JavaScript is disabled in your browser. Please enable JavaScript to view this website.
AB216485

Anti-Nicotinic Acetylcholine Receptor alpha 7抗体

Anti-Nicotinic Acetylcholine Receptor alpha 7 antibody

4

(5 Reviews)

|

(32 Publications)

Anti-Nicotinic Acetylcholine Receptor alpha 7 antibody (ab216485) is a rabbit polyclonal antibody detecting Nicotinic Acetylcholine Receptor alpha 7 in Western Blot, IHC-P, ICC/IF. Suitable for Human, Mouse, Rat.

- Over 20 publications

查看别名

NACHRA7, CHRNA7, Neuronal acetylcholine receptor subunit alpha-7, nAChR7, Nicotinic acetylcholine receptor subunit alpha-7

9 Images
Western blot - Anti-Nicotinic Acetylcholine Receptor alpha 7 antibody (AB216485)
  • WB

Supplier Data

Western blot - Anti-Nicotinic Acetylcholine Receptor alpha 7 antibody (AB216485)

Probed with Anti-Nicotinic Acetylcholine Receptor alpha 7 Antibody, Unconjugated (ab216485) at 1 : 1000 dilution and 4˚C overnight incubation. Followed by conjugated secondary antibody incubation at 1 : 20000 for 60 min at 37˚C.

All lanes:

Western blot - Anti-Nicotinic Acetylcholine Receptor alpha 7 antibody (ab216485) at 1/1000 dilution

Lane 1:

Rat Cerebrum lysates

Lane 2:

Mouse Cerebrum lysates

Lane 3:

Rat Adrenal gland lysates

Lane 4:

Mouse Adrenal gland lysates

Lane 5:

Mouse Placenta lysates

Lane 6:

Mouse Lung lysates

Lane 7:

Rat Testis lysates

Lane 8:

Human HepG2 cell lysates

Lane 9:

Human SH-SY5Y cell lysates

Secondary

All lanes:

Western blot at 1/20000 dilution

Predicted band size: 56 kDa

false

Immunocytochemistry/ Immunofluorescence - Anti-Nicotinic Acetylcholine Receptor alpha 7 antibody (AB216485)
  • ICC/IF

Supplier Data

Immunocytochemistry/ Immunofluorescence - Anti-Nicotinic Acetylcholine Receptor alpha 7 antibody (AB216485)

Immunofluorescent analysis of HEK293 cells labeling Nicotinic Acetylcholine Receptor alpha 7 using ab216485 at 1/500 dilution, followed by secondary antibody Goat Anti-Rabbit IgG, Cy3 conjugated. DAPI staining of nuclei is shown too.

Immunohistochemistry (Formalin/PFA-fixed paraffin-embedded sections) - Anti-Nicotinic Acetylcholine Receptor alpha 7 antibody (AB216485)
  • IHC-P

Supplier Data

Immunohistochemistry (Formalin/PFA-fixed paraffin-embedded sections) - Anti-Nicotinic Acetylcholine Receptor alpha 7 antibody (AB216485)

Immunohistochemical analysis of formalin-fixed and paraffin embedded human kidney tissue labeling Nicotinic Acetylcholine Receptor alpha 7 using ab216485 at 1/200, followed by Cy3 conjugated secondary Goat Anti-Rabbit IgG. DAPI was used to stain the cell nuclei.

Immunohistochemistry (Formalin/PFA-fixed paraffin-embedded sections) - Anti-Nicotinic Acetylcholine Receptor alpha 7 antibody (AB216485)
  • IHC-P

Supplier Data

Immunohistochemistry (Formalin/PFA-fixed paraffin-embedded sections) - Anti-Nicotinic Acetylcholine Receptor alpha 7 antibody (AB216485)

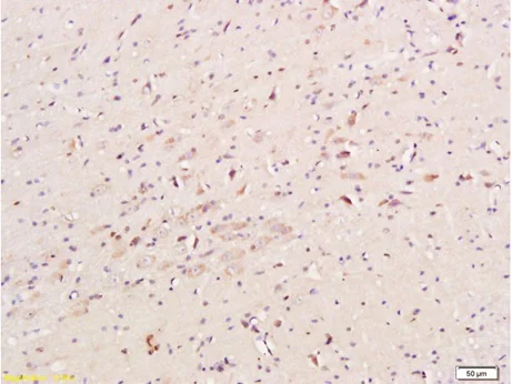
Immunohistochemical analysis of formalin-fixed and paraffin embedded mouse brain tissue labeling Nicotinic Acetylcholine Receptor alpha 7 using ab216485 at 1/200, followed by secondary detection and DAB staining.

Immunohistochemistry (Formalin/PFA-fixed paraffin-embedded sections) - Anti-Nicotinic Acetylcholine Receptor alpha 7 antibody (AB216485)
  • IHC-P

Supplier Data

Immunohistochemistry (Formalin/PFA-fixed paraffin-embedded sections) - Anti-Nicotinic Acetylcholine Receptor alpha 7 antibody (AB216485)

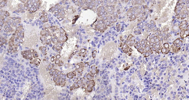
Immunohistochemical analysis of paraformaldehyde-fixed and paraffin embedded rat adrenal gland labeling Nicotinic Acetylcholine Receptor alpha 7 using ab216485 at 1/200, followed by secondary detection and DAB staining.

Western blot - Anti-Nicotinic Acetylcholine Receptor alpha 7 antibody (AB216485)
  • WB

Supplier Data

Western blot - Anti-Nicotinic Acetylcholine Receptor alpha 7 antibody (AB216485)

Probed with Anti-Nicotinic Acetylcholine Receptor alpha 7 polyclonal Antibody, unconjugated (ab216485) at 1 : 1000 dilution and 4°C overnight incubation. Followed by conjugated secondary antibody incubation at 1 : 20000 for 60 min at 37˚C.

All lanes:

Western blot - Anti-Nicotinic Acetylcholine Receptor alpha 7 antibody (ab216485) at 1/1000 dilution

Lane 1:

Human SH-SY5Y Cell Lysates

Lane 2:

Human U-87 MG Cell Lysates

Lane 3:

Human U251 Cell Lysates

Secondary

All lanes:

Secondary Antibody at 1/20000 dilution

Predicted band size: 56 kDa

false

Western blot - Anti-Nicotinic Acetylcholine Receptor alpha 7 antibody (AB216485)
  • WB

Supplier Data

Western blot - Anti-Nicotinic Acetylcholine Receptor alpha 7 antibody (AB216485)

Probed with Anti-Nicotinic Acetylcholine Receptor alpha 7 antibody, Unconjugated (ab216485) at 1 : 1000 dilution and 4˚C overnight incubation. Followed by conjugated secondary antibody incubation at 1 : 20000 for 60 min at 37˚C.

All lanes:

Western blot - Anti-Nicotinic Acetylcholine Receptor alpha 7 antibody (ab216485) at 1/1000 dilution

Lane 1:

Rat Cerebrum lysates

Lane 2:

Mouse Placenta lysates

Lane 3:

Mouse Spleen lysates

Lane 4:

Mouse Thymus lysates

Lane 5:

Mouse Lymph node lysates

Secondary

All lanes:

Western blot at 1/20000 dilution

Predicted band size: 56 kDa

false

Western blot - Anti-Nicotinic Acetylcholine Receptor alpha 7 antibody (AB216485)
  • WB

Supplier Data

Western blot - Anti-Nicotinic Acetylcholine Receptor alpha 7 antibody (AB216485)

Mouse lymph node lysates probed with Anti-Nicotinic Acetylcholine Receptor alpha 7 Antibody, Unconjugated (ab216485) at 1 : 1000 dilution and 4˚C overnight incubation. Followed by conjugated secondary antibody incubation at 1 : 20000 for 60 min at 37˚C.

All lanes:

Western blot - Anti-Nicotinic Acetylcholine Receptor alpha 7 antibody (ab216485) at 1/1000 dilution

All lanes:

Mouse lymph node lysates

Secondary

All lanes:

Western blot at 1/20000 dilution

Predicted band size: 56 kDa

false

Western blot - Anti-Nicotinic Acetylcholine Receptor alpha 7 antibody (AB216485)
  • WB

Supplier Data

Western blot - Anti-Nicotinic Acetylcholine Receptor alpha 7 antibody (AB216485)

All lanes:

Western blot - Anti-Nicotinic Acetylcholine Receptor alpha 7 antibody (ab216485) at 1/300 dilution

All lanes:

mouse brain lysate

Secondary

All lanes:

Goat Anti-Rabbit IgG Antibody (H+L), HRP Conjugated at 1/500 dilution

Predicted band size: 56 kDa

false

关键信息

宿主种属

Rabbit

克隆

Polyclonal

亚型

IgG

不含载体蛋白

No

反应种属

Mouse, Human, Rat

应用

IHC-P, ICC/IF, WB

applications

免疫原

Synthetic Peptide within Human CHRNA7 aa 450 to C-terminus conjugated to Keyhole Limpet Haemocyanin. The exact immunogen used to generate this antibody is proprietary information.

P36544

反应性数据

{ "title": "Reactivity Data", "filters": { "stats": ["", "Species", "Dilution Info", "Notes"], "tabs": { "all-applications": {"fullname" : "All Applications", "shortname": "All Applications"}, "IHCP" : {"fullname" : "Immunohistochemistry (Formalin/PFA-fixed paraffin-embedded sections)", "shortname":"IHC-P"}, "WB" : {"fullname" : "Western blot", "shortname":"WB"}, "ICCIF" : {"fullname" : "Immunocytochemistry/ Immunofluorescence", "shortname":"ICC/IF"} }, "product-promise": { "all": "all", "testedAndGuaranteed": "tested", "guaranteed": "expected", "predicted": "predicted", "notRecommended": "not-recommended" } }, "values": { "Human": { "IHCP-species-checked": "testedAndGuaranteed", "IHCP-species-dilution-info": "1/100 - 1/500", "IHCP-species-notes": "<p>When using a fluorescent probe the recommended dilution is 1/50 – 1/200.</p> Perform heat-mediated antigen retrieval with citrate buffer pH 6 before commencing with IHC staining protocol.", "WB-species-checked": "testedAndGuaranteed", "WB-species-dilution-info": "1/1000", "WB-species-notes": "<p></p>", "ICCIF-species-checked": "testedAndGuaranteed", "ICCIF-species-dilution-info": "1/500", "ICCIF-species-notes": "<p></p>" }, "Mouse": { "IHCP-species-checked": "testedAndGuaranteed", "IHCP-species-dilution-info": "1/100 - 1/500", "IHCP-species-notes": "<p>When using a fluorescent probe the recommended dilution is 1/50 – 1/200.</p> Perform heat-mediated antigen retrieval with citrate buffer pH 6 before commencing with IHC staining protocol.", "WB-species-checked": "testedAndGuaranteed", "WB-species-dilution-info": "1/1000", "WB-species-notes": "<p></p>", "ICCIF-species-checked": "guaranteed", "ICCIF-species-dilution-info": "", "ICCIF-species-notes": "" }, "Rat": { "IHCP-species-checked": "testedAndGuaranteed", "IHCP-species-dilution-info": "1/200", "IHCP-species-notes": "<p></p> Perform heat-mediated antigen retrieval with citrate buffer pH 6 before commencing with IHC staining protocol.", "WB-species-checked": "testedAndGuaranteed", "WB-species-dilution-info": "1/1000", "WB-species-notes": "<p></p>", "ICCIF-species-checked": "guaranteed", "ICCIF-species-dilution-info": "", "ICCIF-species-notes": "" } } }

产品详情

Product Specifications
Anti-Nicotinic Acetylcholine Receptor alpha 7 antibody (ab216485) is a rabbit polyclonal antibody and is validated for use in ICC/IF, IHC-P, WB in human, mouse, rat samples.
Anti-Nicotinic Acetylcholine Receptor alpha 7 antibody (ab216485) specifically detects Nicotinic Acetylcholine Receptor alpha 7 (UniProt ID: P36544; Molecular weight: 54kDa) and is sold in 100 µL selling sizes.

Quality and Validation
Abcam's high quality validation processes ensure Anti-Nicotinic Acetylcholine Receptor alpha 7 antibody (ab216485) has high sensitivity and specificity.
Anti-Nicotinic Acetylcholine Receptor alpha 7 antibody (ab216485) has been cited over 20 times in peer reviewed journals and is trusted by the scientific community.
Anti-Nicotinic Acetylcholine Receptor alpha 7 antibody (ab216485) has 5 independent reviews from customers.

性能和储存信息

形式
Liquid
纯化工艺
Affinity purification Protein A
存储溶液
pH: 7.4 Preservative: 0.02% Proclin 300 Constituents: 50% Glycerol (glycerin, glycerine), 48.98% TBS, 1X, 1% BSA
运输条件
Blue Ice
推荐的短期储存时间
1-2 weeks
推荐的短期储存条件
+4°C
推荐的长期储存条件
-20°C
分装信息
Upon delivery aliquot
储存信息
Avoid freeze / thaw cycle

补充信息

This supplementary information is collated from multiple sources and compiled automatically.

The Nicotinic Acetylcholine Receptor alpha 7 (nAChR α7) is an important ligand-gated ion channel involved in neurotransmission. It is commonly known by its alternate name α7-nAChR. This receptor plays a critical role in fast synaptic transmission and is activated by the neurotransmitter acetylcholine. The nAChR α7 is a homomeric receptor meaning it is composed entirely of alpha 7 subunits each with a molecular mass of approximately 57 kDa. It is expressed predominantly in the central nervous system especially in the brain but also found in other tissues like the immune system.
Biological function summary

The nAChR α7 facilitates the influx of cations like calcium and sodium upon activation influencing cellular signaling events. As part of the larger family of nicotinic acetylcholine receptors it functions within a pentameric complex structure. The receptor is essential for cognitive processes including attention and memory by modulating neurotransmitter release and plasticity. It also interacts with other neurotransmitter pathways and may play a role in anti-inflammatory processes due to its expression in non-neuronal tissues.

Pathways

The nAChR α7 is involved in the cholinergic signaling pathway and the broader calcium signaling pathway. It contributes to the regulation of intracellular calcium levels which are important for various cellular functions. The receptor works alongside other proteins such as bungarotoxin-sensitive nAChRs and muscarinic acetylcholine receptors (mAChRs) to mediate complex neurotransmitter systems. The interplay between these receptors highlights the receptor's importance in maintaining synaptic function and plasticity.

Research indicates a connection between nAChR α7 and neurodegenerative diseases like Alzheimer’s disease and schizophrenia. The receptor's dysfunction or altered expression has been linked to cognitive deficits associated with these conditions. In Alzheimer's disease the interaction of nAChR α7 with amyloid-beta peptides may contribute to neurotoxicity. Additionally the receptor's association with cytokine release in immune cells suggests a potential role in inflammatory disorders. Its linkage with other neurotransmitter systems such as the involvement of nAChR agonists further demonstrates the receptor's relevance to these neurological and immune-associated diseases.

产品实验方案

For this product, it's our understanding that no specific protocols are required. You can visit:

靶点信息

Component of neuronal acetylcholine receptors (nAChRs) that function as pentameric, ligand-gated cation channels with high calcium permeability among other activities. nAChRs are excitatory neurotrasnmitter receptors formed by a collection of nAChR subunits known to mediate synaptic transmission in the nervous system and the neuromuscular junction. Each nAchR subunit confers differential attributes to channel properties, including activation, deactivation and desensitization kinetics, pH sensitivity, cation permeability, and binding to allosteric modulators (PubMed : 15609996, PubMed : 33735609, PubMed : 8145738). CHRNA7 forms homopentameric neuronal acetylcholine receptors abundantly expressed in the central nervous system, characterized by fast desensitization and high calcium permeability (PubMed : 31560909, PubMed : 33735609, PubMed : 38382524, PubMed : 8145738). Also forms heteropentamers with CHRNB2, mainly expressed in basal forebrain cholinergic neurons. Involved in the modulation of calcium-dependent signaling pathways and influences the release of neurotransmitters, including dopamine, glutamate and GABA (PubMed : 33239400). Also expressed in non-neuronal cells such as immune cells like lymphocytes, monocytes and macrophages (PubMed : 12508119, PubMed : 16968406, PubMed : 25259522). In T cells, activation induces metabotropic signaling that results in an increase of intracellular Ca2+ concentrations, independent of ionotropic receptor functions (PubMed : 17709503). In macrophages, required for acetylcholine-mediated inhibition of TNF and other inflammatory cytokine release (PubMed : 12508119). Once activated by acetylcholine, nicotine or other agonists, selectively inhibits production of pro-inflammatory cytokines while leaving anti-inflammatory cytokines undisturbed (PubMed : 12508119, PubMed : 25259522). Stimulates the cholinergic anti-inflammatory pathway, controlling inflammation by inhibiting NFKB nuclear translocation and activating the JAK2-STAT3 pathway, independently of ion channel activity (PubMed : 16968406, PubMed : 25259522). Also expressed in the urothelium where it modulates reflex bladder activity by increasing intracellular calcium through internal stores and decreasing basal ATP release (By similarity).
See full target information CHRNA7

文献 (32)

Recent publications for all applications. Explore the full list and refine your search

Frontiers in physiology 16:1662171 PubMed40861894

2025

Functional deletion of α7 nicotinic acetylcholine receptor impairs Ca-dependent glutamatergic synaptic transmission by affecting both presynaptic and postsynaptic protein expression and function.

Applications

Unspecified application

Species

Unspecified reactive species

Beatrice Cannata,Laura Sposito,Martina Albini,Giuseppe Aceto,Giulia Puliatti,Giacomo Lazzarino,Cristian Ripoli,Maria Rosaria Tropea,Daniela Puzzo,Roberto Piacentini,Claudio Grassi

Journal of inflammation research 18:8705-8718 PubMed40620602

2025

Electroacupuncture at ST36 Treatment Suppresses the Microglial Pyroptosis Through Activating α7nAChR in a Rat Model of Asphyxial Cardiac Arrest.

Applications

Unspecified application

Species

Unspecified reactive species

Yuan Qin,Gangguo Ma,Xiao Xiao,Yongfei Liu,Zhaoyan Zhao,Fang Zhao,Fei Guo,Shuang Wang,Xude Sun,Changjun Gao

Advanced science (Weinheim, Baden-Wurttemberg, Germany) 12:e2407054 PubMed39582278

2024

Identification of Nicotinic Acetylcholine Receptor for N-Acetylcysteine to Rescue Nicotine-induced Injury Using Beating Cilia in Primary Tissue Derived Airway Organoids.

Applications

Unspecified application

Species

Unspecified reactive species

Yichao Zheng,Qinyong Tian,Haowei Yang,Yongde Cai,Jiaxin Zhang,Yifen Wu,Shuo Zhu,Zuocheng Qiu,Yimin Lin,Jiangquan Hong,Yi Zhang,David Dockrell,Shaohua Ma

European journal of medical research 29:507 PubMed39434147

2024

Grilled nux vomica alleviates myasthenia gravis by inhibiting the JAK2/STAT3 signaling pathway: a study in a mice model.

Applications

Unspecified application

Species

Unspecified reactive species

Chao Qiu,Liping Zhang,Jingya Li

Biology of reproduction 111:472-482 PubMed38713677

2024

Neonicotinoids differentially modulate nicotinic acetylcholine receptors in immature and antral follicles in the mouse ovary†.

Applications

Unspecified application

Species

Unspecified reactive species

Vasiliki E Mourikes,Ramsés Santacruz-Márquez,Ashley Deviney,Alison Neff,Mary J Laws,Jodi A Flaws

Journal of traditional Chinese medicine = Chung i tsa chih ying wen pan 44:289-302 PubMed38504535

2024

Efficacy of Sailuotong on neurovascular unit in amyloid precursor protein/presenilin-1 transgenic mice with Alzheimer's disease.

Applications

Unspecified application

Species

Unspecified reactive species

Sun Linjuan,L I Chengfu,Liu Jiangang,L I Nannan,Han Fuhua,Qiao Dandan,Tao Zhuang,Zhan Min,Chen Wenjie,Zhang Xiaohui,Tong Chenguang,Chen Dong,Qi Jiangxia,Liu Yang,Liang Xiao,Zheng Xiaoying,Zhang Yunling

Chemistry & biodiversity 21:e202400290 PubMed38389159

2024

Osthole Activates the Cholinergic Anti-Inflammatory Pathway via α7nAChR Upregulation to Alleviate Inflammatory Responses.

Applications

Unspecified application

Species

Unspecified reactive species

Shu-Hang Li,Meng-Ying Li,Tao-Tao Yuan,Guo-Wei Wang,Jian-Bin Zeng,Zhimian Shi,Jian-Hang Liu,Jun-Cheng Su

Cells 13: PubMed38391922

2024

Taming Microglia in Alzheimer's Disease: Exploring Potential Implications of Choline Alphoscerate via α7 nAChR Modulation.

Applications

Unspecified application

Species

Unspecified reactive species

Anna Flavia Cantone,Chiara Burgaletto,Giulia Di Benedetto,Anna Pannaccione,Agnese Secondo,Carlo Maria Bellanca,Egle Augello,Antonio Munafò,Paola Tarro,Renato Bernardini,Giuseppina Cantarella

FASEB journal : official publication of the Federation of American Societies for Experimental Biology 38:e9664 PubMed38038805

2023

VNS-mediated α7nAChR signaling promotes SPM synthesis via regulation of netrin-1 expression during LPS-induced ALI.

Applications

Unspecified application

Species

Unspecified reactive species

Yan Huang,Shuan Dong,Xiangyun Li,Jia Shi,Yuan Zhang,Shasha Liu,Ye Zhang,Jianbo Yu

Biomedicines 11: PubMed37893130

2023

The Expression of the Alpha7 Nicotinic Acetylcholine Receptor and the Effect of Smoking in Curdlan-Administered SKG Mice.

Applications

Unspecified application

Species

Unspecified reactive species

Young-Eun Kim,Jae-Hyun Lee,Eun-Ju Lee,Do Hoon Kim,Mi Ryeong Jeong,Seokchan Hong,Chang-Keun Lee,Bin Yoo,Jeehee Youn,Eun-Ju Chang,Yong-Gil Kim
View all publications

Abcam Product Promise

我们致力于为您的研究提供高质量的试剂,为您科研的每一步提供支持。若我们的产品未能达到预期性能,我们向您提供 Abcam Product Promise 保障。
详情请参阅我们的条款与条件。

Please note: All products are 'FOR RESEARCH USE ONLY. NOT FOR USE IN DIAGNOSTIC OR THERAPEUTIC PROCEDURES'.

For licensing inquiries, please contact partnerships@abcam.com