JavaScript is disabled in your browser. Please enable JavaScript to view this website.
AB155977

重组Anti-Nucleolin (phospho T84)抗体[EPR8080]

Anti-Nucleolin (phospho T84) antibody [EPR8080]

Be the first to review this product! Submit a review

|

(4 Publications)

Anti-Nucleolin (phospho T84) antibody [EPR8080] (ab155977) is a rabbit monoclonal antibody detecting Nucleolin in Western Blot, IHC-P. Suitable for Human.

- Biophysical QC for unrivalled batch-batch consistency

查看别名

Nucleolin, Protein C23, NCL

3 Images
Immunohistochemistry (Formalin/PFA-fixed paraffin-embedded sections) - Anti-Nucleolin (phospho T84) antibody [EPR8080] (AB155977)
  • IHC-P

Lab

Immunohistochemistry (Formalin/PFA-fixed paraffin-embedded sections) - Anti-Nucleolin (phospho T84) antibody [EPR8080] (AB155977)

Immunohistochemistry (Formalin/PFA-fixed paraffin-embedded sections) analysis of human tonsil tissue sections labeling Nucleolin with purified ab155977 at 1/10000 dilution (0.18 μg/mL). Heat mediated antigen retrieval was performed using Heat mediated antigen retrieval using Bond™ Epitope Retrieval Solution 2 (pH 9.0) for 20 minutes. Tissue was counterstained with Hematoxylin. Rabbit specific IHC polymer detection kit HRP/DAB (ab209101) (ready to use) secondary antibody was used.

Nuclear staining on human tonsil without alkaline phosphatase treatment (image A). No signal was detected when tissues were treated with alkaline phosphatase (image B).

The section was incubated with ab155977 for 30 mins at room temperature.

The immunostaining was performed on a Leica Biosystems BOND® RX instrument

Immunohistochemistry (Formalin/PFA-fixed paraffin-embedded sections) - Anti-Nucleolin (phospho T84) antibody [EPR8080] (AB155977)
  • IHC-P

Lab

Immunohistochemistry (Formalin/PFA-fixed paraffin-embedded sections) - Anti-Nucleolin (phospho T84) antibody [EPR8080] (AB155977)

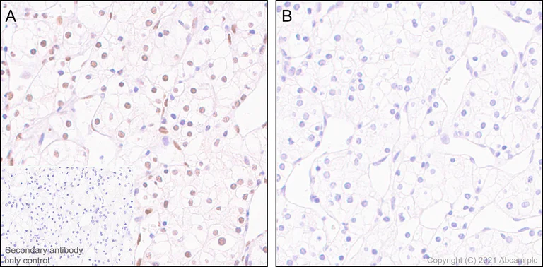
Immunohistochemistry (Formalin/PFA-fixed paraffin-embedded sections) analysis of human kidney carcioma tissue sections labeling Nucleolin with purified ab155977 at 1/10000 dilution (0.18 μg/mL). Heat mediated antigen retrieval was performed using Heat mediated antigen retrieval using Bond™ Epitope Retrieval Solution 2 (pH 9.0) for 20 minutes. Tissue was counterstained with Hematoxylin. Rabbit specific IHC polymer detection kit HRP/DAB (ab209101) (ready to use) secondary antibody was used.

Nuclear staining on human kidney carcinoma without alkaline phosphatase treatment (image A). No signal was detected when tissues were treated with alkaline phosphatase (image B).

The section was incubated with ab155977 for 30 mins at room temperature.

The immunostaining was performed on a Leica Biosystems BOND® RX instrument

Western blot - Anti-Nucleolin (phospho T84) antibody [EPR8080] (AB155977)
  • WB

Unknown

Western blot - Anti-Nucleolin (phospho T84) antibody [EPR8080] (AB155977)

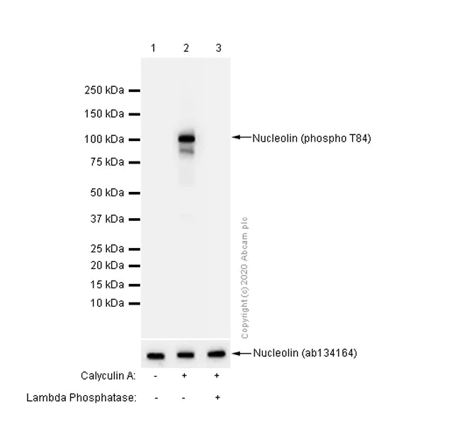
All lanes:

Western blot - Anti-Nucleolin (phospho T84) antibody [EPR8080] (ab155977) at 1/5000 dilution

Lane 1:

Untreated K-562 (Human chronic myelogenous leukemia lymphoblast) whole cell lysate at 15 µg

Lane 2:

K-562 (Human chronic myelogenous leukemia lymphoblast) treated with 100nM Calyculin A for 30 minutes whole cell lysate at 15 µg

Lane 3:

K-562 (Human chronic myelogenous leukemia lymphoblast) treated with 100nM Calyculin A for 30 minutes, then the membrane treated with Lambda Phosphatase for 1 hour at 15 µg

Secondary

All lanes:

Western blot - Goat Anti-Rabbit IgG H&L (HRP) (<a href='/products/secondary-antibodies/goat-rabbit-igg-h-l-hrp-ab97051'>ab97051</a>) at 1/20000 dilution

Predicted band size: 76 kDa

false

不同偶联物与剂型 (8)

  • Carrier free

    Anti-Nucleolin (phospho T84) antibody [EPR8080] - BSA and Azide free

  • 660 APC

    APC Anti-Nucleolin (phospho T84) antibody [EPR8080]

  • 578 PE

    PE Anti-Nucleolin (phospho T84) antibody [EPR8080]

  • 565 Alexa Fluor® 555

    Alexa Fluor® 555 Anti-Nucleolin (phospho T84) antibody [EPR8080]

  • 665 Alexa Fluor® 647

    Alexa Fluor® 647 Anti-Nucleolin (phospho T84) antibody [EPR8080]

  • 617 Alexa Fluor® 594

    Alexa Fluor® 594 Anti-Nucleolin (phospho T84) antibody [EPR8080]

  • 519 Alexa Fluor® 488

    Alexa Fluor® 488 Anti-Nucleolin (phospho T84) antibody [EPR8080]

  • 775 Alexa Fluor® 750

    Alexa Fluor® 750 Anti-Nucleolin (phospho T84) antibody [EPR8080]

关键信息

宿主种属

Rabbit

克隆

Monoclonal

克隆号

EPR8080

亚型

IgG

不含载体蛋白

No

反应种属

Human

应用

IHC-P, WB

applications

免疫原

The exact immunogen used to generate this antibody is proprietary information.

反应性数据

{ "title": "Reactivity Data", "filters": { "stats": ["", "Species", "Dilution Info", "Notes"], "tabs": { "all-applications": {"fullname" : "All Applications", "shortname": "All Applications"}, "IHCP" : {"fullname" : "Immunohistochemistry (Formalin/PFA-fixed paraffin-embedded sections)", "shortname":"IHC-P"}, "WB" : {"fullname" : "Western blot", "shortname":"WB"} }, "product-promise": { "all": "all", "testedAndGuaranteed": "tested", "guaranteed": "expected", "predicted": "predicted", "notRecommended": "not-recommended" } }, "values": { "Human": { "IHCP-species-checked": "testedAndGuaranteed", "IHCP-species-dilution-info": "1/5000", "IHCP-species-notes": "<p><strong>For unpurified use at 1/50 - 1/100</strong></p>", "WB-species-checked": "testedAndGuaranteed", "WB-species-dilution-info": "1/1000 - 1/10000", "WB-species-notes": "<p></p>" } } }

产品详情

What is this antibody validated in?
Anti-Nucleolin (phospho T84) antibody [EPR8080] (ab155977) is a rabbit recombinant monoclonal antibody and is validated for use in Western Blot (WB), Immunohistochemistry (IHC-P) in Human samples.

What is the molecular weight of Nucleolin?
Anti-Nucleolin (phospho T84) [EPR8080] (ab155977) specifically detects a band for Nucleolin (UniProt: P19338) at a molecular weight of 77kDa.

Trial sizes available!
Test your antibody or perform pre-screening before committing to a larger quantity. Sold in 10µl. Discover our selection of trial-size antibodies.

Other related products
We have a range of other formats of antibody clone [EPR8080] also available for your convenience: ab155977, Carrier free - ab233474, PE - ab317906, APC - ab317945, Alexa Fluor® 488 - ab317986, Alexa Fluor® 594 - ab318028, Alexa Fluor® 555 - ab318070, Alexa Fluor® 647 - ab318111, Alexa Fluor® 750 - ab321142

Species reactivity
Mouse, Rat: We have preliminary internal testing data to indicate this antibody may not react with these species.
Please contact us for more information.

Patented technology
Our RabMAb® technology is a patented hybridoma-based technology for making rabbit monoclonal antibodies. For details on our patents, please refer to RabMAb® patents.

What are the advantages of a recombinant monoclonal antibody?
This product is a recombinant monoclonal antibody, which offers several advantages including:

  • - High batch-to-batch consistency and reproducibility
  • - Improved sensitivity and specificity
  • - Long-term security of supply
  • - Animal-free batch production

For more information, read more on recombinant antibodies.

性能和储存信息

形式
Liquid
纯化工艺
Affinity purification Protein A
存储溶液
pH: 7.2 - 7.4 Preservative: 0.01% Sodium azide Constituents: PBS, 40% Glycerol (glycerin, glycerine), 0.05% BSA
运输条件
Blue Ice
推荐的短期储存时间
1-2 weeks
推荐的短期储存条件
+4°C
推荐的长期储存条件
-20°C
分装信息
Upon delivery aliquot
储存信息
Avoid freeze / thaw cycle

补充信息

This supplementary information is collated from multiple sources and compiled automatically.

Nucleolin also known as C23 is a multifunctional protein mainly found in the nucleolus with a molecular weight of approximately 100 kDa. It plays a mechanical role in ribosomal RNA (rRNA) synthesis and ribosome biogenesis. Nucleolin is widely expressed in proliferating cells including HeLa culture and shows higher expression in cancer cells compared to normal cells. The nucleolin protein is involved in various nucleolar processes like the modulation of chromatin structure and nucleocytoplasmic transport.
Biological function summary

The nucleolin molecular weight protein contributes to regulating cellular processes such as chromatin remodeling rRNA transcription and mRNA stability. Nucleolin often forms complexes with various other proteins and nucleic acids enhancing its functionality within the cell nucleus. Its participation in processes like DNA replication and cell proliferation shows the central role nucleolin plays at the cellular level. It influences cellular responses by binding directly to specific RNA or DNA sequences.

Pathways

The nucleolin protein engages in major cellular pathways such as the RNA processing and p53 signaling pathways. Through the RNA processing pathway it interacts with proteins like fibrillarin to assist in rRNA maturation. Moreover within the p53 signaling pathway nucleolin regulates the activity of the tumor suppressor protein p53 impacting cell cycle progression and apoptosis. These interactions highlight nucleolin's role in maintaining cellular homeostasis and response to stress.

The nucleolin protein often shows altered expression in cancers and cardiovascular diseases. In cancer nucleolin's high expression levels correlate with tumor progression and metastasis making it a potential target for cancer therapies. In cardiovascular diseases nucleolin interacts with proteins like VEGF to influence angiogenesis which affects disease progression. Understanding nucleolin's involvement in these diseases provides insight into potential therapeutic targets and interventions.

产品实验方案

For this product, it's our understanding that no specific protocols are required. You can visit:

靶点信息

Nucleolin is the major nucleolar protein of growing eukaryotic cells. It is found associated with intranucleolar chromatin and pre-ribosomal particles. It induces chromatin decondensation by binding to histone H1. It is thought to play a role in pre-rRNA transcription and ribosome assembly. May play a role in the process of transcriptional elongation. Binds RNA oligonucleotides with 5'-UUAGGG-3' repeats more tightly than the telomeric single-stranded DNA 5'-TTAGGG-3' repeats.
See full target information NCL phospho T84

文献 (4)

Recent publications for all applications. Explore the full list and refine your search

Nature 646:734-745 PubMed40836083

2025

Targeting G1-S-checkpoint-compromised cancers with cyclin A/B RxL inhibitors.

Applications

Unspecified application

Species

Unspecified reactive species

Shilpa Singh,Catherine E Gleason,Min Fang,Yasmin N Laimon,Vishal Khivansara,Shanhai Xie,Yavuz T Durmaz,Aniruddha Sarkar,Kenneth Ngo,Varunika Savla,Yixiang Li,Muhannad Abu-Remaileh,Xinyue Li,Marie-Anais Locquet,Bishma Tuladhar,Ranya Odeh,Frances Hamkins-Indik,Daphne He,Miles W Membreno,Meisam Nosrati,Nathan N Gushwa,Siegfried S F Leung,Breena Fraga-Walton,Luis Hernandez,Miguel P Baldomero,Bryan M Lent,David Spellmeyer,Joshua F Luna,Dalena Hoang,Yuliana Gritsenko,Manesh Chand,Megan K DeMart,Sammy Metobo,Chinmay Bhatt,Justin A Shapiro,Kai Yang,Nathan J Dupper,Andrew T Bockus,Jinshu Fang,Ramesh Bambal,Peadar Cremin,John G Doench,James B Aggen,Li-Fen Liu,Bernard Levin,Evelyn W Wang,Iolanda Vendrell,Roman Fischer,Benedikt Kessler,Prafulla C Gokhale,Sabina Signoretti,Alexander Spektor,Constantine Kreatsoulas,Marie Evangelista,Rajinder Singh,David J Earp,Deepak Nijhawan,Pablo D Garcia,Matthew G Oser

NPJ breast cancer 11:39 PubMed40287441

2025

MUC1-C dependency in drug resistant HR+/HER2- breast cancer identifies a new target for antibody-drug conjugate treatment.

Applications

Unspecified application

Species

Unspecified reactive species

Ayako Nakashoji,Atrayee Bhattacharya,Hiroki Ozawa,Naoki Haratake,Keisuke Shigeta,Atsushi Fushimi,Nami Yamashita,Akira Matsui,Shoko Kure,Tomoe Kameyama,Makoto Takeuchi,Kazumasa Fukuda,Takamichi Yokoe,Aiko Nagayama,Tetsu Hayahsida,Yuko Kitagawa,Renyan Liu,Antonio Giordano,Rinath Jeselsohn,Geoffrey I Shapiro,Donald Kufe

Cancer discovery 14:446-467 PubMed38047585

2023

INX-315, a Selective CDK2 Inhibitor, Induces Cell Cycle Arrest and Senescence in Solid Tumors.

Applications

Unspecified application

Species

Unspecified reactive species

Catherine Dietrich,Alec Trub,Antonio Ahn,Michael Taylor,Krutika Ambani,Keefe T Chan,Kun-Hui Lu,Christabella A Mahendra,Catherine Blyth,Rhiannon Coulson,Susanne Ramm,April C Watt,Sunil Kumar Matsa,John Bisi,Jay Strum,Patrick Roberts,Shom Goel

Nature communications 13:2835 PubMed35595767

2022

Inhibition of the CDK2 and Cyclin A complex leads to autophagic degradation of CDK2 in cancer cells.

Applications

Unspecified application

Species

Unspecified reactive species

Jiawei Zhang,Yichao Gan,Hongzhi Li,Jie Yin,Xin He,Liming Lin,Senlin Xu,Zhipeng Fang,Byung-Wook Kim,Lina Gao,Lili Ding,Eryun Zhang,Xiaoxiao Ma,Junfeng Li,Ling Li,Yang Xu,David Horne,Rongzhen Xu,Hua Yu,Ying Gu,Wendong Huang
View all publications

Abcam Product Promise

我们致力于为您的研究提供高质量的试剂,为您科研的每一步提供支持。若我们的产品未能达到预期性能,我们向您提供 Abcam Product Promise 保障。
详情请参阅我们的条款与条件。

Please note: All products are 'FOR RESEARCH USE ONLY. NOT FOR USE IN DIAGNOSTIC OR THERAPEUTIC PROCEDURES'.

For licensing inquiries, please contact partnerships@abcam.com