JavaScript is disabled in your browser. Please enable JavaScript to view this website.
AB131260

Anti-Neutrophil Elastase 抗体 [EPR7479]

Anti-Neutrophil Elastase antibody [EPR7479]

5

(4 Reviews)

|

(49 Publications)

Anti-Neutrophil Elastase antibody [EPR7479] (ab131260) is a rabbit monoclonal antibody detecting Neutrophil Elastase in Western Blot, Flow Cytometry (Intra), Flow Cytometry, IHC-P, ICC/IF. Suitable for Human.

- Biophysical QC for unrivalled batch-batch consistency
- Over 30 publications

查看别名

ELA2, ELANE, Neutrophil elastase, Bone marrow serine protease, Elastase-2, Human leukocyte elastase, Medullasin, PMN elastase, HLE

7 Images
Immunohistochemistry (Formalin/PFA-fixed paraffin-embedded sections) - Anti-Neutrophil Elastase antibody [EPR7479] (AB131260)
  • IHC-P

Supplier Data

Immunohistochemistry (Formalin/PFA-fixed paraffin-embedded sections) - Anti-Neutrophil Elastase antibody [EPR7479] (AB131260)

ab131260 staining Neutrophil Elastase in Human spleen tissue sections by Immunohistochemistry (IHC-P - paraformaldehyde-fixed, paraffin-embedded sections). Tissue was fixed and paraffin-embedded, antigen retrieval was by heat mediation in Tris/EDTA buffer pH9. Samples were incubated with primary antibody (1/5000). An undiluted HRP-conjugated mouse anti-rabbit IgG was used as the secondary antibody. Tissue counterstained with Hematoxylin. PBS was used in the negative control rather than the Primary antibody.

Immunocytochemistry/ Immunofluorescence - Anti-Neutrophil Elastase antibody [EPR7479] (AB131260)
  • ICC/IF

Supplier Data

Immunocytochemistry/ Immunofluorescence - Anti-Neutrophil Elastase antibody [EPR7479] (AB131260)

ab131260 staining Neutrophil Elastase in the HL-60 cell line by ICC/IF (Immunocytochemistry/immunofluorescence). Cells were fixed with 4% Paraformaldehyde permeabilized with 0.1% Triton X-100. Samples were incubated with primary antibody (1/70). ab150120(1/500) an Alexa Fluor®594-conjugated Goat anti-rabbit IgG was used as the secondary antibody. Nuclei were counterstained with DAPI.

Flow Cytometry (Intracellular) - Anti-Neutrophil Elastase antibody [EPR7479] (AB131260)
  • Flow Cyt (Intra)

Supplier Data

Flow Cytometry (Intracellular) - Anti-Neutrophil Elastase antibody [EPR7479] (AB131260)

Overlay histogram showingHL-60 cells stained with ab131260 (red line) at 1/20 dilution. The cells were fixed with 80% methanol. The secondary antibody used wasa FITC conjugatedgoat anti-rabbit IgG at 1/150 dilution. Isotype control antibody (black line) wasrabbit monoclonal IgG used under the same conditions. Cells also incubated without primary antibody and secondary antibody (blue line)

Flow Cytometry (Intracellular) - Anti-Neutrophil Elastase antibody [EPR7479] (AB131260)
  • Flow Cyt (Intra)

Unknown

Flow Cytometry (Intracellular) - Anti-Neutrophil Elastase antibody [EPR7479] (AB131260)

Overlay histogram showing HL60 cells stained with unpurified ab131260 (red line). The cells were fixed with 80% methanol (5 min) and then permeabilized with 0.1% PBS-Tween for 20 min. The cells were then incubated in 1x PBS / 10% normal goat serum / 0.3M glycine to block non-specific protein-protein interactions followed by the antibody (ab131260, 1/100 dilution) for 30 min at 22°C. The secondary antibody used was goat anti-rabbit Alexa Fluor® 488 (IgG H+L) (ab150077) at 1/2000 dilution for 30 min at 22°C. Isotype control antibody (black line) was rabbit IgG (monoclonal) (1μg/1x106 cells) used under the same conditions. Unlabelled sample (blue line) was also used as a control. Acquisition of >5,000 events were collected using a 20mW Argon ion laser (488nm) and 525/30 bandpass filter.

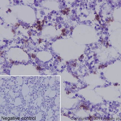
Immunohistochemistry (Formalin/PFA-fixed paraffin-embedded sections) - Anti-Neutrophil Elastase antibody [EPR7479] (AB131260)
  • IHC-P

Supplier Data

Immunohistochemistry (Formalin/PFA-fixed paraffin-embedded sections) - Anti-Neutrophil Elastase antibody [EPR7479] (AB131260)

ab131260 staining Neutrophil Elastase in Human bone marrow tissue sections by Immunohistochemistry (IHC-P - paraformaldehyde-fixed, paraffin-embedded sections). Tissue was fixed and paraffin-embedded, antigen retrieval was by heat mediation in Tris/EDTA buffer pH9. Samples were incubated with primary antibody (1/5000). An undiluted HRP-conjugated mouse anti-rabbit IgG was used as the secondary antibody. Tissue counterstained with Hematoxylin. PBS was used in the negative control rather than the Primary antibody.

Western blot - Anti-Neutrophil Elastase antibody [EPR7479] (AB131260)
  • WB

Lab

Western blot - Anti-Neutrophil Elastase antibody [EPR7479] (AB131260)

Blocking and diluting buffer and concentration : 5% NFDM/TBST.

ab310335 is not suitable for detecting human cell lines in western blot assay. ab131260 and ab314916 are alternatives for detecting human cell lines.

Neutrophil elastase undergoes proteolytic cleavage to generate fragments (PMID : 25857284).

Lanes 1 - 3:

Western blot - Anti-Neutrophil Elastase antibody [EPR28386-66] (<a href='/products/primary-antibodies/neutrophil-elastase-antibody-epr28386-66-ab310335'>ab310335</a>) at 1/1000 dilution

Lanes 4 - 6:

Western blot - Anti-Neutrophil Elastase antibody [EPR7479] (ab131260) at 1/1000 dilution

Lanes 7 - 9:

Western blot - Anti-Neutrophil Elastase antibody [RM1077] (<a href='/products/primary-antibodies/neutrophil-elastase-antibody-rm1077-ab314916'>ab314916</a>) at 1/1000 dilution

Lanes 1, 4 and 7:

HL-60 (human Acute Promyelocytic Leukemia promyeloblast) whole cell lysate at 20 µg

Lanes 2, 5 and 8:

THP-1 (human monocytic leukemia monocyte) whole cell lysate at 20 µg

Lanes 3, 6 and 9:

U937 (human histiocytic lymphoma monocyte) whole cell lysate at 20 µg

Secondary

All lanes:

Western blot - Goat Anti-Rabbit IgG H&L (HRP) (<a href='/products/secondary-antibodies/goat-rabbit-igg-h-l-hrp-ab97051'>ab97051</a>) at 1/20000 dilution

Observed band size: 30 kDa,26 kDa

false

Exposure time: 40s

OI-RD Scanning - Anti-Neutrophil Elastase antibody [EPR7479] (AB131260)
  • OI-RD Scanning

Unknown

OI-RD Scanning - Anti-Neutrophil Elastase antibody [EPR7479] (AB131260)

We have systematically measured KD (the equilibrium dissociation constant between the antibody and its antigen), of more than 840 recombinant antibodies to assess not only their individual KD values but also to see the average affinity of antibody. Based on the comparison with published literature values for mouse monoclonal antibodies, Recombinant antibodies appear to be on average 1-2 order of magnitude higher affinity.

不同偶联物与剂型 (9)

  • Carrier free

    Anti-Neutrophil Elastase antibody [EPR7479] - BSA and Azide free

  • 578 PE

    PE Anti-Neutrophil Elastase antibody [EPR7479]

  • 660 APC

    APC Anti-Neutrophil Elastase antibody [EPR7479]

  • HRP

    HRP Anti-Neutrophil Elastase antibody [EPR7479]

  • 617 Alexa Fluor® 594

    Alexa Fluor® 594 Anti-Neutrophil Elastase antibody [EPR7479]

  • 665 Alexa Fluor® 647

    Alexa Fluor® 647 Anti-Neutrophil Elastase antibody [EPR7479]

  • 603 Alexa Fluor® 568

    Alexa Fluor® 568 Anti-Neutrophil Elastase antibody [EPR7479]

  • 565 Alexa Fluor® 555

    Alexa Fluor® 555 Anti-Neutrophil Elastase antibody [EPR7479]

  • 519 Alexa Fluor® 488

    Alexa Fluor® 488 Anti-Neutrophil Elastase antibody [EPR7479]

关键信息

宿主种属

Rabbit

克隆

Monoclonal

克隆号

EPR7479

亚型

IgG

不含载体蛋白

No

反应种属

Human

应用

ICC/IF, Flow Cyt (Intra), IHC-P, WB

applications

免疫原

The exact immunogen used to generate this antibody is proprietary information.

反应性数据

{ "title": "Reactivity Data", "filters": { "stats": ["", "Species", "Dilution Info", "Notes"], "tabs": { "all-applications": {"fullname" : "All Applications", "shortname": "All Applications"}, "WB" : {"fullname" : "Western blot", "shortname":"WB"}, "ICCIF" : {"fullname" : "Immunocytochemistry/ Immunofluorescence", "shortname":"ICC/IF"}, "FlowCytIntra" : {"fullname" : "Flow Cytometry (Intracellular)", "shortname":"Flow Cyt (Intra)"}, "IHCP" : {"fullname" : "Immunohistochemistry (Formalin/PFA-fixed paraffin-embedded sections)", "shortname":"IHC-P"} }, "product-promise": { "all": "all", "testedAndGuaranteed": "tested", "guaranteed": "expected", "predicted": "predicted", "notRecommended": "not-recommended" } }, "values": { "Human": { "WB-species-checked": "testedAndGuaranteed", "WB-species-dilution-info": "1/1000 - 1/5000", "WB-species-notes": "<p></p>", "ICCIF-species-checked": "testedAndGuaranteed", "ICCIF-species-dilution-info": "1/70", "ICCIF-species-notes": "<p><strong>For unpurified use at 1/250 - 1/500</strong></p>", "FlowCytIntra-species-checked": "testedAndGuaranteed", "FlowCytIntra-species-dilution-info": "1/20", "FlowCytIntra-species-notes": "<p>For unpurified use at 1/10 - 1/100. <a href='/products/primary-antibodies/rabbit-igg-monoclonal-epr25a-isotype-control-ab172730'>ab172730</a> - Rabbit monoclonal IgG, is suitable for use as an isotype control with this antibody.</p>", "IHCP-species-checked": "testedAndGuaranteed", "IHCP-species-dilution-info": "1/5000", "IHCP-species-notes": "<p></p> Perform heat-mediated antigen retrieval with Tris/EDTA buffer pH 9.0 before commencing with IHC staining protocol." } } }

产品详情

What is this antibody validated in?
Anti-Neutrophil Elastase antibody [EPR7479] (ab131260) is a rabbit recombinant monoclonal antibody and is validated for use in Western Blot (WB), Flow Cytometry (Intra), Flow Cytometry (Flow Cyt), Immunohistochemistry (IHC-P), Immunocytochemistry/immunofluorescence (ICC/IF) in Human samples.

What is the molecular weight of Neutrophil Elastase?
Anti-Neutrophil Elastase [EPR7479] (ab131260) specifically detects a band for Neutrophil Elastase (UniProt: P08246) at a molecular weight of 29kDa.

Trusted by the scientific community
Anti-Neutrophil Elastase [EPR7479] (ab131260) was first used in a scientific publication in 2012 and has been cited over 30 times in peer-reviewed journals.

Trial sizes available!
Test your antibody or perform pre-screening before committing to a larger quantity. Sold in 10µl. Discover our selection of trial-size antibodies.

Other related products
We have a range of other formats of antibody clone [EPR7479] also available for your convenience: ab131260, Carrier free - ab219585, PE - ab305680, APC - ab305681, HRP - ab305682, Alkaline Phosphatase - ab308811, Alexa Fluor® 647 - ab310127, Alexa Fluor® 594 - ab310543, Alexa Fluor® 555 - ab312073, Alexa Fluor® 568 - ab312550, Alexa Fluor® 488 - ab317069

Species reactivity
Mouse, Rat: We have preliminary internal testing data to indicate this antibody may not react with these species.
Please contact us for more information.

Patented technology
Our RabMAb® technology is a patented hybridoma-based technology for making rabbit monoclonal antibodies. For details on our patents, please refer to RabMAb® patents.

What are the advantages of a recombinant monoclonal antibody?
This product is a recombinant monoclonal antibody, which offers several advantages including:

  • - High batch-to-batch consistency and reproducibility
  • - Improved sensitivity and specificity
  • - Long-term security of supply
  • - Animal-free batch production

For more information, read more on recombinant antibodies.

性能和储存信息

形式
Liquid
纯化工艺
Affinity purification Protein A
存储溶液
pH: 7.2 - 7.4 Preservative: 0.01% Sodium azide Constituents: PBS, 50% Glycerol (glycerin, glycerine), 0.05% BSA
运输条件
Blue Ice
推荐的短期储存条件
+4°C
推荐的长期储存条件
-20°C
储存信息
Stable for 12 months at -20°C

补充信息

This supplementary information is collated from multiple sources and compiled automatically.

Neutrophil Elastase also known as neutrophil proteinase 3 has a molecular mass of approximately 30 kDa. It is a serine protease expressed mainly in azurophilic granules of neutrophils. This enzyme breaks down various proteins including elastin at sites of inflammation. Neutrophil Elastase releases during degranulation or through neutrophil extracellular traps (NETs) to combat pathogens.
Biological function summary

The target plays a significant role in neutrophil-mediated tissue remodeling and host defense. It leads to the breaking down of extracellular matrix components contributing to tissue remodeling and repair. Neutrophil Elastase is part of a complex interplay with other proteases like matrix metalloproteinases (MMPs). Its activity is regulated by endogenous inhibitors such as alpha-1 antitrypsin to prevent excessive tissue damage.

Pathways

This protease is important in inflammation and immune response pathways. It plays a role in the complement system by activating C5 a component of the complement cascade. It also acts in conjunction with other proteases such as cathepsin G to modulate immune and inflammatory responses. Neutrophil Elastase's role within these pathways is pivotal for the regulation of inflammation and destruction of pathogens.

Individuals with conditions such as chronic obstructive pulmonary disease (COPD) and cystic fibrosis often exhibit dysregulation or excessive activity of Neutrophil Elastase. This excessive activity leads to tissue damage and exacerbates disease progression. The enzyme also interacts with proteins like elastin and collagen in these diseases further contributing to pathological tissue remodeling and damage.

产品实验方案

For this product, it's our understanding that no specific protocols are required. You can visit:

靶点信息

Serine protease that modifies the functions of natural killer cells, monocytes and granulocytes. Inhibits C5a-dependent neutrophil enzyme release and chemotaxis (PubMed : 15140022). Promotes cleavage of GSDMB, thereby inhibiting pyroptosis (PubMed : 36899106). Promotes blood coagulation (PubMed : 20676107). Through the activation of the platelet fibrinogen receptor integrin alpha-IIb/beta-3, potentiates platelet aggregation induced by a threshold concentration of cathepsin G (CTSG) (PubMed : 25211214, PubMed : 9111081). Cleaves and thus inactivates tissue factor pathway inhibitor (TFPI) (PubMed : 20676107, PubMed : 25211214). Capable of killing E.coli but not S.aureus in vitro; digests outer membrane protein A (ompA) in E.coli and K.pneumoniae (PubMed : 10947984).
See full target information ELANE

文献 (49)

Recent publications for all applications. Explore the full list and refine your search

American journal of translational research 17:3898-3907 PubMed40535640

2025

Dectin-1 participates in β-glucan- or PMA-induced neutrophil extracellular trap formation during antifungal defense.

Applications

Unspecified application

Species

Unspecified reactive species

Shoude Zhang,Ying Lu,Yuan Zhao,Zhanwei Dong,Mao Jin,Mina Xu,Hong Pan,Mang Xiao

Frontiers in immunology 16:1565252 PubMed40342425

2025

High-mobility group protein B1 derived mutant peptide mB Box-97 inhibits the formation of neutrophil extracellular traps.

Applications

Unspecified application

Species

Unspecified reactive species

Kunal R More,Aishwarya Devaraj,Frank H Robledo-Avila,Santiago Partida-Sanchez,Lauren O Bakaletz,Steven D Goodman

Frontiers in immunology 16:1547559 PubMed40330477

2025

The hypoxic microenvironment of biofilms shapes neutrophil responses.

Applications

Unspecified application

Species

Unspecified reactive species

Magdalena Juszczak,Aleksandra Brankiewicz,Marcin Zawrotniak,Maria Rapala-Kozik

NPJ biofilms and microbiomes 11:58 PubMed40234459

2025

Bacterial biofilm-derived H-NS protein acts as a defense against Neutrophil Extracellular Traps (NETs).

Applications

Unspecified application

Species

Unspecified reactive species

A L Hendricks,K R More,A Devaraj,J R Buzzo,F H Robledo-Avila,S Partida-Sanchez,L O Bakaletz,S D Goodman

Journal of inflammation research 18:4551-4565 PubMed40191096

2025

Protective Effects of Qingre Sanjie Jiaonang on Pulmonary Fibrosis: A Pilot Study.

Applications

Unspecified application

Species

Unspecified reactive species

Liu-Cheng Li,Zhi-Hui Zhang,Lei Liu,Bo Chen,Ye-Cheng Jin,Yu-Zhen Wang

JCI insight 9: PubMed39361432

2024

Neutrophils in nasal polyps exhibit transcriptional adaptation and proinflammatory roles that depend on local polyp milieu.

Applications

Unspecified application

Species

Unspecified reactive species

Chen Zhang,Qianqian Zhang,Jiani Chen,Han Li,Fuying Cheng,Yizhang Wang,Yingqi Gao,Yumin Zhou,Le Shi,Yufei Yang,Juan Liu,Kai Xue,Yaguang Zhang,Hongmeng Yu,Dehui Wang,Li Hu,Huan Wang,Xicai Sun

Nature neuroscience 27:2115-2129 PubMed39349662

2024

Proinflammatory immune cells disrupt angiogenesis and promote germinal matrix hemorrhage in prenatal human brain.

Applications

Unspecified application

Species

Unspecified reactive species

Jiapei Chen,Elizabeth E Crouch,Miriam E Zawadzki,Kyle A Jacobs,Lakyn N Mayo,Jennifer Ja-Yoon Choi,Pin-Yeh Lin,Saba Shaikh,Jessica Tsui,Susana Gonzalez-Granero,Shamari Waller,Avani Kelekar,Gugene Kang,Edward J Valenzuela,Janeth Ochoa Birrueta,Loukas N Diafos,Kaylee Wedderburn-Pugh,Barbara Di Marco,Wenlong Xia,Claudia Z Han,Nicole G Coufal,Christopher K Glass,Stephen P J Fancy,Julieta Alfonso,Arnold R Kriegstein,Michael C Oldham,Jose Manuel Garcia-Verdugo,Matthew L Kutys,Maria K Lehtinen,Alexis J Combes,Eric J Huang

Asia Pacific allergy 14:97-102 PubMed39220569

2024

Enhanced IL-37-IL-1R8 axis is negatively associated with inflammatory and clinical severity of chronic rhinosinusitis with nasal polyps.

Applications

Unspecified application

Species

Unspecified reactive species

Jia Zhang,Yujie Cao,Kun Chen,Xianting Hu,Chun Zhou,Lei Li,Miaomiao Han,Dehui Wang,Huabin Li

The Journal of clinical investigation 134: PubMed38916955

2024

Neutrophils insert elastase into hepatocytes to regulate calcium signaling in alcohol-associated hepatitis.

Applications

Unspecified application

Species

Unspecified reactive species

Noriyoshi Ogino,M Fatima Leite,Mateus T Guerra,Emma Kruglov,Hiromitsu Asashima,David A Hafler,Takeshi Ito,João P Pereira,Brandon J Peiffer,Zhaoli Sun,Barbara E Ehrlich,Michael H Nathanson

Innate immunity 30:66-78 PubMed38780369

2024

Myricetin reduces neutrophil extracellular trap release in a rat model of rheumatoid arthritis, which is associated with a decrease in disease severity.

Applications

Unspecified application

Species

Unspecified reactive species

Yiqin Shu,Rui Yang,Huijie Wen,Qiannan Dong,Zhiqi Chen,Yang Xiang,Hao Wu
View all publications

Abcam Product Promise

我们致力于为您的研究提供高质量的试剂,为您科研的每一步提供支持。若我们的产品未能达到预期性能,我们向您提供 Abcam Product Promise 保障。
详情请参阅我们的条款与条件。

Please note: All products are 'FOR RESEARCH USE ONLY. NOT FOR USE IN DIAGNOSTIC OR THERAPEUTIC PROCEDURES'.

For licensing inquiries, please contact partnerships@abcam.com