JavaScript is disabled in your browser. Please enable JavaScript to view this website.
AB216006

Anti-Nucleolin抗体[NCL/902] - BSA and Azide free

Anti-Nucleolin antibody [NCL/902] - BSA and Azide free

Be the first to review this product! Submit a review

|

(1 Publication)

Mouse Monoclonal Nucleolin antibody. Carrier free. Suitable for IHC-P, Flow Cyt, WB and reacts with Human samples. Cited in 1 publication. Immunogen corresponding to Recombinant Full Length Protein corresponding to Human NCL.

查看别名

Nucleolin, Protein C23, NCL

8 Images
Immunohistochemistry (Formalin/PFA-fixed paraffin-embedded sections) - Anti-Nucleolin antibody [NCL/902] - BSA and Azide free (AB216006)
  • IHC-P

Supplier Data

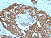
Immunohistochemistry (Formalin/PFA-fixed paraffin-embedded sections) - Anti-Nucleolin antibody [NCL/902] - BSA and Azide free (AB216006)

Immunohistochemical analysis of formalin-fixed, paraffin-embedded human bladder carcinoma tissue labeling Nucleolin with ab216006 at 1 μg/ml dilution.

Flow Cytometry - Anti-Nucleolin antibody [NCL/902] - BSA and Azide free (AB216006)
  • Flow Cyt

Supplier Data

Flow Cytometry - Anti-Nucleolin antibody [NCL/902] - BSA and Azide free (AB216006)

Flow Cytometric analysis of HEK-293T (Human epithelial cell line from embryonic kidney transformed with large T antigen) cells labeling Nucleolin with ab216006 at 1 ug/million cells. Black : cells alone; Grey : Isotype control; Green : AF488-labeled ab216006.

Immunohistochemistry (Formalin/PFA-fixed paraffin-embedded sections) - Anti-Nucleolin antibody [NCL/902] - BSA and Azide free (AB216006)
  • IHC-P

Supplier Data

Immunohistochemistry (Formalin/PFA-fixed paraffin-embedded sections) - Anti-Nucleolin antibody [NCL/902] - BSA and Azide free (AB216006)

Immunohistochemical analysis of formalin-fixed, paraffin-embedded human tonsil tissue labeling Nucleolin with ab216006 at 1 μg/ml dilution.

Immunohistochemistry (Formalin/PFA-fixed paraffin-embedded sections) - Anti-Nucleolin antibody [NCL/902] - BSA and Azide free (AB216006)
  • IHC-P

Supplier Data

Immunohistochemistry (Formalin/PFA-fixed paraffin-embedded sections) - Anti-Nucleolin antibody [NCL/902] - BSA and Azide free (AB216006)

Immunohistochemical analysis of formalin-fixed, paraffin-embedded human uterus tissue labeling Nucleolin with ab216006 at 1 μg/ml dilution.

Flow Cytometry - Anti-Nucleolin antibody [NCL/902] - BSA and Azide free (AB216006)
  • Flow Cyt

Supplier Data

Flow Cytometry - Anti-Nucleolin antibody [NCL/902] - BSA and Azide free (AB216006)

Flow Cytometric analysis of Jurkat (Human T cell leukemia cell line from peripheral blood) cells labeling Nucleolin with ab216006 at 1 ug/million cells. Grey : Isotype control; Green : FITC-labeled; Purple : APC-labeled; Turquoise : AF700-labeled ab216006.

Immunohistochemistry (Formalin/PFA-fixed paraffin-embedded sections) - Anti-Nucleolin antibody [NCL/902] - BSA and Azide free (AB216006)
  • IHC-P

Supplier Data

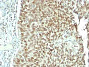
Immunohistochemistry (Formalin/PFA-fixed paraffin-embedded sections) - Anti-Nucleolin antibody [NCL/902] - BSA and Azide free (AB216006)

Immunohistochemical analysis of formalin-fixed, paraffin-embedded human skin tissue labeling Nucleolin with ab216006 at 1 μg/ml dilution.

Immunohistochemistry (Formalin/PFA-fixed paraffin-embedded sections) - Anti-Nucleolin antibody [NCL/902] - BSA and Azide free (AB216006)
  • IHC-P

Supplier Data

Immunohistochemistry (Formalin/PFA-fixed paraffin-embedded sections) - Anti-Nucleolin antibody [NCL/902] - BSA and Azide free (AB216006)

Immunohistochemical analysis of formalin-fixed, paraffin-embedded human ovarian carcinoma tissue labeling Nucleolin with ab216006 at 1 μg/ml dilution.

Western blot - Anti-Nucleolin antibody [NCL/902] - BSA and Azide free (AB216006)
  • WB

Supplier Data

Western blot - Anti-Nucleolin antibody [NCL/902] - BSA and Azide free (AB216006)

All lanes:

Western blot - Anti-Nucleolin antibody [NCL/902] - BSA and Azide free (ab216006) at 1 µg/mL

All lanes:

A431 cell lysate

Predicted band size: 76 kDa

false

关键信息

宿主种属

Mouse

克隆

Monoclonal

克隆号

NCL/902

亚型

IgG1

轻链类型

kappa

不含载体蛋白

Yes

反应种属

Human

应用

WB, IHC-P, Flow Cyt

applications

免疫原

Recombinant Full Length Protein corresponding to Human NCL.

P19338

反应性数据

{ "title": "Reactivity Data", "filters": { "stats": ["", "Species", "Dilution Info", "Notes"], "tabs": { "all-applications": {"fullname" : "All Applications", "shortname": "All Applications"}, "IHCP" : {"fullname" : "Immunohistochemistry (Formalin/PFA-fixed paraffin-embedded sections)", "shortname":"IHC-P"}, "FlowCyt" : {"fullname" : "Flow Cytometry", "shortname":"Flow Cyt"}, "WB" : {"fullname" : "Western blot", "shortname":"WB"} }, "product-promise": { "all": "all", "testedAndGuaranteed": "tested", "guaranteed": "expected", "predicted": "predicted", "notRecommended": "not-recommended" } }, "values": { "Human": { "IHCP-species-checked": "testedAndGuaranteed", "IHCP-species-dilution-info": "0.5-1 µg/mL", "IHCP-species-notes": "<p></p> Perform heat-mediated antigen retrieval with citrate buffer pH 6 before commencing with IHC staining protocol.", "FlowCyt-species-checked": "testedAndGuaranteed", "FlowCyt-species-dilution-info": "1-2 µg for 10^6 Cells", "FlowCyt-species-notes": "<p></p>", "WB-species-checked": "testedAndGuaranteed", "WB-species-dilution-info": "0.5-1 µg/mL", "WB-species-notes": "<p></p>" }, "Mouse": { "IHCP-species-checked": "notRecommended", "IHCP-species-dilution-info": "0.5-1 µg/mL", "IHCP-species-notes": "<p></p> Perform heat-mediated antigen retrieval with citrate buffer pH 6 before commencing with IHC staining protocol.", "FlowCyt-species-checked": "notRecommended", "FlowCyt-species-dilution-info": "1-2 µg for 10^6 Cells", "FlowCyt-species-notes": "<p></p>", "WB-species-checked": "notRecommended", "WB-species-dilution-info": "0.5-1 µg/mL", "WB-species-notes": "<p></p>" }, "Rat": { "IHCP-species-checked": "notRecommended", "IHCP-species-dilution-info": "0.5-1 µg/mL", "IHCP-species-notes": "<p></p> Perform heat-mediated antigen retrieval with citrate buffer pH 6 before commencing with IHC staining protocol.", "FlowCyt-species-checked": "notRecommended", "FlowCyt-species-dilution-info": "1-2 µg for 10^6 Cells", "FlowCyt-species-notes": "<p></p>", "WB-species-checked": "notRecommended", "WB-species-dilution-info": "0.5-1 µg/mL", "WB-species-notes": "<p></p>" }, "Cow": { "IHCP-species-checked": "notRecommended", "IHCP-species-dilution-info": "0.5-1 µg/mL", "IHCP-species-notes": "<p></p> Perform heat-mediated antigen retrieval with citrate buffer pH 6 before commencing with IHC staining protocol.", "FlowCyt-species-checked": "notRecommended", "FlowCyt-species-dilution-info": "1-2 µg for 10^6 Cells", "FlowCyt-species-notes": "<p></p>", "WB-species-checked": "notRecommended", "WB-species-dilution-info": "0.5-1 µg/mL", "WB-species-notes": "<p></p>" }, "Cynomolgus monkey": { "IHCP-species-checked": "notRecommended", "IHCP-species-dilution-info": "", "IHCP-species-notes": "", "FlowCyt-species-checked": "notRecommended", "FlowCyt-species-dilution-info": "", "FlowCyt-species-notes": "", "WB-species-checked": "notRecommended", "WB-species-dilution-info": "", "WB-species-notes": "" }, "Orangutan": { "IHCP-species-checked": "notRecommended", "IHCP-species-dilution-info": "", "IHCP-species-notes": "", "FlowCyt-species-checked": "notRecommended", "FlowCyt-species-dilution-info": "", "FlowCyt-species-notes": "", "WB-species-checked": "notRecommended", "WB-species-dilution-info": "", "WB-species-notes": "" } } }

性能和储存信息

形式
Liquid
纯化工艺
Affinity purification Protein G
存储溶液
pH: 7.2 - 7.4 Constituents: PBS
运输条件
Blue Ice
推荐的短期储存时间
1-2 weeks
推荐的短期储存条件
+4°C
推荐的长期储存条件
-20°C
分装信息
Upon delivery aliquot
储存信息
Avoid freeze / thaw cycle

补充信息

This supplementary information is collated from multiple sources and compiled automatically.

Nucleolin also known as C23 is a multifunctional protein mainly found in the nucleolus with a molecular weight of approximately 100 kDa. It plays a mechanical role in ribosomal RNA (rRNA) synthesis and ribosome biogenesis. Nucleolin is widely expressed in proliferating cells including HeLa culture and shows higher expression in cancer cells compared to normal cells. The nucleolin protein is involved in various nucleolar processes like the modulation of chromatin structure and nucleocytoplasmic transport.
Biological function summary

The nucleolin molecular weight protein contributes to regulating cellular processes such as chromatin remodeling rRNA transcription and mRNA stability. Nucleolin often forms complexes with various other proteins and nucleic acids enhancing its functionality within the cell nucleus. Its participation in processes like DNA replication and cell proliferation shows the central role nucleolin plays at the cellular level. It influences cellular responses by binding directly to specific RNA or DNA sequences.

Pathways

The nucleolin protein engages in major cellular pathways such as the RNA processing and p53 signaling pathways. Through the RNA processing pathway it interacts with proteins like fibrillarin to assist in rRNA maturation. Moreover within the p53 signaling pathway nucleolin regulates the activity of the tumor suppressor protein p53 impacting cell cycle progression and apoptosis. These interactions highlight nucleolin's role in maintaining cellular homeostasis and response to stress.

The nucleolin protein often shows altered expression in cancers and cardiovascular diseases. In cancer nucleolin's high expression levels correlate with tumor progression and metastasis making it a potential target for cancer therapies. In cardiovascular diseases nucleolin interacts with proteins like VEGF to influence angiogenesis which affects disease progression. Understanding nucleolin's involvement in these diseases provides insight into potential therapeutic targets and interventions.

产品实验方案

For this product, it's our understanding that no specific protocols are required. You can visit:

靶点信息

Nucleolin is the major nucleolar protein of growing eukaryotic cells. It is found associated with intranucleolar chromatin and pre-ribosomal particles. It induces chromatin decondensation by binding to histone H1. It is thought to play a role in pre-rRNA transcription and ribosome assembly. May play a role in the process of transcriptional elongation. Binds RNA oligonucleotides with 5'-UUAGGG-3' repeats more tightly than the telomeric single-stranded DNA 5'-TTAGGG-3' repeats.
See full target information NCL

文献 (1)

Recent publications for all applications. Explore the full list and refine your search

Oncology letters 17:3657-3664 PubMed30881490

2019

The oncogenic role of Wnt10a in colorectal cancer through activation of canonical Wnt/β-catenin signaling.

Applications

Unspecified application

Species

Unspecified reactive species

Jinlong Li,Zhaoli Zhang,Lixue Wang,Yongchen Zhang
View all publications

Abcam Product Promise

我们致力于为您的研究提供高质量的试剂,为您科研的每一步提供支持。若我们的产品未能达到预期性能,我们向您提供 Abcam Product Promise 保障。
详情请参阅我们的条款与条件。

Please note: All products are 'FOR RESEARCH USE ONLY. NOT FOR USE IN DIAGNOSTIC OR THERAPEUTIC PROCEDURES'.

For licensing inquiries, please contact partnerships@abcam.com