JavaScript is disabled in your browser. Please enable JavaScript to view this website.
AB240386

重组Anti-NR2F2抗体[EPR18442] - BSA and Azide free

Anti-NR2F2 antibody [EPR18442] - BSA and Azide free

Be the first to review this product! Submit a review

|

(1 Publication)

Rabbit Recombinant Monoclonal NR2F2 antibody. Carrier free. Suitable for ChIC/CUT&RUN-seq, ICC/IF, IHC-P and reacts with Human, Mouse, Rat samples. Cited in 1 publication.

查看别名

ARP1, TFCOUP2, NR2F2, COUP transcription factor 2, COUP-TF2, Apolipoprotein A-I regulatory protein 1, COUP transcription factor II, Nuclear receptor subfamily 2 group F member 2, ARP-1, COUP-TF II

12 Images
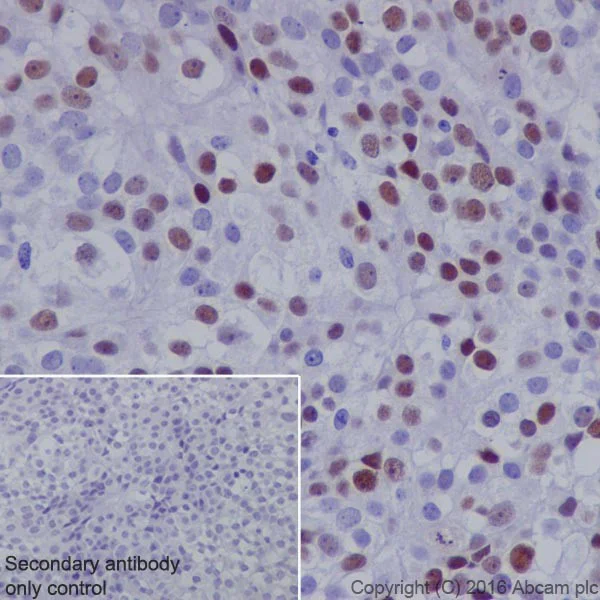
Immunohistochemistry (Formalin/PFA-fixed paraffin-embedded sections) - Anti-NR2F2 antibody [EPR18442] - BSA and Azide free (AB240386)
  • IHC-P

Supplier Data

Immunohistochemistry (Formalin/PFA-fixed paraffin-embedded sections) - Anti-NR2F2 antibody [EPR18442] - BSA and Azide free (AB240386)

Immunohistochemical analysis of paraffin-embedded human endometrium tissue labeling NR2F2 with ab211776 at 1/250 dilution, followed by Goat Anti-Rabbit IgG H&L (HRP) (ab97051) at 1/500 dilution. Nucleus staining on mesenchymal cells of human endometrium tissue is observed. Counter stained with hematoxylin.

Secondary antibody only control : Used PBS instead of primary antibody, secondary antibody is Goat Anti-Rabbit IgG H&L (HRP) (ab97051) at 1/500 dilution.

This data was developed using the same antibody clone in a different buffer formulation containing PBS, BSA, glycerol, and sodium azide (ab211776).

Perform heat mediated antigen retrieval with Tris/EDTA buffer pH 9.0 before commencing with IHC staining protocol.

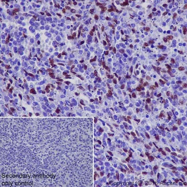
Immunohistochemistry (Formalin/PFA-fixed paraffin-embedded sections) - Anti-NR2F2 antibody [EPR18442] - BSA and Azide free (AB240386)
  • IHC-P

Supplier Data

Immunohistochemistry (Formalin/PFA-fixed paraffin-embedded sections) - Anti-NR2F2 antibody [EPR18442] - BSA and Azide free (AB240386)

Immunohistochemical analysis of paraffin-embedded human fetal spleen tissue labeling NR2F2 with ab211776 at 1/250 dilution, followed by Goat Anti-Rabbit IgG H&L (HRP) (ab97051) at 1/500 dilution. Nucleus staining on mesenchymal cells of human fetal spleen tissue is observed. Counter stained with hematoxylin.

Secondary antibody only control : Used PBS instead of primary antibody, secondary antibody is Goat Anti-Rabbit IgG H&L (HRP) (ab97051) at 1/500 dilution.

This data was developed using the same antibody clone in a different buffer formulation containing PBS, BSA, glycerol, and sodium azide (ab211776).

Perform heat mediated antigen retrieval with Tris/EDTA buffer pH 9.0 before commencing with IHC staining protocol.

Immunohistochemistry (Formalin/PFA-fixed paraffin-embedded sections) - Anti-NR2F2 antibody [EPR18442] - BSA and Azide free (AB240386)
  • IHC-P

Supplier Data

Immunohistochemistry (Formalin/PFA-fixed paraffin-embedded sections) - Anti-NR2F2 antibody [EPR18442] - BSA and Azide free (AB240386)

Immunohistochemical analysis of paraffin-embedded human lung tissue labeling NR2F2 with ab211776 at 1/250 dilution, followed by Goat Anti-Rabbit IgG H&L (HRP) (ab97051) at 1/500 dilution. Nucleus staining on mesenchymal cells of human lung tissue is observed. Counter stained with hematoxylin.

Secondary antibody only control : Used PBS instead of primary antibody, secondary antibody is Goat Anti-Rabbit IgG H&L (HRP) (ab97051) at 1/500 dilution.

This data was developed using the same antibody clone in a different buffer formulation containing PBS, BSA, glycerol, and sodium azide (ab211776).

Perform heat mediated antigen retrieval with Tris/EDTA buffer pH 9.0 before commencing with IHC staining protocol.

Immunohistochemistry (Formalin/PFA-fixed paraffin-embedded sections) - Anti-NR2F2 antibody [EPR18442] - BSA and Azide free (AB240386)
  • IHC-P

Supplier Data

Immunohistochemistry (Formalin/PFA-fixed paraffin-embedded sections) - Anti-NR2F2 antibody [EPR18442] - BSA and Azide free (AB240386)

Immunohistochemical analysis of paraffin-embedded human breast cancer tissue labeling NR2F2 with ab211776 at 1/250 dilution, followed by Goat Anti-Rabbit IgG H&L (HRP) (ab97051) at 1/500 dilution. Nucleus staining on mesenchymal cells of human breast cancer tissue is observed. Counter stained with hematoxylin.

Secondary antibody only control : Used PBS instead of primary antibody, secondary antibody is Goat Anti-Rabbit IgG H&L (HRP) (ab97051) at 1/500 dilution.

This data was developed using the same antibody clone in a different buffer formulation containing PBS, BSA, glycerol, and sodium azide (ab211776).

Perform heat mediated antigen retrieval with Tris/EDTA buffer pH 9.0 before commencing with IHC staining protocol.

Immunohistochemistry (Formalin/PFA-fixed paraffin-embedded sections) - Anti-NR2F2 antibody [EPR18442] - BSA and Azide free (AB240386)
  • IHC-P

Supplier Data

Immunohistochemistry (Formalin/PFA-fixed paraffin-embedded sections) - Anti-NR2F2 antibody [EPR18442] - BSA and Azide free (AB240386)

Immunohistochemical analysis of paraffin-embedded human ovarian cancer tissue labeling NR2F2 with ab211776 at 1/250 dilution, followed by Goat Anti-Rabbit IgG H&L (HRP) (ab97051) at 1/500 dilution. Nucleus staining on mesenchymal cells of human ovarian cancer tissue is observed. Counter stained with hematoxylin.

Secondary antibody only control : Used PBS instead of primary antibody, secondary antibody is Goat Anti-Rabbit IgG H&L (HRP) (ab97051) at 1/500 dilution.

This data was developed using the same antibody clone in a different buffer formulation containing PBS, BSA, glycerol, and sodium azide (ab211776).

Perform heat mediated antigen retrieval with Tris/EDTA buffer pH 9.0 before commencing with IHC staining protocol.

Immunocytochemistry/ Immunofluorescence - Anti-NR2F2 antibody [EPR18442] - BSA and Azide free (AB240386)
  • ICC/IF

Supplier Data

Immunocytochemistry/ Immunofluorescence - Anti-NR2F2 antibody [EPR18442] - BSA and Azide free (AB240386)

Immunofluorescent analysis of 4% paraformaldehyde-fixed, 0.1% Triton X-100 permeabilized HEK-293 (human epithelial cell line from embryonic kidney) cells labeling NR2F2 with ab211776 at 1/100 dilution followed by Goat Anti-Rabbit IgG H&L (Alexa Fluor® 488) (ab150077) secondary antibody at 1/1000 dilution (green). Confocal image showing nuclear staining on HEK-293 cell line.

The nuclear counter stain is DAPI (blue).

Tubulin is detected with Anti-alpha Tubulin mouse MAb (ab7291) at 1/1000 dilution, followed by Goat Anti-Mouse IgG H&L (Alexa Fluor® 594) (ab150120) secondary antibody at 1/1000 dilution (red).

The negative controls are as follows :

-ve control 1 : ab211776 at 1/100 dilution, followed by Goat Anti-Mouse IgG H&L (Alexa Fluor® 594) (ab150120) secondary antibody at 1/1000 dilution.

-ve control 2 : Anti-alpha Tubulin mouse MAb (ab7291) at 1/1000 dilution, followed by Goat Anti-Rabbit IgG H&L (Alexa Fluor® 488) (ab150077) secondary antibody at 1/1000 dilution.

This data was developed using the same antibody clone in a different buffer formulation containing PBS, BSA, glycerol, and sodium azide (ab211776).

Immunocytochemistry/ Immunofluorescence - Anti-NR2F2 antibody [EPR18442] - BSA and Azide free (AB240386)
  • ICC/IF

Supplier Data

Immunocytochemistry/ Immunofluorescence - Anti-NR2F2 antibody [EPR18442] - BSA and Azide free (AB240386)

Immunofluorescent analysis of 4% paraformaldehyde-fixed, 0.1% Triton X-100 permeabilized NIH/3T3 (mouse embryo fibroblast cell line) cells labeling NR2F2 with ab211776 at 1/100 dilution followed by Goat Anti-Rabbit IgG H&L (Alexa Fluor® 488) (ab150077) secondary antibody at 1/1000 dilution (green). Confocal image showing nuclear staining on NIH/3T3 cell line.

The nuclear counter stain is DAPI (blue).

Tubulin is detected with Anti-alpha Tubulin mouse MAb (ab7291) at 1/1000 dilution, followed by Goat Anti-Mouse IgG H&L (Alexa Fluor® 594) (ab150120) secondary antibody at 1/1000 dilution (red).

The negative controls are as follows :

-ve control 1 : ab211776 at 1/100 dilution, followed by Goat Anti-Mouse IgG H&L (Alexa Fluor® 594) (ab150120) secondary antibody at 1/1000 dilution.

-ve control 2 : Anti-alpha Tubulin mouse MAb (ab7291) at 1/1000 dilution, followed by Goat Anti-Rabbit IgG H&L (Alexa Fluor® 488) (ab150077) secondary antibody at 1/1000 dilution.

This data was developed using the same antibody clone in a different buffer formulation containing PBS, BSA, glycerol, and sodium azide (ab211776).

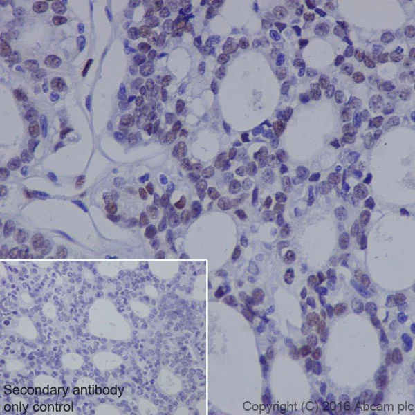
Immunohistochemistry (Formalin/PFA-fixed paraffin-embedded sections) - Anti-NR2F2 antibody [EPR18442] - BSA and Azide free (AB240386)
  • IHC-P

Supplier Data

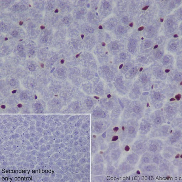
Immunohistochemistry (Formalin/PFA-fixed paraffin-embedded sections) - Anti-NR2F2 antibody [EPR18442] - BSA and Azide free (AB240386)

Immunohistochemical analysis of paraffin-embedded mouse liver tissue labeling NR2F2 with ab211776 at 1/250 dilution, followed by Goat Anti-Rabbit IgG H&L (HRP) (ab97051) at 1/500 dilution. Nucleus staining on mesenchymal cells of mouse liver tissue is observed. Counter stained with hematoxylin.

Secondary antibody only control : Used PBS instead of primary antibody, secondary antibody is Goat Anti-Rabbit IgG H&L (HRP) (ab97051) at 1/500 dilution.

This data was developed using the same antibody clone in a different buffer formulation containing PBS, BSA, glycerol, and sodium azide (ab211776).

Perform heat mediated antigen retrieval with Tris/EDTA buffer pH 9.0 before commencing with IHC staining protocol.

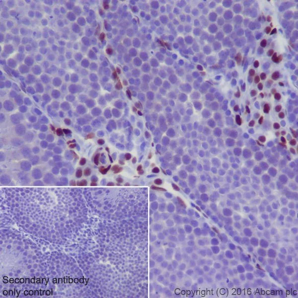
Immunohistochemistry (Formalin/PFA-fixed paraffin-embedded sections) - Anti-NR2F2 antibody [EPR18442] - BSA and Azide free (AB240386)
  • IHC-P

Supplier Data

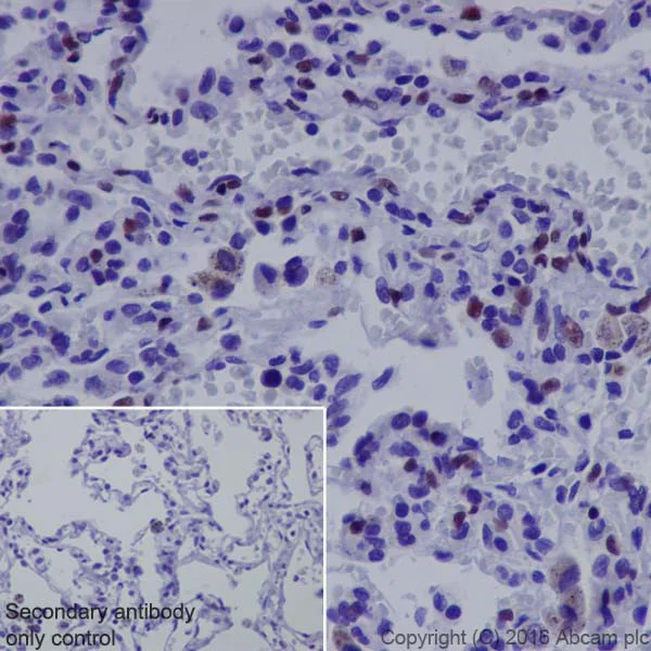
Immunohistochemistry (Formalin/PFA-fixed paraffin-embedded sections) - Anti-NR2F2 antibody [EPR18442] - BSA and Azide free (AB240386)

Immunohistochemical analysis of paraffin-embedded rat testis tissue labeling NR2F2 with ab211776 at 1/250 dilution, followed by Goat Anti-Rabbit IgG H&L (HRP) (ab97051) at 1/500 dilution. Nucleus staining on mesenchymal cells of mouse liver tissue is observed. Counter stained with hematoxylin.

Secondary antibody only control : Used PBS instead of primary antibody, secondary antibody is Goat Anti-Rabbit IgG H&L (HRP) (ab97051) at 1/500 dilution.

This data was developed using the same antibody clone in a different buffer formulation containing PBS, BSA, glycerol, and sodium azide (ab211776).

Perform heat mediated antigen retrieval with Tris/EDTA buffer pH 9.0 before commencing with IHC staining protocol.

ChIC/CUT&RUN sequencing - Anti-NR2F2 antibody [EPR18442] - BSA and Azide free (AB240386)
  • ChIC/CUT&RUN-seq

Lab

ChIC/CUT&RUN sequencing - Anti-NR2F2 antibody [EPR18442] - BSA and Azide free (AB240386)

This data was created using ab211776, the same clone in a different buffer formulation.

ChIC/CUT&RUN was performed using a pAG-MNase at a final concentration of 700 ng/mL, 2.5 x 10^5 K-562 (human chronic myelogenous leukemia lymphoblast) cells and 5 µg of ab211776 [EPR18442]. The resulting DNA was sequenced on the Illumina NovaSeq 6000 to a depth of 10 million reads. The negative IgG control ab172730 is also shown.

The University of Geneva owns patents relevant to ChIC (Chromatin Immuno-Cleavage) methods.

ChIC/CUT&RUN sequencing - Anti-NR2F2 antibody [EPR18442] - BSA and Azide free (AB240386)
  • ChIC/CUT&RUN-seq

Lab

ChIC/CUT&RUN sequencing - Anti-NR2F2 antibody [EPR18442] - BSA and Azide free (AB240386)

This data was created using ab211776, the same clone in a different buffer formulation.

ChIC/CUT&RUN was performed using a pAG-MNase at a final concentration of 700 ng/mL, 2.5 x 10^5 K-562 (human chronic myelogenous leukemia lymphoblast) cells and 5 µg of ab211776 [EPR18442]. The resulting DNA was sequenced on the Illumina NovaSeq 6000 to a depth of 10 million reads. The negative IgG control ab172730 is also shown.

The University of Geneva owns patents relevant to ChIC (Chromatin Immuno-Cleavage) methods.

ChIC/CUT&RUN sequencing - Anti-NR2F2 antibody [EPR18442] - BSA and Azide free (AB240386)
  • ChIC/CUT&RUN-seq

Lab

ChIC/CUT&RUN sequencing - Anti-NR2F2 antibody [EPR18442] - BSA and Azide free (AB240386)

This data was created using ab211776, the same clone in a different buffer formulation.

ChIC/CUT&RUN was performed using a pAG-MNase at a final concentration of 700 ng/mL, 2.5 x 10^5 K-562 (human chronic myelogenous leukemia lymphoblast) cells and 5 µg of ab211776[EPR18442]. The resulting DNA was sequenced on the Illumina NovaSeq 6000 to a depth of 10 million reads. The negative IgG control ab172730 is also shown.

The University of Geneva owns patents relevant to ChIC (Chromatin Immuno-Cleavage) methods.

关键信息

宿主种属

Rabbit

克隆

Monoclonal

克隆号

EPR18442

亚型

IgG

不含载体蛋白

Yes

反应种属

Human, Mouse, Rat

应用

ChIC/CUT&RUN-seq, ICC/IF, IHC-P

applications

免疫原

The exact immunogen used to generate this antibody is proprietary information.

反应性数据

{ "title": "Reactivity Data", "filters": { "stats": ["", "Species", "Dilution Info", "Notes"], "tabs": { "all-applications": {"fullname" : "All Applications", "shortname": "All Applications"}, "ChICCUTRUNseq" : {"fullname" : "ChIC/CUT&RUN sequencing", "shortname":"ChIC/CUT&RUN-seq"}, "ICCIF" : {"fullname" : "Immunocytochemistry/ Immunofluorescence", "shortname":"ICC/IF"}, "IHCP" : {"fullname" : "Immunohistochemistry (Formalin/PFA-fixed paraffin-embedded sections)", "shortname":"IHC-P"} }, "product-promise": { "all": "all", "testedAndGuaranteed": "tested", "guaranteed": "expected", "predicted": "predicted", "notRecommended": "not-recommended" } }, "values": { "Human": { "ChICCUTRUNseq-species-checked": "testedAndGuaranteed", "ChICCUTRUNseq-species-dilution-info": "", "ChICCUTRUNseq-species-notes": "<p></p>", "ICCIF-species-checked": "testedAndGuaranteed", "ICCIF-species-dilution-info": "", "ICCIF-species-notes": "<p></p>", "IHCP-species-checked": "testedAndGuaranteed", "IHCP-species-dilution-info": "", "IHCP-species-notes": "<p></p>" }, "Mouse": { "ChICCUTRUNseq-species-checked": "guaranteed", "ChICCUTRUNseq-species-dilution-info": "", "ChICCUTRUNseq-species-notes": "", "ICCIF-species-checked": "testedAndGuaranteed", "ICCIF-species-dilution-info": "", "ICCIF-species-notes": "<p></p>", "IHCP-species-checked": "testedAndGuaranteed", "IHCP-species-dilution-info": "", "IHCP-species-notes": "<p></p>" }, "Rat": { "ChICCUTRUNseq-species-checked": "guaranteed", "ChICCUTRUNseq-species-dilution-info": "", "ChICCUTRUNseq-species-notes": "", "ICCIF-species-checked": "guaranteed", "ICCIF-species-dilution-info": "", "ICCIF-species-notes": "", "IHCP-species-checked": "testedAndGuaranteed", "IHCP-species-dilution-info": "", "IHCP-species-notes": "<p></p>" } } }

产品详情

ab240386 is the carrier-free version of ab211776.

Patented technology
Our RabMAb® technology is a patented hybridoma-based technology for making rabbit monoclonal antibodies. For details on our patents, please refer to RabMAb® patents.

What are the advantages of a recombinant monoclonal antibody?
This product is a recombinant monoclonal antibody, which offers several advantages including:

  • - High batch-to-batch consistency and reproducibility
  • - Improved sensitivity and specificity
  • - Long-term security of supply
  • - Animal-free batch production

For more information, read more on recombinant antibodies.

Conjugation ready
Our carrier-free antibodies are typically supplied in a PBS-only formulation, purified and free of BSA, sodium azide and glycerol. This conjugation-ready format is designed for use with fluorochromes, metal isotopes, oligonucleotides, and enzymes, which makes them ideal for antibody labelling, functional and cell-based assays, flow-based assays (e.g. mass cytometry) and Multiplex Imaging applications.

Use our conjugation kits for antibody conjugates that are ready-to-use in as little as 20 minutes with 1 minute hands-on-time and 100% antibody recovery: available for fluorescent dyes, HRP, biotin and gold.

Compatibility
This product is compatible with the Maxpar® Antibody Labeling Kit from Fluidigm, without the need for antibody preparation. Maxpar® is a trademark of Fluidigm Canada Inc.

性能和储存信息

形式
Liquid
纯化工艺
Affinity purification Protein A
存储溶液
pH: 7.2 - 7.4 Constituents: PBS
运输条件
Blue Ice
推荐的短期储存条件
+4°C
推荐的长期储存条件
+4°C
储存信息
Do Not Freeze

补充信息

This supplementary information is collated from multiple sources and compiled automatically.

NR2F2 also known as COUP-TFII (Chicken Ovalbumin Upstream Promoter Transcription Factor II) is a nuclear receptor that functions as a transcription factor. It has a molecular mass of approximately 48 kDa. It binds to DNA target sequences and regulates gene expression involved in various developmental processes. NR2F2 is expressed in the heart blood vessels and various tissues such as the lungs and the central nervous system. Its role in transcriptional regulation makes it important for proper cell and tissue differentiation.
Biological function summary

NR2F2 is involved in the regulation of angiogenesis and cardiovascular development. It forms a heterodimer with retinoid X receptor (RXR) to regulate gene expression. This interaction places NR2F2 as part of a larger network controlling organ development and metabolic processes. NR2F2 activity also influences energy homeostasis and adipogenesis through its transcriptional regulation abilities.

Pathways

NR2F2 influences the Wnt signaling and Notch signaling pathways which play important roles in cell proliferation and differentiation. These pathways interact with other proteins such as beta-catenin and Notch receptors. NR2F2 modulates gene expression at different cellular stages and contributes to the precise regulation required within these pathways.

NR2F2 is linked to congenital heart defects and cancer. Aberrant NR2F2 expression disrupts normal developmental processes contributing to heart malformations. In cancer altered NR2F2 expression and function can facilitate tumor progression and metastasis often involving interaction with other proteins like TGF-beta and SMADs essential for tumor suppression pathways. The ability of NR2F2 to control critical transcriptional networks makes it a significant target for understanding and potentially treating these conditions.

产品实验方案

For this product, it's our understanding that no specific protocols are required. You can visit:

靶点信息

Ligand-activated transcription factor. Activated by high concentrations of 9-cis-retinoic acid and all-trans-retinoic acid, but not by dexamethasone, cortisol or progesterone (in vitro). Regulation of the apolipoprotein A-I gene transcription. Binds to DNA site A. May be required to establish ovary identity during early gonad development (PubMed : 29478779).
See full target information NR2F2

文献 (1)

Recent publications for all applications. Explore the full list and refine your search

eNeuro 9: PubMed36265904

2022

Distribution Features and Potential Effects of Serotonin in the Cerebrum of SOD1 G93A Transgenic Mice.

Applications

Unspecified application

Species

Unspecified reactive species

Pei He,Binjun He,Shu Li,Wen Chai,Wei Rao,Yu Zhu,Wenzhi Chen,Ping Zhang,Xiong Zhang,Haili Pan,Renshi Xu
View all publications

Abcam Product Promise

我们致力于为您的研究提供高质量的试剂,为您科研的每一步提供支持。若我们的产品未能达到预期性能,我们向您提供 Abcam Product Promise 保障。
详情请参阅我们的条款与条件。

Please note: All products are 'FOR RESEARCH USE ONLY. NOT FOR USE IN DIAGNOSTIC OR THERAPEUTIC PROCEDURES'.

For licensing inquiries, please contact partnerships@abcam.com