JavaScript is disabled in your browser. Please enable JavaScript to view this website.
AB68672

Anti-Neutrophil Elastase 抗体

Anti-Neutrophil Elastase antibody

4

(20 Reviews)

|

(285 Publications)

Anti-Neutrophil Elastase antibody (ab68672) is a rabbit polyclonal antibody detecting Neutrophil Elastase in IHC-P. Suitable for Human, Mouse.

- Over 220 publications
- Trusted since 2009

查看别名

ELA2, ELANE, Neutrophil elastase, Bone marrow serine protease, Elastase-2, Human leukocyte elastase, Medullasin, PMN elastase, HLE

5 Images
Immunohistochemistry (Formalin/PFA-fixed paraffin-embedded sections) - Anti-Neutrophil Elastase antibody (AB68672)
  • IHC-P

AbReview18305****

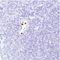
Immunohistochemistry (Formalin/PFA-fixed paraffin-embedded sections) - Anti-Neutrophil Elastase antibody (AB68672)

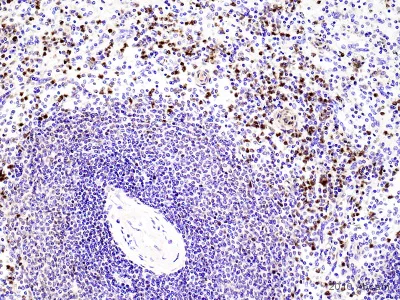
Immunohistochemistical detection of Neutrophil Elastase using antibody (ab68672) on formaldehyde-fixed paraffin-embedded human spleen sections. Antigen retrieval step : heat mediated in citric acid pH6 buffer. Permeabilization : No Blocking step : 1% BSA for 10 mins @ rt°C. Primary antibody dilution 1/2000; incubation time : 2 hours in TBS/BSA/azide. Secondary Antibody : anti Rabbit IgG conjugated to biotin (1/200).

This image is courtesy of an abreview submitted by Carl Hobbs, King's College London, United Kingdom

Immunohistochemistry (Formalin/PFA-fixed paraffin-embedded sections) - Anti-Neutrophil Elastase antibody (AB68672)
  • IHC-P

Unknown

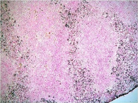
Immunohistochemistry (Formalin/PFA-fixed paraffin-embedded sections) - Anti-Neutrophil Elastase antibody (AB68672)

IHC image of Neutrophil Elastase staining in human spleen formalin fixed paraffin embedded tissue section*, performed on a Leica Bond™ system using the standard protocol F. The section was pre-treated using heat mediated antigen retrieval with sodium citrate buffer (pH6, epitope retrieval solution 1) for 20 mins. The section was then incubated with ab68672, 1μg/ml, for 15 mins at room temperature and detected using an HRP conjugated compact polymer system. DAB was used as the chromogen. The section was then counterstained with haematoxylin and mounted with DPX.

For other IHC staining systems (automated and non-automated) customers should optimize variable parameters such as antigen retrieval conditions, primary antibody concentration and antibody incubation times.

*Tissue obtained from the Human Research Tissue Bank, supported by the NIHR Cambridge Biomedical Research Centre

Immunohistochemistry (Formalin/PFA-fixed paraffin-embedded sections) - Anti-Neutrophil Elastase antibody (AB68672)
  • IHC-P

Lab

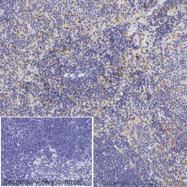
Immunohistochemistry (Formalin/PFA-fixed paraffin-embedded sections) - Anti-Neutrophil Elastase antibody (AB68672)

Immunohistochemical analysis of formalin fixed paraffin embedded human spleen labelling Neutrophil Elastase with ab68672 at a concentration of 1µg/ml. The immunostaining was performed on a Ventana DISCOVERY ULTRA (Roche Tissue Diagnostics) instrument with a OptiView DAB IHC Detection Kit. Heat mediated antigen retrieval was performed with DISCOVERY cell conditioning solution (CC1) 100°C, pH8.5 for 32mins.

Anti-Neutrophil Elastase antibody was incubated for 16mins at 37°C. Sections were counterstained with Hematoxylin II. Image inset shows absence of staining in secondary antibody only control.

Customers are encouraged to optimise antigen retrieval conditions, antibody concentration, incubation times and temperature for best results in their own IHC assay workflow (automated and manual).

Immunohistochemistry (Formalin/PFA-fixed paraffin-embedded sections) - Anti-Neutrophil Elastase antibody (AB68672)
  • IHC-P

Lab

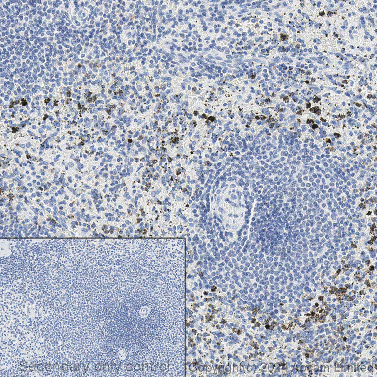
Immunohistochemistry (Formalin/PFA-fixed paraffin-embedded sections) - Anti-Neutrophil Elastase antibody (AB68672)

IHC image of Neutrophil Elastase staining in a section of formalin-fixed paraffin-embedded normal mouse spleen performed on a Leica Biosystems BOND® RX instrument. The section was pre-treated using heat mediated antigen retrieval with sodium citrate buffer (pH6, epitope retrieval solution 1) for 20mins. The section was then incubated with ab68672, 5ug/ml, for 15 mins at room temperature and detected using an HRP conjugated compact polymer system. DAB was used as the chromogen. The section was then counterstained with haematoxylin and mounted with DPX. The inset secondary-only control image is taken from an identical assay without primary antibody. For other IHC staining systems (automated and non-automated) customers should optimize variable parameters such as antigen retrieval conditions, primary antibody concentration and antibody incubation times.

Western blot - Anti-Neutrophil Elastase antibody (AB68672)
  • WB

Unknown

Western blot - Anti-Neutrophil Elastase antibody (AB68672)

All lanes:

Western blot - Anti-Neutrophil Elastase antibody (ab68672) at 1 µg/mL

All lanes:

Western blot - Native human Neutrophil Elastase protein (Active) (<a href='/products/proteins-peptides/native-human-neutrophil-elastase-protein-active-ab91099'>ab91099</a>) at 0.01 µg

Secondary

All lanes:

Western blot - Goat Anti-Rabbit IgG H&L (HRP) preadsorbed (<a href='/products/secondary-antibodies/goat-rabbit-igg-h-l-hrp-preadsorbed-ab97080'>ab97080</a>) at 1/5000 dilution

Predicted band size: 29 kDa

true

Exposure time: 2min

关键信息

宿主种属

Rabbit

克隆

Polyclonal

亚型

IgG

不含载体蛋白

No

反应种属

Mouse, Human

应用

IHC-P

applications

免疫原

The exact immunogen used to generate this antibody is proprietary information.

特异性

We have had mixed results for use of this antibody in IHC-P using Mouse tissue samples. The abReview data below from external researchers reports good staining with this antibody in Mouse tissue samples using IHC-Fr.

反应性数据

{ "title": "Reactivity Data", "filters": { "stats": ["", "Species", "Dilution Info", "Notes"], "tabs": { "all-applications": {"fullname" : "All Applications", "shortname": "All Applications"}, "IHCP" : {"fullname" : "Immunohistochemistry (Formalin/PFA-fixed paraffin-embedded sections)", "shortname":"IHC-P"}, "WB" : {"fullname" : "Western blot", "shortname":"WB"} }, "product-promise": { "all": "all", "testedAndGuaranteed": "tested", "guaranteed": "expected", "predicted": "predicted", "notRecommended": "not-recommended" } }, "values": { "Human": { "IHCP-species-checked": "testedAndGuaranteed", "IHCP-species-dilution-info": "1/100 - 1/200", "IHCP-species-notes": "<p></p> Perform heat-mediated antigen retrieval with citrate buffer pH 6 before commencing with IHC staining protocol.", "WB-species-checked": "notRecommended", "WB-species-dilution-info": "1 µg/mL", "WB-species-notes": "<p>In our hands, when tested in western blot, this product typically gives a weaker signal in human tissue lysates compared to human cell lines and mouse lysates. Abcam welcomes customer feedback and would appreciate any comments regarding this product and the data presented above.</p>" }, "Mouse": { "IHCP-species-checked": "testedAndGuaranteed", "IHCP-species-dilution-info": "5 µg/mL", "IHCP-species-notes": "<p></p> Perform heat-mediated antigen retrieval with citrate buffer pH 6 before commencing with IHC staining protocol.", "WB-species-checked": "notRecommended", "WB-species-dilution-info": "1 µg/mL", "WB-species-notes": "<p>In our hands, when tested in western blot, this product typically gives a weaker signal in human tissue lysates compared to human cell lines and mouse lysates. Abcam welcomes customer feedback and would appreciate any comments regarding this product and the data presented above.</p>" } } }

产品详情

Product Specifications
Anti-Neutrophil Elastase antibody (ab68672) is a rabbit polyclonal antibody and is validated for use in IHC-P in human, mouse samples.
Anti-Neutrophil Elastase antibody (ab68672) specifically detects Neutrophil Elastase (UniProt ID: P08246; Molecular weight: 26kDa) and is sold in 100 µg selling sizes.

Quality and Validation
Abcam's high quality validation processes ensure Anti-Neutrophil Elastase antibody (ab68672) has high sensitivity and specificity.
Anti-Neutrophil Elastase antibody (ab68672) has been cited over 220 times in peer reviewed journals and is trusted by the scientific community.
Anti-Neutrophil Elastase antibody (ab68672) has 18 independent reviews from customers.

性能和储存信息

形式
Liquid
纯化工艺
Affinity purification Immunogen
存储溶液
pH: 7.4 Preservative: 0.02% Sodium azide Constituents: PBS, 1% BSA
运输条件
Blue Ice
推荐的短期储存时间
1-2 weeks
推荐的短期储存条件
+4°C
推荐的长期储存条件
-20°C
分装信息
Upon delivery aliquot
储存信息
Avoid freeze / thaw cycle

产品实验方案

For this product, it's our understanding that no specific protocols are required. You can visit:

靶点信息

Serine protease that modifies the functions of natural killer cells, monocytes and granulocytes. Inhibits C5a-dependent neutrophil enzyme release and chemotaxis (PubMed : 15140022). Promotes cleavage of GSDMB, thereby inhibiting pyroptosis (PubMed : 36899106). Promotes blood coagulation (PubMed : 20676107). Through the activation of the platelet fibrinogen receptor integrin alpha-IIb/beta-3, potentiates platelet aggregation induced by a threshold concentration of cathepsin G (CTSG) (PubMed : 25211214, PubMed : 9111081). Cleaves and thus inactivates tissue factor pathway inhibitor (TFPI) (PubMed : 20676107, PubMed : 25211214). Capable of killing E.coli but not S.aureus in vitro; digests outer membrane protein A (ompA) in E.coli and K.pneumoniae (PubMed : 10947984).
See full target information ELANE

文献 (285)

Recent publications for all applications. Explore the full list and refine your search

Hepatology (Baltimore, Md.) : PubMed41370247

2025

Spatiotemporal landscape of intrahepatic cholangiocarcinoma liver metastasis at the single-cell level.

Applications

mIHC

Species

Human

Ziyu Xun,Hao Wang,Zhengfeng Xuan,Kexu Xiong,Nan Zhang,Junyu Long,Huishan Sun,Yiran Li,Chengpei Zhu,Mingjian Piao,Ting Zhang,Longhao Zhang,Shuofeng Li,Chengjie Li,Jiongyuan Li,Boyu Sun,Zixiang Zhou,Shanshan Wang,Ziyue Huang,Kai Liu,Yang Tan,Xiaohua Shi,Xiaobo Yang,Hanping Wang,Ling Lu,Haitao Zhao

The Journal of clinical investigation 135: PubMed40828601

2025

SAA1/FPR2 signaling between keratinocytes and neutrophils sustains chronic inflammation in Sweet syndrome.

Applications

Unspecified application

Species

Unspecified reactive species

Jianhe Huang,Satish Sati,Olivia Ahart,Emmanuel Rapp-Reyes,Linda Zhou,Robert G Micheletti,William D James,Misha Rosenbach,Thomas H Leung

Lupus science & medicine 12: PubMed40750120

2025

Endotoxaemia in childhood-onset systemic lupus erythematosus induces low-density granulocytes and extracellular traps of innate immune cells.

Applications

Unspecified application

Species

Unspecified reactive species

Wilasinee Saisorn,Pornpimol Phuengmaung,Chanunya Santiworakul,Kent Doi,Pornpimol Rianthavorn,Asada Leelahavanichkul

Inflammation : PubMed40586852

2025

Mac-1 Promotes Neutrophil Extracellular Traps Formation via ERK Phosphorylation in Renal Ischemia-Reperfusion Injury.

Applications

Unspecified application

Species

Unspecified reactive species

Luna He,Jialin Wang,Yang Li,Shuan Zhao,Yan Yang,Nana Song,Xiaoyi Zou,Shengzhuo You,Yi Fang,Tsuboi Naotake,Shi Jin,Xiaoqiang Ding,Yiqin Shi

Journal of nanobiotechnology 23:381 PubMed40420186

2025

Sequential nanoparticle therapy targeting neutrophil hyperactivation to prevent neutrophil-induced pulmonary fibrosis.

Applications

Unspecified application

Species

Unspecified reactive species

Hye-Jin Lee,Na Kyeong Lee,Jisun Kim,Jungbum Kim,Donghyuk Seo,Ha Eun Shin,Jongsu Kim,June Hong Ahn,Se-Na Kim,Hong Sook Kim,Juwon Park,Wooram Park,Kyung Soo Hong,Chun Gwon Park,Wonhwa Lee

JCI insight 10: PubMed40178918

2025

Dipeptidase-1-knockout mice develop invasive tumors with features of microsatellite-unstable colorectal cancer.

Applications

Unspecified application

Species

Unspecified reactive species

Sarah E Glass,Matthew E Bechard,Zheng Cao,Radhika Aramandla,Ping Zhao,Samuel T Ellis,Emily H Green,Elizabeth G Fisher,Ryan T Smith,Chelsie K Sievers,Maria Johnson Irudayam,Frank Revetta,M Kay Washington,Gregory D Ayers,Cody N Heiser,Alan J Simmons,Yanwen Xu,Yu Wang,Annika Windon,Martha J Shrubsole,Nicholas O Markham,Qi Liu,Ken S Lau,Robert J Coffey

Science advances 11:eadq4416 PubMed40073121

2025

Targeting the NPY/NPY1R signaling axis in mutant p53-dependent pancreatic cancer impairs metastasis.

Applications

Unspecified application

Species

Unspecified reactive species

Cecilia R Chambers,Supitchaya Watakul,Peter Schofield,Anna E Howell,Jessie Zhu,Alice M H Tran,Nadia Kuepper,Daniel A Reed,Kendelle J Murphy,Lily M Channon,Brooke A Pereira,Victoria M Tyma,Victoria Lee,Michael Trpceski,Jake Henry,Pauline Melenec,Lea Abdulkhalek,Max Nobis,Xanthe L Metcalf,Shona Ritchie,Antonia Cadell,Janett Stoehr,Astrid Magenau,Diego Chacon-Fajardo,Jessica L Chitty,Savannah O'Connell,Anaiis Zaratzian,Michael Tayao,Andrew Da Silva,Ruth J Lyons,Leonard D Goldstein,Ashleigh Dale,Alexander Rookyard,Angela Connolly,Ben Crossett,Yen T H Tran,Peter Kaltzis,Claire Vennin,Marija Dinevska,David R Croucher,Jaswinder Samra,Anubhav Mittal,Robert J Weatheritt,Andrew Philp,Gonzalo Del Monte-Nieto,Lei Zhang,Ronaldo F Enriquez,Thomas R Cox,Yan-Chuan C Shi,Mark Pinese,Nicola Waddell,Hao-Wen Sim,Tatyana Chtanova,Yingxiao Wang,Anthony M Joshua,Lorraine Chantrill,Thomas R Jeffry Evans,Anthony J Gill,Jennifer P Morton,Marina Pajic,Daniel Christ,Herbert Herzog,Paul Timpson,David Herrmann

Frontiers in immunology 16:1515419 PubMed40018045

2025

Cellular immune responses of bovine polymorphonuclear neutrophils to .

Applications

Unspecified application

Species

Unspecified reactive species

Liliana M R Silva,Sara López-Osorio,Raquel Peixoto,Ershun Zhou,Gabriel Espinosa,Ulrich Gärtner,Anja Taubert,Iván Conejeros,Carlos Hermosilla

Cancer immunology, immunotherapy : CII 74:106 PubMed39932547

2025

Neutrophil-induced pyroptosis promotes survival in patients with hepatoblastoma.

Applications

Unspecified application

Species

Unspecified reactive species

Tingyi Fu,Jiquan Zhou,Liyuan Yang,Jing Wang,Hui Li,Yuhua Shan,Hongxiang Gao,Chenjie Xie,Dapeng Jiang,Lei Zhang,Ji Ma,Qiuhui Pan,Min Xu,Min Zhang,Song Gu

Frontiers in immunology 15:1509355 PubMed39749330

2025

Bovine PMN responses to extracellular vesicles released by tachyzoites and -infected host cells.

Applications

Unspecified application

Species

Unspecified reactive species

Gabriel Espinosa,Constanza Salinas-Varas,Lisbeth Rojas-Barón,Christian Preußer,Elke Pogge von Strandmann,Ulrich Gärtner,Iván Conejeros,Carlos Hermosilla,Anja Taubert
View all publications

Abcam Product Promise

我们致力于为您的研究提供高质量的试剂,为您科研的每一步提供支持。若我们的产品未能达到预期性能,我们向您提供 Abcam Product Promise 保障。
详情请参阅我们的条款与条件。

Please note: All products are 'FOR RESEARCH USE ONLY. NOT FOR USE IN DIAGNOSTIC OR THERAPEUTIC PROCEDURES'.

For licensing inquiries, please contact partnerships@abcam.com