JavaScript is disabled in your browser. Please enable JavaScript to view this website.
AB314147

重组Anti-NFkB Inducing Kinase NIK抗体[EPR26101-23] - BSA and Azide free

Anti-NFkB Inducing Kinase NIK antibody [EPR26101-23] - BSA and Azide free

Be the first to review this product! Submit a review

|

(0 Publication)

Rabbit Recombinant Monoclonal NFkB Inducing Kinase NIK antibody. Carrier free. Suitable for WB and reacts with Human, Mouse, Rat, Transfected cell lysate - Human samples.

查看别名

NIK, MAP3K14, Mitogen-activated protein kinase kinase kinase 14, NF-kappa-beta-inducing kinase, Serine/threonine-protein kinase NIK, HsNIK

3 Images
Western blot - Anti-NFkB Inducing Kinase NIK antibody [EPR26101-23] - BSA and Azide free (AB314147)
  • WB

Supplier Data

Western blot - Anti-NFkB Inducing Kinase NIK antibody [EPR26101-23] - BSA and Azide free (AB314147)

This data was developed using ab314146, the same antibody clone in a different buffer formulation.

Blocking and diluting buffer and concentration : 5% NFDM/TBST.

The expression of NFkB Inducing Kinase NIK is upregulated in response to MG132 treatment (PMID : 24600451, PMID : 25792747, PMID : 18305221).

The identity of the lower MW band at approximately 37 kDa is unknown.

This blot was developed using a high sensitivity ECL substrate. The high-sensitivity ECL substrate used allows for the detection of proteins in the mid-femtogram range.

In Western blot, anti-GAPDH antibody (ab181602) loading control staining at 1/200000 dilution.

All lanes:

Western blot - Anti-NFkB Inducing Kinase NIK antibody [EPR26101-23] (<a href='/products/primary-antibodies/nfkb-inducing-kinase-nik-antibody-epr26101-23-ab314146'>ab314146</a>) at 1/1000 dilution

Lane 1:

Untreated MCF7 (human breast adenocarcinoma epithelial cell) whole cell lysate at 20 µg

Lane 2:

MCF7 treated with 10 uM MG132 for 2 hours whole cell lysate at 20 µg

Secondary

All lanes:

Western blot - Goat Anti-Rabbit IgG H&L (HRP) (<a href='/products/secondary-antibodies/goat-rabbit-igg-h-l-hrp-ab97051'>ab97051</a>) at 1/100000 dilution

Observed band size: 125 kDa

true

Exposure time: 180s

Western blot - Anti-NFkB Inducing Kinase NIK antibody [EPR26101-23] - BSA and Azide free (AB314147)
  • WB

Supplier Data

Western blot - Anti-NFkB Inducing Kinase NIK antibody [EPR26101-23] - BSA and Azide free (AB314147)

This data was developed using ab314146, the same antibody clone in a different buffer formulation. Blocking and diluting buffer and concentration : 5% NFDM/TBST Low expression : colon (PMID : 9020361). The expression profile/ molecular weight observed is consistent with what has been described in the literature (PMID : 24600451, 24656046). Lysates were freshly made and used for Western blotting immediately to minimize protein degradation. The lanes 4-6 were developed using a high sensitivity ECL substrate. In Western blot, anti-GAPDH antibody (ab181602) loading control staining at 1/200000 dilution. Exposure time : 180 seconds

All lanes:

Western blot - Anti-NFkB Inducing Kinase NIK antibody [EPR26101-23] (<a href='/products/primary-antibodies/nfkb-inducing-kinase-nik-antibody-epr26101-23-ab314146'>ab314146</a>) at 1/1000 dilution

Lane 1:

Mouse brain tissue lysate at 20 µg

Lane 2:

Mouse spleen tissue lysate at 20 µg

Lane 3:

Mouse colon tissue lysate at 20 µg

Lane 4:

Rat brain tissue lysate at 20 µg

Lane 5:

Rat spleen tissue lysate at 20 µg

Lane 6:

Rat colon tissue lysate at 20 µg

Secondary

All lanes:

Western blot - Goat Anti-Rabbit IgG H&L (HRP) (<a href='/products/secondary-antibodies/goat-rabbit-igg-h-l-hrp-ab97051'>ab97051</a>) at 1/100000 dilution

Observed band size: 125 kDa

true

Exposure time: 180s

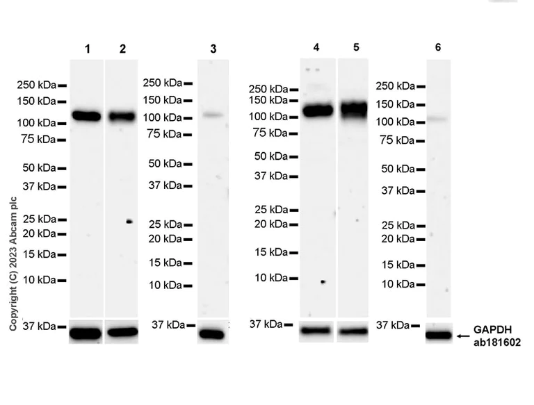
Western blot - Anti-NFkB Inducing Kinase NIK antibody [EPR26101-23] - BSA and Azide free (AB314147)
  • WB

Supplier Data

Western blot - Anti-NFkB Inducing Kinase NIK antibody [EPR26101-23] - BSA and Azide free (AB314147)

This data was developed using ab314146, the same antibody clone in a different buffer formulation. Blocking and diluting buffer and concentration : 5% NFDM/TBST In Western blot, anti-His antibody (ab213204) staining at 1/5000 dilution. In Western blot, anti-GAPDH antibody (ab181602) loading control staining at 1/200000 dilution. Exposure time : 26 seconds

All lanes:

Western blot - Anti-NFkB Inducing Kinase NIK antibody [EPR26101-23] (<a href='/products/primary-antibodies/nfkb-inducing-kinase-nik-antibody-epr26101-23-ab314146'>ab314146</a>) at 1/1000 dilution

Lane 1:

293T cells transfected with an empty vector containi a His-tag whole cell lysate at 20 µg

Lane 2:

293T cells transfected with a human MAP3K14 expression vector containi a His-tag whole cell lysate at 20 µg

Secondary

All lanes:

Western blot - Goat Anti-Rabbit IgG H&L (HRP) (<a href='/products/secondary-antibodies/goat-rabbit-igg-h-l-hrp-ab97051'>ab97051</a>) at 1/100000 dilution

Observed band size: 125 kDa

false

Exposure time: 26s

不同偶联物与剂型 (1)

  • Unconjugated

    Anti-NFkB Inducing Kinase NIK antibody [EPR26101-23]

关键信息

宿主种属

Rabbit

克隆

Monoclonal

克隆号

EPR26101-23

亚型

IgG

不含载体蛋白

Yes

反应种属

Human, Mouse, Rat

应用

WB

applications

免疫原

The exact immunogen used to generate this antibody is proprietary information.

反应性数据

{ "title": "Reactivity Data", "filters": { "stats": ["", "Species", "Dilution Info", "Notes"], "tabs": { "all-applications": {"fullname" : "All Applications", "shortname": "All Applications"}, "WB" : {"fullname" : "Western blot", "shortname":"WB"}, "IHCP" : {"fullname" : "Immunohistochemistry (Formalin/PFA-fixed paraffin-embedded sections)", "shortname":"IHC-P"}, "IP" : {"fullname" : "Immunoprecipitation", "shortname":"IP"}, "ICCIF" : {"fullname" : "Immunocytochemistry/ Immunofluorescence", "shortname":"ICC/IF"}, "FlowCytIntra" : {"fullname" : "Flow Cytometry (Intracellular)", "shortname":"Flow Cyt (Intra)"} }, "product-promise": { "all": "all", "testedAndGuaranteed": "tested", "guaranteed": "expected", "predicted": "predicted", "notRecommended": "not-recommended" } }, "values": { "Human": { "WB-species-checked": "testedAndGuaranteed", "WB-species-dilution-info": "", "WB-species-notes": "<p></p>", "IHCP-species-checked": "notRecommended", "IHCP-species-dilution-info": "", "IHCP-species-notes": "<p></p>", "IP-species-checked": "notRecommended", "IP-species-dilution-info": "", "IP-species-notes": "<p></p>", "ICCIF-species-checked": "notRecommended", "ICCIF-species-dilution-info": "", "ICCIF-species-notes": "<p></p>", "FlowCytIntra-species-checked": "notRecommended", "FlowCytIntra-species-dilution-info": "", "FlowCytIntra-species-notes": "<p></p>" }, "Mouse": { "WB-species-checked": "testedAndGuaranteed", "WB-species-dilution-info": "", "WB-species-notes": "<p></p>", "IHCP-species-checked": "notRecommended", "IHCP-species-dilution-info": "", "IHCP-species-notes": "<p></p>", "IP-species-checked": "notRecommended", "IP-species-dilution-info": "", "IP-species-notes": "", "ICCIF-species-checked": "notRecommended", "ICCIF-species-dilution-info": "", "ICCIF-species-notes": "", "FlowCytIntra-species-checked": "notRecommended", "FlowCytIntra-species-dilution-info": "", "FlowCytIntra-species-notes": "" }, "Rat": { "WB-species-checked": "testedAndGuaranteed", "WB-species-dilution-info": "", "WB-species-notes": "<p></p>", "IHCP-species-checked": "notRecommended", "IHCP-species-dilution-info": "", "IHCP-species-notes": "<p></p>", "IP-species-checked": "notRecommended", "IP-species-dilution-info": "", "IP-species-notes": "", "ICCIF-species-checked": "notRecommended", "ICCIF-species-dilution-info": "", "ICCIF-species-notes": "", "FlowCytIntra-species-checked": "notRecommended", "FlowCytIntra-species-dilution-info": "", "FlowCytIntra-species-notes": "" }, "Transfected cell lysate - Human": { "WB-species-checked": "testedAndGuaranteed", "WB-species-dilution-info": "", "WB-species-notes": "<p></p>", "IHCP-species-checked": "notRecommended", "IHCP-species-dilution-info": "", "IHCP-species-notes": "", "IP-species-checked": "notRecommended", "IP-species-dilution-info": "", "IP-species-notes": "", "ICCIF-species-checked": "notRecommended", "ICCIF-species-dilution-info": "", "ICCIF-species-notes": "", "FlowCytIntra-species-checked": "notRecommended", "FlowCytIntra-species-dilution-info": "", "FlowCytIntra-species-notes": "" } } }

产品详情

Patented technology
Our RabMAb® technology is a patented hybridoma-based technology for making rabbit monoclonal antibodies. For details on our patents, please refer to RabMAb® patents.

What are the advantages of a recombinant monoclonal antibody?
This product is a recombinant monoclonal antibody, which offers several advantages including:

  • - High batch-to-batch consistency and reproducibility
  • - Improved sensitivity and specificity
  • - Long-term security of supply
  • - Animal-free batch production

For more information, read more on recombinant antibodies.

Conjugation ready
Our carrier-free antibodies are typically supplied in a PBS-only formulation, purified and free of BSA, sodium azide and glycerol. This conjugation-ready format is designed for use with fluorochromes, metal isotopes, oligonucleotides, and enzymes, which makes them ideal for antibody labelling, functional and cell-based assays, flow-based assays (e.g. mass cytometry) and Multiplex Imaging applications.

Use our conjugation kits for antibody conjugates that are ready-to-use in as little as 20 minutes with 1 minute hands-on-time and 100% antibody recovery: available for fluorescent dyes, HRP, biotin and gold.

Compatibility
This product is compatible with the Maxpar® Antibody Labeling Kit from Fluidigm, without the need for antibody preparation. Maxpar® is a trademark of Fluidigm Canada Inc.

性能和储存信息

形式
Liquid
纯化工艺
Affinity purification Protein A
存储溶液
pH: 7.2 - 7.4 Constituents: PBS
运输条件
Blue Ice
推荐的短期储存条件
+4°C
推荐的长期储存条件
+4°C

产品实验方案

For this product, it's our understanding that no specific protocols are required. You can visit:

靶点信息

Lymphotoxin beta-activated kinase which seems to be exclusively involved in the activation of NF-kappa-B and its transcriptional activity. Phosphorylates CHUK/IKKA, thereby promoting proteolytic processing of NFKB2/P100, which leads to NF-kappa-B activation via the non-canonical pathway (PubMed : 25406581, PubMed : 29230214). Has an essential role in the non-canonical NF-kappa-B signaling that regulates genes encoding molecules involved in B-cell survival, lymphoid organogenesis, and immune response (PubMed : 25406581). Could act in a receptor-selective manner.
See full target information MAP3K14

Abcam Product Promise

我们致力于为您的研究提供高质量的试剂,为您科研的每一步提供支持。若我们的产品未能达到预期性能,我们向您提供 Abcam Product Promise 保障。
详情请参阅我们的条款与条件。

Please note: All products are 'FOR RESEARCH USE ONLY. NOT FOR USE IN DIAGNOSTIC OR THERAPEUTIC PROCEDURES'.

For licensing inquiries, please contact partnerships@abcam.com