JavaScript is disabled in your browser. Please enable JavaScript to view this website.
AB183340

重组Anti-Nucleophosmin抗体[SP236]

Anti-Nucleophosmin antibody [SP236]

Be the first to review this product! Submit a review

|

(8 Publications)

Rabbit Recombinant Monoclonal Nucleophosmin antibody. Suitable for Flow Cyt (Intra), WB, IHC-P, ICC/IF and reacts with Mouse, Human, Rat samples. Cited in 8 publications.

查看别名

NPM, NPM1, Nucleophosmin, Nucleolar phosphoprotein B23, Nucleolar protein NO38, Numatrin

11 Images
Immunohistochemistry (Formalin/PFA-fixed paraffin-embedded sections) - Anti-Nucleophosmin antibody [SP236] (AB183340)
  • IHC-P

Unknown

Immunohistochemistry (Formalin/PFA-fixed paraffin-embedded sections) - Anti-Nucleophosmin antibody [SP236] (AB183340)

Immunohistochemistry (Formalin/PFA-fixed paraffin-embedded sections) analysis of Human skin tissue sections labeling Nucleophosmin with ab183340 at 1/100 dilution (2.51 µg/ml). Heat mediated antigen retrieval was performed Heat mediated antigen retrieval with sodium citrate buffer (pH 6.0, epitope retrieval solution 1) for 30 mins. Rabbit specific IHC polymer detection kit HRP/DAB (ab209101) was used as the secondary antibody. Negative control : PBS instead of the primary antibody. Hematoxylin was used as a counterstain.

Immunohistochemistry (Formalin/PFA-fixed paraffin-embedded sections) - Anti-Nucleophosmin antibody [SP236] (AB183340)
  • IHC-P

Supplier Data

Immunohistochemistry (Formalin/PFA-fixed paraffin-embedded sections) - Anti-Nucleophosmin antibody [SP236] (AB183340)

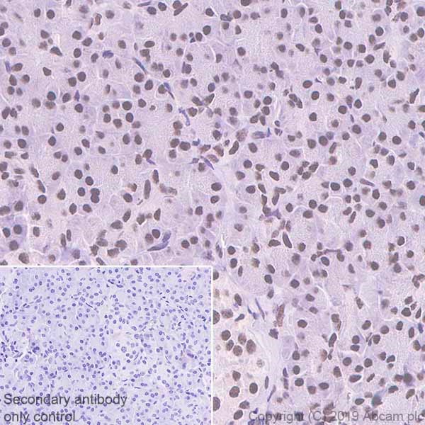
Immunohistochemical analysis of paraffin-embedded Human tonsil tissue labeling Nucleophosmin with ab183340 at a 1/100 dilution.

Flow Cytometry (Intracellular) - Anti-Nucleophosmin antibody [SP236] (AB183340)
  • Flow Cyt (Intra)

Unknown

Flow Cytometry (Intracellular) - Anti-Nucleophosmin antibody [SP236] (AB183340)

Flow cytometry analysis of HeLa (human cervix adenocarcinoma epithelial cell) labeling Nucleophosmin with purified ab183340 at 1/200 dilution (1.255 μg/ml) (red). Cells were fixed with 4% paraformaldehyde and permeabilised with 90% methanol. Goat anti rabbit IgG (Alexa Fluor® 488, ab150077) at 1/2000 dilution was used as a secondary antibody. Isotype control -Rabbit monoclonal IgG (ab172730) / Black. Unlableled control -Unlabelled cells / blue.

Flow Cytometry (Intracellular) - Anti-Nucleophosmin antibody [SP236] (AB183340)
  • Flow Cyt (Intra)

Supplier Data

Flow Cytometry (Intracellular) - Anti-Nucleophosmin antibody [SP236] (AB183340)

Flow cytometric analysis of Jurkat cells, labeling Nucleophosmin with ab183340 diluted 1/400 (green), compared with a negative control of anti-rabbit IgG (blue).

Immunocytochemistry/ Immunofluorescence - Anti-Nucleophosmin antibody [SP236] (AB183340)
  • ICC/IF

Unknown

Immunocytochemistry/ Immunofluorescence - Anti-Nucleophosmin antibody [SP236] (AB183340)

Immunocytochemistry/ Immunofluorescence analysis of HeLa (human cervix adenocarcinoma epithelial cell) cells labeling Nucleophosmin with purified ab183340 at 1/100 (2.5μg/ml). Cells were fixed in 4% paraformaldehyde and permeabilized with 0.1% Triton X-100. Cells were counterstained with ab195889 Anti-alpha Tubulin antibody [DM1A] - Microtubule Marker (Alexa Fluor® 594) 1/200 (2.5 μg/ml). Goat anti rabbit IgG (Alexa Fluor® 488, ab150077) was used as the secondary antibody at 1/1000 (2 μg/ml) dilution. DAPI was used as nuclear counterstain. PBS instead of the primary antibody was used as the secondary antibody only control.

Immunohistochemistry (Formalin/PFA-fixed paraffin-embedded sections) - Anti-Nucleophosmin antibody [SP236] (AB183340)
  • IHC-P

Unknown

Immunohistochemistry (Formalin/PFA-fixed paraffin-embedded sections) - Anti-Nucleophosmin antibody [SP236] (AB183340)

Immunohistochemistry (Formalin/PFA-fixed paraffin-embedded sections) analysis of Rat spleen tissue sections labeling Nucleophosmin with ab183340 at 1/100 dilution (2.51 µg/ml). Heat mediated antigen retrieval was performed Heat mediated antigen retrieval with sodium citrate buffer (pH 6.0, epitope retrieval solution 1) for 30 mins. Rabbit specific IHC polymer detection kit HRP/DAB (ab209101) was used as the secondary antibody. Negative control : PBS instead of the primary antibody. Hematoxylin was used as a counterstain.

Immunocytochemistry/ Immunofluorescence - Anti-Nucleophosmin antibody [SP236] (AB183340)
  • ICC/IF

Unknown

Immunocytochemistry/ Immunofluorescence - Anti-Nucleophosmin antibody [SP236] (AB183340)

Immunocytochemistry/ Immunofluorescence analysis of 3T3-L1 (mouse embryonic fibroblast) cells labeling Nucleophosmin with purified ab183340 at 1/100 (2.5μg/ml). Cells were fixed in 4% paraformaldehyde and permeabilized with 0.1% Triton X-100. Cells were counterstained with ab195889 Anti-alpha Tubulin antibody [DM1A] - Microtubule Marker (Alexa Fluor® 594) 1/200 (2.5 μg/ml). Goat anti rabbit IgG (Alexa Fluor® 488, ab150077) was used as the secondary antibody at 1/1000 (2 μg/ml) dilution. DAPI was used as nuclear counterstain. PBS instead of the primary antibody was used as the secondary antibody only control.

Immunocytochemistry/ Immunofluorescence - Anti-Nucleophosmin antibody [SP236] (AB183340)
  • ICC/IF

Unknown

Immunocytochemistry/ Immunofluorescence - Anti-Nucleophosmin antibody [SP236] (AB183340)

Immunocytochemistry/ Immunofluorescence analysis of PC-12 (rat adrenal gland pheochromocytoma) cells labeling Nucleophosmin with purified ab183340 at 1/100 (2.5μg/ml). Cells were fixed in 100% Methanol. Cells were counterstained with ab195889 Anti-alpha Tubulin antibody [DM1A] - Microtubule Marker (Alexa Fluor® 594) 1/200 (2.5 μg/ml). Goat anti rabbit IgG (Alexa Fluor® 488, ab150077) was used as the secondary antibody at 1/1000 (2 μg/ml) dilution. DAPI was used as nuclear counterstain. PBS instead of the primary antibody was used as the secondary antibody only control.

Flow Cytometry (Intracellular) - Anti-Nucleophosmin antibody [SP236] (AB183340)
  • Flow Cyt (Intra)

Unknown

Flow Cytometry (Intracellular) - Anti-Nucleophosmin antibody [SP236] (AB183340)

Flow cytometry analysis of 3T3-L1 (Mouse embryonic fibroblast) labeling Nucleophosmin with purified ab183340 at 1/200 dilution (1.255 μg/ml) (red). Cells were fixed with 4% paraformaldehyde and permeabilised with 90% methanol. Goat anti rabbit IgG (Alexa Fluor® 488, ab150077) at 1/2000 dilution was used as a secondary antibody. Isotype control -Rabbit monoclonal IgG (ab172730) / Black. Unlableled control -Unlabelled cells / blue.

Immunohistochemistry (Formalin/PFA-fixed paraffin-embedded sections) - Anti-Nucleophosmin antibody [SP236] (AB183340)
  • IHC-P

Unknown

Immunohistochemistry (Formalin/PFA-fixed paraffin-embedded sections) - Anti-Nucleophosmin antibody [SP236] (AB183340)

Immunohistochemistry (Formalin/PFA-fixed paraffin-embedded sections) analysis of Mouse colon tissue sections labeling Nucleophosmin with ab183340 at 1/100 dilution (2.51 µg/ml). Heat mediated antigen retrieval was performed Heat mediated antigen retrieval with sodium citrate buffer (pH 6.0, epitope retrieval solution 1) for 30 mins. Rabbit specific IHC polymer detection kit HRP/DAB (ab209101) was used as the secondary antibody. Negative control : PBS instead of the primary antibody. Hematoxylin was used as a counterstain.

Western blot - Anti-Nucleophosmin antibody [SP236] (AB183340)
  • WB

Supplier Data

Western blot - Anti-Nucleophosmin antibody [SP236] (AB183340)

All lanes:

Western blot - Anti-Nucleophosmin antibody [SP236] (ab183340) at 1/400 dilution

All lanes:

NIH3T3 cell lysate

Predicted band size: 32 kDa

false

不同偶联物与剂型 (8)

  • Carrier free

    Anti-Nucleophosmin antibody [SP236] - BSA and Azide free

  • 519 Alexa Fluor® 488

    Alexa Fluor® 488 Anti-Nucleophosmin antibody [SP236]

  • 665 Alexa Fluor® 647

    Alexa Fluor® 647 Anti-Nucleophosmin antibody [SP236]

  • 565 Alexa Fluor® 555

    Alexa Fluor® 555 Anti-Nucleophosmin antibody [SP236]

  • 617 Alexa Fluor® 594

    Alexa Fluor® 594 Anti-Nucleophosmin antibody [SP236]

  • 578 PE

    PE Anti-Nucleophosmin antibody [SP236]

  • 660 APC

    APC Anti-Nucleophosmin antibody [SP236]

  • 775 Alexa Fluor® 750

    Alexa Fluor® 750 Anti-Nucleophosmin antibody [SP236]

关键信息

宿主种属

Rabbit

克隆

Monoclonal

克隆号

SP236

亚型

IgG

不含载体蛋白

No

反应种属

Mouse, Rat, Human

应用

WB, IHC-P, ICC/IF, Flow Cyt (Intra)

applications

免疫原

The exact immunogen used to generate this antibody is proprietary information.

反应性数据

{ "title": "Reactivity Data", "filters": { "stats": ["", "Species", "Dilution Info", "Notes"], "tabs": { "all-applications": {"fullname" : "All Applications", "shortname": "All Applications"}, "FlowCytIntra" : {"fullname" : "Flow Cytometry (Intracellular)", "shortname":"Flow Cyt (Intra)"}, "WB" : {"fullname" : "Western blot", "shortname":"WB"}, "IHCP" : {"fullname" : "Immunohistochemistry (Formalin/PFA-fixed paraffin-embedded sections)", "shortname":"IHC-P"}, "ICCIF" : {"fullname" : "Immunocytochemistry/ Immunofluorescence", "shortname":"ICC/IF"} }, "product-promise": { "all": "all", "testedAndGuaranteed": "tested", "guaranteed": "expected", "predicted": "predicted", "notRecommended": "not-recommended" } }, "values": { "Human": { "FlowCytIntra-species-checked": "testedAndGuaranteed", "FlowCytIntra-species-dilution-info": "1/200 - 1/400", "FlowCytIntra-species-notes": "<p><a href='/products/primary-antibodies/rabbit-igg-monoclonal-epr25a-isotype-control-ab172730'>ab172730</a> - Rabbit monoclonal IgG, is suitable for use as an isotype control with this antibody.</p>", "WB-species-checked": "guaranteed", "WB-species-dilution-info": "", "WB-species-notes": "", "IHCP-species-checked": "testedAndGuaranteed", "IHCP-species-dilution-info": "1/100", "IHCP-species-notes": "<p>Boil tissue section in EDTA buffer, pH 8.0 for 10 min followed by cooling at room temperature for 20 min.</p>", "ICCIF-species-checked": "testedAndGuaranteed", "ICCIF-species-dilution-info": "1/100", "ICCIF-species-notes": "<p></p>" }, "Mouse": { "FlowCytIntra-species-checked": "testedAndGuaranteed", "FlowCytIntra-species-dilution-info": "1/200 - 1/400", "FlowCytIntra-species-notes": "<p><a href='/products/primary-antibodies/rabbit-igg-monoclonal-epr25a-isotype-control-ab172730'>ab172730</a> - Rabbit monoclonal IgG, is suitable for use as an isotype control with this antibody.</p>", "WB-species-checked": "testedAndGuaranteed", "WB-species-dilution-info": "1/400", "WB-species-notes": "<p></p>", "IHCP-species-checked": "testedAndGuaranteed", "IHCP-species-dilution-info": "1/100", "IHCP-species-notes": "<p>Boil tissue section in EDTA buffer, pH 8.0 for 10 min followed by cooling at room temperature for 20 min.</p>", "ICCIF-species-checked": "testedAndGuaranteed", "ICCIF-species-dilution-info": "1/100", "ICCIF-species-notes": "<p></p>" }, "Rat": { "FlowCytIntra-species-checked": "guaranteed", "FlowCytIntra-species-dilution-info": "", "FlowCytIntra-species-notes": "", "WB-species-checked": "guaranteed", "WB-species-dilution-info": "", "WB-species-notes": "", "IHCP-species-checked": "testedAndGuaranteed", "IHCP-species-dilution-info": "1/100", "IHCP-species-notes": "<p>Boil tissue section in EDTA buffer, pH 8.0 for 10 min followed by cooling at room temperature for 20 min.</p>", "ICCIF-species-checked": "testedAndGuaranteed", "ICCIF-species-dilution-info": "1/100", "ICCIF-species-notes": "<p></p>" }, "Chicken": { "FlowCytIntra-species-checked": "predicted", "FlowCytIntra-species-dilution-info": "", "FlowCytIntra-species-notes": "", "WB-species-checked": "predicted", "WB-species-dilution-info": "", "WB-species-notes": "", "IHCP-species-checked": "predicted", "IHCP-species-dilution-info": "", "IHCP-species-notes": "", "ICCIF-species-checked": "predicted", "ICCIF-species-dilution-info": "", "ICCIF-species-notes": "" }, "Cow": { "FlowCytIntra-species-checked": "predicted", "FlowCytIntra-species-dilution-info": "", "FlowCytIntra-species-notes": "", "WB-species-checked": "predicted", "WB-species-dilution-info": "", "WB-species-notes": "", "IHCP-species-checked": "predicted", "IHCP-species-dilution-info": "", "IHCP-species-notes": "", "ICCIF-species-checked": "predicted", "ICCIF-species-dilution-info": "", "ICCIF-species-notes": "" } } }

产品详情

What are the advantages of a recombinant monoclonal antibody?
This product is a recombinant monoclonal antibody, which offers several advantages including:

  • - High batch-to-batch consistency and reproducibility
  • - Improved sensitivity and specificity
  • - Long-term security of supply
  • - Animal-free batch production

For more information, read more on recombinant antibodies.

性能和储存信息

形式
Liquid
纯化工艺
Affinity purification Protein A/G
纯化说明
Purified from TCS by protein A/G.
存储溶液
pH: 7.6 Preservative: 0.1% Sodium azide Constituents: PBS, 1% BSA
运输条件
Blue Ice
推荐的短期储存时间
1-2 weeks
推荐的短期储存条件
+4°C
推荐的长期储存条件
-20°C
分装信息
Upon delivery aliquot
储存信息
Avoid freeze / thaw cycle

补充信息

This supplementary information is collated from multiple sources and compiled automatically.

Nucleophosmin also known as NPM1 or B23 is a multifunctional nucleolar phosphoprotein with a molecular weight of approximately 37 kDa. It is highly expressed in the nucleolus of many human cells and is involved in various cellular processes. NPM1 aids ribosome biogenesis intracellular transport of ribosomal components and regulation of the centrosome. Its nucleocytoplasmic shuttling ability is due to its N-terminal domain which plays an important role in binding to nucleic acids and other proteins. Apart from these functions NPM1 acts as a histone chaperone and is important for maintaining genomic integrity.
Biological function summary

One of the central roles of NPM1 is its involvement in the regulation of cell growth and proliferation. NPM1 forms a complex with other nucleolar proteins affecting ribosome subunit assembly and transport. This protein also participates in the control of the ARF/p53 pathway by sequestering p53-regulating proteins which are essential for cell cycle control and apoptosis. Its interactions with proteins such as nucleolin and nucleophosmin-like proteins allow NPM1 to perform its functions in organizing the nucleolus and regulating responses to stress signals.

Pathways

The NPM1 protein is integrally involved in key cellular pathways like the regulation of the cell cycle and apoptosis. It directly interacts with pathways such as the ribosome biogenesis pathway and the p53 pathway. NPM1 has connections with proteins like ARF and MDM2 which play roles in retinoblastoma protein (pRb) regulation and in the control of tumor-suppressor activities. These pathways under NPM1’s influence are critical for maintaining cellular homeostasis and ensuring proper cell cycle checkpoints.

NPM1 mutations are commonly observed in acute myeloid leukemia (AML) where they affect the normal function of the protein leading to leukemogenesis. NPM1 is also linked to tumorigenesis through its impact on the p53 tumor suppressor pathway. Specifically alterations in NPM1 can disrupt the balance of other related proteins like ALK and p53 influencing the onset and progression of leukemia. Understanding the roles of NPM1 in these contexts is essential for developing targeted therapies to treat AML and other related disorders effectively.

产品实验方案

For this product, it's our understanding that no specific protocols are required. You can visit:

靶点信息

Involved in diverse cellular processes such as ribosome biogenesis, centrosome duplication, protein chaperoning, histone assembly, cell proliferation, and regulation of tumor suppressors p53/TP53 and ARF. Binds ribosome presumably to drive ribosome nuclear export. Associated with nucleolar ribonucleoprotein structures and bind single-stranded nucleic acids. Acts as a chaperonin for the core histones H3, H2B and H4. Stimulates APEX1 endonuclease activity on apurinic/apyrimidinic (AP) double-stranded DNA but inhibits APEX1 endonuclease activity on AP single-stranded RNA. May exert a control of APEX1 endonuclease activity within nucleoli devoted to repair AP on rDNA and the removal of oxidized rRNA molecules. In concert with BRCA2, regulates centrosome duplication. Regulates centriole duplication : phosphorylation by PLK2 is able to trigger centriole replication. Negatively regulates the activation of EIF2AK2/PKR and suppresses apoptosis through inhibition of EIF2AK2/PKR autophosphorylation. Antagonizes the inhibitory effect of ATF5 on cell proliferation and relieves ATF5-induced G2/M blockade (PubMed : 22528486). In complex with MYC enhances the transcription of MYC target genes (PubMed : 25956029). May act as chaperonin or cotransporter in the nucleolar localization of transcription termination factor TTF1 (By similarity).
See full target information NPM1

文献 (8)

Recent publications for all applications. Explore the full list and refine your search

Toxicology reports 15:102130 PubMed41050184

2025

Nucleophosmin 1 induction is an early event in a Phenobarbital induced proliferation response in rat but not human liver 3D microtissues.

Applications

Unspecified application

Species

Unspecified reactive species

Matthew Elcombe,Stephanie Wallace,Simon Plummer

Nature communications 15:1256 PubMed38341436

2024

Dynamic nucleolar phase separation influenced by non-canonical function of LIN28A instructs pluripotent stem cell fate decisions.

Applications

Unspecified application

Species

Unspecified reactive species

Tianyu Tan,Bo Gao,Hua Yu,Hongru Pan,Zhen Sun,Anhua Lei,Li Zhang,Hengxing Lu,Hao Wu,George Q Daley,Yu Feng,Jin Zhang

Communications biology 6:1129 PubMed37935838

2023

Nascent ribosomal RNA act as surfactant that suppresses growth of fibrillar centers in nucleolus.

Applications

Unspecified application

Species

Unspecified reactive species

Tetsuya Yamamoto,Tomohiro Yamazaki,Kensuke Ninomiya,Tetsuro Hirose

Nature communications 14:6316 PubMed37813838

2023

A cyclin-dependent kinase-mediated phosphorylation switch of disordered protein condensation.

Applications

Unspecified application

Species

Unspecified reactive species

Juan Manuel Valverde,Geronimo Dubra,Michael Phillips,Austin Haider,Carlos Elena-Real,Aurélie Fournet,Emile Alghoul,Dhanvantri Chahar,Nuria Andrés-Sanchez,Matteo Paloni,Pau Bernadó,Guido van Mierlo,Michiel Vermeulen,Henk van den Toorn,Albert J R Heck,Angelos Constantinou,Alessandro Barducci,Kingshuk Ghosh,Nathalie Sibille,Puck Knipscheer,Liliana Krasinska,Daniel Fisher,Maarten Altelaar

Oncology reports 49: PubMed37165929

2023

Nucleophosmin promotes lung adenocarcinoma cell proliferation, migration and invasion by activating the EGFR/MAPK signaling pathway.

Applications

Unspecified application

Species

Unspecified reactive species

Min Li,Rongrong Wu,Dongyi Zhu,Le Wang,Shinan Liu,Ruolan Wang,Chaowen Deng,Shenglin Zhang,Min Chen,Ruojin Lu,Hongxing Zhu,Mengting Mo,Zhuang Luo

Frontiers in oncology 13:1147974 PubMed37035208

2023

Case Report: Clinical response to anaplastic lymphoma kinase inhibitor-based targeted therapy in uterine inflammatory myofibroblastic tumor harboring fusion.

Applications

Unspecified application

Species

Unspecified reactive species

Ting Zhao,Xiaowei Zhang,Xin Liu,Min Ren,Yufan Cheng,Jian Wang,Zhiguo Luo

Human molecular genetics 32:104-121 PubMed35925837

2022

TFIIB-related factor 1 is a nucleolar protein that promotes RNA polymerase I-directed transcription and tumour cell growth.

Applications

Unspecified application

Species

Unspecified reactive species

Juan Wang,Qiyue Chen,Xin Wang,Shasha Zhao,Huan Deng,Baoqiang Guo,Cheng Zhang,Xiaoye Song,Wensheng Deng,Tongcun Zhang,Hongwei Ni

EMBO molecular medicine 13:e14095 PubMed34632710

2021

CCG•CGG interruptions in high-penetrance SCA8 families increase RAN translation and protein toxicity.

Applications

Unspecified application

Species

Unspecified reactive species

Barbara A Perez,Hannah K Shorrock,Monica Banez-Coronel,Tao Zu,Lisa El Romano,Lauren A Laboissonniere,Tammy Reid,Yoshio Ikeda,Kaalak Reddy,Christopher M Gomez,Thomas Bird,Tetsuo Ashizawa,Lawrence J Schut,Alfredo Brusco,J Andrew Berglund,Lis F Hasholt,Jorgen E Nielsen,S H Subramony,Laura Pw Ranum
View all publications

Abcam Product Promise

我们致力于为您的研究提供高质量的试剂,为您科研的每一步提供支持。若我们的产品未能达到预期性能,我们向您提供 Abcam Product Promise 保障。
详情请参阅我们的条款与条件。

Please note: All products are 'FOR RESEARCH USE ONLY. NOT FOR USE IN DIAGNOSTIC OR THERAPEUTIC PROCEDURES'.

For licensing inquiries, please contact partnerships@abcam.com