JavaScript is disabled in your browser. Please enable JavaScript to view this website.
AB236917

Anti-NQO2抗体

Anti-NQO2 antibody

Be the first to review this product! Submit a review

|

(2 Publications)

Rabbit Polyclonal NQO2 antibody. Suitable for WB, IHC-P, ICC/IF and reacts with Human samples. Cited in 2 publications. Immunogen corresponding to Recombinant Full Length Protein corresponding to Human NQO2.

查看别名

NMOR2, NQO2, Ribosyldihydronicotinamide dehydrogenase [quinone], NRH dehydrogenase [quinone] 2, NRH:quinone oxidoreductase 2, Quinone reductase 2, QR2

6 Images
Immunohistochemistry (Formalin/PFA-fixed paraffin-embedded sections) - Anti-NQO2 antibody (AB236917)
  • IHC-P

Supplier Data

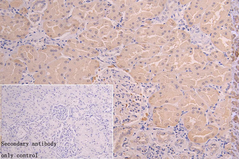
Immunohistochemistry (Formalin/PFA-fixed paraffin-embedded sections) - Anti-NQO2 antibody (AB236917)

IHC image of ab236917 diluted at 1 : 150 and staining in paraffin-embedded human kidney tissue performed on a Leica BondTM system. After dewaxing and hydration, antigen retrieval was mediated by high pressure in a citrate buffer (pH 6.0). Section was blocked with 10% normal goat serum 30min at RT. Then primary antibody (1% BSA) was incubated at 4°C overnight. Secondary antibody was a Goat anti-rabbit polymer IgG labelled with HRP and visualized using 0.05% DAB. Secondary antibody only control : 1% BSA instead of primary antibody.

Immunocytochemistry/ Immunofluorescence - Anti-NQO2 antibody (AB236917)
  • ICC/IF

Supplier Data

Immunocytochemistry/ Immunofluorescence - Anti-NQO2 antibody (AB236917)

Immunofluorescence staining of U251 cells with ab236917 at 1 : 20, counter-stained with DAPI. The cells were fixed in 4% formaldehyde and blocked in 10% normal Goat Serum. The cells were then incubated with ab236917 overnight at 4C. The secondary antibody was Alexa Fluor 488-congugated Goat Anti-Rabbit IgG(H+L).

Immunohistochemistry (Formalin/PFA-fixed paraffin-embedded sections) - Anti-NQO2 antibody (AB236917)
  • IHC-P

Supplier Data

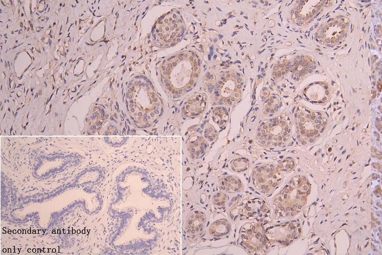
Immunohistochemistry (Formalin/PFA-fixed paraffin-embedded sections) - Anti-NQO2 antibody (AB236917)

IHC image of ab236917 diluted at 1 : 150 and staining in paraffin-embedded human breast tissue performed on a Leica BondTM system. After dewaxing and hydration, antigen retrieval was mediated by high pressure in a citrate buffer (pH 6.0). Section was blocked with 10% normal goat serum 30min at RT. Then primary antibody (1% BSA) was incubated at 4°C overnight. Secondary antibody was a Goat anti-rabbit polymer IgG labelled with HRP and visualized using 0.05% DAB. Secondary antibody only control : 1% BSA instead of primary antibody.

Immunohistochemistry (Formalin/PFA-fixed paraffin-embedded sections) - Anti-NQO2 antibody (AB236917)
  • IHC-P

Supplier Data

Immunohistochemistry (Formalin/PFA-fixed paraffin-embedded sections) - Anti-NQO2 antibody (AB236917)

IHC image of ab236917 diluted at 1 : 150 and staining in paraffin-embedded human brain tissue performed on a Leica BondTM system. After dewaxing and hydration, antigen retrieval was mediated by high pressure in a citrate buffer (pH 6.0). Section was blocked with 10% normal goat serum 30min at RT. Then primary antibody (1% BSA) was incubated at 4°C overnight. Secondary antibody was a Goat anti-rabbit polymer IgG labelled with HRP and visualized using 0.05% DAB. Secondary antibody only control : 1% BSA instead of primary antibody.

Immunocytochemistry/ Immunofluorescence - Anti-NQO2 antibody (AB236917)
  • ICC/IF

Supplier Data

Immunocytochemistry/ Immunofluorescence - Anti-NQO2 antibody (AB236917)

(Left) Immunofluorescence staining of Hela (human epithelial cell line from cervix adenocarcinoma) cells with ab236917 at 1 : 20, counter-stained with DAPI. The cells were fixed in 4% formaldehyde and blocked in 10% normal Goat Serum. The cells were then incubated with the antibody overnight at 4C. The secondary antibody was Alexa Fluor 488-congugated Goat Anti-Rabbit IgG(H+L).

(Right) Negative control : Immunofluorescence staining of Hela cell with 5% goat serum, counter-stained with DAPI. The cells were fixed in 4% formaldehyde and blocked in 10% normal Goat Serum. The cells were then incubated with the antibody overnight at 4C. The secondary antibody was Alexa Fluor 488-congugated Goat Anti-Rabbit IgG(H+L).

Western blot - Anti-NQO2 antibody (AB236917)
  • WB

Supplier Data

Western blot - Anti-NQO2 antibody (AB236917)

All lanes:

Western blot - Anti-NQO2 antibody (ab236917) at 1/1000 dilution

Lane 1:

Hela whole cell lysate

Lane 2:

K562 whole cell lysate

Lane 3:

HepG2 whole cell lysate

Lane 4:

JK whole cell lysate

Lane 5:

A549 whole cell lysate

Lane 6:

MCF7 whole cell lysate

Lane 7:

Ntera2 whole cell lysate

Secondary

All lanes:

Goat polyclonal to rabbit IgG at 1/50000 dilution

Predicted band size: 26 kDa

Observed band size: 26 kDa

false

关键信息

宿主种属

Rabbit

克隆

Polyclonal

亚型

IgG

不含载体蛋白

No

反应种属

Human

应用

IHC-P, WB, ICC/IF

applications

免疫原

Recombinant Full Length Protein corresponding to Human NQO2.

P16083

反应性数据

{ "title": "Reactivity Data", "filters": { "stats": ["", "Species", "Dilution Info", "Notes"], "tabs": { "all-applications": {"fullname" : "All Applications", "shortname": "All Applications"}, "IP" : {"fullname" : "Immunoprecipitation", "shortname":"IP"}, "WB" : {"fullname" : "Western blot", "shortname":"WB"}, "IHCP" : {"fullname" : "Immunohistochemistry (Formalin/PFA-fixed paraffin-embedded sections)", "shortname":"IHC-P"}, "ICCIF" : {"fullname" : "Immunocytochemistry/ Immunofluorescence", "shortname":"ICC/IF"} }, "product-promise": { "all": "all", "testedAndGuaranteed": "tested", "guaranteed": "expected", "predicted": "predicted", "notRecommended": "not-recommended" } }, "values": { "Human": { "IP-species-checked": "notRecommended", "IP-species-dilution-info": "", "IP-species-notes": "<p></p>", "WB-species-checked": "testedAndGuaranteed", "WB-species-dilution-info": "1/1000", "WB-species-notes": "<p></p>", "IHCP-species-checked": "testedAndGuaranteed", "IHCP-species-dilution-info": "1/150", "IHCP-species-notes": "<p></p>", "ICCIF-species-checked": "testedAndGuaranteed", "ICCIF-species-dilution-info": "1/20", "ICCIF-species-notes": "<p></p>" } } }

性能和储存信息

形式
Liquid
纯化工艺
Affinity purification Protein G
纯化说明
Purity >95%.
存储溶液
pH: 7.4 Preservative: 0.03% Proclin 300 Constituents: PBS, 50% Glycerol (glycerin, glycerine)
运输条件
Blue Ice
推荐的短期储存时间
1-2 weeks
推荐的短期储存条件
+4°C
推荐的长期储存条件
-20°C
分装信息
Upon delivery aliquot
储存信息
Avoid freeze / thaw cycle

补充信息

This supplementary information is collated from multiple sources and compiled automatically.

NQO2 also known as NRH:quinone oxidoreductase 2 is a flavoprotein enzyme playing roles in cellular redox reactions. It has a molecular mass of approximately 25 kDa. NQO2 is expressed widely in human tissues such as liver colon and brain. It catalyzes the two-electron reduction of quinones to hydroquinones therefore helping prevent oxidative stress by converting reactive quinone species into less reactive and more stable molecules. The protein often interacts with other cellular components to perform its functions effectively.
Biological function summary

NQO2 participates in detoxification processes and acts as a dihydronicotinamide riboside:quinone oxidoreductase. Although it is not part of a large protein complex NQO2 may associate with other molecules or enzymes that modulate cellular antioxidant defense systems. It serves as a backup system when other primary antioxidant enzymes such as NQO1 are impaired. This function reflects the importance of NQO2 in maintaining cellular health and response to environmental stresses.

Pathways

NQO2 is involved in metabolism and oxidative stress response pathways. Its role in quinone detoxification connects it to the cellular defense mechanism against oxidative damage interacting with proteins like NQO1. NQO2's enzymatic activity goes hand-in-hand with the NAD(P)H dehydrogenase (quinone) pathway which collaborates with other proteins to maintain redox homeostasis and protect cells against electrophilic and oxidative stress.

Alterations in NQO2 expression or function are linked to cancer and neurodegenerative diseases. NQO2's involvement in detoxifying potent quinones links it to cancerous developments when these processes fail while its role against oxidative stress connects it to neurodegenerative conditions like Parkinson’s disease. During these conditions interactions with proteins such as NQO1 and p53 can be significant. The balance of NQO2 activity may contribute to disease progression or suppression highlighting its therapeutic potential in disease management.

产品实验方案

For this product, it's our understanding that no specific protocols are required. You can visit:

靶点信息

The enzyme apparently serves as a quinone reductase in connection with conjugation reactions of hydroquinones involved in detoxification pathways as well as in biosynthetic processes such as the vitamin K-dependent gamma-carboxylation of glutamate residues in prothrombin synthesis.
See full target information NQO2

文献 (2)

Recent publications for all applications. Explore the full list and refine your search

iScience 28:112748 PubMed40585507

2025

CETSA-MS unveils novel targets engaged by rigosertib to promote anti-tumor activity and inflammatory responses.

Applications

Unspecified application

Species

Unspecified reactive species

Petros Kechagioglou,Hajime Yurugi,Camille Dupont,Alexey Chernobrovkin,Rossana Romero,Gregory Harms,Marie Oster,Sandra Ciesek,Rebecca Tweedell,Thirumala-Devi Kanneganti,Stefanie Zimmer,Stephen Cosenza,Steven M Fruchtman,Krishnaraj Rajalingam

Cell reports. Medicine 6:102052 PubMed40239632

2025

Catalytic neural stem cell exosomes for multi-stage targeting and synergistical therapy of retinal ischemia-reperfusion injury.

Applications

Unspecified application

Species

Unspecified reactive species

Weiqiang Yang,Xiaojun Wang,Diwei Zheng,Jing Feng,Wenjun Kong,Yue Li,Guanghui Ma,Wei Wei,Yong Tao
View all publications

Abcam Product Promise

我们致力于为您的研究提供高质量的试剂,为您科研的每一步提供支持。若我们的产品未能达到预期性能,我们向您提供 Abcam Product Promise 保障。
详情请参阅我们的条款与条件。

Please note: All products are 'FOR RESEARCH USE ONLY. NOT FOR USE IN DIAGNOSTIC OR THERAPEUTIC PROCEDURES'.

For licensing inquiries, please contact partnerships@abcam.com