JavaScript is disabled in your browser. Please enable JavaScript to view this website.
AB223515

Anti-NPY6R抗体

Anti-NPY6R antibody

Be the first to review this product! Submit a review

|

(1 Publication)

Rabbit Polyclonal NPY6R antibody. Suitable for ICC/IF, IHC-P, WB and reacts with Human, Mouse, Rat samples. Cited in 1 publication. Immunogen corresponding to Recombinant Fragment Protein within Human NPY6R aa 1-50.

查看别名

NPY1RL, Y2B, NPY6R, Putative neuropeptide Y receptor type 6, NPY6-R, NPY Y1-like receptor, Putative pancreatic polypeptide receptor 2, PP2

4 Images
Immunohistochemistry (Formalin/PFA-fixed paraffin-embedded sections) - Anti-NPY6R antibody (AB223515)
  • IHC-P

Supplier Data

Immunohistochemistry (Formalin/PFA-fixed paraffin-embedded sections) - Anti-NPY6R antibody (AB223515)

Paraffin-embedded human skeletal muscle tissue stained for NPY6R using ab223515 at 1/100 dilution in immunohistochemical analysis.

Immunohistochemistry (Formalin/PFA-fixed paraffin-embedded sections) - Anti-NPY6R antibody (AB223515)
  • IHC-P

Supplier Data

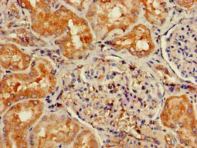
Immunohistochemistry (Formalin/PFA-fixed paraffin-embedded sections) - Anti-NPY6R antibody (AB223515)

Paraffin-embedded human kidney tissue stained for NPY6R using ab223515 at 1/100 dilution in immunohistochemical analysis.

Immunocytochemistry/ Immunofluorescence - Anti-NPY6R antibody (AB223515)
  • ICC/IF

Supplier Data

Immunocytochemistry/ Immunofluorescence - Anti-NPY6R antibody (AB223515)

MCF7 (human breast adenocarcinoma cell line) cells stained for NPY6R (green) using ab223515 at 1/100 dilution in ICC/IF, followed by Alexa Fluor 488® conjugated Goat Anti-Rabbit IgG (H+L).

Western blot - Anti-NPY6R antibody (AB223515)
  • WB

Supplier Data

Western blot - Anti-NPY6R antibody (AB223515)

All lanes:

Western blot - Anti-NPY6R antibody (ab223515) at 1/500 dilution

Lane 1:

Mouse brain lysate

Lane 2:

Rat brain lysate

Secondary

All lanes:

Goat polyclonal to rabbit IgG at 1/50000 dilution

Predicted band size: 33 kDa

false

关键信息

宿主种属

Rabbit

克隆

Polyclonal

亚型

IgG

不含载体蛋白

No

反应种属

Mouse, Rat, Human

应用

ICC/IF, WB, IHC-P

applications

免疫原

Recombinant Fragment Protein within Human NPY6R aa 1-50. The exact immunogen used to generate this antibody is proprietary information.

Q99463

反应性数据

{ "title": "Reactivity Data", "filters": { "stats": ["", "Species", "Dilution Info", "Notes"], "tabs": { "all-applications": {"fullname" : "All Applications", "shortname": "All Applications"}, "ICCIF" : {"fullname" : "Immunocytochemistry/ Immunofluorescence", "shortname":"ICC/IF"}, "IHCP" : {"fullname" : "Immunohistochemistry (Formalin/PFA-fixed paraffin-embedded sections)", "shortname":"IHC-P"}, "WB" : {"fullname" : "Western blot", "shortname":"WB"} }, "product-promise": { "all": "all", "testedAndGuaranteed": "tested", "guaranteed": "expected", "predicted": "predicted", "notRecommended": "not-recommended" } }, "values": { "Human": { "ICCIF-species-checked": "testedAndGuaranteed", "ICCIF-species-dilution-info": "1/50 - 1/200", "ICCIF-species-notes": "<p></p>", "IHCP-species-checked": "testedAndGuaranteed", "IHCP-species-dilution-info": "1/20 - 1/200", "IHCP-species-notes": "<p></p>", "WB-species-checked": "guaranteed", "WB-species-dilution-info": "", "WB-species-notes": "" }, "Mouse": { "ICCIF-species-checked": "guaranteed", "ICCIF-species-dilution-info": "", "ICCIF-species-notes": "", "IHCP-species-checked": "guaranteed", "IHCP-species-dilution-info": "", "IHCP-species-notes": "", "WB-species-checked": "testedAndGuaranteed", "WB-species-dilution-info": "1/500 - 1/5000", "WB-species-notes": "<p></p>" }, "Rat": { "ICCIF-species-checked": "guaranteed", "ICCIF-species-dilution-info": "", "ICCIF-species-notes": "", "IHCP-species-checked": "guaranteed", "IHCP-species-dilution-info": "", "IHCP-species-notes": "", "WB-species-checked": "testedAndGuaranteed", "WB-species-dilution-info": "1/500 - 1/5000", "WB-species-notes": "<p></p>" } } }

性能和储存信息

形式
Liquid
纯化工艺
Affinity purification Protein G
纯化说明
Purity >95%.
存储溶液
pH: 7.4 Preservative: 0.03% Proclin 300 Constituents: PBS, 50% Glycerol (glycerin, glycerine)
运输条件
Blue Ice
推荐的短期储存时间
1-2 weeks
推荐的短期储存条件
+4°C
推荐的长期储存条件
-20°C
分装信息
Upon delivery aliquot
储存信息
Avoid freeze / thaw cycle

补充信息

This supplementary information is collated from multiple sources and compiled automatically.

Neuropeptide Y receptor type 6 (NPY6R) also called NPY6 receptor is a protein involved in signal transduction. It has a mass of roughly 50 kilodaltons. NPY6R is expressed in several tissues including the central nervous system and gastrointestinal tract. Researchers have identified its role in regulating physiological responses influenced by neuropeptide Y and peptide YY which are its primary ligands.
Biological function summary

NPY6R modulates appetite and energy balance. It forms part of a receptor complex that interacts with G-proteins to mediate its effects. By binding to its ligands it influences processes such as feeding behavior and gut functionality. NPY6R's activity regulates energy intake and may affect fat storage contributing to its biological functions.

Pathways

NPY6R plays a significant role in the neuropeptide Y signaling pathway and the hypothalamic-pituitary-adrenal (HPA) axis. These pathways manage stress response and energy homeostasis. NPY6R has interactions with other neuropeptide Y receptors such as NPY1R and NPY2R which collaborate in these metabolic and stress-related pathways.

NPY6R is associated with obesity and anxiety disorders. Its involvement in regulating appetite and energy balance links it to obesity research. Additionally alterations in NPY6R signaling may cause anxiety-related conditions with potential interactions involving corticotropin-releasing hormone receptor highlighting its broader impact on mental health pathways.

产品实验方案

For this product, it's our understanding that no specific protocols are required. You can visit:

靶点信息

When expressed, is unable to bind pancreatic polypeptide (PP), neuropeptide Y (NPY), or peptide YY (PYY), suggesting that either it is functionally inactive or that it may have acquired a pancreatic polypeptide-independent function.
See full target information NPY6R

文献 (1)

Recent publications for all applications. Explore the full list and refine your search

Redox biology 24:101211 PubMed31108460

2019

Ferroptosis is governed by differential regulation of transcription in liver cancer.

Applications

Unspecified application

Species

Unspecified reactive species

Xiao Zhang,Lutao Du,Yongxia Qiao,Xiaobai Zhang,Weisheng Zheng,Qi Wu,Yan Chen,Guoqing Zhu,Ya Liu,Zhixuan Bian,Susu Guo,Yueyue Yang,Lifang Ma,Yongchun Yu,Qiuhui Pan,Fenyong Sun,Jiayi Wang
View all publications

Abcam Product Promise

我们致力于为您的研究提供高质量的试剂,为您科研的每一步提供支持。若我们的产品未能达到预期性能,我们向您提供 Abcam Product Promise 保障。
详情请参阅我们的条款与条件。

Please note: All products are 'FOR RESEARCH USE ONLY. NOT FOR USE IN DIAGNOSTIC OR THERAPEUTIC PROCEDURES'.

For licensing inquiries, please contact partnerships@abcam.com