JavaScript is disabled in your browser. Please enable JavaScript to view this website.
AB232034

重组Anti-Nuclear Matrix蛋白p84抗体[EPR5662(2)] - BSA and Azide free

Anti-Nuclear Matrix Protein p84 antibody [EPR5662(2)] - BSA and Azide free

Be the first to review this product! Submit a review

|

(1 Publication)

Rabbit Recombinant Monoclonal Nuclear Matrix Protein p84 antibody. Carrier free. Suitable for IHC-P, WB, ICC/IF, Flow Cyt (Intra) and reacts with Human samples. Cited in 1 publication.

查看别名

HPR1, THOC1, THO complex subunit 1, Nuclear matrix protein p84, hTREX84, p84N5

3 Images
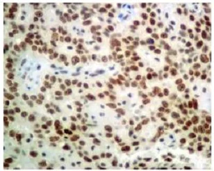
Immunohistochemistry (Formalin/PFA-fixed paraffin-embedded sections) - Anti-Nuclear Matrix Protein p84 antibody [EPR5662(2)] - BSA and Azide free (AB232034)
  • IHC-P

Supplier Data

Immunohistochemistry (Formalin/PFA-fixed paraffin-embedded sections) - Anti-Nuclear Matrix Protein p84 antibody [EPR5662(2)] - BSA and Azide free (AB232034)

Immunohistochemical analysis of paraffin embedded human breast carcinoma tissue labeling Nuclear Matrix Protein p84 with ab131268 at 1/50 dilution.

This data was developed using the same antibody clone in a different buffer formulation containing PBS, BSA, glycerol, and sodium azide (ab131268).

Heat mediated antigen retrieval was performed before commencing with IHC staining protocol.

Flow Cytometry (Intracellular) - Anti-Nuclear Matrix Protein p84 antibody [EPR5662(2)] - BSA and Azide free (AB232034)
  • Flow Cyt (Intra)

Lab

Flow Cytometry (Intracellular) - Anti-Nuclear Matrix Protein p84 antibody [EPR5662(2)] - BSA and Azide free (AB232034)

Intracellular Flow Cytometry analysis of HeLa (human cervix adenocarcinoma) cells labeling Nuclear Matrix Protein p84 with purified ab131268 at 1/120 dilution (10ug/ml) (red). Cells were fixed with 4% paraformaldehyde and permeabilised with 90% methanol. A Goat anti rabbit IgG (Alexa Fluor® 488) (1/2000 dilution) was used as the secondary antibody. Rabbit monoclonal IgG (Black) was used as the isotype control, cells without incubation with primary antibody and secondary antibody (Blue) were used as the unlabeled control.

This data was developed using the same antibody clone in a different buffer formulation containing PBS, BSA, glycerol, and sodium azide (ab131268).

Immunocytochemistry/ Immunofluorescence - Anti-Nuclear Matrix Protein p84 antibody [EPR5662(2)] - BSA and Azide free (AB232034)
  • ICC/IF

Unknown

Immunocytochemistry/ Immunofluorescence - Anti-Nuclear Matrix Protein p84 antibody [EPR5662(2)] - BSA and Azide free (AB232034)

Immunofluorescent staining of HeLa cells labelling Nuclear Matrix Protein p84 with ab131268 at 1/100 dilution. This data was developed using the same antibody clone in a different buffer formulation containing PBS, BSA, glycerol, and sodium azide (ab131268).

不同偶联物与剂型 (1)

  • Unconjugated

    Anti-Nuclear Matrix Protein p84 antibody [EPR5662(2)]

关键信息

宿主种属

Rabbit

克隆

Monoclonal

克隆号

EPR5662(2)

亚型

IgG

不含载体蛋白

Yes

反应种属

Human

应用

Flow Cyt (Intra), IHC-P, ICC/IF, WB

applications

免疫原

The exact immunogen used to generate this antibody is proprietary information.

反应性数据

{ "title": "Reactivity Data", "filters": { "stats": ["", "Species", "Dilution Info", "Notes"], "tabs": { "all-applications": {"fullname" : "All Applications", "shortname": "All Applications"}, "IHCP" : {"fullname" : "Immunohistochemistry (Formalin/PFA-fixed paraffin-embedded sections)", "shortname":"IHC-P"}, "WB" : {"fullname" : "Western blot", "shortname":"WB"}, "ICCIF" : {"fullname" : "Immunocytochemistry/ Immunofluorescence", "shortname":"ICC/IF"}, "FlowCytIntra" : {"fullname" : "Flow Cytometry (Intracellular)", "shortname":"Flow Cyt (Intra)"} }, "product-promise": { "all": "all", "testedAndGuaranteed": "tested", "guaranteed": "expected", "predicted": "predicted", "notRecommended": "not-recommended" } }, "values": { "Human": { "IHCP-species-checked": "testedAndGuaranteed", "IHCP-species-dilution-info": "", "IHCP-species-notes": "<p>(Heat to 98°C, allow to cool for 10-20 minutes)</p>", "WB-species-checked": "guaranteed", "WB-species-dilution-info": "", "WB-species-notes": "<p></p>", "ICCIF-species-checked": "testedAndGuaranteed", "ICCIF-species-dilution-info": "", "ICCIF-species-notes": "<p></p>", "FlowCytIntra-species-checked": "testedAndGuaranteed", "FlowCytIntra-species-dilution-info": "", "FlowCytIntra-species-notes": "<p></p>" }, "Mouse": { "IHCP-species-checked": "predicted", "IHCP-species-dilution-info": "", "IHCP-species-notes": "", "WB-species-checked": "predicted", "WB-species-dilution-info": "", "WB-species-notes": "", "ICCIF-species-checked": "predicted", "ICCIF-species-dilution-info": "", "ICCIF-species-notes": "", "FlowCytIntra-species-checked": "predicted", "FlowCytIntra-species-dilution-info": "", "FlowCytIntra-species-notes": "" }, "Rat": { "IHCP-species-checked": "predicted", "IHCP-species-dilution-info": "", "IHCP-species-notes": "", "WB-species-checked": "predicted", "WB-species-dilution-info": "", "WB-species-notes": "", "ICCIF-species-checked": "predicted", "ICCIF-species-dilution-info": "", "ICCIF-species-notes": "", "FlowCytIntra-species-checked": "predicted", "FlowCytIntra-species-dilution-info": "", "FlowCytIntra-species-notes": "" } } }

产品详情

ab232034 is the carrier-free version of ab131268.

Patented technology
Our RabMAb® technology is a patented hybridoma-based technology for making rabbit monoclonal antibodies. For details on our patents, please refer to RabMAb® patents.

What are the advantages of a recombinant monoclonal antibody?
This product is a recombinant monoclonal antibody, which offers several advantages including:

  • - High batch-to-batch consistency and reproducibility
  • - Improved sensitivity and specificity
  • - Long-term security of supply
  • - Animal-free batch production

For more information, read more on recombinant antibodies.

Conjugation ready
Our carrier-free antibodies are typically supplied in a PBS-only formulation, purified and free of BSA, sodium azide and glycerol. This conjugation-ready format is designed for use with fluorochromes, metal isotopes, oligonucleotides, and enzymes, which makes them ideal for antibody labelling, functional and cell-based assays, flow-based assays (e.g. mass cytometry) and Multiplex Imaging applications.

Use our conjugation kits for antibody conjugates that are ready-to-use in as little as 20 minutes with 1 minute hands-on-time and 100% antibody recovery: available for fluorescent dyes, HRP, biotin and gold.

Compatibility
This product is compatible with the Maxpar® Antibody Labeling Kit from Fluidigm, without the need for antibody preparation. Maxpar® is a trademark of Fluidigm Canada Inc.

性能和储存信息

形式
Liquid
纯化工艺
Affinity purification Protein A
存储溶液
pH: 7.2 - 7.4 Constituents: PBS
运输条件
Blue Ice
推荐的短期储存条件
+4°C
推荐的长期储存条件
+4°C
储存信息
Do Not Freeze

补充信息

This supplementary information is collated from multiple sources and compiled automatically.

Nuclear Matrix Protein p84 also known as 5E10 or simply p84 is a structural protein of the nuclear matrix. It has an approximate mass of 84 kDa. Researchers have identified it as an integral component of the nucleoskeleton providing key structural support within the cell nucleus. The expression of p84 is resourceful within various cell types especially in tissues with high rates of cellular proliferation and turnover.
Biological function summary

Nuclear Matrix Protein p84 assists in nuclear architecture maintenance and organization. It takes part in DNA replication processes and gene regulation by interacting with chromatin and transcription factors. Furthermore p84 contributes to the formation of the ribonucleoprotein complex facilitating RNA processing and transport. This involvement in multiple nuclear tasks positions it as a critical player in gene expression regulation mechanisms.

Pathways

Nuclear Matrix Protein p84 influences vital cellular activities such as the cell cycle and DNA repair. Its connections are apparent in the regulation of the p53 signaling pathway where it interacts with several regulatory proteins to monitor cell cycle progression and stress responses. p84’s activity also aligns with the DNA damage response pathway highlighting its cooperation with checkpoint proteins like ATM and ATR that uphold genomic integrity during cellular stress conditions.

Aberrant Nuclear Matrix Protein p84 expression aligns with cancer and autoimmune conditions. In certain cancers deregulation of p84 can result in altered cell cycle control and resistance to apoptosis. Its interaction with p53 and other tumor suppressor proteins directly influences cancer cell survival and proliferation. Additionally altered p84 expression has connections to lupus specifically affecting the autoantigen properties and leading to immune system malfunctions. Understanding these connections helps scientists investigate therapeutic targets for associated diseases.

产品实验方案

For this product, it's our understanding that no specific protocols are required. You can visit:

靶点信息

Component of the THO subcomplex of the TREX complex which is thought to couple mRNA transcription, processing and nuclear export, and which specifically associates with spliced mRNA and not with unspliced pre-mRNA (PubMed : 15833825, PubMed : 15998806, PubMed : 17190602). Required for efficient export of polyadenylated RNA (PubMed : 23222130). The THOC1-THOC2-THOC3 core complex alone is sufficient to bind export factor NXF1-NXT1 and promote ATPase activity of DDX39B/UAP56 (PubMed : 33191911). TREX is recruited to spliced mRNAs by a transcription-independent mechanism, binds to mRNA upstream of the exon-junction complex (EJC) and is recruited in a splicing- and cap-dependent manner to a region near the 5' end of the mRNA where it functions in mRNA export to the cytoplasm via the TAP/NXF1 pathway (PubMed : 15833825, PubMed : 15998806, PubMed : 17190602). Regulates transcriptional elongation of a subset of genes (PubMed : 22144908). Involved in genome stability by preventing co-transcriptional R-loop formation (By similarity). May play a role in hair cell formation, hence may be involved in hearing (By similarity).. Participates in an apoptotic pathway which is characterized by activation of caspase-6, increases in the expression of BAK1 and BCL2L1 and activation of NF-kappa-B. This pathway does not require p53/TP53, nor does the presence of p53/TP53 affect the efficiency of cell killing. Activates a G2/M cell cycle checkpoint prior to the onset of apoptosis. Apoptosis is inhibited by association with RB1.. (Microbial infection) The TREX complex is essential for the export of Kaposi's sarcoma-associated herpesvirus (KSHV) intronless mRNAs and infectious virus production.
See full target information THOC1

文献 (1)

Recent publications for all applications. Explore the full list and refine your search

Translational lung cancer research 10:2523-2538 PubMed34295659

2021

One carbon metabolism in human lung cancer.

Applications

Unspecified application

Species

Unspecified reactive species

Sha Yao,Luogen Peng,Omar Elakad,Stefan Küffer,Marc Hinterthaner,Bernhard C Danner,Alexander von Hammerstein-Equord,Philipp Ströbel,Hanibal Bohnenberger
View all publications

Abcam Product Promise

我们致力于为您的研究提供高质量的试剂,为您科研的每一步提供支持。若我们的产品未能达到预期性能,我们向您提供 Abcam Product Promise 保障。
详情请参阅我们的条款与条件。

Please note: All products are 'FOR RESEARCH USE ONLY. NOT FOR USE IN DIAGNOSTIC OR THERAPEUTIC PROCEDURES'.

For licensing inquiries, please contact partnerships@abcam.com