JavaScript is disabled in your browser. Please enable JavaScript to view this website.
AB264530

Anti-NFAT2抗体[7A6] - BSA and Azide free

Anti-NFAT2 antibody [7A6] - BSA and Azide free

Be the first to review this product! Submit a review

|

(4 Publications)

Mouse Monoclonal NFAT2 antibody. Carrier free. Suitable for Flow Cyt (Intra), WB, IHC-P and reacts with Human samples. Cited in 4 publications.

查看别名

NFAT2, NFATC, NFATC1, NF-ATc1, NFATc1, NFAT transcription complex cytosolic component, NF-ATc, NFATc

4 Images
Flow Cytometry (Intracellular) - Anti-NFAT2 antibody [7A6] - BSA and Azide free (AB264530)
  • Flow Cyt (Intra)

Unknown

Flow Cytometry (Intracellular) - Anti-NFAT2 antibody [7A6] - BSA and Azide free (AB264530)

Overlay histogram showing Jurkat cells stained with ab2796 (red line). The cells were fixed with 4% paraformaldehyde (10 min) and then permeabilized with 0.1% PBS-Tween for 20 min. The cells were then incubated in 1x PBS / 10% normal goat serum / 0.3M glycine to block non-specific protein-protein interactions followed by the antibody (ab2796, 1μg/1x106 cells) for 30 min at 22°C. The secondary antibody used was DyLight® 488 goat anti-mouse IgG (H+L) (ab96879) at 1/500 dilution for 30 min at 22°C. Isotype control antibody (black line) was mouse IgG1 [ICIGG1] (ab91353, 2μg/1x106 cells) used under the same conditions. Acquisition of >5,000 events was performed. This antibody gave a positive signal in Jurkat cells fixed with 80% methanol (5 min)/permeabilized with 0.1% PBS-Tween for 20 min used under the same conditions.

This data was developed using the same antibody clone in a different buffer formulation containing PBS, and sodium azide (ab2796).

Immunohistochemistry (Formalin/PFA-fixed paraffin-embedded sections) - Anti-NFAT2 antibody [7A6] - BSA and Azide free (AB264530)
  • IHC-P

Unknown

Immunohistochemistry (Formalin/PFA-fixed paraffin-embedded sections) - Anti-NFAT2 antibody [7A6] - BSA and Azide free (AB264530)

ab2796 staining human normal tonsil tissue. Staining is localized to cytoplasm and nucleus.
Left panel : with primary antibody at 1 μg/ml. Right panel : Isotype control.
Sections were stained using an automated system DAKO Autostainer Plus , at room temperature. Sections were rehydrated and antigen retrieved with the Dako 3-in-1 AR buffer EDTA pH 9.0 in a DAKO PT Link. Slides were peroxidase blocked in 3% H2O2 in methanol for 10 minutes. They were then blocked with Dako Protein block for 10 minutes (containing casein 0.25% in PBS), then incubated with primary antibody for 20 minutes, and detected with Dako Envision Flex amplification kit for 30 minutes. Colorimetric detection was completed with diaminobenzidine for 5 minutes. Slides were counterstained with hematoxylin and coverslipped under DePeX.

Please note that for manual staining we recommend to optimize the primary antibody concentration and incubation time (overnight incubation), and amplification may be required.

This data was developed using the same antibody clone in a different buffer formulation containing PBS, and sodium azide (ab2796).

Immunohistochemistry (Formalin/PFA-fixed paraffin-embedded sections) - Anti-NFAT2 antibody [7A6] - BSA and Azide free (AB264530)
  • IHC-P

Lab

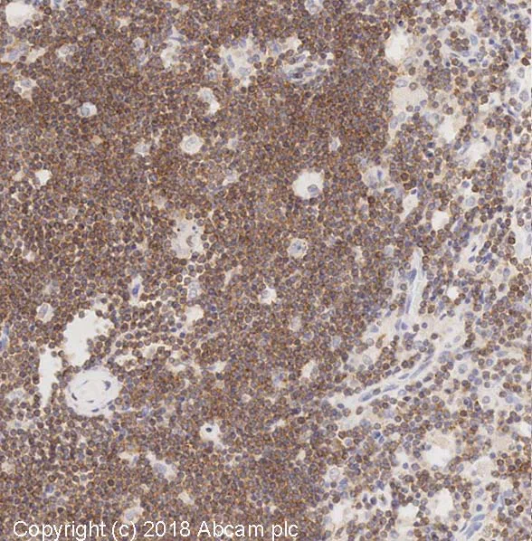
Immunohistochemistry (Formalin/PFA-fixed paraffin-embedded sections) - Anti-NFAT2 antibody [7A6] - BSA and Azide free (AB264530)

IHC image of NFAT2 staining in a section of formalin-fixed paraffin-embedded normal human Hodgkin's lymphoma* performed on a Leica BONDTM system using the standard protocol F. The section was pre-treated using heat mediated antigen retrieval with sodium citrate buffer (pH6, epitope retrieval solution 1) for 20mins. The section was then incubated with ab2796, 1ug/ml, for 15 mins at room temperature and detected using an HRP conjugated compact polymer system. The section was then counterstained with haematoxylin and mounted with DPX.

For other IHC staining systems (automated and non-automated) customers should optimize variable parameters such as antigen retrieval conditions, primary antibody concentration and antibody incubation times.

*Tissue obtained from the Human Research Tissue Bank, supported by the NIHR Cambridge Biomedical Research Centre

This data was developed using the same antibody clone in a different buffer formulation containing PBS, and sodium azide (ab2796).

Western blot - Anti-NFAT2 antibody [7A6] - BSA and Azide free (AB264530)
  • WB

Lab

Western blot - Anti-NFAT2 antibody [7A6] - BSA and Azide free (AB264530)

False colour image of Western blot : Anti-NFAT2 antibody [7A6] staining at 5 ug/ml, shown in green; Rabbit Anti-GAPDH antibody [EPR16891] (ab181602) loading control staining at 1/20000 dilution, shown in red. In Western blot, ab2796 was shown to bind specifically to NFAT2. A band was observed at 75/80/90 kDa in wild-type HAP1 cell lysates with no signal observed at this size in NFATC1 knockout cell line ab265199 (knockout cell lysate ab257002). To generate this image, wild-type and NFATC1 knockout HAP1 cell lysates were analysed. First, samples were run on an SDS-PAGE gel then transferred onto a nitrocellulose membrane. Membranes were blocked in 3 % milk in TBS-0.1 % Tween® 20 (TBS-T) before incubation with primary antibodies overnight at 4 °C. Blots were washed four times in TBS-T, incubated with secondary antibodies for 1 h at room temperature, washed again four times then imaged. Secondary antibodies used were Goat anti-Mouse IgG H&L (IRDye® 800CW) preabsorbed (ab216772) and Goat anti-Rabbit IgG H&L (IRDye® 680RD) preabsorbed (ab216777) at 1/20000 dilution.

This data was developed using the same antibody clone in a different buffer formulation containing PBS, and sodium azide (ab2796).

All lanes:

Western blot - Anti-NFAT2 antibody [7A6] (<a href='/products/primary-antibodies/nfat2-antibody-7a6-ab2796'>ab2796</a>) at 5 µg/mL

Lane 1:

HeLa cell lysate at 20 µg

Lane 2:

Wild-type HAP1 cell lysate at 20 µg

Lane 3:

NFATC1 knockout HAP1 cell lysate at 20 µg

Predicted band size: 101 kDa

Observed band size: 75 kDa,80 kDa,90 kDa

false

不同偶联物与剂型 (1)

关键信息

宿主种属

Mouse

克隆

Monoclonal

克隆号

7A6

亚型

IgG1

轻链类型

kappa

不含载体蛋白

Yes

反应种属

Human

应用

WB, IHC-P, Flow Cyt (Intra)

applications

免疫原

The exact immunogen used to generate this antibody is proprietary information.

反应性数据

{ "title": "Reactivity Data", "filters": { "stats": ["", "Species", "Dilution Info", "Notes"], "tabs": { "all-applications": {"fullname" : "All Applications", "shortname": "All Applications"}, "FlowCytIntra" : {"fullname" : "Flow Cytometry (Intracellular)", "shortname":"Flow Cyt (Intra)"}, "WB" : {"fullname" : "Western blot", "shortname":"WB"}, "IHCP" : {"fullname" : "Immunohistochemistry (Formalin/PFA-fixed paraffin-embedded sections)", "shortname":"IHC-P"} }, "product-promise": { "all": "all", "testedAndGuaranteed": "tested", "guaranteed": "expected", "predicted": "predicted", "notRecommended": "not-recommended" } }, "values": { "Human": { "FlowCytIntra-species-checked": "testedAndGuaranteed", "FlowCytIntra-species-dilution-info": "", "FlowCytIntra-species-notes": "<p><a href='/products/primary-antibodies/mouse-igg1-kappa-monoclonal-15-6e10a7-isotype-control-ab170190'>ab170190</a> - Mouse monoclonal IgG1, is suitable for use as an isotype control with this antibody.</p>", "WB-species-checked": "testedAndGuaranteed", "WB-species-dilution-info": "", "WB-species-notes": "<p></p>", "IHCP-species-checked": "testedAndGuaranteed", "IHCP-species-dilution-info": "", "IHCP-species-notes": "<p></p>" }, "Mouse": { "FlowCytIntra-species-checked": "predicted", "FlowCytIntra-species-dilution-info": "", "FlowCytIntra-species-notes": "", "WB-species-checked": "predicted", "WB-species-dilution-info": "", "WB-species-notes": "", "IHCP-species-checked": "predicted", "IHCP-species-dilution-info": "", "IHCP-species-notes": "" }, "Rat": { "FlowCytIntra-species-checked": "predicted", "FlowCytIntra-species-dilution-info": "", "FlowCytIntra-species-notes": "", "WB-species-checked": "predicted", "WB-species-dilution-info": "", "WB-species-notes": "", "IHCP-species-checked": "predicted", "IHCP-species-dilution-info": "", "IHCP-species-notes": "" }, "Hamster": { "FlowCytIntra-species-checked": "predicted", "FlowCytIntra-species-dilution-info": "", "FlowCytIntra-species-notes": "", "WB-species-checked": "predicted", "WB-species-dilution-info": "", "WB-species-notes": "", "IHCP-species-checked": "predicted", "IHCP-species-dilution-info": "", "IHCP-species-notes": "" }, "Primates": { "FlowCytIntra-species-checked": "predicted", "FlowCytIntra-species-dilution-info": "", "FlowCytIntra-species-notes": "", "WB-species-checked": "predicted", "WB-species-dilution-info": "", "WB-species-notes": "", "IHCP-species-checked": "predicted", "IHCP-species-dilution-info": "", "IHCP-species-notes": "" } } }

产品详情

ab264530 is the carrier-free version of ab2796.

Want a custom formulation?
This antibody clone is manufactured by Abcam. If you require a custom buffer formulation or conjugation for your experiments, please contact orders@abcam.com

Conjugation ready
Our carrier-free antibodies are typically supplied in a PBS-only formulation, purified and free of BSA, sodium azide and glycerol. This conjugation-ready format is designed for use with fluorochromes, metal isotopes, oligonucleotides, and enzymes, which makes them ideal for antibody labelling, functional and cell-based assays, flow-based assays (e.g. mass cytometry) and Multiplex Imaging applications.

Use our conjugation kits for antibody conjugates that are ready-to-use in as little as 20 minutes with 1 minute hands-on-time and 100% antibody recovery: available for fluorescent dyes, HRP, biotin and gold.

Compatibility
This product is compatible with the Maxpar® Antibody Labeling Kit from Fluidigm, without the need for antibody preparation. Maxpar® is a trademark of Fluidigm Canada Inc.

性能和储存信息

形式
Liquid
纯化工艺
Affinity purification
存储溶液
Constituents: PBS
运输条件
Blue Ice
推荐的短期储存条件
+4°C
推荐的长期储存条件
+4°C
储存信息
Do Not Freeze

补充信息

This supplementary information is collated from multiple sources and compiled automatically.

NFAT2 also known as NFATc1 is a transcription factor with a mass of approximately 100 kDa. It belongs to the Nuclear Factor of Activated T-cells (NFAT) family which plays significant roles in gene expression regulation. NFAT2 is expressed in T-cells B-cells and cardiac muscle tissues. It is activated through dephosphorylation by the enzyme calcineurin allowing it to translocate into the nucleus. NFAT2 binds to specific DNA motifs to regulate the transcription of target genes impacting various cellular processes.
Biological function summary

NFAT2 plays a significant role in the regulation of immune responses and cardiac hypertrophy. It functions as part of a complex with AP-1 (Activator Protein-1) during T-cell activation integrating signals necessary for cytokine production and immune cell differentiation. In cardiac cells NFAT2 influences the expression of genes involved in hypertrophic growth. NFAT2 contributes to the development and function of the immune system by modulating critical immune pathways and cellular proliferation.

Pathways

NFAT2 serves a vital function in the calcineurin-NFAT signaling pathway. This pathway is important for T-cell activation and is triggered by increased intracellular calcium levels leading to dephosphorylation of NFAT2. The dephosphorylated NFAT2 cooperates with proteins such as AP-1 to induce expression of cytokines like interleukin-2. NFAT2 is also linked with the MAPK signaling pathway which affects cellular proliferation and differentiation. Together these pathways highlight the integral role of NFAT2 in immune system function and cardiac development.

NFAT2 has strong connections to autoimmune diseases and cardiac hypertrophy. Aberrations in NFAT2 activity and regulation are associated with autoimmune conditions due to its central role in immune response modulation. In cardiac hypertrophy heightened NFAT2 activity may lead to pathological enlargement of heart tissue. The protein has interactions with calcineurin which also influences these conditions. Understanding these relationships helps in exploring therapeutic targets for managing immune-related diseases and cardiac dysfunctions.

产品实验方案

For this product, it's our understanding that no specific protocols are required. You can visit:

靶点信息

Plays a role in the inducible expression of cytokine genes in T-cells, especially in the induction of the IL-2 or IL-4 gene transcription. Also controls gene expression in embryonic cardiac cells. Could regulate not only the activation and proliferation but also the differentiation and programmed death of T-lymphocytes as well as lymphoid and non-lymphoid cells (PubMed : 10358178). Required for osteoclastogenesis and regulates many genes important for osteoclast differentiation and function (By similarity).
See full target information NFATC1

文献 (4)

Recent publications for all applications. Explore the full list and refine your search

Scientific reports 14:20292 PubMed39217193

2024

Bergenin protects against osteoarthritis by inhibiting STAT3, NF-κB and Jun pathways and suppressing osteoclastogenesis.

Applications

Unspecified application

Species

Unspecified reactive species

Zhiwei Zhang,Bo Li,Shuqin Wu,Yuxin Yang,Binkang Wu,Qi Lai,Fuchong Lai,Fengbo Mo,Yufei Zhong,Song Wang,Runsheng Guo,Bin Zhang

Basic research in cardiology 119:699-715 PubMed38963562

2024

Bone marrow cells contribute to seven different endothelial cell populations in the heart.

Applications

Unspecified application

Species

Unspecified reactive species

Parisa Shabani,Vahagn Ohanyan,Ammar Alghadeer,Daniel Gavazzi,Feng Dong,Liya Yin,Christopher Kolz,Lindsay Shockling,Molly Enrick,Ping Zhang,Xin Shi,William Chilian

PloS one 17:e0271485 PubMed35900969

2022

Zoledronic acid generates a spatiotemporal effect to attenuate osteoarthritis by inhibiting potential Wnt5a-associated abnormal subchondral bone resorption.

Applications

Unspecified application

Species

Unspecified reactive species

Dong Ding,Limei Wang,Jiangbo Yan,Yong Zhou,Gangning Feng,Long Ma,Yong Yang,Xiuying Pei,Qunhua Jin

International journal of molecular medicine 49: PubMed34738623

2021

Dihydroartemisinin attenuates osteoclast formation and bone resorption via inhibiting the NF‑κB, MAPK and NFATc1 signaling pathways and alleviates osteoarthritis.

Applications

Unspecified application

Species

Unspecified reactive species

Dong Ding,Jiangbo Yan,Gangning Feng,Yong Zhou,Long Ma,Qunhua Jin
View all publications

Abcam Product Promise

我们致力于为您的研究提供高质量的试剂,为您科研的每一步提供支持。若我们的产品未能达到预期性能,我们向您提供 Abcam Product Promise 保障。
详情请参阅我们的条款与条件。

Please note: All products are 'FOR RESEARCH USE ONLY. NOT FOR USE IN DIAGNOSTIC OR THERAPEUTIC PROCEDURES'.

For licensing inquiries, please contact partnerships@abcam.com