JavaScript is disabled in your browser. Please enable JavaScript to view this website.
AB15486

Anti-NSE抗体

Anti-NSE antibody

4

(1 Review)

|

(1 Publication)

Rabbit Polyclonal NSE antibody. Suitable for IHC-P and reacts with Human samples. Cited in 1 publication.

查看别名

Gamma-enolase, 2-phospho-D-glycerate hydro-lyase, Enolase 2, Neural enolase, Neuron-specific enolase, NSE, ENO2

1 Images
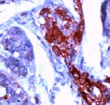
Immunohistochemistry (Formalin/PFA-fixed paraffin-embedded sections) - Anti-NSE antibody (AB15486)
  • IHC-P

Unknown

Immunohistochemistry (Formalin/PFA-fixed paraffin-embedded sections) - Anti-NSE antibody (AB15486)

ab15486 staining NSE in human pancreas by Immunohistochemistry (FFPE-sections).

关键信息

宿主种属

Rabbit

克隆

Polyclonal

亚型

IgG

不含载体蛋白

No

反应种属

Human

应用

IHC-P

applications

免疫原

The exact immunogen used to generate this antibody is proprietary information.

反应性数据

{ "title": "Reactivity Data", "filters": { "stats": ["", "Species", "Dilution Info", "Notes"], "tabs": { "all-applications": {"fullname" : "All Applications", "shortname": "All Applications"}, "IHCP" : {"fullname" : "Immunohistochemistry (Formalin/PFA-fixed paraffin-embedded sections)", "shortname":"IHC-P"} }, "product-promise": { "all": "all", "testedAndGuaranteed": "tested", "guaranteed": "expected", "predicted": "predicted", "notRecommended": "not-recommended" } }, "values": { "Human": { "IHCP-species-checked": "testedAndGuaranteed", "IHCP-species-dilution-info": "1/300", "IHCP-species-notes": "<p>1/300 for 10 minutes at RT. Staining of formalin-fixed tissues requires boiling tissue sections in 10mM Citrate buffer, pH 6.0 for 10 minutes, followed by cooling at RT for 20 minutes.</p>" } } }

性能和储存信息

形式
Liquid
纯化工艺
Affinity purification Immunogen
存储溶液
pH: 7.6 Preservative: 0.1% Sodium azide Constituents: PBS, 1% BSA
运输条件
Blue Ice
推荐的短期储存条件
+4°C
推荐的长期储存条件
-20°C
分装信息
Upon delivery aliquot
储存信息
Avoid freeze / thaw cycle

补充信息

This supplementary information is collated from multiple sources and compiled automatically.

Neuron-specific enolase (NSE) also known simply as enolase-2 is a glycolytic enzyme with a molecular weight of approximately 47 kDa. This protein mainly facilitates the conversion of 2-phosphoglycerate to phosphoenolpyruvate in the glycolytic pathway. NSE is expressed significantly in neural tissues and neuroendocrine cells. Researchers often utilize it in various assays including NSE IHC and NSE ELISA to assess its expression levels in different tissue types.
Biological function summary

NSE plays a major role in cellular metabolism particularly in neurons where it aids energy production through glycolysis. It forms part of a dimeric complex bonding typically with itself or other enolase isoforms for proper function. As an important enzyme in the metabolic pathway NSE helps ensure neurons and associated cells maintain energy homeostasis which is fundamental for sustenance and normal cellular functions.

Pathways

NSE is an integral component of glycolysis a metabolic pathway pivotal in cellular energy production. The process collaborates closely with other glycolytic enzymes like pyruvate kinase and hexokinase to facilitate efficient energy release from glucose. Through these interactions NSE guarantees the smooth continuation of glycolysis highlighting its importance within cellular metabolism frameworks.

NSE serves as a marker for neuroblastoma and small cell lung cancer. Elevated NSE levels suggest potential malignancies due to its release into the bloodstream from damaged neural and neuroendocrine cells. Moreover it often appears alongside proteins like neuron-specific markers such as synaptophysin in diagnostic assays. Understanding its involvement in these conditions helps clinicians diagnose and monitor the progression of certain cancers effectively.

产品实验方案

For this product, it's our understanding that no specific protocols are required. You can visit:

靶点信息

Has neurotrophic and neuroprotective properties on a broad spectrum of central nervous system (CNS) neurons. Binds, in a calcium-dependent manner, to cultured neocortical neurons and promotes cell survival (By similarity).
See full target information ENO2

文献 (1)

Recent publications for all applications. Explore the full list and refine your search

RSC advances 11:12423-12433 PubMed35423725

2021

Synthesis and evaluation of 3'-[F]fluorothymidine-5'-squaryl as a bioisostere of 3'-[F]fluorothymidine-5'-monophosphate.

Applications

Unspecified application

Species

Unspecified reactive species

D Brickute,A Beckley,L Allott,M Braga,C Barnes,K J Thorley,E O Aboagye
View all publications

Abcam Product Promise

我们致力于为您的研究提供高质量的试剂,为您科研的每一步提供支持。若我们的产品未能达到预期性能,我们向您提供 Abcam Product Promise 保障。
详情请参阅我们的条款与条件。

Please note: All products are 'FOR RESEARCH USE ONLY. NOT FOR USE IN DIAGNOSTIC OR THERAPEUTIC PROCEDURES'.

For licensing inquiries, please contact partnerships@abcam.com