JavaScript is disabled in your browser. Please enable JavaScript to view this website.
AB487

Anti-Nuclear Matrix蛋白p84抗体[5E10]

Anti-Nuclear Matrix Protein p84 antibody [5E10]

5

(16 Reviews)

|

(105 Publications)

Mouse Monoclonal Nuclear Matrix Protein p84 antibody. Carrier free. Suitable for IHC-P, IP, Flow Cyt, WB, ICC/IF and reacts with Human, Rat, Mouse samples. Cited in 105 publications. Immunogen corresponding to Recombinant Fragment Protein within Human THOC1 aa 1-400.

查看别名

HPR1, THOC1, THO complex subunit 1, Nuclear matrix protein p84, hTREX84, p84N5

10 Images
Flow Cytometry - Anti-Nuclear Matrix Protein p84 antibody [5E10] (AB487)
  • Flow Cyt

Unknown

Flow Cytometry - Anti-Nuclear Matrix Protein p84 antibody [5E10] (AB487)

Overlay histogram showing HeLa cells stained with ab487 (red line). The cells were fixed with 100% methanol (5 min) and then permeabilized with 0.1% PBS-Tween for 20 min. The cells were then incubated in 1x PBS / 10% normal goat serum / 0.3M glycine to block non-specific protein-protein interactions followed by the antibody (ab487, 1μg/1x106 cells) for 30 min at 22°C. The secondary antibody used was DyLight® 488 goat anti-mouse IgG (H+L) (ab96879) at 1/500 dilution for 30 min at 22°C. Isotype control antibody (black line) was mouse IgG2b [PLPV219] (ab91366, 2μg/1x106 cells) used under the same conditions. Acquisition of >5,000 events was performed. This antibody gave a positive signal in HeLa cells fixed with 4% paraformaldehyde (10 min)/permeabilized in 0.1% PBS-Tween used under the same conditions.

This image was generated using the ascites version of the product.

Immunocytochemistry/ Immunofluorescence - Anti-Nuclear Matrix Protein p84 antibody [5E10] (AB487)
  • ICC/IF

Supplier Data

Immunocytochemistry/ Immunofluorescence - Anti-Nuclear Matrix Protein p84 antibody [5E10] (AB487)

Immunocytochemical analysis of HeLa (Human epithelial cell line from cervix adenocarcinoma) cells labeling Nuclear Matrix Protein p84 at the nucleus with ab487 at 1/500 dilution. Red : phalloidin, a cytoskeleton marker, diluted at 1 : 100.

Immunohistochemistry (Formalin/PFA-fixed paraffin-embedded sections) - Anti-Nuclear Matrix Protein p84 antibody [5E10] (AB487)
  • IHC-P

Supplier Data

Immunohistochemistry (Formalin/PFA-fixed paraffin-embedded sections) - Anti-Nuclear Matrix Protein p84 antibody [5E10] (AB487)

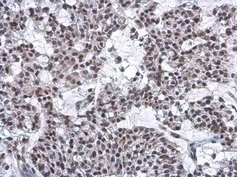
Immunohistochemical analysis of human breast carcinoma tissue labeling Nuclear Matrix Protein p84 at the nucleus with ab487 at 1/200 dilution.

Immunohistochemistry (Formalin/PFA-fixed paraffin-embedded sections) - Anti-Nuclear Matrix Protein p84 antibody [5E10] (AB487)
  • IHC-P

Supplier Data

Immunohistochemistry (Formalin/PFA-fixed paraffin-embedded sections) - Anti-Nuclear Matrix Protein p84 antibody [5E10] (AB487)

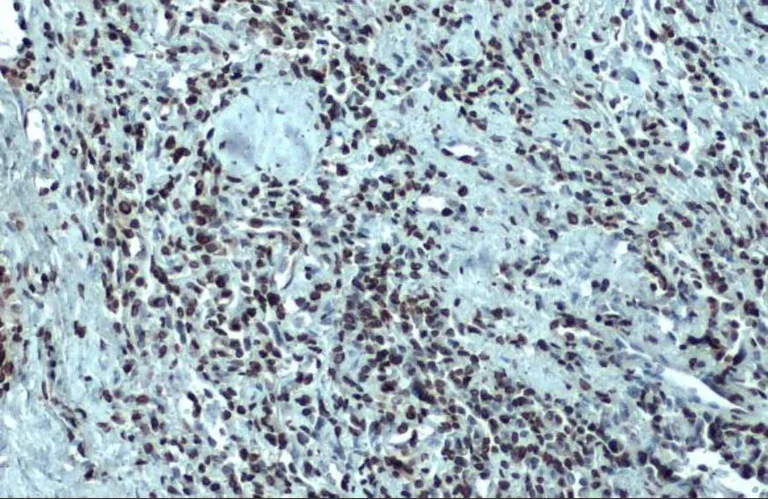
Immunohistochemical analysis of human lung cancer tissue labeling Nuclear Matrix Protein p84 at the nucleus with ab487 at 1/100 dilution.

Immunocytochemistry/ Immunofluorescence - Anti-Nuclear Matrix Protein p84 antibody [5E10] (AB487)
  • ICC/IF

AbReview15760****

Immunocytochemistry/ Immunofluorescence - Anti-Nuclear Matrix Protein p84 antibody [5E10] (AB487)

ab487 staining Nuclear Matrix Protein p84 in Human stomach adenocarcinoma cell line (AGS) by Immunocytochemistry/ Immunofluorescence. The cells were formaldehyde fixed, permeabilised in 0.025% Triton X-100, TBS and then blocked using 5% serum for 1 hour at 23°C. Samples were then incubated with primary antibody at 2μg/ml for 1 hour at 23°C. The secondary antibody used was a goat anti-mouse IgG conjugated to Alexa Fluor® 350 (blue) used undiluted.p84 shows nuclear localization.

This image was generated using the ascites version of the product.

This image is a courtesy of an anonymous Abreview

Immunocytochemistry/ Immunofluorescence - Anti-Nuclear Matrix Protein p84 antibody [5E10] (AB487)
  • ICC/IF

Unknown

Immunocytochemistry/ Immunofluorescence - Anti-Nuclear Matrix Protein p84 antibody [5E10] (AB487)

ICC/IF image of ab487 stained HepG2 cells. The cells were 4% formaldehyde fixed (10 min) and then incubated in 1%BSA / 10% normal goat serum / 0.3M glycine in 0.1% PBS-Tween for 1h to permeabilise the cells and block non-specific protein-protein interactions. The cells were then incubated with the antibody (ab487, 5μg/ml) overnight at +4°C. The secondary antibody (green) was Alexa Fluor® 488 goat anti-mouse IgG (H+L) used at a 1/1000 dilution for 1h. Alexa Fluor® 594 WGA was used to label plasma membranes (red) at a 1/200 dilution for 1h. DAPI was used to stain the cell nuclei (blue) at a concentration of 1.43μM.

This image was generated using the ascites version of the product.

Immunoprecipitation - Anti-Nuclear Matrix Protein p84 antibody [5E10] (AB487)
  • IP

Supplier Data

Immunoprecipitation - Anti-Nuclear Matrix Protein p84 antibody [5E10] (AB487)

Nuclear Matrix Protein p84 was immunoprecipitated from HepG2 (human liver hepatocellular carcinoma cell line) whole cell lysate with 3 μg ab487. Western blot was performed from the immunoprecipitate using ab487. Anti-Rabbit IgG was used as a secondary reagent.

Lane 1 : HepG2 whole cell lysate 30 μg.

Lane 2 : Control IP in HepG2 whole cell lysate with 3 μg of pre-immune mouse IgG.

Lane 3 : ab487 IP in HepG2 whole cell lysate.

This image was generated using the ascites version of the product.

All lanes:

Immunoprecipitation - Anti-Nuclear Matrix Protein p84 antibody [5E10] (ab487)

Predicted band size: 76 kDa

false

Western blot - Anti-Nuclear Matrix Protein p84 antibody [5E10] (AB487)
  • WB

Supplier Data

Western blot - Anti-Nuclear Matrix Protein p84 antibody [5E10] (AB487)

7.5% SDS-PAGE gel.

This image was generated using the ascites version of the product.

All lanes:

Western blot - Anti-Nuclear Matrix Protein p84 antibody [5E10] (ab487) at 1/1000 dilution

Lane 1:

HeLa (human epithelial cell line from cervix adenocarcinoma) whole cell lysate at 30 µg

Lane 2:

HeLa (human epithelial cell line from cervix adenocarcinoma) nuclear lysate at 30 µg

Secondary

All lanes:

HRP-conjugated anti-mouse IgG

Predicted band size: 76 kDa

false

Western blot - Anti-Nuclear Matrix Protein p84 antibody [5E10] (AB487)
  • WB

Supplier Data

Western blot - Anti-Nuclear Matrix Protein p84 antibody [5E10] (AB487)

All lanes:

Western blot - Anti-Nuclear Matrix Protein p84 antibody [5E10] (ab487) at 1/1000 dilution

All lanes:

Mouse cerebellum tissue lysates at 50 µg

Secondary

All lanes:

anti-mouse IgG HRP-conjugated antibody

Predicted band size: 47 kDa,50 kDa,68 kDa,70 kDa,71 kDa,73 kDa,74 kDa,76 kDa,77 kDa,78 kDa,80 kDa,82 kDa,88 kDa,90 kDa

false

Western blot - Anti-Nuclear Matrix Protein p84 antibody [5E10] (AB487)
  • WB

Supplier Data

Western blot - Anti-Nuclear Matrix Protein p84 antibody [5E10] (AB487)

All lanes:

Western blot - Anti-Nuclear Matrix Protein p84 antibody [5E10] (ab487) at 1/1000 dilution

Lane 1:

HEK-293T (Human epithelial cell line from embryonic kidney transformed with large T antigen) whole cell lysate at 20 µg

Lane 2:

HEK-293T whole cell lysate at 10 µg

Lane 3:

HEK-293T whole cell lysate at 5 µg

Secondary

All lanes:

anti-mouse IgG HRP-conjugated antibody

Predicted band size: 76 kDa

false

关键信息

宿主种属

Mouse

克隆

Monoclonal

克隆号

5E10

亚型

IgG2b

轻链类型

kappa

不含载体蛋白

Yes

反应种属

Mouse, Rat, Human

应用

ICC/IF, WB, IHC-P, IP, Flow Cyt

applications

免疫原

Recombinant Fragment Protein within Human THOC1 aa 1-400. The exact immunogen used to generate this antibody is proprietary information.

Q96FV9

反应性数据

{ "title": "Reactivity Data", "filters": { "stats": ["", "Species", "Dilution Info", "Notes"], "tabs": { "all-applications": {"fullname" : "All Applications", "shortname": "All Applications"}, "IHCP" : {"fullname" : "Immunohistochemistry (Formalin/PFA-fixed paraffin-embedded sections)", "shortname":"IHC-P"}, "IP" : {"fullname" : "Immunoprecipitation", "shortname":"IP"}, "FlowCyt" : {"fullname" : "Flow Cytometry", "shortname":"Flow Cyt"}, "WB" : {"fullname" : "Western blot", "shortname":"WB"}, "ICCIF" : {"fullname" : "Immunocytochemistry/ Immunofluorescence", "shortname":"ICC/IF"} }, "product-promise": { "all": "all", "testedAndGuaranteed": "tested", "guaranteed": "expected", "predicted": "predicted", "notRecommended": "not-recommended" } }, "values": { "Human": { "IHCP-species-checked": "testedAndGuaranteed", "IHCP-species-dilution-info": "", "IHCP-species-notes": "<p></p>", "IP-species-checked": "testedAndGuaranteed", "IP-species-dilution-info": "1/100 - 1/500", "IP-species-notes": "<p></p>", "FlowCyt-species-checked": "testedAndGuaranteed", "FlowCyt-species-dilution-info": "1 µg for 10^6 Cells", "FlowCyt-species-notes": "<p><a href='/products/primary-antibodies/mouse-igg2b-kappa-monoclonal-7e10g10-isotype-control-ab170192'>ab170192</a> - Mouse monoclonal IgG2b, is suitable for use as an isotype control with this antibody.</p>", "WB-species-checked": "testedAndGuaranteed", "WB-species-dilution-info": "0.3-2 µg/mL", "WB-species-notes": "<p></p>", "ICCIF-species-checked": "testedAndGuaranteed", "ICCIF-species-dilution-info": "0.5-2 µg/mL", "ICCIF-species-notes": "<p></p>" }, "Mouse": { "IHCP-species-checked": "guaranteed", "IHCP-species-dilution-info": "", "IHCP-species-notes": "", "IP-species-checked": "guaranteed", "IP-species-dilution-info": "", "IP-species-notes": "", "FlowCyt-species-checked": "guaranteed", "FlowCyt-species-dilution-info": "", "FlowCyt-species-notes": "", "WB-species-checked": "testedAndGuaranteed", "WB-species-dilution-info": "0.3-2 µg/mL", "WB-species-notes": "<p></p>", "ICCIF-species-checked": "guaranteed", "ICCIF-species-dilution-info": "", "ICCIF-species-notes": "" }, "Rat": { "IHCP-species-checked": "testedAndGuaranteed", "IHCP-species-dilution-info": "", "IHCP-species-notes": "<p></p>", "IP-species-checked": "testedAndGuaranteed", "IP-species-dilution-info": "1/100 - 1/500", "IP-species-notes": "<p></p>", "FlowCyt-species-checked": "testedAndGuaranteed", "FlowCyt-species-dilution-info": "1 µg for 10^6 Cells", "FlowCyt-species-notes": "<p><a href='/products/primary-antibodies/mouse-igg2b-kappa-monoclonal-7e10g10-isotype-control-ab170192'>ab170192</a> - Mouse monoclonal IgG2b, is suitable for use as an isotype control with this antibody.</p>", "WB-species-checked": "guaranteed", "WB-species-dilution-info": "", "WB-species-notes": "", "ICCIF-species-checked": "guaranteed", "ICCIF-species-dilution-info": "", "ICCIF-species-notes": "" } } }

产品详情

This product was changed from ascites to tissue culture supernatant on 2nd Feb 2019. Please note that the dilutions may need to be adjusted accordingly. If you have any questions, please do not hesitate to contact our scientific support team.

性能和储存信息

形式
Liquid
纯化工艺
Affinity purification Protein G
存储溶液
pH: 7.4 Constituents: PBS
运输条件
Blue Ice
推荐的短期储存条件
+4°C
推荐的长期储存条件
-20°C
分装信息
Upon delivery aliquot
储存信息
Avoid freeze / thaw cycle

补充信息

This supplementary information is collated from multiple sources and compiled automatically.

Nuclear Matrix Protein p84 also known as 5E10 or simply p84 is a structural protein of the nuclear matrix. It has an approximate mass of 84 kDa. Researchers have identified it as an integral component of the nucleoskeleton providing key structural support within the cell nucleus. The expression of p84 is resourceful within various cell types especially in tissues with high rates of cellular proliferation and turnover.
Biological function summary

Nuclear Matrix Protein p84 assists in nuclear architecture maintenance and organization. It takes part in DNA replication processes and gene regulation by interacting with chromatin and transcription factors. Furthermore p84 contributes to the formation of the ribonucleoprotein complex facilitating RNA processing and transport. This involvement in multiple nuclear tasks positions it as a critical player in gene expression regulation mechanisms.

Pathways

Nuclear Matrix Protein p84 influences vital cellular activities such as the cell cycle and DNA repair. Its connections are apparent in the regulation of the p53 signaling pathway where it interacts with several regulatory proteins to monitor cell cycle progression and stress responses. p84’s activity also aligns with the DNA damage response pathway highlighting its cooperation with checkpoint proteins like ATM and ATR that uphold genomic integrity during cellular stress conditions.

Aberrant Nuclear Matrix Protein p84 expression aligns with cancer and autoimmune conditions. In certain cancers deregulation of p84 can result in altered cell cycle control and resistance to apoptosis. Its interaction with p53 and other tumor suppressor proteins directly influences cancer cell survival and proliferation. Additionally altered p84 expression has connections to lupus specifically affecting the autoantigen properties and leading to immune system malfunctions. Understanding these connections helps scientists investigate therapeutic targets for associated diseases.

产品实验方案

For this product, it's our understanding that no specific protocols are required. You can visit:

靶点信息

Component of the THO subcomplex of the TREX complex which is thought to couple mRNA transcription, processing and nuclear export, and which specifically associates with spliced mRNA and not with unspliced pre-mRNA (PubMed : 15833825, PubMed : 15998806, PubMed : 17190602). Required for efficient export of polyadenylated RNA (PubMed : 23222130). The THOC1-THOC2-THOC3 core complex alone is sufficient to bind export factor NXF1-NXT1 and promote ATPase activity of DDX39B/UAP56 (PubMed : 33191911). TREX is recruited to spliced mRNAs by a transcription-independent mechanism, binds to mRNA upstream of the exon-junction complex (EJC) and is recruited in a splicing- and cap-dependent manner to a region near the 5' end of the mRNA where it functions in mRNA export to the cytoplasm via the TAP/NXF1 pathway (PubMed : 15833825, PubMed : 15998806, PubMed : 17190602). Regulates transcriptional elongation of a subset of genes (PubMed : 22144908). Involved in genome stability by preventing co-transcriptional R-loop formation (By similarity). May play a role in hair cell formation, hence may be involved in hearing (By similarity).. Participates in an apoptotic pathway which is characterized by activation of caspase-6, increases in the expression of BAK1 and BCL2L1 and activation of NF-kappa-B. This pathway does not require p53/TP53, nor does the presence of p53/TP53 affect the efficiency of cell killing. Activates a G2/M cell cycle checkpoint prior to the onset of apoptosis. Apoptosis is inhibited by association with RB1.. (Microbial infection) The TREX complex is essential for the export of Kaposi's sarcoma-associated herpesvirus (KSHV) intronless mRNAs and infectious virus production.
See full target information THOC1

文献 (105)

Recent publications for all applications. Explore the full list and refine your search

International journal of medical sciences 22:3839-3853 PubMed41049446

2025

PRDX3 Promotes Lymph Node Metastasis in Cervical Cancer by Activating NF-κB Signaling Pathway and Anoikis Resistance.

Applications

Unspecified application

Species

Unspecified reactive species

Weijia Wen,Jiaying Li,Li Yuan,Yan Liao,Caixia Shao,Dingze Xu,Hongye Jiang,Yuandong Liao,Pan Liu,Chunyu Zhang,Shuzhong Yao,Wei Wang

Journal of virology 99:e0220324 PubMed40130877

2025

The retinoblastoma protein contributes to maintaining the stability of HPV E7 in cervical cancer cells.

Applications

Unspecified application

Species

Unspecified reactive species

Ifeoluwa Gbala,Nezka Kavcic,Lawrence Banks

International journal of medical sciences 22:460-472 PubMed39781521

2025

Doublecortin-like kinase 1 promotes stem cell-like properties through the Hippo-YAP pathway in prostate cancer.

Applications

Unspecified application

Species

Unspecified reactive species

Donggen Jiang,Jun Li,He Ma,Binyuan Yan,Hanqi Lei

The EMBO journal 43:6052-6075 PubMed39433902

2024

PRC2-EZH1 contributes to circadian gene expression by orchestrating chromatin states and RNA polymerase II complex stability.

Applications

Unspecified application

Species

Unspecified reactive species

Peng Liu,Seba Nadeef,Maged F Serag,Andreu Paytuví-Gallart,Maram Abadi,Francesco Della Valle,Santiago Radío,Xènia Roda,Jaïr Dilmé Capó,Sabir Adroub,Nadine Hosny El Said,Bodor Fallatah,Mirko Celii,Gian Marco Messa,Mengge Wang,Mo Li,Paola Tognini,Lorena Aguilar-Arnal,Satoshi Habuchi,Selma Masri,Paolo Sassone-Corsi,Valerio Orlando

Immunity 57:1124-1140.e9 PubMed38636522

2024

Jagged2 targeting in lung cancer activates anti-tumor immunity via Notch-induced functional reprogramming of tumor-associated macrophages.

Applications

Unspecified application

Species

Unspecified reactive species

Jay K Mandula,Rosa A Sierra-Mondragon,Rachel V Jimenez,Darwin Chang,Eslam Mohamed,Shiun Chang,Julio A Vazquez-Martinez,Yu Cao,Carmen M Anadon,Sae Bom Lee,Satyajit Das,Léo Rocha-Munguba,Vincent M Pham,Roger Li,Ahmad A Tarhini,Muhammad Furqan,William Dalton,Michelle Churchman,Carlos M Moran-Segura,Jonathan Nguyen,Bradford Perez,Douglas J Kojetin,Alyssa Obermayer,Xiaoqing Yu,Ann Chen,Timothy I Shaw,Jose R Conejo-Garcia,Paulo C Rodriguez

iScience 27:109245 PubMed38439973

2024

N-methyladenosine-modified VGLL1 promotes ovarian cancer metastasis through high-mobility group AT-hook 1/Wnt/β-catenin signaling.

Applications

Unspecified application

Species

Unspecified reactive species

Han Li,Liming Cai,Qiuzhong Pan,Xingyu Jiang,Jingjing Zhao,Tong Xiang,Yan Tang,Qijing Wang,Jia He,Desheng Weng,Yanna Zhang,Zhongqiu Liu,Jianchuan Xia

Journal of pineal research 76:e12921 PubMed37846173

2023

Ramelteon attenuates hippocampal neuronal loss and memory impairment following kainate-induced seizures.

Applications

Unspecified application

Species

Unspecified reactive species

Jung Hoon Park,Yeonggwang Hwang,Yen Nhi Doan Nguyen,Hyoung-Chun Kim,Eun-Joo Shin

iScience 26:107617 PubMed37664594

2023

SHOX2 promotes prostate cancer proliferation and metastasis through disruption of the Hippo-YAP pathway.

Applications

Unspecified application

Species

Unspecified reactive species

Wenjie Yang,Hualin Chen,Lin Ma,Jie Dong,Mengchao Wei,Xiaoqiang Xue,Yingjie Li,Zhaoheng Jin,Weifeng Xu,Zhigang Ji

FEBS letters 597:947-961 PubMed36856012

2023

Long noncoding RNAs are substrates for cytoplasmic capping enzyme.

Applications

Unspecified application

Species

Unspecified reactive species

Avik Mukherjee,Safirul Islam,Rachel E Kieser,Daniel L Kiss,Chandrama Mukherjee

PloS one 18:e0282117 PubMed36821545

2023

Novel Bruton's tyrosine kinase inhibitor TAS5315 suppresses the progression of inflammation and joint destruction in rodent collagen-induced arthritis.

Applications

Unspecified application

Species

Unspecified reactive species

Daichi Akasaka,Satoru Iguchi,Ryusuke Kaneko,Yohei Yoshiga,Daisuke Kajiwara,Yoshinori Nakachi,Naruto Noma,Kenji Tanaka,Atsushi Shimizu,Fumihito Hosoi
View all publications

Abcam Product Promise

我们致力于为您的研究提供高质量的试剂,为您科研的每一步提供支持。若我们的产品未能达到预期性能,我们向您提供 Abcam Product Promise 保障。
详情请参阅我们的条款与条件。

Please note: All products are 'FOR RESEARCH USE ONLY. NOT FOR USE IN DIAGNOSTIC OR THERAPEUTIC PROCEDURES'.

For licensing inquiries, please contact partnerships@abcam.com