JavaScript is disabled in your browser. Please enable JavaScript to view this website.
AB250690

重组Anti-NDUFB11抗体[EPR15252] - BSA and Azide free

Anti-NDUFB11 antibody [EPR15252] - BSA and Azide free

Be the first to review this product! Submit a review

|

(1 Publication)

Rabbit Recombinant Monoclonal NDUFB11 antibody. Carrier free. Suitable for IHC-P, WB, Flow Cyt (Intra) and reacts with Human samples. Cited in 1 publication.

查看别名

UNQ111/PRO1064, NDUFB11, Complex I-ESSS, NADH-ubiquinone oxidoreductase ESSS subunit, Neuronal protein 17.3, CI-ESSS, Np17.3, p17.3

4 Images
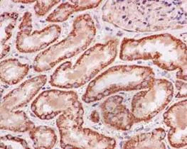
Immunohistochemistry (Formalin/PFA-fixed paraffin-embedded sections) - Anti-NDUFB11 antibody [EPR15252] - BSA and Azide free (AB250690)
  • IHC-P

Supplier Data

Immunohistochemistry (Formalin/PFA-fixed paraffin-embedded sections) - Anti-NDUFB11 antibody [EPR15252] - BSA and Azide free (AB250690)

This data was developed using ab183716, the same antibody clone in a different buffer formulation.

Immunohistochemical analysis of paraffin-embedded, Human kidney tissue labeling NDUFB11 with ab183716 at a 1/250 dilution. Counter stained with hematoxylin.

Perform heat mediated antigen retrieval with citrate buffer pH 6 before commencing with IHC staining protocol.

Flow Cytometry (Intracellular) - Anti-NDUFB11 antibody [EPR15252] - BSA and Azide free (AB250690)
  • Flow Cyt (Intra)

Supplier Data

Flow Cytometry (Intracellular) - Anti-NDUFB11 antibody [EPR15252] - BSA and Azide free (AB250690)

This data was developed using ab183716, the same antibody clone in a different buffer formulation.

Intracellular Flow Cytometry analysis of paraformaldehyde-fixed HeLa cells labeling NDUFB11 with ab183716 at a 1/240 dilution and secondary antibody goat anti-rabbit IgG (FITC, red) at a 1/150 dilution, or negative control rabbit IgG (green).

Western blot - Anti-NDUFB11 antibody [EPR15252] - BSA and Azide free (AB250690)
  • WB

Supplier Data

Western blot - Anti-NDUFB11 antibody [EPR15252] - BSA and Azide free (AB250690)

This data was developed using ab183716, the same antibody clone in a different buffer formulation.

Lanes 1 - 2:

Western blot - Anti-NDUFB11 antibody [EPR15252] (<a href='/products/primary-antibodies/ndufb11-antibody-epr15252-ab183716'>ab183716</a>) at 1/50000 dilution

Lane 3:

Western blot - Anti-NDUFB11 antibody [EPR15252] (<a href='/products/primary-antibodies/ndufb11-antibody-epr15252-ab183716'>ab183716</a>) at 1/10000 dilution

Lane 1:

HeLa cell lysate at 20 µg

Lane 2:

HepG2 cell lysate at 20 µg

Lane 3:

A431 cell lysate at 20 µg

Secondary

All lanes:

goat anti-rabbit IgG, (H+L), peroxidase conjugated at 1/1000 dilution

Predicted band size: 17 kDa

Observed band size: 17 kDa

true

Western blot - Anti-NDUFB11 antibody [EPR15252] - BSA and Azide free (AB250690)
  • WB

Supplier Data

Western blot - Anti-NDUFB11 antibody [EPR15252] - BSA and Azide free (AB250690)

This data was developed using ab183716, the same antibody clone in a different buffer formulation.

All lanes:

Western blot - Anti-NDUFB11 antibody [EPR15252] (<a href='/products/primary-antibodies/ndufb11-antibody-epr15252-ab183716'>ab183716</a>) at 1/10000 dilution

All lanes:

Human heart tissue lysate at 20 µg

Secondary

All lanes:

goat anti-rabbit IgG, (H+L), peroxidase conjugated at 1/1000 dilution

Predicted band size: 17 kDa

Observed band size: 17 kDa

true

不同偶联物与剂型 (1)

关键信息

宿主种属

Rabbit

克隆

Monoclonal

克隆号

EPR15252

亚型

IgG

不含载体蛋白

Yes

反应种属

Human

应用

WB, Flow Cyt (Intra), IHC-P

applications

免疫原

The exact immunogen used to generate this antibody is proprietary information.

反应性数据

{ "title": "Reactivity Data", "filters": { "stats": ["", "Species", "Dilution Info", "Notes"], "tabs": { "all-applications": {"fullname" : "All Applications", "shortname": "All Applications"}, "IHCP" : {"fullname" : "Immunohistochemistry (Formalin/PFA-fixed paraffin-embedded sections)", "shortname":"IHC-P"}, "WB" : {"fullname" : "Western blot", "shortname":"WB"}, "FlowCytIntra" : {"fullname" : "Flow Cytometry (Intracellular)", "shortname":"Flow Cyt (Intra)"} }, "product-promise": { "all": "all", "testedAndGuaranteed": "tested", "guaranteed": "expected", "predicted": "predicted", "notRecommended": "not-recommended" } }, "values": { "Human": { "IHCP-species-checked": "testedAndGuaranteed", "IHCP-species-dilution-info": "", "IHCP-species-notes": "<p></p>", "WB-species-checked": "testedAndGuaranteed", "WB-species-dilution-info": "", "WB-species-notes": "<p></p>", "FlowCytIntra-species-checked": "testedAndGuaranteed", "FlowCytIntra-species-dilution-info": "", "FlowCytIntra-species-notes": "<p></p>" }, "Mouse": { "IHCP-species-checked": "predicted", "IHCP-species-dilution-info": "", "IHCP-species-notes": "", "WB-species-checked": "predicted", "WB-species-dilution-info": "", "WB-species-notes": "", "FlowCytIntra-species-checked": "predicted", "FlowCytIntra-species-dilution-info": "", "FlowCytIntra-species-notes": "" }, "Rat": { "IHCP-species-checked": "predicted", "IHCP-species-dilution-info": "", "IHCP-species-notes": "", "WB-species-checked": "predicted", "WB-species-dilution-info": "", "WB-species-notes": "", "FlowCytIntra-species-checked": "predicted", "FlowCytIntra-species-dilution-info": "", "FlowCytIntra-species-notes": "" } } }

产品详情

ab250690 is the carrier-free version of ab183716.

Patented technology
Our RabMAb® technology is a patented hybridoma-based technology for making rabbit monoclonal antibodies. For details on our patents, please refer to RabMAb® patents.

What are the advantages of a recombinant monoclonal antibody?
This product is a recombinant monoclonal antibody, which offers several advantages including:

  • - High batch-to-batch consistency and reproducibility
  • - Improved sensitivity and specificity
  • - Long-term security of supply
  • - Animal-free batch production

For more information, read more on recombinant antibodies.

Conjugation ready
Our carrier-free antibodies are typically supplied in a PBS-only formulation, purified and free of BSA, sodium azide and glycerol. This conjugation-ready format is designed for use with fluorochromes, metal isotopes, oligonucleotides, and enzymes, which makes them ideal for antibody labelling, functional and cell-based assays, flow-based assays (e.g. mass cytometry) and Multiplex Imaging applications.

Use our conjugation kits for antibody conjugates that are ready-to-use in as little as 20 minutes with 1 minute hands-on-time and 100% antibody recovery: available for fluorescent dyes, HRP, biotin and gold.

Compatibility
This product is compatible with the Maxpar® Antibody Labeling Kit from Fluidigm, without the need for antibody preparation. Maxpar® is a trademark of Fluidigm Canada Inc.

性能和储存信息

形式
Liquid
纯化工艺
Affinity purification Protein A
存储溶液
pH: 7.2 - 7.4 Constituents: PBS
运输条件
Blue Ice
推荐的短期储存条件
+4°C
推荐的长期储存条件
+4°C
储存信息
Do Not Freeze

补充信息

This supplementary information is collated from multiple sources and compiled automatically.

NDUFB11 also known as NADH:ubiquinone oxidoreductase subunit B11 is a component of mitochondrial Complex I. It has a molecular weight of approximately 12 kDa. This protein contributes to the proper function of the electron transport chain. NDUFB11 is expressed mainly in tissues with high energy demands like the heart muscle and brain. It plays a role in facilitating electron transfer from NADH to ubiquinone which is a critical step in cellular respiration.
Biological function summary

NDUFB11 becomes part of the mitochondrial respiratory chain complex I an essential structure for ATP production through oxidative phosphorylation. This complex includes multiple subunits and is located on the inner mitochondrial membrane. NDUFB11 contributes to the assembly and stability of this complex ensuring efficient energy production within cells. Complex I dysfunction often impacts energy-dependent tissues leading to various metabolic challenges.

Pathways

NDUFB11 participates in the oxidative phosphorylation pathway vital for energy production in eukaryotic cells. It interacts with other important proteins of the electron transport chain like NDUFS1 and NDUFA13. These proteins collectively ensure the smooth transfer of electrons for ATP synthesis. Additionally NDUFB11 is involved in the mitochondrial electron transport which is essential for maintaining cellular metabolic processes.

NDUFB11 mutations link to mitochondrial diseases such as Leigh syndrome characterized by neurometabolic dysfunction. This protein's malfunction can also connect to complex I deficiency affecting cellular respiration and leading to various clinical symptoms including muscle weakness and neurological impairments. Mitochondrial diseases associated with NDUFB11 may also involve interactions with other mitochondrial subunits indicating an intricate relationship with overall mitochondrial health.

产品实验方案

For this product, it's our understanding that no specific protocols are required. You can visit:

靶点信息

Accessory subunit of the mitochondrial membrane respiratory chain NADH dehydrogenase (Complex I), that is believed not to be involved in catalysis. Complex I functions in the transfer of electrons from NADH to the respiratory chain. The immediate electron acceptor for the enzyme is believed to be ubiquinone.
See full target information NDUFB11

文献 (1)

Recent publications for all applications. Explore the full list and refine your search

JCI insight 5: PubMed31094704

2019

Protective role of B cells in sterile particulate-induced lung injury.

Applications

Unspecified application

Species

Unspecified reactive species

Shaikh M Atif,Douglas G Mack,Amy S McKee,Javier Rangel-Moreno,Allison K Martin,Andrew Getahun,Lisa A Maier,John C Cambier,Rubin Tuder,Andrew P Fontenot
View all publications

Abcam Product Promise

我们致力于为您的研究提供高质量的试剂,为您科研的每一步提供支持。若我们的产品未能达到预期性能,我们向您提供 Abcam Product Promise 保障。
详情请参阅我们的条款与条件。

Please note: All products are 'FOR RESEARCH USE ONLY. NOT FOR USE IN DIAGNOSTIC OR THERAPEUTIC PROCEDURES'.

For licensing inquiries, please contact partnerships@abcam.com