JavaScript is disabled in your browser. Please enable JavaScript to view this website.
AB245597

Anti-NFIC/CTF抗体

Anti-NFIC/CTF antibody

Be the first to review this product! Submit a review

|

(3 Publications)

Rabbit Polyclonal NFIC/CTF antibody. Suitable for IHC-P, IP, WB and reacts with Mouse, Human samples. Cited in 3 publications. Immunogen corresponding to Synthetic Peptide within Human NFIC aa 200-250.

查看别名

NFI, NFIC, Nuclear factor 1 C-type, NF1-C, Nuclear factor 1/C, CCAAT-box-binding transcription factor, Nuclear factor I/C, TGGCA-binding protein, CTF, NF-I/C, NFI-C

4 Images
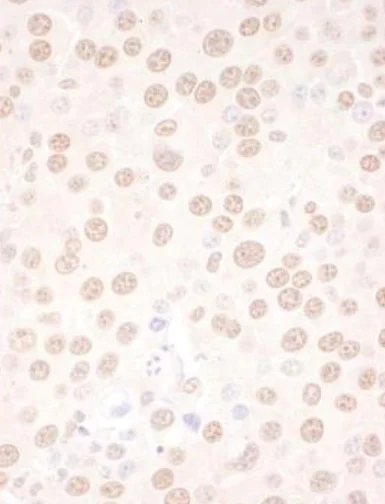
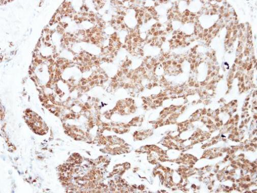
Immunohistochemistry (Formalin/PFA-fixed paraffin-embedded sections) - Anti-NFIC/CTF antibody (AB245597)
  • IHC-P

Supplier Data

Immunohistochemistry (Formalin/PFA-fixed paraffin-embedded sections) - Anti-NFIC/CTF antibody (AB245597)

Formalin-fixed, paraffin-embedded human breast carcinoma tissue stained for NFIC/CTF with ab245597 at a 1/200 dilution in immunohistochemical analysis. DAB staining. Counterstained using hematoxylin (blue).

Immunoprecipitation - Anti-NFIC/CTF antibody (AB245597)
  • IP

Supplier Data

Immunoprecipitation - Anti-NFIC/CTF antibody (AB245597)

NFIC/CTF was immunoprecipitated from HeLa (Human epithelial cell line from cervix adenocarcinoma) whole cell lysate (1 mg per IP reaction; 20% of IP loaded).

ab245597 used for IP at 6 μg/mg lysate. For WB 1 μg/ml.

Lane 1 : ab245597 IP in HeLa whole cell lysate.
Lane 2 : Control IgG in HeLa whole cell lysate.

Chemiluminescence detection : 3 seconds.

All lanes:

Immunoprecipitation - Anti-NFIC/CTF antibody (ab245597)

Predicted band size: 56 kDa

false

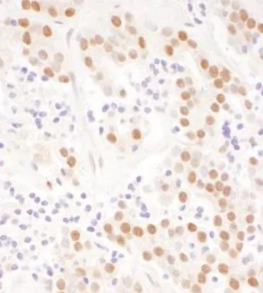
Immunohistochemistry (Formalin/PFA-fixed paraffin-embedded sections) - Anti-NFIC/CTF antibody (AB245597)
  • IHC-P

Supplier Data

Immunohistochemistry (Formalin/PFA-fixed paraffin-embedded sections) - Anti-NFIC/CTF antibody (AB245597)

Formalin-fixed, paraffin-embedded mouse renal cell carcinoma tissue stained for NFIC/CTF with ab245597 at a 1/200 dilution in immunohistochemical analysis. DAB staining.

Western blot - Anti-NFIC/CTF antibody (AB245597)
  • WB

Supplier Data

Western blot - Anti-NFIC/CTF antibody (AB245597)

All lanes:

Western blot - Anti-NFIC/CTF antibody (ab245597) at 0.04 µg/mL

Lane 1:

HeLa (Human epithelial cell line from cervix adenocarcinoma) whole cell lysate at 50 µg

Lane 2:

HeLa whole cell lysate at 15 µg

Lane 3:

HeLa whole cell lysate at 5 µg

Predicted band size: 56 kDa

true

Exposure time: 3min

关键信息

宿主种属

Rabbit

克隆

Polyclonal

亚型

IgG

不含载体蛋白

No

反应种属

Mouse, Human

应用

WB, IHC-P, IP

applications

免疫原

Synthetic Peptide within Human NFIC aa 200-250. The exact immunogen used to generate this antibody is proprietary information.

P08651

反应性数据

{ "title": "Reactivity Data", "filters": { "stats": ["", "Species", "Dilution Info", "Notes"], "tabs": { "all-applications": {"fullname" : "All Applications", "shortname": "All Applications"}, "IHCP" : {"fullname" : "Immunohistochemistry (Formalin/PFA-fixed paraffin-embedded sections)", "shortname":"IHC-P"}, "IP" : {"fullname" : "Immunoprecipitation", "shortname":"IP"}, "WB" : {"fullname" : "Western blot", "shortname":"WB"} }, "product-promise": { "all": "all", "testedAndGuaranteed": "tested", "guaranteed": "expected", "predicted": "predicted", "notRecommended": "not-recommended" } }, "values": { "Human": { "IHCP-species-checked": "testedAndGuaranteed", "IHCP-species-dilution-info": "1/200 - 1/1000", "IHCP-species-notes": "<p></p> Perform heat-mediated antigen retrieval with citrate buffer pH 6 before commencing with IHC staining protocol.", "IP-species-checked": "testedAndGuaranteed", "IP-species-dilution-info": "2-10 µg/mg of lysate", "IP-species-notes": "<p></p>", "WB-species-checked": "testedAndGuaranteed", "WB-species-dilution-info": "1/2000 - 1/10000", "WB-species-notes": "<p></p>" }, "Mouse": { "IHCP-species-checked": "testedAndGuaranteed", "IHCP-species-dilution-info": "1/200 - 1/1000", "IHCP-species-notes": "<p></p> Perform heat-mediated antigen retrieval with citrate buffer pH 6 before commencing with IHC staining protocol.", "IP-species-checked": "guaranteed", "IP-species-dilution-info": "", "IP-species-notes": "", "WB-species-checked": "guaranteed", "WB-species-dilution-info": "", "WB-species-notes": "" }, "Pig": { "IHCP-species-checked": "predicted", "IHCP-species-dilution-info": "", "IHCP-species-notes": "", "IP-species-checked": "predicted", "IP-species-dilution-info": "", "IP-species-notes": "", "WB-species-checked": "predicted", "WB-species-dilution-info": "", "WB-species-notes": "" } } }

性能和储存信息

形式
Liquid
纯化工艺
Affinity purification Immunogen
纯化说明
ab245597 was affinity purified using an epitope specific to NFIC/CTF immobilized on solid support.
存储溶液
pH: 6.8 - 7.4 Preservative: 0.09% Sodium azide Constituents: Tris buffered saline, 0.1% BSA
运输条件
Blue Ice
推荐的短期储存时间
1-2 weeks
推荐的短期储存条件
+4°C
推荐的长期储存条件
+4°C
分装信息
Upon delivery aliquot
储存信息
Avoid freeze / thaw cycle

产品实验方案

For this product, it's our understanding that no specific protocols are required. You can visit:

靶点信息

Recognizes and binds the palindromic sequence 5'-TTGGCNNNNNGCCAA-3' present in viral and cellular promoters and in the origin of replication of adenovirus type 2. These proteins are individually capable of activating transcription and replication.
See full target information NFIC

文献 (3)

Recent publications for all applications. Explore the full list and refine your search

International journal of nanomedicine 19:4103-4120 PubMed38736658

2024

Long-Term Accumulation, Biological Effects and Toxicity of BSA-Coated Gold Nanoparticles in the Mouse Liver, Spleen, and Kidneys.

Applications

Unspecified application

Species

Unspecified reactive species

Kristina Jakic,Michal Selc,Filip Razga,Veronika Nemethova,Petra Mazancova,Filip Havel,Michal Sramek,Monika Zarska,Jan Proska,Vlasta Masanova,Iveta Uhnakova,Peter Makovicky,Marta Novotova,Vit Vykoukal,Andrea Babelova

eLife 11: PubMed35550030

2022

CREB5 reprograms FOXA1 nuclear interactions to promote resistance to androgen receptor-targeting therapies.

Applications

Unspecified application

Species

Unspecified reactive species

Justin H Hwang,Rand Arafeh,Ji-Heui Seo,Sylvan C Baca,Megan Ludwig,Taylor E Arnoff,Lydia Sawyer,Camden Richter,Sydney Tape,Hannah E Bergom,Sean McSweeney,Jonathan P Rennhack,Sarah A Klingenberg,Alexander T M Cheung,Jason Kwon,Jonathan So,Steven Kregel,Eliezer M Van Allen,Justin M Drake,Matthew L Freedman,William C Hahn

Frontiers in genetics 11:846 PubMed32922434

2020

ECRG4 Represses Cell Proliferation and Invasiveness via NFIC/OGN/NF-κB Signaling Pathway in Bladder Cancer.

Applications

Unspecified application

Species

Unspecified reactive species

Xin Liang,Jiangang Gao,Quan Wang,Sichuan Hou,Changli Wu
View all publications

Abcam Product Promise

我们致力于为您的研究提供高质量的试剂,为您科研的每一步提供支持。若我们的产品未能达到预期性能,我们向您提供 Abcam Product Promise 保障。
详情请参阅我们的条款与条件。

Please note: All products are 'FOR RESEARCH USE ONLY. NOT FOR USE IN DIAGNOSTIC OR THERAPEUTIC PROCEDURES'.

For licensing inquiries, please contact partnerships@abcam.com