JavaScript is disabled in your browser. Please enable JavaScript to view this website.
AB129200

重组Anti-Nucleolin抗体[EPR7952]

Anti-Nucleolin antibody [EPR7952]

4

(1 Review)

|

(23 Publications)

Anti-Nucleolin antibody [EPR7952] (ab129200) is a rabbit monoclonal antibody detecting Nucleolin in Western Blot, Flow Cytometry (Intra), Flow Cytometry, IHC-P, ICC/IF. Suitable for Human, Mouse, Rat.

- Biophysical QC for unrivalled batch-batch consistency
- Over 10 publications

查看别名

Nucleolin, Protein C23, NCL

7 Images
Flow Cytometry (Intracellular) - Anti-Nucleolin antibody [EPR7952] (AB129200)
  • Flow Cyt (Intra)

Unknown

Flow Cytometry (Intracellular) - Anti-Nucleolin antibody [EPR7952] (AB129200)

Intracellular Flow Cytometry analysis of HeLa (human cervix adenocarcinoma) cells labeling Nucleolin (red) with ab129200 at a 1/2000 dilution. Cells were fixed with 80% methanol and permeabilized with 0.1% Tween-20. A goat anti-rabbit IgG (Alexa Fluorr® 488) (ab150077) was used as the secondary antibody at a 1/2000 dilution. Black - Rabbit monoclonal IgG (ab172730). Blue (unlabeled control) - Cells without incubation with the primary and secondary antibodies.

Immunohistochemistry (Formalin/PFA-fixed paraffin-embedded sections) - Anti-Nucleolin antibody [EPR7952] (AB129200)
  • IHC-P

Unknown

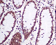
Immunohistochemistry (Formalin/PFA-fixed paraffin-embedded sections) - Anti-Nucleolin antibody [EPR7952] (AB129200)

ab129200, at 1/250 dilution, staining Nucleolin in paraffin-embedded Human colon tissue by Immunohistochemistry.

Immunocytochemistry/ Immunofluorescence - Anti-Nucleolin antibody [EPR7952] (AB129200)
  • ICC/IF

Unknown

Immunocytochemistry/ Immunofluorescence - Anti-Nucleolin antibody [EPR7952] (AB129200)

Immunocytochemistry/ Immunofluorescence analysis of HT-29(Human colorectal adenocarcinoma epithelial cell) cells labeling Nucleolin with purified ab129200 at 1/500 dilution (4.5 µg/ml). Cells were fixed in 4% paraformaldehyde and permeabilized with 0.1% Triton X-100. Cells were counterstained with ab195889 Anti-alpha Tubulin antibody [DM1A] - Microtubule Marker (Alexa Fluor® 594) 1/200 (2.5 µg/ml). Goat anti rabbit IgG (Alexa Fluor® 488, ab150077) was used as the secondary antibody at 1/1000 dilution (2 µg/ml) dilution. DAPI was used as nuclear counterstain. PBS instead of the primary antibody was used as the secondary antibody only control.

Immunohistochemistry (Formalin/PFA-fixed paraffin-embedded sections) - Anti-Nucleolin antibody [EPR7952] (AB129200)
  • IHC-P

Lab

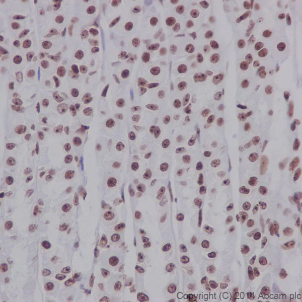
Immunohistochemistry (Formalin/PFA-fixed paraffin-embedded sections) - Anti-Nucleolin antibody [EPR7952] (AB129200)

Immunohistochemistry (Formalin/PFA-fixed paraffin-embedded sections) analysis of mouse liver tissue labelling Nucleolin with ab129200 at 1/500. Heat mediated antigen retrieval was performed using Tris/EDTA buffer pH 9. A ready to use HRP-conjugated goat anti-rabbit IgG (H+L) was used as the secondary antibody. Counterstained with hematoxylin.

Immunohistochemistry (Formalin/PFA-fixed paraffin-embedded sections) - Anti-Nucleolin antibody [EPR7952] (AB129200)
  • IHC-P

Lab

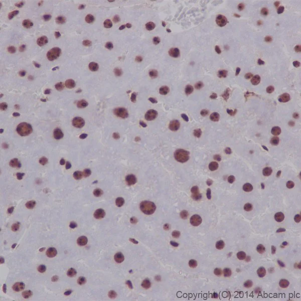
Immunohistochemistry (Formalin/PFA-fixed paraffin-embedded sections) - Anti-Nucleolin antibody [EPR7952] (AB129200)

Immunohistochemistry (Formalin/PFA-fixed paraffin-embedded sections) analysis of rat liver tissue labelling Nucleolin with ab129200 at 1/500. Heat mediated antigen retrieval was performed using Tris/EDTA buffer pH 9. A ready to use HRP-conjugated goat anti-rabbit IgG (H+L) was used as the secondary antibody. Counterstained with hematoxylin.

Western blot - Anti-Nucleolin antibody [EPR7952] (AB129200)
  • WB

Unknown

Western blot - Anti-Nucleolin antibody [EPR7952] (AB129200)

All lanes:

Western blot - Anti-Nucleolin antibody [EPR7952] (ab129200) at 1/10000 dilution

Lane 1:

Fetal brain lysate at 10 µg

Lane 2:

K562 cell lysate at 10 µg

Lane 3:

HuT-78 cell lysate at 10 µg

Secondary

All lanes:

Goat anti-rabbit HRP at 1/2000 dilution

Predicted band size: 76 kDa

Observed band size: 100 kDa

false

OI-RD Scanning - Anti-Nucleolin antibody [EPR7952] (AB129200)
  • OI-RD Scanning

Unknown

OI-RD Scanning - Anti-Nucleolin antibody [EPR7952] (AB129200)

We have systematically measured KD (the equilibrium dissociation constant between the antibody and its antigen), of more than 840 recombinant antibodies to assess not only their individual KD values but also to see the average affinity of antibody. Based on the comparison with published literature values for mouse monoclonal antibodies, Recombinant antibodies appear to be on average 1-2 order of magnitude higher affinity.

关键信息

宿主种属

Rabbit

克隆

Monoclonal

克隆号

EPR7952

亚型

IgG

不含载体蛋白

No

反应种属

Mouse, Rat, Human

应用

Flow Cyt (Intra), IHC-P, WB, ICC/IF

applications

免疫原

The exact immunogen used to generate this antibody is proprietary information.

反应性数据

{ "title": "Reactivity Data", "filters": { "stats": ["", "Species", "Dilution Info", "Notes"], "tabs": { "all-applications": {"fullname" : "All Applications", "shortname": "All Applications"}, "IP" : {"fullname" : "Immunoprecipitation", "shortname":"IP"}, "WB" : {"fullname" : "Western blot", "shortname":"WB"}, "ICCIF" : {"fullname" : "Immunocytochemistry/ Immunofluorescence", "shortname":"ICC/IF"}, "FlowCytIntra" : {"fullname" : "Flow Cytometry (Intracellular)", "shortname":"Flow Cyt (Intra)"}, "IHCP" : {"fullname" : "Immunohistochemistry (Formalin/PFA-fixed paraffin-embedded sections)", "shortname":"IHC-P"} }, "product-promise": { "all": "all", "testedAndGuaranteed": "tested", "guaranteed": "expected", "predicted": "predicted", "notRecommended": "not-recommended" } }, "values": { "Human": { "IP-species-checked": "notRecommended", "IP-species-dilution-info": "", "IP-species-notes": "<p></p>", "WB-species-checked": "testedAndGuaranteed", "WB-species-dilution-info": "1/10000 - 1/50000", "WB-species-notes": "<p></p>", "ICCIF-species-checked": "testedAndGuaranteed", "ICCIF-species-dilution-info": "1/100 - 1/250", "ICCIF-species-notes": "<p></p>", "FlowCytIntra-species-checked": "testedAndGuaranteed", "FlowCytIntra-species-dilution-info": "1/2000", "FlowCytIntra-species-notes": "<p></p>", "IHCP-species-checked": "testedAndGuaranteed", "IHCP-species-dilution-info": "1/250 - 1/500", "IHCP-species-notes": "<p></p>" }, "Mouse": { "IP-species-checked": "notRecommended", "IP-species-dilution-info": "", "IP-species-notes": "<p></p>", "WB-species-checked": "guaranteed", "WB-species-dilution-info": "", "WB-species-notes": "", "ICCIF-species-checked": "guaranteed", "ICCIF-species-dilution-info": "", "ICCIF-species-notes": "", "FlowCytIntra-species-checked": "guaranteed", "FlowCytIntra-species-dilution-info": "", "FlowCytIntra-species-notes": "", "IHCP-species-checked": "testedAndGuaranteed", "IHCP-species-dilution-info": "1/250 - 1/500", "IHCP-species-notes": "<p></p>" }, "Rat": { "IP-species-checked": "notRecommended", "IP-species-dilution-info": "", "IP-species-notes": "<p></p>", "WB-species-checked": "guaranteed", "WB-species-dilution-info": "", "WB-species-notes": "", "ICCIF-species-checked": "guaranteed", "ICCIF-species-dilution-info": "", "ICCIF-species-notes": "", "FlowCytIntra-species-checked": "guaranteed", "FlowCytIntra-species-dilution-info": "", "FlowCytIntra-species-notes": "", "IHCP-species-checked": "testedAndGuaranteed", "IHCP-species-dilution-info": "1/250 - 1/500", "IHCP-species-notes": "<p></p>" } } }

产品详情

What is this antibody validated in?
Anti-Nucleolin antibody [EPR7952] (ab129200) is a rabbit recombinant monoclonal antibody and is validated for use in Western Blot (WB), Flow Cytometry (Intra), Flow Cytometry (Flow Cyt), Immunohistochemistry (IHC-P), Immunocytochemistry/immunofluorescence (ICC/IF) in Human, Mouse, Rat samples.

What is the molecular weight of Nucleolin?
Anti-Nucleolin [EPR7952] (ab129200) specifically detects a band for Nucleolin (UniProt: P19338) at a molecular weight of 76kDa.

Trusted by the scientific community
Anti-Nucleolin [EPR7952] (ab129200) was first used in a scientific publication in 2012 and has been cited over 10 times in peer-reviewed journals.

Trial sizes available!
Test your antibody or perform pre-screening before committing to a larger quantity. Sold in 10µl. Discover our selection of trial-size antibodies.

Other related products
We have a range of other formats of antibody clone [EPR7952] also available for your convenience: ab129200, Alexa Fluor® 488 - ab202708, Alexa Fluor® 647 - ab202709, Alexa Fluor® 555 - ab203417, Carrier free - ab226113, PE - ab305946, APC - ab305947, HRP - ab305948, Alkaline Phosphatase - ab308818, Alexa Fluor® 594 - ab310551, Alexa Fluor® 568 - ab312558, Alexa Fluor® 750 - ab321037

Patented technology
Our RabMAb® technology is a patented hybridoma-based technology for making rabbit monoclonal antibodies. For details on our patents, please refer to RabMAb® patents.

What are the advantages of a recombinant monoclonal antibody?
This product is a recombinant monoclonal antibody, which offers several advantages including:

  • - High batch-to-batch consistency and reproducibility
  • - Improved sensitivity and specificity
  • - Long-term security of supply
  • - Animal-free batch production

For more information, read more on recombinant antibodies.

性能和储存信息

形式
Liquid
纯化工艺
Affinity purification Protein A
存储溶液
pH: 7.2 - 7.4 Preservative: 0.01% Sodium azide Constituents: PBS, 50% Tissue culture supernatant, 40% Glycerol (glycerin, glycerine), 0.05% BSA
运输条件
Blue Ice
推荐的短期储存时间
1-2 weeks
推荐的短期储存条件
+4°C
推荐的长期储存条件
-20°C
分装信息
Upon delivery aliquot
储存信息
Stable for 12 months at -20°C

补充信息

This supplementary information is collated from multiple sources and compiled automatically.

Nucleolin also known as C23 is a multifunctional protein mainly found in the nucleolus with a molecular weight of approximately 100 kDa. It plays a mechanical role in ribosomal RNA (rRNA) synthesis and ribosome biogenesis. Nucleolin is widely expressed in proliferating cells including HeLa culture and shows higher expression in cancer cells compared to normal cells. The nucleolin protein is involved in various nucleolar processes like the modulation of chromatin structure and nucleocytoplasmic transport.
Biological function summary

The nucleolin molecular weight protein contributes to regulating cellular processes such as chromatin remodeling rRNA transcription and mRNA stability. Nucleolin often forms complexes with various other proteins and nucleic acids enhancing its functionality within the cell nucleus. Its participation in processes like DNA replication and cell proliferation shows the central role nucleolin plays at the cellular level. It influences cellular responses by binding directly to specific RNA or DNA sequences.

Pathways

The nucleolin protein engages in major cellular pathways such as the RNA processing and p53 signaling pathways. Through the RNA processing pathway it interacts with proteins like fibrillarin to assist in rRNA maturation. Moreover within the p53 signaling pathway nucleolin regulates the activity of the tumor suppressor protein p53 impacting cell cycle progression and apoptosis. These interactions highlight nucleolin's role in maintaining cellular homeostasis and response to stress.

The nucleolin protein often shows altered expression in cancers and cardiovascular diseases. In cancer nucleolin's high expression levels correlate with tumor progression and metastasis making it a potential target for cancer therapies. In cardiovascular diseases nucleolin interacts with proteins like VEGF to influence angiogenesis which affects disease progression. Understanding nucleolin's involvement in these diseases provides insight into potential therapeutic targets and interventions.

产品实验方案

For this product, it's our understanding that no specific protocols are required. You can visit:

靶点信息

Nucleolin is the major nucleolar protein of growing eukaryotic cells. It is found associated with intranucleolar chromatin and pre-ribosomal particles. It induces chromatin decondensation by binding to histone H1. It is thought to play a role in pre-rRNA transcription and ribosome assembly. May play a role in the process of transcriptional elongation. Binds RNA oligonucleotides with 5'-UUAGGG-3' repeats more tightly than the telomeric single-stranded DNA 5'-TTAGGG-3' repeats.
See full target information NCL

文献 (23)

Recent publications for all applications. Explore the full list and refine your search

Dose-response : a publication of International Hormesis Society 23:15593258251352726 PubMed40548124

2025

NEDD4-Mediated Endothelial-Mesenchymal Transition Participates in Radiation-Induced Lung Injury Through the ATM Signaling Pathway.

Applications

Unspecified application

Species

Unspecified reactive species

Yang Feng,Lirong Zhang,Youbin Zhang,Ying Xu,Kaixiao Zhou,Zhao Yang,Wei Zhu,Qi Zhang,Jianping Cao,Lili Wang,Yang Jiao

Molecular medicine (Cambridge, Mass.) 31:180 PubMed40346484

2025

The MYC/TXNIP axis mediates NCL-Suppressed CD8T cell immune response in lung adenocarcinoma.

Applications

Unspecified application

Species

Unspecified reactive species

Dan Xiao,Tanxiu Chen,Xinlin Yu,Ying Song,Yigang Liu,Wei Yan

Nature chemistry 16:1101-1112 PubMed38499848

2024

High-throughput and proteome-wide discovery of endogenous biomolecular condensates.

Applications

Unspecified application

Species

Unspecified reactive species

Pengjie Li,Peng Chen,Fukang Qi,Jinyun Shi,Wenjie Zhu,Jiashuo Li,Peng Zhang,Han Xie,Lina Li,Mengcheng Lei,Xueqing Ren,Wenhui Wang,Liang Zhang,Xufu Xiang,Yiwei Zhang,Zhaolong Gao,Xiaojun Feng,Wei Du,Xin Liu,Limin Xia,Bi-Feng Liu,Yiwei Li

iScience 27:108763 PubMed38261926

2024

Hypoxia inducible factors inhibit respiratory syncytial virus infection by modulation of nucleolin expression.

Applications

Unspecified application

Species

Unspecified reactive species

Xiaodong Zhuang,Giulia Gallo,Parul Sharma,Jiyeon Ha,Andrea Magri,Helene Borrmann,James M Harris,Senko Tsukuda,Eleanor Bentley,Adam Kirby,Simon de Neck,Hongbing Yang,Peter Balfe,Peter A C Wing,David Matthews,Adrian L Harris,Anja Kipar,James P Stewart,Dalan Bailey,Jane A McKeating

The Journal of biological chemistry 300:105591 PubMed38141769

2023

LncNFYB promotes the proliferation of rheumatoid arthritis fibroblast-like synoviocytes via LncNFYB/ANXA2/ERK1/2 axis.

Applications

Unspecified application

Species

Unspecified reactive species

Shibai Xiao,Qingqing Ouyang,Yi Feng,Xiaoxi Lu,Yipeng Han,Hao Ren,Qin Huang,Jinjun Zhao,Changhong Xiao,Min Yang

Cancers 15: PubMed38001611

2023

Circular RNA from Tyrosylprotein Sulfotransferase 2 Gene Inhibits Cisplatin Sensitivity in Head and Neck Squamous Cell Carcinoma by Sponging miR-770-5p and Interacting with Nucleolin.

Applications

Unspecified application

Species

Unspecified reactive species

Tianqing Wang,Chuan Xin,Shiyu Zhang,Xin Tian,Yuting Hu,Ying Wang,Jiongke Wang,Ning Ji,Xin Zeng,Jing Li

iScience 26:107894 PubMed37766998

2023

An immunosuppressive subtype of senescent tumor cells predicted worse immunotherapy response in lung adenocarcinoma.

Applications

Unspecified application

Species

Unspecified reactive species

Guangyu Fan,Tongji Xie,Qiaoyun Tan,Ning Lou,Shasha Wang,Xiaohong Han,Yuankai Shi

The journal of gene medicine 26:e3573 PubMed37547956

2023

COL3A1-positive endothelial cells influence LUAD prognosis and regulate LUAD carcinogenesis by NCL-PI3K-AKT axis.

Applications

Unspecified application

Species

Unspecified reactive species

Moyan Zhang,Yicheng Liang,Peng Song

Cell 186:3307-3324.e30 PubMed37385249

2023

Dynamic mapping of proteome trafficking within and between living cells by TransitID.

Applications

Unspecified application

Species

Unspecified reactive species

Wei Qin,Joleen S Cheah,Charles Xu,James Messing,Brian D Freibaum,Steven Boeynaems,J Paul Taylor,Namrata D Udeshi,Steven A Carr,Alice Y Ting

Clinical and translational medicine 13:e1203 PubMed36855810

2023

Single-cell transcriptomic analysis deciphers key transitional signatures associated with oncogenic evolution in human intramucosal oesophageal squamous cell carcinoma.

Applications

Unspecified application

Species

Unspecified reactive species

Xin-Yang Liu,Yan-Bo Liu,Jia-Cheng Xu,Yi-Fei Zhang,Yuan-Yuan Ruan,Yi Zhao,Lin-Feng Wu,Jian-Wei Hu,Zhen Zhang,Meng-Jiang He,Tian-Yin Chen,Xiao-Yue Xu,Jing-Wei Zhang,Yi-Qun Zhang,Ping-Hong Zhou
View all publications

Abcam Product Promise

我们致力于为您的研究提供高质量的试剂,为您科研的每一步提供支持。若我们的产品未能达到预期性能,我们向您提供 Abcam Product Promise 保障。
详情请参阅我们的条款与条件。

Please note: All products are 'FOR RESEARCH USE ONLY. NOT FOR USE IN DIAGNOSTIC OR THERAPEUTIC PROCEDURES'.

For licensing inquiries, please contact partnerships@abcam.com