JavaScript is disabled in your browser. Please enable JavaScript to view this website.
AB15440

Anti-Nucleophosmin抗体

Anti-Nucleophosmin antibody

5

(5 Reviews)

|

(32 Publications)

Rabbit Polyclonal Nucleophosmin antibody. Suitable for IHC-P, WB, ICC/IF and reacts with Human, Mouse, Rat, African green monkey samples. Cited in 32 publications. Immunogen corresponding to Synthetic Peptide within Human NPM1 aa 1-50.

查看别名

NPM, NPM1, Nucleophosmin, Nucleolar phosphoprotein B23, Nucleolar protein NO38, Numatrin

4 Images
Immunocytochemistry/ Immunofluorescence - Anti-Nucleophosmin antibody (AB15440)
  • ICC/IF

Supplier Data

Immunocytochemistry/ Immunofluorescence - Anti-Nucleophosmin antibody (AB15440)

Immunocytochemistry analysis of 4% paraformaldehyde-fixed 0.1% Triton X-100 permeabilized HeLa cells staining nucleophosmin with ab15440 at 1/100 dilution and Goat anti-Rabbit IgG (H+L), Superclonal™ Recombinant Secondary Antibody, Alexa Fluor 488 conjugate at 1/2000 dilution (green). Nuclei were stained with ProLong™ Diamond Antifade Mountant with DAPI (blue); and F-actin was stained with Rhodamine Phalloidin (red). Negative control is using no primary antibody.

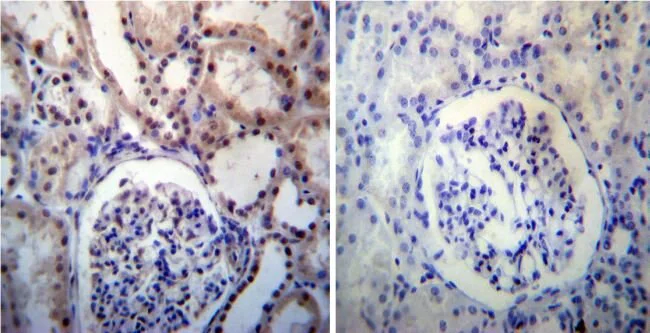
Immunohistochemistry (Formalin/PFA-fixed paraffin-embedded sections) - Anti-Nucleophosmin antibody (AB15440)
  • IHC-P

Supplier Data

Immunohistochemistry (Formalin/PFA-fixed paraffin-embedded sections) - Anti-Nucleophosmin antibody (AB15440)

Immunohistochemical analysis of deparrafinized human kidney tissue staining nucleophosmin with ab15440 at 1/500 dilution, biotin-conjugated secondary antibody, SA-HRP and were counterstained with hematoxylin. Antigen retrieval method used was sodium citrate pH6

Western blot - Anti-Nucleophosmin antibody (AB15440)
  • WB

Supplier Data

Western blot - Anti-Nucleophosmin antibody (AB15440)

Tris/Hcl gel used and proteins transferred to a PVDF membrane and blocked with 5% Milk/TBST.

All lanes:

Western blot - Anti-Nucleophosmin antibody (ab15440) at 1/500 dilution

Lane 1:

HeLa whole cell lysate at 25 µg

Lane 2:

293T whole cell lysate at 25 µg

Lane 3:

A431 whole cell lysate at 25 µg

Lane 4:

A549 whole cell lysate at 25 µg

Lane 5:

MEF whole cell lysate at 25 µg

Lane 6:

MCF7 whole cell lysate at 25 µg

Lane 7:

U20S whole cell lysate at 25 µg

Lane 8:

K562 whole cell lysate at 25 µg

Lane 9:

COS7 whole cell lysate at 25 µg

Lane 10:

3T3L1 whole cell lysate at 25 µg

Lane 11:

C2C12 whole cell lysate at 25 µg

Lane 12:

NRK whole cell lysate at 25 µg

Secondary

All lanes:

goat anti-rabbit-HRP secondary antibody at 1/20000 dilution

Predicted band size: 32 kDa

true

Western blot - Anti-Nucleophosmin antibody (AB15440)
  • WB

Supplier Data

Western blot - Anti-Nucleophosmin antibody (AB15440)

All lanes:

Western blot - Anti-Nucleophosmin antibody (ab15440) at 1/750 dilution

Lane 1:

Hela whole cell extract at 30 µg

Lane 2:

COS-7 whole cell extract at 30 µg

Lane 3:

U2OS whole cell extract at 30 µg

Lane 4:

HepG2 whole cell extract at 30 µg

Lane 5:

mouse brain tissue extract at 30 µg

Lane 6:

rat brain tissue extract at 30 µg

Secondary

All lanes:

Goat anti-Rabbit IgG (H+L), Superclonal™ Recombinant Secondary Antibody, HRP at 1/4000 dilution

Predicted band size: 32 kDa

true

关键信息

宿主种属

Rabbit

克隆

Polyclonal

亚型

IgG

不含载体蛋白

No

反应种属

Mouse, Rat, Human, African green monkey

应用

WB, IHC-P, ICC/IF

applications

免疫原

The exact immunogen used to generate this antibody is proprietary information.

Synthetic Peptide within Human NPM1 aa 200-250. Database link P06748

反应性数据

{ "title": "Reactivity Data", "filters": { "stats": ["", "Species", "Dilution Info", "Notes"], "tabs": { "all-applications": {"fullname" : "All Applications", "shortname": "All Applications"}, "IHCP" : {"fullname" : "Immunohistochemistry (Formalin/PFA-fixed paraffin-embedded sections)", "shortname":"IHC-P"}, "WB" : {"fullname" : "Western blot", "shortname":"WB"}, "ICCIF" : {"fullname" : "Immunocytochemistry/ Immunofluorescence", "shortname":"ICC/IF"} }, "product-promise": { "all": "all", "testedAndGuaranteed": "tested", "guaranteed": "expected", "predicted": "predicted", "notRecommended": "not-recommended" } }, "values": { "Human": { "IHCP-species-checked": "testedAndGuaranteed", "IHCP-species-dilution-info": "1/200", "IHCP-species-notes": "<p></p>", "WB-species-checked": "testedAndGuaranteed", "WB-species-dilution-info": "1/500 - 1/1000", "WB-species-notes": "<p></p>", "ICCIF-species-checked": "testedAndGuaranteed", "ICCIF-species-dilution-info": "1/100", "ICCIF-species-notes": "<p>Used at a dilution of 1/100 (see Abreview for further information).</p>" }, "Mouse": { "IHCP-species-checked": "guaranteed", "IHCP-species-dilution-info": "", "IHCP-species-notes": "", "WB-species-checked": "testedAndGuaranteed", "WB-species-dilution-info": "1/500 - 1/1000", "WB-species-notes": "<p></p>", "ICCIF-species-checked": "guaranteed", "ICCIF-species-dilution-info": "", "ICCIF-species-notes": "" }, "Rat": { "IHCP-species-checked": "guaranteed", "IHCP-species-dilution-info": "", "IHCP-species-notes": "", "WB-species-checked": "testedAndGuaranteed", "WB-species-dilution-info": "1/500 - 1/1000", "WB-species-notes": "<p></p>", "ICCIF-species-checked": "guaranteed", "ICCIF-species-dilution-info": "", "ICCIF-species-notes": "" }, "African green monkey": { "IHCP-species-checked": "guaranteed", "IHCP-species-dilution-info": "", "IHCP-species-notes": "", "WB-species-checked": "testedAndGuaranteed", "WB-species-dilution-info": "1/500 - 1/1000", "WB-species-notes": "<p></p>", "ICCIF-species-checked": "guaranteed", "ICCIF-species-dilution-info": "", "ICCIF-species-notes": "" } } }

性能和储存信息

形式
Liquid
纯化工艺
Affinity purification Immunogen
存储溶液
Preservative: 0.05% Sodium azide Constituents: PBS, 0.1% BSA
运输条件
Blue Ice
推荐的短期储存时间
1-2 weeks
推荐的短期储存条件
+4°C
推荐的长期储存条件
-20°C
分装信息
Upon delivery aliquot
储存信息
Avoid freeze / thaw cycle

补充信息

This supplementary information is collated from multiple sources and compiled automatically.

Nucleophosmin also known as NPM1 or B23 is a multifunctional nucleolar phosphoprotein with a molecular weight of approximately 37 kDa. It is highly expressed in the nucleolus of many human cells and is involved in various cellular processes. NPM1 aids ribosome biogenesis intracellular transport of ribosomal components and regulation of the centrosome. Its nucleocytoplasmic shuttling ability is due to its N-terminal domain which plays an important role in binding to nucleic acids and other proteins. Apart from these functions NPM1 acts as a histone chaperone and is important for maintaining genomic integrity.
Biological function summary

One of the central roles of NPM1 is its involvement in the regulation of cell growth and proliferation. NPM1 forms a complex with other nucleolar proteins affecting ribosome subunit assembly and transport. This protein also participates in the control of the ARF/p53 pathway by sequestering p53-regulating proteins which are essential for cell cycle control and apoptosis. Its interactions with proteins such as nucleolin and nucleophosmin-like proteins allow NPM1 to perform its functions in organizing the nucleolus and regulating responses to stress signals.

Pathways

The NPM1 protein is integrally involved in key cellular pathways like the regulation of the cell cycle and apoptosis. It directly interacts with pathways such as the ribosome biogenesis pathway and the p53 pathway. NPM1 has connections with proteins like ARF and MDM2 which play roles in retinoblastoma protein (pRb) regulation and in the control of tumor-suppressor activities. These pathways under NPM1’s influence are critical for maintaining cellular homeostasis and ensuring proper cell cycle checkpoints.

NPM1 mutations are commonly observed in acute myeloid leukemia (AML) where they affect the normal function of the protein leading to leukemogenesis. NPM1 is also linked to tumorigenesis through its impact on the p53 tumor suppressor pathway. Specifically alterations in NPM1 can disrupt the balance of other related proteins like ALK and p53 influencing the onset and progression of leukemia. Understanding the roles of NPM1 in these contexts is essential for developing targeted therapies to treat AML and other related disorders effectively.

产品实验方案

For this product, it's our understanding that no specific protocols are required. You can visit:

靶点信息

Involved in diverse cellular processes such as ribosome biogenesis, centrosome duplication, protein chaperoning, histone assembly, cell proliferation, and regulation of tumor suppressors p53/TP53 and ARF. Binds ribosome presumably to drive ribosome nuclear export. Associated with nucleolar ribonucleoprotein structures and bind single-stranded nucleic acids. Acts as a chaperonin for the core histones H3, H2B and H4. Stimulates APEX1 endonuclease activity on apurinic/apyrimidinic (AP) double-stranded DNA but inhibits APEX1 endonuclease activity on AP single-stranded RNA. May exert a control of APEX1 endonuclease activity within nucleoli devoted to repair AP on rDNA and the removal of oxidized rRNA molecules. In concert with BRCA2, regulates centrosome duplication. Regulates centriole duplication : phosphorylation by PLK2 is able to trigger centriole replication. Negatively regulates the activation of EIF2AK2/PKR and suppresses apoptosis through inhibition of EIF2AK2/PKR autophosphorylation. Antagonizes the inhibitory effect of ATF5 on cell proliferation and relieves ATF5-induced G2/M blockade (PubMed : 22528486). In complex with MYC enhances the transcription of MYC target genes (PubMed : 25956029). May act as chaperonin or cotransporter in the nucleolar localization of transcription termination factor TTF1 (By similarity).
See full target information NPM1

文献 (32)

Recent publications for all applications. Explore the full list and refine your search

Nature communications 16:8018 PubMed40866413

2025

Hypoxic stress incites HIF1α-driven ribosome biogenesis that can be exploited by targeting RNA Polymerase I.

Applications

Unspecified application

Species

Unspecified reactive species

Amr Elhamamsy,Brandon J Metge,Courtney A Swain,Mohamed H Elbahoty,Dominique C Hinshaw,Sarah C Kammerud,Dongquan Chen,Rajeev S Samant,Lalita A Shevde

NPJ precision oncology 9:10 PubMed39794402

2025

In-depth inference of transcriptional regulatory networks reveals NPM1 as a therapeutic ribosomal regulator in MYC-amplified medulloblastoma.

Applications

Unspecified application

Species

Unspecified reactive species

Tong Chen,Huiyao Chen,Mingyang Xia,Yunfei Liao,Hao Li,Xinran Dong,Yifeng Lin,Wenhao Zhou

Genes 15: PubMed38397189

2024

The Impact of 3D Nichoids and Matrix Stiffness on Primary Malignant Mesothelioma Cells.

Applications

Unspecified application

Species

Unspecified reactive species

Stefania Oliveto,Paolo Ritter,Giorgia Deroma,Annarita Miluzio,Chiara Cordiglieri,Mauro Roberto Benvenuti,Luciano Mutti,Manuela Teresa Raimondi,Stefano Biffo

The FEBS journal 290:1740-1764 PubMed36310106

2022

APE1 interacts with the nuclear exosome complex protein MTR4 and is involved in cisplatin- and 5-fluorouracil-induced RNA damage response.

Applications

Unspecified application

Species

Unspecified reactive species

Marta Codrich,Monica Degrassi,Matilde Clarissa Malfatti,Giulia Antoniali,Andrea Gorassini,Dilara Ayyildiz,Rossella De Marco,Giancarlo Verardo,Gianluca Tell

Frontiers in cardiovascular medicine 9:867813 PubMed35571214

2022

Extracellular Nucleophosmin Is Increased in Psoriasis and Correlates With the Determinants of Cardiovascular Diseases.

Applications

Unspecified application

Species

Unspecified reactive species

Marco D'Agostino,Sara Beji,Sara Sileno,Daniela Lulli,Laura Mercurio,Stefania Madonna,Corrado Cirielli,Sabatino Pallotta,Cristina Albanesi,Maurizio C Capogrossi,Daniele Avitabile,Guido Melillo,Alessandra Magenta

Science advances 8:eabm3945 PubMed35476441

2022

Inheritance of repressed chromatin domains during S phase requires the histone chaperone NPM1.

Applications

Unspecified application

Species

Unspecified reactive species

Thelma M Escobar,Jia-Ray Yu,Sanxiong Liu,Kimberly Lucero,Nikita Vasilyev,Evgeny Nudler,Danny Reinberg

Nature communications 12:4918 PubMed34389719

2021

Nucleolar release of rDNA repeats for repair involves SUMO-mediated untethering by the Cdc48/p97 segregase.

Applications

Unspecified application

Species

Unspecified reactive species

Matías Capella,Imke K Mandemaker,Lucía Martín Caballero,Fabian den Brave,Boris Pfander,Andreas G Ladurner,Stefan Jentsch,Sigurd Braun

BMC biology 19:124 PubMed34134693

2021

Doxorubicin induces an alarmin-like TLR4-dependent autocrine/paracrine action of Nucleophosmin in human cardiac mesenchymal progenitor cells.

Applications

Unspecified application

Species

Unspecified reactive species

Sara Beji,Marco D'Agostino,Elisa Gambini,Sara Sileno,Alessandro Scopece,Maria Cristina Vinci,Giuseppina Milano,Guido Melillo,Monica Napolitano,Giulio Pompilio,Maurizio C Capogrossi,Daniele Avitabile,Alessandra Magenta

Oncology reports 43:1863-1874 PubMed32236588

2020

Triptolide interrupts rRNA synthesis and induces the RPL23‑MDM2‑p53 pathway to repress lung cancer cells.

Applications

Unspecified application

Species

Unspecified reactive species

Juan Wang,Zhi-Qian Zhang,Fang-Qiong Li,Jia-Ning Chen,Xiaoting Gong,Bei-Bei Cao,Wei Wang

Journal of hematology 8:111-120 PubMed32300454

2019

Quantitative Assay of Mutated Nucleophosmin in Acute Myeloid Leukemia.

Applications

Unspecified application

Species

Unspecified reactive species

Safaa A A Khaled,John Burthem,El-Badry E Abo Elnoor,Lobna F ElToni,Hanan M Ahmed,Sohier M Ahmed
View all publications

Abcam Product Promise

我们致力于为您的研究提供高质量的试剂,为您科研的每一步提供支持。若我们的产品未能达到预期性能,我们向您提供 Abcam Product Promise 保障。
详情请参阅我们的条款与条件。

Please note: All products are 'FOR RESEARCH USE ONLY. NOT FOR USE IN DIAGNOSTIC OR THERAPEUTIC PROCEDURES'.

For licensing inquiries, please contact partnerships@abcam.com