JavaScript is disabled in your browser. Please enable JavaScript to view this website.
AB195807

重组Anti-NDUFS6抗体[EPR15957]

Anti-NDUFS6 antibody [EPR15957]

Be the first to review this product! Submit a review

|

(7 Publications)

Rabbit Recombinant Monoclonal NDUFS6 antibody. Suitable for IP, WB, IHC-P and reacts with Human, Mouse, Rat samples. Cited in 7 publications.

查看别名

Complex I-13kD-A, NADH-ubiquinone oxidoreductase 13 kDa-A subunit, CI-13kD-A, NDUFS6

8 Images
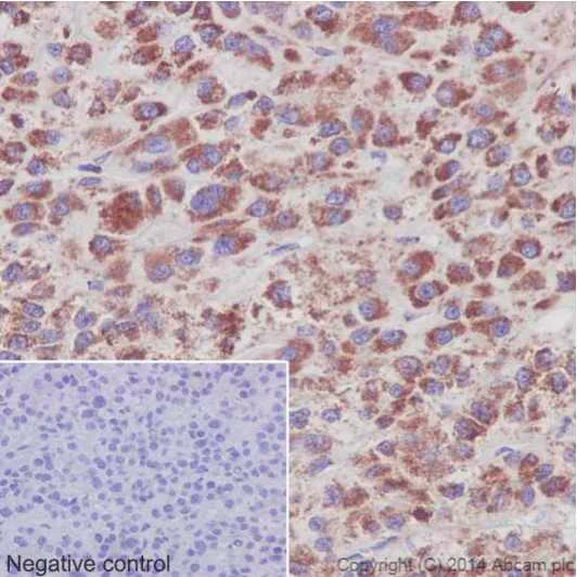
Immunohistochemistry (Formalin/PFA-fixed paraffin-embedded sections) - Anti-NDUFS6 antibody [EPR15957] (AB195807)
  • IHC-P

Supplier Data

Immunohistochemistry (Formalin/PFA-fixed paraffin-embedded sections) - Anti-NDUFS6 antibody [EPR15957] (AB195807)

Immunohistochemical analysis of paraffin-embedded Human tonsil tissue labeling NDUFS6 with ab195807 at 1/500. Secondary antibody : Goat Anti-Rabbit IgG H&L (HRP) (ab97051) at 1/500. Inset image : negative control obtained using PBS instead of ab195807 and secondary antibody only.
Note : Cytoplasm staining on human tonsil tissue was observed.

Perform heat mediated antigen retrieval with Tris/EDTA buffer pH 9.0 before commencing with IHC staining protocol.

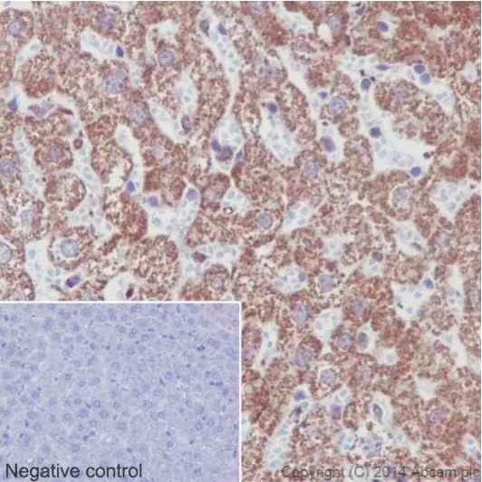
Immunohistochemistry (Formalin/PFA-fixed paraffin-embedded sections) - Anti-NDUFS6 antibody [EPR15957] (AB195807)
  • IHC-P

Supplier Data

Immunohistochemistry (Formalin/PFA-fixed paraffin-embedded sections) - Anti-NDUFS6 antibody [EPR15957] (AB195807)

Immunohistochemical analysis of paraffin-embedded Human hepatocellular carcinoma tissue labeling NDUFS6 with ab195807 at 1/500. Secondary antibody : Goat Anti-Rabbit IgG H&L (HRP) (ab97051) at 1/500.

Inset image : negative control obtained using PBS instead of ab195807 and secondary antibody only.
Note : Cytoplasm staining on human hepatocellular carcinoma tissue was observed.

Perform heat mediated antigen retrieval with Tris/EDTA buffer pH 9.0 before commencing with IHC staining protocol.

Immunoprecipitation - Anti-NDUFS6 antibody [EPR15957] (AB195807)
  • IP

Supplier Data

Immunoprecipitation - Anti-NDUFS6 antibody [EPR15957] (AB195807)

Immunoprecipitation analysis of Human fetal kidney lysate labeling NDUFS6 using ab195807 at 1/30 dilution (Lane 2).

Lane 3 : IP using Rabbit monoclonal IgG (ab172730) ) instead of ab195807 in Human fetal kidney lysates.

Lane 1 : Input : 10 μg Human fetal kidney lysates.

Subsequent WB detection was performed using ab195807 at 1/1000 dilution.

An Anti-Rabbit IgG (HRP), specific to the non-reduced form of IgG at 1/1500 was used as secondary antibody.

All lanes:

Immunoprecipitation - Anti-NDUFS6 antibody [EPR15957] (ab195807)

Predicted band size: 13 kDa

false

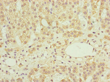
Immunohistochemistry (Formalin/PFA-fixed paraffin-embedded sections) - Anti-NDUFS6 antibody [EPR15957] (AB195807)
  • IHC-P

Supplier Data

Immunohistochemistry (Formalin/PFA-fixed paraffin-embedded sections) - Anti-NDUFS6 antibody [EPR15957] (AB195807)

Immunohistochemical analysis of paraffin-embedded Rat liver tissue labeling NDUFS6 with ab195807 at 1/500. Secondary antibody : Goat Anti-Rabbit IgG H&L (HRP) (ab97051) at 1/500.

Inset image : negative control obtained using PBS instead of ab195807 and secondary antibody only.
Note : Cytoplasm staining on rat liver tissue was observed.

Perform heat mediated antigen retrieval with Tris/EDTA buffer pH 9.0 before commencing with IHC staining protocol.

Western blot - Anti-NDUFS6 antibody [EPR15957] (AB195807)
  • WB

Supplier Data

Western blot - Anti-NDUFS6 antibody [EPR15957] (AB195807)

All lanes:

Western blot - Anti-NDUFS6 antibody [EPR15957] (ab195807) at 1/10000 dilution

All lanes:

Human fetal kidney lysate at 20 µg

Secondary

All lanes:

Anti-Rabbit IgG (HRP), specific to the non-reduced form of IgG at 1/1000 dilution

Predicted band size: 13 kDa

false

Western blot - Anti-NDUFS6 antibody [EPR15957] (AB195807)
  • WB

Supplier Data

Western blot - Anti-NDUFS6 antibody [EPR15957] (AB195807)

All lanes:

Western blot - Anti-NDUFS6 antibody [EPR15957] (ab195807) at 1/10000 dilution

All lanes:

Human skeletal muscle lysate at 20 µg

Secondary

All lanes:

Anti-Rabbit IgG (HRP), specific to the non-reduced form of IgG at 1/1000 dilution

Predicted band size: 13 kDa

false

Western blot - Anti-NDUFS6 antibody [EPR15957] (AB195807)
  • WB

Supplier Data

Western blot - Anti-NDUFS6 antibody [EPR15957] (AB195807)

All lanes:

Western blot - Anti-NDUFS6 antibody [EPR15957] (ab195807) at 1/10000 dilution

All lanes:

Human fetal heart at 20 µg

Secondary

All lanes:

Anti-Rabbit IgG (HRP), specific to the non-reduced form of IgG at 1/1000 dilution

Predicted band size: 13 kDa

false

Western blot - Anti-NDUFS6 antibody [EPR15957] (AB195807)
  • WB

Unknown

Western blot - Anti-NDUFS6 antibody [EPR15957] (AB195807)

All lanes:

Western blot - Anti-NDUFS6 antibody [EPR15957] (ab195807) at 1/1000 dilution

Lane 1:

Mouse brain lysate at 10 µg

Lane 2:

Mouse heart lysate at 10 µg

Lane 3:

Rat brain lysate at 10 µg

Lane 4:

Rat heart lysate at 10 µg

Lane 5:

Rat kidney lysate at 10 µg

Secondary

All lanes:

Anti-Rabbit IgG (HRP), specific to the non-reduced form of IgG at 1/1000 dilution

Predicted band size: 13 kDa

false

不同偶联物与剂型 (1)

  • Carrier free

    Anti-NDUFS6 antibody [EPR15957] - BSA and Azide free

关键信息

宿主种属

Rabbit

克隆

Monoclonal

克隆号

EPR15957

亚型

IgG

不含载体蛋白

No

反应种属

Mouse, Rat, Human

应用

IHC-P, WB, IP

applications

免疫原

The exact immunogen used to generate this antibody is proprietary information.

反应性数据

{ "title": "Reactivity Data", "filters": { "stats": ["", "Species", "Dilution Info", "Notes"], "tabs": { "all-applications": {"fullname" : "All Applications", "shortname": "All Applications"}, "IP" : {"fullname" : "Immunoprecipitation", "shortname":"IP"}, "WB" : {"fullname" : "Western blot", "shortname":"WB"}, "IHCP" : {"fullname" : "Immunohistochemistry (Formalin/PFA-fixed paraffin-embedded sections)", "shortname":"IHC-P"} }, "product-promise": { "all": "all", "testedAndGuaranteed": "tested", "guaranteed": "expected", "predicted": "predicted", "notRecommended": "not-recommended" } }, "values": { "Human": { "IP-species-checked": "testedAndGuaranteed", "IP-species-dilution-info": "1/1000", "IP-species-notes": "<p></p>", "WB-species-checked": "testedAndGuaranteed", "WB-species-dilution-info": "1/1000", "WB-species-notes": "<p></p>", "IHCP-species-checked": "testedAndGuaranteed", "IHCP-species-dilution-info": "1/500", "IHCP-species-notes": "<p></p>" }, "Mouse": { "IP-species-checked": "guaranteed", "IP-species-dilution-info": "", "IP-species-notes": "", "WB-species-checked": "testedAndGuaranteed", "WB-species-dilution-info": "1/1000", "WB-species-notes": "<p></p>", "IHCP-species-checked": "guaranteed", "IHCP-species-dilution-info": "", "IHCP-species-notes": "" }, "Rat": { "IP-species-checked": "guaranteed", "IP-species-dilution-info": "", "IP-species-notes": "", "WB-species-checked": "guaranteed", "WB-species-dilution-info": "", "WB-species-notes": "", "IHCP-species-checked": "testedAndGuaranteed", "IHCP-species-dilution-info": "1/500", "IHCP-species-notes": "<p></p>" } } }

产品详情

Patented technology
Our RabMAb® technology is a patented hybridoma-based technology for making rabbit monoclonal antibodies. For details on our patents, please refer to RabMAb® patents.

What are the advantages of a recombinant monoclonal antibody?
This product is a recombinant monoclonal antibody, which offers several advantages including:

  • - High batch-to-batch consistency and reproducibility
  • - Improved sensitivity and specificity
  • - Long-term security of supply
  • - Animal-free batch production

For more information, read more on recombinant antibodies.

性能和储存信息

形式
Liquid
纯化工艺
Affinity purification Protein A
存储溶液
pH: 7.2 - 7.4 Preservative: 0.01% Sodium azide Constituents: PBS, 40% Glycerol (glycerin, glycerine), 0.05% BSA
运输条件
Blue Ice
推荐的短期储存时间
1-2 weeks
推荐的短期储存条件
+4°C
推荐的长期储存条件
-20°C
分装信息
Upon delivery aliquot
储存信息
Avoid freeze / thaw cycle

补充信息

This supplementary information is collated from multiple sources and compiled automatically.

NDUFS6 also known as NADH:ubiquinone oxidoreductase subunit S6 serves a critical role in mitochondrial function. It forms a component of the mitochondrial complex I which is the first enzyme of the electron transport chain. NDUFS6 has a molecular weight of approximately 15 kDa. Researchers found this protein expressed in a variety of tissues though it is typically higher in metabolically active tissues such as heart liver and skeletal muscles.
Biological function summary

NDUFS6 contributes to the generation of ATP by participating in oxidative phosphorylation. It is part of the mitochondrial complex I a multisubunit assembly essential for electron transfer from NADH to ubiquinone. The proper function of this subunit is necessary for the activity of complex I which significantly impacts the production of cellular energy. Disruptions in this protein's function can impair energy metabolism affecting numerous cell processes.

Pathways

NDUFS6 plays a role in the electron transport chain and oxidative phosphorylation pathway. By facilitating electron transfer it helps maintain the electrochemical gradient across the inner mitochondrial membrane which is important for ATP synthesis. NDUFS6 works closely with other complex I proteins like NDUFS1 and NDUFS7 ensuring efficient energy production and cellular respiration. Its activity impacts broader cellular processes reflecting in energy homeostasis and cellular growth.

NDUFS6 mutations have connections with mitochondrial diseases and disorders like Leigh syndrome. This protein's dysfunction can lead to defects in energy generation resulting in neuromuscular symptoms and systemic issues. Researchers also correlate improper NDUFS6 function with complex I deficiencies where other proteins such as NDUFS1 are often implicated. Understanding the role of NDUFS6 in these disorders aids the investigation of mitochondrial dysfunction and offers pathways for potential therapeutic targets.

产品实验方案

For this product, it's our understanding that no specific protocols are required. You can visit:

靶点信息

Accessory subunit of the mitochondrial membrane respiratory chain NADH dehydrogenase (Complex I), that is believed not to be involved in catalysis. Complex I functions in the transfer of electrons from NADH to the respiratory chain. The immediate electron acceptor for the enzyme is believed to be ubiquinone.
See full target information NADH dehydrogenase [ubiquinone] iron-sulfur protein 6, mitochondrial

文献 (7)

Recent publications for all applications. Explore the full list and refine your search

Cell death discovery 11:249 PubMed40399258

2025

Gene therapy prevents onset of mitochondrial cardiomyopathy in neonatal mice with Ndufs6 deficiency.

Applications

Unspecified application

Species

Unspecified reactive species

Xiaoxian Zhang,Li Huang,Cheng Li,Jinjuan Yang,Fuyu Duan,Qiang Su,Yuelin Zhang,Meng Kou,Xiaoya Zhou,Liyan Guo,Shaoxiang Chen,Yongxia Niu,Ziyue Li,Sihua Ou,Min Zhang,Kenneth King-Yip Cheng,Jianlong Wu,Xiang Xu,Qizhou Lian

Science advances 11:eadq1575 PubMed40184463

2025

Atf3 controls transitioning in female mitochondrial cardiomyopathy as identified by spatial and single-cell transcriptomics.

Applications

Unspecified application

Species

Unspecified reactive species

Tasneem Qaqorh,Yusuke Takahashi,Kohei Sameshima,Kentaro Otani,Issei Yazawa,Yuya Nishida,Kohei Tonai,Yoshitaka Fujihara,Mizuki Honda,Shinya Oki,Yasuyuki Ohkawa,David R Thorburn,Ann E Frazier,Atsuhito Takeda,Yoshihiko Ikeda,Heima Sakaguchi,Takuya Watanabe,Norihide Fukushima,Yasumasa Tsukamoto,Naomasa Makita,Osamu Yamaguchi,Kei Murayama,Akira Ohtake,Yasushi Okazaki,Takanari Kimura,Hisakazu Kato,Hijiri Inoue,Ken Matsuoka,Seiji Takashima,Yasunori Shintani

Genetics in medicine : official journal of the American College of Medical Genetics 26:101117 PubMed38459834

2024

Alternative splicing expands the clinical spectrum of NDUFS6-related mitochondrial disorders.

Applications

Unspecified application

Species

Unspecified reactive species

Camila Armirola-Ricaurte,Noortje Zonnekein,Georgios Koutsis,Silvia Amor-Barris,Ana Lara Pelayo-Negro,Derek Atkinson,Stephanie Efthymiou,Valentina Turchetti,Argyris Dinopoulos,Antonio Garcia,Mert Karakaya,German Moris,Ayşe Ipek Polat,Uluç Yiş,Carmen Espinos,Liedewei Van de Vondel,Els De Vriendt,Georgia Karadima,Brunhilde Wirth,Michael Hanna,Henry Houlden,Jose Berciano,Albena Jordanova

Cell reports 35:109002 PubMed33882309

2021

NDUFS3 depletion permits complex I maturation and reveals TMEM126A/OPA7 as an assembly factor binding the ND4-module intermediate.

Applications

Unspecified application

Species

Unspecified reactive species

Luigi D'Angelo,Elisa Astro,Monica De Luise,Ivana Kurelac,Nikkitha Umesh-Ganesh,Shujing Ding,Ian M Fearnley,Giuseppe Gasparre,Massimo Zeviani,Anna Maria Porcelli,Erika Fernandez-Vizarra,Luisa Iommarini

Journal of cerebral blood flow and metabolism : official journal of the International Society of Cerebral Blood Flow and Metabolism 41:2546-2560 PubMed33818185

2021

A large portion of the astrocyte proteome is dedicated to perivascular endfeet, including critical components of the electron transport chain.

Applications

Unspecified application

Species

Unspecified reactive species

Jesse A Stokum,Bosung Shim,Weiliang Huang,Maureen Kane,Jesse A Smith,Volodymyr Gerzanich,J Marc Simard

Journal of cellular physiology 236:2920-2933 PubMed32930405

2020

Mitoflash generated at the Qo site of mitochondrial Complex III.

Applications

Unspecified application

Species

Unspecified reactive species

Meng Gao,Yuan Qin,Anqi Li,Sailei Wei,Bilin Liu,Xiangang Tian,Guohua Gong

Journal of human genetics 64:637-645 PubMed30948790

2019

NDUFS6 related Leigh syndrome: a case report and review of the literature.

Applications

Unspecified application

Species

Unspecified reactive species

Cécile Rouzier,Annabelle Chaussenot,Konstantina Fragaki,Valérie Serre,Samira Ait-El-Mkadem,Christian Richelme,Véronique Paquis-Flucklinger,Sylvie Bannwarth
View all publications

Abcam Product Promise

我们致力于为您的研究提供高质量的试剂,为您科研的每一步提供支持。若我们的产品未能达到预期性能,我们向您提供 Abcam Product Promise 保障。
详情请参阅我们的条款与条件。

Please note: All products are 'FOR RESEARCH USE ONLY. NOT FOR USE IN DIAGNOSTIC OR THERAPEUTIC PROCEDURES'.

For licensing inquiries, please contact partnerships@abcam.com