JavaScript is disabled in your browser. Please enable JavaScript to view this website.
AB109183

Anti-Oct4 抗体 [EPR2054]

Anti-Oct4 antibody [EPR2054]

  • RabMAb
  • Advanced Validation
  • Recombinant
  • 20ul selling size
  • 了解详情

5

(2 Reviews)

|

(54 Publications)

Anti-Oct4 antibody [EPR2054] (ab109183) is a rabbit monoclonal antibody detecting Oct4 in Western Blot, IP, IHC-P. Suitable for Human.

- Biophysical QC for unrivalled batch-batch consistency
- Over 40 publications

查看别名

OCT3, OCT4, OTF3, POU5F1, Octamer-binding protein 3, Octamer-binding protein 4, Octamer-binding transcription factor 3, Oct-3, Oct-4, OTF-3

14 Images
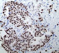
Immunohistochemistry (Formalin/PFA-fixed paraffin-embedded sections) - Anti-Oct4 antibody [EPR2054] (AB109183)
  • IHC-P

Unknown

Immunohistochemistry (Formalin/PFA-fixed paraffin-embedded sections) - Anti-Oct4 antibody [EPR2054] (AB109183)

Unpurified ab109183 showing positive staining in Embryonal carcinoma tissue.

Perform heat mediated antigen retrieval with citrate buffer pH 6 before commencing with IHC staining protocol.

Immunohistochemistry (Formalin/PFA-fixed paraffin-embedded sections) - Anti-Oct4 antibody [EPR2054] (AB109183)
  • IHC-P

Unknown

Immunohistochemistry (Formalin/PFA-fixed paraffin-embedded sections) - Anti-Oct4 antibody [EPR2054] (AB109183)

Unpurified ab109183 showing positive staining in Fetal brain tissue.

Perform heat mediated antigen retrieval with citrate buffer pH 6 before commencing with IHC staining protocol.

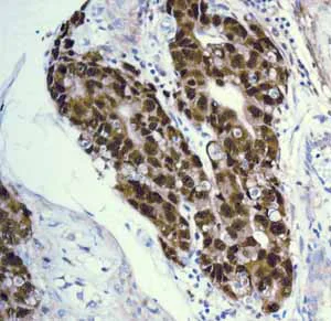
Immunohistochemistry (Formalin/PFA-fixed paraffin-embedded sections) - Anti-Oct4 antibody [EPR2054] (AB109183)
  • IHC-P

Unknown

Immunohistochemistry (Formalin/PFA-fixed paraffin-embedded sections) - Anti-Oct4 antibody [EPR2054] (AB109183)

Unpurified ab109183 showing positive staining in Seminoma tissue.

Perform heat mediated antigen retrieval with citrate buffer pH 6 before commencing with IHC staining protocol.

Immunohistochemistry (Formalin/PFA-fixed paraffin-embedded sections) - Anti-Oct4 antibody [EPR2054] (AB109183)
  • IHC-P

Unknown

Immunohistochemistry (Formalin/PFA-fixed paraffin-embedded sections) - Anti-Oct4 antibody [EPR2054] (AB109183)

Unpurified ab109183, at 1 : 500 dilution, staining Oct4 in paraffin-embedded Human ovarian dysgerminoma by Immunohistochemistry.

Perform heat mediated antigen retrieval with citrate buffer pH 6 before commencing with IHC staining protocol.

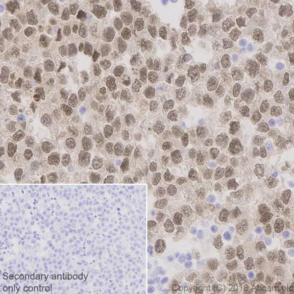
Immunohistochemistry (Formalin/PFA-fixed paraffin-embedded sections) - Anti-Oct4 antibody [EPR2054] (AB109183)
  • IHC-P

Unknown

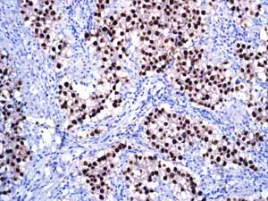
Immunohistochemistry (Formalin/PFA-fixed paraffin-embedded sections) - Anti-Oct4 antibody [EPR2054] (AB109183)

Immunohistochemistry (Formalin/PFA-fixed paraffin-embedded sections) analysis of Human seminoma tissue sections labeling Oct4 - with Purified ab109183 at 1 : 600 dilution (1 µg/ml). Heat mediated antigen retrieval was performed using ab93684 (Tris/EDTA buffer, pH 9.0)ImmunoHistoProbe one step HRP Polymer (ready to use)was used as the secondary antibody.Negative control : PBS instead of the primary antibody.Hematoxylinwas used as a counterstain

Immunohistochemistry (Formalin/PFA-fixed paraffin-embedded sections) - Anti-Oct4 antibody [EPR2054] (AB109183)
  • IHC-P

Unknown

Immunohistochemistry (Formalin/PFA-fixed paraffin-embedded sections) - Anti-Oct4 antibody [EPR2054] (AB109183)

Unpurified ab109183 showing negative staining in Hepatocellular carcinoma tissue.

Perform heat mediated antigen retrieval with citrate buffer pH 6 before commencing with IHC staining protocol.

Immunoprecipitation - Anti-Oct4 antibody [EPR2054] (AB109183)
  • IP

Lab

Immunoprecipitation - Anti-Oct4 antibody [EPR2054] (AB109183)

Unpurified ab109183 at 1/50 immunoprecipitating Oct4 in NCCIT (human pluripotent embryonal carcinoma) whole cell lysate observed at 39 KDa (lanes 1 and 2).

Lane 1 (input) : NCCIT whole cell lysate, 10μg

Lane 2 (+) : ab109183 + NCCIT whole cell lysate

Lane 3 (-) : Rabbit monoclonal IgG (ab172730) instead of ab109183 in NCCIT whole cell lysate

For western blotting, ab109183 at 1/1000 dilution and VeriBlot for IP Detection Reagent (HRP) (ab131366), was used for detection at 1/10,000 dilution.

Blocking buffer and concentration : 5% NFDM/TBST.
Diluting buffer and concentration : 5% NFDM /TBST.

All lanes:

Immunoprecipitation - Anti-Oct4 antibody [EPR2054] (ab109183)

Predicted band size: 38 kDa,48 kDa

false

Exposure time: 30s

Western blot - Anti-Oct4 antibody [EPR2054] (AB109183)
  • WB

Unknown

Western blot - Anti-Oct4 antibody [EPR2054] (AB109183)

Blocking and diluting buffer : 5% NFDM/TBST.

All lanes:

Western blot - Anti-Oct4 antibody [EPR2054] (ab109183) at 0.06 µg/mL

All lanes:

NCCIT (Human pluripotent embryonic carcinoma epithelial cell) whole cell lysates at 15 µg

Secondary

All lanes:

Western blot - Goat Anti-Rabbit IgG H&L (HRP) (<a href='/products/secondary-antibodies/goat-rabbit-igg-h-l-hrp-ab97051'>ab97051</a>) at 1/20000 dilution

Predicted band size: 38 kDa

false

ChIC/CUT&RUN sequencing - Anti-Oct4 antibody [EPR2054] (AB109183)
  • ChIC/CUT&RUN-seq

Supplier Data

ChIC/CUT&RUN sequencing - Anti-Oct4 antibody [EPR2054] (AB109183)

ChIC/CUT&RUN was performed using a pAG-MNAse at a final concentration of 700 ng/mL, 2 x 10^5 NCCIT (Human pluripotent embryonic carcinoma cell line) cells and 5 µg of ab109183 [EPR2054]. The resulting DNA was sequenced on the Illumina NovaSeq 6000 to a depth of 10 million reads. The negative IgG control ab172730 is also shown. Additional screenshots of mapped reads can be found in the Protocol booklet in the Product Protocol section. The University of Geneva owns patents relevant to ChIC (Chromatin Immuno-Cleavage) methods.

Immunohistochemistry (Formalin/PFA-fixed paraffin-embedded sections) - Anti-Oct4 antibody [EPR2054] (AB109183)
  • IHC-P

Unknown

Immunohistochemistry (Formalin/PFA-fixed paraffin-embedded sections) - Anti-Oct4 antibody [EPR2054] (AB109183)

Unpurified ab109183 showing negative staining in Colonic adenocarcinoma tissue.

Perform heat mediated antigen retrieval with citrate buffer pH 6 before commencing with IHC staining protocol.

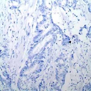
Immunohistochemistry (Formalin/PFA-fixed paraffin-embedded sections) - Anti-Oct4 antibody [EPR2054] (AB109183)
  • IHC-P

Unknown

Immunohistochemistry (Formalin/PFA-fixed paraffin-embedded sections) - Anti-Oct4 antibody [EPR2054] (AB109183)

Unpurified ab109183 showing negative staining in Skeletal muscle tissue.

Perform heat mediated antigen retrieval with citrate buffer pH 6 before commencing with IHC staining protocol.

Immunohistochemistry (Formalin/PFA-fixed paraffin-embedded sections) - Anti-Oct4 antibody [EPR2054] (AB109183)
  • IHC-P

Unknown

Immunohistochemistry (Formalin/PFA-fixed paraffin-embedded sections) - Anti-Oct4 antibody [EPR2054] (AB109183)

Unpurified ab109183 showing negative staining in Normal brain tissue.

Perform heat mediated antigen retrieval with citrate buffer pH 6 before commencing with IHC staining protocol.

Immunohistochemistry (Formalin/PFA-fixed paraffin-embedded sections) - Anti-Oct4 antibody [EPR2054] (AB109183)
  • IHC-P

Unknown

Immunohistochemistry (Formalin/PFA-fixed paraffin-embedded sections) - Anti-Oct4 antibody [EPR2054] (AB109183)

Unpurified ab109183 showing negative staining in Normal liver tissue.

Perform heat mediated antigen retrieval with citrate buffer pH 6 before commencing with IHC staining protocol.

OI-RD Scanning - Anti-Oct4 antibody [EPR2054] (AB109183)
  • OI-RD Scanning

Unknown

OI-RD Scanning - Anti-Oct4 antibody [EPR2054] (AB109183)

We have systematically measured KD (the equilibrium dissociation constant between the antibody and its antigen), of more than 840 recombinant antibodies to assess not only their individual KD values but also to see the average affinity of antibody. Based on the comparison with published literature values for mouse monoclonal antibodies, Recombinant antibodies appear to be on average 1-2 order of magnitude higher affinity.

不同偶联物与剂型 (2)

  • HRP

    HRP Anti-Oct4 antibody [EPR2054]

  • Carrier free

    Anti-Oct4 antibody [EPR2054] - BSA and Azide free

关键信息

宿主种属

Rabbit

克隆

Monoclonal

克隆号

EPR2054

亚型

IgG

不含载体蛋白

No

反应种属

Human

应用

IP, WB, ChIC/CUT&RUN-seq, IHC-P

applications

免疫原

The exact immunogen used to generate this antibody is proprietary information.

反应性数据

{ "title": "Reactivity Data", "filters": { "stats": ["", "Species", "Dilution Info", "Notes"], "tabs": { "all-applications": {"fullname" : "All Applications", "shortname": "All Applications"}, "ChICCUTRUNseq" : {"fullname" : "ChIC/CUT&RUN sequencing", "shortname":"ChIC/CUT&RUN-seq"}, "IHCP" : {"fullname" : "Immunohistochemistry (Formalin/PFA-fixed paraffin-embedded sections)", "shortname":"IHC-P"}, "ICCIF" : {"fullname" : "Immunocytochemistry/ Immunofluorescence", "shortname":"ICC/IF"}, "IP" : {"fullname" : "Immunoprecipitation", "shortname":"IP"}, "WB" : {"fullname" : "Western blot", "shortname":"WB"} }, "product-promise": { "all": "all", "testedAndGuaranteed": "tested", "guaranteed": "expected", "predicted": "predicted", "notRecommended": "not-recommended" } }, "values": { "Human": { "ChICCUTRUNseq-species-checked": "testedAndGuaranteed", "ChICCUTRUNseq-species-dilution-info": "5 µg", "ChICCUTRUNseq-species-notes": "<p></p>", "IHCP-species-checked": "testedAndGuaranteed", "IHCP-species-dilution-info": "1/500 - 1/1000", "IHCP-species-notes": "<p></p> Perform heat-mediated antigen retrieval with citrate buffer pH 6 before commencing with IHC staining protocol.", "ICCIF-species-checked": "notRecommended", "ICCIF-species-dilution-info": "", "ICCIF-species-notes": "<p></p>", "IP-species-checked": "testedAndGuaranteed", "IP-species-dilution-info": "1/10 - 1/100", "IP-species-notes": "<p></p>", "WB-species-checked": "testedAndGuaranteed", "WB-species-dilution-info": "1/1000 - 1/10000", "WB-species-notes": "<p></p>" } } }

产品详情

What is this antibody validated in?
Anti-Oct4 antibody [EPR2054] (ab109183) is a rabbit recombinant monoclonal antibody and is validated for use in Western Blot (WB), Immunoprecipitation (IP), Immunohistochemistry (IHC-P) in Human samples.

What is the molecular weight of Oct4?
Anti-Oct4 [EPR2054] (ab109183) specifically detects a band for Oct4 (UniProt: Q01860) at a molecular weight of 39kDa.

Trusted by the scientific community
Anti-Oct4 [EPR2054] (ab109183) was first used in a scientific publication in 2011 and has been cited over 40 times in peer-reviewed journals.

Trial sizes available!
Test your antibody or perform pre-screening before committing to a larger quantity. Sold in 10µl. Discover our selection of trial-size antibodies.

Other related products
We have a range of other formats of antibody clone [EPR2054] also available for your convenience: ab109183, HRP - ab194076, Carrier free - ab222233

Species reactivity
Mouse, Rat: We have preliminary internal testing data to indicate this antibody may not react with these species.
Please contact us for more information.

Patented technology
Our RabMAb® technology is a patented hybridoma-based technology for making rabbit monoclonal antibodies. For details on our patents, please refer to RabMAb® patents.

What are the advantages of a recombinant monoclonal antibody?
This product is a recombinant monoclonal antibody, which offers several advantages including:

  • - High batch-to-batch consistency and reproducibility
  • - Improved sensitivity and specificity
  • - Long-term security of supply
  • - Animal-free batch production

For more information, read more on recombinant antibodies.

性能和储存信息

形式
Liquid
纯化工艺
Affinity purification Protein A
存储溶液
pH: 7.2 - 7.4 Preservative: 0.01% Sodium azide Constituents: PBS, 40% Glycerol (glycerin, glycerine), 0.05% BSA
运输条件
Conditional Ambient
推荐的短期储存时间
1-2 weeks
推荐的短期储存条件
+4°C
推荐的长期储存条件
-20°C
分装信息
Upon delivery aliquot
储存信息
Avoid freeze / thaw cycle

补充信息

This supplementary information is collated from multiple sources and compiled automatically.

Oct4 also known as POU5F1 Oct 4 protein and hecho en Oct 4 is a transcription factor important for maintaining pluripotency in stem cells. Oct4 protein has a molecular weight of approximately 40-45 kDa. Stem and germ cells express Oct4 where it regulates gene expression essential for cell differentiation and self-renewal. In immunohistochemistry (IHC) studies scientists often use Oct4 staining to identify stem cell presence and behavior.
Biological function summary

Oct4 acts in concert with other pluripotency factors like SOX2 and NANOG to form a regulatory network essential for maintaining stem cell identity. As part of this network the Oct4 transcription factor orchestrates the expression of genes that prevent differentiation and maintain the stem cell's undifferentiated state. The protein directly activates the transcription of target genes involved in maintaining the pluripotent state.

Pathways

Oct4 plays an important role in the maintenance of pluripotency and self-renewal in the embryonic stem cell (ESC) and induced pluripotent stem cell (iPSC) pathways. Oct4 partners with proteins such as SOX2 and KLF4 in these pathways to activate and repress a common set of downstream genes which control differentiation and proliferation. Oct4 ensures the blocking of differentiation signals while promoting self-renewal in pluripotent cells.

Aberrant Oct4 expression often links to oncogenesis and tumor progression particularly in testicular germ cell tumors and certain types of cancers. Oct4 overexpression may interact with c-MYC a protein linked to cancer cell proliferation advancing tumorigenesis. Additionally researchers investigate Oct4 as a diagnostic marker for cancer and its potential as a therapeutic target to inhibit cancer cell growth.

产品实验方案

For this product, it's our understanding that no specific protocols are required. You can visit:

靶点信息

The protein expressed by the gene POU5F1 is a transcription factor that binds to the octamer motif (5'-ATTTGCAT-3') and forms a trimeric complex with SOX2 or SOX15 on DNA. It controls the expression of several genes involved in embryonic development, including YES1, FGF4, UTF1, and ZFP206. This protein is critical for early embryogenesis and for maintaining embryonic stem cell pluripotency. This supplementary information is collated from multiple sources and compiled automatically.
See full target information POU5F1

文献 (54)

Recent publications for all applications. Explore the full list and refine your search

Discover oncology 16:1058 PubMed40500564

2025

IGF1/IGF1R signaling promotes the expansion of liver CSCs and serves as a potential therapeutic target in HCC.

Applications

Unspecified application

Species

Unspecified reactive species

Qiuju Tian,Qun Zhang,Bin Wang,Yanzhi Qian,Fengchao Liu

Scientific reports 15:9656 PubMed40113869

2025

PNO1 enhances ovarian cancer cell growth, invasion, and stemness via activating the AKT/Wnt/β-catenin pathway.

Applications

Unspecified application

Species

Unspecified reactive species

Lu Qin,Jiao Lu,Qiaohong Qian,Minjie Tang,Min Liu

Histology and histopathology 40:343-356 PubMed38953488

2024

EFNA4 deletion suppresses the migration, invasion, stemness, and angiogenesis of gastric cancer cells through the inactivation of Pygo2/Wnt signaling.

Applications

Unspecified application

Species

Unspecified reactive species

Xian Wang,Tiran Zhang,Rong Yu

Frontiers in oncology 13:1258863 PubMed37746252

2023

CEA-delta could be a biomarker of tumor phenotype, clinical stage, and chemotherapeutic response in rectal cancer with OCT4-positive cancer stem cells.

Applications

Unspecified application

Species

Unspecified reactive species

Ivan David Lozada-Martinez,Maria Paz Bolaño-Romero,Lina Lambis-Anaya,Yamil Liscano,Amileth Suarez-Causado

Cancers 15: PubMed37509401

2023

High OCT4 Expression Might Be Associated with an Aggressive Phenotype in Rectal Cancer.

Applications

Unspecified application

Species

Unspecified reactive species

Lina Lambis-Anaya,Mashiel Fernández-Ruiz,Yamil Liscano,Amileth Suarez-Causado

Heliyon 9:e17120 PubMed37360090

2023

Circular RNA circBNC2 facilitates glycolysis and stemness of hepatocellular carcinoma through the miR-217/high mobility group AT-hook 2 (HMGA2) axis.

Applications

Unspecified application

Species

Unspecified reactive species

Yan Feng,Shufeng Xia,Junlan Hui,Yan Xu

Nature 619:378-384 PubMed37225990

2023

Histone modifications regulate pioneer transcription factor cooperativity.

Applications

Unspecified application

Species

Unspecified reactive species

Kalyan K Sinha,Silvija Bilokapic,Yongming Du,Deepshikha Malik,Mario Halic

Pharmaceutics 15: PubMed36678740

2022

Targeting EGFR and Monitoring Tumorigenesis of Human Lung Cancer Cells In Vitro and In Vivo Using Nanodiamond-Conjugated Specific EGFR Antibody.

Applications

Unspecified application

Species

Unspecified reactive species

Yu-Wei Lin,Hung-Cheng Su,Emmanuel Naveen Raj,Kuang-Kai Liu,Chien-Jen Chang,Tzu-Chia Hsu,Po-Yun Cheng,Rou-Hsin Wang,Yen-Her Lai,Chien-Hung Chen,Yen-Cheng Lin,Jui-I Chao

Developmental cell 57:2257-2272.e5 PubMed36182685

2022

Pluripotency factors are repurposed to shape the epigenomic landscape of neural crest cells.

Applications

Unspecified application

Species

Unspecified reactive species

Austin S Hovland,Debadrita Bhattacharya,Ana Paula Azambuja,Dimitrius Pramio,Jacqueline Copeland,Megan Rothstein,Marcos Simoes-Costa

Journal of cancer prevention 27:112-121 PubMed35864853

2022

Formoxanthone C Inhibits Malignant Tumor Phenotypes of Human A549 Multidrug Resistant-cancer Cells through Signal Transducer and Activator of Transcription 1-Histone Deacetylase 4 Signaling.

Applications

Unspecified application

Species

Unspecified reactive species

Chutima Kaewpiboon,Nawong Boonnak,Sirichat Kaowinn,Natpaphan Yawut,Young-Hwa Chung
View all publications
chicCutRunSequencingBooklet
en

Abcam Product Promise

我们致力于为您的研究提供高质量的试剂,为您科研的每一步提供支持。若我们的产品未能达到预期性能,我们向您提供 Abcam Product Promise 保障。
详情请参阅我们的条款与条件。

Please note: All products are 'FOR RESEARCH USE ONLY. NOT FOR USE IN DIAGNOSTIC OR THERAPEUTIC PROCEDURES'.

For licensing inquiries, please contact partnerships@abcam.com