JavaScript is disabled in your browser. Please enable JavaScript to view this website.
AB211776

重组Anti-NR2F2抗体[EPR18442]

Anti-NR2F2 antibody [EPR18442]

Be the first to review this product! Submit a review

|

(10 Publications)

Rabbit Recombinant Monoclonal NR2F2 antibody. Suitable for ChIC/CUT&RUN-seq, ICC/IF, IHC-P and reacts with Human, Mouse, Rat samples. Cited in 10 publications.

查看别名

ARP1, TFCOUP2, NR2F2, COUP transcription factor 2, COUP-TF2, Apolipoprotein A-I regulatory protein 1, COUP transcription factor II, Nuclear receptor subfamily 2 group F member 2, ARP-1, COUP-TF II

12 Images
Immunohistochemistry (Formalin/PFA-fixed paraffin-embedded sections) - Anti-NR2F2 antibody [EPR18442] (AB211776)
  • IHC-P

Supplier Data

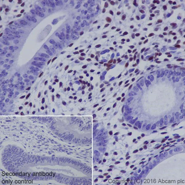
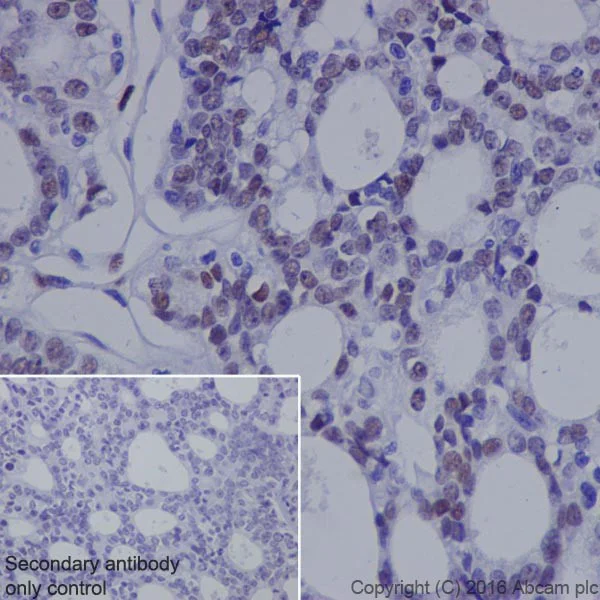
Immunohistochemistry (Formalin/PFA-fixed paraffin-embedded sections) - Anti-NR2F2 antibody [EPR18442] (AB211776)

Immunohistochemical analysis of paraffin-embedded human endometrium tissue labeling NR2F2 with ab211776 at 1/250 dilution, followed by Goat Anti-Rabbit IgG H&L (HRP) (ab97051) at 1/500 dilution. Nucleus staining on mesenchymal cells of human endometrium tissue is observed. Counter stained with hematoxylin.

Secondary antibody only control : Used PBS instead of primary antibody, secondary antibody is Goat Anti-Rabbit IgG H&L (HRP) (ab97051) at 1/500 dilution.

Perform heat mediated antigen retrieval with Tris/EDTA buffer pH 9.0 before commencing with IHC staining protocol.

Immunohistochemistry (Formalin/PFA-fixed paraffin-embedded sections) - Anti-NR2F2 antibody [EPR18442] (AB211776)
  • IHC-P

Supplier Data

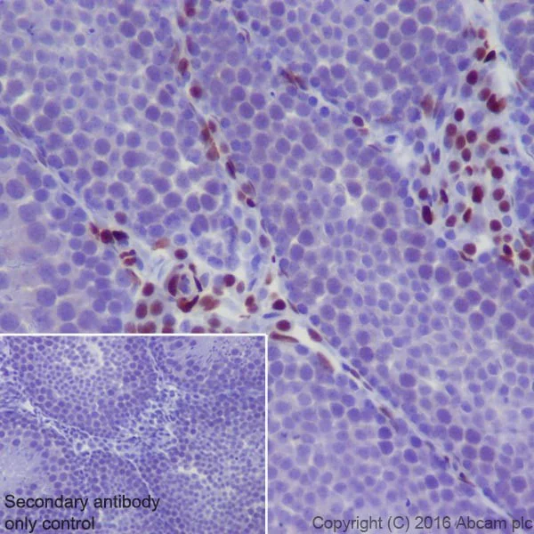
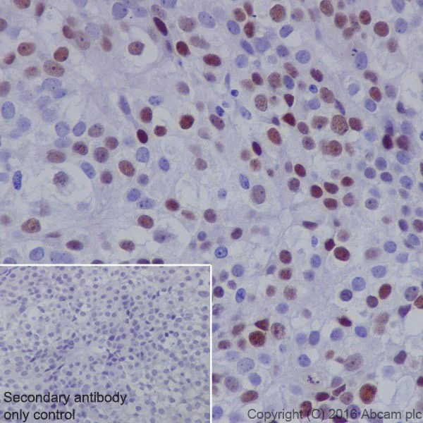
Immunohistochemistry (Formalin/PFA-fixed paraffin-embedded sections) - Anti-NR2F2 antibody [EPR18442] (AB211776)

Immunohistochemical analysis of paraffin-embedded human fetal spleen tissue labeling NR2F2 with ab211776 at 1/250 dilution, followed by Goat Anti-Rabbit IgG H&L (HRP) (ab97051) at 1/500 dilution. Nucleus staining on mesenchymal cells of human fetal spleen tissue is observed. Counter stained with hematoxylin.

Secondary antibody only control : Used PBS instead of primary antibody, secondary antibody is Goat Anti-Rabbit IgG H&L (HRP) (ab97051) at 1/500 dilution.

Perform heat mediated antigen retrieval with Tris/EDTA buffer pH 9.0 before commencing with IHC staining protocol.

Immunohistochemistry (Formalin/PFA-fixed paraffin-embedded sections) - Anti-NR2F2 antibody [EPR18442] (AB211776)
  • IHC-P

Supplier Data

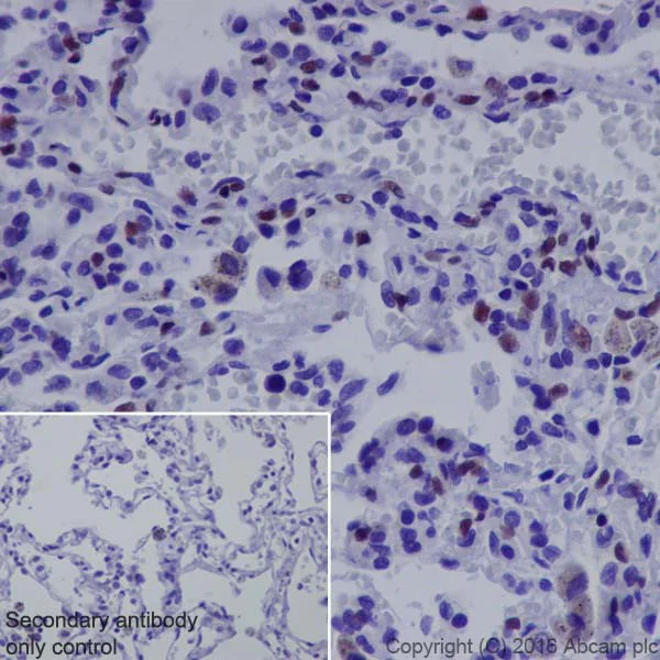
Immunohistochemistry (Formalin/PFA-fixed paraffin-embedded sections) - Anti-NR2F2 antibody [EPR18442] (AB211776)

Immunohistochemical analysis of paraffin-embedded human lung tissue labeling NR2F2 with ab211776 at 1/250 dilution, followed by Goat Anti-Rabbit IgG H&L (HRP) (ab97051) at 1/500 dilution. Nucleus staining on mesenchymal cells of human lung tissue is observed. Counter stained with hematoxylin.

Secondary antibody only control : Used PBS instead of primary antibody, secondary antibody is Goat Anti-Rabbit IgG H&L (HRP) (ab97051) at 1/500 dilution.

Perform heat mediated antigen retrieval with Tris/EDTA buffer pH 9.0 before commencing with IHC staining protocol.

Immunohistochemistry (Formalin/PFA-fixed paraffin-embedded sections) - Anti-NR2F2 antibody [EPR18442] (AB211776)
  • IHC-P

Supplier Data

Immunohistochemistry (Formalin/PFA-fixed paraffin-embedded sections) - Anti-NR2F2 antibody [EPR18442] (AB211776)

Immunohistochemical analysis of paraffin-embedded human breast cancer tissue labeling NR2F2 with ab211776 at 1/250 dilution, followed by Goat Anti-Rabbit IgG H&L (HRP) (ab97051) at 1/500 dilution. Nucleus staining on mesenchymal cells of human breast cancer tissue is observed. Counter stained with hematoxylin.

Secondary antibody only control : Used PBS instead of primary antibody, secondary antibody is Goat Anti-Rabbit IgG H&L (HRP) (ab97051) at 1/500 dilution.

Perform heat mediated antigen retrieval with Tris/EDTA buffer pH 9.0 before commencing with IHC staining protocol.

Immunohistochemistry (Formalin/PFA-fixed paraffin-embedded sections) - Anti-NR2F2 antibody [EPR18442] (AB211776)
  • IHC-P

Supplier Data

Immunohistochemistry (Formalin/PFA-fixed paraffin-embedded sections) - Anti-NR2F2 antibody [EPR18442] (AB211776)

Immunohistochemical analysis of paraffin-embedded human ovarian cancer tissue labeling NR2F2 with ab211776 at 1/250 dilution, followed by Goat Anti-Rabbit IgG H&L (HRP) (ab97051) at 1/500 dilution. Nucleus staining on mesenchymal cells of human ovarian cancer tissue is observed. Counter stained with hematoxylin.

Secondary antibody only control : Used PBS instead of primary antibody, secondary antibody is Goat Anti-Rabbit IgG H&L (HRP) (ab97051) at 1/500 dilution.

Perform heat mediated antigen retrieval with Tris/EDTA buffer pH 9.0 before commencing with IHC staining protocol.

Immunocytochemistry/ Immunofluorescence - Anti-NR2F2 antibody [EPR18442] (AB211776)
  • ICC/IF

Supplier Data

Immunocytochemistry/ Immunofluorescence - Anti-NR2F2 antibody [EPR18442] (AB211776)

Immunofluorescent analysis of 4% paraformaldehyde-fixed, 0.1% Triton X-100 permeabilized HEK-293 (human epithelial cell line from embryonic kidney) cells labeling NR2F2 with ab211776 at 1/100 dilution followed by Goat Anti-Rabbit IgG H&L (Alexa Fluor® 488) (ab150077) secondary antibody at 1/1000 dilution (green). Confocal image showing nuclear staining on HEK-293 cell line.

The nuclear counter stain is DAPI (blue).

Tubulin is detected with Anti-alpha Tubulin mouse MAb (ab7291) at 1/1000 dilution, followed by Goat Anti-Mouse IgG H&L (Alexa Fluor® 594) (ab150120) secondary antibody at 1/1000 dilution (red).

The negative controls are as follows :

-ve control 1 : ab211776 at 1/100 dilution, followed by Goat Anti-Mouse IgG H&L (Alexa Fluor® 594) (ab150120) secondary antibody at 1/1000 dilution.

-ve control 2 : Anti-alpha Tubulin mouse MAb (ab7291) at 1/1000 dilution, followed by Goat Anti-Rabbit IgG H&L (Alexa Fluor® 488) (ab150077) secondary antibody at 1/1000 dilution.

Immunocytochemistry/ Immunofluorescence - Anti-NR2F2 antibody [EPR18442] (AB211776)
  • ICC/IF

Supplier Data

Immunocytochemistry/ Immunofluorescence - Anti-NR2F2 antibody [EPR18442] (AB211776)

Immunofluorescent analysis of 4% paraformaldehyde-fixed, 0.1% Triton X-100 permeabilized NIH/3T3 (mouse embryo fibroblast cell line) cells labeling NR2F2 with ab211776 at 1/100 dilution followed by Goat Anti-Rabbit IgG H&L (Alexa Fluor® 488) (ab150077) secondary antibody at 1/1000 dilution (green). Confocal image showing nuclear staining on NIH/3T3 cell line.

The nuclear counter stain is DAPI (blue).

Tubulin is detected with Anti-alpha Tubulin mouse MAb (ab7291) at 1/1000 dilution, followed by Goat Anti-Mouse IgG H&L (Alexa Fluor® 594) (ab150120) secondary antibody at 1/1000 dilution (red).

The negative controls are as follows :

-ve control 1 : ab211776 at 1/100 dilution, followed by Goat Anti-Mouse IgG H&L (Alexa Fluor® 594) (ab150120) secondary antibody at 1/1000 dilution.

-ve control 2 : Anti-alpha Tubulin mouse MAb (ab7291) at 1/1000 dilution, followed by Goat Anti-Rabbit IgG H&L (Alexa Fluor® 488) (ab150077) secondary antibody at 1/1000 dilution.

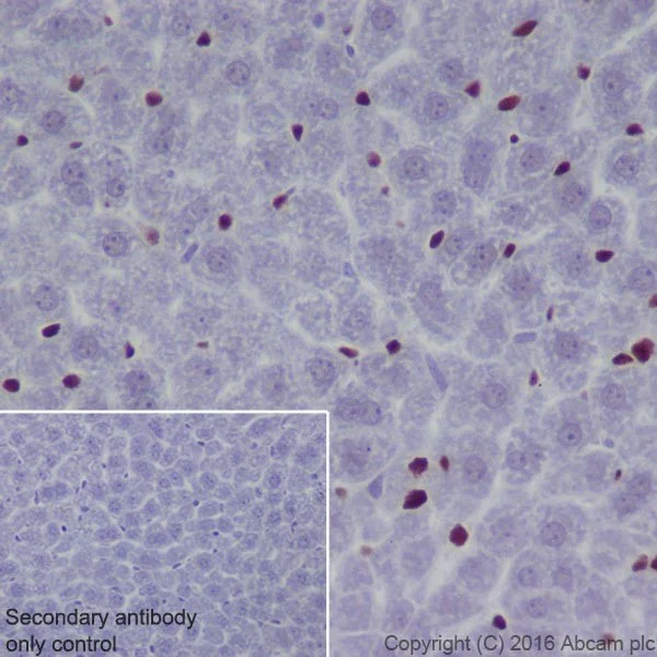
Immunohistochemistry (Formalin/PFA-fixed paraffin-embedded sections) - Anti-NR2F2 antibody [EPR18442] (AB211776)
  • IHC-P

Supplier Data

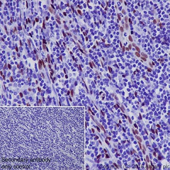
Immunohistochemistry (Formalin/PFA-fixed paraffin-embedded sections) - Anti-NR2F2 antibody [EPR18442] (AB211776)

Immunohistochemical analysis of paraffin-embedded mouse liver tissue labeling NR2F2 with ab211776 at 1/250 dilution, followed by Goat Anti-Rabbit IgG H&L (HRP) (ab97051) at 1/500 dilution. Nucleus staining on mesenchymal cells of mouse liver tissue is observed. Counter stained with hematoxylin.

Secondary antibody only control : Used PBS instead of primary antibody, secondary antibody is Goat Anti-Rabbit IgG H&L (HRP) (ab97051) at 1/500 dilution.

Perform heat mediated antigen retrieval with Tris/EDTA buffer pH 9.0 before commencing with IHC staining protocol.

Immunohistochemistry (Formalin/PFA-fixed paraffin-embedded sections) - Anti-NR2F2 antibody [EPR18442] (AB211776)
  • IHC-P

Supplier Data

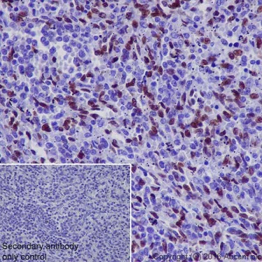
Immunohistochemistry (Formalin/PFA-fixed paraffin-embedded sections) - Anti-NR2F2 antibody [EPR18442] (AB211776)

Immunohistochemical analysis of paraffin-embedded rat testis tissue labeling NR2F2 with ab211776 at 1/250 dilution, followed by Goat Anti-Rabbit IgG H&L (HRP) (ab97051) at 1/500 dilution. Nucleus staining on mesenchymal cells of mouse liver tissue is observed. Counter stained with hematoxylin.

Secondary antibody only control : Used PBS instead of primary antibody, secondary antibody is Goat Anti-Rabbit IgG H&L (HRP) (ab97051) at 1/500 dilution.

Perform heat mediated antigen retrieval with Tris/EDTA buffer pH 9.0 before commencing with IHC staining protocol.

ChIC/CUT&RUN sequencing - Anti-NR2F2 antibody [EPR18442] (AB211776)
  • ChIC/CUT&RUN-seq

Lab

ChIC/CUT&RUN sequencing - Anti-NR2F2 antibody [EPR18442] (AB211776)

ChIC/CUT&RUN was performed using a pAG-MNase at a final concentration of 700 ng/mL, 2.5 x 10^5 K-562 (human chronic myelogenous leukemia lymphoblast) cells and 5 µg of ab211776 [EPR18442]. The resulting DNA was sequenced on the Illumina NovaSeq 6000 to a depth of 10 million reads. The negative IgG control ab172730 is also shown.

The University of Geneva owns patents relevant to ChIC (Chromatin Immuno-Cleavage) methods.

ChIC/CUT&RUN sequencing - Anti-NR2F2 antibody [EPR18442] (AB211776)
  • ChIC/CUT&RUN-seq

Lab

ChIC/CUT&RUN sequencing - Anti-NR2F2 antibody [EPR18442] (AB211776)

ChIC/CUT&RUN was performed using a pAG-MNase at a final concentration of 700 ng/mL, 2.5 x 10^5 K-562 (human chronic myelogenous leukemia lymphoblast) cells and 5 µg of ab211776 [EPR18442]. The resulting DNA was sequenced on the Illumina NovaSeq 6000 to a depth of 10 million reads. The negative IgG control ab172730 is also shown.

The University of Geneva owns patents relevant to ChIC (Chromatin Immuno-Cleavage) methods.

ChIC/CUT&RUN sequencing - Anti-NR2F2 antibody [EPR18442] (AB211776)
  • ChIC/CUT&RUN-seq

Lab

ChIC/CUT&RUN sequencing - Anti-NR2F2 antibody [EPR18442] (AB211776)

ChIC/CUT&RUN was performed using a pAG-MNase at a final concentration of 700 ng/mL, 2.5 x 10^5 K-562 (human chronic myelogenous leukemia lymphoblast) cells and 5 µg of ab211776[EPR18442]. The resulting DNA was sequenced on the Illumina NovaSeq 6000 to a depth of 10 million reads. The negative IgG control ab172730 is also shown.

The University of Geneva owns patents relevant to ChIC (Chromatin Immuno-Cleavage) methods.

关键信息

宿主种属

Rabbit

克隆

Monoclonal

克隆号

EPR18442

亚型

IgG

不含载体蛋白

No

反应种属

Mouse, Rat, Human

应用

ICC/IF, ChIC/CUT&RUN-seq, IHC-P

applications

免疫原

The exact immunogen used to generate this antibody is proprietary information.

反应性数据

{ "title": "Reactivity Data", "filters": { "stats": ["", "Species", "Dilution Info", "Notes"], "tabs": { "all-applications": {"fullname" : "All Applications", "shortname": "All Applications"}, "ChICCUTRUNseq" : {"fullname" : "ChIC/CUT&RUN sequencing", "shortname":"ChIC/CUT&RUN-seq"}, "ICCIF" : {"fullname" : "Immunocytochemistry/ Immunofluorescence", "shortname":"ICC/IF"}, "IHCP" : {"fullname" : "Immunohistochemistry (Formalin/PFA-fixed paraffin-embedded sections)", "shortname":"IHC-P"} }, "product-promise": { "all": "all", "testedAndGuaranteed": "tested", "guaranteed": "expected", "predicted": "predicted", "notRecommended": "not-recommended" } }, "values": { "Human": { "ChICCUTRUNseq-species-checked": "testedAndGuaranteed", "ChICCUTRUNseq-species-dilution-info": "", "ChICCUTRUNseq-species-notes": "<p></p>", "ICCIF-species-checked": "testedAndGuaranteed", "ICCIF-species-dilution-info": "1/100", "ICCIF-species-notes": "<p></p>", "IHCP-species-checked": "testedAndGuaranteed", "IHCP-species-dilution-info": "1/250", "IHCP-species-notes": "<p></p>" }, "Mouse": { "ChICCUTRUNseq-species-checked": "guaranteed", "ChICCUTRUNseq-species-dilution-info": "", "ChICCUTRUNseq-species-notes": "", "ICCIF-species-checked": "testedAndGuaranteed", "ICCIF-species-dilution-info": "1/100", "ICCIF-species-notes": "<p></p>", "IHCP-species-checked": "testedAndGuaranteed", "IHCP-species-dilution-info": "1/250", "IHCP-species-notes": "<p></p>" }, "Rat": { "ChICCUTRUNseq-species-checked": "guaranteed", "ChICCUTRUNseq-species-dilution-info": "", "ChICCUTRUNseq-species-notes": "", "ICCIF-species-checked": "guaranteed", "ICCIF-species-dilution-info": "", "ICCIF-species-notes": "", "IHCP-species-checked": "testedAndGuaranteed", "IHCP-species-dilution-info": "1/250", "IHCP-species-notes": "<p></p>" } } }

产品详情

Patented technology
Our RabMAb® technology is a patented hybridoma-based technology for making rabbit monoclonal antibodies. For details on our patents, please refer to RabMAb® patents.

What are the advantages of a recombinant monoclonal antibody?
This product is a recombinant monoclonal antibody, which offers several advantages including:

  • - High batch-to-batch consistency and reproducibility
  • - Improved sensitivity and specificity
  • - Long-term security of supply
  • - Animal-free batch production

For more information, read more on recombinant antibodies.

性能和储存信息

形式
Liquid
纯化工艺
Affinity purification Protein A
存储溶液
pH: 7.2 - 7.4 Preservative: 0.01% Sodium azide Constituents: PBS, 40% Glycerol (glycerin, glycerine), 0.05% BSA
运输条件
Blue Ice
推荐的短期储存时间
1-2 weeks
推荐的短期储存条件
+4°C
推荐的长期储存条件
-20°C
分装信息
Upon delivery aliquot
储存信息
Avoid freeze / thaw cycle

补充信息

This supplementary information is collated from multiple sources and compiled automatically.

NR2F2 also known as COUP-TFII (Chicken Ovalbumin Upstream Promoter Transcription Factor II) is a nuclear receptor that functions as a transcription factor. It has a molecular mass of approximately 48 kDa. It binds to DNA target sequences and regulates gene expression involved in various developmental processes. NR2F2 is expressed in the heart blood vessels and various tissues such as the lungs and the central nervous system. Its role in transcriptional regulation makes it important for proper cell and tissue differentiation.
Biological function summary

NR2F2 is involved in the regulation of angiogenesis and cardiovascular development. It forms a heterodimer with retinoid X receptor (RXR) to regulate gene expression. This interaction places NR2F2 as part of a larger network controlling organ development and metabolic processes. NR2F2 activity also influences energy homeostasis and adipogenesis through its transcriptional regulation abilities.

Pathways

NR2F2 influences the Wnt signaling and Notch signaling pathways which play important roles in cell proliferation and differentiation. These pathways interact with other proteins such as beta-catenin and Notch receptors. NR2F2 modulates gene expression at different cellular stages and contributes to the precise regulation required within these pathways.

NR2F2 is linked to congenital heart defects and cancer. Aberrant NR2F2 expression disrupts normal developmental processes contributing to heart malformations. In cancer altered NR2F2 expression and function can facilitate tumor progression and metastasis often involving interaction with other proteins like TGF-beta and SMADs essential for tumor suppression pathways. The ability of NR2F2 to control critical transcriptional networks makes it a significant target for understanding and potentially treating these conditions.

产品实验方案

For this product, it's our understanding that no specific protocols are required. You can visit:

靶点信息

Ligand-activated transcription factor. Activated by high concentrations of 9-cis-retinoic acid and all-trans-retinoic acid, but not by dexamethasone, cortisol or progesterone (in vitro). Regulation of the apolipoprotein A-I gene transcription. Binds to DNA site A. May be required to establish ovary identity during early gonad development (PubMed : 29478779).
See full target information NR2F2

文献 (10)

Recent publications for all applications. Explore the full list and refine your search

STAR protocols 5:103446 PubMed39549238

2024

Protocol for deriving human preimplantation epiblast stem cells and 8-cell embryo-like cells.

Applications

Unspecified application

Species

Unspecified reactive species

Shiqi Liang,Xiu Yu,Changlei Zhou,Jichang Wang,Mingzhu Yang,Chuanbo Sun

Cell 187:6566-6583.e22 PubMed39332412

2024

mTOR activity paces human blastocyst stage developmental progression.

Applications

Unspecified application

Species

Unspecified reactive species

Dhanur P Iyer,Heidar Heidari Khoei,Vera A van der Weijden,Harunobu Kagawa,Saurabh J Pradhan,Maria Novatchkova,Afshan McCarthy,Teresa Rayon,Claire S Simon,Ilona Dunkel,Sissy E Wamaitha,Kay Elder,Phil Snell,Leila Christie,Edda G Schulz,Kathy K Niakan,Nicolas Rivron,Aydan Bulut-Karslioğlu

Cell reports 43:114232 PubMed38761378

2024

Unraveling hallmark suitability for staging pre- and post-implantation stem cell models.

Applications

Unspecified application

Species

Unspecified reactive species

Constance Onfray,Simon Chevolleau,Eva Moinard,Océane Girard,Kasturi Mahadik,Ryan Allsop,Grigorios Georgolopoulos,Régis Lavigne,Ophélie Renoult,Irene Aksoy,Elsa Lemaitre,Philippe Hulin,Jean-François Ouimette,Thomas Fréour,Claire Pecqueur,Charles Pineau,Vincent Pasque,Claire Rougeulle,Laurent David

Molecular brain 17:10 PubMed38368400

2024

A simple and reliable method for claustrum localization across age in mice.

Applications

Unspecified application

Species

Unspecified reactive species

Tarek Shaker,Gwyneth J Dagpa,Vanessa Cattaud,Brian A Marriott,Mariam Sultan,Mohammed Almokdad,Jesse Jackson

Stem cell reports 19:41-53 PubMed38101401

2023

The emergence of human gastrulation upon in vitro attachment.

Applications

Unspecified application

Species

Unspecified reactive species

Riccardo De Santis,Eleni Rice,Gist Croft,Min Yang,Edwin A Rosado-Olivieri,Ali H Brivanlou

Nature protocols 18:1584-1620 PubMed36792779

2023

Generating human blastoids modeling blastocyst-stage embryos and implantation.

Applications

Unspecified application

Species

Unspecified reactive species

Heidar Heidari Khoei,Alok Javali,Harunobu Kagawa,Theresa Maria Sommer,Giovanni Sestini,Laurent David,Jana Slovakova,Maria Novatchkova,Yvonne Scholte Op Reimer,Nicolas Rivron

Nature protocols 17:2760-2783 PubMed36241723

2022

Induction of human trophoblast stem cells.

Applications

Unspecified application

Species

Unspecified reactive species

Gaël Castel,Laurent David

Cell stem cell 29:1346-1365.e10 PubMed36055191

2022

Modeling human extraembryonic mesoderm cells using naive pluripotent stem cells.

Applications

Unspecified application

Species

Unspecified reactive species

Thi Xuan Ai Pham,Amitesh Panda,Harunobu Kagawa,San Kit To,Cankat Ertekin,Grigorios Georgolopoulos,Sam S F A van Knippenberg,Ryan Nicolaas Allsop,Alexandre Bruneau,Jonathan Sai-Hong Chui,Lotte Vanheer,Adrian Janiszewski,Joel Chappell,Michael Oberhuemer,Raissa Songwa Tchinda,Irene Talon,Sherif Khodeer,Janet Rossant,Frederic Lluis,Laurent David,Nicolas Rivron,Bradley Philip Balaton,Vincent Pasque

Cell reports 33:108419 PubMed33238118

2020

Induction of Human Trophoblast Stem Cells from Somatic Cells and Pluripotent Stem Cells.

Applications

Unspecified application

Species

Unspecified reactive species

Gaël Castel,Dimitri Meistermann,Betty Bretin,Julie Firmin,Justine Blin,Sophie Loubersac,Alexandre Bruneau,Simon Chevolleau,Stéphanie Kilens,Caroline Chariau,Anne Gaignerie,Quentin Francheteau,Harunobu Kagawa,Eric Charpentier,Léa Flippe,Valentin François-Campion,Sandra Haider,Bianca Dietrich,Martin Knöfler,Takahiro Arima,Jérémie Bourdon,Nicolas Rivron,Damien Masson,Thierry Fournier,Hiroaki Okae,Thomas Fréour,Laurent David

Oncogene 29:527-38 PubMed19881545

2009

BAG-1 overexpression attenuates luminal apoptosis in MCF-10A mammary epithelial cells through enhanced RAF-1 activation.

Applications

Unspecified application

Species

Unspecified reactive species

L R Anderson,R L Sutherland,A J Butt
View all publications

Abcam Product Promise

我们致力于为您的研究提供高质量的试剂,为您科研的每一步提供支持。若我们的产品未能达到预期性能,我们向您提供 Abcam Product Promise 保障。
详情请参阅我们的条款与条件。

Please note: All products are 'FOR RESEARCH USE ONLY. NOT FOR USE IN DIAGNOSTIC OR THERAPEUTIC PROCEDURES'.

For licensing inquiries, please contact partnerships@abcam.com