-LUC transgenic rats.

Applications

Unspecified application

Species

Unspecified reactive species

Li-Fang Hsu,Nutthakarn Ratanasereeprasert,Shih-Kai Wang,Jung-Tsu Chen,Yi-Jane Chen,Te-Huei Yeh,Hsiang-Hsuan Sung,Chung-Chen Jane Yao

Current biology : CB 33:4857-4868.e6 PubMed37858342

2023

Adaptive olfactory circuitry restores function despite severe olfactory bulb degeneration.

Applications

Unspecified application

Species

Unspecified reactive species

Tamar Licht,Michael Yunerman,Ido Maor,Naheel Lawabny,Renana Oz Rokach,Idit Shiff,Adi Mizrahi,Dan Rokni

Journal of virology 97:e0082723 PubMed37560924

2023

Deep spatial profiling of Venezuelan equine encephalitis virus reveals increased genetic diversity amidst neuroinflammation and cell death during brain infection.

Applications

Unspecified application

Species

Unspecified reactive species

Evan P Williams,Yi Xue,Jasper Lee,Elizabeth A Fitzpatrick,Ying Kong,Walter Reichard,Haley Writt,Colleen B Jonsson

International archives of allergy and immunology 184:808-813 PubMed37232026

2023

DMBT1 Alleviates Nasal Airway Inflammatory Response in the LPS-Induced Nasal Polyp Model.

Applications

Unspecified application

Species

Unspecified reactive species

Xiaoqing Lu,He Xu,Liang Shan,Jinfeng Gao,Jun Tong
View all publications

Abcam Product Promise

我们致力于为您的研究提供高质量的试剂,为您科研的每一步提供支持。若我们的产品未能达到预期性能,我们向您提供 Abcam Product Promise 保障。
详情请参阅我们的条款与条件。

Please note: All products are 'FOR RESEARCH USE ONLY. NOT FOR USE IN DIAGNOSTIC OR THERAPEUTIC PROCEDURES'.

For licensing inquiries, please contact partnerships@abcam.com