JavaScript is disabled in your browser. Please enable JavaScript to view this website.
AB207297

重组Anti-NF-kB p65抗体[E379] - BSA and Azide free

Anti-NF-kB p65 antibody [E379] - BSA and Azide free

  • BOND RX™ Validated
  • RabMAb
  • Recombinant
  • KO Validated
  • 了解详情

3

(1 Review)

|

(96 Publications)

Rabbit Recombinant Monoclonal NF-kB p65 antibody. Carrier free. Suitable for IHC-P, ICC/IF, IP, WB and reacts with Mouse, Human samples. Cited in 96 publications.

查看别名

NFKB3, RELA, Transcription factor p65, Nuclear factor NF-kappa-B p65 subunit, Nuclear factor of kappa light polypeptide gene enhancer in B-cells 3

16 Images
Immunohistochemistry (Formalin/PFA-fixed paraffin-embedded sections) - Anti-NF-kB p65 antibody [E379] - BSA and Azide free (AB207297)
  • IHC-P

Lab

Immunohistochemistry (Formalin/PFA-fixed paraffin-embedded sections) - Anti-NF-kB p65 antibody [E379] - BSA and Azide free (AB207297)

This data was produced using the same antibody clone but in a different formulation containing PBS, sodium azide, glycerol and BSA (ab32536).

Immunohistochemical analysis of formalin fixed paraffin embedded human tonsil labelling NF-kB p65 with ab32536 at a concentration of 0.05 µg/ml. The immunostaining was performed on a Ventana DISCOVERY ULTRA (Roche Tissue Diagnostics) instrument with a OptiView DAB IHC Detection Kit. Heat mediated antigen retrieval was performed with DISCOVERY cell conditioning solution (CC1) 100°C, pH8.5 for 32mins.

ab955 Anti-NF-kB p65 antibody [E379] was incubated for 16mins at 37°C. Sections were counterstained with Hematoxylin II. Image inset shows absence of staining in secondary antibody only control.

Customers are encouraged to optimise antigen retrieval conditions, antibody concentration, incubation times and temperature for best results in their own IHC assay workflow (automated and manual)

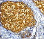
Immunohistochemistry (Formalin/PFA-fixed paraffin-embedded sections) - Anti-NF-kB p65 antibody [E379] - BSA and Azide free (AB207297)
  • IHC-P

Supplier Data

Immunohistochemistry (Formalin/PFA-fixed paraffin-embedded sections) - Anti-NF-kB p65 antibody [E379] - BSA and Azide free (AB207297)

This data was generated using the same anti-NF-kB p65 antibody clone, E379, in a different buffer formulation (ab32536).

Immunohistochemical analysis of paraffin-embedded Human tonsil tissue labeling NF-kB p65 with ab32536 at 1/5000 (0.098 ug/ml) dilution followed by a ready to use LeicaDS9800 (Bond™ Polymer Refine Detection). Cytoplasmic staining on human tonsil. The section was incubated with ab32536 for 30 mins at room temperature. The immunostaining was performed on a Leica Biosystems BOND® RX instrument. Counterstained with Hematoxylin.

Secondary antibody only control : Secondary antibody is a ready to use LeicaDS9800 (Bond™ Polymer Refine Detection).

Heat mediated antigen retrieval with Citrate buffer (pH 6.0, epitope retrieval solution 1) for 20 mins

Immunohistochemistry (Formalin/PFA-fixed paraffin-embedded sections) - Anti-NF-kB p65 antibody [E379] - BSA and Azide free (AB207297)
  • IHC-P

Supplier Data

Immunohistochemistry (Formalin/PFA-fixed paraffin-embedded sections) - Anti-NF-kB p65 antibody [E379] - BSA and Azide free (AB207297)

This data was generated using the same anti-NF-kB p65 antibody clone, E379, in a different buffer formulation (ab32536).

Immunohistochemical analysis of paraffin-embedded Human prostatic hyperplasia tissue labeling NF-kB p65 with ab32536 at 1/5000 (0.098 ug/ml) dilution followed by a ready to use LeicaDS9800 (Bond™ Polymer Refine Detection). Cytoplasmic staining on human prostatic hyperplasia. The section was incubated with ab32536 for 30 mins at room temperature. The immunostaining was performed on a Leica Biosystems BOND® RX instrument. Counterstained with Hematoxylin.

Secondary antibody only control : Secondary antibody is a ready to use LeicaDS9800 (Bond™ Polymer Refine Detection).

Heat mediated antigen retrieval with Citrate buffer (pH 6.0, epitope retrieval solution 1) for 20 mins

Immunocytochemistry/ Immunofluorescence - Anti-NF-kB p65 antibody [E379] - BSA and Azide free (AB207297)
  • ICC/IF

Unknown

Immunocytochemistry/ Immunofluorescence - Anti-NF-kB p65 antibody [E379] - BSA and Azide free (AB207297)

Immunofluorescent staining of HeLa cells using anti-NF-kB p65 Rabbit Monoclonal Antibody ( unpurified ab32536)

This data was developed using the same antibody clone in a different buffer formulation containing PBS, BSA, glycerol, and sodium azide (ab32536).

Immunohistochemistry (Formalin/PFA-fixed paraffin-embedded sections) - Anti-NF-kB p65 antibody [E379] - BSA and Azide free (AB207297)
  • IHC-P

Unknown

Immunohistochemistry (Formalin/PFA-fixed paraffin-embedded sections) - Anti-NF-kB p65 antibody [E379] - BSA and Azide free (AB207297)

Immunohistochemical analysis of paraffin-embedded human Breast carcinoma using unpurified anti-NF-kB p65 Rabbit Monoclonal Antibody

This data was developed using the same antibody clone in a different buffer formulation containing PBS, BSA, glycerol, and sodium azide (ab32536).

Immunocytochemistry/ Immunofluorescence - Anti-NF-kB p65 antibody [E379] - BSA and Azide free (AB207297)
  • ICC/IF

Lab

Immunocytochemistry/ Immunofluorescence - Anti-NF-kB p65 antibody [E379] - BSA and Azide free (AB207297)

Clone E379 (ab207297) has been successfully conjugated by Abcam. This image was generated using Anti-NF-kB p65 antibody [E379] (Alexa Fluor® 488). Please refer to ab190205 for protocol details.

ab190205 staining NF-kB p65 in HeLa cells. The cells were fixed with 100% methanol (5 min), permeabilized in 0.1% Triton X-100 for 5 minutes and then blocked in 1% BSA/10% normal goat serum/0.3M glycine in 0.1%PBS-Tween for 1h. The cells were then incubated with ab190205 at a working dilution of 1 in 50 (shown in green) and ab195889, Mouse monoclonal [DM1A] to alpha Tubulin (Alexa Fluor® 594, shown in red) at a dilution of 1 in 250 overnight at +4°C. Nuclear DNA was labelled in blue with DAPI.

This product also gave a positive signal in 4% formaldehyde (10 min) fixed HeLa cells under the same testing conditions.

Image was taken with a confocal microscope (Leica-Microsystems, TCS SP8).

Immunocytochemistry/ Immunofluorescence - Anti-NF-kB p65 antibody [E379] - BSA and Azide free (AB207297)
  • ICC/IF

Unknown

Immunocytochemistry/ Immunofluorescence - Anti-NF-kB p65 antibody [E379] - BSA and Azide free (AB207297)

Clone E379 (ab207297) has been successfully conjugated by Abcam. This image was generated using Anti-NF-kB p65 antibody [E379] (PE). Please refer to ab208750 for protocol details.

ab208750 staining NF-kB p65 in HeLa cells. The cells were fixed with 4% formaldehyde (10 min), permeabilized with 0.1% Triton X-100 for 5 minutes and then blocked with 1% BSA/10% normal goat serum/0.3M glycine in 0.1% PBS-Tween for 1h. The cells were then incubated overnight at +4°C with ab208750 at 1/500 dilution (Pseudocolored in green) and ab195884, Rat monoclonal to Tubulin (Alexa Fluor® 647), at 1/250 dilution (shown in red). Nuclear DNA was labelled with DAPI (shown in blue).

Image was taken with a confocal microscope (Leica-Microsystems, TCS SP8).

This product also gave a positive signal under the same testing conditions in HeLa cells fixed with 100% methanol (5min).

Immunocytochemistry/ Immunofluorescence - Anti-NF-kB p65 antibody [E379] - BSA and Azide free (AB207297)
  • ICC/IF

Lab

Immunocytochemistry/ Immunofluorescence - Anti-NF-kB p65 antibody [E379] - BSA and Azide free (AB207297)

Clone E379 (ab207297) has been successfully conjugated by Abcam. This image was generated using Anti-NF-kB p65 antibody [E379] (Alexa Fluor® 647). Please refer to ab190589 for protocol details.

ab190589 staining NF-kB p65 in HeLa cells. The cells were fixed with 4% formaldehyde (10 min), permeabilized in 0.1% Triton X-100 for 5 minutes and then blocked in 1% BSA/10% normal goat serum/0.3M glycine in 0.1% PBS-Tween for 1h. The cells were then incubated with ab190589 at a working dilution of 1 in 100 (shown in red) and ab195887, Mouse monoclonal [DM1A] to alpha Tubulin (Alexa Fluor® 488, shown in green) at 2µg/ml overnight at +4°C. Nuclear DNA was labelled in blue with DAPI.

This product also gave a positive signal in 100% methanol (5 min) fixed HeLa cells under the same testing conditions.

Image was taken with a confocal microscope (Leica-Microsystems, TCS SP8).

Immunocytochemistry/ Immunofluorescence - Anti-NF-kB p65 antibody [E379] - BSA and Azide free (AB207297)
  • ICC/IF

PubMed

Immunocytochemistry/ Immunofluorescence - Anti-NF-kB p65 antibody [E379] - BSA and Azide free (AB207297)

Immunocytochemistry/ Immunofluorescence analysis of human cancer cells labeling NF-kB p65 with unpurified ab32536. Briefly, the tested cells were seeded on coverslips treated with HCl and ethanol, and autoclaved prior to use. Immunostaining of the p65 subunit of NF-κB was done by permeabilizing the cells with Triton X-10, then by treating the cells with anti-NF-κB p65 rabbit monoclonal primary antibody [E379] (ab32536), followed by Alexa Fluor® 488 Donkey anti-rabbit IgG secondary antibody. Nuclei of cells were stained with DAPI. Images were acquired using fluorescence microscope.

This data was developed using the same antibody clone in a different buffer formulation containing PBS, BSA, glycerol, and sodium azide (ab32536).

Image from Ali Ahmed Atef Ahmed et al. PLoS ONE 11.4 (2016): e0154278. Fig 8. doi: 10.1371/journal.pone.0154278.

Immunocytochemistry/ Immunofluorescence - Anti-NF-kB p65 antibody [E379] - BSA and Azide free (AB207297)
  • ICC/IF

Unknown

Immunocytochemistry/ Immunofluorescence - Anti-NF-kB p65 antibody [E379] - BSA and Azide free (AB207297)

Immunocytochemistry/ Immunofluorescence analysis of HeLa (Human cervix adenocarcinoma epithelial cell) cells labeling NF-kB p65 with purified ab32536 at 1 : 100 dilution. Cells were fixed in 100% Methanol. ab150077 Goat anti rabbit IgG(Alexa Fluor® 488) was used as the secondary antibody at 1 : 1000 dilution. DAPI nuclear counterstain. PBS instead of the primary antibody was used as the secondary antibody only control.

This data was developed using the same antibody clone in a different buffer formulation containing PBS, BSA, glycerol, and sodium azide (ab32536).

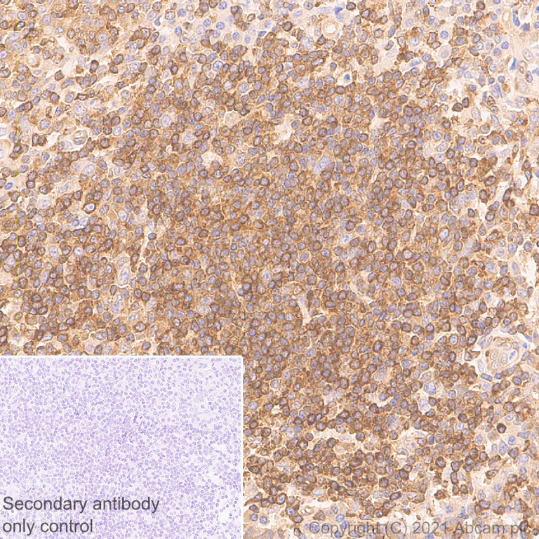
Immunohistochemistry (Formalin/PFA-fixed paraffin-embedded sections) - Anti-NF-kB p65 antibody [E379] - BSA and Azide free (AB207297)
  • IHC-P

Unknown

Immunohistochemistry (Formalin/PFA-fixed paraffin-embedded sections) - Anti-NF-kB p65 antibody [E379] - BSA and Azide free (AB207297)

Immunohistochemistry (Formalin/PFA-fixed paraffin-embedded sections) analysis of Human colon carcinoma tissue sections labeling NF-kB p65 with Purified ab32536 at 1 : 2000 dilution (0.2 μg/ml). Heat mediated antigen retrieval was performed using ab93684 (Tris/EDTA buffer, pH 9.0). Tissue was counterstained with Hematoxylin. ImmunoHistoProbe one step HRP Polymer (ready to use) secondary antibody was used at 1 : 0 dilution. PBS instead of the primary antibody was used as the negative control.

This data was developed using the same antibody clone in a different buffer formulation containing PBS, BSA, glycerol, and sodium azide (ab32536).

Immunoprecipitation - Anti-NF-kB p65 antibody [E379] - BSA and Azide free (AB207297)
  • IP

Unknown

Immunoprecipitation - Anti-NF-kB p65 antibody [E379] - BSA and Azide free (AB207297)

ab32536 (purified) at 1 : 30 dilution (2μg) immunoprecipitating NF-kB p65 in HeLa (Human cervix adenocarcinoma epithelial cell) whole cell lysate.

Lane 1 (input) : HeLa (Human cervix adenocarcinoma epithelial cell) whole cell lysate 10μg
Lane 2 (+) : ab32536 & HeLa (Human cervix adenocarcinoma epithelial cell) whole cell lysate
Lane 3 (-) : Rabbit monoclonal IgG (ab172730) instead of ab32536 in HeLa (Human cervix adenocarcinoma epithelial cell) whole cell lysate

For western blotting, VeriBlot for IP Detection Reagent (HRP) (ab131366) was used for detection at 1 : 1000 dilution.
Blocking and diluting buffer : 5% NFDM/TBST.

This data was developed using the same antibody clone in a different buffer formulation containing PBS, BSA, glycerol, and sodium azide (ab32536).

All lanes:

Immunoprecipitation - Anti-NF-kB p65 antibody [E379] (<a href='/products/primary-antibodies/nf-kb-p65-antibody-e379-ab32536'>ab32536</a>)

Predicted band size: 60 kDa

false

Immunocytochemistry/ Immunofluorescence - Anti-NF-kB p65 antibody [E379] - BSA and Azide free (AB207297)
  • ICC/IF

Supplier Data

Immunocytochemistry/ Immunofluorescence - Anti-NF-kB p65 antibody [E379] - BSA and Azide free (AB207297)

This data was generated using the same anti-NF-kB p65 antibody clone, E379, in a different buffer formulation (ab32536).

Immunofluorescent analysis of 4% Paraformaldehyde-fixed, 0.1% TritonX-100 permeabilized NIH/3T3 cells labelling NF-kB p65 with ab32536 at 1/100 (4.89 ug/ml) dilution, followed by ab150081 Goat Anti-Rabbit IgG H&L (Alexa Fluor® 488) preadsorbed antibody at 1/1000 dilution (Green). Confocal image showing the signal translocated from the cytoplasm into the nucleus in NIH/3T3 cells after the treatment with TNF-alpha (50 ng/ml) for 20 min. ab195889 Anti-alpha Tubulin mouse monoclonal antibody - Microtubule Marker (Alexa Fluor® 594) was used to counterstain tubulin at 1/200 dilution (Red). The Nuclear counterstain was DAPI (Blue).

Secondary antibody only control : Secondary antibody is ab150081 Goat Anti-Rabbit IgG H&L (Alexa Fluor® 488) preadsorbed at 1/1000 dilution in treated (right) and untreated cells (left).

Immunohistochemistry (Formalin/PFA-fixed paraffin-embedded sections) - Anti-NF-kB p65 antibody [E379] - BSA and Azide free (AB207297)
  • IHC-P

Supplier Data

Immunohistochemistry (Formalin/PFA-fixed paraffin-embedded sections) - Anti-NF-kB p65 antibody [E379] - BSA and Azide free (AB207297)

This data was generated using the same anti-NF-kB p65 antibody clone, E379, in a different buffer formulation (ab32536).

Immunohistochemical analysis of paraffin-embedded Mouse spleen tissue labeling NF-kB p65 with ab32536 at 1/5000 (0.098 ug/ml) dilution followed by a ready to use LeicaDS9800 (Bond™ Polymer Refine Detection). Cytoplasmic staining on mouse spleen. The section was incubated with ab32536 for 30 mins at room temperature. The immunostaining was performed on a Leica Biosystems BOND® RX instrument. Counterstained with Hematoxylin.

Secondary antibody only control : Secondary antibody is a ready to use LeicaDS9800 (Bond™ Polymer Refine Detection).

Heat mediated antigen retrieval with Citrate buffer (pH 6.0, epitope retrieval solution 1) for 20 mins

Immunohistochemistry (Formalin/PFA-fixed paraffin-embedded sections) - Anti-NF-kB p65 antibody [E379] - BSA and Azide free (AB207297)
  • IHC-P

Unknown

Immunohistochemistry (Formalin/PFA-fixed paraffin-embedded sections) - Anti-NF-kB p65 antibody [E379] - BSA and Azide free (AB207297)

This IHC data was generated using the same anti-NF-kB p65 antibody clone, E379, in a different buffer formulation (cat# ab32536).

Immunohistochemical analysis of colon sections from mice, staining NF-kB p65 with ab32536.

Antigen retrieval was performed by microwave heating in citrate buffer, pH 6. Sections were incubated overnight with primary antibody (1/250) and staining was detected using ab80437 EXPOSE Rabbit specific HRP/DAB detection IHC kit.

Western blot - Anti-NF-kB p65 antibody [E379] - BSA and Azide free (AB207297)
  • WB

Unknown

Western blot - Anti-NF-kB p65 antibody [E379] - BSA and Azide free (AB207297)

This WB data was generated using the same anti-NF-kB p65 antibody clone, E379, in a different buffer formulation (cat# ab32536).

Lane 1 : Wild-type HAP1 cell lysate (20 μg)
Lane 2 : NF-kB p65 knockout HAP1 cell lysate (20 μg)
Lane 3 : HeLa cell lysate (20 μg)
Lane 4 : A431 cell lysate (20 μg)

Lanes 1 - 4 : Merged signal (red and green). Green - ab32536 observed at 70 kDa. Red - ab8245 loading control, observed at 37 kDa.

ab32536 was shown to specifically react with NF-kB p65 in wild-type HAP1 cells. No band was observed when NF-kB p65 knockout samples were used. Wild-type and NF-kB p65 knockout samples were subjected to SDS-PAGE. ab32536 (NF-kB p65) and ab8245 (loading control to GAPDH) were diluted to 1/50 000 and 1/2000 respectively and incubated overnight at 4°C. Blots were developed with Goat anti-Rabbit IgG H&L (IRDye® 800CW) preadsorbed (ab216773) and Goat anti-Mouse IgG H&L (IRDye® 680RD) preadsorbed (ab216776) secondary antibodies at 1/10 000 dilution for 1 h at room temperature before imaging.

All lanes:

Western blot - Anti-NF-kB p65 antibody [E379] (<a href='/products/primary-antibodies/nf-kb-p65-antibody-e379-ab32536'>ab32536</a>)

Predicted band size: 60 kDa

false

不同偶联物与剂型 (6)

关键信息

宿主种属

Rabbit

克隆

Monoclonal

克隆号

E379

亚型

IgG

不含载体蛋白

Yes

反应种属

Mouse, Human

应用

IP, WB, ICC/IF, IHC-P

applications

免疫原

The exact immunogen used to generate this antibody is proprietary information.

特异性

This antibody recognises NF-kB p65. For WB, this antibody is unsuitable for detecting NF-KB p65 in mouse tissue lysates. The expression of NF-KB p65 is increased by lipopolysaccharides treatment reported by PMID: 18036230. Although some papers support the expression of NF-κB p65 in mouse tissue (PMID: 21479220 and 20008488), This antibody cannot detect band of interest in these mouse tissue.

反应性数据

{ "title": "Reactivity Data", "filters": { "stats": ["", "Species", "Dilution Info", "Notes"], "tabs": { "all-applications": {"fullname" : "All Applications", "shortname": "All Applications"}, "IHCP" : {"fullname" : "Immunohistochemistry (Formalin/PFA-fixed paraffin-embedded sections)", "shortname":"IHC-P"}, "ICCIF" : {"fullname" : "Immunocytochemistry/ Immunofluorescence", "shortname":"ICC/IF"}, "IP" : {"fullname" : "Immunoprecipitation", "shortname":"IP"}, "FlowCyt" : {"fullname" : "Flow Cytometry", "shortname":"Flow Cyt"}, "WB" : {"fullname" : "Western blot", "shortname":"WB"} }, "product-promise": { "all": "all", "testedAndGuaranteed": "tested", "guaranteed": "expected", "predicted": "predicted", "notRecommended": "not-recommended" } }, "values": { "Human": { "IHCP-species-checked": "testedAndGuaranteed", "IHCP-species-dilution-info": "", "IHCP-species-notes": "<p></p>", "ICCIF-species-checked": "testedAndGuaranteed", "ICCIF-species-dilution-info": "", "ICCIF-species-notes": "<p></p>", "IP-species-checked": "testedAndGuaranteed", "IP-species-dilution-info": "", "IP-species-notes": "<p></p>", "FlowCyt-species-checked": "notRecommended", "FlowCyt-species-dilution-info": "", "FlowCyt-species-notes": "<p></p>", "WB-species-checked": "testedAndGuaranteed", "WB-species-dilution-info": "", "WB-species-notes": "<p></p>" }, "Mouse": { "IHCP-species-checked": "testedAndGuaranteed", "IHCP-species-dilution-info": "", "IHCP-species-notes": "<p></p>", "ICCIF-species-checked": "testedAndGuaranteed", "ICCIF-species-dilution-info": "", "ICCIF-species-notes": "<p></p>", "IP-species-checked": "notRecommended", "IP-species-dilution-info": "", "IP-species-notes": "<p></p>", "FlowCyt-species-checked": "notRecommended", "FlowCyt-species-dilution-info": "", "FlowCyt-species-notes": "<p></p>", "WB-species-checked": "testedAndGuaranteed", "WB-species-dilution-info": "", "WB-species-notes": "<p></p>" } } }

产品详情

ab207297 is the carrier-free version of ab32536.

Patented technology
Our RabMAb® technology is a patented hybridoma-based technology for making rabbit monoclonal antibodies. For details on our patents, please refer to RabMAb® patents.

What are the advantages of a recombinant monoclonal antibody?
This product is a recombinant monoclonal antibody, which offers several advantages including:

  • - High batch-to-batch consistency and reproducibility
  • - Improved sensitivity and specificity
  • - Long-term security of supply
  • - Animal-free batch production

For more information, read more on recombinant antibodies.

Species reactivity
Rat: We have preliminary internal testing data to indicate this antibody may not react with this species.
Please contact us for more information.

Conjugation ready
Our carrier-free antibodies are typically supplied in a PBS-only formulation, purified and free of BSA, sodium azide and glycerol. This conjugation-ready format is designed for use with fluorochromes, metal isotopes, oligonucleotides, and enzymes, which makes them ideal for antibody labelling, functional and cell-based assays, flow-based assays (e.g. mass cytometry) and Multiplex Imaging applications.

Use our conjugation kits for antibody conjugates that are ready-to-use in as little as 20 minutes with 1 minute hands-on-time and 100% antibody recovery: available for fluorescent dyes, HRP, biotin and gold.

Compatibility
This product is compatible with the Maxpar® Antibody Labeling Kit from Fluidigm, without the need for antibody preparation. Maxpar® is a trademark of Fluidigm Canada Inc.

性能和储存信息

形式
Liquid
纯化工艺
Affinity purification Protein A
存储溶液
pH: 7.2 - 7.4 Constituents: PBS
运输条件
Blue Ice
推荐的短期储存条件
+4°C
推荐的长期储存条件
+4°C
储存信息
Do Not Freeze

补充信息

This supplementary information is collated from multiple sources and compiled automatically.

NF-kB p65 also known as RelA is a significant component of the NF-kB protein complex. This complex usually involves a molecular weight for p65 of approximately 65 kDa. NF-kB p65 is mechanistically a transcription factor that regulates genes involved in inflammation cell survival and immune response. Expression of p65 is widely seen in various cell types including immune cells and epithelial cells suggesting its role in numerous physiological processes.
Biological function summary

NF-kB p65 acts as part of the larger NF-kB complex usually forming a heterodimer with other family members like p50. This complex translocates to the nucleus upon activation where it binds specific DNA sequences to regulate gene expression. The p65 subunit is essential for transactivating target genes involved in immune and inflammatory responses. Its regulation is important for proper cellular functioning especially in the maintenance of immune homeostasis and inflammatory response.

Pathways

NF-kB p65 participates in critical pathways like the NF-kB signaling and Toll-like receptor pathways. These pathways are fundamental for initiating immune responses and contribute to the regulation of apoptosis and cellular stress responses. In the context of these pathways the IKK complex plays a pivotal role in NF-kB activation leading to the phosphorylation and subsequent degradation of inhibitors that retain NF-kB p65 in the cytoplasm therefore allowing its movement to the nucleus.

NF-kB p65 is implicated in conditions such as cancer and autoimmune diseases. Its dysregulation can lead to persistent activation of inflammatory pathways contributing to tumorigenesis and chronic inflammation. In the context of these diseases proteins such as the p50 subunit and the IKK complex are often involved reflecting the importance of tight regulation of NF-kB signaling in preventing pathological conditions.

产品实验方案

For this product, it's our understanding that no specific protocols are required. You can visit:

靶点信息

NF-kappa-B is a pleiotropic transcription factor present in almost all cell types and is the endpoint of a series of signal transduction events that are initiated by a vast array of stimuli related to many biological processes such as inflammation, immunity, differentiation, cell growth, tumorigenesis and apoptosis. NF-kappa-B is a homo- or heterodimeric complex formed by the Rel-like domain-containing proteins RELA/p65, RELB, NFKB1/p105, NFKB1/p50, REL and NFKB2/p52. The heterodimeric RELA-NFKB1 complex appears to be most abundant one. The dimers bind at kappa-B sites in the DNA of their target genes and the individual dimers have distinct preferences for different kappa-B sites that they can bind with distinguishable affinity and specificity. Different dimer combinations act as transcriptional activators or repressors, respectively. The NF-kappa-B heterodimeric RELA-NFKB1 and RELA-REL complexes, for instance, function as transcriptional activators. NF-kappa-B is controlled by various mechanisms of post-translational modification and subcellular compartmentalization as well as by interactions with other cofactors or corepressors. NF-kappa-B complexes are held in the cytoplasm in an inactive state complexed with members of the NF-kappa-B inhibitor (I-kappa-B) family. In a conventional activation pathway, I-kappa-B is phosphorylated by I-kappa-B kinases (IKKs) in response to different activators, subsequently degraded thus liberating the active NF-kappa-B complex which translocates to the nucleus. The inhibitory effect of I-kappa-B on NF-kappa-B through retention in the cytoplasm is exerted primarily through the interaction with RELA. RELA shows a weak DNA-binding site which could contribute directly to DNA binding in the NF-kappa-B complex. Beside its activity as a direct transcriptional activator, it is also able to modulate promoters accessibility to transcription factors and thereby indirectly regulate gene expression. Associates with chromatin at the NF-kappa-B promoter region via association with DDX1. Essential for cytokine gene expression in T-cells (PubMed : 15790681). The NF-kappa-B homodimeric RELA-RELA complex appears to be involved in invasin-mediated activation of IL-8 expression. Key transcription factor regulating the IFN response during SARS-CoV-2 infection (PubMed : 33440148).
See full target information RELA

文献 (96)

Recent publications for all applications. Explore the full list and refine your search

Oncology reports 54: PubMed40970359

2025

Hydroxypropyl‑β‑cyclodextrin/thymoquinone inclusion complex inhibits non‑small cell lung cancer progression through NF‑κB‑mediated ferroptosis.

Applications

Unspecified application

Species

Unspecified reactive species

Wei-Wei Zheng,Jia-Xuan Ding,Yang-Xin Liang,Ling Ye

Journal of gastrointestinal oncology 16:1443-1460 PubMed40950333

2025

NKAP overexpression promotes gastric cancer immune escape by inducing IL-10 secretion from mature dendritic cells during anti-PD-L1 therapy.

Applications

Unspecified application

Species

Unspecified reactive species

Bingna Yan,Pei Zhang,Qianhe Zu,Shan Liu,Pan Wang,Yaning Wei,Jialin Liu,Shun Zhang,Yanan Wang,Zhe Han

PloS one 20:e0323598 PubMed40378103

2025

Minocycline inhibits rosacea-like inflammation through the TLR4-mediated NF-κB signaling pathway in vivo and in vitro.

Applications

Unspecified application

Species

Unspecified reactive species

Piyan Hua,Ying Tu,Zhenghui Yang,Yunting He,Li He,Qiuyan Yao,Hua Gu

Theranostics 15:5719-5737 PubMed40365290

2025

A bifunctional fusion membrane-based biocompatible nanovaccine to potentiate cancer immunotherapy.

Applications

Unspecified application

Species

Unspecified reactive species

Wei Fu,Xing Cai,Jinru Yang,Lian Yang,Yaoyu Pan,Zhan Tuo

Molecular medicine reports 31: PubMed40084693

2025

Exosomes derived from baicalin‑pretreated mesenchymal stem cells mitigate atherosclerosis by regulating the SIRT1/NF‑κB signaling pathway.

Applications

Unspecified application

Species

Unspecified reactive species

Xiaochun Yang,Wei Wu,Weitian Huang,Junfeng Fang,Yunli Chen,Xiaoyan Chen,Xiaolan Lin,Yanbin He

PeerJ 13:e18876 PubMed39897488

2025

Dihydromyricetin inhibits injury caused by ischemic stroke through the lncRNA SNHG17/miR-452-3p/CXCR4 axis.

Applications

Unspecified application

Species

Unspecified reactive species

Jiacheng Xie,Qiuyue Yang,Xueliang Zeng,Qi Zeng,Hai Xiao

Microbial biotechnology 18:e70083 PubMed39825784

2025

Akkermansia muciniphila Mediated the Preventive Effect of Disulfiram on Acute Liver Injury via PI3K/Akt Pathway.

Applications

Unspecified application

Species

Unspecified reactive species

Ruonan Zhang,Xuewei Sun,Han Lu,Xinrui Zhang,Mingyan Zhang,Xuewen Ji,Xinyi Yu,Chengliang Tang,Zihan Wu,Yinghua Mao,Jin Zhu,Minjun Ji,Zhan Yang

International journal of biological sciences 20:4941-4956 PubMed39309438

2024

Serum amyloid A contributes to radiation-induced lung injury by activating macrophages through FPR2/Rac1/NF-κB pathway.

Applications

Unspecified application

Species

Unspecified reactive species

Xinglong Liu,Yimeng Song,Songling Hu,Yang Bai,Jianghong Zhang,Guomei Tai,Chunlin Shao,Yan Pan

Frontiers in pharmacology 15:1449985 PubMed39263577

2024

Protective effects of insulin on dry eye syndrome via TLR4/NF-κB pathway: based on network pharmacology and experiments validation.

Applications

Unspecified application

Species

Unspecified reactive species

Xiuxiu Yuan,Yu Zhang,Siyi Wang,Zhiyu Du

Experimental and therapeutic medicine 28:373 PubMed39091630

2024

Interference of FZD2 suppresses proliferation, vasculogenic mimicry and stemness in glioma cells via blocking the Notch/NF‑κB signaling pathway.

Applications

Unspecified application

Species

Unspecified reactive species

Yuge Ran,Shuai Han,Dongxue Gao,Xiaobo Chen,Chan Liu
View all publications

Abcam Product Promise

我们致力于为您的研究提供高质量的试剂,为您科研的每一步提供支持。若我们的产品未能达到预期性能,我们向您提供 Abcam Product Promise 保障。
详情请参阅我们的条款与条件。

Please note: All products are 'FOR RESEARCH USE ONLY. NOT FOR USE IN DIAGNOSTIC OR THERAPEUTIC PROCEDURES'.

For licensing inquiries, please contact partnerships@abcam.com