JavaScript is disabled in your browser. Please enable JavaScript to view this website.
AB133574

重组Anti-nmt55 / p54nrb抗体[EPR5270]

Anti-nmt55 / p54nrb antibody [EPR5270]

Be the first to review this product! Submit a review

|

(10 Publications)

Rabbit Recombinant Monoclonal nmt55 / p54nrb antibody. Suitable for IHC-P, WB, ICC/IF and reacts with Mouse, Rat, Human samples. Cited in 10 publications.

查看别名

NRB54, NONO, Non-POU domain-containing octamer-binding protein, NonO protein, 54 kDa nuclear RNA- and DNA-binding protein, 55 kDa nuclear protein, p54(nrb), p54nrb, NMT55

13 Images
Immunocytochemistry/ Immunofluorescence - Anti-nmt55 / p54nrb antibody [EPR5270] (AB133574)
  • ICC/IF

Unknown

Immunocytochemistry/ Immunofluorescence - Anti-nmt55 / p54nrb antibody [EPR5270] (AB133574)

Immunocytochemistry/Immunofluorescence analysis of Molt-4 (human acute lymphoblastic leukemia) cells labelling nmt55/p54nrb with purified ab133574 at 1/1500. Cells were fixed with 4% paraformaldehyde and permeabilized with 0.1% Triton X-100. ab150077, an Alexa Fluor® 488-conjugated goat anti-rabbit IgG (1/500) was used as the secondary antibody. DAPI (blue) was used as the nuclear counterstain. ab7291, a mouse anti-tubulin (1/1000) and ab150120, an Alexa Fluor® 594-conjugated goat anti-mouse IgG (1/1000) were also used.

Control 1 : primary antibody (1/100) and secondary antibody, ab150120, an Alexa Fluor® 594-conjugated goat anti-mouse IgG (1/500).

Control 2 : ab7291 (1/1000) and secondary antibody, ab150077, an Alexa Fluor® 488-conjugated goat anti-rabbit IgG (1/500).

Immunohistochemistry (Formalin/PFA-fixed paraffin-embedded sections) - Anti-nmt55 / p54nrb antibody [EPR5270] (AB133574)
  • IHC-P

Unknown

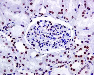
Immunohistochemistry (Formalin/PFA-fixed paraffin-embedded sections) - Anti-nmt55 / p54nrb antibody [EPR5270] (AB133574)

Immunohistochemical analysis of formalin-fixed, paraffin-embedded Human kidney tissue labelling nmt55 /p54nrb using unpurified ab133574 at a 1/250 dilution.

Perform heat mediated antigen retrieval before commencing with IHC staining protocol.

Immunohistochemistry (Formalin/PFA-fixed paraffin-embedded sections) - Anti-nmt55 / p54nrb antibody [EPR5270] (AB133574)
  • IHC-P

Unknown

Immunohistochemistry (Formalin/PFA-fixed paraffin-embedded sections) - Anti-nmt55 / p54nrb antibody [EPR5270] (AB133574)

Immunohistochemical analysis of formalin-fixed, paraffin-embedded Human bladder carcinoma tissue labelling nmt55 / p54nrb using unpurified ab133574 at a 1/250 dilution.

Perform heat mediated antigen retrieval before commencing with IHC staining protocol.

Immunohistochemistry (Formalin/PFA-fixed paraffin-embedded sections) - Anti-nmt55 / p54nrb antibody [EPR5270] (AB133574)
  • IHC-P

Unknown

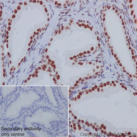
Immunohistochemistry (Formalin/PFA-fixed paraffin-embedded sections) - Anti-nmt55 / p54nrb antibody [EPR5270] (AB133574)

Immunohistochemistry (Formalin/PFA-fixed paraffin-embedded sections) analysis of human prostate tissue labelling nmt55/p54nrb with purified ab133574 at 1/500. Heat mediated antigen retrieval was performed using Tris/EDTA buffer pH 9. ab97051, a goat anti-rabbit IgG H&L (HRP) was used as the secondary antibody (1/500). Negative control using PBS instead of primary antibody. Counterstained with hematoxylin.

Immunohistochemistry (Formalin/PFA-fixed paraffin-embedded sections) - Anti-nmt55 / p54nrb antibody [EPR5270] (AB133574)
  • IHC-P

Unknown

Immunohistochemistry (Formalin/PFA-fixed paraffin-embedded sections) - Anti-nmt55 / p54nrb antibody [EPR5270] (AB133574)

Immunohistochemistry (Formalin/PFA-fixed paraffin-embedded sections) analysis of rat kidney tissue labelling nmt55/p54nrb with purified ab133574 at 1/500. Heat mediated antigen retrieval was performed using Tris/EDTA buffer pH 9. ab97051, a goat anti-rabbit IgG H&L (HRP) was used as the secondary antibody (1/500). Negative control using PBS instead of primary antibody. Counterstained with hematoxylin.

Immunohistochemistry (Formalin/PFA-fixed paraffin-embedded sections) - Anti-nmt55 / p54nrb antibody [EPR5270] (AB133574)
  • IHC-P

Unknown

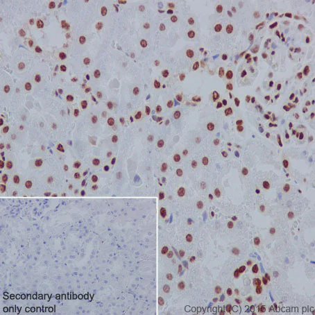
Immunohistochemistry (Formalin/PFA-fixed paraffin-embedded sections) - Anti-nmt55 / p54nrb antibody [EPR5270] (AB133574)

Immunohistochemistry (Formalin/PFA-fixed paraffin-embedded sections) analysis of mouse liver tissue labelling nmt55/p54nrb with purified ab133574 at 1/500. Heat mediated antigen retrieval was performed using Tris/EDTA buffer pH 9. ab97051, a goat anti-rabbit IgG H&L (HRP) was used as the secondary antibody (1/500). Negative control using PBS instead of primary antibody. Counterstained with hematoxylin.

Western blot - Anti-nmt55 / p54nrb antibody [EPR5270] (AB133574)
  • WB

Lab

Western blot - Anti-nmt55 / p54nrb antibody [EPR5270] (AB133574)

Lanes 1-3 : Merged signal (red and green). Green - ab133574 observed at 63 kDa. Red - loading control, ab8245 observed at 37 kDa.

ab133574 Anti-nmt55 / p54nrb antibody [EPR5270] was shown to specifically react with nmt55 / p54nrb in wild-type HEK293T cells. Loss of signal was observed when knockout cell line ab266244 (knockout cell lysate ab257160) was used. Wild-type and nmt55 / p54nrb knockout samples were subjected to SDS-PAGE. ab133574 and Anti-GAPDH antibody [6C5] - Loading Control (ab8245) were incubated overnight at 4°C at 1 in 1000 dilution and 1 in 20000 dilution respectively. Blots were developed with Goat anti-Rabbit IgG H&L (IRDye® 800CW) preadsorbed (ab216773) and Goat anti-Mouse IgG H&L (IRDye® 680RD) preadsorbed (ab216776) secondary antibodies at 1 in 10000 dilution for 1 hour at room temperature before imaging.

All lanes:

Western blot - Anti-nmt55 / p54nrb antibody [EPR5270] (ab133574) at 1/1000 dilution

Lane 1:

Wild-type HEK293T cell lysate at 20 µg

Lane 2:

Western blot - Human NONO (nmt55 / p54nrb) knockout HEK-293T cell lysate (<a href='/products/cell-lysates/human-nono-nmt55-p54nrb-knockout-hek-293t-cell-lysate-ab257160'>ab257160</a>) at 20 µg

Lane 3:

MOLT-4 cell lysate at 20 µg

Secondary

Lanes 1 - 3:

Western blot - Goat anti-Rabbit IgG H&L (IRDye® 800CW) preadsorbed (<a href='/products/secondary-antibodies/goat-rabbit-igg-h-l-irdye-800cw-preadsorbed-ab216773'>ab216773</a>)

Lanes 1 - 3:

Western blot - Goat anti-Mouse IgG H&L (IRDye® 680RD) preadsorbed (<a href='/products/secondary-antibodies/goat-mouse-igg-h-l-irdye-680rd-preadsorbed-ab216776'>ab216776</a>)

Predicted band size: 54 kDa

Observed band size: 63 kDa,37 kDa

false

Western blot - Anti-nmt55 / p54nrb antibody [EPR5270] (AB133574)
  • WB

Unknown

Western blot - Anti-nmt55 / p54nrb antibody [EPR5270] (AB133574)

Lanes 1-3 : Merged signal (red and green). Green - ab133574 observed at 63 kDa. Red - loading control, ab8245 observed at 37 kDa.

ab133574 Anti-nmt55 / p54nrb antibody [EPR5270] was shown to specifically react with nmt55 / p54nrb in wild-type HEK293T cells. Loss of signal was observed when knockout cell line ab266244 (knockout cell lysate ab257160) was used. Wild-type and nmt55 / p54nrb knockout samples were subjected to SDS-PAGE. ab133574 and Anti-GAPDH antibody [6C5] - Loading Control (ab8245) were incubated overnight at 4°C at 1 in 1000 dilution and 1 in 20000 dilution respectively. Blots were developed with Goat anti-Rabbit IgG H&L (IRDye® 800CW) preadsorbed (ab216773) and Goat anti-Mouse IgG H&L (IRDye® 680RD) preadsorbed (ab216776) secondary antibodies at 1 in 10000 dilution for 1 hour at room temperature before imaging.

All lanes:

Western blot - Anti-nmt55 / p54nrb antibody [EPR5270] (ab133574) at 1/1000 dilution

Lane 1:

Wild-type HEK293T cell lysate at 20 µg

Lane 2:

NONO knockout HEK293T cell lysate at 20 µg

Lane 3:

MOLT-4 cell lysate at 20 µg

Predicted band size: 54 kDa

Observed band size: 63 kDa

false

Western blot - Anti-nmt55 / p54nrb antibody [EPR5270] (AB133574)
  • WB

Unknown

Western blot - Anti-nmt55 / p54nrb antibody [EPR5270] (AB133574)

All lanes:

Western blot - Anti-nmt55 / p54nrb antibody [EPR5270] (ab133574) at 1/1000 dilution

Lane 1:

PC3 cell lysate at 10 µg

Lane 2:

MOLT4 cell lysate at 10 µg

Lane 3:

HeLa cell lysate at 10 µg

Lane 4:

MCF7 cell lysate at 10 µg

Lane 5:

A673 cell lysate at 10 µg

Lane 6:

RAW 264.7 cell lysate at 10 µg

Lane 7:

PC12 cell lysate at 10 µg

Lane 8:

NIH/3T3 cell lysate at 10 µg

Secondary

All lanes:

Standard HRP labelled goat anti-rabbit at 1/2000 dilution

Predicted band size: 54 kDa

Observed band size: 54 kDa

false

Western blot - Anti-nmt55 / p54nrb antibody [EPR5270] (AB133574)
  • WB

Unknown

Western blot - Anti-nmt55 / p54nrb antibody [EPR5270] (AB133574)

Blocking buffer and concentration : 5% NFDM/TBST.
Diluting buffer and concentration : 5% NFDM /TBST.

All lanes:

Western blot - Anti-nmt55 / p54nrb antibody [EPR5270] (ab133574) at 1/10000 dilution

Lane 1:

Molt-4 cell lysate at 20 µg

Lane 2:

A673 cell lysate at 20 µg

Secondary

All lanes:

Western blot - Goat Anti-Rabbit IgG H&L (HRP) (<a href='/products/secondary-antibodies/goat-rabbit-igg-h-l-hrp-ab97051'>ab97051</a>) at 1/10000 dilution

Predicted band size: 54 kDa

false

Western blot - Anti-nmt55 / p54nrb antibody [EPR5270] (AB133574)
  • WB

Unknown

Western blot - Anti-nmt55 / p54nrb antibody [EPR5270] (AB133574)

Blocking buffer and concentration : 5% NFDM/TBST.
Diluting buffer and concentration : 5% NFDM /TBST.

All lanes:

Western blot - Anti-nmt55 / p54nrb antibody [EPR5270] (ab133574) at 1/10000 dilution

All lanes:

RAW264.7 cell lysate at 20 µg

Secondary

All lanes:

Western blot - Goat Anti-Rabbit IgG H&L (HRP) (<a href='/products/secondary-antibodies/goat-rabbit-igg-h-l-hrp-ab97051'>ab97051</a>) at 1/10000 dilution

Predicted band size: 54 kDa

false

Western blot - Anti-nmt55 / p54nrb antibody [EPR5270] (AB133574)
  • WB

Unknown

Western blot - Anti-nmt55 / p54nrb antibody [EPR5270] (AB133574)

Blocking buffer and concentration : 5% NFDM/TBST.
Diluting buffer and concentration : 5% NFDM /TBST.

All lanes:

Western blot - Anti-nmt55 / p54nrb antibody [EPR5270] (ab133574) at 1/10000 dilution

All lanes:

PC-12 cell lysate at 20 µg

Secondary

All lanes:

Western blot - Goat Anti-Rabbit IgG H&L (HRP) (<a href='/products/secondary-antibodies/goat-rabbit-igg-h-l-hrp-ab97051'>ab97051</a>) at 1/10000 dilution

Predicted band size: 54 kDa

false

OI-RD Scanning - Anti-nmt55 / p54nrb antibody [EPR5270] (AB133574)
  • OI-RD Scanning

Unknown

OI-RD Scanning - Anti-nmt55 / p54nrb antibody [EPR5270] (AB133574)

We have systematically measured KD (the equilibrium dissociation constant between the antibody and its antigen), of more than 840 recombinant antibodies to assess not only their individual KD values but also to see the average affinity of antibody. Based on the comparison with published literature values for mouse monoclonal antibodies, Recombinant antibodies appear to be on average 1-2 order of magnitude higher affinity.

不同偶联物与剂型 (3)

  • 665 Alexa Fluor® 647

    Alexa Fluor® 647 Anti-nmt55 / p54nrb antibody [EPR5270]

  • Carrier free

    Anti-nmt55 / p54nrb antibody [EPR5270] - BSA and Azide free

  • 519 Alexa Fluor® 488

    Alexa Fluor® 488 Anti-nmt55 / p54nrb antibody [EPR5270]

关键信息

宿主种属

Rabbit

克隆

Monoclonal

克隆号

EPR5270

亚型

IgG

不含载体蛋白

No

反应种属

Mouse, Rat, Human

应用

IHC-P, ICC/IF, WB

applications

免疫原

The exact immunogen used to generate this antibody is proprietary information.

反应性数据

{ "title": "Reactivity Data", "filters": { "stats": ["", "Species", "Dilution Info", "Notes"], "tabs": { "all-applications": {"fullname" : "All Applications", "shortname": "All Applications"}, "IHCP" : {"fullname" : "Immunohistochemistry (Formalin/PFA-fixed paraffin-embedded sections)", "shortname":"IHC-P"}, "WB" : {"fullname" : "Western blot", "shortname":"WB"}, "ICCIF" : {"fullname" : "Immunocytochemistry/ Immunofluorescence", "shortname":"ICC/IF"} }, "product-promise": { "all": "all", "testedAndGuaranteed": "tested", "guaranteed": "expected", "predicted": "predicted", "notRecommended": "not-recommended" } }, "values": { "Human": { "IHCP-species-checked": "testedAndGuaranteed", "IHCP-species-dilution-info": "1/250 - 1/500", "IHCP-species-notes": "<p>Use a HRP/AP polymerized secondary antibody.</p> Perform heat-mediated antigen retrieval before commencing with IHC staining protocol.", "WB-species-checked": "testedAndGuaranteed", "WB-species-dilution-info": "1/1000 - 1/10000", "WB-species-notes": "<p></p>", "ICCIF-species-checked": "testedAndGuaranteed", "ICCIF-species-dilution-info": "1/1500", "ICCIF-species-notes": "<p><strong>For unpurified use at 1/250 - 1/500.</strong></p>" }, "Mouse": { "IHCP-species-checked": "testedAndGuaranteed", "IHCP-species-dilution-info": "1/250 - 1/500", "IHCP-species-notes": "<p>Use a HRP/AP polymerized secondary antibody.</p> Perform heat-mediated antigen retrieval before commencing with IHC staining protocol.", "WB-species-checked": "testedAndGuaranteed", "WB-species-dilution-info": "1/1000 - 1/10000", "WB-species-notes": "<p></p>", "ICCIF-species-checked": "guaranteed", "ICCIF-species-dilution-info": "", "ICCIF-species-notes": "" }, "Rat": { "IHCP-species-checked": "testedAndGuaranteed", "IHCP-species-dilution-info": "1/250 - 1/500", "IHCP-species-notes": "<p>Use a HRP/AP polymerized secondary antibody.</p> Perform heat-mediated antigen retrieval before commencing with IHC staining protocol.", "WB-species-checked": "testedAndGuaranteed", "WB-species-dilution-info": "1/1000 - 1/10000", "WB-species-notes": "<p></p>", "ICCIF-species-checked": "guaranteed", "ICCIF-species-dilution-info": "", "ICCIF-species-notes": "" } } }

产品详情

Patented technology
Our RabMAb® technology is a patented hybridoma-based technology for making rabbit monoclonal antibodies. For details on our patents, please refer to RabMAb® patents.

What are the advantages of a recombinant monoclonal antibody?
This product is a recombinant monoclonal antibody, which offers several advantages including:

  • - High batch-to-batch consistency and reproducibility
  • - Improved sensitivity and specificity
  • - Long-term security of supply
  • - Animal-free batch production

For more information, read more on recombinant antibodies.

性能和储存信息

形式
Liquid
纯化工艺
Affinity purification Protein A
存储溶液
pH: 7.2 - 7.4 Preservative: 0.01% Sodium azide Constituents: PBS, 40% Glycerol (glycerin, glycerine), 0.05% BSA
运输条件
Blue Ice
推荐的短期储存时间
1-2 weeks
推荐的短期储存条件
+4°C
推荐的长期储存条件
-20°C
分装信息
Upon delivery aliquot
储存信息
Stable for 12 months at -20°C

补充信息

This supplementary information is collated from multiple sources and compiled automatically.

The NMT55/p54nrb also known as the NonO protein is highly involved in various cellular processes. Mechanically it functions as a transcriptional coactivator and is involved in pre-mRNA splicing. This protein has a mass of approximately 54 kDa and is part of the Drosophila behaviour/human splicing (DBHS) protein family. It is ubiquitously expressed across different tissues with particular abundance in the nucleus showing its importance in gene regulation.
Biological function summary

P54nrb is a multifunctional protein critical in nuclear processes. It forms part of a complex involved in RNA processing and nuclear retention of edited RNA. This complex also includes the proteins PSF and PSPC1 contributing to its role in transcription regulation and RNA stability. p54nrb impacts gene expression through its ability to bind to DNA and RNA influencing numerous regulatory pathways within the cell.

Pathways

P54nrb has essential roles in gene expression and RNA maturation pathways. It closely interacts with the RNA polymerase II machinery affecting transcription elongation. The protein has an established connection with the steroid receptor RNA activator (SRA) to modulate transcriptional responses. It is related to other DBHS proteins such as PSF which work together for coordinate regulation of gene expression and splice site selection.

P54nrb has been implicated in prostate cancer and amyotrophic lateral sclerosis (ALS). In prostate cancer altered expression or function of p54nrb can affect tumorigenesis sometimes through interactions with androgen receptor signaling pathways. Additionally in ALS mutations or defects in RNA processing involving p54nrb and FUS proteins lead to neurodegenerative processes. This relationship highlights its importance in maintaining normal cellular function and its impact when dysregulated.

产品实验方案

For this product, it's our understanding that no specific protocols are required. You can visit:

靶点信息

DNA- and RNA binding protein, involved in several nuclear processes (PubMed : 11525732, PubMed : 12403470, PubMed : 26571461). Binds the conventional octamer sequence in double-stranded DNA (PubMed : 11525732, PubMed : 12403470, PubMed : 26571461). Also binds single-stranded DNA and RNA at a site independent of the duplex site (PubMed : 11525732, PubMed : 12403470, PubMed : 26571461). Involved in pre-mRNA splicing, probably as a heterodimer with SFPQ (PubMed : 11525732, PubMed : 12403470, PubMed : 26571461). Interacts with U5 snRNA, probably by binding to a purine-rich sequence located on the 3' side of U5 snRNA stem 1b (PubMed : 12403470). Together with PSPC1, required for the formation of nuclear paraspeckles (PubMed : 22416126). The SFPQ-NONO heteromer associated with MATR3 may play a role in nuclear retention of defective RNAs (PubMed : 11525732). The SFPQ-NONO heteromer may be involved in DNA unwinding by modulating the function of topoisomerase I/TOP1 (PubMed : 10858305). The SFPQ-NONO heteromer may be involved in DNA non-homologous end joining (NHEJ) required for double-strand break repair and V(D)J recombination and may stabilize paired DNA ends (PubMed : 15590677). In vitro, the complex strongly stimulates DNA end joining, binds directly to the DNA substrates and cooperates with the Ku70/G22P1-Ku80/XRCC5 (Ku) dimer to establish a functional preligation complex (PubMed : 15590677). NONO is involved in transcriptional regulation. The SFPQ-NONO-NR5A1 complex binds to the CYP17 promoter and regulates basal and cAMP-dependent transcriptional activity (PubMed : 11897684). NONO binds to an enhancer element in long terminal repeats of endogenous intracisternal A particles (IAPs) and activates transcription (By similarity). Regulates the circadian clock by repressing the transcriptional activator activity of the CLOCK-BMAL1 heterodimer (By similarity). Important for the functional organization of GABAergic synapses (By similarity). Plays a specific and important role in the regulation of synaptic RNAs and GPHN/gephyrin scaffold structure, through the regulation of GABRA2 transcript (By similarity). Plays a key role during neuronal differentiation by recruiting TET1 to genomic loci and thereby regulating 5-hydroxymethylcytosine levels (By similarity). Plays a role in the regulation of DNA virus-mediated innate immune response by assembling into the HDP-RNP complex, a complex that serves as a platform for IRF3 phosphorylation and subsequent innate immune response activation through the cGAS-STING pathway (PubMed : 28712728, PubMed : 30270045). Promotes activation of the cGAS-STING pathway in response to HIV-2 infection : acts by interacting with HIV-2 Capsid protein p24, thereby promoting detection of viral DNA by CGAS, leading to CGAS-mediated inmmune activation (PubMed : 30270045). In contrast, the weak interaction with HIV-1 Capsid protein p24 does not allow activation of the cGAS-STING pathway (PubMed : 30270045).
See full target information NONO

文献 (10)

Recent publications for all applications. Explore the full list and refine your search

Nature communications 16:7954 PubMed40858606

2025

Helicobacter hepaticus promotes hepatic steatosis through CdtB-induced mitochondrial stress and lipid metabolism reprogramming.

Applications

Unspecified application

Species

Unspecified reactive species

Shanhao Jin,Liqi Zhu,Ruoyu Bao,Linghan Yang,Tinglong Zhuang,Liyou Lian,Tao Wang,Jun Yin,Shilei Zhang,Lei Zhou,Minghua Zheng,Quan Zhang

Journal of virology 98:e0029724 PubMed39499073

2024

Cellular NONO protein binds to the flavivirus replication complex and promotes positive-strand RNA synthesis.

Applications

Unspecified application

Species

Unspecified reactive species

Honggen Yuan,Yun Luo,Jiahui Zou,Junmei Zhang,Jinhua Zhang,Gang Cao,Shengbo Cao,Huanchun Chen,Yunfeng Song

Frontiers in immunology 14:1290185 PubMed38274825

2024

Sublethal heat treatment enhances lactic acid uptake in macrophages via MCT1, leading to reduced paraspeckle formation and a subsequent decrease in macrophage pyroptosis.

Applications

Unspecified application

Species

Unspecified reactive species

Zhuoyang Fan,Guowei Yang,Rongkui Luo,Xudong Qu,Xiaodan Ye,Jianhua Wang,Zhiping Yan,Minfeng Shu,Wei Zhang,Rong Liu

Scientific reports 13:7134 PubMed37130848

2023

Nono deficiency impedes the proliferation and adhesion of H9c2 cardiomyocytes through Pi3k/Akt signaling pathway.

Applications

Unspecified application

Species

Unspecified reactive species

Yu-Qing Lei,Zhou-Jie Ye,Ya-Lan Wei,Li-Ping Zhu,Xu-Dong Zhuang,Xin-Rui Wang,Hua Cao

Biochemistry and biophysics reports 27:101052 PubMed34179518

2021

Long non-coding RNA SNHG1 suppresses cell migration and invasion and upregulates SOCS2 in human gastric carcinoma.

Applications

Unspecified application

Species

Unspecified reactive species

Shanshan Wang,Haibo Han,Junling Meng,Wei Yang,Yunwei Lv,Xianzi Wen

Science advances 6:eaaz9072 PubMed32923585

2020

Integrator restrains paraspeckles assembly by promoting isoform switching of the lncRNA .

Applications

Unspecified application

Species

Unspecified reactive species

Jasmine Barra,Gabriel S Gaidosh,Ezra Blumenthal,Felipe Beckedorff,Mina M Tayari,Nina Kirstein,Tobias K Karakach,Torben Heick Jensen,Francis Impens,Kris Gevaert,Eleonora Leucci,Ramin Shiekhattar,Jean-Christophe Marine

Cell biology international 44:166-176 PubMed31393052

2019

RNA-binding protein SFPQ cooperates with HDAC1 to suppress CD40 transcription in pulmonary adventitial fibroblasts.

Applications

Unspecified application

Species

Unspecified reactive species

Yan-Yun Pan,Jin-Xiu Yang,Wei Mao,Xing-Xiang Wang

Cell 175:1902-1916.e13 PubMed30550788

2018

CARM1 and Paraspeckles Regulate Pre-implantation Mouse Embryo Development.

Applications

Unspecified application

Species

Unspecified reactive species

Anna Hupalowska,Agnieszka Jedrusik,Meng Zhu,Mark T Bedford,David M Glover,Magdalena Zernicka-Goetz

Nucleic acids research 46:2204-2217 PubMed29390093

2018

Acute hepatotoxicity of 2' fluoro-modified 5-10-5 gapmer phosphorothioate oligonucleotides in mice correlates with intracellular protein binding and the loss of DBHS proteins.

Applications

Unspecified application

Species

Unspecified reactive species

Wen Shen,Cheryl L De Hoyos,Hong Sun,Timothy A Vickers,Xue-Hai Liang,Stanley T Crooke

PLoS genetics 13:e1006658 PubMed28273136

2017

DUX4-induced dsRNA and MYC mRNA stabilization activate apoptotic pathways in human cell models of facioscapulohumeral dystrophy.

Applications

ICC/IF

Species

Human

Sean C Shadle,Jun Wen Zhong,Amy E Campbell,Melissa L Conerly,Sujatha Jagannathan,Chao-Jen Wong,Timothy D Morello,Silvère M van der Maarel,Stephen J Tapscott
View all publications

Abcam Product Promise

我们致力于为您的研究提供高质量的试剂,为您科研的每一步提供支持。若我们的产品未能达到预期性能,我们向您提供 Abcam Product Promise 保障。
详情请参阅我们的条款与条件。

Please note: All products are 'FOR RESEARCH USE ONLY. NOT FOR USE IN DIAGNOSTIC OR THERAPEUTIC PROCEDURES'.

For licensing inquiries, please contact partnerships@abcam.com