JavaScript is disabled in your browser. Please enable JavaScript to view this website.
AB131088

Anti-NOX1 抗体

Anti-NOX1 antibody

5

(1 Review)

|

(87 Publications)

Rabbit Polyclonal NOX1 antibody. Suitable for IHC-P, WB and reacts with Rat, Mouse samples. Cited in 87 publications. Immunogen corresponding to Synthetic Peptide within Rat Nox1.

查看别名

NADPH oxidase 1, NOX-1, Nox1

2 Images
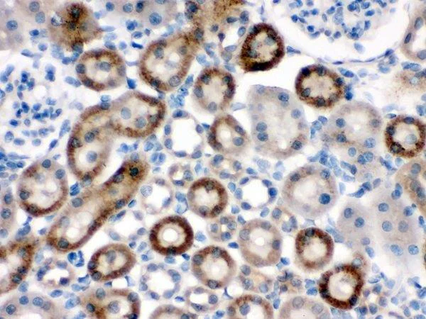
Immunohistochemistry (Formalin/PFA-fixed paraffin-embedded sections) - Anti-NOX1 antibody (AB131088)
  • IHC-P

Supplier Data

Immunohistochemistry (Formalin/PFA-fixed paraffin-embedded sections) - Anti-NOX1 antibody (AB131088)

ab131088 staining NOX1 in Rat kidney tissue sections by Immunohistochemistry (IHC-P - paraformaldehyde-fixed, paraffin-embedded sections).

Western blot - Anti-NOX1 antibody (AB131088)
  • WB

Supplier Data

Western blot - Anti-NOX1 antibody (AB131088)

All lanes:

Western blot - Anti-NOX1 antibody (ab131088)

Lane 1:

Rat heart tissue lysate

Lane 2:

Rat brain tissue lysate

Lanes 3 - 4:

Mouse heart tissue lysate

Predicted band size: 65 kDa

false

关键信息

宿主种属

Rabbit

克隆

Polyclonal

亚型

IgG

不含载体蛋白

No

反应种属

Mouse, Rat

应用

WB, IHC-P

applications

免疫原

Synthetic Peptide within Rat Nox1. The exact immunogen used to generate this antibody is proprietary information.

Q9WV87

反应性数据

{ "title": "Reactivity Data", "filters": { "stats": ["", "Species", "Dilution Info", "Notes"], "tabs": { "all-applications": {"fullname" : "All Applications", "shortname": "All Applications"}, "IHCP" : {"fullname" : "Immunohistochemistry (Formalin/PFA-fixed paraffin-embedded sections)", "shortname":"IHC-P"}, "WB" : {"fullname" : "Western blot", "shortname":"WB"} }, "product-promise": { "all": "all", "testedAndGuaranteed": "tested", "guaranteed": "expected", "predicted": "predicted", "notRecommended": "not-recommended" } }, "values": { "Mouse": { "IHCP-species-checked": "guaranteed", "IHCP-species-dilution-info": "", "IHCP-species-notes": "", "WB-species-checked": "testedAndGuaranteed", "WB-species-dilution-info": "0.1-0.5 µg/mL", "WB-species-notes": "<p></p>" }, "Rat": { "IHCP-species-checked": "testedAndGuaranteed", "IHCP-species-dilution-info": "0.5-1 µg/mL", "IHCP-species-notes": "<p></p> Perform heat-mediated antigen retrieval before commencing with IHC staining protocol.", "WB-species-checked": "testedAndGuaranteed", "WB-species-dilution-info": "0.1-0.5 µg/mL", "WB-species-notes": "<p></p>" } } }

性能和储存信息

形式
Liquid
纯化工艺
Affinity purification Immunogen
存储溶液
Preservative: 0.025% Sodium azide, 0.025% Thimerosal (merthiolate) Constituents: 2.5% BSA, 0.45% Sodium chloride, 0.1% Disodium hydrogenorthophosphate
运输条件
Blue Ice
推荐的短期储存时间
1-2 weeks
推荐的短期储存条件
+4°C
推荐的长期储存条件
-20°C
分装信息
Upon delivery aliquot

补充信息

This supplementary information is collated from multiple sources and compiled automatically.

NOX1 also known as NADPH oxidase 1 is an enzyme belonging to the NADPH oxidase family. It plays a mechanical role by generating reactive oxygen species (ROS) particularly superoxide from oxygen using NADPH as a substrate. NOX1 has a molecular weight of approximately 65 kDa. It is expressed abundantly in the colon and also found in vascular smooth muscle cells and the prostate. This enzyme shares a high degree of homology with other members of the NOX family which includes NOX2 and NOX4.
Biological function summary

NOX1 is involved in cellular processes like host defense cellular signaling and regulation of gene expression. It is part of a multi-protein complex that includes p22phox NOXA1 and NOXO1 which are essential for its enzyme activity. NOX1 contributes to maintaining normal cell function through controlled production of ROS which act as signaling molecules that modulate various physiological processes. In the colon NOX1 plays a role in mucosal defense and epithelial cell proliferation.

Pathways

NOX1 is intimately involved in the redox regulation and signaling pathways. It participates in the MAPK signaling pathway that influences cell proliferation and differentiation. NOX1 also plays a role in the PI3K/AKT pathway which is linked to cell survival and apoptosis. Proteins such as Rac1 and p47phox are known to interact with NOX1 in these pathways influencing downstream signaling events important for maintaining cell homeostasis.

NOX1 is associated with inflammatory diseases and cancer. Aberrant NOX1 activity contributes to chronic inflammatory conditions such as ulcerative colitis likely due to its role in ROS production leading to tissue damage. In the context of cancer particularly in colorectal cancer NOX1 overexpression correlates with enhanced tumor growth and survival likely through the activation of signaling pathways that promote cell proliferation. The interplay between NOX1 and proteins like NF-kB and COX-2 suggests its potential as a therapeutic target in these diseases.

产品实验方案

For this product, it's our understanding that no specific protocols are required. You can visit:

靶点信息

Isoform 1. NADPH oxidase that catalyzes the generation of superoxide from molecular oxygen utilizing NADPH as an electron donor.. Isoform 2. NADPH oxidase that catalyzes the generation of superoxide from molecular oxygen utilizing NADPH as an electron donor.
See full target information Nox1

文献 (87)

Recent publications for all applications. Explore the full list and refine your search

Fundamental & clinical pharmacology 39:e70047 PubMed40937921

2025

Nebivolol Mitigates the Pro-Oxidative and Pro-Inflammatory Effects of Cyclophosphamide in the Heart.

Applications

Unspecified application

Species

Unspecified reactive species

Barbara M Marchetti,Thales M H Dourado,Gustavo F Pimenta,Alessandra O Silva,Carlos R Tirapelli

Investigative ophthalmology & visual science 66:46 PubMed40244608

2025

Vitamin K1 Alleviates Retinal Inflammation Following Acute Ocular Hypertension by Modulating Microglial Ferroptosis.

Applications

Unspecified application

Species

Unspecified reactive species

Xi Chen,Yan Rong,Yuxian Jiang,Qiuxiang Zhang,Sifei Xiang,Zhiqi Chen,Wei Chen,Hong Zhang,Chaohua Deng,Junming Wang

Redox biology 82:103554 PubMed40154102

2025

Redox regulation of lung endothelial PERK, unfolded protein response (UPR) and proliferation via NOX1: Targeted inhibition as a potential therapy for PAH.

Applications

Unspecified application

Species

Unspecified reactive species

Christian J Goossen,Alex Kufner,Christopher M Dustin,Imad Al Ghouleh,Shuai Yuan,Adam C Straub,John Sembrat,Jeffrey J Baust,Delphine Gomez,Damir Kračun,Patrick J Pagano

Frontiers in molecular neuroscience 18:1542938 PubMed39958993

2025

Impaired peroxisomal beta-oxidation in microglia triggers oxidative stress and impacts neurons and oligodendrocytes.

Applications

Unspecified application

Species

Unspecified reactive species

Ali Tawbeh,Catherine Gondcaille,Fatima-Ezzahra Saih,Quentin Raas,Damien Loichot,Yannick Hamon,Céline Keime,Alexandre Benani,Francesca Di Cara,Mustapha Cherkaoui-Malki,Pierre Andreoletti,Stéphane Savary

Molecular cancer 24:29 PubMed39856701

2025

Circular RNA circBNC2 inhibits tumorigenesis by modulating ferroptosis and acts as a nanotherapeutic target in prostate cancer.

Applications

Unspecified application

Species

Unspecified reactive species

Xiang Pan,Kailai Chen,Wei Gao,Meiqi Xu,Fanlong Meng,Mengyuan Wu,Zi Qi Wang,Yun Qi Li,Wanhai Xu,Manjie Zhang,Yakun Luo

Research in pharmaceutical sciences 19:622-633 PubMed39691298

2024

SIRT1/NOX1 pathway mediated ameliorative effects of rosmarinic acid in folic acid-induced renal injury.

Applications

Unspecified application

Species

Unspecified reactive species

Maryam Mottaghi,Akram Eidi,Fatemeh Heidari,Tahereh Komeili Movahhed,Azam Moslehi

Redox report : communications in free radical research 29:2420563 PubMed39639475

2024

Unraveling the mechanisms underlying diabetic cataracts: insights from Mendelian randomization analysis.

Applications

Unspecified application

Species

Unspecified reactive species

Wenlan Liu,Yiming Pan

The Kaohsiung journal of medical sciences 40:1057-1067 PubMed39548856

2024

Nuciferine inhibits osteoclast formation through suppressing glycolysis metabolic programming and ROS production.

Applications

Unspecified application

Species

Unspecified reactive species

Wen-Hui Guo,Guan-Qi Zhen,Feng Wu,Yun-Peng Lv,Jing-Long Yan,Jia-Ning Zu,Cheng-Chao Song

European journal of histochemistry : EJH 68: PubMed39494460

2024

Alarin regulates RyR2 and SERCA2 to improve cardiac function in heart failure with preserved ejection fraction.

Applications

Unspecified application

Species

Unspecified reactive species

Jinshuang Li,Dawei Xu,Ce Shi,Chunqi Cheng,Ziheng Xu,Xingjuan Gao,Yong Cheng

BMC pharmacology & toxicology 25:63 PubMed39243105

2024

Sodium Houttuyniae attenuates ferroptosis by regulating TRAF6-c-Myc signaling pathways in lipopolysaccharide-induced acute lung injury (ALI).

Applications

Unspecified application

Species

Unspecified reactive species

Juan Li,Yan-Ping Hu,Xing-Ling Liang,Ming-Wei Liu
View all publications

Abcam Product Promise

我们致力于为您的研究提供高质量的试剂,为您科研的每一步提供支持。若我们的产品未能达到预期性能,我们向您提供 Abcam Product Promise 保障。
详情请参阅我们的条款与条件。

Please note: All products are 'FOR RESEARCH USE ONLY. NOT FOR USE IN DIAGNOSTIC OR THERAPEUTIC PROCEDURES'.

For licensing inquiries, please contact partnerships@abcam.com