JavaScript is disabled in your browser. Please enable JavaScript to view this website.
AB181557

Anti-Oct4 抗体 [EPR17929] - ChIP Grade

Anti-Oct4 antibody [EPR17929] - ChIP Grade

5

(20 Reviews)

|

(202 Publications)

Anti-Oct4 antibody [EPR17929] - ChIP Grade (ab181557) is a rabbit monoclonal antibody detecting Oct4 in Western Blot, Flow Cytometry (Intra), Flow Cytometry, IP, IHC-P, ICC/IF, ChIP. Suitable for Human, Mouse.

- Biophysical QC for unrivalled batch-batch consistency
- Over 130 publications

查看别名

OCT3, OCT4, OTF3, POU5F1, Octamer-binding protein 3, Octamer-binding protein 4, Octamer-binding transcription factor 3, Oct-3, Oct-4, OTF-3

15 Images
Immunocytochemistry/ Immunofluorescence - Anti-Oct4 antibody [EPR17929] - ChIP Grade (AB181557)
  • ICC/IF

Supplier Data

Immunocytochemistry/ Immunofluorescence - Anti-Oct4 antibody [EPR17929] - ChIP Grade (AB181557)

Immunofluorescent analysis of 4% paraformaldehyde-fixed 0.1% Triton X-100 permeabilized NCCIT (Human pluripotent embryonic carcinoma) cells (positive cell line) or NIH/3T3 (Mouse embyro fibroblast) cells (negative cell line) labeling Oct4 with ab181557 at 1/250 dilution followed by Goat anti-rabbit IgG (Alexa Fluor® 488) (ab150077) secondary antibody at 1/400 dilution (green). Confocal image showing nuclear and weakly cytoplasmic staining on NCCIT cell line. Negative expression in NIH/3T3 cell line. The nuclear counter stain is DAPI (blue). Tubulin is detected with ab7291 (anti-Tubulin mouse mAb) at 1/500 dilution and ab150120 (AlexaFluor®594 Goat anti-Mouse secondary) at 1/500 dilution (red).
The negative controls are as follows :
-ve control 1 : ab181557 at 1/250 dilution followed by ab150120 (AlexaFluor®594 Goat anti-Mouse secondary) at 1/500 dilution.
-ve control 2 : ab7291 (anti-Tubulin mouse mAb) at 1/1000 dilution followed by ab150077 (Alexa Fluor®488 Goat Anti-Rabbit IgG H&L) at 1/400 dilution.

Immunohistochemistry (Formalin/PFA-fixed paraffin-embedded sections) - Anti-Oct4 antibody [EPR17929] - ChIP Grade (AB181557)
  • IHC-P

Lab

Immunohistochemistry (Formalin/PFA-fixed paraffin-embedded sections) - Anti-Oct4 antibody [EPR17929] - ChIP Grade (AB181557)

Immunohistochemical analysis of formalin fixed paraffin embedded human seminoma labelling Oct4 with ab181557 at a concentration of 1µg/ml. The immunostaining was performed on a Ventana DISCOVERY ULTRA (Roche Tissue Diagnostics) instrument with a ChromoMap DAB kit and anti-rabbit HQ and anti-HQ HRP detection. Heat mediated antigen retrieval was performed with DISCOVERY cell conditioning solution (CC1) 100°C, pH8.5 for 32mins. ab181557 Anti-Oct4 antibody [EPR17929] was incubated for 16mins at 37°C. Sections were counterstained with Hematoxylin II. Image inset shows absence of staining in secondary antibody only control.

Customers are encouraged to optimise antigen retrieval conditions, antibody concentration, incubation times and temperature for best results in their own IHC assay workflow (automated and manual)

Flow Cytometry (Intracellular) - Anti-Oct4 antibody [EPR17929] - ChIP Grade (AB181557)
  • Flow Cyt (Intra)

Lab

Flow Cytometry (Intracellular) - Anti-Oct4 antibody [EPR17929] - ChIP Grade (AB181557)

Flow cytometry overlay histogram showing left NCCIT positive cells and right negative HeLa stained with ab181557 (red line). The cells were fixed with 4% formaldehyde (10 min) and then permeabilised with 0.1% PBS-Triton X-100 for 15 min. The cells were then incubated in 1x PBS containing 10% normal goat serum to block non-specific protein-protein interaction followed by the antibody (ab181557) (1x 106 in 100μl at 0.2μg/ml (1/10300)) for 30min at 22°C.

The secondary antibody Goat Anti-Rabbit IgG H&L (Alexa Fluor® 488) preadsorbed was incubated at 1/4000 for 30min at 22°C

Isotype control antibody (black line) was Recombinant Rabbit IgG, monoclonal [EPR25A] - Isotype Control used at the same concentration and conditions as the primary antibody. Unlabelled sample (blue line) was also used as a control.

Acquisition of >5000 events were collected using a 50 mW Blue laser (488nm) and 525/40 bandpass filter.

This antibody gave a positive signal in NCCIT Fixed with 80% methanol (5 min) / permeabilised with 0.1% PBS-Triton X-100 for 15 min under the same conditions.

Immunohistochemistry (Formalin/PFA-fixed paraffin-embedded sections) - Anti-Oct4 antibody [EPR17929] - ChIP Grade (AB181557)
  • IHC-P

Supplier Data

Immunohistochemistry (Formalin/PFA-fixed paraffin-embedded sections) - Anti-Oct4 antibody [EPR17929] - ChIP Grade (AB181557)

Immunohistochemical analysis of paraffin-embedded Human breast cancer tissue labeling Oct4 with ab181557 at 1/1000 dilution, followed by Goat Anti-Rabbit IgG H&L (HRP) (ab97051) secondary antibody at 1/500 dilution. Negative staining on Human breast cancer. Counter stained with Hematoxylin.

Negative control : Used PBS instead of primary antibody, secondary antibody is Goat Anti-Rabbit IgG H&L (HRP) (ab97051) at 1/500 dilution.

Perform heat mediated antigen retrieval with citrate buffer pH 6 before commencing with IHC staining protocol.

Flow Cytometry (Intracellular) - Anti-Oct4 antibody [EPR17929] - ChIP Grade (AB181557)
  • Flow Cyt (Intra)

Unknown

Flow Cytometry (Intracellular) - Anti-Oct4 antibody [EPR17929] - ChIP Grade (AB181557)

ab181557 staining OCT-4in the human cell line NCCIT (human pluripotent embryonal carcinoma) by intracellular flow cytometry. Cells were fixed with 4% paraformaldehyde and the sample was incubated with the primary antibody at a dilution of 1/70. A goat anti rabbit IgG (Alexa Fluor® 488) at a dilution of 1/2000 was used as the secondary antibody (Red).

Isotype control : Rabbit IgG monoclonal [EPR25A] ab172730 (Black).

Unlabelled control : Cell without incubation with primary antibody and secondary antibody (Blue).

Immunohistochemistry (Formalin/PFA-fixed paraffin-embedded sections) - Anti-Oct4 antibody [EPR17929] - ChIP Grade (AB181557)
  • IHC-P

Supplier Data

Immunohistochemistry (Formalin/PFA-fixed paraffin-embedded sections) - Anti-Oct4 antibody [EPR17929] - ChIP Grade (AB181557)

Immunohistochemical analysis of paraffin-embedded Human dysgerminoma of ovary tissue labeling Oct4 with ab181557 at 1/1000 dilution, followed by Goat Anti-Rabbit IgG H&L (HRP) (ab97051) secondary antibody at 1/500 dilution. Nuclear and weak cytoplasmic staining on cancer cells of Human dysgerminoma of ovary is observed. Counter stained with Hematoxylin.

Negative control : Used PBS instead of primary antibody, secondary antibody is Goat Anti-Rabbit IgG H&L (HRP) (ab97051) at 1/500 dilution.

Perform heat mediated antigen retrieval with citrate buffer pH 6 before commencing with IHC staining protocol.

Immunocytochemistry/ Immunofluorescence - Anti-Oct4 antibody [EPR17929] - ChIP Grade (AB181557)
  • ICC/IF

AbReview61141****

Immunocytochemistry/ Immunofluorescence - Anti-Oct4 antibody [EPR17929] - ChIP Grade (AB181557)

ab181557 staining Oct4 in Human embryonic stem cells by ICC/IF (Immunocytochemistry/Immunofluorescence). Cells were fixed with formaldehyde , permeabilized with 0.1% Triton in PBS for 1 hour and blocked with 10% Serum for 1 hour at 25°C. Samples were incubated with primary antibody (1/200 in PBS with 0.1% Tween20) for 16 hours at 4°C. A monoclonal Goat Anti-rabbit Alexa Fluor® 594 was used as the secondary antibody at 1/200 dilution.

This image is courtesy of an Abreview submitted by Joanne Lacey.

Immunohistochemistry (Formalin/PFA-fixed paraffin-embedded sections) - Anti-Oct4 antibody [EPR17929] - ChIP Grade (AB181557)
  • IHC-P

Lab

Immunohistochemistry (Formalin/PFA-fixed paraffin-embedded sections) - Anti-Oct4 antibody [EPR17929] - ChIP Grade (AB181557)

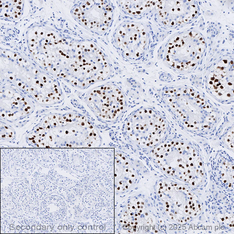
Immunohistochemical analysis of formalin fixed paraffin embedded human testis labelling Oct4 with ab181557 at a concentration of 1µg/ml. The immunostaining was performed on a Ventana DISCOVERY ULTRA (Roche Tissue Diagnostics) instrument with a ChromoMap DAB kit and anti-rabbit HQ and anti-HQ HRP detection. Heat mediated antigen retrieval was performed with DISCOVERY cell conditioning solution (CC1) 100°C, pH8.5 for 32mins. ab181557 Anti-Oct4 antibody [EPR17929] was incubated for 16mins at 37°C. Sections were counterstained with Hematoxylin II. Image inset shows absence of staining in secondary antibody only control.

Customers are encouraged to optimise antigen retrieval conditions, antibody concentration, incubation times and temperature for best results in their own IHC assay workflow (automated and manual)

Immunohistochemistry (Formalin/PFA-fixed paraffin-embedded sections) - Anti-Oct4 antibody [EPR17929] - ChIP Grade (AB181557)
  • IHC-P

Supplier Data

Immunohistochemistry (Formalin/PFA-fixed paraffin-embedded sections) - Anti-Oct4 antibody [EPR17929] - ChIP Grade (AB181557)

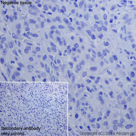
Immunohistochemical analysis of paraffin-embedded Human testis tissue labeling Oct4 with ab181557 at 1/1000 dilution followed by Goat Anti-Rabbit IgG H&L (HRP) (ab97051) secondary antibody at 1/500 dilution. Negative staining on adult Human testis. Counter stained with Hematoxylin.

Negative control : Used PBS instead of primary antibody secondary antibody is Goat Anti-Rabbit IgG H&L (HRP) (ab97051) at 1/500 dilution.

Perform heat mediated antigen retrieval with citrate buffer pH 6 before commencing with IHC staining protocol.

Immunoprecipitation - Anti-Oct4 antibody [EPR17929] - ChIP Grade (AB181557)
  • IP

Supplier Data

Immunoprecipitation - Anti-Oct4 antibody [EPR17929] - ChIP Grade (AB181557)

Oct4 was immunoprecipitated from 1mg of NCCIT (Human pluripotent embryonic carcinoma) whole cell extract with ab181557 at 1/50 dilution. Western blot was performed from the immunoprecipitate using ab181557 at 1/10000 dilution. Anti-Rabbit IgG (HRP), specific to the non-reduced form of IgG, was used as secondary antibody at 1/1500 dilution.

Lane 1 : NCCIT whole cell extract 10 μg (Input). Lane 2 : ab181557 IP in NCCIT whole cell extract. Lane 3 : Rabbit monoclonal IgG (ab172730) instead of ab181557 in NCCIT whole cell extract.
Blocking and dilution buffer and concentration : 5% NFDM/TBST.

Exposure time : 3 minutes

All lanes:

Immunoprecipitation - Anti-Oct4 antibody [EPR17929] - ChIP Grade (ab181557)

Predicted band size: 38 kDa

Observed band size: 45 kDa

false

ChIP-sequencing - Anti-Oct4 antibody [EPR17929] - ChIP Grade (AB181557)
  • ChIP-seq

Supplier Data

ChIP-sequencing - Anti-Oct4 antibody [EPR17929] - ChIP Grade (AB181557)

Chromatin was prepared from NCCIT (Human pluripotent embryonic carcinoma cell line) cells. ChIP was performed with 10^7 NCCIT cells and 8 µg of ab181557 [EPR17929]. ChIP DNA was sequenced on the Illumina NovaSeq 6000 to a depth of 30 million reads.

ChIP - Anti-Oct4 antibody [EPR17929] - ChIP Grade (AB181557)
  • ChIP

Unknown

ChIP - Anti-Oct4 antibody [EPR17929] - ChIP Grade (AB181557)

Chromatin was prepared from F9 (Mouse embyro testicular cancer cell line) cells according to the Abcam X-ChIP protocol. Cells were fixed with formaldehyde for 10 minutes. The ChIP was performed with 25μg of chromatin 5μg of ab181557 (red and 20μl of Anti rabbit IgG sepharose beads. 5μg of rabbit normal IgG was added to the beads control (grey). The immunoprecipitated DNA was quantified by real time PCR (Sybr green approach).

"pro" stands for promoter region while "NC2" stands for negative control which is negative loci at the promoter region.

Western blot - Anti-Oct4 antibody [EPR17929] - ChIP Grade (AB181557)
  • WB

Supplier Data

Western blot - Anti-Oct4 antibody [EPR17929] - ChIP Grade (AB181557)

Blocking/Dilution buffer : 5% NFDM/TBST.

Low levels of expression in adult tissues

All lanes:

Western blot - Anti-Oct4 antibody [EPR17929] - ChIP Grade (ab181557) at 1/1000 dilution

Lane 1:

NCCIT (Human pluripotent embryonic carcinoma) whole cell lysate at 10 µg

Lane 2:

F9 (Mouse embyro testicular cancer cell line) whole cell lysate at 10 µg

Lane 3:

NTERA-2 cl.D1 (Human malignant pluripotent embryonic carcinoma) whole cell lysate at 10 µg

Lane 4:

Mouse testis lysate at 10 µg

Lane 5:

Human hippocampus lysate at 10 µg

Lane 6:

Human cerebellum lysate at 10 µg

Lane 7:

Human testis lysate at 10 µg

Lane 8:

NIH/3T3 (Mouse embyro fibroblast cells) whole cell lysate at 10 µg

Secondary

All lanes:

Goat Anti-Rabbit IgG, (H+L),Peroxidase conjugated at 1/1000 dilution

Predicted band size: 38 kDa

Observed band size: 45 kDa

false

Exposure time: 5s

Western blot - Anti-Oct4 antibody [EPR17929] - ChIP Grade (AB181557)
  • WB

Lab

Western blot - Anti-Oct4 antibody [EPR17929] - ChIP Grade (AB181557)

Blocking and diluting buffer : 5% NFDM/TBST

Oct4 is highly expressed in undifferentiated embryonic stem cells and cancer stem cell-like cells (PMID : 26013162, 21826175). ab181557 can't detect the target band in undifferentiated cancer cell lines with low expression level of Oct4, such as HeLa, HEK-293, MDA-MB-231, HepG2, Huh7, HCT-116 and PANC-1 (PMID : 21975933, 29789579, 25625591, 26059097, 23928699, 27344963, 25837691, 29254202, 28854261, 27996162), even at the dilution of 1 : 200.

All lanes:

Western blot - Anti-Oct4 antibody [EPR17929] - ChIP Grade (ab181557) at 1/2000 dilution

Lane 1:

NCCIT (Human pluripotent embryonic carcinoma epithelial cell) whole cell lysates at 20 µg

Lane 2:

HeLa (Human cervix adenocarcinoma epithelial cell) whole cell lysates at 20 µg

Lane 3:

HEK-293 (Human embryonic kidney epithelial cell) whole cell lysates at 20 µg

Lane 4:

MDA-MB-231 (Human breast adenocarcinoma epithelial cell) whole cell lysates at 20 µg

Lane 5:

HepG2 (Human hepatocellular carcinoma epithelial cell) whole cell lysates at 20 µg

Lane 6:

Huh7 (Human hepatocellular carcinoma epithelial cell) whole cell lysates at 20 µg

Lane 7:

HCT 116 (Human colorectal carcinoma epithelial cell) whole cell lysates at 20 µg

Lane 8:

PANC-1 (Human pancreatic epithelioid carcinoma epithelial cell) whole cell lysates at 20 µg

Secondary

All lanes:

Western blot - Goat Anti-Rabbit IgG H&L (HRP) (<a href='/products/secondary-antibodies/goat-rabbit-igg-h-l-hrp-ab97051'>ab97051</a>) at 1/20000 dilution

Predicted band size: 38 kDa

Observed band size: 45 kDa

false

Exposure time: 3s

Western blot - Anti-Oct4 antibody [EPR17929] - ChIP Grade (AB181557)
  • WB

CiteAb

Western blot - Anti-Oct4 antibody [EPR17929] - ChIP Grade (AB181557)

Oct4 western blot using anti-Oct4 antibody [EPR17929] - ChIP Grade ab181557. Publication image and figure legend from Kim, H. S., Yoon, J. W., et al., 2017, Sci Rep, PubMed 29062050.

ab181557 was used in this publication in western blot. This may not be the same as the application(s) guaranteed by Abcam. For a full list of applications guaranteed by Abcam for ab181557 please see the product overview.

Characterization of cardiomyocytes differentiated from H9 hESCs. (a) Bright field images of H9 cells at day 0 (left panel) and differentiating cells at day 30 (right panel). Scale bar = 100 μm (b) Differentiated cardiomyocytes (hESC-CMs) at day 30 were subjected to immunofluorescent staining with antibodies against α-SA (red), cTnT (green), or MLC2a (yellow). Nuclei were stained with DAPI, and the merged images are shown. Scale bar = 20 μm. (c) Protein expression in undifferentiated H9 cells, hESC-CMs, and adult human left ventricular tissue (adult hLV) was assessed by Western blot analysis with antibodies against pluripotency markers (OCT4 and NANOG) and cardiomyocyte markers (α-SA, cTnT, MLC2a, MLC2v, SERCA2a and Cx43). (d) The mRNA levels of α-MHC and β-MHC in hESC-CMs and adult hLV were accessed by quantitative RT-PCR and the ratio of β-MHC/α-MHC mRNA levels was determined (n = 3). *P < 0.05. (e) Gene expression in hESC-CMs at day 30 and hESCs was accessed by quantitative RT-PCR with cardiomyocyte markers (GATA4, GATA6, and cTnT) and pluripotency markers (OCT4 and NANOG) n = 3. *P < 0.05. (f) Flow cytometry analysis of hESC-CMs at day 30 with antibodies against cardiomyocyte markers (cTnT, MLC2a, and α-SA) and pluripotency markers (TRA-1-60 and SSEA3) is shown.

false

不同偶联物与剂型 (6)

  • 519 Alexa Fluor® 488

    Alexa Fluor® 488 Anti-Oct4 antibody [EPR17929]

  • 578 PE

    PE Anti-Oct4 antibody [EPR17929]

  • Carrier free

    Anti-Oct4 antibody [EPR17929] - ChIP Grade - BSA and Azide free

  • 665 Alexa Fluor® 647

    Alexa Fluor® 647 Anti-Oct4 antibody [EPR17929] (ChIP Grade)

  • 617 Alexa Fluor® 594

    Alexa Fluor® 594 Anti-Oct4 antibody [EPR17929]

  • Carrier free

    Anti-Oct4 antibody [EPR17929] - Low endotoxin, Azide free

关键信息

宿主种属

Rabbit

克隆

Monoclonal

克隆号

EPR17929

亚型

IgG

不含载体蛋白

No

反应种属

Mouse, Human

应用

Flow Cyt (Intra), ICC/IF, IHC-P, ChIP, IP, WB, ChIP-seq

applications

免疫原

The exact immunogen used to generate this antibody is proprietary information.

特异性

Oct4 is highly expressed in undifferentiated embryonic stem cells and cancer stem cell-like cells (PMID: 26013162, 21826175).
This antibody can't detect the target band in undifferentiated cancer cell lines with low expression level of Oct4, such as HeLa, HEK-293, MDA-MB-231, HepG2, Huh7, HCT-116 and PANC-1 (PMID: 21975933, 29789579, 25625591, 26059097, 23928699, 27344963, 25837691, 29254202, 28854261, 27996162), even at the dilution of 1:200.

反应性数据

{ "title": "Reactivity Data", "filters": { "stats": ["", "Species", "Dilution Info", "Notes"], "tabs": { "all-applications": {"fullname" : "All Applications", "shortname": "All Applications"}, "ChIPseq" : {"fullname" : "ChIP-sequencing", "shortname":"ChIP-seq"}, "IHCP" : {"fullname" : "Immunohistochemistry (Formalin/PFA-fixed paraffin-embedded sections)", "shortname":"IHC-P"}, "IP" : {"fullname" : "Immunoprecipitation", "shortname":"IP"}, "ChIP" : {"fullname" : "ChIP", "shortname":"ChIP"}, "WB" : {"fullname" : "Western blot", "shortname":"WB"}, "ICCIF" : {"fullname" : "Immunocytochemistry/ Immunofluorescence", "shortname":"ICC/IF"}, "FlowCytIntra" : {"fullname" : "Flow Cytometry (Intracellular)", "shortname":"Flow Cyt (Intra)"} }, "product-promise": { "all": "all", "testedAndGuaranteed": "tested", "guaranteed": "expected", "predicted": "predicted", "notRecommended": "not-recommended" } }, "values": { "Human": { "ChIPseq-species-checked": "testedAndGuaranteed", "ChIPseq-species-dilution-info": "", "ChIPseq-species-notes": "<p></p>", "IHCP-species-checked": "testedAndGuaranteed", "IHCP-species-dilution-info": "1/1000", "IHCP-species-notes": "<p>The mouse recommendation is based on the WB results. We do not guarantee IHC-P for mouse as there is no suitable positive tissue in-house.</p> Perform heat-mediated antigen retrieval with citrate buffer pH 6 before commencing with IHC staining protocol.", "IP-species-checked": "testedAndGuaranteed", "IP-species-dilution-info": "1/50", "IP-species-notes": "<p></p>", "ChIP-species-checked": "guaranteed", "ChIP-species-dilution-info": "", "ChIP-species-notes": "", "WB-species-checked": "testedAndGuaranteed", "WB-species-dilution-info": "1/1000", "WB-species-notes": "<p></p>", "ICCIF-species-checked": "testedAndGuaranteed", "ICCIF-species-dilution-info": "1/250", "ICCIF-species-notes": "<p></p>", "FlowCytIntra-species-checked": "testedAndGuaranteed", "FlowCytIntra-species-dilution-info": "", "FlowCytIntra-species-notes": "<p>Purified format.</p>" }, "Mouse": { "ChIPseq-species-checked": "guaranteed", "ChIPseq-species-dilution-info": "", "ChIPseq-species-notes": "", "IHCP-species-checked": "guaranteed", "IHCP-species-dilution-info": "", "IHCP-species-notes": "", "IP-species-checked": "guaranteed", "IP-species-dilution-info": "", "IP-species-notes": "", "ChIP-species-checked": "testedAndGuaranteed", "ChIP-species-dilution-info": "5 µg for 25 µg chromatin", "ChIP-species-notes": "<p></p>", "WB-species-checked": "testedAndGuaranteed", "WB-species-dilution-info": "1/1000", "WB-species-notes": "<p></p>", "ICCIF-species-checked": "guaranteed", "ICCIF-species-dilution-info": "", "ICCIF-species-notes": "", "FlowCytIntra-species-checked": "guaranteed", "FlowCytIntra-species-dilution-info": "", "FlowCytIntra-species-notes": "" }, "Rat": { "ChIPseq-species-checked": "predicted", "ChIPseq-species-dilution-info": "", "ChIPseq-species-notes": "", "IHCP-species-checked": "predicted", "IHCP-species-dilution-info": "", "IHCP-species-notes": "", "IP-species-checked": "predicted", "IP-species-dilution-info": "", "IP-species-notes": "", "ChIP-species-checked": "predicted", "ChIP-species-dilution-info": "", "ChIP-species-notes": "", "WB-species-checked": "predicted", "WB-species-dilution-info": "", "WB-species-notes": "", "ICCIF-species-checked": "predicted", "ICCIF-species-dilution-info": "", "ICCIF-species-notes": "", "FlowCytIntra-species-checked": "predicted", "FlowCytIntra-species-dilution-info": "", "FlowCytIntra-species-notes": "" }, "Common marmoset": { "ChIPseq-species-checked": "predicted", "ChIPseq-species-dilution-info": "", "ChIPseq-species-notes": "", "IHCP-species-checked": "predicted", "IHCP-species-dilution-info": "", "IHCP-species-notes": "", "IP-species-checked": "predicted", "IP-species-dilution-info": "", "IP-species-notes": "", "ChIP-species-checked": "predicted", "ChIP-species-dilution-info": "", "ChIP-species-notes": "", "WB-species-checked": "predicted", "WB-species-dilution-info": "", "WB-species-notes": "", "ICCIF-species-checked": "predicted", "ICCIF-species-dilution-info": "", "ICCIF-species-notes": "", "FlowCytIntra-species-checked": "predicted", "FlowCytIntra-species-dilution-info": "", "FlowCytIntra-species-notes": "" }, "Cow": { "ChIPseq-species-checked": "predicted", "ChIPseq-species-dilution-info": "", "ChIPseq-species-notes": "", "IHCP-species-checked": "predicted", "IHCP-species-dilution-info": "", "IHCP-species-notes": "", "IP-species-checked": "predicted", "IP-species-dilution-info": "", "IP-species-notes": "", "ChIP-species-checked": "predicted", "ChIP-species-dilution-info": "", "ChIP-species-notes": "", "WB-species-checked": "predicted", "WB-species-dilution-info": "", "WB-species-notes": "", "ICCIF-species-checked": "predicted", "ICCIF-species-dilution-info": "", "ICCIF-species-notes": "", "FlowCytIntra-species-checked": "predicted", "FlowCytIntra-species-dilution-info": "", "FlowCytIntra-species-notes": "" }, "Horse": { "ChIPseq-species-checked": "predicted", "ChIPseq-species-dilution-info": "", "ChIPseq-species-notes": "", "IHCP-species-checked": "predicted", "IHCP-species-dilution-info": "", "IHCP-species-notes": "", "IP-species-checked": "predicted", "IP-species-dilution-info": "", "IP-species-notes": "", "ChIP-species-checked": "predicted", "ChIP-species-dilution-info": "", "ChIP-species-notes": "", "WB-species-checked": "predicted", "WB-species-dilution-info": "", "WB-species-notes": "", "ICCIF-species-checked": "predicted", "ICCIF-species-dilution-info": "", "ICCIF-species-notes": "", "FlowCytIntra-species-checked": "predicted", "FlowCytIntra-species-dilution-info": "", "FlowCytIntra-species-notes": "" }, "Pig": { "ChIPseq-species-checked": "predicted", "ChIPseq-species-dilution-info": "", "ChIPseq-species-notes": "", "IHCP-species-checked": "predicted", "IHCP-species-dilution-info": "", "IHCP-species-notes": "", "IP-species-checked": "predicted", "IP-species-dilution-info": "", "IP-species-notes": "", "ChIP-species-checked": "predicted", "ChIP-species-dilution-info": "", "ChIP-species-notes": "", "WB-species-checked": "predicted", "WB-species-dilution-info": "", "WB-species-notes": "", "ICCIF-species-checked": "predicted", "ICCIF-species-dilution-info": "", "ICCIF-species-notes": "", "FlowCytIntra-species-checked": "predicted", "FlowCytIntra-species-dilution-info": "", "FlowCytIntra-species-notes": "" }, "Sheep": { "ChIPseq-species-checked": "predicted", "ChIPseq-species-dilution-info": "", "ChIPseq-species-notes": "", "IHCP-species-checked": "predicted", "IHCP-species-dilution-info": "", "IHCP-species-notes": "", "IP-species-checked": "predicted", "IP-species-dilution-info": "", "IP-species-notes": "", "ChIP-species-checked": "predicted", "ChIP-species-dilution-info": "", "ChIP-species-notes": "", "WB-species-checked": "predicted", "WB-species-dilution-info": "", "WB-species-notes": "", "ICCIF-species-checked": "predicted", "ICCIF-species-dilution-info": "", "ICCIF-species-notes": "", "FlowCytIntra-species-checked": "predicted", "FlowCytIntra-species-dilution-info": "", "FlowCytIntra-species-notes": "" } } }

产品详情

Product Specifications
Anti-Oct4 antibody [EPR17929] - ChIP Grade (ab181557) was developed by Abcam using patented rabbit monoclonal antibody technology and is validated for use in ChIP, ChIP-seq, Flow Cyt (Intra), ICC/IF, IHC-P, IP, WB in human, mouse samples.
Anti-Oct4 antibody [EPR17929] - ChIP Grade (ab181557) specifically detects Oct4 (UniProt ID: Q01860; Molecular weight: 39kDa) and is sold in 100 µL and 1 mL selling sizes.

Quality and Validation
Abcam's high quality manufacturing and validation processes ensure Anti-Oct4 antibody [EPR17929] - ChIP Grade (ab181557) has high sensitivity and specificity alongside high lot-to-lot consistency and reproducibility.
Anti-Oct4 antibody [EPR17929] - ChIP Grade (ab181557) has been cited over 138 times in peer reviewed journals and is trusted by the scientific community.
Anti-Oct4 antibody [EPR17929] - ChIP Grade (ab181557) has 19 independent reviews from customers.

Related Products
Antibody clone EPR17929 is also available pre-conjugated to a variety of labels for your convenience - Alexa Fluor® 594, Alexa Fluor® 555, PE, Alexa Fluor® 488, Alexa Fluor® 647 (ab210458, ab210657, ab283731, ab283741, ab300092).

Patented technology
Our RabMAb® technology is a patented hybridoma-based technology for making rabbit monoclonal antibodies. For details on our patents, please refer to RabMAb® patents.

What are the advantages of a recombinant monoclonal antibody?
This product is a recombinant monoclonal antibody, which offers several advantages including:

  • - High batch-to-batch consistency and reproducibility
  • - Improved sensitivity and specificity
  • - Long-term security of supply
  • - Animal-free batch production

For more information, read more on recombinant antibodies.

性能和储存信息

形式
Liquid
纯化工艺
Affinity purification Protein A
存储溶液
Preservative: 0.01% Sodium azide Constituents: PBS, 40% Glycerol (glycerin, glycerine), 0.05% BSA
运输条件
Blue Ice
推荐的短期储存时间
1-2 weeks
推荐的短期储存条件
+4°C
推荐的长期储存条件
-20°C
分装信息
Upon delivery aliquot
储存信息
Avoid freeze / thaw cycle

补充信息

This supplementary information is collated from multiple sources and compiled automatically.

Oct4 also known as POU5F1 Oct 4 protein and hecho en Oct 4 is a transcription factor important for maintaining pluripotency in stem cells. Oct4 protein has a molecular weight of approximately 40-45 kDa. Stem and germ cells express Oct4 where it regulates gene expression essential for cell differentiation and self-renewal. In immunohistochemistry (IHC) studies scientists often use Oct4 staining to identify stem cell presence and behavior.
Biological function summary

Oct4 acts in concert with other pluripotency factors like SOX2 and NANOG to form a regulatory network essential for maintaining stem cell identity. As part of this network the Oct4 transcription factor orchestrates the expression of genes that prevent differentiation and maintain the stem cell’s undifferentiated state. The protein directly activates the transcription of target genes involved in maintaining the pluripotent state.

Pathways

Oct4 plays an important role in the maintenance of pluripotency and self-renewal in the embryonic stem cell (ESC) and induced pluripotent stem cell (iPSC) pathways. Oct4 partners with proteins such as SOX2 and KLF4 in these pathways to activate and repress a common set of downstream genes which control differentiation and proliferation. Oct4 ensures the blocking of differentiation signals while promoting self-renewal in pluripotent cells.

Aberrant Oct4 expression often links to oncogenesis and tumor progression particularly in testicular germ cell tumors and certain types of cancers. Oct4 overexpression may interact with c-MYC a protein linked to cancer cell proliferation advancing tumorigenesis. Additionally researchers investigate Oct4 as a diagnostic marker for cancer and its potential as a therapeutic target to inhibit cancer cell growth.

产品实验方案

For this product, it's our understanding that no specific protocols are required. You can visit:

靶点信息

The protein expressed by the gene POU5F1 is a transcription factor that binds to the octamer motif (5'-ATTTGCAT-3') and forms a trimeric complex with SOX2 or SOX15 on DNA. It controls the expression of several genes involved in embryonic development, including YES1, FGF4, UTF1, and ZFP206. This protein is critical for early embryogenesis and for maintaining embryonic stem cell pluripotency. This supplementary information is collated from multiple sources and compiled automatically.
See full target information POU5F1

文献 (202)

Recent publications for all applications. Explore the full list and refine your search

Nature 646:1178-1186 PubMed40903578

2025

PICALM Alzheimer's risk allele causes aberrant lipid droplets in microglia.

Applications

Unspecified application

Species

Unspecified reactive species

Alena Kozlova,Siwei Zhang,Ari Sudwarts,Hanwen Zhang,Stanislau Smirnou,Seul Kee Byeon,Christina Thapa,Xiaotong Sun,Kimberley Stephenson,Xiaojie Zhao,Brendan Jamison,Moorthi Ponnusamy,Xin He,Julie A Schneider,Akhilesh Pandey,David A Bennett,Zhiping P Pang,Alan R Sanders,Hugo J Bellen,Gopal Thinakaran,Jubao Duan

Science advances 11:eadr8001 PubMed40901943

2025

Pulsatile sequential drug release system for cascade tumor deep penetration and differentiation therapy to enhance chemoimmunotherapy.

Applications

Unspecified application

Species

Unspecified reactive species

Fengxiang Liu,Shipeng Ning,Xia Wang,Xiaoyuan Fan,Bin Wan,Fei Sun,Lili Du,Kefan Shi,Xinpeng Zou,Ruihong Zhu,Mingxing Li,Wenwen Shen,Zhonggui He,Kaiyuan Wang,Jin Sun

Signal transduction and targeted therapy 10:280 PubMed40887473

2025

Focal adhesion kinase/Src family kinase axis-mediated tyrosine phosphorylation of metabolic enzymes facilitates tumor metastasis.

Applications

Unspecified application

Species

Unspecified reactive species

Jie Chen,Jing Zhang,Yuheng Zhu,Yanmeng Zhu,Jingyuan Pang,Qingnan Wu,Yan Wang,Qimin Zhan

Materials today. Bio 34:102176 PubMed40822927

2025

3D printing-biomimetic local stiff niche enhances glycolysis to boost PDAC cell stem-like phenotype via N6-methyladenosine-suppressed YAP1 mRNA decay.

Applications

Unspecified application

Species

Unspecified reactive species

Di Wu,Xiaoqi Guan,Tao Yang,Jiashuai Yan,Biwen Zhu,Junchao Zhou,Yibing Guo,Yuhua Lu

Nature communications 16:6585 PubMed40721574

2025

DynaTag for efficient mapping of transcription factors in low-input samples and at single-cell resolution.

Applications

Unspecified application

Species

Unspecified reactive species

Pascal Hunold,Giulia Pizzolato,Nadia Heramvand,Laura Kaiser,Giulia Barbiera,Olivia van Ray,Roman Thomas,Julie George,Martin Peifer,Robert Hänsel-Hertsch

Cells 14: PubMed40498008

2025

Hypoxia Promotes the In Vitro Proliferation of Buffalo Spermatogonial Cells by Increasing Lactate and H3K18la Lactylation Levels.

Applications

Unspecified application

Species

Unspecified reactive species

Mengqi Li,Yanyu Ma,Shenzhi Wang,Haiying Zheng,Chunyan Yang,Anqin Duan,Benliang Zhou,Jianghua Shang,Xingwei Liang,Xiaogan Yang

European journal of histochemistry : EJH 69: PubMed40336362

2025

MiR-122-5p inhibits the epithelial mesenchymal transition of liver cancer cells by inducing hiPSCs to differentiate into hepatocyte-like cells.

Applications

Unspecified application

Species

Unspecified reactive species

Qianzhe Xing,Yanjie Xu,Ying Luo,Chenglong Li,Peng Wang,Bin Kang,Chengjun Lu

Molecular genetics & genomic medicine 13:e70098 PubMed40260864

2025

SLC26A4 C.317C > A Variant: Functional Analysis and Patient-Derived Induced Pluripotent Stem Line Development.

Applications

Unspecified application

Species

Unspecified reactive species

Yijing Li,Tao Sun,Sang Hu,Hongen Xu,Teng Zhang,Jinlong Liu,Shuangshuang Lu,Bing Wang,Guo Dan

Journal of ovarian research 18:66 PubMed40170042

2025

A primary insight into gut microbiome, MicroRNA and stemness, in a PCOS rat model.

Applications

Unspecified application

Species

Unspecified reactive species

Fereshteh Esfandiarinezhad,Xiaoshu Zhan,Seang Lin Tan,Julang Li,Benjamin K Tsang

Phenomics (Cham, Switzerland) 4:548-561 PubMed40061823

2025

Gene Variants Predispose Individuals to Tetralogy of Fallot.

Applications

Unspecified application

Species

Unspecified reactive species

Zhiyu Feng,Xianghui Huang,Yuan Gao,Han Gao,Weilan Na,Chaozhong Tan,Shaojie Min,Yuquan Lu,Quannan Zhuang,Siyi Lin,Xiaojing Ma,Weicheng Chen,Weili Yan,Wei Sheng,Guoying Huang
View all publications

Abcam Product Promise

我们致力于为您的研究提供高质量的试剂,为您科研的每一步提供支持。若我们的产品未能达到预期性能,我们向您提供 Abcam Product Promise 保障。
详情请参阅我们的条款与条件。

Please note: All products are 'FOR RESEARCH USE ONLY. NOT FOR USE IN DIAGNOSTIC OR THERAPEUTIC PROCEDURES'.

For licensing inquiries, please contact partnerships@abcam.com