JavaScript is disabled in your browser. Please enable JavaScript to view this website.
AB226113

重组Anti-Nucleolin抗体[EPR7952] - BSA and Azide free

Anti-Nucleolin antibody [EPR7952] - BSA and Azide free

Be the first to review this product! Submit a review

|

(2 Publications)

Rabbit Recombinant Monoclonal Nucleolin antibody. Carrier free. Suitable for WB, ICC/IF, Flow Cyt (Intra), IHC-P and reacts with Mouse, Rat, Human samples. Cited in 2 publications.

查看别名

Nucleolin, Protein C23, NCL

5 Images
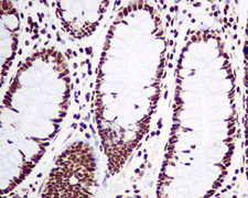
Immunohistochemistry (Formalin/PFA-fixed paraffin-embedded sections) - Anti-Nucleolin antibody [EPR7952] - BSA and Azide free (AB226113)
  • IHC-P

Unknown

Immunohistochemistry (Formalin/PFA-fixed paraffin-embedded sections) - Anti-Nucleolin antibody [EPR7952] - BSA and Azide free (AB226113)

ab129200, at 1/250 dilution, staining Nucleolin in paraffin-embedded Human colon tissue by Immunohistochemistry.This data was developed using the same antibody clone in a different buffer formulation containing PBS, BSA, glycerol, and sodium azide (ab129200).

Flow Cytometry (Intracellular) - Anti-Nucleolin antibody [EPR7952] - BSA and Azide free (AB226113)
  • Flow Cyt (Intra)

Unknown

Flow Cytometry (Intracellular) - Anti-Nucleolin antibody [EPR7952] - BSA and Azide free (AB226113)

Intracellular Flow Cytometry analysis of HeLa (human cervix adenocarcinoma) cells labeling Nucleolin (red) with ab129200 at a 1/2000 dilution. Cells were fixed with 80% methanol and permeabilized with 0.1% Tween-20. A goat anti-rabbit IgG (Alexa Fluor® 488) (ab150077) was used as the secondary antibody at a 1/2000 dilution. Black - Rabbit monoclonal IgG (ab172730). Blue (unlabeled control) - Cells without incubation with the primary and secondary antibodies.

This data was developed using the same antibody clone in a different buffer formulation containing PBS, BSA, glycerol, and sodium azide (ab129200).

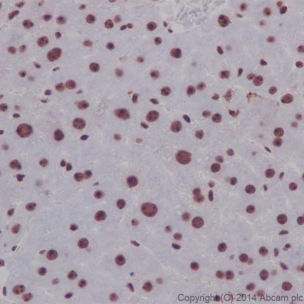
Immunohistochemistry (Formalin/PFA-fixed paraffin-embedded sections) - Anti-Nucleolin antibody [EPR7952] - BSA and Azide free (AB226113)
  • IHC-P

Lab

Immunohistochemistry (Formalin/PFA-fixed paraffin-embedded sections) - Anti-Nucleolin antibody [EPR7952] - BSA and Azide free (AB226113)

Immunohistochemistry (Formalin/PFA-fixed paraffin-embedded sections) analysis of rat liver tissue labelling Nucleolin with ab129200 at 1/500. Heat mediated antigen retrieval was performed using Tris/EDTA buffer pH 9. A ready to use HRP-conjugated goat anti-rabbit IgG (H+L) was used as the secondary antibody. Counterstained with hematoxylin.

This data was developed using the same antibody clone in a different buffer formulation containing PBS, BSA, glycerol, and sodium azide (ab129200).

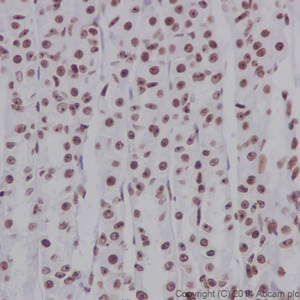
Immunohistochemistry (Formalin/PFA-fixed paraffin-embedded sections) - Anti-Nucleolin antibody [EPR7952] - BSA and Azide free (AB226113)
  • IHC-P

Lab

Immunohistochemistry (Formalin/PFA-fixed paraffin-embedded sections) - Anti-Nucleolin antibody [EPR7952] - BSA and Azide free (AB226113)

Immunohistochemistry (Formalin/PFA-fixed paraffin-embedded sections) analysis of mouse liver tissue labelling Nucleolin with ab129200 at 1/500. Heat mediated antigen retrieval was performed using Tris/EDTA buffer pH 9. A ready to use HRP-conjugated goat anti-rabbit IgG (H+L) was used as the secondary antibody. Counterstained with hematoxylin.

This data was developed using the same antibody clone in a different buffer formulation containing PBS, BSA, glycerol, and sodium azide (ab129200).

OI-RD Scanning - Anti-Nucleolin antibody [EPR7952] - BSA and Azide free (AB226113)
  • OI-RD Scanning

Unknown

OI-RD Scanning - Anti-Nucleolin antibody [EPR7952] - BSA and Azide free (AB226113)

We have systematically measured KD (the equilibrium dissociation constant between the antibody and its antigen), of more than 840 recombinant antibodies to assess not only their individual KD values but also to see the average affinity of antibody. Based on the comparison with published literature values for mouse monoclonal antibodies, Recombinant antibodies appear to be on average 1-2 order of magnitude higher affinity.

关键信息

宿主种属

Rabbit

克隆

Monoclonal

克隆号

EPR7952

亚型

IgG

不含载体蛋白

Yes

反应种属

Mouse, Rat, Human

应用

Flow Cyt (Intra), WB, IHC-P, ICC/IF

applications

免疫原

The exact immunogen used to generate this antibody is proprietary information.

反应性数据

{ "title": "Reactivity Data", "filters": { "stats": ["", "Species", "Dilution Info", "Notes"], "tabs": { "all-applications": {"fullname" : "All Applications", "shortname": "All Applications"}, "IP" : {"fullname" : "Immunoprecipitation", "shortname":"IP"}, "WB" : {"fullname" : "Western blot", "shortname":"WB"}, "ICCIF" : {"fullname" : "Immunocytochemistry/ Immunofluorescence", "shortname":"ICC/IF"}, "FlowCytIntra" : {"fullname" : "Flow Cytometry (Intracellular)", "shortname":"Flow Cyt (Intra)"}, "IHCP" : {"fullname" : "Immunohistochemistry (Formalin/PFA-fixed paraffin-embedded sections)", "shortname":"IHC-P"} }, "product-promise": { "all": "all", "testedAndGuaranteed": "tested", "guaranteed": "expected", "predicted": "predicted", "notRecommended": "not-recommended" } }, "values": { "Human": { "IP-species-checked": "notRecommended", "IP-species-dilution-info": "", "IP-species-notes": "<p></p>", "WB-species-checked": "guaranteed", "WB-species-dilution-info": "", "WB-species-notes": "<p></p>", "ICCIF-species-checked": "guaranteed", "ICCIF-species-dilution-info": "", "ICCIF-species-notes": "<p></p>", "FlowCytIntra-species-checked": "testedAndGuaranteed", "FlowCytIntra-species-dilution-info": "", "FlowCytIntra-species-notes": "<p></p>", "IHCP-species-checked": "guaranteed", "IHCP-species-dilution-info": "", "IHCP-species-notes": "" }, "Mouse": { "IP-species-checked": "notRecommended", "IP-species-dilution-info": "", "IP-species-notes": "<p></p>", "WB-species-checked": "guaranteed", "WB-species-dilution-info": "", "WB-species-notes": "<p></p>", "ICCIF-species-checked": "guaranteed", "ICCIF-species-dilution-info": "", "ICCIF-species-notes": "<p></p>", "FlowCytIntra-species-checked": "predicted", "FlowCytIntra-species-dilution-info": "", "FlowCytIntra-species-notes": "", "IHCP-species-checked": "predicted", "IHCP-species-dilution-info": "", "IHCP-species-notes": "" }, "Rat": { "IP-species-checked": "notRecommended", "IP-species-dilution-info": "", "IP-species-notes": "<p></p>", "WB-species-checked": "guaranteed", "WB-species-dilution-info": "", "WB-species-notes": "<p></p>", "ICCIF-species-checked": "guaranteed", "ICCIF-species-dilution-info": "", "ICCIF-species-notes": "<p></p>", "FlowCytIntra-species-checked": "guaranteed", "FlowCytIntra-species-dilution-info": "", "FlowCytIntra-species-notes": "", "IHCP-species-checked": "testedAndGuaranteed", "IHCP-species-dilution-info": "", "IHCP-species-notes": "<p></p>" } } }

产品详情

ab226113 is the carrier-free version of ab129200.

Patented technology
Our RabMAb® technology is a patented hybridoma-based technology for making rabbit monoclonal antibodies. For details on our patents, please refer to RabMAb® patents.

What are the advantages of a recombinant monoclonal antibody?
This product is a recombinant monoclonal antibody, which offers several advantages including:

  • - High batch-to-batch consistency and reproducibility
  • - Improved sensitivity and specificity
  • - Long-term security of supply
  • - Animal-free batch production

For more information, read more on recombinant antibodies.

Conjugation ready
Our carrier-free antibodies are typically supplied in a PBS-only formulation, purified and free of BSA, sodium azide and glycerol. This conjugation-ready format is designed for use with fluorochromes, metal isotopes, oligonucleotides, and enzymes, which makes them ideal for antibody labelling, functional and cell-based assays, flow-based assays (e.g. mass cytometry) and Multiplex Imaging applications.

Use our conjugation kits for antibody conjugates that are ready-to-use in as little as 20 minutes with 1 minute hands-on-time and 100% antibody recovery: available for fluorescent dyes, HRP, biotin and gold.

Compatibility
This product is compatible with the Maxpar® Antibody Labeling Kit from Fluidigm, without the need for antibody preparation. Maxpar® is a trademark of Fluidigm Canada Inc.

性能和储存信息

形式
Liquid
纯化工艺
Affinity purification Protein A
存储溶液
pH: 7.2 - 7.4 Constituents: PBS
运输条件
Blue Ice
推荐的短期储存条件
+4°C
推荐的长期储存条件
+4°C
储存信息
Do Not Freeze

补充信息

This supplementary information is collated from multiple sources and compiled automatically.

Nucleolin also known as C23 is a multifunctional protein mainly found in the nucleolus with a molecular weight of approximately 100 kDa. It plays a mechanical role in ribosomal RNA (rRNA) synthesis and ribosome biogenesis. Nucleolin is widely expressed in proliferating cells including HeLa culture and shows higher expression in cancer cells compared to normal cells. The nucleolin protein is involved in various nucleolar processes like the modulation of chromatin structure and nucleocytoplasmic transport.
Biological function summary

The nucleolin molecular weight protein contributes to regulating cellular processes such as chromatin remodeling rRNA transcription and mRNA stability. Nucleolin often forms complexes with various other proteins and nucleic acids enhancing its functionality within the cell nucleus. Its participation in processes like DNA replication and cell proliferation shows the central role nucleolin plays at the cellular level. It influences cellular responses by binding directly to specific RNA or DNA sequences.

Pathways

The nucleolin protein engages in major cellular pathways such as the RNA processing and p53 signaling pathways. Through the RNA processing pathway it interacts with proteins like fibrillarin to assist in rRNA maturation. Moreover within the p53 signaling pathway nucleolin regulates the activity of the tumor suppressor protein p53 impacting cell cycle progression and apoptosis. These interactions highlight nucleolin's role in maintaining cellular homeostasis and response to stress.

The nucleolin protein often shows altered expression in cancers and cardiovascular diseases. In cancer nucleolin's high expression levels correlate with tumor progression and metastasis making it a potential target for cancer therapies. In cardiovascular diseases nucleolin interacts with proteins like VEGF to influence angiogenesis which affects disease progression. Understanding nucleolin's involvement in these diseases provides insight into potential therapeutic targets and interventions.

产品实验方案

For this product, it's our understanding that no specific protocols are required. You can visit:

靶点信息

Nucleolin is the major nucleolar protein of growing eukaryotic cells. It is found associated with intranucleolar chromatin and pre-ribosomal particles. It induces chromatin decondensation by binding to histone H1. It is thought to play a role in pre-rRNA transcription and ribosome assembly. May play a role in the process of transcriptional elongation. Binds RNA oligonucleotides with 5'-UUAGGG-3' repeats more tightly than the telomeric single-stranded DNA 5'-TTAGGG-3' repeats.
See full target information NCL

文献 (2)

Recent publications for all applications. Explore the full list and refine your search

Nature 638:814-822 PubMed39779853

2025

Satellite DNA shapes dictate pericentromere packaging in female meiosis.

Applications

Unspecified application

Species

Unspecified reactive species

Damian Dudka,Jennine M Dawicki-McKenna,Xueqi Sun,Keagan Beeravolu,Takashi Akera,Michael A Lampson,Ben E Black

Scientific reports 13:5374 PubMed37005468

2023

Spatial subcellular organelle networks in single cells.

Applications

Unspecified application

Species

Unspecified reactive species

Mythreye Venkatesan,Nicholas Zhang,Benoit Marteau,Yukina Yajima,Nerea Ortiz De Zarate Garcia,Zhou Fang,Thomas Hu,Shuangyi Cai,Adam Ford,Harrison Olszewski,Andrew Borst,Ahmet F Coskun
View all publications

Abcam Product Promise

我们致力于为您的研究提供高质量的试剂,为您科研的每一步提供支持。若我们的产品未能达到预期性能,我们向您提供 Abcam Product Promise 保障。
详情请参阅我们的条款与条件。

Please note: All products are 'FOR RESEARCH USE ONLY. NOT FOR USE IN DIAGNOSTIC OR THERAPEUTIC PROCEDURES'.

For licensing inquiries, please contact partnerships@abcam.com