JavaScript is disabled in your browser. Please enable JavaScript to view this website.
AB2796

Anti-NFAT2 抗体 [7A6]

Anti-NFAT2 antibody [7A6]

4

(9 Reviews)

|

(57 Publications)

Mouse Monoclonal NFAT2 antibody. Suitable for Flow Cyt (Intra), WB, IHC-P and reacts with Human samples. Cited in 57 publications.

查看别名

NFAT2, NFATC, NFATC1, NF-ATc1, NFATc1, NFAT transcription complex cytosolic component, NF-ATc, NFATc

5 Images
Flow Cytometry (Intracellular) - Anti-NFAT2 antibody [7A6] (AB2796)
  • Flow Cyt (Intra)

Unknown

Flow Cytometry (Intracellular) - Anti-NFAT2 antibody [7A6] (AB2796)

Overlay histogram showing Jurkat cells stained with ab2796 (red line). The cells were fixed with 4% paraformaldehyde (10 min) and then permeabilized with 0.1% PBS-Tween for 20 min. The cells were then incubated in 1x PBS / 10% normal goat serum / 0.3M glycine to block non-specific protein-protein interactions followed by the antibody (ab2796, 1μg/1x106 cells) for 30 min at 22°C. The secondary antibody used was DyLight® 488 goat anti-mouse IgG (H+L) (ab96879) at 1/500 dilution for 30 min at 22°C. Isotype control antibody (black line) was mouse IgG1 [ICIGG1] (ab91353, 2μg/1x106 cells) used under the same conditions. Acquisition of >5,000 events was performed. This antibody gave a positive signal in Jurkat cells fixed with 80% methanol (5 min)/permeabilized with 0.1% PBS-Tween for 20 min used under the same conditions.

Immunohistochemistry (Formalin/PFA-fixed paraffin-embedded sections) - Anti-NFAT2 antibody [7A6] (AB2796)
  • IHC-P

Unknown

Immunohistochemistry (Formalin/PFA-fixed paraffin-embedded sections) - Anti-NFAT2 antibody [7A6] (AB2796)

ab2796 staining human normal tonsil tissue. Staining is localized to cytoplasm and nucleus.
Left panel : with primary antibody at 1 μg/ml. Right panel : Isotype control.
Sections were stained using an automated system DAKO Autostainer Plus , at room temperature. Sections were rehydrated and antigen retrieved with the Dako 3-in-1 AR buffer EDTA pH 9.0 in a DAKO PT Link. Slides were peroxidase blocked in 3% H2O2 in methanol for 10 minutes. They were then blocked with Dako Protein block for 10 minutes (containing casein 0.25% in PBS), then incubated with primary antibody for 20 minutes, and detected with Dako Envision Flex amplification kit for 30 minutes. Colorimetric detection was completed with diaminobenzidine for 5 minutes. Slides were counterstained with hematoxylin and coverslipped under DePeX.

Please note that for manual staining we recommend to optimize the primary antibody concentration and incubation time (overnight incubation), and amplification may be required.

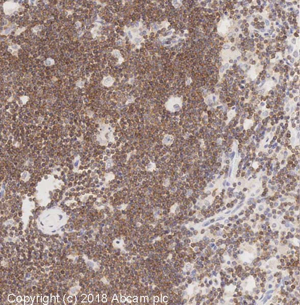
Immunohistochemistry (Formalin/PFA-fixed paraffin-embedded sections) - Anti-NFAT2 antibody [7A6] (AB2796)
  • IHC-P

Lab

Immunohistochemistry (Formalin/PFA-fixed paraffin-embedded sections) - Anti-NFAT2 antibody [7A6] (AB2796)

IHC image of NFAT2 staining in a section of formalin-fixed paraffin-embedded normal human Hodgkin's lymphoma* performed on a Leica BONDTM system using the standard protocol F. The section was pre-treated using heat mediated antigen retrieval with sodium citrate buffer (pH6, epitope retrieval solution 1) for 20mins. The section was then incubated with ab2796, 1ug/ml, for 15 mins at room temperature and detected using an HRP conjugated compact polymer system. The section was then counterstained with haematoxylin and mounted with DPX.

For other IHC staining systems (automated and non-automated) customers should optimize variable parameters such as antigen retrieval conditions, primary antibody concentration and antibody incubation times.

*Tissue obtained from the Human Research Tissue Bank, supported by the NIHR Cambridge Biomedical Research Centre

Western blot - Anti-NFAT2 antibody [7A6] (AB2796)
  • WB

Lab

Western blot - Anti-NFAT2 antibody [7A6] (AB2796)

False colour image of Western blot : Anti-NFAT2 antibody [7A6] staining at 5 ug/ml, shown in green; Rabbit Anti-GAPDH antibody [EPR16891] (ab181602) loading control staining at 1/20000 dilution, shown in red. In Western blot, ab2796 was shown to bind specifically to NFAT2. A band was observed at 75/80/90 kDa in wild-type HAP1 cell lysates with no signal observed at this size in NFATC1 knockout cell line. To generate this image, wild-type and NFATC1 knockout HAP1 cell lysates were analysed. First, samples were run on an SDS-PAGE gel then transferred onto a nitrocellulose membrane. Membranes were blocked in 3 % milk in TBS-0.1 % Tween® 20 (TBS-T) before incubation with primary antibodies overnight at 4 °C. Blots were washed four times in TBS-T, incubated with secondary antibodies for 1 h at room temperature, washed again four times then imaged. Secondary antibodies used were Goat anti-Mouse IgG H&L (IRDye® 800CW) preabsorbed (ab216772) and Goat anti-Rabbit IgG H&L (IRDye® 680RD) preabsorbed (ab216777) at 1/20000 dilution.

All lanes:

Western blot - Anti-NFAT2 antibody [7A6] (ab2796) at 5 µg/mL

Lane 1:

HeLa cell lysate at 20 µg

Lane 2:

Wild-type HAP1 cell lysate at 20 µg

Lane 3:

NFATC1 knockout HAP1 cell lysate at 20 µg

Predicted band size: 101 kDa

Observed band size: 75 kDa,80 kDa,90 kDa

false

Western blot - Anti-NFAT2 antibody [7A6] (AB2796)
  • WB

Unknown

Western blot - Anti-NFAT2 antibody [7A6] (AB2796)

All lanes:

Western blot - Anti-NFAT2 antibody [7A6] (ab2796) at 1/2000 dilution

All lanes:

Western blot - Recombinant Human NFAT2 protein (<a href='/products/proteins-peptides/recombinant-human-nfat2-protein-ab64307'>ab64307</a>) at 0.1 µg

Secondary

All lanes:

Western blot - Goat Anti-Mouse IgG H&L (HRP) preadsorbed (<a href='/products/secondary-antibodies/goat-mouse-igg-h-l-hrp-preadsorbed-ab97040'>ab97040</a>) at 1/5000 dilution

Predicted band size: 101 kDa

true

Exposure time: 10s

不同偶联物与剂型 (1)

  • Carrier free

    Anti-NFAT2 antibody [7A6] - BSA and Azide free

关键信息

宿主种属

Mouse

克隆

Monoclonal

克隆号

7A6

亚型

IgG1

轻链类型

kappa

不含载体蛋白

No

反应种属

Human

应用

IHC-P, WB, Flow Cyt (Intra)

applications

免疫原

The exact immunogen used to generate this antibody is proprietary information.

反应性数据

{ "title": "Reactivity Data", "filters": { "stats": ["", "Species", "Dilution Info", "Notes"], "tabs": { "all-applications": {"fullname" : "All Applications", "shortname": "All Applications"}, "FlowCytIntra" : {"fullname" : "Flow Cytometry (Intracellular)", "shortname":"Flow Cyt (Intra)"}, "WB" : {"fullname" : "Western blot", "shortname":"WB"}, "IHCP" : {"fullname" : "Immunohistochemistry (Formalin/PFA-fixed paraffin-embedded sections)", "shortname":"IHC-P"} }, "product-promise": { "all": "all", "testedAndGuaranteed": "tested", "guaranteed": "expected", "predicted": "predicted", "notRecommended": "not-recommended" } }, "values": { "Human": { "FlowCytIntra-species-checked": "testedAndGuaranteed", "FlowCytIntra-species-dilution-info": "1 µg for 10^6 Cells", "FlowCytIntra-species-notes": "<p><a href='/products/primary-antibodies/mouse-igg1-kappa-monoclonal-15-6e10a7-isotype-control-ab170190'>ab170190</a> - Mouse monoclonal IgG1, is suitable for use as an isotype control with this antibody.</p>", "WB-species-checked": "testedAndGuaranteed", "WB-species-dilution-info": "", "WB-species-notes": "<p></p>", "IHCP-species-checked": "testedAndGuaranteed", "IHCP-species-dilution-info": "", "IHCP-species-notes": "<p></p>" }, "Mouse": { "FlowCytIntra-species-checked": "predicted", "FlowCytIntra-species-dilution-info": "", "FlowCytIntra-species-notes": "", "WB-species-checked": "predicted", "WB-species-dilution-info": "", "WB-species-notes": "", "IHCP-species-checked": "predicted", "IHCP-species-dilution-info": "", "IHCP-species-notes": "" }, "Rat": { "FlowCytIntra-species-checked": "predicted", "FlowCytIntra-species-dilution-info": "", "FlowCytIntra-species-notes": "", "WB-species-checked": "predicted", "WB-species-dilution-info": "", "WB-species-notes": "", "IHCP-species-checked": "predicted", "IHCP-species-dilution-info": "", "IHCP-species-notes": "" }, "Hamster": { "FlowCytIntra-species-checked": "predicted", "FlowCytIntra-species-dilution-info": "", "FlowCytIntra-species-notes": "", "WB-species-checked": "predicted", "WB-species-dilution-info": "", "WB-species-notes": "", "IHCP-species-checked": "predicted", "IHCP-species-dilution-info": "", "IHCP-species-notes": "" }, "Primates": { "FlowCytIntra-species-checked": "predicted", "FlowCytIntra-species-dilution-info": "", "FlowCytIntra-species-notes": "", "WB-species-checked": "predicted", "WB-species-dilution-info": "", "WB-species-notes": "", "IHCP-species-checked": "predicted", "IHCP-species-dilution-info": "", "IHCP-species-notes": "" } } }

产品详情

This monoclonal antibody is manufactured by Abcam. If you require this antibody in a particular buffer formulation or a particular conjugate for your experiments, please contact orders@abcam.com or you can find more information here.

性能和储存信息

形式
Liquid
纯化工艺
Affinity purification
存储溶液
Preservative: 0.05% Sodium azide Constituents: PBS
运输条件
Blue Ice
推荐的短期储存时间
1-2 weeks
推荐的短期储存条件
+4°C
推荐的长期储存条件
-20°C
分装信息
Upon delivery aliquot
储存信息
Avoid freeze / thaw cycle

补充信息

This supplementary information is collated from multiple sources and compiled automatically.

NFAT2 also known as NFATc1 is a transcription factor with a mass of approximately 100 kDa. It belongs to the Nuclear Factor of Activated T-cells (NFAT) family which plays significant roles in gene expression regulation. NFAT2 is expressed in T-cells B-cells and cardiac muscle tissues. It is activated through dephosphorylation by the enzyme calcineurin allowing it to translocate into the nucleus. NFAT2 binds to specific DNA motifs to regulate the transcription of target genes impacting various cellular processes.
Biological function summary

NFAT2 plays a significant role in the regulation of immune responses and cardiac hypertrophy. It functions as part of a complex with AP-1 (Activator Protein-1) during T-cell activation integrating signals necessary for cytokine production and immune cell differentiation. In cardiac cells NFAT2 influences the expression of genes involved in hypertrophic growth. NFAT2 contributes to the development and function of the immune system by modulating critical immune pathways and cellular proliferation.

Pathways

NFAT2 serves a vital function in the calcineurin-NFAT signaling pathway. This pathway is important for T-cell activation and is triggered by increased intracellular calcium levels leading to dephosphorylation of NFAT2. The dephosphorylated NFAT2 cooperates with proteins such as AP-1 to induce expression of cytokines like interleukin-2. NFAT2 is also linked with the MAPK signaling pathway which affects cellular proliferation and differentiation. Together these pathways highlight the integral role of NFAT2 in immune system function and cardiac development.

NFAT2 has strong connections to autoimmune diseases and cardiac hypertrophy. Aberrations in NFAT2 activity and regulation are associated with autoimmune conditions due to its central role in immune response modulation. In cardiac hypertrophy heightened NFAT2 activity may lead to pathological enlargement of heart tissue. The protein has interactions with calcineurin which also influences these conditions. Understanding these relationships helps in exploring therapeutic targets for managing immune-related diseases and cardiac dysfunctions.

产品实验方案

For this product, it's our understanding that no specific protocols are required. You can visit:

靶点信息

Plays a role in the inducible expression of cytokine genes in T-cells, especially in the induction of the IL-2 or IL-4 gene transcription. Also controls gene expression in embryonic cardiac cells. Could regulate not only the activation and proliferation but also the differentiation and programmed death of T-lymphocytes as well as lymphoid and non-lymphoid cells (PubMed : 10358178). Required for osteoclastogenesis and regulates many genes important for osteoclast differentiation and function (By similarity).
See full target information NFATC1

文献 (57)

Recent publications for all applications. Explore the full list and refine your search

Probiotics and antimicrobial proteins : PubMed41026405

2025

Lacticaseibacillus rhamnosus LGG Suppresses Osteoclastogenesis via TLR6/NF-κB Modulation and Attenuates Ovariectomy-Induced Bone Loss in Mice.

Applications

Unspecified application

Species

Unspecified reactive species

Kangjun Xiong,Jianghua Li,Yaqing Liu,Yang Pan,Yiping Huang,Dongdong Zhan,Lutong Zhang,Ming Tang,Jing Li,Haohao Sun

Chinese medicine 19:91 PubMed38956695

2024

Angelicin improves osteoporosis in ovariectomized rats by reducing ROS production in osteoclasts through regulation of the KAT6A/Nrf2 signalling pathway.

Applications

Unspecified application

Species

Unspecified reactive species

Xiao-Feng Liu,Yi-Tao Liao,Jia-Hao Shao,Dan-Dan He,Zhi-Hong Fan,Ye-Nan Xu,Chao Li,Xian Zhang

Cell death discovery 10:283 PubMed38871699

2024

Heat shock protein 90α reduces CD8 T cell exhaustion in acute lung injury induced by lipopolysaccharide.

Applications

Unspecified application

Species

Unspecified reactive species

Lei Yan,Yumei Chen,Yilin Yang,Yi Han,Chaoyang Tong

Frontiers in endocrinology 14:1234563 PubMed38034017

2023

Aconine attenuates osteoclast-mediated bone resorption and ferroptosis to improve osteoporosis via inhibiting NF-κB signaling.

Applications

Unspecified application

Species

Unspecified reactive species

Chunchun Xue,Huan Luo,Libo Wang,Qing Deng,Wenyun Kui,Weiwei Da,Lin Chen,Shuang Liu,Yongpeng Xue,Jiafan Yang,Lingxing Li,Wenlan Du,Qi Shi,Xiaofeng Li

Journal of traditional Chinese medicine = Chung i tsa chih ying wen pan 43:1103-1109 PubMed37946472

2023

Electroacupuncture stimulating Zusanli (ST36), Sanyinjiao (SP6) in mice with collagen-induced arthritis leads to adenosine A2A receptor-mediated alteration of p38α mitogen-activated protein kinase signaling and inhibition of osteoclastogenesis.

Applications

Unspecified application

Species

Unspecified reactive species

D U Zhongheng,Cong Wenjie,Tang Kejing,Zheng Qiqi,Song Zhiwei,Chen Yong,Yang Su,Zhang Chunwu,Y E Tianshen

Journal of orthopaedic surgery and research 18:492 PubMed37434265

2023

CircZNF367 promotes osteoclast differentiation and osteoporosis by interacting with FUS to maintain CRY2 mRNA stability.

Applications

Unspecified application

Species

Unspecified reactive species

Mingsi Deng,Zhengguang Wang,Jia Luo,Heng Cao,Yong Li,Liangjian Chen,Gengyan Liu

Journal of translational medicine 21:173 PubMed36870952

2023

The spatiotemporal matching pattern of Ezrin/Periaxin involved in myoblast differentiation and fusion and Charcot-Marie-Tooth disease-associated muscle atrophy.

Applications

Unspecified application

Species

Unspecified reactive species

Ruo-Nan Zhang,Xin Bao,Yun Liu,Yan Wang,Xing-Yuan Li,Ge Tan,Magdaleena Naemi Mbadhi,Wei Xu,Qian Yang,Lu-Yuan Yao,Long Chen,Xiao-Ying Zhao,Chang-Qing Hu,Jing-Xuan Zhang,Hong-Tao Zheng,Yan Wu,Shan Li,Shao-Juan Chen,Shi-You Chen,Jing Lv,Liu-Liu Shi,Jun-Ming Tang

Cellular and molecular gastroenterology and hepatology 15:1219-1246 PubMed36758798

2023

NFATc1 Is a Central Mediator of EGFR-Induced ARID1A Chromatin Dissociation During Acinar Cell Reprogramming.

Applications

Unspecified application

Species

Unspecified reactive species

Zhe Zhang,Xin Wang,Feda H Hamdan,Anna Likhobabina,Shilpa Patil,Lena Aperdannier,Madhobi Sen,Jacobe Traub,Albrecht Neesse,André Fischer,Argyris Papantonis,Shiv K Singh,Volker Ellenrieder,Steven A Johnsen,Elisabeth Hessmann

Scientific reports 13:436 PubMed36624121

2023

Continuous exposure to isoprenaline reduced myotube size by delaying myoblast differentiation and fusion through the NFAT-MEF2C signaling pathway.

Applications

Unspecified application

Species

Unspecified reactive species

Jing Yue,Wei Xu,Li Xiang,Shao-Juan Chen,Xin-Yuan Li,Qian Yang,Ruo-Nan Zhang,Xin Bao,Yan Wang,MagdaleenaNaemi Mbadhi,Yun Liu,Lu-Yuan Yao,Long Chen,Xiao-Ying Zhao,Chang-Qing Hu,Jing-Xuan Zhang,Hong-Tao Zheng,Yan Wu,Shi-You Chen,Shan Li,Jing Lv,Liu-Liu Shi,Jun-Ming Tang

Experimental and therapeutic medicine 25:49 PubMed36588811

2023

Proliferation, apoptosis and invasion of human lung cancer cells are associated with NFATc1.

Applications

Unspecified application

Species

Unspecified reactive species

Fenghai Ren,Kaibin Zhu,Yanbo Wang,Fucheng Zhou,Sainan Pang,Lantao Chen
View all publications

Abcam Product Promise

我们致力于为您的研究提供高质量的试剂,为您科研的每一步提供支持。若我们的产品未能达到预期性能,我们向您提供 Abcam Product Promise 保障。
详情请参阅我们的条款与条件。

Please note: All products are 'FOR RESEARCH USE ONLY. NOT FOR USE IN DIAGNOSTIC OR THERAPEUTIC PROCEDURES'.

For licensing inquiries, please contact partnerships@abcam.com