JavaScript is disabled in your browser. Please enable JavaScript to view this website.
AB70493

Anti-Nucleolin抗体

Anti-Nucleolin antibody

4

(3 Reviews)

|

(20 Publications)

Rabbit Polyclonal Nucleolin antibody. Suitable for IHC-P, ICC/IF, IP, WB, ICC and reacts with Mouse, Human samples. Cited in 20 publications. Immunogen corresponding to Synthetic Peptide within Human NCL aa 550 to C-terminus.

查看别名

Nucleolin, Protein C23, NCL

6 Images
Immunohistochemistry (Formalin/PFA-fixed paraffin-embedded sections) - Anti-Nucleolin antibody (AB70493)
  • IHC-P

Unknown

Immunohistochemistry (Formalin/PFA-fixed paraffin-embedded sections) - Anti-Nucleolin antibody (AB70493)

IHC image of ab70493 staining in human normal lymph node formalin fixed paraffin embedded tissue section, performed on a Leica BondTM system using the standard protocol F. The section was pre-treated using heat mediated antigen retrieval with sodium citrate buffer (pH6, epitope retrieval solution 1) for 20 mins. The section was then incubated with ab70493, 1µg/ml, for 15 mins at room temperature and detected using an HRP conjugated compact polymer system. DAB was used as the chromogen. The section was then counterstained with haematoxylin and mounted with DPX.

For other IHC staining systems (automated and non-automated) customers should optimize variable parameters such as antigen retrieval conditions, primary antibody concentration and antibody incubation times.

Immunocytochemistry/ Immunofluorescence - Anti-Nucleolin antibody (AB70493)
  • ICC/IF

Unknown

Immunocytochemistry/ Immunofluorescence - Anti-Nucleolin antibody (AB70493)

ICC/IF image of ab70493 stained HeLa cells. The cells were 4% formaldehyde fixed (10 min) and then incubated in 1%BSA / 10% normal goat serum / 0.3M glycine in 0.1% PBS-Tween for 1h to permeabilise the cells and block non-specific protein-protein interactions. The cells were then incubated with the antibody (ab70493, 5µg/ml) overnight at +4°C. The secondary antibody (green) was Alexa Fluor® 488 goat anti-rabbit IgG (H+L) used at a 1/1000 dilution for 1h. Alexa Fluor® 594 WGA was used to label plasma membranes (red) at a 1/200 dilution for 1h. DAPI was used to stain the cell nuclei (blue) at a concentration of 1.43µM.

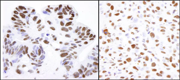
Immunohistochemistry (Formalin/PFA-fixed paraffin-embedded sections) - Anti-Nucleolin antibody (AB70493)
  • IHC-P

Unknown

Immunohistochemistry (Formalin/PFA-fixed paraffin-embedded sections) - Anti-Nucleolin antibody (AB70493)

Immunohistochemistry (Formalin/PFA-fixed paraffin-embedded sections) analysis of human ovarian carcinoma (left) and mouse squamous cell carcinoma (right) tissues labelling Nucleolin with ab70493 at 1/1000 (0.2µg/ml). Detection : DAB.

Immunoprecipitation - Anti-Nucleolin antibody (AB70493)
  • IP

Unknown

Immunoprecipitation - Anti-Nucleolin antibody (AB70493)

Detection of Human Nucleolin by Immunoprecipitation in Whole cell lysate from HeLa cells (1 mg for IP, 20% of IP loaded), using ab70493 at 3 µg/mg lysate (Lane 1). Lane 2 represents rabbit IgG IP control. Subsequent Western blot detection of nucleolin was performed using ab70493 at 1 µg/ml.

All lanes:

Immunoprecipitation - Anti-Nucleolin antibody (ab70493)

Predicted band size: 76 kDa

false

Immunohistochemistry (Formalin/PFA-fixed paraffin-embedded sections) - Anti-Nucleolin antibody (AB70493)
  • IHC-P

Supplier Data

Immunohistochemistry (Formalin/PFA-fixed paraffin-embedded sections) - Anti-Nucleolin antibody (AB70493)

Immunohistochemistry (Formalin/PFA-fixed paraffin-embedded sections) analysis of mouse cerebellum tissue labelling Nucleolin with ab70493 at 1/100 (2 μg/ml), followed by goat anti-rabbit IgG-heavy and light chain cross-adsorbed antibody DyLight® 594 used at 1/100 dilution.

Western blot - Anti-Nucleolin antibody (AB70493)
  • WB

Unknown

Western blot - Anti-Nucleolin antibody (AB70493)

All lanes:

Western blot - Anti-Nucleolin antibody (ab70493) at 0.02 µg/mL

Lane 1:

Whole cell lysate from HeLa cells at 50 µg

Lane 2:

Whole cell lysate from HeLa cells at 15 µg

Lane 3:

Whole cell lysate from HeLa cells at 5 µg

Lane 4:

Whole cell lysate from 293T cells at 50 µg

Lane 5:

Whole cell lysate from NIH3T3 cells at 50 µg

Predicted band size: 76 kDa

Observed band size: 100 kDa

false

关键信息

宿主种属

Rabbit

克隆

Polyclonal

亚型

IgG

不含载体蛋白

No

反应种属

Mouse, Human

应用

WB, IP, ICC, IHC-P, ICC/IF

applications

免疫原

Synthetic Peptide within Human NCL aa 550 to C-terminus. The exact immunogen used to generate this antibody is proprietary information.

P19338

反应性数据

{ "title": "Reactivity Data", "filters": { "stats": ["", "Species", "Dilution Info", "Notes"], "tabs": { "all-applications": {"fullname" : "All Applications", "shortname": "All Applications"}, "IHCP" : {"fullname" : "Immunohistochemistry (Formalin/PFA-fixed paraffin-embedded sections)", "shortname":"IHC-P"}, "ICCIF" : {"fullname" : "Immunocytochemistry/ Immunofluorescence", "shortname":"ICC/IF"}, "IP" : {"fullname" : "Immunoprecipitation", "shortname":"IP"}, "WB" : {"fullname" : "Western blot", "shortname":"WB"}, "ICC" : {"fullname" : "Immunocytochemistry", "shortname":"ICC"} }, "product-promise": { "all": "all", "testedAndGuaranteed": "tested", "guaranteed": "expected", "predicted": "predicted", "notRecommended": "not-recommended" } }, "values": { "Human": { "IHCP-species-checked": "testedAndGuaranteed", "IHCP-species-dilution-info": "1 µg/mL", "IHCP-species-notes": "<p></p> Perform heat-mediated antigen retrieval with citrate buffer pH 6 before commencing with IHC staining protocol.", "ICCIF-species-checked": "testedAndGuaranteed", "ICCIF-species-dilution-info": "", "ICCIF-species-notes": "<p></p>", "IP-species-checked": "testedAndGuaranteed", "IP-species-dilution-info": "2-5 µg/mg of lysate", "IP-species-notes": "<p></p>", "WB-species-checked": "testedAndGuaranteed", "WB-species-dilution-info": "1/2000 - 1/10000", "WB-species-notes": "<p></p>", "ICC-species-checked": "guaranteed", "ICC-species-dilution-info": "5 µg/mL", "ICC-species-notes": "<p></p>" }, "Mouse": { "IHCP-species-checked": "testedAndGuaranteed", "IHCP-species-dilution-info": "1 µg/mL", "IHCP-species-notes": "<p></p> Perform heat-mediated antigen retrieval with citrate buffer pH 6 before commencing with IHC staining protocol.", "ICCIF-species-checked": "guaranteed", "ICCIF-species-dilution-info": "", "ICCIF-species-notes": "", "IP-species-checked": "guaranteed", "IP-species-dilution-info": "", "IP-species-notes": "", "WB-species-checked": "testedAndGuaranteed", "WB-species-dilution-info": "1/2000 - 1/10000", "WB-species-notes": "<p></p>", "ICC-species-checked": "guaranteed", "ICC-species-dilution-info": "5 µg/mL", "ICC-species-notes": "<p></p>" }, "African green monkey": { "IHCP-species-checked": "predicted", "IHCP-species-dilution-info": "", "IHCP-species-notes": "", "ICCIF-species-checked": "predicted", "ICCIF-species-dilution-info": "", "ICCIF-species-notes": "", "IP-species-checked": "predicted", "IP-species-dilution-info": "", "IP-species-notes": "", "WB-species-checked": "predicted", "WB-species-dilution-info": "", "WB-species-notes": "", "ICC-species-checked": "predicted", "ICC-species-dilution-info": "", "ICC-species-notes": "" }, "Chimpanzee": { "IHCP-species-checked": "predicted", "IHCP-species-dilution-info": "", "IHCP-species-notes": "", "ICCIF-species-checked": "predicted", "ICCIF-species-dilution-info": "", "ICCIF-species-notes": "", "IP-species-checked": "predicted", "IP-species-dilution-info": "", "IP-species-notes": "", "WB-species-checked": "predicted", "WB-species-dilution-info": "", "WB-species-notes": "", "ICC-species-checked": "predicted", "ICC-species-dilution-info": "", "ICC-species-notes": "" }, "Cow": { "IHCP-species-checked": "predicted", "IHCP-species-dilution-info": "", "IHCP-species-notes": "", "ICCIF-species-checked": "predicted", "ICCIF-species-dilution-info": "", "ICCIF-species-notes": "", "IP-species-checked": "predicted", "IP-species-dilution-info": "", "IP-species-notes": "", "WB-species-checked": "predicted", "WB-species-dilution-info": "", "WB-species-notes": "", "ICC-species-checked": "predicted", "ICC-species-dilution-info": "", "ICC-species-notes": "" }, "Dog": { "IHCP-species-checked": "predicted", "IHCP-species-dilution-info": "", "IHCP-species-notes": "", "ICCIF-species-checked": "predicted", "ICCIF-species-dilution-info": "", "ICCIF-species-notes": "", "IP-species-checked": "predicted", "IP-species-dilution-info": "", "IP-species-notes": "", "WB-species-checked": "predicted", "WB-species-dilution-info": "", "WB-species-notes": "", "ICC-species-checked": "predicted", "ICC-species-dilution-info": "", "ICC-species-notes": "" }, "Elephant": { "IHCP-species-checked": "predicted", "IHCP-species-dilution-info": "", "IHCP-species-notes": "", "ICCIF-species-checked": "predicted", "ICCIF-species-dilution-info": "", "ICCIF-species-notes": "", "IP-species-checked": "predicted", "IP-species-dilution-info": "", "IP-species-notes": "", "WB-species-checked": "predicted", "WB-species-dilution-info": "", "WB-species-notes": "", "ICC-species-checked": "predicted", "ICC-species-dilution-info": "", "ICC-species-notes": "" }, "Gorilla": { "IHCP-species-checked": "predicted", "IHCP-species-dilution-info": "", "IHCP-species-notes": "", "ICCIF-species-checked": "predicted", "ICCIF-species-dilution-info": "", "ICCIF-species-notes": "", "IP-species-checked": "predicted", "IP-species-dilution-info": "", "IP-species-notes": "", "WB-species-checked": "predicted", "WB-species-dilution-info": "", "WB-species-notes": "", "ICC-species-checked": "predicted", "ICC-species-dilution-info": "", "ICC-species-notes": "" }, "Guinea pig": { "IHCP-species-checked": "predicted", "IHCP-species-dilution-info": "", "IHCP-species-notes": "", "ICCIF-species-checked": "predicted", "ICCIF-species-dilution-info": "", "ICCIF-species-notes": "", "IP-species-checked": "predicted", "IP-species-dilution-info": "", "IP-species-notes": "", "WB-species-checked": "predicted", "WB-species-dilution-info": "", "WB-species-notes": "", "ICC-species-checked": "predicted", "ICC-species-dilution-info": "", "ICC-species-notes": "" }, "Horse": { "IHCP-species-checked": "predicted", "IHCP-species-dilution-info": "", "IHCP-species-notes": "", "ICCIF-species-checked": "predicted", "ICCIF-species-dilution-info": "", "ICCIF-species-notes": "", "IP-species-checked": "predicted", "IP-species-dilution-info": "", "IP-species-notes": "", "WB-species-checked": "predicted", "WB-species-dilution-info": "", "WB-species-notes": "", "ICC-species-checked": "predicted", "ICC-species-dilution-info": "", "ICC-species-notes": "" }, "Orangutan": { "IHCP-species-checked": "predicted", "IHCP-species-dilution-info": "", "IHCP-species-notes": "", "ICCIF-species-checked": "predicted", "ICCIF-species-dilution-info": "", "ICCIF-species-notes": "", "IP-species-checked": "predicted", "IP-species-dilution-info": "", "IP-species-notes": "", "WB-species-checked": "predicted", "WB-species-dilution-info": "", "WB-species-notes": "", "ICC-species-checked": "predicted", "ICC-species-dilution-info": "", "ICC-species-notes": "" }, "Pig": { "IHCP-species-checked": "predicted", "IHCP-species-dilution-info": "", "IHCP-species-notes": "", "ICCIF-species-checked": "predicted", "ICCIF-species-dilution-info": "", "ICCIF-species-notes": "", "IP-species-checked": "predicted", "IP-species-dilution-info": "", "IP-species-notes": "", "WB-species-checked": "predicted", "WB-species-dilution-info": "", "WB-species-notes": "", "ICC-species-checked": "predicted", "ICC-species-dilution-info": "", "ICC-species-notes": "" }, "Rabbit": { "IHCP-species-checked": "predicted", "IHCP-species-dilution-info": "", "IHCP-species-notes": "", "ICCIF-species-checked": "predicted", "ICCIF-species-dilution-info": "", "ICCIF-species-notes": "", "IP-species-checked": "predicted", "IP-species-dilution-info": "", "IP-species-notes": "", "WB-species-checked": "predicted", "WB-species-dilution-info": "", "WB-species-notes": "", "ICC-species-checked": "predicted", "ICC-species-dilution-info": "", "ICC-species-notes": "" }, "Rhesus monkey": { "IHCP-species-checked": "predicted", "IHCP-species-dilution-info": "", "IHCP-species-notes": "", "ICCIF-species-checked": "predicted", "ICCIF-species-dilution-info": "", "ICCIF-species-notes": "", "IP-species-checked": "predicted", "IP-species-dilution-info": "", "IP-species-notes": "", "WB-species-checked": "predicted", "WB-species-dilution-info": "", "WB-species-notes": "", "ICC-species-checked": "predicted", "ICC-species-dilution-info": "", "ICC-species-notes": "" } } }

性能和储存信息

形式
Liquid
纯化工艺
Affinity purification Immunogen
存储溶液
pH: 6.8 - 7.4 Preservative: 0.09% Sodium azide Constituents: Tris buffered saline, 0.1% BSA
运输条件
Blue Ice
推荐的短期储存条件
+4°C
推荐的长期储存条件
-20°C
分装信息
Upon delivery aliquot
储存信息
Avoid freeze / thaw cycle

补充信息

This supplementary information is collated from multiple sources and compiled automatically.

Nucleolin also known as C23 is a multifunctional protein mainly found in the nucleolus with a molecular weight of approximately 100 kDa. It plays a mechanical role in ribosomal RNA (rRNA) synthesis and ribosome biogenesis. Nucleolin is widely expressed in proliferating cells including HeLa culture and shows higher expression in cancer cells compared to normal cells. The nucleolin protein is involved in various nucleolar processes like the modulation of chromatin structure and nucleocytoplasmic transport.
Biological function summary

The nucleolin molecular weight protein contributes to regulating cellular processes such as chromatin remodeling rRNA transcription and mRNA stability. Nucleolin often forms complexes with various other proteins and nucleic acids enhancing its functionality within the cell nucleus. Its participation in processes like DNA replication and cell proliferation shows the central role nucleolin plays at the cellular level. It influences cellular responses by binding directly to specific RNA or DNA sequences.

Pathways

The nucleolin protein engages in major cellular pathways such as the RNA processing and p53 signaling pathways. Through the RNA processing pathway it interacts with proteins like fibrillarin to assist in rRNA maturation. Moreover within the p53 signaling pathway nucleolin regulates the activity of the tumor suppressor protein p53 impacting cell cycle progression and apoptosis. These interactions highlight nucleolin's role in maintaining cellular homeostasis and response to stress.

The nucleolin protein often shows altered expression in cancers and cardiovascular diseases. In cancer nucleolin's high expression levels correlate with tumor progression and metastasis making it a potential target for cancer therapies. In cardiovascular diseases nucleolin interacts with proteins like VEGF to influence angiogenesis which affects disease progression. Understanding nucleolin's involvement in these diseases provides insight into potential therapeutic targets and interventions.

产品实验方案

For this product, it's our understanding that no specific protocols are required. You can visit:

靶点信息

Nucleolin is the major nucleolar protein of growing eukaryotic cells. It is found associated with intranucleolar chromatin and pre-ribosomal particles. It induces chromatin decondensation by binding to histone H1. It is thought to play a role in pre-rRNA transcription and ribosome assembly. May play a role in the process of transcriptional elongation. Binds RNA oligonucleotides with 5'-UUAGGG-3' repeats more tightly than the telomeric single-stranded DNA 5'-TTAGGG-3' repeats.
See full target information NCL

文献 (20)

Recent publications for all applications. Explore the full list and refine your search

Nucleic acids research 53: PubMed40613706

2025

The Epstein-Barr virus EBNA1 protein binds to G-quadruplexes in its own mRNA hence controlling its expression and immune evasion of the virus.

Applications

Unspecified application

Species

Unspecified reactive species

Van-Trang Dinh,Nadège Loaëc,Alicia Quillévéré,Marc Keruzoré,Aline Peynet,Ronan Le Sénéchal,Marie-Paule Teulade-Fichou,Laurent Corcos,Rodrigo Prado Martins,Anton Granzhan,Marc Blondel

Science advances 11:eadq9643 PubMed40577453

2025

VIRMA-mediated mA modification regulates forebrain formation through modulating ribosome biogenesis.

Applications

Unspecified application

Species

Unspecified reactive species

Min Wu,Xiaoli Wu,Haifeng Sun,Wen Wang,Leyi Zhang,Xia Liu,Yifan Zhang,Xinning Zhang,Jun Liu,Bin Shen,Tao Zhou

Communications biology 7:1135 PubMed39271748

2024

Nucleolus and centromere Tyramide Signal Amplification-Seq reveals variable localization of heterochromatin in different cell types.

Applications

Unspecified application

Species

Unspecified reactive species

Pradeep Kumar,Omid Gholamalamdari,Yang Zhang,Liguo Zhang,Anastassiia Vertii,Tom van Schaik,Daan Peric-Hupkes,Takayo Sasaki,David M Gilbert,Bas van Steensel,Jian Ma,Paul D Kaufman,Andrew S Belmont

eLife 12: PubMed38099650

2023

Distinct states of nucleolar stress induced by anticancer drugs.

Applications

Unspecified application

Species

Unspecified reactive species

Tamara A Potapova,Jay R Unruh,Juliana Conkright-Fincham,Charles A S Banks,Laurence Florens,David Alan Schneider,Jennifer L Gerton

Nucleic acids research 50:11799-11819 PubMed36350639

2022

Type I arginine methyltransferases are intervention points to unveil the oncogenic Epstein-Barr virus to the immune system.

Applications

Unspecified application

Species

Unspecified reactive species

Gaelle Angrand,Alicia Quillévéré,Nadège Loaëc,Van-Trang Dinh,Ronan Le Sénéchal,Rahima Chennoufi,Patricia Duchambon,Marc Keruzoré,Rodrigo Prado Martins,Marie-Paule Teulade-Fichou,Robin Fåhraeus,Marc Blondel

International journal of molecular sciences 23: PubMed36077078

2022

Ubiquitin Specific Protease USP48 Destabilizes NF-κB/p65 in Retinal Pigment Epithelium Cells.

Applications

Unspecified application

Species

Unspecified reactive species

Serena Mirra,Laura Sánchez-Bellver,Carmela Casale,Alessandra Pescatore,Gemma Marfany

Cell death and differentiation 29:687-696 PubMed34611297

2021

RNA-interference screen for p53 regulators unveils a role of WDR75 in ribosome biogenesis.

Applications

Unspecified application

Species

Unspecified reactive species

Pavel Moudry,Katarina Chroma,Sladana Bursac,Sinisa Volarevic,Jiri Bartek

The Journal of cell biology 219: PubMed32609799

2020

Tyramide signal amplification mass spectrometry (TSA-MS) ratio identifies nuclear speckle proteins.

Applications

Unspecified application

Species

Unspecified reactive species

Joseph Dopie,Michael J Sweredoski,Annie Moradian,Andrew S Belmont

American journal of physiology. Cell physiology 318:C83-C93 PubMed31644306

2019

Nucleolin mediates the binding of cancer cells to L-selectin under conditions of lymphodynamic shear stress.

Applications

Unspecified application

Species

Unspecified reactive species

Tovë M Goldson,Kevin L Turner,Yinan Huang,Grady E Carlson,Emily G Caggiano,Andres F Oberhauser,Susan M Fennewald,Monica M Burdick,Vicente A Resto

The Journal of cell biology 218:2492-2513 PubMed31270138

2019

Superresolution microscopy reveals linkages between ribosomal DNA on heterologous chromosomes.

Applications

Unspecified application

Species

Unspecified reactive species

Tamara A Potapova,Jay R Unruh,Zulin Yu,Giulia Rancati,Hua Li,Martha R Stampfer,Jennifer L Gerton
View all publications

Abcam Product Promise

我们致力于为您的研究提供高质量的试剂,为您科研的每一步提供支持。若我们的产品未能达到预期性能,我们向您提供 Abcam Product Promise 保障。
详情请参阅我们的条款与条件。

Please note: All products are 'FOR RESEARCH USE ONLY. NOT FOR USE IN DIAGNOSTIC OR THERAPEUTIC PROCEDURES'.

For licensing inquiries, please contact partnerships@abcam.com