JavaScript is disabled in your browser. Please enable JavaScript to view this website.
AB216419

Anti-NGF抗体

Anti-NGF antibody

4

(1 Review)

|

(3 Publications)

Rabbit Polyclonal NGF antibody. Suitable for IHC-P and reacts with Mouse, Rat samples. Cited in 3 publications. Immunogen corresponding to Synthetic Peptide within Human NGF aa 150-200 conjugated to Keyhole Limpet Haemocyanin.

查看别名

NGFB, NGF, Beta-nerve growth factor, Beta-NGF

2 Images
Immunohistochemistry (Formalin/PFA-fixed paraffin-embedded sections) - Anti-NGF antibody (AB216419)
  • IHC-P

Supplier Data

Immunohistochemistry (Formalin/PFA-fixed paraffin-embedded sections) - Anti-NGF antibody (AB216419)

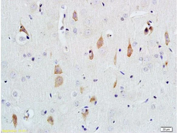
Immunohistochemical analysis of formalin-fixed, paraffin-embedded Rat brain tissue labeling NGF with ab216419 at 1/200 dilution followed by conjugation to the secondary antibody and DAB staining.

Immunohistochemistry (Formalin/PFA-fixed paraffin-embedded sections) - Anti-NGF antibody (AB216419)
  • IHC-P

Supplier Data

Immunohistochemistry (Formalin/PFA-fixed paraffin-embedded sections) - Anti-NGF antibody (AB216419)

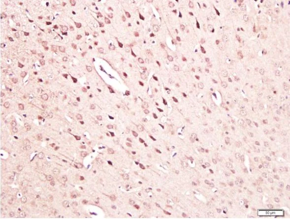
Immunohistochemical analysis of formalin-fixed, paraffin-embedded Mouse brain tissue labeling NGF with ab216419 at 1/200 dilution followed by conjugation to the secondary antibody and DAB staining.

关键信息

宿主种属

Rabbit

克隆

Polyclonal

亚型

IgG

不含载体蛋白

No

反应种属

Mouse, Rat

应用

IHC-P

applications

免疫原

Synthetic Peptide within Human NGF aa 150-200 conjugated to Keyhole Limpet Haemocyanin. The exact immunogen used to generate this antibody is proprietary information.

P01138

反应性数据

{ "title": "Reactivity Data", "filters": { "stats": ["", "Species", "Dilution Info", "Notes"], "tabs": { "all-applications": {"fullname" : "All Applications", "shortname": "All Applications"}, "IHCP" : {"fullname" : "Immunohistochemistry (Formalin/PFA-fixed paraffin-embedded sections)", "shortname":"IHC-P"} }, "product-promise": { "all": "all", "testedAndGuaranteed": "tested", "guaranteed": "expected", "predicted": "predicted", "notRecommended": "not-recommended" } }, "values": { "Human": { "IHCP-species-checked": "predicted", "IHCP-species-dilution-info": "", "IHCP-species-notes": "" }, "Mouse": { "IHCP-species-checked": "testedAndGuaranteed", "IHCP-species-dilution-info": "1/100 - 1/500", "IHCP-species-notes": "<p></p>" }, "Rat": { "IHCP-species-checked": "testedAndGuaranteed", "IHCP-species-dilution-info": "1/100 - 1/500", "IHCP-species-notes": "<p></p>" } } }

性能和储存信息

形式
Liquid
纯化工艺
Affinity purification Protein A
存储溶液
pH: 7.4 Preservative: 0.02% Proclin 300 Constituents: 50% Glycerol (glycerin, glycerine), 48.98% TBS, 1X, 1% BSA
运输条件
Blue Ice
推荐的短期储存时间
1-2 weeks
推荐的短期储存条件
+4°C
推荐的长期储存条件
-20°C
分装信息
Upon delivery aliquot
储存信息
Avoid freeze / thaw cycle

产品实验方案

For this product, it's our understanding that no specific protocols are required. You can visit:

靶点信息

Nerve growth factor is important for the development and maintenance of the sympathetic and sensory nervous systems (PubMed : 14976160, PubMed : 20978020). Extracellular ligand for the NTRK1 and NGFR receptors, activates cellular signaling cascades to regulate neuronal proliferation, differentiation and survival (Probable) (PubMed : 20978020). The immature NGF precursor (proNGF) functions as a ligand for the heterodimeric receptor formed by SORCS2 and NGFR, and activates cellular signaling cascades that lead to inactivation of RAC1 and/or RAC2, reorganization of the actin cytoskeleton and neuronal growth cone collapse. In contrast to mature NGF, the precursor form (proNGF) promotes neuronal apoptosis (in vitro) (By similarity). Inhibits metalloproteinase-dependent proteolysis of platelet glycoprotein VI (PubMed : 20164177). Binds lysophosphatidylinositol and lysophosphatidylserine between the two chains of the homodimer. The lipid-bound form promotes histamine relase from mast cells, contrary to the lipid-free form (By similarity).
See full target information NGF

文献 (3)

Recent publications for all applications. Explore the full list and refine your search

International journal of molecular medicine 56: PubMed41041859

2025

CENPU promotes tumorigenesis and stem cell properties in triple‑negative breast cancer by suppressing lysosomal furin degradation.

Applications

Unspecified application

Species

Unspecified reactive species

Shujuan Sun,Zhenyu Hou,Ling Qiang,Dongdong Zhou

Materials today. Bio 31:101588 PubMed40070866

2025

Multifunctional hydrogel loaded with 4-octyl itaconate and exosomes to induce bone regeneration for diabetic infected bone defect via Keap1-Nrf2 pathway.

Applications

Unspecified application

Species

Unspecified reactive species

Yizhou Wan,Qing Gao,Bing Ye,Wenzhe Sun,Kaifang Chen,Xiaodong Guo

Cells, tissues, organs 206:144-156 PubMed30921798

2019

Bone Marrow-Derived Mesenchymal Stem Cells Ameliorate the Pancreatic Changes of Chemically Induced Hypothyroidism by Carbimazole in Male Rats.

Applications

Unspecified application

Species

Unspecified reactive species

Mona A A Arafa,Zienab A Gouda,Nesma I El-Naseery,Hanim M Abdel-Nour,Safaa M Hanafy,Amany F Mohamed,Amany M Abo-Ouf
View all publications

Abcam Product Promise

我们致力于为您的研究提供高质量的试剂,为您科研的每一步提供支持。若我们的产品未能达到预期性能,我们向您提供 Abcam Product Promise 保障。
详情请参阅我们的条款与条件。

Please note: All products are 'FOR RESEARCH USE ONLY. NOT FOR USE IN DIAGNOSTIC OR THERAPEUTIC PROCEDURES'.

For licensing inquiries, please contact partnerships@abcam.com