JavaScript is disabled in your browser. Please enable JavaScript to view this website.
AB76026

Anti-Nrf2 (phospho S40) 抗体 [EP1809Y]

Anti-Nrf2 (phospho S40) antibody [EP1809Y]

4

(18 Reviews)

|

(253 Publications)

Anti-Nrf2 (phospho S40) antibody [EP1809Y] (ab76026) is a rabbit monoclonal antibody detecting Nrf2 in Western Blot, Flow Cytometry (Intra), Flow Cytometry, IHC-P, ICC/IF, Dot Blot. Suitable for Human.

- Biophysical QC for unrivalled batch-batch consistency
- Over 200 publications
- Trusted since 2009

查看别名

NRF2, NFE2L2, Nuclear factor erythroid 2-related factor 2, NF-E2-related factor 2, NFE2-related factor 2, Nrf-2

16 Images
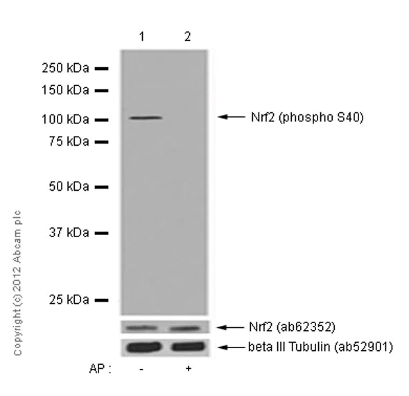
Western blot - Anti-Nrf2 (phospho S40) antibody [EP1809Y] (AB76026)
  • WB

Lab

Western blot - Anti-Nrf2 (phospho S40) antibody [EP1809Y] (AB76026)

Blocking buffer : 5% NFDM/TBST, dilution buffer : 5% NFDM /TBST, exposure time : 15 seconds

All lanes:

Western blot - Anti-Nrf2 (phospho S40) antibody [EP1809Y] (ab76026) at 1/10000 dilution

Lane 1:

Untreated HepG2 (human hepatocellular carcinoma) whole cell lysates 20μg

Lane 2:

HepG2 (human hepatocellular carcinoma) treated with Alkaline Phosphatase (AP) whole cell lysates 20μg

Secondary

All lanes:

Western blot - Goat Anti-Rabbit IgG H&L (HRP) (<a href='/products/secondary-antibodies/goat-rabbit-igg-h-l-hrp-ab97051'>ab97051</a>) at 1/1000 dilution

Predicted band size: 68 kDa

Observed band size: 100 kDa

false

Immunocytochemistry/ Immunofluorescence - Anti-Nrf2 (phospho S40) antibody [EP1809Y] (AB76026)
  • ICC/IF

PubMed

Immunocytochemistry/ Immunofluorescence - Anti-Nrf2 (phospho S40) antibody [EP1809Y] (AB76026)

Nrf2 Translocation from cytoplasm to nucleus.

(A) Human islets were treated with dh404 for 0.5, 1 or 2 hours. The treated and untreated samples were stained with Nrf2 antibody ab76026 (Green) and DAPI (Blue). The con-focal microscope clearly showed that the Nrf2 translocation from cytoplasm to nucleus in the dh404 treated human islet cells

Masuda et al PLoS One. 2015 Jun 25;10(6):e0131012. doi: 10.1371/journal.pone.0131012. eCollection 2015. Fig 1. Reproduced under the Creative Commons license http://creativecommons.org/licenses/by/4.0/

Flow Cytometry (Intracellular) - Anti-Nrf2 (phospho S40) antibody [EP1809Y] (AB76026)
  • Flow Cyt (Intra)

Unknown

Flow Cytometry (Intracellular) - Anti-Nrf2 (phospho S40) antibody [EP1809Y] (AB76026)

Overlay histogram showing Jurkat cells fixed in 4% PFA and stained with purified ab76026 at a dilution of 1 in 80 (red line). The secondary antibody used was FITC goat anti-rabbit at a dilution of 1 in 500. Rabbit monoclonal IgG was used as an isotype control (black line) and cells incubated in the absence of both primary and secondary antibody were used as a negative control (blue line).

Immunohistochemistry (Formalin/PFA-fixed paraffin-embedded sections) - Anti-Nrf2 (phospho S40) antibody [EP1809Y] (AB76026)
  • IHC-P

Unknown

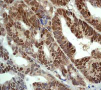
Immunohistochemistry (Formalin/PFA-fixed paraffin-embedded sections) - Anti-Nrf2 (phospho S40) antibody [EP1809Y] (AB76026)

Immunohistochemical analysis of paraffin-embedded human breast carcinoma using unpurified ab76026 at 1/100 dilution.

Perform heat mediated antigen retrieval before commencing with IHC staining protocol.

Immunohistochemistry (Formalin/PFA-fixed paraffin-embedded sections) - Anti-Nrf2 (phospho S40) antibody [EP1809Y] (AB76026)
  • IHC-P

Unknown

Immunohistochemistry (Formalin/PFA-fixed paraffin-embedded sections) - Anti-Nrf2 (phospho S40) antibody [EP1809Y] (AB76026)

Immunohistochemical staining of paraffin embedded human breast carcinoma with purified ab76026 at a working dilution of 1/500. The secondary antibody used is HRP goat anti-rabbit IgG H&L (ab97051) at 1/500. The sample is counter-stained with hematoxylin. Antigen retrieval was perfomed using Tris-EDTA buffer, pH 9.0. PBS was used instead of the primary antibody as the negative control, and is shown in the inset.

Immunohistochemistry (Formalin/PFA-fixed paraffin-embedded sections) - Anti-Nrf2 (phospho S40) antibody [EP1809Y] (AB76026)
  • IHC-P

Unknown

Immunohistochemistry (Formalin/PFA-fixed paraffin-embedded sections) - Anti-Nrf2 (phospho S40) antibody [EP1809Y] (AB76026)

Unpurified ab76026 showing positive staining in Breast carcinoma tissue.

Perform heat mediated antigen retrieval before commencing with IHC staining protocol.

Immunocytochemistry/ Immunofluorescence - Anti-Nrf2 (phospho S40) antibody [EP1809Y] (AB76026)
  • ICC/IF

Unknown

Immunocytochemistry/ Immunofluorescence - Anti-Nrf2 (phospho S40) antibody [EP1809Y] (AB76026)

Immunofluorescence staining of HepG2 cells with purified ab76026 at a working dilution of 1/100, counter-stained with DAPI. The treated cells were treated with alkaline phosphatase for 1 h at 37°C. The secondary antibody was Alexa Fluor® 488 goat anti-rabbit (ab150077), used at a dilution of 1/1000. ab7291, a mouse anti-tubulin antibody (1/1000), was used to stain tubulin along with ab150120 (Alexa Fluor® 594 goat anti-mouse, 1/1000), shown in the top right hand panel. The cells were fixed in 4% PFA and permeabilized using 0.1% Triton X 100. The negative controls are shown in bottom middle and right hand panels - for negative control 1, purified ab76026 was used at a dilution of 1/500 followed by an Alexa Fluor® 594 goat anti-mouse antibody (ab150120) at a dilution of 1/500. For negative control 2, ab7291 (mouse anti-tubulin) was used at a dilution of 1/500 followed by an Alexa Fluor® 488 goat anti-rabbit antibody (ab150077) at a dilution of 1/400.

Immunohistochemistry (Formalin/PFA-fixed paraffin-embedded sections) - Anti-Nrf2 (phospho S40) antibody [EP1809Y] (AB76026)
  • IHC-P

Unknown

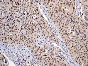
Immunohistochemistry (Formalin/PFA-fixed paraffin-embedded sections) - Anti-Nrf2 (phospho S40) antibody [EP1809Y] (AB76026)

Unpurified ab76026 showing positive staining in Normal tonsil tissue.

Perform heat mediated antigen retrieval before commencing with IHC staining protocol.

Immunohistochemistry (Formalin/PFA-fixed paraffin-embedded sections) - Anti-Nrf2 (phospho S40) antibody [EP1809Y] (AB76026)
  • IHC-P

AbReview16248****

Immunohistochemistry (Formalin/PFA-fixed paraffin-embedded sections) - Anti-Nrf2 (phospho S40) antibody [EP1809Y] (AB76026)

Unpurified ab76026 staining Nrf2 (phospho S40) in Human normal lung tissue sections by IHC-P (Formaldehyde-fixed paraffin-embedded sections). Tissue was fixed with formaldehyde and blocked with 1% casein for 30 minutes at 4°C. Antigen retrieval was by heat mediation. Samples were incubated with primary antibody (1/50) in 1% casein for 24 hours at 4°C. An undiluted HRP-conjugated Goat polyclonal to rabbit IgG was used as the secondary antibody.

This image is courtesy of an anonymous Abreview

Immunohistochemistry (Formalin/PFA-fixed paraffin-embedded sections) - Anti-Nrf2 (phospho S40) antibody [EP1809Y] (AB76026)
  • IHC-P

Unknown

Immunohistochemistry (Formalin/PFA-fixed paraffin-embedded sections) - Anti-Nrf2 (phospho S40) antibody [EP1809Y] (AB76026)

Unpurified ab76026 showing positive staining in Cervical carcinoma tissue.

Perform heat mediated antigen retrieval before commencing with IHC staining protocol.

Immunohistochemistry (Formalin/PFA-fixed paraffin-embedded sections) - Anti-Nrf2 (phospho S40) antibody [EP1809Y] (AB76026)
  • IHC-P

PubMed

Immunohistochemistry (Formalin/PFA-fixed paraffin-embedded sections) - Anti-Nrf2 (phospho S40) antibody [EP1809Y] (AB76026)

Nrf2 was abundantly expressed in carcinomas, low grade dysplasias, and non-atypical epithelia of oral tissue.

Representative findings of Nrf2 staining in carcinoma (left), in low grade dysplasia (middle), and in non-atypical epithelium (right).

Corresponding PLA signals are displayed in the lower row. Scale bar; 100 μm.

Surgical specimens were transferred to 10% buffered formalin and fixed overnight. The fixed samples were embedded in paraffin, and serially sliced into 5 μm sections. After dewaxing, sections were autoclaved at 120°C for 1 min in 10 mM sodium citrate buffer (pH 6.0), and immersed in 0.3% H2O2. They were then incubated overnight at 4°C with primary antibody to Nrf2 (diluted 1 : 200). The sections were rinsed with 1×PBS and incubated with the secondary antibody conjugated with horseradish peroxidase at room temperature for 1 hour. The sections were then stained with 3.3′-diaminobenzidinetetrahydrochloride (DAB) and counterstained with hematoxylin.

Inui et al PLoS One. 2013 Sep 24;8(9):e74398. doi: 10.1371/journal.pone.0074398. eCollection 2013. Fig 2. Reproduced under the Creative Commons license http://creativecommons.org/licenses/by/4.0/

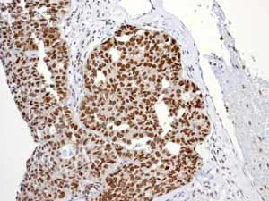
Immunohistochemistry (Formalin/PFA-fixed paraffin-embedded sections) - Anti-Nrf2 (phospho S40) antibody [EP1809Y] (AB76026)
  • IHC-P

Unknown

Immunohistochemistry (Formalin/PFA-fixed paraffin-embedded sections) - Anti-Nrf2 (phospho S40) antibody [EP1809Y] (AB76026)

Unpurified ab76026 showing positive staining in Ovarian carcinoma tissue.

Perform heat mediated antigen retrieval before commencing with IHC staining protocol.

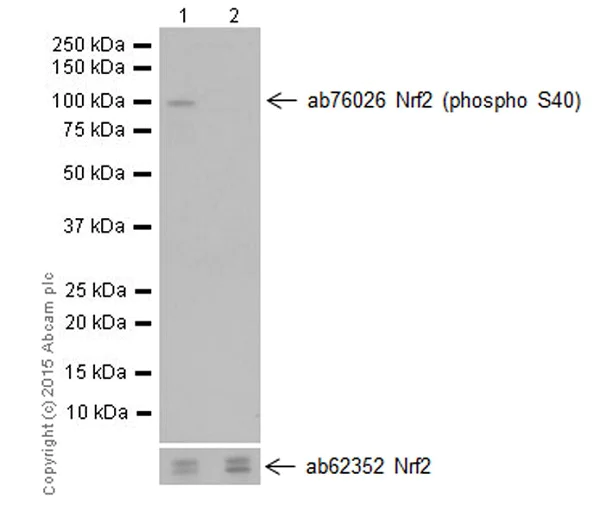
Western blot - Anti-Nrf2 (phospho S40) antibody [EP1809Y] (AB76026)
  • WB

Lab

Western blot - Anti-Nrf2 (phospho S40) antibody [EP1809Y] (AB76026)

Blocking buffer : 5% NFDM/TBST
Dilution buffer : 5% NFDM/TBST

All lanes:

Western blot - Anti-Nrf2 (phospho S40) antibody [EP1809Y] (ab76026) at 1/50000 dilution

Lane 1:

untreated HepG2 cell lysate at 10 µg

Lane 2:

HepG2 treated with phosphatase lysate at 10 µg

Secondary

All lanes:

HRP goat anti-rabbit IgG (H+L) at 1/20000 dilution

Predicted band size: 68 kDa

Observed band size: 90 kDa

false

Immunocytochemistry/ Immunofluorescence - Anti-Nrf2 (phospho S40) antibody [EP1809Y] (AB76026)
  • ICC/IF

PubMed

Immunocytochemistry/ Immunofluorescence - Anti-Nrf2 (phospho S40) antibody [EP1809Y] (AB76026)

Immunofluorescence analysis of Nrf2 levels in Kaposi's sarcoma skin lesions.

B) Healthy skin (top two rows) and KS skin tissue (bottom row) were double-stained for LANA-1 (Alexa-Fluor 594- red) and host phosphorylated pNrf2 (ab76026) (Alexa-Fluor®488 – green). DAPI was used to visualize the nuclei, and the triple merge of LANA-1, pNrf2 and DAPI is shown in the third column.

Yellow square = enlarged area.

Giyshi et al PLoS Pathog. 2014 Oct 23;10(10):e1004460. doi: 10.1371/journal.ppat.1004460. eCollection 2014 Oct. Fig 1. Reproduced under the Creative Commons license http://creativecommons.org/licenses/by/4.0/

Western blot - Anti-Nrf2 (phospho S40) antibody [EP1809Y] (AB76026)
  • WB

Unknown

Western blot - Anti-Nrf2 (phospho S40) antibody [EP1809Y] (AB76026)

All lanes:

Western blot - Anti-Nrf2 (phospho S40) antibody [EP1809Y] (ab76026) at 1/20000 dilution

Lane 1:

HepG2 cell lysate at 10 µg

Lane 2:

HepG2 cell lysate treated with AP at 10 µg

Secondary

All lanes:

HRP labelled goat anti-rabbit at 1/1000 dilution

Predicted band size: 68 kDa

Observed band size: 90 kDa

false

Dot Blot - Anti-Nrf2 (phospho S40) antibody [EP1809Y] (AB76026)
  • Dot

Unknown

Dot Blot - Anti-Nrf2 (phospho S40) antibody [EP1809Y] (AB76026)

Dot blot analysis of Nrf2 peptides using unpurified ab76026 at 1/1000 dilution followed by Goat Anti-Rabbit IgG, (H+L),Peroxidase conjugated secondary antibody at 1/1000 dilution. Blocking and diluting buffer was 5% NFDM/TBST.

Lane 1 : Nrf2 (pS40) phospho peptide

Lane 2 : Nrf2 non-phospho peptide

不同偶联物与剂型 (8)

  • 519 Alexa Fluor® 488

    Alexa Fluor® 488 Anti-Nrf2 (phospho S40) antibody [EP1809Y]

  • Carrier free

    Anti-Nrf2 (phospho S40) antibody [EP1809Y] - BSA and Azide free

  • 665 Alexa Fluor® 647

    Alexa Fluor® 647 Anti-Nrf2 (phospho S40) antibody [EP1809Y]

  • 565 Alexa Fluor® 555

    Alexa Fluor® 555 Anti-Nrf2 (phospho S40) antibody [EP1809Y]

  • 617 Alexa Fluor® 594

    Alexa Fluor® 594 Anti-Nrf2 (phospho S40) antibody [EP1809Y]

  • 578 PE

    PE Anti-Nrf2 (phospho S40) antibody [EP1809Y]

  • 660 APC

    APC Anti-Nrf2 (phospho S40) antibody [EP1809Y]

  • 775 Alexa Fluor® 750

    Alexa Fluor® 750 Anti-Nrf2 (phospho S40) antibody [EP1809Y]

关键信息

宿主种属

Rabbit

克隆

Monoclonal

克隆号

EP1809Y

亚型

IgG

不含载体蛋白

No

反应种属

Human

应用

IHC-P, Dot, WB, ICC/IF, Flow Cyt (Intra)

applications

免疫原

The exact immunogen used to generate this antibody is proprietary information.

反应性数据

{ "title": "Reactivity Data", "filters": { "stats": ["", "Species", "Dilution Info", "Notes"], "tabs": { "all-applications": {"fullname" : "All Applications", "shortname": "All Applications"}, "IHCP" : {"fullname" : "Immunohistochemistry (Formalin/PFA-fixed paraffin-embedded sections)", "shortname":"IHC-P"}, "IP" : {"fullname" : "Immunoprecipitation", "shortname":"IP"}, "Dot" : {"fullname" : "Dot Blot", "shortname":"Dot"}, "WB" : {"fullname" : "Western blot", "shortname":"WB"}, "ICCIF" : {"fullname" : "Immunocytochemistry/ Immunofluorescence", "shortname":"ICC/IF"}, "FlowCytIntra" : {"fullname" : "Flow Cytometry (Intracellular)", "shortname":"Flow Cyt (Intra)"} }, "product-promise": { "all": "all", "testedAndGuaranteed": "tested", "guaranteed": "expected", "predicted": "predicted", "notRecommended": "not-recommended" } }, "values": { "Human": { "IHCP-species-checked": "testedAndGuaranteed", "IHCP-species-dilution-info": "1/100 - 1/500", "IHCP-species-notes": "<p></p> Perform heat-mediated antigen retrieval before commencing with IHC staining protocol.", "IP-species-checked": "notRecommended", "IP-species-dilution-info": "", "IP-species-notes": "<p></p>", "Dot-species-checked": "guaranteed", "Dot-species-dilution-info": "", "Dot-species-notes": "", "WB-species-checked": "testedAndGuaranteed", "WB-species-dilution-info": "1/5000 - 1/50000", "WB-species-notes": "<p></p>", "ICCIF-species-checked": "testedAndGuaranteed", "ICCIF-species-dilution-info": "1/100 - 1/250", "ICCIF-species-notes": "<p></p>", "FlowCytIntra-species-checked": "testedAndGuaranteed", "FlowCytIntra-species-dilution-info": "1/80 - 1/100", "FlowCytIntra-species-notes": "<p><a href='/products/primary-antibodies/rabbit-igg-monoclonal-epr25a-isotype-control-ab172730'>ab172730</a> - Rabbit monoclonal IgG, is suitable for use as an isotype control with this antibody.</p>" }, "Synthetic peptide": { "IHCP-species-checked": "notRecommended", "IHCP-species-dilution-info": "", "IHCP-species-notes": "", "IP-species-checked": "notRecommended", "IP-species-dilution-info": "", "IP-species-notes": "", "Dot-species-checked": "testedAndGuaranteed", "Dot-species-dilution-info": "", "Dot-species-notes": "<p></p>", "WB-species-checked": "notRecommended", "WB-species-dilution-info": "", "WB-species-notes": "", "ICCIF-species-checked": "notRecommended", "ICCIF-species-dilution-info": "", "ICCIF-species-notes": "", "FlowCytIntra-species-checked": "notRecommended", "FlowCytIntra-species-dilution-info": "", "FlowCytIntra-species-notes": "" } } }

产品详情

Product Specifications
Anti-Nrf2 (phospho S40) antibody [EP1809Y] (ab76026) was developed by Abcam using patented rabbit monoclonal antibody technology and is validated for use in Dot blot, Flow Cyt (Intra), ICC/IF, IHC-P, WB in human samples.
Anti-Nrf2 (phospho S40) antibody [EP1809Y] (ab76026) specifically detects Nrf2 Phospho-S40 (UniProt ID: Q16236; Molecular weight: 68kDa) and is sold in a convenient trial size to enable initial testing (20 µL) and larger sizes for subsequent scaling up experiments (100 µL and 1 mL).

Quality and Validation
Abcam's high quality manufacturing and validation processes ensure Anti-Nrf2 (phospho S40) antibody [EP1809Y] (ab76026) has high sensitivity and specificity alongside high lot-to-lot consistency and reproducibility.
Anti-Nrf2 (phospho S40) antibody [EP1809Y] (ab76026) has been cited over 208 times in peer reviewed journals and is trusted by the scientific community.
Anti-Nrf2 (phospho S40) antibody [EP1809Y] (ab76026) has 16 independent reviews from customers.

Related Products
Antibody clone EP1809Y is also available pre-conjugated to a variety of labels for your convenience - Alexa Fluor® 488, Alexa Fluor® 647, Alexa Fluor® 555, Alexa Fluor® 594, PE, APC, Alexa Fluor® 750 (ab237464, ab237465, ab320134, ab320135, ab320136, ab320137, ab321712).

Patented technology
Our RabMAb® technology is a patented hybridoma-based technology for making rabbit monoclonal antibodies. For details on our patents, please refer to RabMAb® patents.

What are the advantages of a recombinant monoclonal antibody?
This product is a recombinant monoclonal antibody, which offers several advantages including:

  • - High batch-to-batch consistency and reproducibility
  • - Improved sensitivity and specificity
  • - Long-term security of supply
  • - Animal-free batch production

For more information, read more on recombinant antibodies.

Species reactivity
Rat: We have preliminary internal testing data to indicate this antibody may not react with this species.
Please contact us for more information.

性能和储存信息

形式
Liquid
纯化工艺
Affinity purification Protein A
存储溶液
pH: 7.2 - 7.4 Preservative: 0.01% Sodium azide Constituents: PBS, 40% Glycerol (glycerin, glycerine), 0.05% BSA
运输条件
Blue Ice
推荐的短期储存时间
1-2 weeks
推荐的短期储存条件
+4°C
推荐的长期储存条件
-20°C
分装信息
Upon delivery aliquot
储存信息
Avoid freeze / thaw cycle

产品实验方案

For this product, it's our understanding that no specific protocols are required. You can visit:

靶点信息

The protein expressed by the NFE2L2 gene functions as a transcription factor that plays a key role in responding to oxidative stress by binding to antioxidant response elements (ARE) in the promoter regions of various cytoprotective genes, such as phase 2 detoxifying enzymes, to promote their expression and neutralize reactive electrophiles. Under normal conditions, it is ubiquitinated and degraded in the cytoplasm by the BCR(KEAP1) complex. However, oxidative stress leads to the inhibition of the BCR(KEAP1) complex, allowing NFE2L2/NRF2 to accumulate in the nucleus, form heterodimers with small Maf proteins, and bind to ARE elements. Additionally, the NFE2L2/NRF2 pathway is activated by selective autophagy, where KEAP1 interacts with SQSTM1/p62, inactivating the BCR(KEAP1) complex and leading to nuclear NFE2L2/NRF2 accumulation and cytoprotective gene expression. It may also be involved in activating genes of the beta-globin cluster by facilitating enhancer activity of hypersensitive site 2 of the beta-globin locus control region. This supplementary information is collated from multiple sources and compiled automatically.
See full target information NFE2L2 phospho S40

文献 (253)

Recent publications for all applications. Explore the full list and refine your search

Wound repair and regeneration : official publication of the Wound Healing Society [and] the European Tissue Repair Society 33:e70082 PubMed40880422

2025

Re-Epithelialisation in a Yorkshire Pig Full-Thickness Excisional Wound Model Is Associated With Keratinocyte Activation, Oxidative Stress, and Biomacromolecule Oxidation.

Applications

Unspecified application

Species

Unspecified reactive species

Dylan Tinney,John T Walker,Emily Truscott,Douglas W Hamilton

CNS neuroscience & therapeutics 31:e70489 PubMed40583858

2025

CircMAN1A2 Levels Determine GBM Susceptibility to TMZ in a Pathway Involving TEP1- and KEAP1-Mediated NRF2 Degradation Leading to Ferroptosis.

Applications

Unspecified application

Species

Unspecified reactive species

Xinqiao Li,Jinpeng Hu,Wei Zheng,Zongming Fan,Hao Chi,Hao Li,Yongfeng Wang,Zhitao Jing

Cell death discovery 11:287 PubMed40544155

2025

The Nrf2-HMOX1 pathway as a therapeutic target for reversing cisplatin resistance in non-small cell lung cancer via inhibiting ferroptosis.

Applications

Unspecified application

Species

Unspecified reactive species

Ling Zuo,Xinru Zou,Jia Ge,Shuning Hu,Yixuan Fang,Yi Xu,Rui Chen,Sheng Xu,Guangyang Yu,Xiaorong Zhou,Lili Ji

International journal of molecular sciences 26: PubMed40507790

2025

Fisetin Attenuates Zinc Overload-Induced Hepatotoxicity in Mice via Autophagy-Dependent Nrf2 Activation.

Applications

Unspecified application

Species

Unspecified reactive species

Feifei Huang,Zhonghang Wang,Mohan Zhou,Qian Zhang,Jie Feng

EMBO molecular medicine 17:1794-1824 PubMed40494896

2025

NRF2 modulates WNT signaling pathway to enhance photodynamic therapy resistance in oral leukoplakia.

Applications

Unspecified application

Species

Unspecified reactive species

Tiantian Xu,Liang Zhong,Qianxi Liu,Fei Wang,Wenjing Kuang,Jiaqi Liang,Dan Yang,Xikun Zhou,Hongxia Dan,Hang Zhao,Taiwen Li,Xin Zeng,Jing Li,Qianming Chen

Cell death discovery 11:242 PubMed40393974

2025

Mitochondrial SLC25A10 promotes prostate cancer progression by inhibiting ferritinophagy.

Applications

Unspecified application

Species

Unspecified reactive species

Guopeng Yu,Kailei Chen,Bin Xu,Qi Cao

Redox biology 83:103662 PubMed40349485

2025

Sex- and age-dependent neurovascular abnormalities linked to neuroinflammation lead to exacerbated post-ischemic brain injury in Marfan syndrome mice.

Applications

Unspecified application

Species

Unspecified reactive species

Gemma Manich,Belén Pérez,Clara Penas,Ana Paula Dantas,Joana Coutinho,Paula Sánchez-Bernadó,Julián García-Aranda,Juan Fraile-Ramos,Núria Benseny-Cases,Beatriz Martín-Mur,Anna Esteve-Codina,Isaac Rodríguez-Rovira,Lydia Giménez-Llort,Gustavo Egea,Francesc Jiménez-Altayó

Experimental hematology & oncology 14:64 PubMed40317079

2025

IL-6-mediated tumorigenicity and antioxidant state in squamous cell carcinoma cells are driven by CD109 via stabilization of IL-6 receptor-alpha and activation of STAT3/NRF2 pathway.

Applications

Unspecified application

Species

Unspecified reactive species

Amani Hassan,Tenzin Kungyal,Shufeng Zhou,Meryem Blati,Kenneth Finnson,Nick Bertos,Nahid Golabi,Nader Sadeghi,Sampath Loganathan,Anie Philip

Redox biology 82:103619 PubMed40168881

2025

Targeting PIM1 by Bruceine D attenuates skin fibrosis via myofibroblast ferroptosis.

Applications

Unspecified application

Species

Unspecified reactive species

Jianzhang Wang,Yajuan Song,Xiaoying Tan,Tong Wang,Yi Shi,Xingbo Xu,Juan Du,Zhou Yu,Baoqiang Song

Oxidative medicine and cellular longevity 2025:2670738 PubMed39959581

2025

Prothrombotic State and Vascular Damage in Angiotensin II-Induced Hypertension: Influence of Waterpipe Smoke Exposure.

Applications

Unspecified application

Species

Unspecified reactive species

Sumaya Beegam,Suhail Al-Salam,Nur Elena Zaaba,Ozaz Elzaki,Abderrahim Nemmar
View all publications

Abcam Product Promise

我们致力于为您的研究提供高质量的试剂,为您科研的每一步提供支持。若我们的产品未能达到预期性能,我们向您提供 Abcam Product Promise 保障。
详情请参阅我们的条款与条件。

Please note: All products are 'FOR RESEARCH USE ONLY. NOT FOR USE IN DIAGNOSTIC OR THERAPEUTIC PROCEDURES'.

For licensing inquiries, please contact partnerships@abcam.com