JavaScript is disabled in your browser. Please enable JavaScript to view this website.
AB32536

Anti-NF-kB p65 抗体 [E379]

Anti-NF-kB p65 antibody [E379]

  • BOND RX™ Validated
  • 20ul selling size
  • RabMAb
  • Recombinant
  • KO Validated
  • 了解详情

4

(15 Reviews)

|

(766 Publications)

Anti-NF-kB p65 antibody [E379] (ab32536) is a rabbit monoclonal antibody detecting NF-kB p65 in Western Blot, IP, IHC-P, ICC/IF. Suitable for Human, Mouse.

- KO validated for confirmed specificity
- Biophysical QC for unrivalled batch-batch consistency
- Over 430 publications
- Trusted since 2006

查看别名

NFKB3, RELA, Transcription factor p65, Nuclear factor NF-kappa-B p65 subunit, Nuclear factor of kappa light polypeptide gene enhancer in B-cells 3

19 Images
Immunohistochemistry (Formalin/PFA-fixed paraffin-embedded sections) - Anti-NF-kB p65 antibody [E379] (AB32536)
  • IHC-P

PubMed

Immunohistochemistry (Formalin/PFA-fixed paraffin-embedded sections) - Anti-NF-kB p65 antibody [E379] (AB32536)

MMP3 and NFκB are co-localized in human atherosclerotic plaques.

Sections (4 μm) of paraffin embedded tissue blocks of atherosclerotic plaques were subjected to double immunostaining of MMP3 and p50 (A, B, and C) or MMP3 and p65 (D, E and F, shown), using rabbit polyclonal NFκB p50 and MMP3 antibodies (Abcam) and ab32536, respectively, and goat anti-rabbit secondary antibodies.

The double immunostaining was visualized with Liquid Permanent Red chromogen and Vector Blue chromogen. Pink colour indicates expression of p50 (A, B and C) or p65 (D, E and F). Blue colour indicates expression of MMP3 (A, B, C, D, E and F.

Arrow indicates cell co-expressing MMP3 with p50 (B and C) or with p65 (E and F).

200× magnification in A and D; 400× magnification in B, C, E and F.

Souslova et al PLoS One. 2010 Mar 25;5(3):e9902. doi: 10.1371/journal.pone.0009902. Fig 2. Reproduced under the Creative Commons license http://creativecommons.org/licenses/by/4.0/

Immunohistochemistry (Formalin/PFA-fixed paraffin-embedded sections) - Anti-NF-kB p65 antibody [E379] (AB32536)
  • IHC-P

Lab

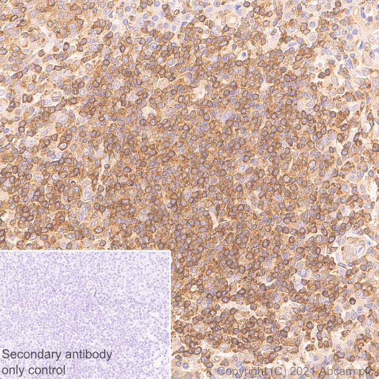
Immunohistochemistry (Formalin/PFA-fixed paraffin-embedded sections) - Anti-NF-kB p65 antibody [E379] (AB32536)

Immunohistochemical analysis of formalin fixed paraffin embedded human tonsil labelling NF-kB p65 with ab32536 at a concentration of 0.05 µg/ml. The immunostaining was performed on a Ventana DISCOVERY ULTRA (Roche Tissue Diagnostics) instrument with a OptiView DAB IHC Detection Kit. Heat mediated antigen retrieval was performed with DISCOVERY cell conditioning solution (CC1) 100°C, pH8.5 for 32mins.

ab955 Anti-NF-kB p65 antibody [E379] was incubated for 16mins at 37°C. Sections were counterstained with Hematoxylin II. Image inset shows absence of staining in secondary antibody only control.

Customers are encouraged to optimise antigen retrieval conditions, antibody concentration, incubation times and temperature for best results in their own IHC assay workflow (automated and manual)

Immunocytochemistry/ Immunofluorescence - Anti-NF-kB p65 antibody [E379] (AB32536)
  • ICC/IF

PubMed

Immunocytochemistry/ Immunofluorescence - Anti-NF-kB p65 antibody [E379] (AB32536)

Immunocytochemistry/ Immunofluorescence analysis of human cancer cells labeling NF-kB p65 with unpurified ab32536 (Middle panel).

Briefly, the tested cells were seeded on coverslips treated with HCl and ethanol, and autoclaved prior to use. Immunostaining of the p65 subunit of NF-κB was done by permeabilizing the cells with Triton X-10, then by treating the cells with anti-NF-κB p65 rabbit monoclonal primary antibody [E379] (ab32536), followed by Alexa Fluor® 488 Donkey anti-rabbit IgG secondary antibody. Nuclei of cells were stained with DAPI (Left panel).

Merge (Right panel).

Images were acquired using fluorescence microscope.

Image from Ali Ahmed Atef Ahmed et al. PLoS ONE 11.4 (2016): e0154278. Fig 8. doi: 10.1371/journal.pone.0154278.

Immunocytochemistry/ Immunofluorescence - Anti-NF-kB p65 antibody [E379] (AB32536)
  • ICC/IF

Unknown

Immunocytochemistry/ Immunofluorescence - Anti-NF-kB p65 antibody [E379] (AB32536)

Immunocytochemistry/ Immunofluorescence analysis of HeLa (Human cervix adenocarcinoma epithelial cell) cells labeling NF-kB p65 with purified ab32536 at 1 : 100 dilution.

Cells were fixed in 100% methanol. ab150077 Goat anti rabbit IgG(Alexa Fluor® 488) was used as the secondary antibody at 1 : 1000 dilution. DAPI nuclear counterstain.

PBS instead of the primary antibody was used as the secondary antibody only control.

Immunohistochemistry (Formalin/PFA-fixed paraffin-embedded sections) - Anti-NF-kB p65 antibody [E379] (AB32536)
  • IHC-P

Unknown

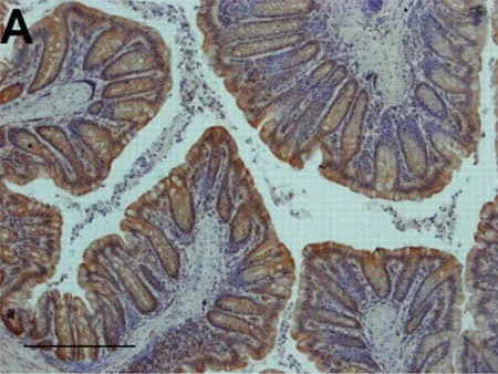
Immunohistochemistry (Formalin/PFA-fixed paraffin-embedded sections) - Anti-NF-kB p65 antibody [E379] (AB32536)

Immunohistochemistry (Formalin/PFA-fixed paraffin-embedded sections) analysis of human colon carcinoma tissue sections labeling NF-kB p65 with Purified ab32536 at 1 : 2000 dilution (0.2 μg/ml).

Heat mediated antigen retrieval was performed using ab93684 (Tris/EDTA buffer, pH 9.0). Tissue was counterstained with hematoxylin. ImmunoHistoProbe one step HRP Polymer (ready to use) secondary antibody was used.

PBS instead of the primary antibody was used as the negative control.

Immunohistochemistry (Formalin/PFA-fixed paraffin-embedded sections) - Anti-NF-kB p65 antibody [E379] (AB32536)
  • IHC-P

Supplier Data

Immunohistochemistry (Formalin/PFA-fixed paraffin-embedded sections) - Anti-NF-kB p65 antibody [E379] (AB32536)

Immunohistochemical analysis of paraffin-embedded Human tonsil tissue labeling NF-kB p65 with ab32536 at 1/5000 (0.098 ug/ml) dilution followed by a ready to use LeicaDS9800 (Bond™ Polymer Refine Detection). Cytoplasmic staining on human tonsil. The section was incubated with ab32536 for 30 mins at room temperature. The immunostaining was performed on a Leica Biosystems BOND® RX instrument. Counterstained with Hematoxylin.

Secondary antibody only control : Secondary antibody is a ready to use LeicaDS9800 (Bond™ Polymer Refine Detection).

Heat mediated antigen retrieval with Citrate buffer (pH 6.0, epitope retrieval solution 1) for 20 mins

Immunohistochemistry (Formalin/PFA-fixed paraffin-embedded sections) - Anti-NF-kB p65 antibody [E379] (AB32536)
  • IHC-P

Supplier Data

Immunohistochemistry (Formalin/PFA-fixed paraffin-embedded sections) - Anti-NF-kB p65 antibody [E379] (AB32536)

Immunohistochemical analysis of paraffin-embedded Human prostatic hyperplasia tissue labeling NF-kB p65 with ab32536 at 1/5000 (0.098 ug/ml) dilution followed by a ready to use LeicaDS9800 (Bond™ Polymer Refine Detection). Cytoplasmic staining on human prostatic hyperplasia. The section was incubated with ab32536 for 30 mins at room temperature. The immunostaining was performed on a Leica Biosystems BOND® RX instrument. Counterstained with Hematoxylin.

Secondary antibody only control : Secondary antibody is a ready to use LeicaDS9800 (Bond™ Polymer Refine Detection).

Heat mediated antigen retrieval with Citrate buffer (pH 6.0, epitope retrieval solution 1) for 20 mins

Immunocytochemistry/ Immunofluorescence - Anti-NF-kB p65 antibody [E379] (AB32536)
  • ICC/IF

PubMed

Immunocytochemistry/ Immunofluorescence - Anti-NF-kB p65 antibody [E379] (AB32536)

NF-κB/p65 nuclear localisation in differentiated THP-1 (Human monocytic leukemia cell line) cells.

Cells were fixed, permeabilized, stained with ab32536 and visualised with Alexa Fluor® 555 goat anti-rabbit IgG (green). The nuclei were counterstained with DAPI (blue). Microscopy images A. Inactive NF-κB/p65 proteins localization in the cytoplasm of the non-stimulated THP-1 cells (top row) and B. Translocated NF-κB/p65 proteins into the nuclei of THP-1 cells following LPS stimulation (bottom row).

Images were acquired for each fluorescence channel, using suitable TRITC and DAPI filters and a 63× objective.

Scale bar : 10μm

Fazalul Rahiman et al PLoS One. 2016 Apr 7;11(4):e0153005. doi: 10.1371/journal.pone.0153005. eCollection 2016. Fig 1. Reproduced under the Creative Commons license http://creativecommons.org/licenses/by/4.0/

Immunoprecipitation - Anti-NF-kB p65 antibody [E379] (AB32536)
  • IP

Unknown

Immunoprecipitation - Anti-NF-kB p65 antibody [E379] (AB32536)

ab32536 (purified) at 1 : 30 dilution (2 μg) immunoprecipitating NF-kB p65 in HeLa (Human cervix adenocarcinoma epithelial cell) whole cell lysate.

Lane 1 (input) : HeLa whole cell lysate 10μg
Lane 2 (+) : ab32536 & HeLa whole cell lysate
Lane 3 (-) : Rabbit monoclonal IgG (ab172730) instead of ab32536 in HeLa whole cell lysate

For western blotting, VeriBlot for IP Detection Reagent (HRP) (ab131366) was used for detection at 1 : 1000 dilution.
Blocking and diluting buffer : 5% NFDM/TBST.

All lanes:

Immunoprecipitation - Anti-NF-kB p65 antibody [E379] (ab32536)

Predicted band size: 60 kDa

false

Immunohistochemistry (Formalin/PFA-fixed paraffin-embedded sections) - Anti-NF-kB p65 antibody [E379] (AB32536)
  • IHC-P

Supplier Data

Immunohistochemistry (Formalin/PFA-fixed paraffin-embedded sections) - Anti-NF-kB p65 antibody [E379] (AB32536)

Immunohistochemical analysis of paraffin-embedded Mouse spleen tissue labeling NF-kB p65 with ab32536 at 1/5000 (0.098 ug/ml) dilution followed by a ready to use LeicaDS9800 (Bond™ Polymer Refine Detection). Cytoplasmic staining on mouse spleen. The section was incubated with ab32536 for 30 mins at room temperature. The immunostaining was performed on a Leica Biosystems BOND® RX instrument. Counterstained with Hematoxylin.

Secondary antibody only control : Secondary antibody is a ready to use LeicaDS9800 (Bond™ Polymer Refine Detection).

Heat mediated antigen retrieval with Citrate buffer (pH 6.0, epitope retrieval solution 1) for 20 mins

Immunohistochemistry (Formalin/PFA-fixed paraffin-embedded sections) - Anti-NF-kB p65 antibody [E379] (AB32536)
  • IHC-P

Unknown

Immunohistochemistry (Formalin/PFA-fixed paraffin-embedded sections) - Anti-NF-kB p65 antibody [E379] (AB32536)

Immunohistochemical analysis of colon sections from mice, staining NF-kB p65 with unpurified ab32536.

Antigen retrieval was performed by microwave heating in citrate buffer, pH 6. Sections were incubated overnight with primary antibody (1/250) and staining was detected using ab80437 EXPOSE Rabbit specific HRP/DAB detection IHC kit.

Immunocytochemistry/ Immunofluorescence - Anti-NF-kB p65 antibody [E379] (AB32536)
  • ICC/IF

Supplier Data

Immunocytochemistry/ Immunofluorescence - Anti-NF-kB p65 antibody [E379] (AB32536)

Immunofluorescent analysis of 4% Paraformaldehyde-fixed, 0.1% TritonX-100 permeabilized NIH/3T3 cells labelling NF-kB p65 with ab32536 at 1/100 (4.89 ug/ml) dilution, followed by ab150081 Goat Anti-Rabbit IgG H&L (Alexa Fluor® 488) preadsorbed antibody at 1/1000 dilution (Green). Confocal image showing the signal translocated from the cytoplasm into the nucleus in NIH/3T3 cells after the treatment with TNF-alpha (50 ng/ml) for 20 min. ab195889 Anti-alpha Tubulin mouse monoclonal antibody - Microtubule Marker (Alexa Fluor® 594) was used to counterstain tubulin at 1/200 dilution (Red). The Nuclear counterstain was DAPI (Blue).

Secondary antibody only control : Secondary antibody is ab150081 Goat Anti-Rabbit IgG H&L (Alexa Fluor® 488) preadsorbed at 1/1000 dilution in treated (right) and untreated cells (left).

Western blot - Anti-NF-kB p65 antibody [E379] (AB32536)
  • WB

Lab

Western blot - Anti-NF-kB p65 antibody [E379] (AB32536)

Blocking/Diluting buffer and concentration : 5% NFDM/TBST

Exposure time : 37 second for Lane1 and 3 seconds for Lanes 2 and 3

Normal brain might express low level of p65 (PMID : 21479220)

All lanes:

Western blot - Anti-NF-kB p65 antibody [E379] (ab32536) at 1/1000 dilution

Lane 1:

Human fetal brain lysates at 20 µg

Lane 2:

Human fetal kidney lysates at 20 µg

Lane 3:

Human fetal lung lysates at 20 µg

Secondary

All lanes:

Western blot - Goat Anti-Rabbit IgG H&L (HRP) (<a href='/products/secondary-antibodies/goat-rabbit-igg-h-l-hrp-ab97051'>ab97051</a>) at 1/20000 dilution

Predicted band size: 60 kDa

Observed band size: 65 kDa

false

Western blot - Anti-NF-kB p65 antibody [E379] (AB32536)
  • WB

Lab

Western blot - Anti-NF-kB p65 antibody [E379] (AB32536)

Blocking and diluting buffer : 5% NFDM/TBST.

All lanes:

Western blot - Anti-NF-kB p65 antibody [E379] (ab32536) at 1/5000 dilution

All lanes:

HeLa (Human cervix adenocarcinoma epithelial cell) whole cell lysates at 15 µg

Secondary

All lanes:

Western blot - Goat Anti-Rabbit IgG H&L (HRP) (<a href='/products/secondary-antibodies/goat-rabbit-igg-h-l-hrp-ab97051'>ab97051</a>) at 1/20000 dilution

Predicted band size: 60 kDa

false

Western blot - Anti-NF-kB p65 antibody [E379] (AB32536)
  • WB

Unknown

Western blot - Anti-NF-kB p65 antibody [E379] (AB32536)

Lane 1 : Wild-type HAP1 cell lysate (20 μg)
Lane 2 : NF-kB p65 knockout HAP1 cell lysate (20 μg)
Lane 3 : HeLa cell lysate (20 μg)
Lane 4 : A431 cell lysate (20 μg)

Lanes 1 - 4 : Merged signal (red and green). Green - ab32536 observed at 70 kDa. Red - ab8245 loading control, observed at 37 kDa.

Unpurified ab32536 was shown to specifically react with NF-kB p65 in wild-type HAP1 cells. No band was observed when NF-kB p65 knockout samples were used. Wild-type and NF-kB p65 knockout samples were subjected to SDS-PAGE. ab32536 (NF-kB p65) and ab8245 (loading control to GAPDH) were diluted to 1/50 000 and 1/2000 respectively and incubated overnight at 4°C. Blots were developed with Goat anti-Rabbit IgG H&L (IRDye® 800CW) preadsorbed (ab216773) and Goat anti-Mouse IgG H&L (IRDye® 680RD) preadsorbed (ab216776) secondary antibodies at 1/10 000 dilution for 1 h at room temperature before imaging.

All lanes:

Western blot - Anti-NF-kB p65 antibody [E379] (ab32536)

Predicted band size: 60 kDa

false

Western blot - Anti-NF-kB p65 antibody [E379] (AB32536)
  • WB

Lab

Western blot - Anti-NF-kB p65 antibody [E379] (AB32536)

Blocking and diluting buffer : 5% NFDM/TBST.

All lanes:

Western blot - Anti-NF-kB p65 antibody [E379] (ab32536) at 1/5000 dilution

All lanes:

MEF (Mouse embryonic fibroblast (immortalized)) whole cell lysates at 15 µg

Secondary

All lanes:

Western blot - Goat Anti-Rabbit IgG H&L (HRP) (<a href='/products/secondary-antibodies/goat-rabbit-igg-h-l-hrp-ab97051'>ab97051</a>) at 1/20000 dilution

Predicted band size: 33 kDa,60 kDa

false

Western blot - Anti-NF-kB p65 antibody [E379] (AB32536)
  • WB

Unknown

Western blot - Anti-NF-kB p65 antibody [E379] (AB32536)

This antibody is unsuitable for detecting mouse tissue lysates.

The expression of NF-KB p65 is increased by lipopolysaccharides treatment reported by PMID : 18036230.

Although some papers support the expression of NF-κB p65 in mouse tissue (PMID : 21479220 and 20008488), ab32536 cannot detect band of interest in these mouse tissue.

All lanes:

Western blot - Anti-NF-kB p65 antibody [E379] (ab32536) at 1000 µg

Lane 1:

Raw264.7 (Mouse Abelson murine leukemia virus-induced tumor macrophage) whole cell lysates at 15 µg

Lane 2:

Raw264.7 (Mouse Abelson murine leukemia virus-induced tumor macrophage) treated with 1ug/ml lipopolysaccharides for 6 hours whole cell lysates at 15 µg

Lane 3:

Mouse brain lysates at 15 µg

Lane 4:

Mouse spleen lysates at 15 µg

Secondary

All lanes:

Western blot - Goat Anti-Rabbit IgG H&L (HRP) (<a href='/products/secondary-antibodies/goat-rabbit-igg-h-l-hrp-ab97051'>ab97051</a>) at 1/20000 dilution

Predicted band size: 60 kDa

false

Exposure time: 3s

Western blot - Anti-NF-kB p65 antibody [E379] (AB32536)
  • WB

AbReview39871****

Western blot - Anti-NF-kB p65 antibody [E379] (AB32536)

Anti-NF-kB p65 [E379] antibody (unpurified ab32536) reactivity with reduced wild type (WT) and p65 knockout (KO) mouse embryonic fibroblast (MEF) lysate.

After SDS-PAGE, membranes were blocked in 5% milk in TBS + 0.1% Tween for 1 hour at 25°C before incubation with unpurified ab32536 (1 : 1,000 dilution in 5% milk TBS + 0.1% Tween) for 16 hours at 4°C. Blots was then incubated with an anti-Rabbit HRP-conjugated secondary antibody before developing with ECL.

All lanes:

Western blot - Anti-NF-kB p65 antibody [E379] (ab32536)

Predicted band size: 48 kDa,60 kDa

Observed band size: 50 kDa,58 kDa,65 kDa,~90 kDa

true

Exposure time: 30s

Image courtesy of an anonymous Abreview

Western blot - Anti-NF-kB p65 antibody [E379] (AB32536)
  • WB

Unknown

Western blot - Anti-NF-kB p65 antibody [E379] (AB32536)

All lanes:

Western blot - Anti-NF-kB p65 antibody [E379] (ab32536) at 1/100000 dilution

All lanes:

HeLa (Human epithelial cell line from cervix adenocarcinoma) cell lysate

Predicted band size: 60 kDa

Observed band size: 65 kDa

false

不同偶联物与剂型 (6)

  • 665 Alexa Fluor® 647

    Alexa Fluor® 647 Anti-NF-kB p65 antibody [E379]

  • Biotin

    Biotin Anti-NF-kB p65 antibody [E379]

  • 578 PE

    PE Anti-NF-kB p65 antibody [E379]

  • Carrier free

    Anti-NF-kB p65 antibody [E379] - BSA and Azide free

  • 519 Alexa Fluor® 488

    Alexa Fluor® 488 Anti-NF-kB p65 antibody [E379]

  • 617 Alexa Fluor® 594

    Alexa Fluor® 594 Anti-NF-kB p65 antibody [E379]

关键信息

宿主种属

Rabbit

克隆

Monoclonal

克隆号

E379

亚型

IgG

不含载体蛋白

No

反应种属

Mouse, Human

应用

IHC-P, IP, WB, ICC/IF

applications

免疫原

The exact immunogen used to generate this antibody is proprietary information.

特异性

This antibody recognises NF-kB p65. For WB, this antibody is unsuitable for detecting NF-KB p65 in mouse tissue lysates. The expression of NF-KB p65 is increased by lipopolysaccharides treatment reported by PMID: 18036230. Although some papers support the expression of NF-kB p65 in mouse tissue (PMID: 21479220 and 20008488), This antibody cannot detect band of interest in these mouse tissue.

反应性数据

{ "title": "Reactivity Data", "filters": { "stats": ["", "Species", "Dilution Info", "Notes"], "tabs": { "all-applications": {"fullname" : "All Applications", "shortname": "All Applications"}, "IHCP" : {"fullname" : "Immunohistochemistry (Formalin/PFA-fixed paraffin-embedded sections)", "shortname":"IHC-P"}, "IP" : {"fullname" : "Immunoprecipitation", "shortname":"IP"}, "FlowCyt" : {"fullname" : "Flow Cytometry", "shortname":"Flow Cyt"}, "WB" : {"fullname" : "Western blot", "shortname":"WB"}, "ICCIF" : {"fullname" : "Immunocytochemistry/ Immunofluorescence", "shortname":"ICC/IF"} }, "product-promise": { "all": "all", "testedAndGuaranteed": "tested", "guaranteed": "expected", "predicted": "predicted", "notRecommended": "not-recommended" } }, "values": { "Human": { "IHCP-species-checked": "testedAndGuaranteed", "IHCP-species-dilution-info": "1/5000", "IHCP-species-notes": "<p></p> Perform heat-mediated antigen retrieval with citrate buffer pH 6 before commencing with IHC staining protocol.", "IP-species-checked": "testedAndGuaranteed", "IP-species-dilution-info": "1/30", "IP-species-notes": "<p><strong>For unpurified use at 1/200. </strong></p><p>We do not guarantee IP for mouse.</p>", "FlowCyt-species-checked": "notRecommended", "FlowCyt-species-dilution-info": "1/20", "FlowCyt-species-notes": "<p><a href='/products/primary-antibodies/rabbit-igg-monoclonal-epr25a-isotype-control-ab172730'>ab172730</a> - Rabbit monoclonal IgG, is suitable for use as an isotype control with this antibody.</p><p><strong>For unpurified use at 1/100.</strong></p>", "WB-species-checked": "testedAndGuaranteed", "WB-species-dilution-info": "1/1000 - 1/100000", "WB-species-notes": "<p>This antibody might not detect target band in mouse tissues.</p>", "ICCIF-species-checked": "testedAndGuaranteed", "ICCIF-species-dilution-info": "1/100", "ICCIF-species-notes": "<p><strong>For unpurified use at 1/250 -1/500.</strong></p>" }, "Mouse": { "IHCP-species-checked": "testedAndGuaranteed", "IHCP-species-dilution-info": "1/5000", "IHCP-species-notes": "<p></p> Perform heat-mediated antigen retrieval with citrate buffer pH 6 before commencing with IHC staining protocol.", "IP-species-checked": "notRecommended", "IP-species-dilution-info": "1/30", "IP-species-notes": "<p><strong>For unpurified use at 1/200. </strong></p><p>We do not guarantee IP for mouse.</p>", "FlowCyt-species-checked": "notRecommended", "FlowCyt-species-dilution-info": "1/20", "FlowCyt-species-notes": "<p><a href='/products/primary-antibodies/rabbit-igg-monoclonal-epr25a-isotype-control-ab172730'>ab172730</a> - Rabbit monoclonal IgG, is suitable for use as an isotype control with this antibody.</p><p><strong>For unpurified use at 1/100.</strong></p>", "WB-species-checked": "testedAndGuaranteed", "WB-species-dilution-info": "1/1000 - 1/100000", "WB-species-notes": "<p>This antibody might not detect target band in mouse tissues.</p>", "ICCIF-species-checked": "notRecommended", "ICCIF-species-dilution-info": "1/100", "ICCIF-species-notes": "<p><strong>For unpurified use at 1/250 -1/500.</strong></p>" }, "Rat": { "IHCP-species-checked": "notRecommended", "IHCP-species-dilution-info": "", "IHCP-species-notes": "", "IP-species-checked": "notRecommended", "IP-species-dilution-info": "", "IP-species-notes": "", "FlowCyt-species-checked": "notRecommended", "FlowCyt-species-dilution-info": "", "FlowCyt-species-notes": "", "WB-species-checked": "notRecommended", "WB-species-dilution-info": "1/1000 - 1/100000", "WB-species-notes": "<p>This antibody might not detect target band in mouse tissues.</p>", "ICCIF-species-checked": "notRecommended", "ICCIF-species-dilution-info": "", "ICCIF-species-notes": "" } } }

产品详情

Abcam recommended secondaries - Goat Anti-Rabbit HRP (ab205718) and Goat Anti-Rabbit Alexa Fluor® 488 (ab150077). Or search our wide range of secondary antibodies for use with your experiment.

Product Specifications
Anti-NF-kB p65 antibody [E379] (ab32536) was developed by Abcam using patented rabbit monoclonal antibody technology and is validated for use in ICC/IF, IHC-P, IP, WB in human, mouse samples.
Anti-NF-kB p65 antibody [E379] (ab32536) specifically detects NF-kB p65 (UniProt ID: Q04206; Molecular weight: 60kDa) and is sold in a convenient trial size to enable initial testing (20 µL) and larger sizes for subsequent scaling up experiments (100 µL and 1 mL).

Quality and Validation
Abcam's high quality manufacturing and validation processes ensure Anti-NF-kB p65 antibody [E379] (ab32536) has high sensitivity and specificity alongside high lot-to-lot consistency and reproducibility.
The specificity of Anti-NF-kB p65 antibody [E379] (ab32536) has been confirmed by testing in knockout samples.
Anti-NF-kB p65 antibody [E379] (ab32536) has been cited over 439 times in peer reviewed journals and is trusted by the scientific community.
Anti-NF-kB p65 antibody [E379] (ab32536) has 15 independent reviews from customers.

Related Products
Antibody clone E379 is also available pre-conjugated to a variety of labels for your convenience - Alexa Fluor® 488, Alexa Fluor® 647, Biotin, PE, Alexa Fluor® 594 (ab190205, ab190589, ab205823, ab208750, ab214846).

Patented technology
Our RabMAb® technology is a patented hybridoma-based technology for making rabbit monoclonal antibodies. For details on our patents, please refer to RabMAb® patents.

What are the advantages of a recombinant monoclonal antibody?
This product is a recombinant monoclonal antibody, which offers several advantages including:

  • - High batch-to-batch consistency and reproducibility
  • - Improved sensitivity and specificity
  • - Long-term security of supply
  • - Animal-free batch production

For more information, read more on recombinant antibodies.

Species reactivity
Rat: We have preliminary internal testing data to indicate this antibody may not react with this species.
Please contact us for more information.

性能和储存信息

形式
Liquid
纯化工艺
Affinity purification Protein A
存储溶液
pH: 7.2 - 7.4 Preservative: 0.01% Sodium azide Constituents: PBS, 40% Glycerol (glycerin, glycerine), 0.21% BSA
运输条件
Blue Ice
推荐的短期储存时间
1-2 weeks
推荐的短期储存条件
+4°C
推荐的长期储存条件
-20°C
分装信息
Upon delivery aliquot
储存信息
Avoid freeze / thaw cycle

产品实验方案

For this product, it's our understanding that no specific protocols are required. You can visit:

靶点信息

NF-kappa-B is a pleiotropic transcription factor present in almost all cell types and is the endpoint of a series of signal transduction events that are initiated by a vast array of stimuli related to many biological processes such as inflammation, immunity, differentiation, cell growth, tumorigenesis and apoptosis. NF-kappa-B is a homo- or heterodimeric complex formed by the Rel-like domain-containing proteins RELA/p65, RELB, NFKB1/p105, NFKB1/p50, REL and NFKB2/p52. The heterodimeric RELA-NFKB1 complex appears to be most abundant one. The dimers bind at kappa-B sites in the DNA of their target genes and the individual dimers have distinct preferences for different kappa-B sites that they can bind with distinguishable affinity and specificity. Different dimer combinations act as transcriptional activators or repressors, respectively. The NF-kappa-B heterodimeric RELA-NFKB1 and RELA-REL complexes, for instance, function as transcriptional activators. NF-kappa-B is controlled by various mechanisms of post-translational modification and subcellular compartmentalization as well as by interactions with other cofactors or corepressors. NF-kappa-B complexes are held in the cytoplasm in an inactive state complexed with members of the NF-kappa-B inhibitor (I-kappa-B) family. In a conventional activation pathway, I-kappa-B is phosphorylated by I-kappa-B kinases (IKKs) in response to different activators, subsequently degraded thus liberating the active NF-kappa-B complex which translocates to the nucleus. The inhibitory effect of I-kappa-B on NF-kappa-B through retention in the cytoplasm is exerted primarily through the interaction with RELA. RELA shows a weak DNA-binding site which could contribute directly to DNA binding in the NF-kappa-B complex. Beside its activity as a direct transcriptional activator, it is also able to modulate promoters accessibility to transcription factors and thereby indirectly regulate gene expression. Associates with chromatin at the NF-kappa-B promoter region via association with DDX1. Essential for cytokine gene expression in T-cells (PubMed : 15790681). The NF-kappa-B homodimeric RELA-RELA complex appears to be involved in invasin-mediated activation of IL-8 expression. Key transcription factor regulating the IFN response during SARS-CoV-2 infection (PubMed : 33440148).
See full target information RELA

文献 (766)

Recent publications for all applications. Explore the full list and refine your search

Kidney diseases (Basel, Switzerland) 11:543-559 PubMed41064102

2025

Dihydroquercetin/Taxifolin Inhibits METTL3/mA/PIM2 Expression by Suppressing RIPK2 Phosphorylation Mediated NF-κB p65 Signaling Pathway to Alleviates Renal Ischemia-Reperfusion Injury in Mice.

Applications

Unspecified application

Species

Unspecified reactive species

Sheng Shen,Xiao Wang,Zhongda Li,Jinyang Zhuang,Keqin Zhang

Probiotics and antimicrobial proteins : PubMed41026405

2025

Lacticaseibacillus rhamnosus LGG Suppresses Osteoclastogenesis via TLR6/NF-κB Modulation and Attenuates Ovariectomy-Induced Bone Loss in Mice.

Applications

Unspecified application

Species

Unspecified reactive species

Kangjun Xiong,Jianghua Li,Yaqing Liu,Yang Pan,Yiping Huang,Dongdong Zhan,Lutong Zhang,Ming Tang,Jing Li,Haohao Sun

Journal of orthopaedic surgery and research 20:835 PubMed40999516

2025

Neuregulin 4 inhibits synovial macrophage pro-inflammatory polarization via ErbB4/Stat5b/NF-κB signaling to alleviate osteoarthritis progression.

Applications

Unspecified application

Species

Unspecified reactive species

Daoliang Jiang,Xiaoli Xu,Wenjing Yang,Mengjia Tang,Yuping Zhang,Lingfeng Shi,Jiongyu Hu

Global spine journal :21925682251383489 PubMed41001708

2025

Intervention of Rutin and Ochnaflavone in the Attenuation of Neuroinflammation and Neuronal Apoptosis in Spinal Cord Injury.

Applications

Unspecified application

Species

Unspecified reactive species

Tao Yu,Xuhao Yang,Anyuan Dai,Zhihe Yun,Wu Xue,Tianyang Yuan,Xinyu Nie,Inbo Han,Yanting Liu,A O Wang,Qinyi Liu

Open medicine (Warsaw, Poland) 20:20251274 PubMed40989161

2025

Petunidin attenuates lipopolysaccharide-induced retinal microglia inflammatory response in diabetic retinopathy by targeting OGT/NF-κB/LCN2 axis.

Applications

Unspecified application

Species

Unspecified reactive species

Mengxi Yu

Frontiers in pharmacology 16:1643343 PubMed40969943

2025

Cilostazol-inhibited RhoA/NF-κB signaling mitigates hippocampal inflammation and post-stroke depression.

Applications

Unspecified application

Species

Unspecified reactive species

Yuling Zhang,Yichen Li,Yafang Wu,Xiying Tan,Tingting Ji,Chaozhi Tang

Nucleic acids research 53: PubMed40966497

2025

SMRT anchors the HDAC3 corepressor complex to chromatin to regulate inflammatory and metabolic pathways in macrophages.

Applications

Unspecified application

Species

Unspecified reactive species

Astradeni Efthymiadou,Chaode Gu,Cheng Wang,Hongwei Wang,Ziyi Li,Oihane Garcia-Irigoyen,Rongrong Fan,Eckardt Treuter,Zhiqiang Huang

Journal of molecular histology 56:302 PubMed40921925

2025

Tongxinluo alleviates myocardial ischemia-reperfusion injury by inhibiting the pyroptosis of endothelial cells via the NLRP3/Caspase-1/GSDMD signaling pathway.

Applications

Unspecified application

Species

Unspecified reactive species

Xuan Wu,Yun-Long Hou,Tong-Xing Wang,Li-Ping Chang,Hong-Ru Zhou,Ming-Ye Wang,Yi-Ling Wu

Allergologia et immunopathologia 53:36-44 PubMed40923418

2025

Knockdown of ARHGDIB promotes autophagy and reduces inflammation in LPS-induced alveolar epithelial cells via the PRKACB/NF-κB pathway.

Applications

Unspecified application

Species

Unspecified reactive species

Haizhen Jin,Shuangxia Dong,Zhihui Li,Dai Xinjian

Open life sciences 20:20251157 PubMed40917776

2025

RUNX1 promotes denervation-induced muscle atrophy by activating the JUNB/NF-κB pathway and driving M1 macrophage polarization.

Applications

Unspecified application

Species

Unspecified reactive species

Wei Hu,Yang Huang,Wei Yin,Yao Huang,Jian Wu
View all publications

Abcam Product Promise

我们致力于为您的研究提供高质量的试剂,为您科研的每一步提供支持。若我们的产品未能达到预期性能,我们向您提供 Abcam Product Promise 保障。
详情请参阅我们的条款与条件。

Please note: All products are 'FOR RESEARCH USE ONLY. NOT FOR USE IN DIAGNOSTIC OR THERAPEUTIC PROCEDURES'.

For licensing inquiries, please contact partnerships@abcam.com