JavaScript is disabled in your browser. Please enable JavaScript to view this website.
AB185733

Anti-Ndufs1抗体

Anti-Ndufs1 antibody

Be the first to review this product! Submit a review

|

(2 Publications)

Rabbit Polyclonal Ndufs1 antibody. Suitable for WB, IHC-P, ICC/IF and reacts with Human, Mouse, Rat samples. Cited in 2 publications. Immunogen corresponding to Recombinant Fragment Protein within Human NDUFS1 aa 50-300.

查看别名

Complex I-75kD, CI-75kD, NDUFS1

4 Images
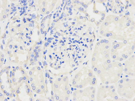
Immunohistochemistry (Formalin/PFA-fixed paraffin-embedded sections) - Anti-Ndufs1 antibody (AB185733)
  • IHC-P

Unknown

Immunohistochemistry (Formalin/PFA-fixed paraffin-embedded sections) - Anti-Ndufs1 antibody (AB185733)

Immunohistochemistry (Formalin/PFA-fixed paraffin-embedded sections) analysis of human kidney tissue labelling Ndufs1 with ab185733 at 1/200. Magnification : 400x.

Immunocytochemistry/ Immunofluorescence - Anti-Ndufs1 antibody (AB185733)
  • ICC/IF

Unknown

Immunocytochemistry/ Immunofluorescence - Anti-Ndufs1 antibody (AB185733)

Immunocytochemistry/Immunofluorescence analysis of U2OS cells using ab185733. Blue DAPI for nuclear staining.

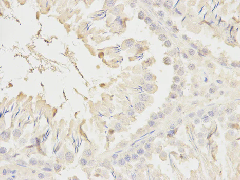
Immunohistochemistry (Formalin/PFA-fixed paraffin-embedded sections) - Anti-Ndufs1 antibody (AB185733)
  • IHC-P

Unknown

Immunohistochemistry (Formalin/PFA-fixed paraffin-embedded sections) - Anti-Ndufs1 antibody (AB185733)

Immunohistochemistry (Formalin/PFA-fixed paraffin-embedded sections) analysis of rat testis tissue labelling Ndufs1 with ab185733 at 1/200. Magnification : 400x.

Western blot - Anti-Ndufs1 antibody (AB185733)
  • WB

Supplier Data

Western blot - Anti-Ndufs1 antibody (AB185733)

All lanes:

Western blot - Anti-Ndufs1 antibody (ab185733) at 1/500 dilution

Lane 1:

HeLa cell line extract

Lane 2:

Raji cell line extract

Lane 3:

H460 cell line extract

Lane 4:

PC3 cell line extract

Lane 5:

293T cell line extract

Lane 6:

HepG2 cell line extract

Lane 7:

Mouse kidney tissue extract

Lane 8:

Mouse heart tissue extract

Lane 9:

Mouse intestine tissue extract

Predicted band size: 79 kDa

false

关键信息

宿主种属

Rabbit

克隆

Polyclonal

亚型

IgG

不含载体蛋白

No

反应种属

Mouse, Rat, Human

应用

WB, IHC-P, ICC/IF

applications

免疫原

Recombinant Fragment Protein within Human NDUFS1 aa 50-300. The exact immunogen used to generate this antibody is proprietary information.

P28331

反应性数据

{ "title": "Reactivity Data", "filters": { "stats": ["", "Species", "Dilution Info", "Notes"], "tabs": { "all-applications": {"fullname" : "All Applications", "shortname": "All Applications"}, "WB" : {"fullname" : "Western blot", "shortname":"WB"}, "IHCP" : {"fullname" : "Immunohistochemistry (Formalin/PFA-fixed paraffin-embedded sections)", "shortname":"IHC-P"}, "ICCIF" : {"fullname" : "Immunocytochemistry/ Immunofluorescence", "shortname":"ICC/IF"} }, "product-promise": { "all": "all", "testedAndGuaranteed": "tested", "guaranteed": "expected", "predicted": "predicted", "notRecommended": "not-recommended" } }, "values": { "Human": { "WB-species-checked": "testedAndGuaranteed", "WB-species-dilution-info": "1/500 - 1/2000", "WB-species-notes": "<p></p>", "IHCP-species-checked": "testedAndGuaranteed", "IHCP-species-dilution-info": "1/50 - 1/200", "IHCP-species-notes": "<p></p>", "ICCIF-species-checked": "testedAndGuaranteed", "ICCIF-species-dilution-info": "", "ICCIF-species-notes": "<p></p>" }, "Mouse": { "WB-species-checked": "testedAndGuaranteed", "WB-species-dilution-info": "1/500 - 1/2000", "WB-species-notes": "<p></p>", "IHCP-species-checked": "guaranteed", "IHCP-species-dilution-info": "", "IHCP-species-notes": "", "ICCIF-species-checked": "guaranteed", "ICCIF-species-dilution-info": "", "ICCIF-species-notes": "" }, "Rat": { "WB-species-checked": "guaranteed", "WB-species-dilution-info": "", "WB-species-notes": "", "IHCP-species-checked": "testedAndGuaranteed", "IHCP-species-dilution-info": "1/50 - 1/200", "IHCP-species-notes": "<p></p>", "ICCIF-species-checked": "guaranteed", "ICCIF-species-dilution-info": "", "ICCIF-species-notes": "" }, "Chimpanzee": { "WB-species-checked": "predicted", "WB-species-dilution-info": "", "WB-species-notes": "", "IHCP-species-checked": "predicted", "IHCP-species-dilution-info": "", "IHCP-species-notes": "", "ICCIF-species-checked": "predicted", "ICCIF-species-dilution-info": "", "ICCIF-species-notes": "" }, "Cow": { "WB-species-checked": "predicted", "WB-species-dilution-info": "", "WB-species-notes": "", "IHCP-species-checked": "predicted", "IHCP-species-dilution-info": "", "IHCP-species-notes": "", "ICCIF-species-checked": "predicted", "ICCIF-species-dilution-info": "", "ICCIF-species-notes": "" }, "Cynomolgus monkey": { "WB-species-checked": "predicted", "WB-species-dilution-info": "", "WB-species-notes": "", "IHCP-species-checked": "predicted", "IHCP-species-dilution-info": "", "IHCP-species-notes": "", "ICCIF-species-checked": "predicted", "ICCIF-species-dilution-info": "", "ICCIF-species-notes": "" }, "Gorilla": { "WB-species-checked": "predicted", "WB-species-dilution-info": "", "WB-species-notes": "", "IHCP-species-checked": "predicted", "IHCP-species-dilution-info": "", "IHCP-species-notes": "", "ICCIF-species-checked": "predicted", "ICCIF-species-dilution-info": "", "ICCIF-species-notes": "" }, "Orangutan": { "WB-species-checked": "predicted", "WB-species-dilution-info": "", "WB-species-notes": "", "IHCP-species-checked": "predicted", "IHCP-species-dilution-info": "", "IHCP-species-notes": "", "ICCIF-species-checked": "predicted", "ICCIF-species-dilution-info": "", "ICCIF-species-notes": "" } } }

性能和储存信息

形式
Liquid
纯化工艺
Affinity purification
存储溶液
pH: 7.3 Preservative: 0.02% Sodium azide Constituents: PBS, 50% Glycerol (glycerin, glycerine)
运输条件
Blue Ice
推荐的短期储存时间
1-2 weeks
推荐的短期储存条件
+4°C
推荐的长期储存条件
-20°C
分装信息
Upon delivery aliquot
储存信息
Avoid freeze / thaw cycle

补充信息

This supplementary information is collated from multiple sources and compiled automatically.

Ndufs1 known as NADH:ubiquinone oxidoreductase core subunit S1 or complex I 75 kDa subunit forms a significant part of the mitochondrial electron transport chain. This protein shows a mass of 75 kDa and is primarily found in mitochondria among various tissues. Ndufs1 plays an important role in transferring electrons from NADH to ubiquinone facilitating proton translocation across the inner mitochondrial membrane. With its function it contributes to the creation of a proton gradient essential for ATP synthesis.
Biological function summary

Ndufs1 facilitates the primary catalytic activity of the NADH dehydrogenase complex also found within the mitochondrial complex I. By being part of this large multi-subunit complex it helps in electron flow which essential for cellular respiration. Proper functioning of Ndufs1 becomes necessary for maintaining adequate energy production through ATP synthesis in cells impacting energy-dependent processes significantly.

Pathways

Ndufs1 acts mainly within the oxidative phosphorylation pathway. This pathway is indispensable for energy conversion in cells prominently featuring NADH dehydrogenase (ubiquinone). It relates closely with other critical proteins like Ndufa9 and Ndufb8 as these proteins also integrate into the mitochondrial complex I ensuring effective electron transport and energy yield in cells. The pathway links metabolic flux to energy production keeping cellular operations efficient.

Ndufs1 mutations correlate with mitochondrial diseases such as Leigh syndrome and mitochondrial complex I deficiency. These conditions often manifest neurological and muscular symptoms due to impaired mitochondrial function. Ndufs1 connections with proteins like Ndufv1 and additional complex I subunits emphasize its role in regular mitochondrial activity making its study relevant for understanding the pathological basis of these disorders. Researchers focus on Ndufs1 to unravel its impact on cellular metabolism and potential therapeutic targets.

产品实验方案

For this product, it's our understanding that no specific protocols are required. You can visit:

靶点信息

Core subunit of the mitochondrial membrane respiratory chain NADH dehydrogenase (Complex I) which catalyzes electron transfer from NADH through the respiratory chain, using ubiquinone as an electron acceptor (PubMed : 30879903, PubMed : 31557978). Essential for catalysing the entry and efficient transfer of electrons within complex I (PubMed : 31557978). Plays a key role in the assembly and stability of complex I and participates in the association of complex I with ubiquinol-cytochrome reductase complex (Complex III) to form supercomplexes (PubMed : 30879903, PubMed : 31557978).
See full target information NDUFS1

文献 (2)

Recent publications for all applications. Explore the full list and refine your search

International journal of molecular sciences 24: PubMed37685993

2023

Novel Function of Nogo-A as Negative Regulator of Endothelial Progenitor Cell Angiogenic Activity: Impact in Oxygen-Induced Retinopathy.

Applications

Unspecified application

Species

Unspecified reactive species

Pakiza Ruknudin,Ali Riza Nazari,Maelle Wirth,Isabelle Lahaie,Emmanuel Bajon,Alain Rivard,Sylvain Chemtob,Michel Desjarlais

Brain communications 4:fcac102 PubMed35602653

2022

Disruption of cellular iron homeostasis by missense variants causes severe neurodevelopmental delay, dystonia and seizures.

Applications

Unspecified application

Species

Unspecified reactive species

Nunziata Maio,Russell P Saneto,Richard Steet,Marcio A Sotero de Menezes,Cindy Skinner,Tracey A Rouault
View all publications

Abcam Product Promise

我们致力于为您的研究提供高质量的试剂,为您科研的每一步提供支持。若我们的产品未能达到预期性能,我们向您提供 Abcam Product Promise 保障。
详情请参阅我们的条款与条件。

Please note: All products are 'FOR RESEARCH USE ONLY. NOT FOR USE IN DIAGNOSTIC OR THERAPEUTIC PROCEDURES'.

For licensing inquiries, please contact partnerships@abcam.com